JavaScript is disabled in your browser. Please enable JavaScript to view this website.
AB133519

Anti-S100 alpha antibody [EPR5250]

4

(1 Review)

|

(3 Publications)

Rabbit Recombinant Monoclonal S10A1 antibody. Suitable for IHC-P, WB and reacts with Mouse, Rat, Human samples. Cited in 3 publications.

View Alternative Names

S100A, S100A1, Protein S100-A1, S-100 protein alpha chain, S-100 protein subunit alpha, S100 calcium-binding protein A1

10 Images
Immunohistochemistry (Formalin/PFA-fixed paraffin-embedded sections) - Anti-S100 alpha antibody [EPR5250] (AB133519)
  • IHC-P

Unknown

Immunohistochemistry (Formalin/PFA-fixed paraffin-embedded sections) - Anti-S100 alpha antibody [EPR5250] (AB133519)

Immunohistochemistry analysis of paraffin embedded Human heart muscle tissue labelling S100 alpha with unpurified ab133519 at 1/100 dilution.

Heat mediated antigen retrieval was performed with citrate buffer pH 6 before commencing with IHC staining protocol.

Immunohistochemistry (Formalin/PFA-fixed paraffin-embedded sections) - Anti-S100 alpha antibody [EPR5250] (AB133519)
  • IHC-P

Lab

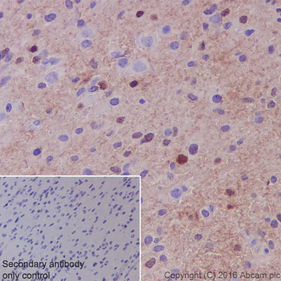
Immunohistochemistry (Formalin/PFA-fixed paraffin-embedded sections) - Anti-S100 alpha antibody [EPR5250] (AB133519)

Immunohistochemistry (Formalin/PFA-fixed paraffin-embedded sections) analysis of Human glioma tissue sections labeling S100 alpha with purified ab133519 at 1 : 100 dilution (4.33 μg/ml). Heat mediated antigen retrieval was performed using EDTA Buffer pH9.0. Tissue was counterstained with Hematoxylin. ab97051 Goat Anti-Rabbit IgG H&L (HRP) secondary antibody was used at 1 : 500 dilution. PBS instead of the primary antibody was used as the negative control.

Immunohistochemistry (Formalin/PFA-fixed paraffin-embedded sections) - Anti-S100 alpha antibody [EPR5250] (AB133519)
  • IHC-P

Unknown

Immunohistochemistry (Formalin/PFA-fixed paraffin-embedded sections) - Anti-S100 alpha antibody [EPR5250] (AB133519)

Immunohistochemistry analysis of paraffin embedded Human endometrial carcinoma tissue labelling S100 alpha with unpurified ab133519 at 1/100 dilution.

Heat mediated antigen retrieval was performed with citrate buffer pH 6 before commencing with IHC staining protocol.

Immunohistochemistry (Formalin/PFA-fixed paraffin-embedded sections) - Anti-S100 alpha antibody [EPR5250] (AB133519)
  • IHC-P

Lab

Immunohistochemistry (Formalin/PFA-fixed paraffin-embedded sections) - Anti-S100 alpha antibody [EPR5250] (AB133519)

Immunohistochemistry (Formalin/PFA-fixed paraffin-embedded sections) analysis of Human skeletal muscle tissue sections labeling S100 alpha with purified ab133519 at 1 : 100 dilution (4.33 μg/ml). Heat mediated antigen retrieval was performed using EDTA Buffer pH9.0. Tissue was counterstained with Hematoxylin. ab97051 Goat Anti-Rabbit IgG H&L (HRP) secondary antibody was used at 1 : 500 dilution. PBS instead of the primary antibody was used as the negative control.

Immunohistochemistry (Formalin/PFA-fixed paraffin-embedded sections) - Anti-S100 alpha antibody [EPR5250] (AB133519)
  • IHC-P

Lab

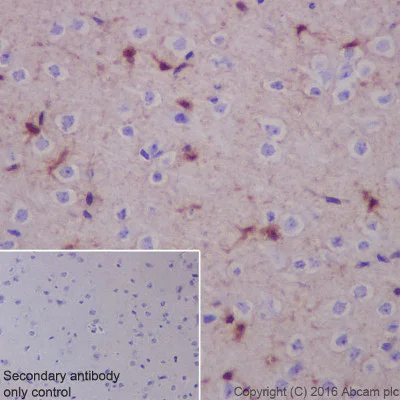
Immunohistochemistry (Formalin/PFA-fixed paraffin-embedded sections) - Anti-S100 alpha antibody [EPR5250] (AB133519)

Immunohistochemistry (Formalin/PFA-fixed paraffin-embedded sections) analysis of Rat cerebral cortex tissue sections labeling S100 alpha with purified ab133519 at 1 : 100 dilution (4.33 μg/ml). Heat mediated antigen retrieval was performed using EDTA Buffer pH9.0. Tissue was counterstained with Hematoxylin. ab97051 Goat Anti-Rabbit IgG H&L (HRP) secondary antibody was used at 1 : 500 dilution. PBS instead of the primary antibody was used as the negative control.

