JavaScript is disabled in your browser. Please enable JavaScript to view this website.
AB52642

Anti-S100 beta antibody [EP1576Y] - Astrocyte Marker

  • BOND RX™ Validated
  • RabMAb
  • Recombinant
  • Lab Essentials
  • What is this?

4

(37 Reviews)

|

(399 Publications)

Anti-S100 beta antibody [EP1576Y] - Astrocyte Marker (ab52642) is a rabbit monoclonal antibody detecting S100 beta in Western Blot, IHC-P, IHC-Fr, ICC/IF. Suitable for Human, Mouse, Rat.

- Biophysical QC for unrivalled batch-batch consistency
- Over 390 publications
- Trusted since 2007

View Alternative Names

Protein S100-B, S-100 protein beta chain, S-100 protein subunit beta, S100 calcium-binding protein B, S100B

20 Images
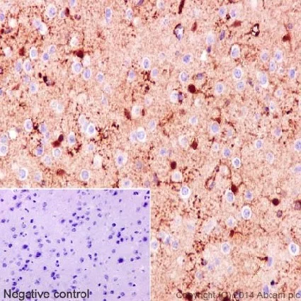
Immunohistochemistry (Formalin/PFA-fixed paraffin-embedded sections) - Anti-S100 beta antibody [EP1576Y] - Astrocyte Marker (AB52642)
  • IHC-P

Unknown

Immunohistochemistry (Formalin/PFA-fixed paraffin-embedded sections) - Anti-S100 beta antibody [EP1576Y] - Astrocyte Marker (AB52642)

Immunohistochemical analysis of paraffin embedded human cerebral cortex tissue labeling S100 beta with purified ab52642 at 1/1000 dilution. Secondary antibody was Goat Anti-Rabbit IgG H&L (HRP) (ab97051) at 1/500 dilution. Counter stain : Hematoxylin.

Negative control : Using PBS instead of primary antibody.

Perform heat mediated antigen retrieval with Tris/EDTA buffer pH 9.0 before commencing with IHC staining protocol.

Immunohistochemistry (Formalin/PFA-fixed paraffin-embedded sections) - Anti-S100 beta antibody [EP1576Y] - Astrocyte Marker (AB52642)
  • IHC-P

Lab

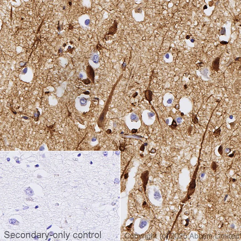
Immunohistochemistry (Formalin/PFA-fixed paraffin-embedded sections) - Anti-S100 beta antibody [EP1576Y] - Astrocyte Marker (AB52642)

Immunohistochemical analysis of formalin fixed paraffin embedded human cerebrum labelling S100 beta with ab52642 at a concentration of 0.01 µg/ml. The immunostaining was performed on a Ventana DISCOVERY ULTRA (Roche Tissue Diagnostics) instrument with an OptiView DAB IHC Detection Kit. Heat mediated antigen retrieval was conducted for 32 mins at 100°C with ULTRA cell conditioning solution (CC1, pH 8.5). ab52642 anti-S100 beta antibody [EP1576Y] was incubated at 37°C for 16 mins. Sections were counterstained with Hematoxylin II. Image inset shows absence of staining in secondary antibody only control.

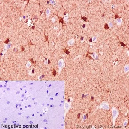
Immunohistochemistry (Formalin/PFA-fixed paraffin-embedded sections) - Anti-S100 beta antibody [EP1576Y] - Astrocyte Marker (AB52642)
  • IHC-P

Lab

Immunohistochemistry (Formalin/PFA-fixed paraffin-embedded sections) - Anti-S100 beta antibody [EP1576Y] - Astrocyte Marker (AB52642)

Immunohistochemical analysis of paraffin-embedded human Alzheimer's brain tissue* labelling S100B with ab52642 at 1ug/ml followed by a ready to use LeicaDS9800 (Bond Polymer Refine Detection).

Positive staining in human Alzheimer's brain.

The section was incubated with ab52642 for 30 mins at room temperature. The immunostaining was performed on a Leica Biosystems BOND® RX instrument. Counterstained with Hematoxylin.

Secondary antibody only control : Secondary antibody is a ready to use LeicaDS9800 (Bond Polymer Refine Detection).

Heat mediated antigen retrieval with sodium citrate buffer (pH 6.0 epitope retrieval solution1) for 20 mins.

*Tissue obtained from the Human Research Tissue Bank, supported by the NIHR Cambridge Biomedical Research Centre.

Immunohistochemistry (Formalin/PFA-fixed paraffin-embedded sections) - Anti-S100 beta antibody [EP1576Y] - Astrocyte Marker (AB52642)
  • IHC-P

Supplier Data

Immunohistochemistry (Formalin/PFA-fixed paraffin-embedded sections) - Anti-S100 beta antibody [EP1576Y] - Astrocyte Marker (AB52642)

S100 beta antibody ab52642 was used with Tissue Clearing Kit ab243298 to penetrate, stain and clear a 1 mm coronal section of mouse brain. Blue : DAPI, Green : S100 beta.

