JavaScript is disabled in your browser. Please enable JavaScript to view this website.
AB247877

Anti-S100 alpha 2/S100A2 antibody [EPR5392] - BSA and Azide free

5

(1 Review)

|

(1 Publication)

Rabbit Recombinant Monoclonal S100 alpha 2/S100A2 antibody. Carrier free. Suitable for IHC-P, ICC/IF, IP, WB, Flow Cyt (Intra) and reacts with Human samples. Cited in 1 publication.

View Alternative Names

S100L, S100A2, Protein S100-A2, CAN19, Protein S-100L, S100 calcium-binding protein A2

8 Images
Immunocytochemistry/ Immunofluorescence - Anti-S100 alpha 2/S100A2 antibody [EPR5392] - BSA and Azide free (AB247877)
  • ICC/IF

Lab

Immunocytochemistry/ Immunofluorescence - Anti-S100 alpha 2/S100A2 antibody [EPR5392] - BSA and Azide free (AB247877)

This data was developed using ab109494, the same antibody clone in a different buffer formulation. Immunocytochemistry/ Immunofluorescence analysis of A431 (Human epidermoid carcinoma epithelial cell) cells labeling S100 alpha 2 using ab109494. The cells were fixed with 100% Methanol then permeabilized with 0.1% Triton X-100. The cells were then incubated with ab109494 at 1 : 100 dilution followed by a further incubation with a Goat anti rabbit IgG (Alexa Fluor® 488, ab150077) at 2 μg/ml (shown in green). Nuclear DNA was labelled in blue with DAPI. Cells were counterstained using ab195889 Anti-alpha Tubulin antibody [DM1A] - Microtubule Marker (Alexa Fluor® 594) at 1 : 200 dilution (shown in red). Secondary antibody only control : PBS instead of the primary antibody.

Immunohistochemistry (Formalin/PFA-fixed paraffin-embedded sections) - Anti-S100 alpha 2/S100A2 antibody [EPR5392] - BSA and Azide free (AB247877)
  • IHC-P

Unknown

Immunohistochemistry (Formalin/PFA-fixed paraffin-embedded sections) - Anti-S100 alpha 2/S100A2 antibody [EPR5392] - BSA and Azide free (AB247877)

This data was developed using ab109494, the same antibody clone in a different buffer formulation.

ab109494 at 1/250 dilution staining S100 alpha 2/S100A2 in paraffin-embedded Human squamous cell cervical carcinoma tissue

Perform heat mediated antigen retrieval via the pressure cooker method before commencing with IHC staining protocol.

Flow Cytometry (Intracellular) - Anti-S100 alpha 2/S100A2 antibody [EPR5392] - BSA and Azide free (AB247877)
  • Flow Cyt (Intra)

Unknown

Flow Cytometry (Intracellular) - Anti-S100 alpha 2/S100A2 antibody [EPR5392] - BSA and Azide free (AB247877)

This data was developed using ab109494, the same antibody clone in a different buffer formulation.Overlay histogram showing A431 cells stained with ab109494 (red line). The cells were fixed with 80% methanol (5 min) and then permeabilized with 0.1% PBS-Tween for 20 min. The cells were then incubated in 1x PBS / 10% normal goat serum / 0.3M glycine to block non-specific protein-protein interactions followed by the antibody (ab109494, 1/1000 dilution) for 30 min at 22°C. The secondary antibody used was Alexa Fluor® 488 goat anti-rabbit IgG (H&L) (ab150077) at 1/2000 dilution for 30 min at 22°C. Isotype control antibody (black line) was rabbit IgG (monoclonal) (0.1µg/1x106 cells) used under the same conditions. Unlabelled sample (blue line) was also used as a control. Acquisition of >5,000 events were collected using a 20mW Argon ion laser (488nm) and 525/30 bandpass filter.

Immunohistochemistry (Formalin/PFA-fixed paraffin-embedded sections) - Anti-S100 alpha 2/S100A2 antibody [EPR5392] - BSA and Azide free (AB247877)
  • IHC-P

Lab

Immunohistochemistry (Formalin/PFA-fixed paraffin-embedded sections) - Anti-S100 alpha 2/S100A2 antibody [EPR5392] - BSA and Azide free (AB247877)

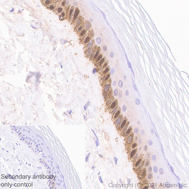
This data was developed using ab109494, the same antibody clone in a different buffer formulation. Immunohistochemical analysis of Paraffin-embedded sections human skin tissue labelling S100 alpha 2 with ab109494 at 1/1000 dilution, followed by a ready to use secondary Rabbit specific IHC polymer detection kit HRP/DAB (ab209101). Staining on human skin tissue is observed. Counter stained with Haematoxylin. Secondary antibody only control : Used PBS instead of primary antibody, secondary antibody is ready to use Rabbit specific IHC polymer detection kit HRP/DAB (ab209101). Heat mediated antigen retrieval using Bond™ Epitope Retrieval Solution 2 (pH 9.0). The immunostaining was performed on a Leica Biosystems BOND® RX instrument.

