JavaScript is disabled in your browser. Please enable JavaScript to view this website.
AB185971

Anti-RYBP antibody [EPR13059(2)] - ChIP Grade

4

(1 Review)

|

(7 Publications)

Rabbit Recombinant Monoclonal RYBP antibody. Suitable for IHC-P, IP, ChIP, WB, ICC/IF, Flow Cyt (Intra) and reacts with Human, Mouse, Rat samples. Cited in 7 publications.

View Alternative Names

DEDAF, YEAF1, RYBP, RING1 and YY1-binding protein, Apoptin-associating protein 1, Death effector domain-associated factor, YY1 and E4TF1-associated factor 1, APAP-1, DED-associated factor

13 Images
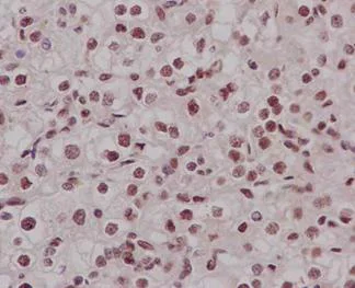
Immunohistochemistry (Formalin/PFA-fixed paraffin-embedded sections) - Anti-RYBP antibody [EPR13059(2)] - ChIP Grade (AB185971)
  • IHC-P

Supplier Data

Immunohistochemistry (Formalin/PFA-fixed paraffin-embedded sections) - Anti-RYBP antibody [EPR13059(2)] - ChIP Grade (AB185971)

Immunohistochemical analysis of paraffin-embedded, Human clear cell carcinoma kidney tissue labeling RYBP with ab185971 at a 1/100 dilution. Counter stained with hematoxylin.

Perform heat mediated antigen retrieval with citrate buffer pH 6 before commencing with IHC staining protocol.

Immunohistochemistry (Formalin/PFA-fixed paraffin-embedded sections) - Anti-RYBP antibody [EPR13059(2)] - ChIP Grade (AB185971)
  • IHC-P

Supplier Data

Immunohistochemistry (Formalin/PFA-fixed paraffin-embedded sections) - Anti-RYBP antibody [EPR13059(2)] - ChIP Grade (AB185971)

Immunohistochemical analysis of paraffin-embedded, Human placenta tissue labeling RYBP with ab185971 at a 1/100 dilution. Counter stained with hematoxylin.

Perform heat mediated antigen retrieval with citrate buffer pH 6 before commencing with IHC staining protocol.

Immunocytochemistry/ Immunofluorescence - Anti-RYBP antibody [EPR13059(2)] - ChIP Grade (AB185971)
  • ICC/IF

Supplier Data

Immunocytochemistry/ Immunofluorescence - Anti-RYBP antibody [EPR13059(2)] - ChIP Grade (AB185971)

Immunofluorescence analysis of, paraformaldehyde-fixed, SW480 cells labeling RYBP with ab185971 at a 1/250 dilution. As secondary antibody goat anti-rabbit IgG (Alexa Fluor®555) was used at a 1/200. In blue DAPI staining.

Flow Cytometry (Intracellular) - Anti-RYBP antibody [EPR13059(2)] - ChIP Grade (AB185971)
  • Flow Cyt (Intra)

Lab

Flow Cytometry (Intracellular) - Anti-RYBP antibody [EPR13059(2)] - ChIP Grade (AB185971)

Intracellular Flow Cytometry analysis of A431 (Human epidermoid carcinoma epithelial cell) cells labeling RYBP with purified ab185971 at 1/20 dilution (11.7μg/mL) (Red). Cells were fixed with 4% paraformaldehyde and permeabilised with 90% methanol. A Goat anti rabbit IgG (Alexa Fluor® 488, ab150077) secondary antibody was used at 1/2000 dilution. Isotype control - Rabbit monoclonal IgG (ab172730) (black). Unlabeled control - Unlabelled cells (blue).