Immunohistochemistry (Formalin/PFA-fixed paraffin-embedded sections) - Anti-S100 alpha antibody [EPR5250] (AB133519)
  • IHC-P

Lab

Immunohistochemistry (Formalin/PFA-fixed paraffin-embedded sections) - Anti-S100 alpha antibody [EPR5250] (AB133519)

Immunohistochemistry (Formalin/PFA-fixed paraffin-embedded sections) analysis of Mouse cerebral cortex tissue sections labeling S100 alpha with purified ab133519 at 1 : 100 dilution (4.33 μg/ml). Heat mediated antigen retrieval was performed using EDTA Buffer pH9.0. Tissue was counterstained with Hematoxylin. ab97051 Goat Anti-Rabbit IgG H&L (HRP) secondary antibody was used at 1 : 500 dilution. PBS instead of the primary antibody was used as the negative control.

Immunohistochemistry (Formalin/PFA-fixed paraffin-embedded sections) - Anti-S100 alpha antibody [EPR5250] (AB133519)
  • IHC-P

Unknown

Immunohistochemistry (Formalin/PFA-fixed paraffin-embedded sections) - Anti-S100 alpha antibody [EPR5250] (AB133519)

Immunohistochemistry analysis of paraffin embedded Mouse heart tissue labelling S100 alpha with unpurified ab133519 at 1/100 dilution.

Heat mediated antigen retrieval was performed with citrate buffer pH 6 before commencing with IHC staining protocol.

Western blot - Anti-S100 alpha antibody [EPR5250] (AB133519)
  • WB

Lab

Western blot - Anti-S100 alpha antibody [EPR5250] (AB133519)

Blocking and diluting buffer : 5% NBST/TBST

All lanes:

Western blot - Anti-S100 alpha antibody [EPR5250] (ab133519) at 1/1000 dilution

Lane 1:

Rat heart lysates at 20 µg

Lane 2:

Human fetal heart lysates at 15 µg

Secondary

All lanes:

Anti-Rabbit IgG (HRP), specific to the non-reduced form of IgG at 1/2000 dilution

Predicted band size: 11 kDa

false

Western blot - Anti-S100 alpha antibody [EPR5250] (AB133519)
  • WB

Unknown

Western blot - Anti-S100 alpha antibody [EPR5250] (AB133519)

All lanes:

Western blot - Anti-S100 alpha antibody [EPR5250] (ab133519) at 1/1000 dilution

Lane 1:

Mouse heart tissue lysate at 10 µg

Lane 2:

Mouse brain tissue lysate at 10 µg

Lane 3:

C2C12 cell lysate at 10 µg

Secondary

All lanes:

HRP-labelled Goat anti-Rabbit at 1/2000 dilution

Predicted band size: 11 kDa

false

Western blot - Anti-S100 alpha antibody [EPR5250] (AB133519)
  • WB

Lab

Western blot - Anti-S100 alpha antibody [EPR5250] (AB133519)

5%NFDM/TBST

All lanes:

Western blot - Anti-S100 alpha antibody [EPR5250] (ab133519) at 1/1000 dilution

All lanes:

Mouse heart lysates at 15 µg

Secondary

All lanes:

Western blot - Goat Anti-Rabbit IgG H&L (HRP) (<a href='/en-us/products/secondary-antibodies/goat-rabbit-igg-h-l-hrp-ab97051'>ab97051</a>) at 1/20000 dilution

Predicted band size: 11 kDa

Observed band size: 10 kDa

false

Key facts

Host species

Rabbit

Clonality

Monoclonal

Clone number

EPR5250

Isotype

IgG

Carrier free

No

Reacts with

Mouse, Rat, Human

Applications

IHC-P, WB

applications

Immunogen

The exact immunogen used to generate this antibody is proprietary information.