Immunohistochemistry (Formalin/PFA-fixed paraffin-embedded sections) - Anti-S100 alpha 2/S100A2 antibody [EPR5392] - BSA and Azide free (AB247877)
  • IHC-P

Lab

Immunohistochemistry (Formalin/PFA-fixed paraffin-embedded sections) - Anti-S100 alpha 2/S100A2 antibody [EPR5392] - BSA and Azide free (AB247877)

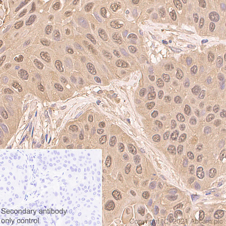
This data was developed using ab109494, the same antibody clone in a different buffer formulation. Immunohistochemical analysis of Paraffin-embedded sections human lung carcinoma tissue labelling S100 alpha 2 with ab109494 at 1/1000 dilution, followed by a ready to use secondary Rabbit specific IHC polymer detection kit HRP/DAB (ab209101). Staining on human lung carcinoma tissue is observed. Counter stained with Haematoxylin. Secondary antibody only control : Used PBS instead of primary antibody, secondary antibody is ready to use Rabbit specific IHC polymer detection kit HRP/DAB (ab209101). Heat mediated antigen retrieval using Bond™ Epitope Retrieval Solution 2 (pH 9.0). The immunostaining was performed on a Leica Biosystems BOND® RX instrument.

Flow Cytometry (Intracellular) - Anti-S100 alpha 2/S100A2 antibody [EPR5392] - BSA and Azide free (AB247877)
  • Flow Cyt (Intra)

Lab

Flow Cytometry (Intracellular) - Anti-S100 alpha 2/S100A2 antibody [EPR5392] - BSA and Azide free (AB247877)
Immunoprecipitation - Anti-S100 alpha 2/S100A2 antibody [EPR5392] - BSA and Azide free (AB247877)
  • IP

Lab

Immunoprecipitation - Anti-S100 alpha 2/S100A2 antibody [EPR5392] - BSA and Azide free (AB247877)

This data was developed using ab109494, the same antibody clone in a different buffer formulation.

S100 alpha 2/S100A2 was immunoprecipitated from 0.35 mg HaCaT (Human skin keratinocyte) whole cell lysate 10 μg with ab109494 at 1/20 dilution (1μg). VeriBlot for IP Detection Reagent (HRP) (ab131366) was used at 1/5000 dilution.

Lane 1 : HaCaT (Human skin keratinocyte) whole cell lysate 10 μg

Lane 2 : ab109494 IP in HaCaT whole cell lysate

Lane 3 : Rabbit monoclonal IgG (ab172730) instead of ab109494 in HaCaT whole cell lysate

Blocking and dilution buffer and concentration : 5% NFDM/TBST.

All lanes:

Immunoprecipitation - Anti-S100 alpha 2/S100A2 antibody [EPR5392] (<a href='/en-us/products/primary-antibodies/s100-alpha-2-s100a2-antibody-epr5392-ab109494'>ab109494</a>)

Predicted band size: 11 kDa

Observed band size: 11 kDa

false

Western blot - Anti-S100 alpha 2/S100A2 antibody [EPR5392] - BSA and Azide free (AB247877)
  • WB

Lab

Western blot - Anti-S100 alpha 2/S100A2 antibody [EPR5392] - BSA and Azide free (AB247877)

All lanes:

Western blot - Anti-S100 alpha 2/S100A2 antibody [EPR5392] (<a href='/en-us/products/primary-antibodies/s100-alpha-2-s100a2-antibody-epr5392-ab109494'>ab109494</a>) at 1/1000 dilution

Lane 1:

HeLa (Human cervix adenocarcinoma epithelial cell) whole cell lysate at 20 µg

Lane 2:

HaCaT (Human skin keratinocyte) whole cell lysate at 15 µg

Lane 3:

BxPC-3 (Human pancreas adenocarcinoma epithelial cell) whole cell lysate at 15 µg