Immunocytochemistry/ Immunofluorescence - Anti-RYBP antibody [EPR13059(2)] - ChIP Grade (AB185971)
  • ICC/IF

Supplier Data

Immunocytochemistry/ Immunofluorescence - Anti-RYBP antibody [EPR13059(2)] - ChIP Grade (AB185971)

Immunofluorescence analysis of, paraformaldehyde-fixed, HepG2 cells labeling RYBP with ab185971 at a 1/250 dilution. As secondary antibody goat anti-rabbit IgG (Alexa Fluor®555) was used at a 1/200. In blue DAPI staining.

Flow Cytometry (Intracellular) - Anti-RYBP antibody [EPR13059(2)] - ChIP Grade (AB185971)
  • Flow Cyt (Intra)

Supplier Data

Flow Cytometry (Intracellular) - Anti-RYBP antibody [EPR13059(2)] - ChIP Grade (AB185971)

Intracellular Flow Cytometry analysis of paraformaldehyde-fixed K562 cells labeling RYBP with ab185971 at a 1/40 dilution and secondary antibody goat anti-rabbit IgG (FITC, red) at a 1/150 dilution, or negative control rabbit IgG (green).

Immunoprecipitation - Anti-RYBP antibody [EPR13059(2)] - ChIP Grade (AB185971)
  • IP

Supplier Data

Immunoprecipitation - Anti-RYBP antibody [EPR13059(2)] - ChIP Grade (AB185971)

Western blot analysis on immunoprecipitation pellet from HepG2 cell lysate labeling RYBP with ab185971 at 1/50 dilution and goat anti-rabbit IgG, (H+L), peroxidase conjugated at a 1/1000 dilution.

All lanes:

Immunoprecipitation - Anti-RYBP antibody [EPR13059(2)] - ChIP Grade (ab185971)

Predicted band size: 25 kDa

Observed band size: 32 kDa

false

ChIP - Anti-RYBP antibody [EPR13059(2)] - ChIP Grade (AB185971)
  • ChIP

Unknown

ChIP - Anti-RYBP antibody [EPR13059(2)] - ChIP Grade (AB185971)

Chromatin was prepared from HEK293 cells according to the Abcam Dual X-ChIP protocol*. Cells were fixed with EGS for 30 minutes, then formaldehyde for 10 minutes.
The ChIP was performed with 25 µg of chromatin, 5 µg of ab185971 (red), and 20 µl of Protein A/G sepharose beads. 5 µg of rabbit normal IgG was added to the beads control (gray). The immunoprecipitated DNA was quantified by real time PCR (Sybr green approach).
Primers and probes are located in the first kb of the transcribed region.
*http : //www.abcam.com/resources?keywords=X%20ChIP%20protocol

ChIP - Anti-RYBP antibody [EPR13059(2)] - ChIP Grade (AB185971)
  • ChIP

Unknown

ChIP - Anti-RYBP antibody [EPR13059(2)] - ChIP Grade (AB185971)

Chromatin was prepared from NIH/3T3 cells according to the Abcam Dual X-ChIP protocol*. Cells were fixed with EGS for 30 minutes, then formaldehyde for 10 minutes.
The ChIP was performed with 25 µg of chromatin, 5 µg of ab185971 (red), and 20 µl of Protein A/G sepharose beads. 5 µg of rabbit normal IgG was added to the beads control (gray). The immunoprecipitated DNA was quantified by real time PCR (Sybr green approach).
Primers and probes are located in the first kb of the transcribed region.
*http : //www.abcam.com/resources?keywords=X%20ChIP%20protocol

Immunoprecipitation - Anti-RYBP antibody [EPR13059(2)] - ChIP Grade (AB185971)
  • IP

Lab

Immunoprecipitation - Anti-RYBP antibody [EPR13059(2)] - ChIP Grade (AB185971)

ab185971 (purified) at 1/20 dilution (11.7μg/mL) immunoprecipitating RYBP in NIH/3T3 (Mouse embryonic fibroblast) whole cell lysate 10 μg.

