JavaScript is disabled in your browser. Please enable JavaScript to view this website.
AB250543

Anti-S100 alpha 6/PRA antibody [EPR13084-69] - BSA and Azide free

Be the first to review this product! Submit a review

|

(2 Publications)

Rabbit Recombinant Monoclonal S100 alpha 6/PRA antibody. Carrier free. Suitable for IP, WB, ICC/IF, Flow Cyt (Intra), IHC-P and reacts with Human, Mouse, Rat samples. Cited in 2 publications.

View Alternative Names

CACY, S100A6, Protein S100-A6, Calcyclin, Growth factor-inducible protein 2A9, MLN 4, Prolactin receptor-associated protein, S100 calcium-binding protein A6, PRA

8 Images
Immunocytochemistry/ Immunofluorescence - Anti-S100 alpha 6/PRA antibody [EPR13084-69] - BSA and Azide free (AB250543)
  • ICC/IF

Supplier Data

Immunocytochemistry/ Immunofluorescence - Anti-S100 alpha 6/PRA antibody [EPR13084-69] - BSA and Azide free (AB250543)

This data was developed using ab181975, the same antibody clone in a different buffer formulation.
Immunocytochemistry analysis of A549 (Human lung carcinoma epithelial cell) cells labeling S100 alpha 6/PRA with purified ab181975 at 1 : 250 dilution (0.66 µg/ml). Cells were fixed in 4% Paraformaldehyde and permeabilized with 0.1% tritonX-100. Cells were counterstained with Anti-alpha Tubulin antibody [DM1A] - Microtubule Marker (Alexa Fluor® 594) at 1/200 dilution (2.5 µg/ml) (ab195889) (red). Goat anti-rabbit IgG (Alexa Fluor® 488) (ab150077) was used as the secondary antibody at 1 : 1000 (2 µg/ml) dilution. DAPI (blue) was used as a nuclear counterstain. PBS instead of the primary antibody was used as the secondary antibody only control.

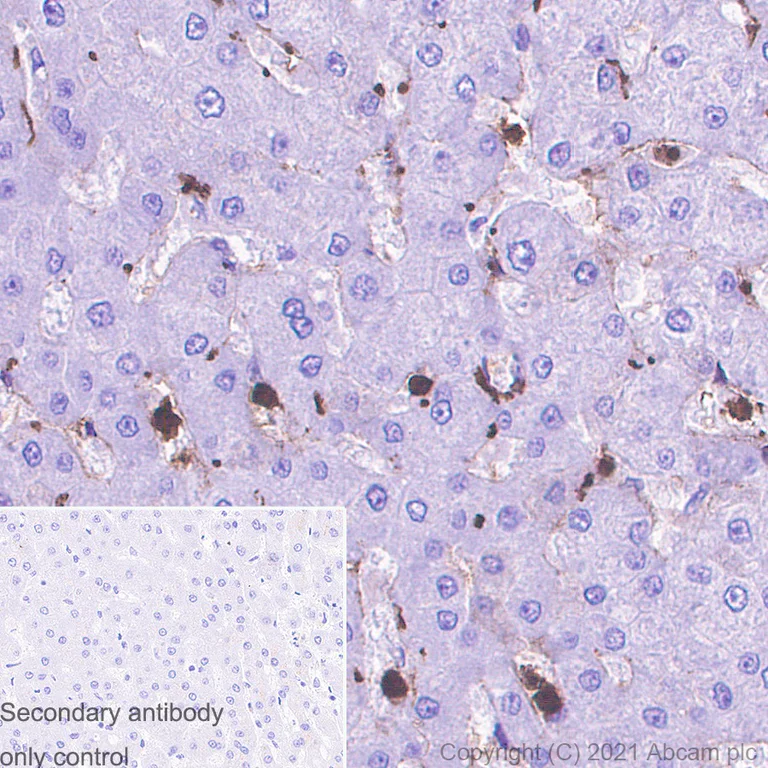
Immunohistochemistry (Formalin/PFA-fixed paraffin-embedded sections) - Anti-S100 alpha 6/PRA antibody [EPR13084-69] - BSA and Azide free (AB250543)
  • IHC-P

