JavaScript is disabled in your browser. Please enable JavaScript to view this website.
AB231086

Anti-Ryanodine Receptor antibody [EPR21796] - BSA and Azide free

Be the first to review this product! Submit a review

|

(1 Publication)

Rabbit Recombinant Monoclonal Ryanodine Receptor antibody. Carrier free. Suitable for WB, ICC/IF, IHC-Fr, IHC-P and reacts with Mouse, Rat, Human samples. Cited in 1 publication.

View Alternative Names

RYDR, RYR1, Ryanodine receptor 1, RYR-1, RyR1, Skeletal muscle calcium release channel, Skeletal muscle ryanodine receptor, Skeletal muscle-type ryanodine receptor, Type 1 ryanodine receptor

9 Images
Immunohistochemistry (Frozen sections) - Anti-Ryanodine Receptor antibody [EPR21796] - BSA and Azide free (AB231086)
  • IHC-Fr

Supplier Data

Immunohistochemistry (Frozen sections) - Anti-Ryanodine Receptor antibody [EPR21796] - BSA and Azide free (AB231086)

Immunohistochemical analysis of 4% PFA-fixed, 0.2% Triton X-100 permeabilized frozen sectioned rat skeletal muscle tissue labeling Ryanodine Receptor (green) with ab219798 at 1/30 dilution, followed by Goat Anti-Rabbit IgG H&L (Alexa Fluor® 488) (ab150077) at 1/1000 dilution. Positive staining of rat skeletal muscle cells (PMID : 21454501) is observed. The nuclear counter stain is DAPI (blue).

Secondary antibody only control : Used PBS instead of primary antibody, secondary antibody is Goat Anti-Rabbit IgG H&L (Alexa Fluor® 488) (ab150077) at 1/1000 dilution.

Perform heat-mediated antigen retrieval by using ab94681 (Tris/EDTA buffer, pH9.0).

This data was developed using the same antibody clone in a different buffer formulation containing PBS, BSA, glycerol, and sodium azide (ab219798).

Immunohistochemistry (Formalin/PFA-fixed paraffin-embedded sections) - Anti-Ryanodine Receptor antibody [EPR21796] - BSA and Azide free (AB231086)
  • IHC-P

Supplier Data

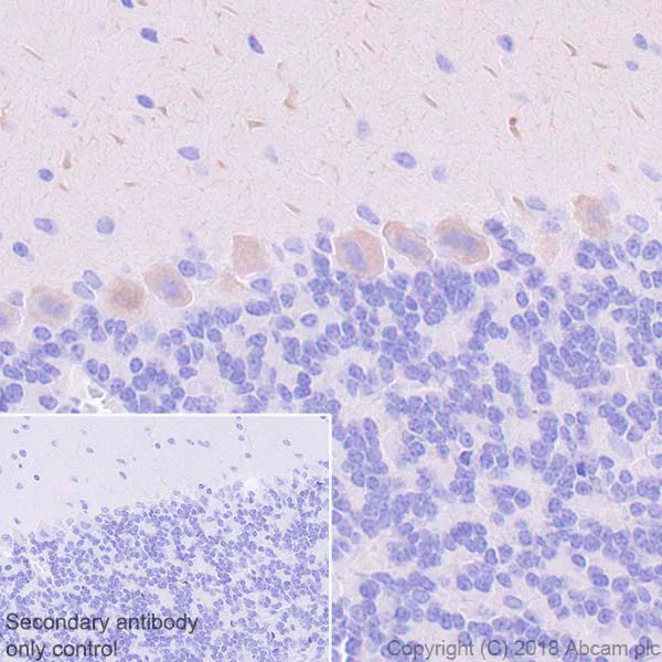
Immunohistochemistry (Formalin/PFA-fixed paraffin-embedded sections) - Anti-Ryanodine Receptor antibody [EPR21796] - BSA and Azide free (AB231086)

Immunohistochemical analysis of paraffin-embedded mouse cerebellum tissue labeling Ryanodine Receptor with ab219798 at 1/2000 dilution, followed by Goat Anti-Rabbit IgG H&L (HRP) Ready to use. Cytoplasmic staining in Purkinje cells of mouse cerebellum (PMID 18313230) is observed. Counter stained with Hematoxylin.