Learn more about tissue clearing kits, reagents, and protocols designed to make it easier to stain thick tissue sections and get more data from each valuable tissue section.

To use this antibody with tissue clearing, use Tissue Clearing Kit ab243298. For 1 mm brain sections, we recommend a starting dilution of 1/200, and also using Goat Anti-Rabbit IgG H&L Alexa Fluor® 488 (ab150077) at a dilution of 1/400.

Immunohistochemistry (Formalin/PFA-fixed paraffin-embedded sections) - Anti-S100 beta antibody [EP1576Y] - Astrocyte Marker (AB52642)
  • IHC-P

PubMed

Immunohistochemistry (Formalin/PFA-fixed paraffin-embedded sections) - Anti-S100 beta antibody [EP1576Y] - Astrocyte Marker (AB52642)

Immunohistochemical analysis of embryonic mouse brain tissue staining S100 beta with unpurified ab52642.

Perform heat mediated antigen retrieval with Tris/EDTA buffer pH 9.0 before commencing with IHC staining protocol.

Image from Selvadurai HJ & Mason JO. PLoS One. 2011;6(8):e23012. Epub 2011 Aug 8. Fig 5.; doi:10.1371/journal.pone.0023012; August 8 2011 PLoS ONE 6(8): e23012.

Immunohistochemistry (Formalin/PFA-fixed paraffin-embedded sections) - Anti-S100 beta antibody [EP1576Y] - Astrocyte Marker (AB52642)
  • IHC-P

PubMed

Immunohistochemistry (Formalin/PFA-fixed paraffin-embedded sections) - Anti-S100 beta antibody [EP1576Y] - Astrocyte Marker (AB52642)

S100 beta is present in CNV lesions.

A) S100 beta expression in a normal WT mouse retina. Strong immunoreactivity is present in the astrocytes (arrow). The position of the inner nuclear layer (INL) and outer nuclear layer (ONL) are indicted. Scale bar is 50 μm.

B) S100 beta expression in WT mouse retinal at day 7 post-laser treatment. S100B was detected in the outer plexiform layer (arrowheads). Strong S100 beta expression was detected at the site of CNV. Scale bar is 50 μm.

Image from Chen M et al. PLoS One. 2014;9(2):e89548. Fig 3.; doi: 10.1371/journal.pone.0089548.

Immunocytochemistry/ Immunofluorescence - Anti-S100 beta antibody [EP1576Y] - Astrocyte Marker (AB52642)
  • ICC/IF

Lab

Immunocytochemistry/ Immunofluorescence - Anti-S100 beta antibody [EP1576Y] - Astrocyte Marker (AB52642)

ab52642 staining S100 beta in primary rat neurons/glia DIV14 (prepared from E18 rat hippocampal brain area obtained from Transnetyx Tissue by BrainBits LLC cat.no. SDHEP). The cells were fixed with 100% methanol (5 min) permeabilized with 0.1% Triton X-100 for 5 minutes and then blocked with 1% BSA/10% normal goat serum/0.3M glycine in 0.1% PBS-Tween for 1h. The cells were then incubated overnight at +4°C with ab52642 at 5μg/ml and ab195883 Rat monoclonal to alpha Tubulin (Alexa Fluor® 488) at 2μg/ml (shown in green). The secondary antibody (shown in red) was ab150083 Alexa Fluor® 647 Goat anti-Rabbit IgG (H+L) used at a 1/1000 dilution for 1h at room temperature. Nuclear DNA was labelled with DAPI (shown in blue).

Image was taken with a confocal microscope (Leica-Microsystems TCS SP8).

Western blot - Anti-S100 beta antibody [EP1576Y] - Astrocyte Marker (AB52642)
  • WB

Supplier Data

Western blot - Anti-S100 beta antibody [EP1576Y] - Astrocyte Marker (AB52642)

Blocking and Diluting buffer and concentration : 5% NFDM/TBST.

All lanes:

Western blot - Anti-S100 beta antibody [EP1576Y] - Astrocyte Marker (ab52642) at 1/5000 dilution

All lanes:

A-375 (human malignant melanoma cell line) at 10 µg

Secondary

All lanes:

Goat Anti-Rabbit IgG, (H+L), Peroxidase conjugated at 1/1000 dilution

Predicted band size: 10 kDa

Observed band size: 11 kDa

false

Western blot - Anti-S100 beta antibody [EP1576Y] - Astrocyte Marker (AB52642)
  • WB

Lab

Western blot - Anti-S100 beta antibody [EP1576Y] - Astrocyte Marker (AB52642)

Blocking and diluting buffer and concentration : 5% NFDM/TBST.

We recommend using a 14% SDS-PAGE gel to obtain a clear and strong S100β band.

