JavaScript is disabled in your browser. Please enable JavaScript to view this website.
AB212816

Anti-S100 beta antibody [4C4.9] - BSA and Azide free

Be the first to review this product! Submit a review

|

(6 Publications)

Mouse Monoclonal S100 beta antibody. Carrier free. Suitable for IHC-P, WB and reacts with Human samples. Cited in 6 publications. Immunogen corresponding to Native Full Length Protein corresponding to Cow S100B.

View Alternative Names

Protein S100-B, S-100 protein beta chain, S-100 protein subunit beta, S100 calcium-binding protein B, S100B

2 Images
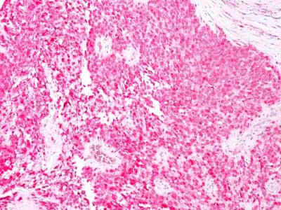
Immunohistochemistry (Formalin/PFA-fixed paraffin-embedded sections) - Anti-S100 beta antibody [4C4.9] - BSA and Azide free (AB212816)
  • IHC-P

Supplier Data

Immunohistochemistry (Formalin/PFA-fixed paraffin-embedded sections) - Anti-S100 beta antibody [4C4.9] - BSA and Azide free (AB212816)

Immunohistochemical analysis of formalin-fixed, paraffin-embedded Human melanoma tissue labeling S100 with ab212816 at 0.5 μg/ml, with AEC chromogen.

Western blot - Anti-S100 beta antibody [4C4.9] - BSA and Azide free (AB212816)
  • WB

Supplier Data

Western blot - Anti-S100 beta antibody [4C4.9] - BSA and Azide free (AB212816)

All lanes:

Western blot - Anti-S100 beta antibody [4C4.9] - BSA and Azide free (ab212816) at 1 µg/mL

All lanes:

Human cerebellum lysate

Predicted band size: 10 kDa

false

Key facts

Host species

Mouse

Clonality

Monoclonal

Clone number

4C4.9

Isotype

IgG2a

Light chain type

kappa

Carrier free

Yes

Reacts with

Human

Applications

IHC-P, WB

applications

Immunogen

Native Full Length Protein corresponding to Cow S100B.

P02638

Reactivity data

{ "title": "Reactivity Data", "filters": { "stats": ["", "Species", "Dilution Info", "Notes"], "tabs": { "all-applications": {"fullname" : "All Applications", "shortname": "All Applications"}, "IHCP" : {"fullname" : "Immunohistochemistry (Formalin/PFA-fixed paraffin-embedded sections)", "shortname":"IHC-P"}, "WB" : {"fullname" : "Western blot", "shortname":"WB"} }, "product-promise": { "all": "all", "testedAndGuaranteed": "tested", "guaranteed": "expected", "predicted": "predicted", "notRecommended": "not-recommended" } }, "values": { "Human": { "IHCP-species-checked": "testedAndGuaranteed", "IHCP-species-dilution-info": "0.25-0.5 µg/mL", "IHCP-species-notes": "<p>(Primary incubation for 30 minutes at RT).</p>", "WB-species-checked": "testedAndGuaranteed", "WB-species-dilution-info": "0.5-1 µg/mL", "WB-species-notes": "<p></p>" }, "Orangutan": { "IHCP-species-checked": "predicted", "IHCP-species-dilution-info": "", "IHCP-species-notes": "", "WB-species-checked": "predicted", "WB-species-dilution-info": "", "WB-species-notes": "" } } }

Properties and storage information

Form
Liquid
Purification technique
Affinity purification Protein A
Purification notes
ab212816 was purified from Bioreactor Concentrate by Protein A/G.
Storage buffer
pH: 7.2 - 7.4 Constituents: PBS
Shipped at conditions
Blue Ice
Appropriate short-term storage duration
1-2 weeks
Appropriate short-term storage conditions
+4°C
Appropriate long-term storage conditions
-20°C
Aliquoting information
Upon delivery aliquot
Storage information
Avoid freeze / thaw cycle

Supplementary information

This supplementary information is collated from multiple sources and compiled automatically.

S100 beta also known as protein S100 is part of the S100 family of proteins characterized by their calcium-binding properties. The S100 beta protein has an approximate molecular mass of 10.7 kDa. This protein is mainly expressed in astrocytes a type of glial cell in the central nervous system. It acts as a marker for astrocytes and is prominently used in astrocyte immunohistochemistry. Additionally it serves as a valuable marker for identifying and studying astrocyte markers because it can highlight the presence of these cells in various contexts.
Biological function summary

The S100 beta protein participates in several intracellular and extracellular activities influencing cell proliferation and differentiation. It forms dimers and sometimes assembles into larger complexes mediated by the binding of calcium ions which alters its functional state. Within the nervous system S100 beta modulates the dynamics between neurons and glial cells affecting processes such as cell survival and neurite outgrowth. This dual role in both supporting and inhibiting various cellular actions highlights its importance in maintaining neural homeostasis.