Supplier Data

Immunohistochemistry (Formalin/PFA-fixed paraffin-embedded sections) - Anti-S100 alpha 6/PRA antibody [EPR13084-69] - BSA and Azide free (AB250543)

This data was developed using ab181975, the same antibody clone in a different buffer formulation.
Immunohistochemistry (Formalin/PFA-fixed paraffin-embedded sections) analysis of human liver tissue sections labeling S100 alpha 6/PRA with purified ab181975 at 1 : 4000 (0.04 μg/ml). Heat mediated antigen retrieval was performed using Bond™ Epitope Retrieval Solution 2 (pH 9.0). Tissue was counterstained with Hematoxylin. Rabbit specific IHC polymer detection kit HRP/DAB (ab209101) was used. PBS instead of the primary antibody was used as the negative control. The immunostaining was performed on a Leica Biosystems BOND® RX instrument.

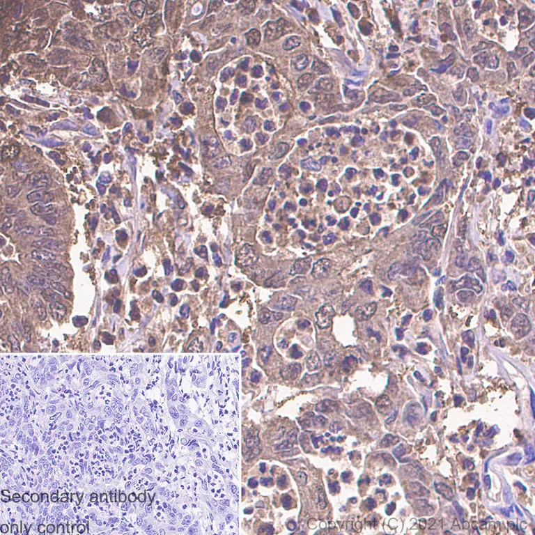
Immunohistochemistry (Formalin/PFA-fixed paraffin-embedded sections) - Anti-S100 alpha 6/PRA antibody [EPR13084-69] - BSA and Azide free (AB250543)
  • IHC-P

Supplier Data

Immunohistochemistry (Formalin/PFA-fixed paraffin-embedded sections) - Anti-S100 alpha 6/PRA antibody [EPR13084-69] - BSA and Azide free (AB250543)

This data was developed using ab181975, the same antibody clone in a different buffer formulation.
Immunohistochemistry (Formalin/PFA-fixed paraffin-embedded sections) analysis of human gastric carcinoma tissue sections labeling S100 alpha 6/PRA with purified ab181975 at 1 : 4000 (0.04 μg/ml). Heat mediated antigen retrieval was performed using Bond™ Epitope Retrieval Solution 2 (pH 9.0). Tissue was counterstained with Hematoxylin. Rabbit specific IHC polymer detection kit HRP/DAB (ab209101) was used. PBS instead of the primary antibody was used as the negative control. The immunostaining was performed on a Leica Biosystems BOND® RX instrument.

Flow Cytometry (Intracellular) - Anti-S100 alpha 6/PRA antibody [EPR13084-69] - BSA and Azide free (AB250543)
  • Flow Cyt (Intra)

Supplier Data

Flow Cytometry (Intracellular) - Anti-S100 alpha 6/PRA antibody [EPR13084-69] - BSA and Azide free (AB250543)

This data was developed using ab181975, the same antibody clone in a different buffer formulation.
Flow Cytometry analysis of HeLa (Human cervix adenocarcinoma epithelial cell) cells labelling S100 alpha 6/PRA with purified ab181975 at 1/20 dilution (10 µg/ml) (red). Cells were fixed with 4% Paraformaldehyde and permeabilised with 90% Methanol. A Goat anti-rabbit IgG (Alexa Fluor® 488) (ab150081) secondary antibody was used at 1/2000. Isotype control - Rabbit monoclonal IgG (black). Unlabelled control - Cell without incubation with primary antibody and secondary antibody (blue).

