JavaScript is disabled in your browser. Please enable JavaScript to view this website.
AB115803

Anti-S100 beta antibody [SP127] - Astrocyte Marker

Be the first to review this product! Submit a review

|

(2 Publications)

Rabbit Recombinant Monoclonal S100 beta antibody. Suitable for Flow Cyt (Intra), IHC-P and reacts with Human, Mouse, Rat samples. Cited in 2 publications.

View Alternative Names

Protein S100-B, S-100 protein beta chain, S-100 protein subunit beta, S100 calcium-binding protein B, S100B

16 Images
Immunohistochemistry (Formalin/PFA-fixed paraffin-embedded sections) - Anti-S100 beta antibody [SP127] - Astrocyte Marker (AB115803)
  • IHC-P

Unknown

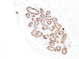
Immunohistochemistry (Formalin/PFA-fixed paraffin-embedded sections) - Anti-S100 beta antibody [SP127] - Astrocyte Marker (AB115803)

Immunohistochemistry (Formalin/PFA-fixed paraffin-embedded sections) analysis of Human colon tissue sections labeling S100 beta with ab115803 at 1/100 dilution (0.45 µg/ml). Heat mediated antigen retrieval was performed Heat mediated antigen retrieval with sodium citrate buffer (pH 6.0, epitope retrieval solution 1) for 20 mins. Rabbit specific IHC polymer detection kit HRP/DAB (ab209101) was used as the secondary antibody. Negative control : PBS instead of the primary antibody. Hematoxylin was used as a counterstain.

Immunohistochemistry (Formalin/PFA-fixed paraffin-embedded sections) - Anti-S100 beta antibody [SP127] - Astrocyte Marker (AB115803)
  • IHC-P

Supplier Data

Immunohistochemistry (Formalin/PFA-fixed paraffin-embedded sections) - Anti-S100 beta antibody [SP127] - Astrocyte Marker (AB115803)

Formalin-fixed, paraffin-embedded human spinal cord tissue stained for S100 beta using ab115803 at 1/100 dilution in immunohistochemical analysis.

Immunohistochemistry (Formalin/PFA-fixed paraffin-embedded sections) - Anti-S100 beta antibody [SP127] - Astrocyte Marker (AB115803)
  • IHC-P

Unknown

Immunohistochemistry (Formalin/PFA-fixed paraffin-embedded sections) - Anti-S100 beta antibody [SP127] - Astrocyte Marker (AB115803)

Immunohistochemistry (Formalin/PFA-fixed paraffin-embedded sections) analysis of Human breast tissue sections labeling S100 beta with ab115803 at 1/100 dilution (0.45 µg/ml). Heat mediated antigen retrieval was performed Heat mediated antigen retrieval with sodium citrate buffer (pH 6.0, epitope retrieval solution 1) for 20 mins. Rabbit specific IHC polymer detection kit HRP/DAB (ab209101) was used as the secondary antibody. Negative control : PBS instead of the primary antibody. Hematoxylin was used as a counterstain.

Immunohistochemistry (Formalin/PFA-fixed paraffin-embedded sections) - Anti-S100 beta antibody [SP127] - Astrocyte Marker (AB115803)
  • IHC-P

Supplier Data

Immunohistochemistry (Formalin/PFA-fixed paraffin-embedded sections) - Anti-S100 beta antibody [SP127] - Astrocyte Marker (AB115803)

Formalin-fixed paraffin-embedded human melanoma tissue stained for S100 beta using ab115803 at 1/100 dilution in immunohistochemical analysis.

Immunohistochemistry (Formalin/PFA-fixed paraffin-embedded sections) - Anti-S100 beta antibody [SP127] - Astrocyte Marker (AB115803)
  • IHC-P

Supplier Data

Immunohistochemistry (Formalin/PFA-fixed paraffin-embedded sections) - Anti-S100 beta antibody [SP127] - Astrocyte Marker (AB115803)

Formalin-fixed, paraffin-embedded human melanoma tissue stained for S100 beta using ab115803 at 1/100 dilution in immunohistochemical analysis.