Secondary antibody only control : Used PBS instead of primary antibody, secondary antibody is Goat Anti-Rabbit IgG H&L (HRP) Ready to use.

Perform heat-mediated antigen retrieval using ab93684 (Tris/EDTA buffer, pH 9.0).

This data was developed using the same antibody clone in a different buffer formulation containing PBS, BSA, glycerol, and sodium azide (ab219798).

Immunohistochemistry (Formalin/PFA-fixed paraffin-embedded sections) - Anti-Ryanodine Receptor antibody [EPR21796] - BSA and Azide free (AB231086)
  • IHC-P

Supplier Data

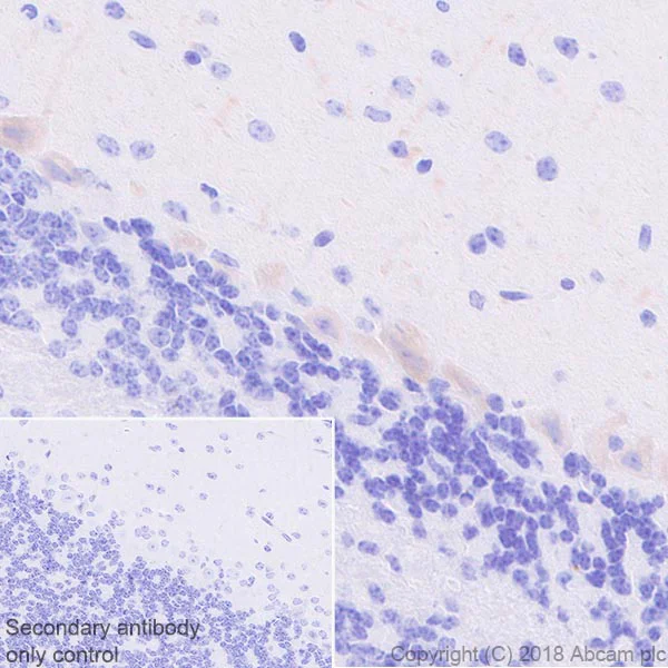
Immunohistochemistry (Formalin/PFA-fixed paraffin-embedded sections) - Anti-Ryanodine Receptor antibody [EPR21796] - BSA and Azide free (AB231086)

Immunohistochemical analysis of paraffin-embedded rat cerebellum tissue labeling Ryanodine Receptor with ab219798 at 1/2000 dilution, followed by Goat Anti-Rabbit IgG H&L (HRP) Ready to use. Cytoplasmic staining in Purkinje cells of rat cerebellum (PMID 18313230) is observed. Counter stained with Hematoxylin.

Secondary antibody only control : Used PBS instead of primary antibody, secondary antibody is Goat Anti-Rabbit IgG H&L (HRP) Ready to use.

Perform heat-mediated antigen retrieval using ab93684 (Tris/EDTA buffer, pH 9.0).

This data was developed using the same antibody clone in a different buffer formulation containing PBS, BSA, glycerol, and sodium azide (ab219798).

Immunocytochemistry/ Immunofluorescence - Anti-Ryanodine Receptor antibody [EPR21796] - BSA and Azide free (AB231086)
  • ICC/IF

Lab

Immunocytochemistry/ Immunofluorescence - Anti-Ryanodine Receptor antibody [EPR21796] - BSA and Azide free (AB231086)

Immunohistochemical analysis of C2C12 (mouse muscle myoblast) cells labeling Ryanodine Receptor (green) with ab219798 at 1/100 dilution, followed by Goat Anti-Rabbit IgG H&L (Alexa Fluor® 488) (ab150077) at 1/1000 dilution. Cells were fixed with 4% paraformaldehyde and permeabilized with 0.1% TritonX-100. Confocal image showing cytoplasmic staining in differentiated C2C12 cells. Confluent C2C12 cells were grown for 8 days to differentiate into myotube in a complete culture medium containing 10% FBS, following the ATCC protocol for myotube formation. The nuclear counter stain is DAPI (blue).

ab195889, Anti-Alpha Tubulin antibody [DM1A] - Microtubule Marker (Alexa Fluor® 594) at 1/200 was used as counterstain.