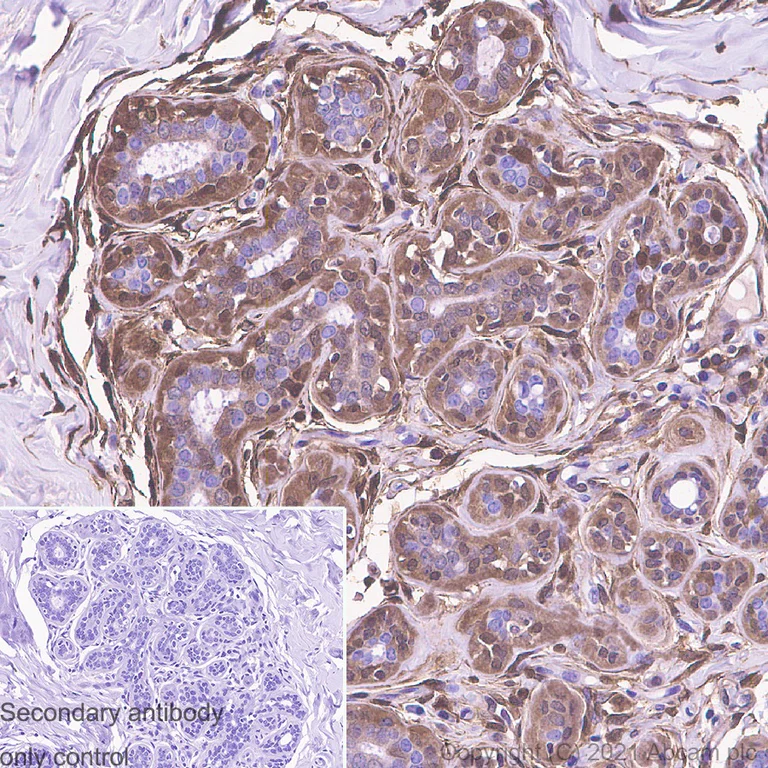
Immunohistochemistry (Formalin/PFA-fixed paraffin-embedded sections) - Anti-S100 alpha 6/PRA antibody [EPR13084-69] - BSA and Azide free (AB250543)
  • IHC-P

Supplier Data

Immunohistochemistry (Formalin/PFA-fixed paraffin-embedded sections) - Anti-S100 alpha 6/PRA antibody [EPR13084-69] - BSA and Azide free (AB250543)

This data was developed using ab181975, the same antibody clone in a different buffer formulation.
Immunohistochemistry (Formalin/PFA-fixed paraffin-embedded sections) analysis of human breast tissue sections labeling S100 alpha 6/PRA with purified ab181975 at 1 : 4000 (0.04 μg/ml). Heat mediated antigen retrieval was performed using Bond™ Epitope Retrieval Solution 2 (pH 9.0). Tissue was counterstained with Hematoxylin. Rabbit specific IHC polymer detection kit HRP/DAB (ab209101) was used. PBS instead of the primary antibody was used as the negative control. The immunostaining was performed on a Leica Biosystems BOND® RX instrument.

Immunoprecipitation - Anti-S100 alpha 6/PRA antibody [EPR13084-69] - BSA and Azide free (AB250543)
  • IP

Supplier Data

Immunoprecipitation - Anti-S100 alpha 6/PRA antibody [EPR13084-69] - BSA and Azide free (AB250543)

This data was developed using ab181975, the same antibody clone in a different buffer formulation.
Purified ab181975 at 1/20 dilution (0.8 μg) immunoprecipitating S100 alpha 6/PRA in HeLa whole cell lysate.
Lane 1 (input) : HeLa (Human cervix adenocarcinoma epithelial cell) whole cell lysate 10 μg.
Lane 2 (+) : ab181975 + HeLa whole cell lysate.
Lane 3 (-) : Rabbit monoclonal IgG (ab172730) instead of ab181975 in HeLa whole cell lysate.
VeriBlot for IP Detection Reagent (HRP) (ab131366) (1/1000 dilution) was used for Western blotting.
Blocking Buffer and concentration : 5% NFDM/TBST.
Diluting buffer and concentration : 5% NFDM/TBST.
Observed band size : 10 kDa