Immunohistochemistry (Formalin/PFA-fixed paraffin-embedded sections) - Anti-S100 beta antibody [SP127] - Astrocyte Marker (AB115803)
  • IHC-P

Unknown

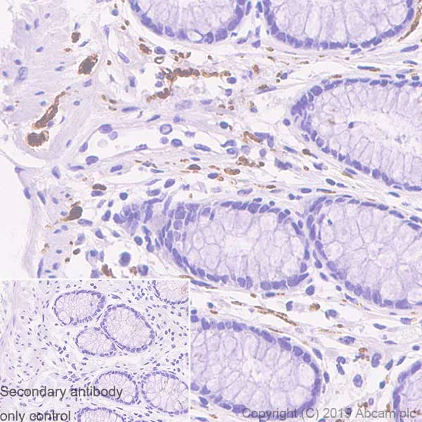
Immunohistochemistry (Formalin/PFA-fixed paraffin-embedded sections) - Anti-S100 beta antibody [SP127] - Astrocyte Marker (AB115803)

Formalin-fixed, paraffin-embedded human colon tissue stained for S100 beta using ab115803 at 1/100 dilution in immunohistochemical analysis.

Immunohistochemistry (Formalin/PFA-fixed paraffin-embedded sections) - Anti-S100 beta antibody [SP127] - Astrocyte Marker (AB115803)
  • IHC-P

Supplier Data

Immunohistochemistry (Formalin/PFA-fixed paraffin-embedded sections) - Anti-S100 beta antibody [SP127] - Astrocyte Marker (AB115803)

Formalin-fixed, paraffin-embedded human bladder tissue stained for S100 beta using ab115803 at 1/100 dilution in immunohistochemical analysis.

Immunohistochemistry (Formalin/PFA-fixed paraffin-embedded sections) - Anti-S100 beta antibody [SP127] - Astrocyte Marker (AB115803)
  • IHC-P

Supplier Data

Immunohistochemistry (Formalin/PFA-fixed paraffin-embedded sections) - Anti-S100 beta antibody [SP127] - Astrocyte Marker (AB115803)

Formalin-fixed, paraffin-embedded human cerebellum tissue stained for S100 beta using ab115803 at 1/100 dilution in immunohistochemical analysis.

Flow Cytometry (Intracellular) - Anti-S100 beta antibody [SP127] - Astrocyte Marker (AB115803)
  • Flow Cyt (Intra)

Unknown

Flow Cytometry (Intracellular) - Anti-S100 beta antibody [SP127] - Astrocyte Marker (AB115803)

Flow Cytometry analysis of A375(Human malignant melanoma epithelial cell) cells labeling S100 beta with purified ab115803 Red. Cells were fixed with 4% paraformaldehyde . A Goat anti rabbit IgG (Alexa Fluor® 488, ab150077) was used as the secondary antibody. Isotype control - Rabbit monoclonal IgG (ab172730) / Black. Unlabeled control - Unlabelled cells / Blue.

Immunohistochemistry (Formalin/PFA-fixed paraffin-embedded sections) - Anti-S100 beta antibody [SP127] - Astrocyte Marker (AB115803)
  • IHC-P

Supplier Data

Immunohistochemistry (Formalin/PFA-fixed paraffin-embedded sections) - Anti-S100 beta antibody [SP127] - Astrocyte Marker (AB115803)

Formalin-fixed, paraffin-embedded human esophagus tissue stained for S100 beta using ab115803 at 1/100 dilution in immunohistochemical analysis.

Immunohistochemistry (Formalin/PFA-fixed paraffin-embedded sections) - Anti-S100 beta antibody [SP127] - Astrocyte Marker (AB115803)
  • IHC-P

Supplier Data

Immunohistochemistry (Formalin/PFA-fixed paraffin-embedded sections) - Anti-S100 beta antibody [SP127] - Astrocyte Marker (AB115803)

Formalin-fixed, paraffin-embedded human adrenal gland tissue stained for S100 beta using ab115803 at 1/100 dilution in immunohistochemical analysis.

Immunohistochemistry (Formalin/PFA-fixed paraffin-embedded sections) - Anti-S100 beta antibody [SP127] - Astrocyte Marker (AB115803)
  • IHC-P

Supplier Data

Immunohistochemistry (Formalin/PFA-fixed paraffin-embedded sections) - Anti-S100 beta antibody [SP127] - Astrocyte Marker (AB115803)

Formalin-fixed, paraffin-embedded human kidney tissue stained for S100 beta using ab115803 at 1/100 dilution in immunohistochemical analysis.