Lanes 1 and 3:

Western blot - Anti-S100 beta antibody [EP1576Y] - Astrocyte Marker (ab52642) at 1/1000 dilution

Lanes 2 and 4:

Western blot - Anti-S100 beta antibody [EP1576Y] - Astrocyte Marker (ab52642) at 1/10000 dilution

All lanes:

A375 ( human malignant melanoma epithelial cell) whole cell lysate at 20 µg

Secondary

All lanes:

Western blot - Goat Anti-Rabbit IgG H&L (HRP) (<a href='/en-us/products/secondary-antibodies/goat-rabbit-igg-h-l-hrp-ab97051'>ab97051</a>) at 1/20000 dilution

Observed band size: 10 kDa

false

Exposure time: 140s

Western blot - Anti-S100 beta antibody [EP1576Y] - Astrocyte Marker (AB52642)
  • WB

Supplier Data

Western blot - Anti-S100 beta antibody [EP1576Y] - Astrocyte Marker (AB52642)

Blocking and Diluting buffer and concentration : 5% NFDM/TBST.

All lanes:

Western blot - Anti-S100 beta antibody [EP1576Y] - Astrocyte Marker (ab52642) at 1/10000 dilution

Lane 1:

Mouse spinal cord at 20 µg

Lane 2:

Rat brain at 20 µg

Secondary

All lanes:

Goat Anti-Rabbit IgG, (H+L), Peroxidase conjugated at 1/1000 dilution

Predicted band size: 10 kDa

Observed band size: 11 kDa

false

Western blot - Anti-S100 beta antibody [EP1576Y] - Astrocyte Marker (AB52642)
  • WB

Supplier Data

Western blot - Anti-S100 beta antibody [EP1576Y] - Astrocyte Marker (AB52642)

Blocking and Diluting buffer and concentration : 5% NFDM/TBST.

All lanes:

Western blot - Anti-S100 beta antibody [EP1576Y] - Astrocyte Marker (ab52642) at 1/5000 dilution

All lanes:

B16F0 (mouse melanoma cell line) at 10 µg

Secondary

All lanes:

Goat Anti-Rabbit IgG, (H+L), Peroxidase conjugated at 1/1000 dilution

Predicted band size: 10 kDa

Observed band size: 11 kDa

false

Immunohistochemistry (Frozen sections) - Anti-S100 beta antibody [EP1576Y] - Astrocyte Marker (AB52642)
  • IHC-Fr

Unknown

Immunohistochemistry (Frozen sections) - Anti-S100 beta antibody [EP1576Y] - Astrocyte Marker (AB52642)

Immunohistochemistry (Frozen sections) analysis of rat cerebrum tissue sections labeling S100 beta with purified ab52642 at 1/100 (9.9 μg/ml) dilution. Heat mediated antigen retrieval using sodium citrate buffer (10mM citrate pH 6.0 + 0.05% Tween-20). Goat anti rabbit IgG (Alexa Fluor® 488 ab150077) was used as the secondary antibody. Negative control : PBS instead of the primary antibody. DAPI was used as a counterstain.

Immunohistochemistry (Formalin/PFA-fixed paraffin-embedded sections) - Anti-S100 beta antibody [EP1576Y] - Astrocyte Marker (AB52642)
  • IHC-P

Unknown

Immunohistochemistry (Formalin/PFA-fixed paraffin-embedded sections) - Anti-S100 beta antibody [EP1576Y] - Astrocyte Marker (AB52642)

Immunohistochemical analysis of paraffin embedded rat cerebral cortex tissue labeling S100 beta with purified ab52642 at 1/1000 dilution. Secondary antibody was Goat Anti-Rabbit IgG H&L (HRP) (ab97051) at 1/500 dilution. Counter stain : Hematoxylin.

Negative control : Using PBS instead of primary antibody.

Perform heat mediated antigen retrieval with Tris/EDTA buffer pH 9.0 before commencing with IHC staining protocol.

Immunohistochemistry (Formalin/PFA-fixed paraffin-embedded sections) - Anti-S100 beta antibody [EP1576Y] - Astrocyte Marker (AB52642)
  • IHC-P

PubMed

Immunohistochemistry (Formalin/PFA-fixed paraffin-embedded sections) - Anti-S100 beta antibody [EP1576Y] - Astrocyte Marker (AB52642)

Immunofluorescent imaging of native and acellular human peripheral nerve sections stained for the axon protein Neurofilaments (NF200), the Schwann's cell marker S100β (ab52642) and for the extracellular matrix proteins Laminin and Collagen IV. Sections were counterstained with DAPI to confirm the removal of the cell nuclei upon decellularization (scale bar : 100 μm).

Image from Gerli MFM et al. PLoS One. 2018;13(1):e0191497 Fig 3.; doi: 10.1371/journal.pone.0191497.

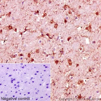
Immunohistochemistry (Formalin/PFA-fixed paraffin-embedded sections) - Anti-S100 beta antibody [EP1576Y] - Astrocyte Marker (AB52642)
  • IHC-P

Unknown

Immunohistochemistry (Formalin/PFA-fixed paraffin-embedded sections) - Anti-S100 beta antibody [EP1576Y] - Astrocyte Marker (AB52642)

Immunohistochemical analysis of paraffin embedded mouse cerebral cortex tissue labeling S100 beta with purified ab52642 at 1/1000 dilution. Secondary antibody was Goat Anti-Rabbit IgG H&L (HRP) (ab97051) at 1/500 dilution. Counter stain : Hematoxylin.