This data was developed using the same antibody clone in a different buffer formulation containing PBS, BSA, glycerol, and sodium azide (ab219798).

Immunohistochemistry (Formalin/PFA-fixed paraffin-embedded sections) - Anti-Ryanodine Receptor antibody [EPR21796] - BSA and Azide free (AB231086)
  • IHC-P

Supplier Data

Immunohistochemistry (Formalin/PFA-fixed paraffin-embedded sections) - Anti-Ryanodine Receptor antibody [EPR21796] - BSA and Azide free (AB231086)

Immunohistochemical analysis of paraffin-embedded rat skeletal muscle tissue labeling Ryanodine Receptor with ab219798 at 1/2000 dilution, followed by Goat Anti-Rabbit IgG H&L (HRP) Ready to use. Cytoplasmic staining in rat skeletal muscle (PMID : 26109061) is observed. Counter stained with Hematoxylin.

Secondary antibody only control : Used PBS instead of primary antibody, secondary antibody is Goat Anti-Rabbit IgG H&L (HRP) Ready to use.

Perform heat-mediated antigen retrieval using ab93684 (Tris/EDTA buffer, pH 9.0).

This data was developed using the same antibody clone in a different buffer formulation containing PBS, BSA, glycerol, and sodium azide (ab219798).

Immunohistochemistry (Frozen sections) - Anti-Ryanodine Receptor antibody [EPR21796] - BSA and Azide free (AB231086)
  • IHC-Fr

Supplier Data

Immunohistochemistry (Frozen sections) - Anti-Ryanodine Receptor antibody [EPR21796] - BSA and Azide free (AB231086)

Immunohistochemical analysis of 4% PFA-fixed, 0.2% Triton X-100 permeabilized frozen sectioned rat cerebellum tissue labeling Ryanodine Receptor (green) with ab219798 at 1/30 dilution, followed by Goat Anti-Rabbit IgG H&L (Alexa Fluor® 488) (ab150077) at 1/1000 dilution. Positive cytoplasmic staining in Purkinjie cells, negative staining in cells localized in granular layer and molecular layer of rat cerebellum tissue section (PMID : 18313230) is observed. The nuclear counter stain is DAPI (blue).

Secondary antibody only control : Used PBS instead of primary antibody, secondary antibody is Goat Anti-Rabbit IgG H&L (Alexa Fluor® 488) (ab150077) at 1/1000 dilution.

Perform heat-mediated antigen retrieval by using ab94681 (Tris/EDTA buffer, pH9.0).

This data was developed using the same antibody clone in a different buffer formulation containing PBS, BSA, glycerol, and sodium azide (ab219798).

Immunohistochemistry (Frozen sections) - Anti-Ryanodine Receptor antibody [EPR21796] - BSA and Azide free (AB231086)
  • IHC-Fr

Supplier Data

Immunohistochemistry (Frozen sections) - Anti-Ryanodine Receptor antibody [EPR21796] - BSA and Azide free (AB231086)

Immunohistochemical analysis of 4% PFA-fixed, 0.2% Triton X-100 permeabilized frozen sectioned mouse skeletal muscle tissue labeling Ryanodine Receptor (green) with ab219798 at 1/30 dilution, followed by Goat Anti-Rabbit IgG H&L (Alexa Fluor® 488) (ab150077) at 1/1000 dilution. Positive staining in mouse skeletal muscle cells (PMID : 21454501) is observed. The nuclear counter stain is DAPI (blue).

Secondary antibody only control : Used PBS instead of primary antibody, secondary antibody is Goat Anti-Rabbit IgG H&L (Alexa Fluor® 488) (ab150077) at 1/1000 dilution.

Perform heat-mediated antigen retrieval by using ab94681 (Tris/EDTA buffer, pH9.0).