Immunohistochemistry (Formalin/PFA-fixed paraffin-embedded sections) - Anti-S100 beta antibody [SP127] - Astrocyte Marker (AB115803)
  • IHC-P

Supplier Data

Immunohistochemistry (Formalin/PFA-fixed paraffin-embedded sections) - Anti-S100 beta antibody [SP127] - Astrocyte Marker (AB115803)

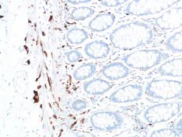
Formalin-fixed, paraffin-embedded human colon tissue stained for S100 beta using ab115803 at 1/100 dilution in immunohistochemical analysis.

Immunohistochemistry (Formalin/PFA-fixed paraffin-embedded sections) - Anti-S100 beta antibody [SP127] - Astrocyte Marker (AB115803)
  • IHC-P

Supplier Data

Immunohistochemistry (Formalin/PFA-fixed paraffin-embedded sections) - Anti-S100 beta antibody [SP127] - Astrocyte Marker (AB115803)

Formalin-fixed, paraffin-embedded human breast tissue stained for S100 beta using ab115803 at 1/100 dilution in immunohistochemical analysis.

Immunohistochemistry (Formalin/PFA-fixed paraffin-embedded sections) - Anti-S100 beta antibody [SP127] - Astrocyte Marker (AB115803)
  • IHC-P

Unknown

Immunohistochemistry (Formalin/PFA-fixed paraffin-embedded sections) - Anti-S100 beta antibody [SP127] - Astrocyte Marker (AB115803)

Immunohistochemistry (Formalin/PFA-fixed paraffin-embedded sections) analysis of Rat cerebrum tissue sections labeling S100 beta with ab115803 at 1/100 dilution (0.45 µg/ml). Heat mediated antigen retrieval was performed Heat mediated antigen retrieval with sodium citrate buffer (pH 6.0, epitope retrieval solution 1) for 20 mins. Rabbit specific IHC polymer detection kit HRP/DAB (ab209101) was used as the secondary antibody. Negative control : PBS instead of the primary antibody. Hematoxylin was used as a counterstain.

Immunohistochemistry (Formalin/PFA-fixed paraffin-embedded sections) - Anti-S100 beta antibody [SP127] - Astrocyte Marker (AB115803)
  • IHC-P

Unknown

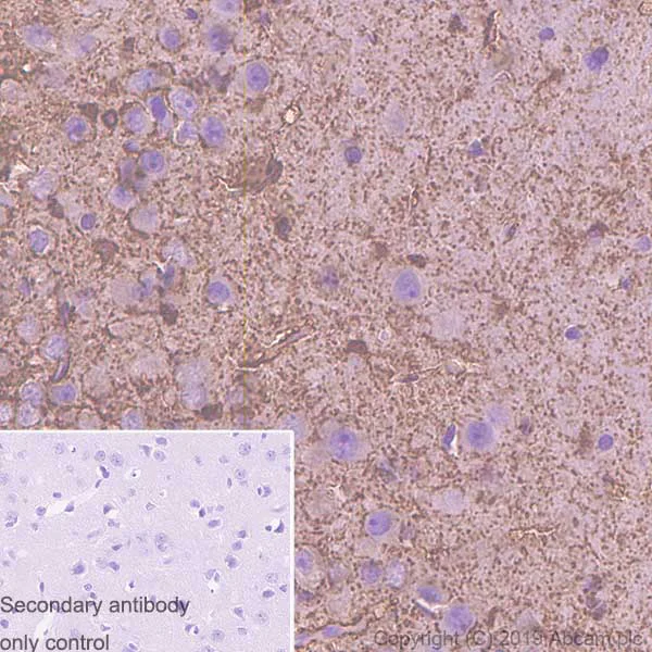
Immunohistochemistry (Formalin/PFA-fixed paraffin-embedded sections) - Anti-S100 beta antibody [SP127] - Astrocyte Marker (AB115803)

Immunohistochemistry (Formalin/PFA-fixed paraffin-embedded sections) analysis of Mouse cerebrum tissue sections labeling S100 beta with ab115803 at 1/100 dilution (0.45 µg/ml). Heat mediated antigen retrieval was performed Heat mediated antigen retrieval with sodium citrate buffer (pH 6.0, epitope retrieval solution 1) for 20 mins. Rabbit specific IHC polymer detection kit HRP/DAB (ab209101) was used as the secondary antibody. Negative control : PBS instead of the primary antibody. Hematoxylin was used as a counterstain.