Negative control : Using PBS instead of primary antibody.

Perform heat mediated antigen retrieval with Tris/EDTA buffer pH 9.0 before commencing with IHC staining protocol.

Immunohistochemistry (Formalin/PFA-fixed paraffin-embedded sections) - Anti-S100 beta antibody [EP1576Y] - Astrocyte Marker (AB52642)
  • IHC-P

AbReview37991****

Immunohistochemistry (Formalin/PFA-fixed paraffin-embedded sections) - Anti-S100 beta antibody [EP1576Y] - Astrocyte Marker (AB52642)

Unpurified ab52642 staining S100 beta in human spiral ganglion tissue sections by Immunohistochemistry (IHC-P - paraformaldehyde-fixed, paraffin-embedded sections). Tissue was fixed with paraformaldehyde and blocked with 1% BSA for 30 minutes at room temperature; antigen retrieval was by heat mediation in citrate buffer, pH 6.0. Samples were incubated with primary antibody (1/200 in PBS-T + 1% BSA) for 12 hours. An Alexa Fluor® 488-conjugated Donkey anti-rabbit IgG polyclonal (1/500) was used as the secondary antibody.

This image is courtesy of an Abreview submitted by Heiko Locher.

Immunohistochemistry (Frozen sections) - Anti-S100 beta antibody [EP1576Y] - Astrocyte Marker (AB52642)
  • IHC-Fr

Unknown

Immunohistochemistry (Frozen sections) - Anti-S100 beta antibody [EP1576Y] - Astrocyte Marker (AB52642)

Immunohistochemistry (Frozen sections) analysis of mouse cerebrum tissue sections labeling S100 beta with purified ab52642 at 1/100 (9.9 μg/ml) dilution. Heat mediated antigen retrieval using sodium citrate buffer (10mM citrate pH 6.0 + 0.05% Tween-20). Goat anti rabbit IgG (Alexa Fluor® 488 ab150077) was used as the secondary antibody. Negative control : PBS instead of the primary antibody. DAPI was used as a counterstain.

Immunohistochemistry (Frozen sections) - Anti-S100 beta antibody [EP1576Y] - Astrocyte Marker (AB52642)
  • IHC-Fr

Lab

Immunohistochemistry (Frozen sections) - Anti-S100 beta antibody [EP1576Y] - Astrocyte Marker (AB52642)

IHC image of S100 beta staining in a section of frozen normal human cerebral cortex performed on a Leica BONDTM system using the standard protocol. The section was fixed in 10% paraformaldehyde (10 min) prior to staining. The section was incubated with ab16659, 1/5000 dilution, for 15 mins at room temperature and detected using an HRP conjugated compact polymer system. DAB was used as the chromogen. The section was then counterstained with haematoxylin and mounted with DPX. The inset secondary-only control image is taken from an identical assay without primary antibody.

For other IHC staining systems (automated and non-automated) customers should optimize variable parameters such as antigen retrieval conditions, primary antibody concentration and antibody incubation times.

Immunocytochemistry/ Immunofluorescence - Anti-S100 beta antibody [EP1576Y] - Astrocyte Marker (AB52642)
  • ICC/IF

Unknown

Immunocytochemistry/ Immunofluorescence - Anti-S100 beta antibody [EP1576Y] - Astrocyte Marker (AB52642)

Immunofluorescent analysis of 4% paraformaldehyde-fixed 0.1% Triton X-100 A-375 (human malignant melanoma cell line) cells labeling S100 beta with purified ab52642 at 1/100 dilution followed by Goat anti rabbit IgG (Alexa Fluor® 488) ab150077 secondary antibody at 1/500 dilution (green). The nuclear counter stain is DAPI (blue). The negative control is as follows;
ab52642 at 1/100 dilution followed by ab150120 (AlexaFluor®594 Goat anti-Mouse secondary) at 1/500 dilution.

OI-RD Scanning - Anti-S100 beta antibody [EP1576Y] - Astrocyte Marker (AB52642)
  • OI-RD Scanning

Unknown

OI-RD Scanning - Anti-S100 beta antibody [EP1576Y] - Astrocyte Marker (AB52642)

We have systematically measured KD (the equilibrium dissociation constant between the antibody and its antigen), of more than 840 recombinant antibodies to assess not only their individual KD values but also to see the average affinity of antibody. Based on the comparison with published literature values for mouse monoclonal antibodies, Recombinant antibodies appear to be on average 1-2 order of magnitude higher affinity.