All lanes:

Immunoprecipitation - Anti-S100 alpha 6/PRA antibody [EPR13084-69] (<a href='/en-us/products/primary-antibodies/s100-alpha-6-pra-antibody-epr13084-69-ab181975'>ab181975</a>)

Predicted band size: 10 kDa

false

Western blot - Anti-S100 alpha 6/PRA antibody [EPR13084-69] - BSA and Azide free (AB250543)
  • WB

Supplier Data

Western blot - Anti-S100 alpha 6/PRA antibody [EPR13084-69] - BSA and Azide free (AB250543)

This data was developed using ab181975, the same antibody clone in a different buffer formulation.

All lanes:

Western blot - Anti-S100 alpha 6/PRA antibody [EPR13084-69] (<a href='/en-us/products/primary-antibodies/s100-alpha-6-pra-antibody-epr13084-69-ab181975'>ab181975</a>) at 1/1000 dilution

Lane 1:

HeLa (Human cervix adenocarcinoma epithelial cell) whole cell lysate at 15 µg

Lane 2:

Human lung lysate at 20 µg

Secondary

All lanes:

Western blot - Goat Anti-Rabbit IgG H&L (HRP) (<a href='/en-us/products/secondary-antibodies/goat-rabbit-igg-h-l-hrp-ab97051'>ab97051</a>) at 1/20000 dilution

Predicted band size: 10 kDa

Observed band size: 10 kDa

false

Western blot - Anti-S100 alpha 6/PRA antibody [EPR13084-69] - BSA and Azide free (AB250543)
  • WB

Supplier Data

Western blot - Anti-S100 alpha 6/PRA antibody [EPR13084-69] - BSA and Azide free (AB250543)

This data was developed using ab181975, the same antibody clone in a different buffer formulation.

All lanes:

Western blot - Anti-S100 alpha 6/PRA antibody [EPR13084-69] (<a href='/en-us/products/primary-antibodies/s100-alpha-6-pra-antibody-epr13084-69-ab181975'>ab181975</a>) at 1/1000 dilution

Lane 1:

Mouse heart lysate at 20 µg

Lane 2:

Mouse kidney lysate at 20 µg

Lane 3:

Mouse spleen lysate at 20 µg

Lane 4:

RAW 264.7 (Mouse Abelson murine leukemia virus-induced tumor macrophage) whole cell lysate at 20 µg

Lane 5:

Rat kidney lysate at 20 µg

Secondary

All lanes:

Western blot - Goat Anti-Rabbit IgG H&L (HRP) (<a href='/en-us/products/secondary-antibodies/goat-rabbit-igg-h-l-hrp-ab97051'>ab97051</a>) at 1/20000 dilution

Predicted band size: 10 kDa

Observed band size: 10 kDa

false

  • Unconjugated

    Anti-S100 alpha 6/PRA antibody [EPR13084-69]

  • Carrier free

    Anti-S100 alpha 6/PRA antibody [EPR13084-69] - BSA and Azide free (Capture)

Key facts

Host species

Rabbit

Clonality

Monoclonal

Clone number

EPR13084-69

Isotype

IgG

Carrier free

Yes

Reacts with

Human, Mouse, Rat

Applications

IP, WB, Flow Cyt (Intra), ICC/IF, IHC-P

applications

Immunogen

The exact immunogen used to generate this antibody is proprietary information.