Lane 1 (input) : NIH/3T3 (Mouse embryonic fibroblast) whole cell lysate 10 μg
Lane 2 (+) : ab185971 & NIH/3T3 whole cell lysate
Lane 3 (-) : Rabbit monoclonal IgG (ab172730) instead of ab185971 in NIH/3T3 whole cell lysate

For western blotting, ab185971 at 1/500 dilution (0.468 μg/mL) and veriBlot for IP secondary antibody (HRP) (ab131366) at 1/1000 dilution was used.

Blocking and diluting buffer : 5% NFDM /TBST.

All lanes:

Immunoprecipitation - Anti-RYBP antibody [EPR13059(2)] - ChIP Grade (ab185971)

Predicted band size: 25 kDa

false

Western blot - Anti-RYBP antibody [EPR13059(2)] - ChIP Grade (AB185971)
  • WB

Supplier Data

Western blot - Anti-RYBP antibody [EPR13059(2)] - ChIP Grade (AB185971)

All lanes:

Western blot - Anti-RYBP antibody [EPR13059(2)] - ChIP Grade (ab185971) at 1/10000 dilution

All lanes:

HepG2 cell lysate at 20 µg

Secondary

All lanes:

goat anti-rabbit IgG, (H+L), peroxidase conjugated at 1/1000 dilution

Predicted band size: 25 kDa

Observed band size: 32 kDa

true

Western blot - Anti-RYBP antibody [EPR13059(2)] - ChIP Grade (AB185971)
  • WB

Supplier Data

Western blot - Anti-RYBP antibody [EPR13059(2)] - ChIP Grade (AB185971)

All lanes:

Western blot - Anti-RYBP antibody [EPR13059(2)] - ChIP Grade (ab185971) at 1/1000 dilution

Lane 1:

K562 cell lysate at 20 µg

Lane 2:

SW480 cell lysate at 20 µg

Secondary

All lanes:

goat anti-rabbit IgG, (H+L), peroxidase conjugated at 1/1000 dilution

Predicted band size: 25 kDa

Observed band size: 32 kDa

true

Western blot - Anti-RYBP antibody [EPR13059(2)] - ChIP Grade (AB185971)
  • WB

Supplier Data

Western blot - Anti-RYBP antibody [EPR13059(2)] - ChIP Grade (AB185971)

All lanes:

Western blot - Anti-RYBP antibody [EPR13059(2)] - ChIP Grade (ab185971) at 1/1000 dilution

All lanes:

rat PC12 cell lysate at 10 µg

Secondary

All lanes:

goat anti-rabbit IgG, (H+L), peroxidase conjugated at 1/1000 dilution

Predicted band size: 25 kDa

Observed band size: 32 kDa

true

  • Carrier free

    Anti-RYBP antibody [EPR13059(2)] - BSA and Azide free

  • 660 APC

    APC Anti-RYBP antibody [EPR13059(2)]

  • HRP

    HRP Anti-RYBP antibody [EPR13059(2)]

  • 617 Alexa Fluor® 594

    Alexa Fluor® 594 Anti-RYBP antibody [EPR13059(2)]

  • 665 Alexa Fluor® 647

    Alexa Fluor® 647 Anti-RYBP antibody [EPR13059(2)]

  • 565 Alexa Fluor® 555

    Alexa Fluor® 555 Anti-RYBP antibody [EPR13059(2)]

  • 603 Alexa Fluor® 568

    Alexa Fluor® 568 Anti-RYBP antibody [EPR13059(2)]

  • 578 PE

    PE Anti-RYBP antibody [EPR13059(2)]

  • 519 Alexa Fluor® 488

    Alexa Fluor® 488 Anti-RYBP antibody [EPR13059(2)]

  • 775 Alexa Fluor® 750

    Alexa Fluor® 750 Anti-RYBP antibody [EPR13059(2)] - ChIP Grade

Key facts

Host species

Rabbit

Clonality

Monoclonal

Clone number

EPR13059(2)

Isotype

IgG

Carrier free

No

Reacts with

Mouse, Rat, Human

Applications

ChIP, IHC-P, Flow Cyt (Intra), IP, WB, ICC/IF

applications

Immunogen

The exact immunogen used to generate this antibody is proprietary information.