This data was developed using the same antibody clone in a different buffer formulation containing PBS, BSA, glycerol, and sodium azide (ab219798).

Immunohistochemistry (Frozen sections) - Anti-Ryanodine Receptor antibody [EPR21796] - BSA and Azide free (AB231086)
  • IHC-Fr

Supplier Data

Immunohistochemistry (Frozen sections) - Anti-Ryanodine Receptor antibody [EPR21796] - BSA and Azide free (AB231086)

Immunohistochemical analysis of 4% PFA-fixed, 0.2% Triton X-100 permeabilized frozen sectioned mouse cerebellum tissue labeling Ryanodine Receptor (green) with ab219798 at 1/30 dilution, followed by Goat Anti-Rabbit IgG H&L (Alexa Fluor® 488) (ab150077) at 1/1000 dilution. Positive cytoplasmic staining in the Purkinjie cells, negative staining in cells localized in granular layer and molecular layer of mouse cerebellum tissue section (PMID : 18313230) is observed. The nuclear counter stain is DAPI (blue).

Secondary antibody only control : Used PBS instead of primary antibody, secondary antibody is Goat Anti-Rabbit IgG H&L (Alexa Fluor® 488) (ab150077) at 1/1000 dilution.

Perform heat-mediated antigen retrieval by using ab94681 (Tris/EDTA buffer, pH9.0).

This data was developed using the same antibody clone in a different buffer formulation containing PBS, BSA, glycerol, and sodium azide (ab219798).

Immunohistochemistry (Formalin/PFA-fixed paraffin-embedded sections) - Anti-Ryanodine Receptor antibody [EPR21796] - BSA and Azide free (AB231086)
  • IHC-P

Supplier Data

Immunohistochemistry (Formalin/PFA-fixed paraffin-embedded sections) - Anti-Ryanodine Receptor antibody [EPR21796] - BSA and Azide free (AB231086)

Immunohistochemical analysis of paraffin-embedded mouse skeletal muscle tissue labeling Ryanodine Receptor with ab219798 at 1/2000 dilution, followed by Goat Anti-Rabbit IgG H&L (HRP) Ready to use. Cytoplasmic staining in mouse skeletal muscle (PMID : 26109061) is observed. Counter stained with Hematoxylin.

Secondary antibody only control : Used PBS instead of primary antibody, secondary antibody is Goat Anti-Rabbit IgG H&L (HRP) Ready to use.

Perform heat-mediated antigen retrieval using ab93684 (Tris/EDTA buffer, pH 9.0).

This data was developed using the same antibody clone in a different buffer formulation containing PBS, BSA, glycerol, and sodium azide (ab219798).

  • Unconjugated

    Anti-Ryanodine Receptor antibody [EPR21796]

  • 519 Alexa Fluor® 488

    Alexa Fluor® 488 Anti-Ryanodine Receptor antibody [EPR21796]

  • 660 APC

    APC Anti-Ryanodine Receptor antibody [EPR21796]

  • 665 Alexa Fluor® 647

    Alexa Fluor® 647 Anti-Ryanodine Receptor antibody [EPR21796]

  • 565 Alexa Fluor® 555

    Alexa Fluor® 555 Anti-Ryanodine Receptor antibody [EPR21796]

  • 578 PE

    PE Anti-Ryanodine Receptor antibody [EPR21796]

  • 617 Alexa Fluor® 594

    Alexa Fluor® 594 Anti-Ryanodine Receptor antibody [EPR21796]

  • 775 Alexa Fluor® 750

    Alexa Fluor® 750 Anti-Ryanodine Receptor antibody [EPR21796]

Key facts

Host species

Rabbit

Clonality

Monoclonal

Clone number

EPR21796

Isotype

IgG

Carrier free

Yes

Reacts with

Mouse, Rat, Human

Applications

IHC-Fr, ICC/IF, IHC-P, WB

applications

Immunogen

The exact immunogen used to generate this antibody is proprietary information.

