JavaScript is disabled in your browser. Please enable JavaScript to view this website.
AB218515

Anti-S100 beta antibody [S100B/1012] - Astrocyte Marker

0

(1 Review)

|

(5 Publications)

Mouse Monoclonal S100 beta antibody. Suitable for ICC, Protein Array, IHC-P and reacts with Human, Recombinant full length protein - Human samples. Cited in 5 publications. Immunogen corresponding to Recombinant Full Length Protein corresponding to Human S100B.

View Alternative Names

Protein S100-B, S-100 protein beta chain, S-100 protein subunit beta, S100 calcium-binding protein B, S100B

4 Images
Immunohistochemistry (Formalin/PFA-fixed paraffin-embedded sections) - Anti-S100 beta antibody [S100B/1012] - Astrocyte Marker (AB218515)
  • IHC-P

Supplier Data

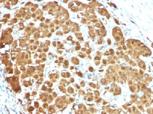
Immunohistochemistry (Formalin/PFA-fixed paraffin-embedded sections) - Anti-S100 beta antibody [S100B/1012] - Astrocyte Marker (AB218515)

Immunohistochemical analysis of formalin-fixed, paraffin-embedded Human schwanoma tissue labeling S100 beta with ab218515 at 0.5 μg/mL.

Immunohistochemistry (Formalin/PFA-fixed paraffin-embedded sections) - Anti-S100 beta antibody [S100B/1012] - Astrocyte Marker (AB218515)
  • IHC-P

Supplier Data

Immunohistochemistry (Formalin/PFA-fixed paraffin-embedded sections) - Anti-S100 beta antibody [S100B/1012] - Astrocyte Marker (AB218515)

Immunohistochemical analysis of formalin-fixed, paraffin-embedded Human melanoma tissue labeling S100 beta with ab218515 at 0.5 μg/mL.

Immunocytochemistry - Anti-S100 beta antibody [S100B/1012] - Astrocyte Marker (AB218515)
  • ICC

Supplier Data

Immunocytochemistry - Anti-S100 beta antibody [S100B/1012] - Astrocyte Marker (AB218515)

Immunocytochemistry analysis of A2058 (human epithelial melanoma cell line) cells labeling S100 beta with ab218515 conjugated to AF488 (green). F-actin filaments were labeled with DyLight® 554 Phalloidin (red). DAPI was used to stain the cell nuclei (blue).

Protein Array - Anti-S100 beta antibody [S100B/1012] - Astrocyte Marker (AB218515)
  • Protein Array

Unknown

Protein Array - Anti-S100 beta antibody [S100B/1012] - Astrocyte Marker (AB218515)

ab218515 was tested in protein array against over 19000 different full-length human proteins.
Z- and S- Score : The Z-score represents the strength of a signal that a monoclonal antibody (MAb) (in combination with a fluorescently-tagged anti-IgG secondary antibody) produces when binding to a particular protein on the HuProtTM array. Z-scores are described in units of standard deviations (SD's) above the mean value of all signals generated on that array. If targets on HuProtTM are arranged in descending order of the Z-score, the S-score is the difference (also in units of SD's) between the Z-score. S-score therefore represents the relative target specificity of a MAb to its intended target.
A MAb is specific to its intended target if the MAb has an S-score of at least 2.5. For example, if a MAb binds to protein X with a Z-score of 43 and to protein Y with a Z-score of 14, then the S-score for the binding of that MAb to protein X is equal to 29.

Key facts

Host species

Mouse

Clonality

Monoclonal

Clone number

S100B/1012

Isotype

IgG2a

Light chain type

kappa

Carrier free

No

Reacts with

Human

Applications

Protein Array, IHC-P, ICC

applications

Immunogen

Recombinant Full Length Protein corresponding to Human S100B.