  • Carrier free

    Anti-S100 beta antibody [SP127] - BSA and Azide free

Key facts

Host species

Rabbit

Clonality

Monoclonal

Clone number

SP127

Isotype

IgG

Carrier free

No

Reacts with

Mouse, Rat, Human

Applications

Flow Cyt (Intra), IHC-P

applications

Immunogen

The exact immunogen used to generate this antibody is proprietary information.

Reactivity data

{ "title": "Reactivity Data", "filters": { "stats": ["", "Species", "Dilution Info", "Notes"], "tabs": { "all-applications": {"fullname" : "All Applications", "shortname": "All Applications"}, "FlowCytIntra" : {"fullname" : "Flow Cytometry (Intracellular)", "shortname":"Flow Cyt (Intra)"}, "IHCP" : {"fullname" : "Immunohistochemistry (Formalin/PFA-fixed paraffin-embedded sections)", "shortname":"IHC-P"} }, "product-promise": { "all": "all", "testedAndGuaranteed": "tested", "guaranteed": "expected", "predicted": "predicted", "notRecommended": "not-recommended" } }, "values": { "Human": { "FlowCytIntra-species-checked": "testedAndGuaranteed", "FlowCytIntra-species-dilution-info": "", "FlowCytIntra-species-notes": "<p></p>", "IHCP-species-checked": "testedAndGuaranteed", "IHCP-species-dilution-info": "1/100", "IHCP-species-notes": "<p>Incubate with primary antibody for 10 minutes at room temperature.</p>" }, "Mouse": { "FlowCytIntra-species-checked": "guaranteed", "FlowCytIntra-species-dilution-info": "", "FlowCytIntra-species-notes": "", "IHCP-species-checked": "testedAndGuaranteed", "IHCP-species-dilution-info": "1/100", "IHCP-species-notes": "<p>Incubate with primary antibody for 10 minutes at room temperature.</p>" }, "Rat": { "FlowCytIntra-species-checked": "guaranteed", "FlowCytIntra-species-dilution-info": "", "FlowCytIntra-species-notes": "", "IHCP-species-checked": "testedAndGuaranteed", "IHCP-species-dilution-info": "1/100", "IHCP-species-notes": "<p>Incubate with primary antibody for 10 minutes at room temperature.</p>" }, "Cow": { "FlowCytIntra-species-checked": "predicted", "FlowCytIntra-species-dilution-info": "", "FlowCytIntra-species-notes": "", "IHCP-species-checked": "predicted", "IHCP-species-dilution-info": "", "IHCP-species-notes": "" }, "Rabbit": { "FlowCytIntra-species-checked": "predicted", "FlowCytIntra-species-dilution-info": "", "FlowCytIntra-species-notes": "", "IHCP-species-checked": "predicted", "IHCP-species-dilution-info": "", "IHCP-species-notes": "" } } }

Properties and storage information

Form
Liquid
Purification technique
Affinity purification Protein A/G
Purification notes
Purified from TCS by Protein A/G.
Storage buffer
pH: 7.6 Preservative: 0.1% Sodium azide Constituents: PBS, 1% BSA
Shipped at conditions
Blue Ice
Appropriate short-term storage duration
1-2 weeks
Appropriate short-term storage conditions
+4°C
Appropriate long-term storage conditions
-20°C
Aliquoting information
Upon delivery aliquot
Storage information
Avoid freeze / thaw cycle

Supplementary information

This supplementary information is collated from multiple sources and compiled automatically.