  • Carrier free

    Anti-S100 beta antibody [EP1576Y] - BSA and Azide free

  • 617 Alexa Fluor® 594

    Alexa Fluor® 594 Anti-S100 beta antibody [EP1576Y] - Astrocyte Marker

  • 603 Alexa Fluor® 568

    Alexa Fluor® 568 Anti-S100 beta antibody [EP1576Y] - Astrocyte Marker

  • 519 Alexa Fluor® 488

    Alexa Fluor® 488 Anti-S100 beta antibody [EP1576Y] - Astrocyte Marker

  • HRP

    HRP Anti-S100 beta antibody [EP1576Y] - Astrocyte Marker

  • 665 Alexa Fluor® 647

    Alexa Fluor® 647 Anti-S100 beta antibody [EP1576Y] - Astrocyte Marker

  • 565 Alexa Fluor® 555

    Alexa Fluor® 555 Anti-S100 beta antibody [EP1576Y] - Astrocyte Marker

Key facts

Host species

Rabbit

Clonality

Monoclonal

Clone number

EP1576Y

Isotype

IgG

Carrier free

No

Reacts with

Mouse, Rat, Human

Applications

WB, ICC/IF, IHC-P, IHC-Fr

applications

Immunogen

The exact immunogen used to generate this antibody is proprietary information.

Reactivity data

{ "title": "Reactivity Data", "filters": { "stats": ["", "Species", "Dilution Info", "Notes"], "tabs": { "all-applications": {"fullname" : "All Applications", "shortname": "All Applications"}, "IP" : {"fullname" : "Immunoprecipitation", "shortname":"IP"}, "WB" : {"fullname" : "Western blot", "shortname":"WB"}, "ICCIF" : {"fullname" : "Immunocytochemistry/ Immunofluorescence", "shortname":"ICC/IF"}, "IHCP" : {"fullname" : "Immunohistochemistry (Formalin/PFA-fixed paraffin-embedded sections)", "shortname":"IHC-P"}, "IHCFr" : {"fullname" : "Immunohistochemistry (Frozen sections)", "shortname":"IHC-Fr"} }, "product-promise": { "all": "all", "testedAndGuaranteed": "tested", "guaranteed": "expected", "predicted": "predicted", "notRecommended": "not-recommended" } }, "values": { "Human": { "IP-species-checked": "notRecommended", "IP-species-dilution-info": "", "IP-species-notes": "<p></p>", "WB-species-checked": "testedAndGuaranteed", "WB-species-dilution-info": "1/1000 - 1/5000", "WB-species-notes": "<p></p>", "ICCIF-species-checked": "testedAndGuaranteed", "ICCIF-species-dilution-info": "1/100", "ICCIF-species-notes": "<p></p>", "IHCP-species-checked": "testedAndGuaranteed", "IHCP-species-dilution-info": "1/200 - 1/1000", "IHCP-species-notes": "<p></p> Perform heat-mediated antigen retrieval before commencing with IHC staining protocol.", "IHCFr-species-checked": "testedAndGuaranteed", "IHCFr-species-dilution-info": "", "IHCFr-species-notes": "<p>Heat mediated antigen retrieval using sodium citrate buffer (10mM citrate pH 6.0 + 0.05% Tween-20).</p>" }, "Mouse": { "IP-species-checked": "notRecommended", "IP-species-dilution-info": "", "IP-species-notes": "", "WB-species-checked": "testedAndGuaranteed", "WB-species-dilution-info": "1/1000 - 1/5000", "WB-species-notes": "<p></p>", "ICCIF-species-checked": "guaranteed", "ICCIF-species-dilution-info": "", "ICCIF-species-notes": "", "IHCP-species-checked": "testedAndGuaranteed", "IHCP-species-dilution-info": "", "IHCP-species-notes": "<p></p> Perform heat-mediated antigen retrieval before commencing with IHC staining protocol.", "IHCFr-species-checked": "testedAndGuaranteed", "IHCFr-species-dilution-info": "1/200 - 1/1000", "IHCFr-species-notes": "<p>Heat mediated antigen retrieval using sodium citrate buffer (10mM citrate pH 6.0 + 0.05% Tween-20).</p>" }, "Rat": { "IP-species-checked": "notRecommended", "IP-species-dilution-info": "", "IP-species-notes": "", "WB-species-checked": "testedAndGuaranteed", "WB-species-dilution-info": "1/1000 - 1/5000", "WB-species-notes": "<p></p>", "ICCIF-species-checked": "testedAndGuaranteed", "ICCIF-species-dilution-info": "1/100", "ICCIF-species-notes": "<p></p>", "IHCP-species-checked": "testedAndGuaranteed", "IHCP-species-dilution-info": "1/200 - 1/1000", "IHCP-species-notes": "<p></p> Perform heat-mediated antigen retrieval before commencing with IHC staining protocol.", "IHCFr-species-checked": "testedAndGuaranteed", "IHCFr-species-dilution-info": "", "IHCFr-species-notes": "<p>Heat mediated antigen retrieval using sodium citrate buffer (10mM citrate pH 6.0 + 0.05% Tween-20).</p>" }, "Goat": { "IP-species-checked": "notRecommended", "IP-species-dilution-info": "", "IP-species-notes": "", "WB-species-checked": "predicted", "WB-species-dilution-info": "", "WB-species-notes": "", "ICCIF-species-checked": "predicted", "ICCIF-species-dilution-info": "", "ICCIF-species-notes": "", "IHCP-species-checked": "predicted", "IHCP-species-dilution-info": "", "IHCP-species-notes": "", "IHCFr-species-checked": "predicted", "IHCFr-species-dilution-info": "", "IHCFr-species-notes": "" }, "Macaque monkey": { "IP-species-checked": "notRecommended", "IP-species-dilution-info": "", "IP-species-notes": "", "WB-species-checked": "predicted", "WB-species-dilution-info": "", "WB-species-notes": "", "ICCIF-species-checked": "predicted", "ICCIF-species-dilution-info": "", "ICCIF-species-notes": "", "IHCP-species-checked": "predicted", "IHCP-species-dilution-info": "", "IHCP-species-notes": "", "IHCFr-species-checked": "predicted", "IHCFr-species-dilution-info": "", "IHCFr-species-notes": "" }, "Zebrafish": { "IP-species-checked": "notRecommended", "IP-species-dilution-info": "", "IP-species-notes": "", "WB-species-checked": "predicted", "WB-species-dilution-info": "", "WB-species-notes": "", "ICCIF-species-checked": "predicted", "ICCIF-species-dilution-info": "", "ICCIF-species-notes": "", "IHCP-species-checked": "predicted", "IHCP-species-dilution-info": "", "IHCP-species-notes": "", "IHCFr-species-checked": "predicted", "IHCFr-species-dilution-info": "", "IHCFr-species-notes": "" } } }