Reactivity data

{ "title": "Reactivity Data", "filters": { "stats": ["", "Species", "Dilution Info", "Notes"], "tabs": { "all-applications": {"fullname" : "All Applications", "shortname": "All Applications"}, "WB" : {"fullname" : "Western blot", "shortname":"WB"}, "ICCIF" : {"fullname" : "Immunocytochemistry/ Immunofluorescence", "shortname":"ICC/IF"}, "IHCFr" : {"fullname" : "Immunohistochemistry (Frozen sections)", "shortname":"IHC-Fr"}, "IHCP" : {"fullname" : "Immunohistochemistry (Formalin/PFA-fixed paraffin-embedded sections)", "shortname":"IHC-P"} }, "product-promise": { "all": "all", "testedAndGuaranteed": "tested", "guaranteed": "expected", "predicted": "predicted", "notRecommended": "not-recommended" } }, "values": { "Human": { "WB-species-checked": "guaranteed", "WB-species-dilution-info": "", "WB-species-notes": "<p></p>", "ICCIF-species-checked": "predicted", "ICCIF-species-dilution-info": "", "ICCIF-species-notes": "", "IHCFr-species-checked": "predicted", "IHCFr-species-dilution-info": "", "IHCFr-species-notes": "", "IHCP-species-checked": "predicted", "IHCP-species-dilution-info": "", "IHCP-species-notes": "" }, "Mouse": { "WB-species-checked": "guaranteed", "WB-species-dilution-info": "", "WB-species-notes": "<p></p>", "ICCIF-species-checked": "testedAndGuaranteed", "ICCIF-species-dilution-info": "", "ICCIF-species-notes": "<p></p>", "IHCFr-species-checked": "guaranteed", "IHCFr-species-dilution-info": "", "IHCFr-species-notes": "", "IHCP-species-checked": "testedAndGuaranteed", "IHCP-species-dilution-info": "", "IHCP-species-notes": "<p>IHC is not recommended in human due to non-specific staining.</p>" }, "Rat": { "WB-species-checked": "guaranteed", "WB-species-dilution-info": "", "WB-species-notes": "<p></p>", "ICCIF-species-checked": "guaranteed", "ICCIF-species-dilution-info": "", "ICCIF-species-notes": "", "IHCFr-species-checked": "testedAndGuaranteed", "IHCFr-species-dilution-info": "", "IHCFr-species-notes": "<p>Perform heat-mediated antigen retrieval by using <a href='/en-us/products/unavailable/antigen-retrieval-buffer-100x-tris-edta-buffer-ph-90-ab94681'>ab94681</a> (Tris/EDTA buffer, pH9.0).</p><p>IHC is not recommended in human due to non-specific staining.</p>", "IHCP-species-checked": "guaranteed", "IHCP-species-dilution-info": "", "IHCP-species-notes": "" } } }

Product details

ab231086 is the carrier-free version of ab219798.

Patented technology
Our RabMAb® technology is a patented hybridoma-based technology for making rabbit monoclonal antibodies. For details on our patents, please refer to RabMAb® patents.

What are the advantages of a recombinant monoclonal antibody?
This product is a recombinant monoclonal antibody, which offers several advantages including:

  • - High batch-to-batch consistency and reproducibility
  • - Improved sensitivity and specificity
  • - Long-term security of supply
  • - Animal-free batch production

For more information, read more on recombinant antibodies.

Conjugation ready
Our carrier-free antibodies are typically supplied in a PBS-only formulation, purified and free of BSA, sodium azide and glycerol. This conjugation-ready format is designed for use with fluorochromes, metal isotopes, oligonucleotides, and enzymes, which makes them ideal for antibody labelling, functional and cell-based assays, flow-based assays (e.g. mass cytometry) and Multiplex Imaging applications.

Use our conjugation kits for antibody conjugates that are ready-to-use in as little as 20 minutes with 1 minute hands-on-time and 100% antibody recovery: available for fluorescent dyes, HRP, biotin and gold.

Compatibility
This product is compatible with the Maxpar® Antibody Labeling Kit from Fluidigm, without the need for antibody preparation. Maxpar® is a trademark of Fluidigm Canada Inc.