Lane 4:

A431 (Human epidermoid carcinoma epithelial cell) whole cell lysate at 15 µg

Secondary

All lanes:

Western blot - Goat Anti-Rabbit IgG H&L (HRP) (<a href='/en-us/products/secondary-antibodies/goat-rabbit-igg-h-l-hrp-ab97051'>ab97051</a>) at 1/20000 dilution

Predicted band size: 11 kDa

Observed band size: 11 kDa

false

  • Unconjugated

    Anti-S100 alpha 2/S100A2 antibody [EPR5392]

  • 775 Alexa Fluor® 750

    Alexa Fluor® 750 Anti-S100 alpha 2/S100A2 antibody [EPR5392]

  • 578 PE

    PE Anti-S100 alpha 2 antibody [EPR5392]

  • 660 APC

    APC Anti-S100 alpha 2 antibody [EPR5392]

  • 519 Alexa Fluor® 488

    Alexa Fluor® 488 Anti-S100 alpha 2 antibody [EPR5392]

  • 603 Alexa Fluor® 568

    Alexa Fluor® 568 Anti-S100 alpha 2/S100A2 antibody [EPR5392]

  • 565 Alexa Fluor® 555

    Alexa Fluor® 555 Anti-S100 alpha 2 antibody [EPR5392]

  • HRP

    HRP Anti-S100 alpha 2 antibody [EPR5392]

  • 665 Alexa Fluor® 647

    Alexa Fluor® 647 Anti-S100 alpha 2 antibody [EPR5392]

  • 617 Alexa Fluor® 594

    Alexa Fluor® 594 Anti-S100 alpha 2 antibody [EPR5392]

Key facts

Host species

Rabbit

Clonality

Monoclonal

Clone number

EPR5392

Isotype

IgG

Carrier free

Yes

Reacts with

Human

Applications

Flow Cyt (Intra), IHC-P, WB, IP, ICC/IF

applications

Immunogen

The exact immunogen used to generate this antibody is proprietary information.

Reactivity data

{ "title": "Reactivity Data", "filters": { "stats": ["", "Species", "Dilution Info", "Notes"], "tabs": { "all-applications": {"fullname" : "All Applications", "shortname": "All Applications"}, "IHCP" : {"fullname" : "Immunohistochemistry (Formalin/PFA-fixed paraffin-embedded sections)", "shortname":"IHC-P"}, "ICCIF" : {"fullname" : "Immunocytochemistry/ Immunofluorescence", "shortname":"ICC/IF"}, "IP" : {"fullname" : "Immunoprecipitation", "shortname":"IP"}, "WB" : {"fullname" : "Western blot", "shortname":"WB"}, "FlowCytIntra" : {"fullname" : "Flow Cytometry (Intracellular)", "shortname":"Flow Cyt (Intra)"} }, "product-promise": { "all": "all", "testedAndGuaranteed": "tested", "guaranteed": "expected", "predicted": "predicted", "notRecommended": "not-recommended" } }, "values": { "Human": { "IHCP-species-checked": "testedAndGuaranteed", "IHCP-species-dilution-info": "", "IHCP-species-notes": "<p></p>", "ICCIF-species-checked": "testedAndGuaranteed", "ICCIF-species-dilution-info": "", "ICCIF-species-notes": "<p></p>", "IP-species-checked": "testedAndGuaranteed", "IP-species-dilution-info": "", "IP-species-notes": "<p></p>", "WB-species-checked": "testedAndGuaranteed", "WB-species-dilution-info": "", "WB-species-notes": "<p></p>", "FlowCytIntra-species-checked": "testedAndGuaranteed", "FlowCytIntra-species-dilution-info": "", "FlowCytIntra-species-notes": "<p></p>" } } }

Product details

ab247877 is the carrier-free version of ab109494.

Species reactivity
Mouse, Rat: We have preliminary internal testing data to indicate this antibody may not react with these species.
Please contact us for more information.

Patented technology
Our RabMAb® technology is a patented hybridoma-based technology for making rabbit monoclonal antibodies. For details on our patents, please refer to RabMAb® patents.

What are the advantages of a recombinant monoclonal antibody?
This product is a recombinant monoclonal antibody, which offers several advantages including:

  • - High batch-to-batch consistency and reproducibility
  • - Improved sensitivity and specificity
  • - Long-term security of supply
  • - Animal-free batch production

For more information, read more on recombinant antibodies.