You may be interested in:

AB314846

Human S100B ELISA Kit - Extracellular

0

0 Reviews

View product

We recommend this product because it’s often used in the same experiment or related research.

We advise that you always check the datasheet to ensure it fits your experiments, or contact ourtechnical teamfor help.

Product details

Anti-S100 beta antibody [EP1576Y] - Astrocyte Marker (ab52642) was developed by Abcam using patented rabbit monoclonal antibody technology and is validated for use in ICC/IF, IHC-Fr IHC-P and WB.

Anti-S100 beta antibody [EP1576Y] - Astrocyte Marker (ab52642) was first used in a scientific publication in 2009 and has been cited over 399 times in peer reviewed journals. It's performance in IHC in mouse and human samples is trusted by the scientific community.

Abcam's high quality manufacturing and validation processes ensure Anti-S100 beta antibody [EP1576Y] - Astrocyte Marker (ab52642) has high sensitivity and specificity alongside high lot-to-lot consistency and reproducibility.

Anti-S100 beta antibody [EP1576Y] - Astrocyte Marker (ab52642) has 35 independent reviews from customers.

Anti-S100 beta antibody [EP1576Y] - Astrocyte Marker (ab52642) specifically detects S100 beta (UniProt ID: P04271; Molecular weight: 11kDa) and is sold in 100 µL and 1 mL selling sizes.

Conjugation-ready, carrier free format available for antibody clone EP1576Y - ab215989.

Antibody clone EP1576Y is also available pre-conjugated to a variety of labels for your convenience - HRP, Alexa Fluor® 647, Alexa Fluor® 594, Alexa Fluor® 488, Alexa Fluor® 555, Alexa Fluor® 568 (ab195535, ab196175, ab307851, ab310990, ab313219, ab313817).

S100B is a calcium-binding protein widely used in neuro research, particularly for its role as a biomarker in neurological diseases. It is expressed in glial cells and certain neurons and its levels can indicate brain injury and neuroinflammation. Researchers use S100B to assess glial activation and neuronal damage in conditions such as traumatic brain injury, stroke and neurodegenerative diseases (e.g. Alzheimer's disease). This makes S100B essential for understanding the extent of brain damage and the inflammatory response in various neurological disorders.

Patented technology
Our RabMAb® technology is a patented hybridoma-based technology for making rabbit monoclonal antibodies. For details on our patents, please refer to RabMAb® patents.

What are the advantages of a recombinant monoclonal antibody?
This product is a recombinant monoclonal antibody, which offers several advantages including:

  • - High batch-to-batch consistency and reproducibility
  • - Improved sensitivity and specificity
  • - Long-term security of supply
  • - Animal-free batch production

For more information, read more on recombinant antibodies.

Properties and storage information

Form
Liquid
Purification technique
Affinity purification Protein A
Storage buffer
pH: 7.2 - 7.4 Preservative: 0.01% Sodium azide Constituents: 59% PBS, 40% Glycerol (glycerin, glycerine), 0.05% BSA
Shipped at conditions
Blue Ice
Appropriate short-term storage duration
1-2 weeks
Appropriate short-term storage conditions
+4°C
Appropriate long-term storage conditions
-20°C
Aliquoting information
Upon delivery aliquot
Storage information
Avoid freeze / thaw cycle

Supplementary information

This supplementary information is collated from multiple sources and compiled automatically.