Reactivity data

{ "title": "Reactivity Data", "filters": { "stats": ["", "Species", "Dilution Info", "Notes"], "tabs": { "all-applications": {"fullname" : "All Applications", "shortname": "All Applications"}, "IP" : {"fullname" : "Immunoprecipitation", "shortname":"IP"}, "WB" : {"fullname" : "Western blot", "shortname":"WB"}, "ICCIF" : {"fullname" : "Immunocytochemistry/ Immunofluorescence", "shortname":"ICC/IF"}, "FlowCytIntra" : {"fullname" : "Flow Cytometry (Intracellular)", "shortname":"Flow Cyt (Intra)"}, "IHCP" : {"fullname" : "Immunohistochemistry (Formalin/PFA-fixed paraffin-embedded sections)", "shortname":"IHC-P"} }, "product-promise": { "all": "all", "testedAndGuaranteed": "tested", "guaranteed": "expected", "predicted": "predicted", "notRecommended": "not-recommended" } }, "values": { "Human": { "IP-species-checked": "testedAndGuaranteed", "IP-species-dilution-info": "", "IP-species-notes": "<p></p>", "WB-species-checked": "testedAndGuaranteed", "WB-species-dilution-info": "", "WB-species-notes": "<p></p>", "ICCIF-species-checked": "testedAndGuaranteed", "ICCIF-species-dilution-info": "", "ICCIF-species-notes": "<p></p>", "FlowCytIntra-species-checked": "testedAndGuaranteed", "FlowCytIntra-species-dilution-info": "", "FlowCytIntra-species-notes": "<p></p>", "IHCP-species-checked": "testedAndGuaranteed", "IHCP-species-dilution-info": "", "IHCP-species-notes": "<p></p>" }, "Mouse": { "IP-species-checked": "guaranteed", "IP-species-dilution-info": "", "IP-species-notes": "", "WB-species-checked": "testedAndGuaranteed", "WB-species-dilution-info": "", "WB-species-notes": "<p></p>", "ICCIF-species-checked": "guaranteed", "ICCIF-species-dilution-info": "", "ICCIF-species-notes": "", "FlowCytIntra-species-checked": "guaranteed", "FlowCytIntra-species-dilution-info": "", "FlowCytIntra-species-notes": "", "IHCP-species-checked": "notRecommended", "IHCP-species-dilution-info": "", "IHCP-species-notes": "<p></p>" }, "Rat": { "IP-species-checked": "guaranteed", "IP-species-dilution-info": "", "IP-species-notes": "", "WB-species-checked": "testedAndGuaranteed", "WB-species-dilution-info": "", "WB-species-notes": "<p></p>", "ICCIF-species-checked": "guaranteed", "ICCIF-species-dilution-info": "", "ICCIF-species-notes": "", "FlowCytIntra-species-checked": "guaranteed", "FlowCytIntra-species-dilution-info": "", "FlowCytIntra-species-notes": "", "IHCP-species-checked": "notRecommended", "IHCP-species-dilution-info": "", "IHCP-species-notes": "<p></p>" } } }

Product details

ab250543 is the carrier-free version of ab181975.

Patented technology
Our RabMAb® technology is a patented hybridoma-based technology for making rabbit monoclonal antibodies. For details on our patents, please refer to RabMAb® patents.

What are the advantages of a recombinant monoclonal antibody?
This product is a recombinant monoclonal antibody, which offers several advantages including:

  • - High batch-to-batch consistency and reproducibility
  • - Improved sensitivity and specificity
  • - Long-term security of supply
  • - Animal-free batch production

For more information, read more on recombinant antibodies.

Conjugation ready
Our carrier-free antibodies are typically supplied in a PBS-only formulation, purified and free of BSA, sodium azide and glycerol. This conjugation-ready format is designed for use with fluorochromes, metal isotopes, oligonucleotides, and enzymes, which makes them ideal for antibody labelling, functional and cell-based assays, flow-based assays (e.g. mass cytometry) and Multiplex Imaging applications.

Use our conjugation kits for antibody conjugates that are ready-to-use in as little as 20 minutes with 1 minute hands-on-time and 100% antibody recovery: available for fluorescent dyes, HRP, biotin and gold.

Compatibility
This product is compatible with the Maxpar® Antibody Labeling Kit from Fluidigm, without the need for antibody preparation. Maxpar® is a trademark of Fluidigm Canada Inc.

