JavaScript is disabled in your browser. Please enable JavaScript to view this website.
AB136629

Anti-S100 antibody [D28-E]

Be the first to review this product! Submit a review

|

(3 Publications)

Rabbit Monoclonal S10A1 antibody. Suitable for IHC-P and reacts with Human samples. Cited in 3 publications. Immunogen corresponding to Synthetic Peptide within Human S100A1.

View Alternative Names

S100A, S100A1, Protein S100-A1, S-100 protein alpha chain, S-100 protein subunit alpha, S100 calcium-binding protein A1

4 Images
Immunohistochemistry (Formalin/PFA-fixed paraffin-embedded sections) - Anti-S100 antibody [D28-E] (AB136629)
  • IHC-P

Unknown

Immunohistochemistry (Formalin/PFA-fixed paraffin-embedded sections) - Anti-S100 antibody [D28-E] (AB136629)

Immunohistochemical analysis of Formalin-fixed, Paraffin-embedded Human skin melanoma tissue labelling S100 with ab136629 antibody at 1/100 diltution.

Immunohistochemistry (Formalin/PFA-fixed paraffin-embedded sections) - Anti-S100 antibody [D28-E] (AB136629)
  • IHC-P

Unknown

Immunohistochemistry (Formalin/PFA-fixed paraffin-embedded sections) - Anti-S100 antibody [D28-E] (AB136629)

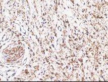
Immunohistochemical analysis of Formalin-fixed, Paraffin-embedded Human neurofibroma tissue labelling S100 with ab136629 antibody at 1/100 diltution.

Immunohistochemistry (Formalin/PFA-fixed paraffin-embedded sections) - Anti-S100 antibody [D28-E] (AB136629)
  • IHC-P

Unknown

Immunohistochemistry (Formalin/PFA-fixed paraffin-embedded sections) - Anti-S100 antibody [D28-E] (AB136629)

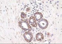
Immunohistochemical analysis of Formalin-fixed, Paraffin-embedded Human breast tissue labelling S100 with ab136629 antibody at 1/100 diltution.

Immunohistochemistry (Formalin/PFA-fixed paraffin-embedded sections) - Anti-S100 antibody [D28-E] (AB136629)
  • IHC-P

Supplier Data

Immunohistochemistry (Formalin/PFA-fixed paraffin-embedded sections) - Anti-S100 antibody [D28-E] (AB136629)

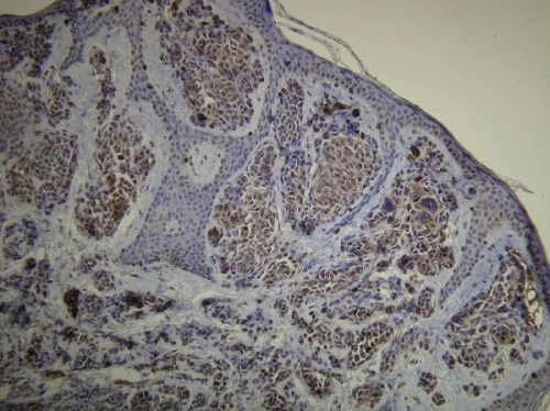
Immunohistochemical analysis of formalin fixed, paraffin embedded human cutaneous malignant melanoma tissue labeling S100 with ab136629.

Key facts

Host species

Rabbit

Clonality

Monoclonal

Clone number

D28-E

Isotype

IgG

Carrier free

No

Reacts with

Human

Applications

IHC-P

applications

Immunogen

Synthetic Peptide within Human S100A1. The exact immunogen used to generate this antibody is proprietary information.

P23297

Epitope

Antibody recognizes the epitope located between Val55 - Glu69

Reactivity data

{ "title": "Reactivity Data", "filters": { "stats": ["", "Species", "Dilution Info", "Notes"], "tabs": { "all-applications": {"fullname" : "All Applications", "shortname": "All Applications"}, "IHCP" : {"fullname" : "Immunohistochemistry (Formalin/PFA-fixed paraffin-embedded sections)", "shortname":"IHC-P"} }, "product-promise": { "all": "all", "testedAndGuaranteed": "tested", "guaranteed": "expected", "predicted": "predicted", "notRecommended": "not-recommended" } }, "values": { "Human": { "IHCP-species-checked": "testedAndGuaranteed", "IHCP-species-dilution-info": "1/100 - 1/200", "IHCP-species-notes": "<p></p>" } } }

Properties and storage information

Form
Liquid
Purification notes
This immunoglobulin is the product of one single B-cell line from the crude anti-peptide polyclonal anti-serum. This antibody is purified using a propriety technique and offers a completely post-translationally modified and properly glycosylated antibody. This offers increased stability.
Storage buffer
pH: 8 Preservative: 0.05% Sodium azide Constituents: 2% BSA, 0.32% Tris HCl
Shipped at conditions
Blue Ice
Appropriate short-term storage duration
1-2 weeks
Appropriate short-term storage conditions
+4°C
Appropriate long-term storage conditions
-20°C
Storage information
Avoid freeze / thaw cycle

Supplementary information

This supplementary information is collated from multiple sources and compiled automatically.