Reactivity data

{ "title": "Reactivity Data", "filters": { "stats": ["", "Species", "Dilution Info", "Notes"], "tabs": { "all-applications": {"fullname" : "All Applications", "shortname": "All Applications"}, "IHCP" : {"fullname" : "Immunohistochemistry (Formalin/PFA-fixed paraffin-embedded sections)", "shortname":"IHC-P"}, "IP" : {"fullname" : "Immunoprecipitation", "shortname":"IP"}, "ChIP" : {"fullname" : "ChIP", "shortname":"ChIP"}, "WB" : {"fullname" : "Western blot", "shortname":"WB"}, "ICCIF" : {"fullname" : "Immunocytochemistry/ Immunofluorescence", "shortname":"ICC/IF"}, "FlowCytIntra" : {"fullname" : "Flow Cytometry (Intracellular)", "shortname":"Flow Cyt (Intra)"} }, "product-promise": { "all": "all", "testedAndGuaranteed": "tested", "guaranteed": "expected", "predicted": "predicted", "notRecommended": "not-recommended" } }, "values": { "Human": { "IHCP-species-checked": "testedAndGuaranteed", "IHCP-species-dilution-info": "1/50 - 1/100", "IHCP-species-notes": "<p></p> Perform heat-mediated antigen retrieval with citrate buffer pH 6 before commencing with IHC staining protocol.", "IP-species-checked": "testedAndGuaranteed", "IP-species-dilution-info": "1/40 - 1/60", "IP-species-notes": "<p></p>", "ChIP-species-checked": "testedAndGuaranteed", "ChIP-species-dilution-info": "", "ChIP-species-notes": "<p></p>", "WB-species-checked": "testedAndGuaranteed", "WB-species-dilution-info": "1/1000 - 1/10000", "WB-species-notes": "<p></p>", "ICCIF-species-checked": "testedAndGuaranteed", "ICCIF-species-dilution-info": "1/250", "ICCIF-species-notes": "<p></p>", "FlowCytIntra-species-checked": "testedAndGuaranteed", "FlowCytIntra-species-dilution-info": "1/20 - 1/40", "FlowCytIntra-species-notes": "<p><a href='/en-us/products/primary-antibodies/rabbit-igg-monoclonal-epr25a-isotype-control-ab172730'>ab172730</a> - Rabbit monoclonal IgG, is suitable for use as an isotype control with this antibody.</p>" }, "Mouse": { "IHCP-species-checked": "guaranteed", "IHCP-species-dilution-info": "", "IHCP-species-notes": "", "IP-species-checked": "testedAndGuaranteed", "IP-species-dilution-info": "1/40 - 1/60", "IP-species-notes": "<p></p>", "ChIP-species-checked": "testedAndGuaranteed", "ChIP-species-dilution-info": "", "ChIP-species-notes": "<p></p>", "WB-species-checked": "guaranteed", "WB-species-dilution-info": "", "WB-species-notes": "", "ICCIF-species-checked": "guaranteed", "ICCIF-species-dilution-info": "", "ICCIF-species-notes": "", "FlowCytIntra-species-checked": "guaranteed", "FlowCytIntra-species-dilution-info": "", "FlowCytIntra-species-notes": "" }, "Rat": { "IHCP-species-checked": "guaranteed", "IHCP-species-dilution-info": "", "IHCP-species-notes": "", "IP-species-checked": "guaranteed", "IP-species-dilution-info": "", "IP-species-notes": "", "ChIP-species-checked": "guaranteed", "ChIP-species-dilution-info": "", "ChIP-species-notes": "", "WB-species-checked": "testedAndGuaranteed", "WB-species-dilution-info": "1/1000 - 1/10000", "WB-species-notes": "<p></p>", "ICCIF-species-checked": "guaranteed", "ICCIF-species-dilution-info": "", "ICCIF-species-notes": "", "FlowCytIntra-species-checked": "guaranteed", "FlowCytIntra-species-dilution-info": "", "FlowCytIntra-species-notes": "" } } }

Product details

Patented technology
Our RabMAb® technology is a patented hybridoma-based technology for making rabbit monoclonal antibodies. For details on our patents, please refer to RabMAb® patents.

