JavaScript is disabled in your browser. Please enable JavaScript to view this website.
AB181974

Anti-S100 alpha 6/PRA antibody [EPR13084]

Be the first to review this product! Submit a review

|

(1 Publication)

Rabbit Recombinant Monoclonal S100 alpha 6/PRA antibody. Suitable for WB, ICC/IF, IHC-P and reacts with Human samples. Cited in 1 publication.

View Alternative Names

CACY, S100A6, Protein S100-A6, Calcyclin, Growth factor-inducible protein 2A9, MLN 4, Prolactin receptor-associated protein, S100 calcium-binding protein A6, PRA

5 Images
Immunocytochemistry/ Immunofluorescence - Anti-S100 alpha 6/PRA antibody [EPR13084] (AB181974)
  • ICC/IF

Supplier Data

Immunocytochemistry/ Immunofluorescence - Anti-S100 alpha 6/PRA antibody [EPR13084] (AB181974)

Immunofluorescent analysis of 4% paraformaldehyde-fixed A549 cells labeling S100 alpha 6/PRA with ab181974 at 1/500 dilution followed by Goat anti rabbit IgG (Dylight 488) at 1/200 dilution (green). Dapi staining (blue).

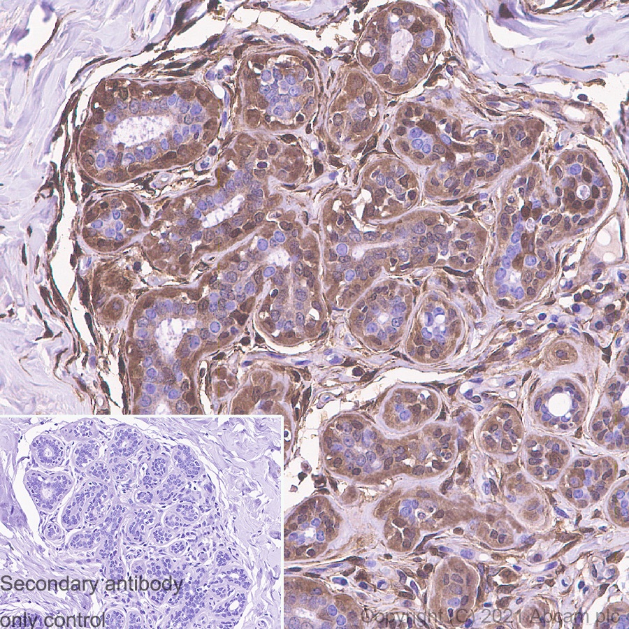
Immunohistochemistry (Formalin/PFA-fixed paraffin-embedded sections) - Anti-S100 alpha 6/PRA antibody [EPR13084] (AB181974)
  • IHC-P

Supplier Data

Immunohistochemistry (Formalin/PFA-fixed paraffin-embedded sections) - Anti-S100 alpha 6/PRA antibody [EPR13084] (AB181974)

Immunohistochemical analysis of paraffin-embedded Human colonic carcinoma tissue labeling S100 alpha 6/PRA with ab181974 at 1/50 dilution followed by prediluted ImmunoHistoprobe (Ready to use) HRP Polymer for Rabbit IgG. Counter stained with Hematoxylin.

Perform heat mediated antigen retrieval with EDTA buffer pH 9 before commencing with IHC staining protocol.

Immunocytochemistry/ Immunofluorescence - Anti-S100 alpha 6/PRA antibody [EPR13084] (AB181974)
  • ICC/IF

Supplier Data

Immunocytochemistry/ Immunofluorescence - Anti-S100 alpha 6/PRA antibody [EPR13084] (AB181974)

Immunofluorescent analysis of acetone-fixed HeLa cells labeling S100 alpha 6/PRA with ab181974 at 1/500 dilution followed by Goat anti rabbit IgG (Dylight 555) at 1/200 dilution (red). Dapi staining (blue).

Western blot - Anti-S100 alpha 6/PRA antibody [EPR13084] (AB181974)
  • WB

Supplier Data

Western blot - Anti-S100 alpha 6/PRA antibody [EPR13084] (AB181974)

All lanes:

Western blot - Anti-S100 alpha 6/PRA antibody [EPR13084] (ab181974) at 1/2000 dilution

Lane 1:

HeLa cell lysate at 20 µg

Lane 2:

A549 cell lysate at 20 µg

Secondary

All lanes:

Goat anti-rabbit IgG, (H+L), peroxidase conjugated at 1/1000 dilution

Predicted band size: 10 kDa

Observed band size: 10 kDa

false

Western blot - Anti-S100 alpha 6/PRA antibody [EPR13084] (AB181974)
  • WB

Supplier Data

Western blot - Anti-S100 alpha 6/PRA antibody [EPR13084] (AB181974)

All lanes:

Western blot - Anti-S100 alpha 6/PRA antibody [EPR13084] (ab181974) at 1/2000 dilution

All lanes:

Human fetal lung tissue lysate at 20 µg

Secondary

All lanes:

Western blot - Goat Anti-Rabbit IgG H&L (HRP) (<a href='/en-us/products/secondary-antibodies/goat-rabbit-igg-h-l-hrp-ab136636'>ab136636</a>) at 1/500 dilution

Predicted band size: 10 kDa

Observed band size: 10 kDa

false

  • Carrier free

    Anti-S100 alpha 6/PRA antibody [EPR13084] - BSA and Azide free

Key facts

Host species

Rabbit

Clonality

Monoclonal

Clone number

EPR13084

Isotype

IgG

Carrier free

No

Reacts with

Human

Applications

WB, IHC-P, ICC/IF

applications

Immunogen

The exact immunogen used to generate this antibody is proprietary information.