The S100 protein family consists of low-molecular-weight proteins with individual members like S100B and S100A4 each having distinct roles. S100 proteins range typically between 9 to 13 kDa in mass. They are expressed broadly but especially in the central nervous system where glial cells are an important source and in several epithelial tissues including melanocytes. These proteins are noted for their calcium-binding properties facilitated by EF-hand motifs influencing both intracellular and extracellular processes.
Biological function summary

S100 proteins drive diverse cellular functions such as regulation of cell cycle differentiation and motility. They often operate as dimers and participate in the formation of protein complexes impacting cellular signaling networks. By binding calcium S100 proteins undergo conformational changes that allow interaction with target proteins modulating processes like cytoskeleton dynamics and neuronal survival.

Pathways

S100 proteins are significant in the regulation of the MAPK/ERK and NF-kB pathways. These pathways are critical for cell proliferation apoptosis and response to environmental stress. S100B in particular interacts with the receptor for advanced glycation end-products (RAGE) influencing downstream signaling cascades and amplifying the cellular response to inflammatory stimuli.

S100 proteins are implicated in the progression of conditions such as melanoma and Alzheimer's disease. In melanoma S100B levels serve as a biomarker reflecting disease progression potentially interacting with p53 to diminish its tumor suppressor function. In Alzheimer's disease S100B overexpression correlates with neuroinflammation and neuronal damage highlighting its association with disease through pathways involving amyloid-beta and tau proteins.

Product protocols

For this product, it's our understanding that no specific protocols are required. You can visit:

Target data

Small calcium binding protein that plays important roles in several biological processes such as Ca(2+) homeostasis, chondrocyte biology and cardiomyocyte regulation (PubMed : 12804600). In response to an increase in intracellular Ca(2+) levels, binds calcium which triggers conformational changes (PubMed : 23351007). These changes allow interactions with specific target proteins and modulate their activity (PubMed : 22399290). Regulates a network in cardiomyocytes controlling sarcoplasmic reticulum Ca(2+) cycling and mitochondrial function through interaction with the ryanodine receptors RYR1 and RYR2, sarcoplasmic reticulum Ca(2+)-ATPase/ATP2A2 and mitochondrial F1-ATPase (PubMed : 12804600). Facilitates diastolic Ca(2+) dissociation and myofilament mechanics in order to improve relaxation during diastole (PubMed : 11717446).
See full target information S100A1

Publications (3)

Recent publications for all applications. Explore the full list and refine your search

Neural regeneration research 17:1023-1033 PubMed34558529

2021

Nerve bundle formation during the promotion of peripheral nerve regeneration: collagen VI-neural cell adhesion molecule 1 interaction.

Applications

Unspecified application

Species

Unspecified reactive species

Jia-Hui Sun,Ming Huang,Zhou Fang,Tian-Xiao Li,Ting-Ting Wu,Yi Chen,Da-Ping Quan,Ying-Ying Xu,Yu-Ming Wang,Yi Yang,Jian-Long Zou

BMC surgery 21:340 PubMed34496808

2021

Pitfalls in the management of subglottic paragangliomas at unusual location: a case report and literature review.

Applications

Unspecified application

Species

Unspecified reactive species

Juanjuan Hu,Haiyang Wang,Jianli Chen,Xuelin Pan,Di Deng,Lufang Zhuo,Shixi Liu,Maiyue He,Fei Chen,Hui Yang

The Journal of comparative neurology 529:340-366 PubMed32415669

2020

Hemovasculogenic origin of blood vessels in the developing mouse brain.

Applications

Unspecified application

Species

Unspecified reactive species

Miguel A Gama Sosa,Rita De Gasperi,Gissel M Perez,Patrick R Hof,Gregory A Elder
View all publications

Product promise

We are committed to supporting your work with high-quality reagents, and we're here for you every step of the way. In the unlikely event that one of our products does not perform as expected, you're protected by our Product Promise.
For full details, please see our Terms & Conditions

Please note: All products are 'FOR RESEARCH USE ONLY. NOT FOR USE IN DIAGNOSTIC OR THERAPEUTIC PROCEDURES'.

For licensing inquiries, please contact partnerships@abcam.com