P04271

Reactivity data

{ "title": "Reactivity Data", "filters": { "stats": ["", "Species", "Dilution Info", "Notes"], "tabs": { "all-applications": {"fullname" : "All Applications", "shortname": "All Applications"}, "ICC" : {"fullname" : "Immunocytochemistry", "shortname":"ICC"}, "ProteinArray" : {"fullname" : "Protein Array", "shortname":"Protein Array"}, "IHCP" : {"fullname" : "Immunohistochemistry (Formalin/PFA-fixed paraffin-embedded sections)", "shortname":"IHC-P"} }, "product-promise": { "all": "all", "testedAndGuaranteed": "tested", "guaranteed": "expected", "predicted": "predicted", "notRecommended": "not-recommended" } }, "values": { "Human": { "ICC-species-checked": "testedAndGuaranteed", "ICC-species-dilution-info": "1-2 µg/mL", "ICC-species-notes": "<p></p>", "ProteinArray-species-checked": "guaranteed", "ProteinArray-species-dilution-info": "", "ProteinArray-species-notes": "", "IHCP-species-checked": "testedAndGuaranteed", "IHCP-species-dilution-info": "0.25-0.5 µg/mL", "IHCP-species-notes": "<p></p> Perform heat-mediated antigen retrieval with Tris/EDTA buffer pH 9.0 before commencing with IHC staining protocol." }, "Mouse": { "ICC-species-checked": "predicted", "ICC-species-dilution-info": "", "ICC-species-notes": "", "ProteinArray-species-checked": "predicted", "ProteinArray-species-dilution-info": "", "ProteinArray-species-notes": "", "IHCP-species-checked": "predicted", "IHCP-species-dilution-info": "", "IHCP-species-notes": "" }, "Rat": { "ICC-species-checked": "predicted", "ICC-species-dilution-info": "", "ICC-species-notes": "", "ProteinArray-species-checked": "predicted", "ProteinArray-species-dilution-info": "", "ProteinArray-species-notes": "", "IHCP-species-checked": "predicted", "IHCP-species-dilution-info": "", "IHCP-species-notes": "" }, "Cow": { "ICC-species-checked": "predicted", "ICC-species-dilution-info": "", "ICC-species-notes": "", "ProteinArray-species-checked": "predicted", "ProteinArray-species-dilution-info": "", "ProteinArray-species-notes": "", "IHCP-species-checked": "predicted", "IHCP-species-dilution-info": "", "IHCP-species-notes": "" }, "Rabbit": { "ICC-species-checked": "predicted", "ICC-species-dilution-info": "", "ICC-species-notes": "", "ProteinArray-species-checked": "predicted", "ProteinArray-species-dilution-info": "", "ProteinArray-species-notes": "", "IHCP-species-checked": "predicted", "IHCP-species-dilution-info": "", "IHCP-species-notes": "" }, "Recombinant full length protein - Human": { "ICC-species-checked": "notRecommended", "ICC-species-dilution-info": "", "ICC-species-notes": "", "ProteinArray-species-checked": "testedAndGuaranteed", "ProteinArray-species-dilution-info": "", "ProteinArray-species-notes": "<p></p>", "IHCP-species-checked": "notRecommended", "IHCP-species-dilution-info": "", "IHCP-species-notes": "" } } }

Properties and storage information

Form
Liquid
Purification technique
Affinity purification Protein A/G
Purification notes
ab218515 is purified from Bioreactor Concentrate by Protein A/G.
Storage buffer
pH: 7.2 - 7.4 Preservative: 0.05% Sodium azide Constituents: PBS, 0.05% BSA
Shipped at conditions
Blue Ice
Appropriate short-term storage duration
1-2 weeks
Appropriate short-term storage conditions
+4°C
Appropriate long-term storage conditions
-20°C
Aliquoting information
Upon delivery aliquot
Storage information
Avoid freeze / thaw cycle

Supplementary information

This supplementary information is collated from multiple sources and compiled automatically.

S100 beta also known as protein S100 is part of the S100 family of proteins characterized by their calcium-binding properties. The S100 beta protein has an approximate molecular mass of 10.7 kDa. This protein is mainly expressed in astrocytes a type of glial cell in the central nervous system. It acts as a marker for astrocytes and is prominently used in astrocyte immunohistochemistry. Additionally it serves as a valuable marker for identifying and studying astrocyte markers because it can highlight the presence of these cells in various contexts.
Biological function summary

The S100 beta protein participates in several intracellular and extracellular activities influencing cell proliferation and differentiation. It forms dimers and sometimes assembles into larger complexes mediated by the binding of calcium ions which alters its functional state. Within the nervous system S100 beta modulates the dynamics between neurons and glial cells affecting processes such as cell survival and neurite outgrowth. This dual role in both supporting and inhibiting various cellular actions highlights its importance in maintaining neural homeostasis.

Pathways

S100 beta engages in signaling pathways related to inflammation and stress responses. It works within the MAPK and NF-kB pathways playing roles in cellular responses to oxidative stress. These pathways involve interactions with other proteins like p53 which S100 beta can modulate to influence apoptosis. The regulatory properties of S100 beta in these pathways link it with broader networks affecting cell fate decisions under pathological and physiological conditions.

S100 beta is associated with neurodegenerative diseases and cancer. Elevated levels of S100 beta are often found in Alzheimer's disease where it interacts with proteins like amyloid-beta contributing to neuroinflammation and neurotoxicity. In cancer particularly malignant melanoma S100 beta levels serve as a biomarker for tumor progression. Its interactions with p53 and other regulatory proteins highlight its involvement in oncogenic processes emphasizing its potential as a target for therapeutic intervention in these diseases.