Reactivity data

{ "title": "Reactivity Data", "filters": { "stats": ["", "Species", "Dilution Info", "Notes"], "tabs": { "all-applications": {"fullname" : "All Applications", "shortname": "All Applications"}, "IHCP" : {"fullname" : "Immunohistochemistry (Formalin/PFA-fixed paraffin-embedded sections)", "shortname":"IHC-P"}, "ICCIF" : {"fullname" : "Immunocytochemistry/ Immunofluorescence", "shortname":"ICC/IF"}, "IP" : {"fullname" : "Immunoprecipitation", "shortname":"IP"}, "FlowCyt" : {"fullname" : "Flow Cytometry", "shortname":"Flow Cyt"}, "WB" : {"fullname" : "Western blot", "shortname":"WB"} }, "product-promise": { "all": "all", "testedAndGuaranteed": "tested", "guaranteed": "expected", "predicted": "predicted", "notRecommended": "not-recommended" } }, "values": { "Human": { "IHCP-species-checked": "testedAndGuaranteed", "IHCP-species-dilution-info": "1/100 - 1/200", "IHCP-species-notes": "<p></p>", "ICCIF-species-checked": "notRecommended", "ICCIF-species-dilution-info": "", "ICCIF-species-notes": "<p></p>", "IP-species-checked": "notRecommended", "IP-species-dilution-info": "1/10 - 1/100", "IP-species-notes": "<p></p>", "FlowCyt-species-checked": "notRecommended", "FlowCyt-species-dilution-info": "1/100 - 1/1000", "FlowCyt-species-notes": "<p><a href='/en-us/products/primary-antibodies/rabbit-igg-monoclonal-epr25a-isotype-control-ab172730'>ab172730</a> - Rabbit monoclonal IgG, is suitable for use as an isotype control with this antibody.</p>", "WB-species-checked": "testedAndGuaranteed", "WB-species-dilution-info": "1/1000", "WB-species-notes": "<p><strong>For unpurified use at 1/1000 - 1/10000.</strong></p>" }, "Mouse": { "IHCP-species-checked": "testedAndGuaranteed", "IHCP-species-dilution-info": "1/100 - 1/200", "IHCP-species-notes": "<p></p>", "ICCIF-species-checked": "notRecommended", "ICCIF-species-dilution-info": "", "ICCIF-species-notes": "<p></p>", "IP-species-checked": "notRecommended", "IP-species-dilution-info": "1/10 - 1/100", "IP-species-notes": "<p></p>", "FlowCyt-species-checked": "notRecommended", "FlowCyt-species-dilution-info": "1/100 - 1/1000", "FlowCyt-species-notes": "<p><a href='/en-us/products/primary-antibodies/rabbit-igg-monoclonal-epr25a-isotype-control-ab172730'>ab172730</a> - Rabbit monoclonal IgG, is suitable for use as an isotype control with this antibody.</p>", "WB-species-checked": "testedAndGuaranteed", "WB-species-dilution-info": "1/1000", "WB-species-notes": "<p><strong>For unpurified use at 1/1000 - 1/10000.</strong></p>" }, "Rat": { "IHCP-species-checked": "testedAndGuaranteed", "IHCP-species-dilution-info": "1/100 - 1/200", "IHCP-species-notes": "<p></p>", "ICCIF-species-checked": "notRecommended", "ICCIF-species-dilution-info": "", "ICCIF-species-notes": "<p></p>", "IP-species-checked": "notRecommended", "IP-species-dilution-info": "1/10 - 1/100", "IP-species-notes": "<p></p>", "FlowCyt-species-checked": "notRecommended", "FlowCyt-species-dilution-info": "1/100 - 1/1000", "FlowCyt-species-notes": "<p><a href='/en-us/products/primary-antibodies/rabbit-igg-monoclonal-epr25a-isotype-control-ab172730'>ab172730</a> - Rabbit monoclonal IgG, is suitable for use as an isotype control with this antibody.</p>", "WB-species-checked": "testedAndGuaranteed", "WB-species-dilution-info": "1/1000", "WB-species-notes": "<p><strong>For unpurified use at 1/1000 - 1/10000.</strong></p>" } } }

Product details

Patented technology
Our RabMAb® technology is a patented hybridoma-based technology for making rabbit monoclonal antibodies. For details on our patents, please refer to RabMAb® patents.

What are the advantages of a recombinant monoclonal antibody?
This product is a recombinant monoclonal antibody, which offers several advantages including:

  • - High batch-to-batch consistency and reproducibility
  • - Improved sensitivity and specificity
  • - Long-term security of supply
  • - Animal-free batch production

For more information, read more on recombinant antibodies.

Properties and storage information

Form
Liquid
Purification technique
Affinity purification Protein A
Storage buffer
pH: 7.2 - 7.4 Preservative: 0.01% Sodium azide Constituents: PBS, 40% Glycerol (glycerin, glycerine), 0.05% BSA
Shipped at conditions
Blue Ice
Appropriate short-term storage duration
1-2 weeks
Appropriate short-term storage conditions
+4°C
Appropriate long-term storage conditions
-20°C
Aliquoting information
Upon delivery aliquot
Storage information
Avoid freeze / thaw cycle|Stable for 12 months at -20°C

Supplementary information

This supplementary information is collated from multiple sources and compiled automatically.