S100 beta also known as protein S100 is part of the S100 family of proteins characterized by their calcium-binding properties. The S100 beta protein has an approximate molecular mass of 10.7 kDa. This protein is mainly expressed in astrocytes a type of glial cell in the central nervous system. It acts as a marker for astrocytes and is prominently used in astrocyte immunohistochemistry. Additionally it serves as a valuable marker for identifying and studying astrocyte markers because it can highlight the presence of these cells in various contexts.
Biological function summary

The S100 beta protein participates in several intracellular and extracellular activities influencing cell proliferation and differentiation. It forms dimers and sometimes assembles into larger complexes mediated by the binding of calcium ions which alters its functional state. Within the nervous system S100 beta modulates the dynamics between neurons and glial cells affecting processes such as cell survival and neurite outgrowth. This dual role in both supporting and inhibiting various cellular actions highlights its importance in maintaining neural homeostasis.

Pathways

S100 beta engages in signaling pathways related to inflammation and stress responses. It works within the MAPK and NF-kB pathways playing roles in cellular responses to oxidative stress. These pathways involve interactions with other proteins like p53 which S100 beta can modulate to influence apoptosis. The regulatory properties of S100 beta in these pathways link it with broader networks affecting cell fate decisions under pathological and physiological conditions.

S100 beta is associated with neurodegenerative diseases and cancer. Elevated levels of S100 beta are often found in Alzheimer's disease where it interacts with proteins like amyloid-beta contributing to neuroinflammation and neurotoxicity. In cancer particularly malignant melanoma S100 beta levels serve as a biomarker for tumor progression. Its interactions with p53 and other regulatory proteins highlight its involvement in oncogenic processes emphasizing its potential as a target for therapeutic intervention in these diseases.

Product protocols

For this product, it's our understanding that no specific protocols are required. You can visit:

Target data

Small zinc- and- and calcium-binding protein that is highly expressed in astrocytes and constitutes one of the most abundant soluble proteins in brain (PubMed : 20950652, PubMed : 6487634). Weakly binds calcium but binds zinc very tightly-distinct binding sites with different affinities exist for both ions on each monomer (PubMed : 20950652, PubMed : 6487634). Physiological concentrations of potassium ion antagonize the binding of both divalent cations, especially affecting high-affinity calcium-binding sites (By similarity). Acts as a neurotrophic factor that promotes astrocytosis and axonal proliferation (By similarity). Involved in innervation of thermogenic adipose tissue by acting as an adipocyte-derived neurotrophic factor that promotes sympathetic innervation of adipose tissue (By similarity). Binds to and initiates the activation of STK38 by releasing autoinhibitory intramolecular interactions within the kinase (By similarity). Interaction with AGER after myocardial infarction may play a role in myocyte apoptosis by activating ERK1/2 and p53/TP53 signaling (By similarity). Could assist ATAD3A cytoplasmic processing, preventing aggregation and favoring mitochondrial localization (PubMed : 20351179). May mediate calcium-dependent regulation on many physiological processes by interacting with other proteins, such as TPR-containing proteins, and modulating their activity (PubMed : 22399290).
See full target information S100B

Publications (2)

Recent publications for all applications. Explore the full list and refine your search

Journal of inflammation research 17:8945-8964 PubMed39588137

2024

Early-Life Stress Induced by Neonatal Maternal Separation Leads to Intestinal 5-HT Accumulation and Causes Intestinal Dysfunction.

Applications

Unspecified application

Species

Unspecified reactive species

Ding Yang,Rulan Bai,Chengzhong Li,Yan Sun,Hongyu Jing,Zixu Wang,Yaoxing Chen,Yulan Dong

Medicine 97:e10793 PubMed29851788

2018

Expression of AMHR2 and C-KIT in cervical lesions in Uyghur Women of Xinjiang, China.

Applications

Unspecified application

Species

Unspecified reactive species

Reyisha Taximaimaiti,Dilinuer Abudujilile,Muzhapaer Maihemuti,Xiekelai Abuliken,Haimiti Abudulimu
View all publications

Product promise

We are committed to supporting your work with high-quality reagents, and we're here for you every step of the way. In the unlikely event that one of our products does not perform as expected, you're protected by our Product Promise.
For full details, please see our Terms & Conditions

Please note: All products are 'FOR RESEARCH USE ONLY. NOT FOR USE IN DIAGNOSTIC OR THERAPEUTIC PROCEDURES'.

For licensing inquiries, please contact partnerships@abcam.com