Pathways

S100 beta engages in signaling pathways related to inflammation and stress responses. It works within the MAPK and NF-kB pathways playing roles in cellular responses to oxidative stress. These pathways involve interactions with other proteins like p53 which S100 beta can modulate to influence apoptosis. The regulatory properties of S100 beta in these pathways link it with broader networks affecting cell fate decisions under pathological and physiological conditions.

S100 beta is associated with neurodegenerative diseases and cancer. Elevated levels of S100 beta are often found in Alzheimer's disease where it interacts with proteins like amyloid-beta contributing to neuroinflammation and neurotoxicity. In cancer particularly malignant melanoma S100 beta levels serve as a biomarker for tumor progression. Its interactions with p53 and other regulatory proteins highlight its involvement in oncogenic processes emphasizing its potential as a target for therapeutic intervention in these diseases.

Product protocols

For this product, it's our understanding that no specific protocols are required. You can visit:

Target data

Small zinc- and- and calcium-binding protein that is highly expressed in astrocytes and constitutes one of the most abundant soluble proteins in brain (PubMed : 20950652, PubMed : 6487634). Weakly binds calcium but binds zinc very tightly-distinct binding sites with different affinities exist for both ions on each monomer (PubMed : 20950652, PubMed : 6487634). Physiological concentrations of potassium ion antagonize the binding of both divalent cations, especially affecting high-affinity calcium-binding sites (By similarity). Acts as a neurotrophic factor that promotes astrocytosis and axonal proliferation (By similarity). Involved in innervation of thermogenic adipose tissue by acting as an adipocyte-derived neurotrophic factor that promotes sympathetic innervation of adipose tissue (By similarity). Binds to and initiates the activation of STK38 by releasing autoinhibitory intramolecular interactions within the kinase (By similarity). Interaction with AGER after myocardial infarction may play a role in myocyte apoptosis by activating ERK1/2 and p53/TP53 signaling (By similarity). Could assist ATAD3A cytoplasmic processing, preventing aggregation and favoring mitochondrial localization (PubMed : 20351179). May mediate calcium-dependent regulation on many physiological processes by interacting with other proteins, such as TPR-containing proteins, and modulating their activity (PubMed : 22399290).
See full target information S100B

Publications (6)

Recent publications for all applications. Explore the full list and refine your search

PloS one 19:e0307577 PubMed39739680

2025

Immune cell infiltration and modulation of the blood-brain barrier in a guinea pig model of tuberculosis: Observations without evidence of bacterial dissemination to the brain.

Applications

Unspecified application

Species

Unspecified reactive species

Amanda S Latham,Charlize E Geer,David F Ackart,Kristin N Weninger,Chase C Gross,Brendan K Podell,Randall J Basaraba,Julie A Moreno

Frontiers in neuroscience 17:1157652 PubMed37274195

2023

Gliosis, misfolded protein aggregation, and neuronal loss in a guinea pig model of pulmonary tuberculosis.

Applications

Unspecified application

Species

Unspecified reactive species

Amanda S Latham,Charlize E Geer,David F Ackart,Isla K Anderson,Kaley M Vittoria,Brendan K Podell,Randall J Basaraba,Julie A Moreno

Addiction biology 27:e13120 PubMed34825430

2021

Repeated cocaine or methamphetamine treatment alters astrocytic CRF2 and GLAST expression in the ventral midbrain.

Applications

Unspecified application

Species

Unspecified reactive species

Amanda L Sharpe,Marta Trzeciak,Nicole L Eliason,Harris E Blankenship,Bre' Ana M Byrd,Phillip D Douglas,Willard M Freeman,Michael J Beckstead

Cells 10: PubMed34359875

2021

Deficiency in MT5-MMP Supports Branching of Human iPSCs-Derived Neurons and Reduces Expression of GLAST/S100 in iPSCs-Derived Astrocytes.

Applications

Unspecified application

Species

Unspecified reactive species

Nikita Arnst,Pedro Belio-Mairal,Laura García-González,Laurie Arnaud,Louise Greetham,Emmanuel Nivet,Santiago Rivera,Alexander Dityatev

Molecular medicine reports 16:1747-1752 PubMed28627700

2017

Isolation of rat Schwann cells based on cell sorting.

Applications

Unspecified application

Species

Unspecified reactive species

Mi Shen,Wei Tang,Zheng Cao,Xuemin Cao,Fei Ding

PloS one 11:e0167677 PubMed28030563

2016

The Involvement of Pial Microvessels in Leukocyte Invasion after Mild Traumatic Brain Injury.

Applications

Unspecified application

Species

Unspecified reactive species

Joanna Szmydynger-Chodobska,Rongzi Shan,Nicole Thomasian,Adam Chodobski
View all publications

Product promise

We are committed to supporting your work with high-quality reagents, and we're here for you every step of the way. In the unlikely event that one of our products does not perform as expected, you're protected by our Product Promise.
For full details, please see our Terms & Conditions

Please note: All products are 'FOR RESEARCH USE ONLY. NOT FOR USE IN DIAGNOSTIC OR THERAPEUTIC PROCEDURES'.

For licensing inquiries, please contact partnerships@abcam.com