The protein S100 beta also known simply as S100B is a member of the S100 protein family which consists of low-molecular-weight proteins characterized by the presence of two EF-hand calcium-binding motifs. It has a mass of approximately 10.7 kDa. S100 beta is abundantly expressed in astrocytes oligodendrocytes and Schwann cells within the central nervous system and is also found in a variety of other tissues. Additionally the protein often serves as a beta marker in these cells and plays a role in regulating intracellular calcium levels and cell proliferation.
Biological function summary

The functions of S100 beta involve modulating a range of cellular processes such as the dynamics of cytoskeleton cell growth and differentiation. It does not act alone but often forms homodimers or heterodimers and engages with target proteins influencing their activity. The expression and release of S100 beta can affect neuron growth and survival which makes it notable as one of the astrocyte markers used in immunohistochemistry to study neural tissue and brain injury responses.

Pathways

Research has shown that S100 beta actively participates in the regulation of important signaling pathways including the ERK and NF-κB pathways. These pathways are involved in various cellular responses like inflammation and cell survival. In its signaling roles S100 beta functions in connection with proteins like the receptor for advanced glycation end-products (RAGE) helping to transmit extracellular signals into the cell.

S100 beta has become associated with certain neurodegenerative diseases and cancer. Elevated levels of S100 beta have been observed in patients with Alzheimer's disease where the protein is believed to influence tau phosphorylation and amyloid-beta formation alongside interactions with proteins like tau. In the context of melanoma S100 beta serves as a marker indicating tumor progression and its interactions with proteins involved in cellular proliferation highlight its role in the disease process.

Product protocols

For this product, it's our understanding that no specific protocols are required. You can visit:

Target data

Small zinc- and- and calcium-binding protein that is highly expressed in astrocytes and constitutes one of the most abundant soluble proteins in brain (PubMed : 20950652, PubMed : 6487634). Weakly binds calcium but binds zinc very tightly-distinct binding sites with different affinities exist for both ions on each monomer (PubMed : 20950652, PubMed : 6487634). Physiological concentrations of potassium ion antagonize the binding of both divalent cations, especially affecting high-affinity calcium-binding sites (By similarity). Acts as a neurotrophic factor that promotes astrocytosis and axonal proliferation (By similarity). Involved in innervation of thermogenic adipose tissue by acting as an adipocyte-derived neurotrophic factor that promotes sympathetic innervation of adipose tissue (By similarity). Binds to and initiates the activation of STK38 by releasing autoinhibitory intramolecular interactions within the kinase (By similarity). Interaction with AGER after myocardial infarction may play a role in myocyte apoptosis by activating ERK1/2 and p53/TP53 signaling (By similarity). Could assist ATAD3A cytoplasmic processing, preventing aggregation and favoring mitochondrial localization (PubMed : 20351179). May mediate calcium-dependent regulation on many physiological processes by interacting with other proteins, such as TPR-containing proteins, and modulating their activity (PubMed : 22399290).
See full target information S100B

Publications (399)

Recent publications for all applications. Explore the full list and refine your search

Journal of neuroinflammation 20:295 PubMed38082296

2023

Vesicular HMGB1 release from neurons stressed with spreading depolarization enables confined inflammatory signaling to astrocytes.

Applications

Unspecified application

Species

Unspecified reactive species

Zeynep Kaya,Nevin Belder,Melike Sever-Bahcekapili,Buket Donmez-Demir,Şefik Evren Erdener,Naz Bozbeyoglu,Canan Bagci,Emine Eren-Kocak,Muge Yemisci,Hulya Karatas,Esra Erdemli,Ihsan Gursel,Turgay Dalkara

Frontiers in immunology 14:1283331 PubMed38146365

2023

Blockade of mGluR5 in astrocytes derived from human iPSCs modulates astrocytic function and increases phagocytosis.

Applications

Unspecified application

Species

Unspecified reactive species

Izabella B Q de Lima,Pablo L Cardozo,Julia S Fahel,Juliana P S Lacerda,Aline S Miranda,Antônio L Teixeira,Fabiola M Ribeiro

Scientific reports 13:21214 PubMed38040829

2023

Mechanisms of Wharton's Jelly-derived MSCs in enhancing peripheral nerve regeneration.

Applications

Unspecified application

Species

Unspecified reactive species

Young Ho Shin,Soon Jin Choi,Jae Kwang Kim

Communications medicine 3:170 PubMed38017287

2023

AAV-mediated editing of PMP22 rescues Charcot-Marie-Tooth disease type 1A features in patient-derived iPS Schwann cells.

Applications

Unspecified application

Species

Unspecified reactive species

Yuki Yoshioka,Juliana Bosso Taniguchi,Hidenori Homma,Takuya Tamura,Kyota Fujita,Maiko Inotsume,Kazuhiko Tagawa,Kazuharu Misawa,Naomichi Matsumoto,Masanori Nakagawa,Haruhisa Inoue,Hikari Tanaka,Hitoshi Okazawa

Nature neuroscience 26:2104-2121 PubMed37957317

2023

The APOE-R136S mutation protects against APOE4-driven Tau pathology, neurodegeneration and neuroinflammation.