Conjugation ready
Our carrier-free antibodies are typically supplied in a PBS-only formulation, purified and free of BSA, sodium azide and glycerol. This conjugation-ready format is designed for use with fluorochromes, metal isotopes, oligonucleotides, and enzymes, which makes them ideal for antibody labelling, functional and cell-based assays, flow-based assays (e.g. mass cytometry) and Multiplex Imaging applications.

Use our conjugation kits for antibody conjugates that are ready-to-use in as little as 20 minutes with 1 minute hands-on-time and 100% antibody recovery: available for fluorescent dyes, HRP, biotin and gold.

Compatibility
This product is compatible with the Maxpar® Antibody Labeling Kit from Fluidigm, without the need for antibody preparation. Maxpar® is a trademark of Fluidigm Canada Inc.

Properties and storage information

Form
Liquid
Purification technique
Affinity purification Protein A
Storage buffer
pH: 7.2 - 7.4 Constituents: PBS
Shipped at conditions
Blue Ice
Appropriate short-term storage conditions
+4°C
Appropriate long-term storage conditions
+4°C
Storage information
Do Not Freeze

Supplementary information

This supplementary information is collated from multiple sources and compiled automatically.

S100 alpha 2 also known as S100A2 or CAN19 is a calcium-binding protein that plays a role in the regulation of cell functions. It's part of the S100 protein family and has a mass of approximately 11 kDa. S100A2 is expressed in a variety of tissues including epidermal cells and lung tissue suggesting its involvement in diverse cellular processes. The presence in these tissues indicates a potential role in both skin biology and respiratory system functions.
Biological function summary

S100A2 influences cell proliferation differentiation and apoptosis. It acts by modulating the activity of target proteins through a calcium-dependent mechanism. Though S100A2 is not known to form a complex with other proteins for its function it interacts with key cell growth regulators affecting cellular responses to external signals. The precise modulation of these processes implicates S100A2 in the maintenance of normal tissue homeostasis and cell cycle regulation.

Pathways

S100A2 participates in signal transduction pathways such as the MAPK/ERK and p53 pathways. In the MAPK/ERK pathway S100A2 regulates cell cycle progression and cellular responses to growth factors. Additionally in the p53 pathway S100A2 plays a role in apoptosis and tumor suppression. S100A2’s function links it to interaction with critical proteins such as p53 influencing both stress response and genomic stability.

S100A2 relates to cancer progression and pulmonary diseases. Altered expression levels of S100A2 have been observed in lung cancer and some skin cancers where it may act as a tumor suppressor. In pulmonary conditions its expression affects tissue responses under pathological states. The interaction of S100A2 with proteins like p53 in these disorders suggests a pivotal role in mediating stress responses and regulating tumor growth providing potential therapeutic targets.

Product protocols

For this product, it's our understanding that no specific protocols are required. You can visit:

Target data

May function as calcium sensor and modulator, contributing to cellular calcium signaling. May function by interacting with other proteins, such as TPR-containing proteins, and indirectly play a role in many physiological processes. May also play a role in suppressing tumor cell growth.
See full target information S100A2

Publications (1)

Recent publications for all applications. Explore the full list and refine your search

Clinical cancer research : an official journal of the American Association for Cancer Research 31:756-772 PubMed39636224

2024

Human Pancreatic Cancer Single-Cell Atlas Reveals Association of CXCL10+ Fibroblasts and Basal Subtype Tumor Cells.

Applications

Unspecified application

Species

Unspecified reactive species

Ian M Loveless,Samantha B Kemp,Kailee M Hartway,Jacob T Mitchell,Yuesong Wu,Samuel D Zwernik,Daniel James Salas-Escabillas,Sydney Brender,Madison George,Yetunde Makinwa,Thais Stockdale,Kendyll Gartrelle,Rohit G Reddy,Daniel W Long,Allison Wombwell,Julie M Clark,Albert M Levin,David Kwon,Ling Huang,Ralph Francescone,Débora B Vendramini-Costa,Ben Z Stanger,Adam Alessio,Andrew M Waters,Yuehua Cui,Elana J Fertig,Luciane T Kagohara,Brian Theisen,Howard C Crawford,Nina G Steele
View all publications

Product promise

We are committed to supporting your work with high-quality reagents, and we're here for you every step of the way. In the unlikely event that one of our products does not perform as expected, you're protected by our Product Promise.
For full details, please see our Terms & Conditions

Please note: All products are 'FOR RESEARCH USE ONLY. NOT FOR USE IN DIAGNOSTIC OR THERAPEUTIC PROCEDURES'.

For licensing inquiries, please contact partnerships@abcam.com