Product protocols

For this product, it's our understanding that no specific protocols are required. You can visit:

Target data

Small zinc- and- and calcium-binding protein that is highly expressed in astrocytes and constitutes one of the most abundant soluble proteins in brain (PubMed : 20950652, PubMed : 6487634). Weakly binds calcium but binds zinc very tightly-distinct binding sites with different affinities exist for both ions on each monomer (PubMed : 20950652, PubMed : 6487634). Physiological concentrations of potassium ion antagonize the binding of both divalent cations, especially affecting high-affinity calcium-binding sites (By similarity). Acts as a neurotrophic factor that promotes astrocytosis and axonal proliferation (By similarity). Involved in innervation of thermogenic adipose tissue by acting as an adipocyte-derived neurotrophic factor that promotes sympathetic innervation of adipose tissue (By similarity). Binds to and initiates the activation of STK38 by releasing autoinhibitory intramolecular interactions within the kinase (By similarity). Interaction with AGER after myocardial infarction may play a role in myocyte apoptosis by activating ERK1/2 and p53/TP53 signaling (By similarity). Could assist ATAD3A cytoplasmic processing, preventing aggregation and favoring mitochondrial localization (PubMed : 20351179). May mediate calcium-dependent regulation on many physiological processes by interacting with other proteins, such as TPR-containing proteins, and modulating their activity (PubMed : 22399290).
See full target information S100B

Publications (5)

Recent publications for all applications. Explore the full list and refine your search

Cell reports methods 4:100876 PubMed39413778

2024

An accelerated Parkinson's disease monkey model using AAV-α-synuclein plus poly(ADP-ribose).

Applications

Unspecified application

Species

Unspecified reactive species

Shuyi Liu,Naixue Yang,Yaping Yan,Shaobo Wang,Jialing Chen,Yichao Wang,Xue Gan,Jiawen Zhou,Guoqing Xie,Hong Wang,Tianzhuang Huang,Weizhi Ji,Zhengbo Wang,Wei Si

Biomolecules 13: PubMed38136654

2023

Comparative Study of the Protective and Neurotrophic Effects of Neuronal and Glial Progenitor Cells-Derived Conditioned Media in a Model of Glutamate Toxicity In Vitro.

Applications

Unspecified application

Species

Unspecified reactive species

Georgy Leonov,Diana Salikhova,Margarita Shedenkova,Tatiana Bukharova,Timur Fatkhudinov,Dmitry Goldshtein

Neural regeneration research 18:1339-1346 PubMed36453421

2022

Thrombin increases the expression of cholesterol 25-hydroxylase in rat astrocytes after spinal cord injury.

Applications

Unspecified application

Species

Unspecified reactive species

Chen Chen,Huiyuan Ji,Nan Jiang,Yingjie Wang,Yue Zhou,Zhenjie Zhu,Yuming Hu,Yongjun Wang,Aihong Li,Aisong Guo

Signal transduction and targeted therapy 6:337 PubMed34489403

2021

SARS-CoV-2 crosses the blood-brain barrier accompanied with basement membrane disruption without tight junctions alteration.

Applications

Unspecified application

Species

Unspecified reactive species

Ling Zhang,Li Zhou,Linlin Bao,Jiangning Liu,Hua Zhu,Qi Lv,Ruixue Liu,Wei Chen,Wei Tong,Qiang Wei,Yanfeng Xu,Wei Deng,Hong Gao,Jing Xue,Zhiqi Song,Pin Yu,Yunlin Han,Yu Zhang,Xiuping Sun,Xuan Yu,Chuan Qin

Nature neuroscience 21:941-951 PubMed29950669

2018

A 3D human triculture system modeling neurodegeneration and neuroinflammation in Alzheimer's disease.

Applications

Unspecified application

Species

Human

Joseph Park,Isaac Wetzel,Ian Marriott,Didier Dréau,Carla D'Avanzo,Doo Yeon Kim,Rudolph E Tanzi,Hansang Cho
View all publications

Product promise

We are committed to supporting your work with high-quality reagents, and we're here for you every step of the way. In the unlikely event that one of our products does not perform as expected, you're protected by our Product Promise.
For full details, please see our Terms & Conditions

Please note: All products are 'FOR RESEARCH USE ONLY. NOT FOR USE IN DIAGNOSTIC OR THERAPEUTIC PROCEDURES'.

For licensing inquiries, please contact partnerships@abcam.com