S100 alpha also known as S100A1 among other S100 family proteins plays a role in calcium ion binding which influences various cellular processes. It is a small protein with a molecular mass around 10-12 kDa. S100 alpha expresses abundantly in the brain heart and skeletal muscle indicating its functional importance in these tissues.
Biological function summary

The S100 calcium-binding proteins like S100 alpha modulate the function of target proteins through interactions dependent on the calcium bound state. S100 alpha does not commonly form larger complexes but instead interacts directly with other proteins to exert its effects. Importantly it regulates activities such as phosphorylation enzyme activity and cellular proliferation and differentiation.

Pathways

S100 alpha integrates into the intracellular pathways that mediate calcium signaling and respond to oxidative stress. Notably it is involved in the regulation of the RAGE (Receptor for Advanced Glycation End-products) pathway and related NF-kB pathway both of which lead to inflammatory responses. Through these pathways S100 alpha is related to several proteins like p53 and those involved in cytoskeletal dynamics.

S100 alpha demonstrates relevance in conditions linked to aberrant calcium signaling and inflammation such as cardiomyopathy and certain neurodegenerative disorders. In cardiomyopathy alterations of S100 alpha affect cardiac contractility and contribute to heart failure. In neurodegenerative disorders the protein's interaction with RAGE and subsequent pathways possibly accelerates neuronal damage. The protein links with other S100 family members such as S100B further influencing disease progression.

Product protocols

For this product, it's our understanding that no specific protocols are required. You can visit:

Target data

Small calcium binding protein that plays important roles in several biological processes such as Ca(2+) homeostasis, chondrocyte biology and cardiomyocyte regulation (PubMed : 12804600). In response to an increase in intracellular Ca(2+) levels, binds calcium which triggers conformational changes (PubMed : 23351007). These changes allow interactions with specific target proteins and modulate their activity (PubMed : 22399290). Regulates a network in cardiomyocytes controlling sarcoplasmic reticulum Ca(2+) cycling and mitochondrial function through interaction with the ryanodine receptors RYR1 and RYR2, sarcoplasmic reticulum Ca(2+)-ATPase/ATP2A2 and mitochondrial F1-ATPase (PubMed : 12804600). Facilitates diastolic Ca(2+) dissociation and myofilament mechanics in order to improve relaxation during diastole (PubMed : 11717446).
See full target information S100A1

Publications (3)

Recent publications for all applications. Explore the full list and refine your search

The Journal of cell biology 224: PubMed40279672

2025

Lysosomal TPC2 channels disrupt Ca2+ entry and dopaminergic function in models of LRRK2-Parkinson's disease.

Applications

Unspecified application

Species

Unspecified reactive species

Martina Gregori,Gustavo J S Pereira,Robert Allen,Nicholas West,Kai-Yin Chau,Xinjiang Cai,Matthew P Bostock,Stephen R Bolsover,Marco Keller,Chiao-Yin Lee,Si Hang Lei,Kirsten Harvey,Franz Bracher,Christian Grimm,Gaiti Hasan,Matthew E Gegg,Anthony H V Schapira,Sean T Sweeney,Sandip Patel

Cell 186:1432-1447.e17 PubMed37001503

2023

T cell immunotherapies engage neutrophils to eliminate tumor antigen escape variants.

Applications

Unspecified application

Species

Unspecified reactive species

Daniel Hirschhorn,Sadna Budhu,Lukas Kraehenbuehl,Mathieu Gigoux,David Schröder,Andrew Chow,Jacob M Ricca,Billel Gasmi,Olivier De Henau,Levi Mark B Mangarin,Yanyun Li,Linda Hamadene,Anne-Laure Flamar,Hyejin Choi,Czrina A Cortez,Cailian Liu,Aliya Holland,Sara Schad,Isabell Schulze,Allison Betof Warner,Travis J Hollmann,Arshi Arora,Katherine S Panageas,Gabrielle A Rizzuto,Rebekka Duhen,Andrew D Weinberg,Christine N Spencer,David Ng,Xue-Yan He,Jean Albrengues,David Redmond,Mikala Egeblad,Jedd D Wolchok,Taha Merghoub

Frontiers in pharmacology 12:783730 PubMed34887767

2021

The Inhibitory Effect of Curcumin Derivative J147 on Melanogenesis and Melanosome Transport by Facilitating ERK-Mediated MITF Degradation.

Applications

Unspecified application

Species

Unspecified reactive species

Jinpeng Lv,Ying Yang,Bingyi Jia,Siqi Li,Ximei Zhang,Rongyin Gao
View all publications

Product promise

We are committed to supporting your work with high-quality reagents, and we're here for you every step of the way. In the unlikely event that one of our products does not perform as expected, you're protected by our Product Promise.
For full details, please see our Terms & Conditions

Please note: All products are 'FOR RESEARCH USE ONLY. NOT FOR USE IN DIAGNOSTIC OR THERAPEUTIC PROCEDURES'.

For licensing inquiries, please contact partnerships@abcam.com