Reactivity data

{ "title": "Reactivity Data", "filters": { "stats": ["", "Species", "Dilution Info", "Notes"], "tabs": { "all-applications": {"fullname" : "All Applications", "shortname": "All Applications"}, "WB" : {"fullname" : "Western blot", "shortname":"WB"}, "ICCIF" : {"fullname" : "Immunocytochemistry/ Immunofluorescence", "shortname":"ICC/IF"}, "IHCP" : {"fullname" : "Immunohistochemistry (Formalin/PFA-fixed paraffin-embedded sections)", "shortname":"IHC-P"} }, "product-promise": { "all": "all", "testedAndGuaranteed": "tested", "guaranteed": "expected", "predicted": "predicted", "notRecommended": "not-recommended" } }, "values": { "Human": { "WB-species-checked": "testedAndGuaranteed", "WB-species-dilution-info": "1/1000 - 1/2000", "WB-species-notes": "<p></p>", "ICCIF-species-checked": "testedAndGuaranteed", "ICCIF-species-dilution-info": "1/500", "ICCIF-species-notes": "<p></p>", "IHCP-species-checked": "testedAndGuaranteed", "IHCP-species-dilution-info": "1/25 - 1/50", "IHCP-species-notes": "<p></p>" } } }

Product details

Patented technology
Our RabMAb® technology is a patented hybridoma-based technology for making rabbit monoclonal antibodies. For details on our patents, please refer to RabMAb® patents.

What are the advantages of a recombinant monoclonal antibody?
This product is a recombinant monoclonal antibody, which offers several advantages including:

  • - High batch-to-batch consistency and reproducibility
  • - Improved sensitivity and specificity
  • - Long-term security of supply
  • - Animal-free batch production

For more information, read more on recombinant antibodies.

Properties and storage information

Form
Liquid
Purification technique
Affinity purification Protein A
Storage buffer
Preservative: 0.01% Sodium azide Constituents: PBS, 40% Glycerol (glycerin, glycerine), 0.05% BSA
Shipped at conditions
Blue Ice
Appropriate short-term storage duration
1-2 weeks
Appropriate short-term storage conditions
+4°C
Appropriate long-term storage conditions
-20°C
Aliquoting information
Upon delivery aliquot
Storage information
Avoid freeze / thaw cycle

Supplementary information

This supplementary information is collated from multiple sources and compiled automatically.

S100 alpha 6 also known as PRA is a member of the S100 protein family characterized by its small molecular weight of approximately 10 kDa. This protein expresses in various tissues including the heart skeletal muscle kidney and brain. The S100 family proteins commonly contain two EF-hand calcium-binding motifs which play key roles in intracellular and extracellular regulatory activities. S100 alpha 6 participates in calcium-dependent signal transduction processes that affect a range of cellular functions.
Biological function summary

S100 alpha 6 plays a significant role in intracellular calcium signaling and cytoskeletal dynamics. This protein often interacts as a part of protein complexes with various other proteins including annexin and tropomyosin contributing to vital cellular functions like contraction motility and cell cycle regulation. Its expression levels and spatial distribution influence cellular proliferation and differentiation making it an important component in several cell types.

Pathways

The protein S100 alpha 6 participates in essential pathways such as the MAPK and calcium signaling pathways. In the MAPK pathway S100 alpha 6 interacts with proteins like ERK1/2 influencing cell growth and apoptosis signaling cascades. In calcium signaling it helps regulate the release and uptake of calcium ions vital for maintaining cellular homeostasis and function. Through these pathways S100 alpha 6 is interconnected with other proteins like calmodulin and calcyclin which share similar physiological roles.

Increased or decreased expression of S100 alpha 6 relates to conditions such as cancer and cardiomyopathy. In cancer S100 alpha 6 often associates with dysregulated cell growth and can influence tumor progression through its interactions with proteins such as p53 and MDM2. In cardiomyopathy it affects calcium-handling properties in heart muscle cells linking it to cardiac dysfunction. These associations highlight its impact on disease development and progression making it a target for research in therapeutic strategies.

Product protocols

For this product, it's our understanding that no specific protocols are required. You can visit:

Target data

May function as calcium sensor and modulator, contributing to cellular calcium signaling. May function by interacting with other proteins, such as TPR-containing proteins, and indirectly play a role in many physiological processes such as the reorganization of the actin cytoskeleton and in cell motility. Binds 2 calcium ions. Calcium binding is cooperative.
See full target information S100A6

Publications (1)

Recent publications for all applications. Explore the full list and refine your search

Nature communications 14:3982 PubMed37414781

2023

Linker histone variant H1.2 is a brake on white adipose tissue browning.

Applications

Unspecified application

Species

Unspecified reactive species

Yangmian Yuan,Yu Fan,Yihao Zhou,Rong Qiu,Wei Kang,Yu Liu,Yuchen Chen,Chenyu Wang,Jiajian Shi,Chengyu Liu,Yangkai Li,Min Wu,Kun Huang,Yong Liu,Ling Zheng
View all publications

Product promise

We are committed to supporting your work with high-quality reagents, and we're here for you every step of the way. In the unlikely event that one of our products does not perform as expected, you're protected by our Product Promise.
For full details, please see our Terms & Conditions

Please note: All products are 'FOR RESEARCH USE ONLY. NOT FOR USE IN DIAGNOSTIC OR THERAPEUTIC PROCEDURES'.

For licensing inquiries, please contact partnerships@abcam.com