Properties and storage information

Form
Liquid
Purification technique
Affinity purification Protein A
Storage buffer
pH: 7.2 - 7.4 Constituents: PBS
Shipped at conditions
Blue Ice
Appropriate short-term storage conditions
+4°C
Appropriate long-term storage conditions
+4°C
Storage information
Do Not Freeze

Supplementary information

This supplementary information is collated from multiple sources and compiled automatically.

The ryanodine receptor also known as RyR is a significant calcium ion channel that facilitates the release of calcium from the sarcoplasmic reticulum into the cytosol. It is especially important in cardiac and skeletal muscle cells influencing muscle contraction. The receptor exists in three isoforms: RyR1 RyR2 and RyR3 with RyR1 dominant in skeletal muscle RyR2 in cardiac muscle and RyR3 more ubiquitously in the body. RyR is a large protein with a mass of approximately 2 megadaltons comprising multiple subunits and forming part of a transmembrane complex.
Biological function summary

These receptors regulate calcium ions important for triggering muscle contractions and other calcium-dependent processes. RyR operates as part of a complex with other proteins such as FKBP12 (calstabin) and calmodulin which modulate its function. The receptor plays an important role in excitation-contraction coupling in muscles ensuring proper physiological responses to stimuli. Calcium release through these channels not only manages contraction but also assists in signal transduction within various cellular contexts.

Pathways

The ryanodine receptor integrates significantly into the excitation-contraction coupling and the calcium signaling pathways. In excitation-contraction coupling the receptor responds to electrical stimuli by releasing calcium that initiates contraction. In the calcium signaling pathway it participates by releasing and regulating intracellular calcium level interacting with proteins such as L-type calcium channels and calsequestrin to maintain cell homeostasis. These interactions define the RyR's role in cellular respiration muscle contraction and other physiological processes.

Abnormal function or mutations in RyR often associate with cardiac and skeletal muscle diseases such as malignant hyperthermia and catecholaminergic polymorphic ventricular tachycardia. Dysregulation or mutation-induced alterations affect calcium release and contribute to pathogenesis. Connections between RyR dysfunction and other proteins such as junctin or triadin in muscle cells frequently disrupt normal muscle function illustrating RyR's significant role in these disorders. The receptor's involvement in calcium dysregulation suggests potential avenues for therapeutic interventions.

Product protocols

For this product, it's our understanding that no specific protocols are required. You can visit:

Target data

Cytosolic calcium-activated calcium channel that mediates the release of Ca(2+) from the sarcoplasmic reticulum into the cytosol and thereby plays a key role in triggering muscle contraction following depolarization of T-tubules (PubMed : 11741831, PubMed : 16163667, PubMed : 18268335, PubMed : 18650434, PubMed : 26115329). Repeated very high-level exercise increases the open probability of the channel and leads to Ca(2+) leaking into the cytoplasm (PubMed : 18268335). Can also mediate the release of Ca(2+) from intracellular stores in neurons, and may thereby promote prolonged Ca(2+) signaling in the brain. Required for normal embryonic development of muscle fibers and skeletal muscle. Required for normal heart morphogenesis, skin development and ossification during embryogenesis (By similarity).
See full target information RYR1

Publications (1)

Recent publications for all applications. Explore the full list and refine your search

Journal of translational medicine 23:335 PubMed40089779

2025

F-box protein FBXO21 overexpression inhibits the proliferation and metastasis of clear cell renal cell carcinoma and is closely related to the CREB pathway and tumor immune cell infiltration.

Applications

Unspecified application

Species

Unspecified reactive species

Wuping Yang,Taile Jing,Cunjin Wu,Minghao Lu,Xiaolin Yao,Dan Xia,Ding Peng
View all publications

Product promise

We are committed to supporting your work with high-quality reagents, and we're here for you every step of the way. In the unlikely event that one of our products does not perform as expected, you're protected by our Product Promise.
For full details, please see our Terms & Conditions

Please note: All products are 'FOR RESEARCH USE ONLY. NOT FOR USE IN DIAGNOSTIC OR THERAPEUTIC PROCEDURES'.

For licensing inquiries, please contact partnerships@abcam.com