Applications

Unspecified application

Species

Unspecified reactive species

Maxine R Nelson,Peng Liu,Ayushi Agrawal,Oscar Yip,Jessica Blumenfeld,Michela Traglia,Min Joo Kim,Nicole Koutsodendris,Antara Rao,Brian Grone,Yanxia Hao,Seo Yeon Yoon,Qin Xu,Samuel De Leon,Tenzing Choenyi,Reuben Thomas,Francisco Lopera,Yakeel T Quiroz,Joseph F Arboleda-Velasquez,Eric M Reiman,Robert W Mahley,Yadong Huang

Frontiers in cellular neuroscience 17:1154196 PubMed38026691

2023

Activity-dependent oligodendrocyte calcium dynamics and their changes in Alzheimer's disease.

Applications

Unspecified application

Species

Unspecified reactive species

Kenji Yoshida,Daisuke Kato,Shouta Sugio,Ikuko Takeda,Hiroaki Wake

iScience 26:108306 PubMed38026209

2023

Preclinical long-term safety of intraspinal transplantation of human dorsal spinal GABA neural progenitor cells.

Applications

Unspecified application

Species

Unspecified reactive species

Xiaolong Zheng,Zhixian Liu,Ziyu He,Jia Xu,YaNan Wang,ChenZi Gong,Ruoying Zhang,Su-Chun Zhang,Hong Chen,Wei Wang

Nature communications 14:6341 PubMed37816732

2023

Subventricular zone cytogenesis provides trophic support for neural repair in a mouse model of stroke.

Applications

Unspecified application

Species

Unspecified reactive species

Michael R Williamson,Stephanie P Le,Ronald L Franzen,Nicole A Donlan,Jill L Rosow,Mathilda S Nicot-Cartsonis,Alexis Cervantes,Benjamin Deneen,Andrew K Dunn,Theresa A Jones,Michael R Drew

Drug development research 84:1739-1750 PubMed37769152

2023

Fluoxetine enhances the antitumor effect of olfactory ensheathing cell-thymidine kinase/ganciclovir gene therapy in human glioblastoma multiforme cells through upregulation of Connexin43 levels.

Applications

Unspecified application

Species

Unspecified reactive species

Saereh Hosseindoost,Ahmad R Dehpour,Samaneh Dehghan,Seyed A H Javadi,Babak Arjmand,Ali Fallah,Mahmoudreza Hadjighassem

Frontiers in immunology 14:1229414 PubMed37675123

2023

Distribution of macrophages in the developing cochlea of the common marmoset, a primate model animal.

Applications

Unspecified application

Species

Unspecified reactive species

Makoto Hosoya,Tsubasa Kitama,Marie N Shimanuki,Takanori Nishiyama,Naoki Oishi,Hideyuki Okano,Hiroyuki Ozawa
View all publications

Product promise

We are committed to supporting your work with high-quality reagents, and we're here for you every step of the way. In the unlikely event that one of our products does not perform as expected, you're protected by our Product Promise.
For full details, please see our Terms & Conditions

Associated Products

Select an associated product type
Alternative Product
Primary Antibodies

AB218513

Anti-S100 beta antibody [4C4.9] - Astrocyte Marker

primary-antibodies

s100-beta-antibody-4c49-astrocyte-marker-ab218513

3

(1 reviews)

Alternative Product
Primary Antibodies

AB218956

Anti-S100 beta antibody [S100B/1012] - BSA and Azide free

primary-antibodies

s100-beta-antibody-s100b-1012-bsa-and-azide-free-ab218956

0

(0 reviews)

Alternative Product
Primary Antibodies

AB218515

Anti-S100 beta antibody [S100B/1012] - Astrocyte Marker

primary-antibodies

s100-beta-antibody-s100b-1012-astrocyte-marker-ab218515

0

(1 reviews)

Alternative Product
Primary Antibodies

AB227914

Anti-S100 beta antibody - Astrocyte Marker

primary-antibodies

s100-beta-antibody-astrocyte-marker-ab227914

5

(1 reviews)

Alternative Product
Primary Antibodies

AB212816

Anti-S100 beta antibody [4C4.9] - BSA and Azide free

primary-antibodies

s100-beta-antibody-4c49-bsa-and-azide-free-ab212816

0

(0 reviews)

Alternative Product
Primary Antibodies

AB41548

Anti-S100 beta antibody - Astrocyte Marker

primary-antibodies

s100-beta-antibody-astrocyte-marker-ab41548

4

(18 reviews)

Alternative Product
Primary Antibodies

AB242388

Anti-S100 beta antibody [SP127] - BSA and Azide free

primary-antibodies

s100-beta-antibody-sp127-bsa-and-azide-free-ab242388

0

(0 reviews)

Alternative Product
Primary Antibodies

AB218514

Anti-S100 beta antibody [SPM354] - Astrocyte Marker

primary-antibodies

s100-beta-antibody-spm354-astrocyte-marker-ab218514

0

(0 reviews)

Alternative Product
Primary Antibodies

AB115803

Anti-S100 beta antibody [SP127] - Astrocyte Marker

primary-antibodies

s100-beta-antibody-sp127-astrocyte-marker-ab115803

0

(0 reviews)

Please note: All products are 'FOR RESEARCH USE ONLY. NOT FOR USE IN DIAGNOSTIC OR THERAPEUTIC PROCEDURES'.

For licensing inquiries, please contact partnerships@abcam.com