What are the advantages of a recombinant monoclonal antibody?
This product is a recombinant monoclonal antibody, which offers several advantages including:

  • - High batch-to-batch consistency and reproducibility
  • - Improved sensitivity and specificity
  • - Long-term security of supply
  • - Animal-free batch production

For more information, read more on recombinant antibodies.

Properties and storage information

Form
Liquid
Purification technique
Affinity purification Protein A
Storage buffer
pH: 7.2 - 7.4 Preservative: 0.01% Sodium azide Constituents: PBS, 40% Glycerol (glycerin, glycerine), 0.05% BSA
Shipped at conditions
Blue Ice
Appropriate short-term storage duration
1-2 weeks
Appropriate short-term storage conditions
+4°C
Appropriate long-term storage conditions
-20°C
Aliquoting information
Upon delivery aliquot
Storage information
Avoid freeze / thaw cycle

Supplementary information

This supplementary information is collated from multiple sources and compiled automatically.

RYBP also known as Ring1 and YY1 Binding Protein has a critical mechanical role in gene regulation. It has a molecular weight of approximately 28 kDa. It is a part of the Polycomb group (PcG) proteins which take part in chromatin remodeling to regulate gene expression. RYBP is found in the nucleus of cells and is known to bind DNA directly. Its expression occurs widely across various tissues indicating its broad involvement in cellular functions.
Biological function summary

This protein actively participates in maintaining transcriptional repression through its involvement in the Polycomb Repressive Complex 1 (PRC1). PRC1 includes other key proteins such as Ring1A/B and CBX proteins which work together to modulate chromatin structure. RYBP contributes to the ubiquitination of histone H2A a process essential for maintaining gene silencing. This activity is important during developmental stages influencing cell fate decisions and lineage commitment.

Pathways

RYBP plays an essential role in the regulation of the Wnt signaling pathway and the apoptosis pathway. Within the Wnt pathway RYBP acts in part by interacting with proteins such as β-catenin influencing cell proliferation and differentiation. In the apoptosis pathway it is involved through its interactions with E3 ubiquitin ligases potentially affecting cell death regulation. These pathways showcase how RYBP integrates into important cellular processes impacting cellular homeostasis.

RYBP has connections to cancer and neurodevelopmental disorders. Its altered expression is linked to tumor progression where it interacts with other PcG proteins like EZH2 often showing overexpression in cancers. These interactions can lead to abnormal gene silencing contributing to oncogenesis. In neurodevelopmental contexts disruptions in RYBP's function are associated with changes in neural differentiation and might correlate with disorders like autism spectrum disorders highlighting its broader relevance beyond typical gene expression roles.

Product protocols

For this product, it's our understanding that no specific protocols are required. You can visit:

Target data

Component of a Polycomb group (PcG) multiprotein PRC1-like complex, a complex class required to maintain the transcriptionally repressive state of many genes, including Hox genes, throughout development. PcG PRC1-like complex acts via chromatin remodeling and modification of histones; it mediates monoubiquitination of histone H2A 'Lys-119', rendering chromatin heritably changed in its expressibility (PubMed : 25519132). Component of a PRC1-like complex that mediates monoubiquitination of histone H2A 'Lys-119' on the X chromosome and is required for normal silencing of one copy of the X chromosome in XX females. May stimulate ubiquitination of histone H2A 'Lys-119' by recruiting the complex to target sites (By similarity). Inhibits ubiquitination and subsequent degradation of TP53, and thereby plays a role in regulating transcription of TP53 target genes (PubMed : 19098711). May also regulate the ubiquitin-mediated proteasomal degradation of other proteins like FANK1 to regulate apoptosis (PubMed : 14765135, PubMed : 27060496). May be implicated in the regulation of the transcription as a repressor of the transcriptional activity of E4TF1 (PubMed : 11953439). May bind to DNA (By similarity). May play a role in the repression of tumor growth and metastasis in breast cancer by down-regulating SRRM3 (PubMed : 27748911).
See full target information RYBP

Publications (7)

Recent publications for all applications. Explore the full list and refine your search

Stem cells translational medicine 14: PubMed40627336

2025

Use of adipose-derived stem cells on decellularized bladder scaffolds for functional bladder mucosa regeneration.