Properties and storage information

Form
Liquid
Purification technique
Affinity purification Protein A
Storage buffer
pH: 7.2 - 7.4 Constituents: PBS
Shipped at conditions
Blue Ice
Appropriate short-term storage conditions
+4°C
Appropriate long-term storage conditions
+4°C
Storage information
Do Not Freeze

Supplementary information

This supplementary information is collated from multiple sources and compiled automatically.

S100 alpha 6 also known as PRA is a member of the S100 protein family characterized by its small molecular weight of approximately 10 kDa. This protein expresses in various tissues including the heart skeletal muscle kidney and brain. The S100 family proteins commonly contain two EF-hand calcium-binding motifs which play key roles in intracellular and extracellular regulatory activities. S100 alpha 6 participates in calcium-dependent signal transduction processes that affect a range of cellular functions.
Biological function summary

S100 alpha 6 plays a significant role in intracellular calcium signaling and cytoskeletal dynamics. This protein often interacts as a part of protein complexes with various other proteins including annexin and tropomyosin contributing to vital cellular functions like contraction motility and cell cycle regulation. Its expression levels and spatial distribution influence cellular proliferation and differentiation making it an important component in several cell types.

Pathways

The protein S100 alpha 6 participates in essential pathways such as the MAPK and calcium signaling pathways. In the MAPK pathway S100 alpha 6 interacts with proteins like ERK1/2 influencing cell growth and apoptosis signaling cascades. In calcium signaling it helps regulate the release and uptake of calcium ions vital for maintaining cellular homeostasis and function. Through these pathways S100 alpha 6 is interconnected with other proteins like calmodulin and calcyclin which share similar physiological roles.

Increased or decreased expression of S100 alpha 6 relates to conditions such as cancer and cardiomyopathy. In cancer S100 alpha 6 often associates with dysregulated cell growth and can influence tumor progression through its interactions with proteins such as p53 and MDM2. In cardiomyopathy it affects calcium-handling properties in heart muscle cells linking it to cardiac dysfunction. These associations highlight its impact on disease development and progression making it a target for research in therapeutic strategies.

Product protocols

For this product, it's our understanding that no specific protocols are required. You can visit:

Target data

May function as calcium sensor and modulator, contributing to cellular calcium signaling. May function by interacting with other proteins, such as TPR-containing proteins, and indirectly play a role in many physiological processes such as the reorganization of the actin cytoskeleton and in cell motility. Binds 2 calcium ions. Calcium binding is cooperative.. (Microbial infection) Facilitates attachment and invasion of Toxoplasma gondii parasites.
See full target information S100A6

Publications (2)

Recent publications for all applications. Explore the full list and refine your search

Scientific reports 14:15564 PubMed38971897

2024

LILRB4 knockdown inhibits aortic dissection development by regulating pyroptosis and the JAK2/STAT3 signaling pathway.

Applications

Unspecified application

Species

Unspecified reactive species

Jianxian Xiong,Jiayuan Ling,Jie Yan,Yanyu Duan,Junjian Yu,Wentong Li,Wenbo Yu,Jianfeng Gao,Dilin Xie,Ziyou Liu,Yongzhi Deng,Yongling Liao

Oncology letters 26:458 PubMed37736555

2023

S100A6 is a potential diagnostic and prognostic biomarker for human glioma.

Applications

Unspecified application

Species

Unspecified reactive species

Bo Hong,Hui Zhang,Yufei Xiao,Lingwei Shen,Yun Qian
View all publications

Product promise

We are committed to supporting your work with high-quality reagents, and we're here for you every step of the way. In the unlikely event that one of our products does not perform as expected, you're protected by our Product Promise.
For full details, please see our Terms & Conditions

Please note: All products are 'FOR RESEARCH USE ONLY. NOT FOR USE IN DIAGNOSTIC OR THERAPEUTIC PROCEDURES'.

For licensing inquiries, please contact partnerships@abcam.com