Applications

Unspecified application

Species

Unspecified reactive species

Cesar Ulises Monjaras-Avila,Ana Cecilia Luque-Badillo,Nicholas J Carr,Anthony A Papp,Alan I So,Claudia Chavez-Munoz

International journal of molecular sciences 23: PubMed36233063

2022

RYBP Sensitizes Cancer Cells to PARP Inhibitors by Regulating ATM Activity.

Applications

Unspecified application

Species

Unspecified reactive species

Deanna V Maybee,Alexandra Maria Psaras,Tracy A Brooks,Mohammad A M Ali

Science advances 8:eabk0013 PubMed35333572

2022

Genome-wide screening identifies Polycomb repressive complex 1.3 as an essential regulator of human naïve pluripotent cell reprogramming.

Applications

Unspecified application

Species

Unspecified reactive species

Amanda J Collier,Adam Bendall,Charlene Fabian,Andrew A Malcolm,Katarzyna Tilgner,Claudia I Semprich,Katarzyna Wojdyla,Paola Serena Nisi,Kamal Kishore,Valar Nila Roamio Franklin,Bahar Mirshekar-Syahkal,Clive D'Santos,Kathrin Plath,Kosuke Yusa,Peter J Rugg-Gunn

eLife 11: PubMed34994686

2022

PRC1 sustains the integrity of neural fate in the absence of PRC2 function.

Applications

Unspecified application

Species

Unspecified reactive species

Ayana Sawai,Sarah Pfennig,Milica Bulajić,Alexander Miller,Alireza Khodadadi-Jamayran,Esteban O Mazzoni,Jeremy S Dasen

Molecular oncology 16:648-664 PubMed34665919

2021

The transcribed ultraconserved region uc.160+ enhances processing and A-to-I editing of the miR-376 cluster: hypermethylation improves glioma prognosis.

Applications

Unspecified application

Species

Unspecified reactive species

Marta Soler,Veronica Davalos,Anaís Sánchez-Castillo,Carlos Mora-Martinez,Fernando Setién,Edilene Siqueira,Manuel Castro de Moura,Manel Esteller,Sonia Guil

Life science alliance 4: PubMed33361335

2020

The chromatin landscape of primary synovial sarcoma organoids is linked to specific epigenetic mechanisms and dependencies.

Applications

Unspecified application

Species

Unspecified reactive species

Gaylor Boulay,Luisa Cironi,Sara P Garcia,Shruthi Rengarajan,Yu-Hang Xing,Lukuo Lee,Mary E Awad,Beverly Naigles,Sowmya Iyer,Liliane C Broye,Tugba Keskin,Alexandra Cauderay,Carlo Fusco,Igor Letovanec,Ivan Chebib,Petur Gunnalugur Nielsen,Stéphane Tercier,Stéphane Cherix,Tu Nguyen-Ngoc,Gregory Cote,Edwin Choy,Paolo Provero,Mario L Suvà,Miguel N Rivera,Ivan Stamenkovic,Nicolò Riggi

Cell cycle (Georgetown, Tex.) 19:1492-1501 PubMed32324084

2020

Rybp orchestrates spermatogenesis via regulating meiosis and sperm motility in mice.

Applications

Unspecified application

Species

Unspecified reactive species

Qing Tian,Shi-Meng Guo,Shi-Ming Xie,Ying Yin,Li-Quan Zhou
View all publications

Product promise

We are committed to supporting your work with high-quality reagents, and we're here for you every step of the way. In the unlikely event that one of our products does not perform as expected, you're protected by our Product Promise.
For full details, please see our Terms & Conditions

Please note: All products are 'FOR RESEARCH USE ONLY. NOT FOR USE IN DIAGNOSTIC OR THERAPEUTIC PROCEDURES'.

For licensing inquiries, please contact partnerships@abcam.com