JavaScript is disabled in your browser. Please enable JavaScript to view this website.
AB239962

Anti-S100 Calcium Binding Protein A13/S100A13 antibody [EPR4510] - BSA and Azide free

Be the first to review this product! Submit a review

|

(1 Publication)

Rabbit Recombinant Monoclonal S100 Calcium Binding Protein A13/S100A13 antibody. Carrier free. Suitable for IHC-P, IP, WB, ICC/IF, Flow Cyt (Intra) and reacts with Human samples. Cited in 1 publication.

View Alternative Names

Protein S100-A13, S100 calcium-binding protein A13, S100A13

6 Images
Flow Cytometry (Intracellular) - Anti-S100 Calcium Binding Protein A13/S100A13 antibody [EPR4510] - BSA and Azide free (AB239962)
  • Flow Cyt (Intra)

Lab

Flow Cytometry (Intracellular) - Anti-S100 Calcium Binding Protein A13/S100A13 antibody [EPR4510] - BSA and Azide free (AB239962)

This data was developed using ab109252, the same antibody clone in a different buffer formulation. Intracellular Flow Cytometry analysis of HUVEC (Human umbilical vein endothelial cell) cells labeling S100 Calcium Binding Protein A13/S100A13 with purified ab109252 at 1/100 dilution (10 μg/mL) (Red). Cells were fixed with 4% Paraformaldehyde and permeabilised with 90% Methanol. A Goat anti rabbit IgG (Alexa Fluor® 488, ab150077) secondary antibody was used at 1/2000. Isotype control - Rabbit monoclonal IgG (Black). Unlabeled control - Cells without incubation with primary antibody and secondary antibody (Blue).

Immunohistochemistry (Formalin/PFA-fixed paraffin-embedded sections) - Anti-S100 Calcium Binding Protein A13/S100A13 antibody [EPR4510] - BSA and Azide free (AB239962)
  • IHC-P

Unknown

Immunohistochemistry (Formalin/PFA-fixed paraffin-embedded sections) - Anti-S100 Calcium Binding Protein A13/S100A13 antibody [EPR4510] - BSA and Azide free (AB239962)

ab109252, at a 1/250 dilution, staining S100 Calcium Binding Protein A13/S100A13 in Human muscle, by Immunohistochemistry, Paraffin-embedded tissue.

This data was developed using the same antibody clone in a different buffer formulation containing PBS, BSA, glycerol, and sodium azide (ab109252).

Perform heat mediated antigen retrieval before commencing with IHC staining protocol.

Immunohistochemistry (Formalin/PFA-fixed paraffin-embedded sections) - Anti-S100 Calcium Binding Protein A13/S100A13 antibody [EPR4510] - BSA and Azide free (AB239962)
  • IHC-P

Unknown

Immunohistochemistry (Formalin/PFA-fixed paraffin-embedded sections) - Anti-S100 Calcium Binding Protein A13/S100A13 antibody [EPR4510] - BSA and Azide free (AB239962)

ab109252, at a 1/250 dilution, staining S100 Calcium Binding Protein A13/S100A13 in Human brain, by Immunohistochemistry, Paraffin-embedded tissue.

This data was developed using the same antibody clone in a different buffer formulation containing PBS, BSA, glycerol, and sodium azide (ab109252).

Perform heat mediated antigen retrieval before commencing with IHC staining protocol.

Immunocytochemistry/ Immunofluorescence - Anti-S100 Calcium Binding Protein A13/S100A13 antibody [EPR4510] - BSA and Azide free (AB239962)
  • ICC/IF

Lab

Immunocytochemistry/ Immunofluorescence - Anti-S100 Calcium Binding Protein A13/S100A13 antibody [EPR4510] - BSA and Azide free (AB239962)

Immunocytochemistry/ Immunofluorescence analysis of HUVEC (human umbilical vein endothelial cell) cells labeling S100 Calcium Binding Protein A13/S100A13 with purified ab109252 at 1/100 dilution (10 μg/mL). Cells were fixed in 4% Paraformaldehyde and permeabilized with 0.1% tritonX-100. Cells were counterstained with ab195889 Anti-alpha Tubulin antibody [DM1A] - Microtubule Marker (Alexa Fluor® 594) 1/200 (2.5 μg/mL). Goat anti rabbit IgG (Alexa Fluor® 488, ab150077) was used as the secondary antibody at 1/1000 (2 μg/mL) dilution. DAPI (blue) was used as nuclear counterstain. ab195889 Anti-alpha Tubulin antibody [DM1A] - Microtubule Marker (Alexa Fluor® 594) 1/200 (2.5 μg/mL) was used as the secondary antibody only control.

This data was developed using the same antibody clone in a different buffer formulation containing PBS, BSA, glycerol, and sodium azide (ab109252).

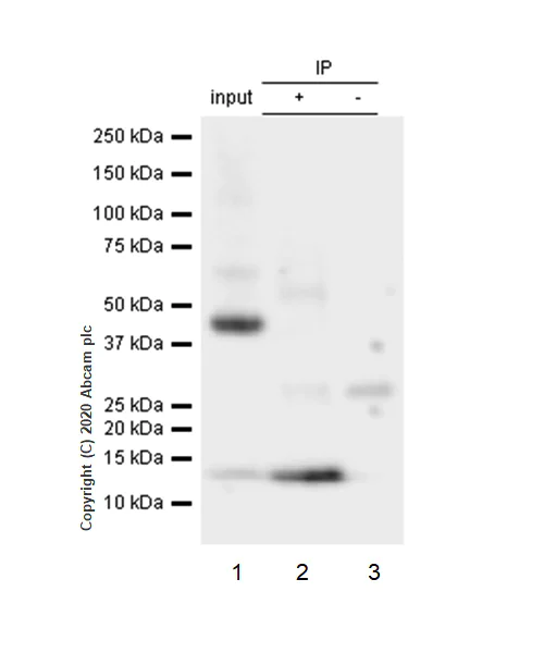
Immunoprecipitation - Anti-S100 Calcium Binding Protein A13/S100A13 antibody [EPR4510] - BSA and Azide free (AB239962)
  • IP

Lab

Immunoprecipitation - Anti-S100 Calcium Binding Protein A13/S100A13 antibody [EPR4510] - BSA and Azide free (AB239962)

This data was developed using ab109252, the same antibody clone in a different buffer formulation.
Purified ab109252 at 1/50 dilution (2μg) immunoprecipitating S100 Calcium Binding Protein A13/S100A13 in Human heart lysate.
Lane 1 (input) : Human heart lysate 10μg
Lane 2 (+) : ab109252 + Human heart lysate.
Lane 3 (-) : Rabbit monoclonal IgG (ab172730) instead of ab109252 in Human heart lysate.
VeriBlot for IP Detection Reagent (HRP) (ab131366) (1/1000 dilution) was used for Western blotting.
Blocking Buffer and concentration : 5% NFDM/TBST.
Diluting buffer and concentration : 5% NFDM/TBST.
Observed band size : 11 kDa

All lanes:

Immunoprecipitation - Anti-S100 Calcium Binding Protein A13/S100A13 antibody [EPR4510] (<a href='/en-us/products/primary-antibodies/s100-calcium-binding-protein-a13-s100a13-antibody-epr4510-ab109252'>ab109252</a>)

Predicted band size: 11 kDa

false

Western blot - Anti-S100 Calcium Binding Protein A13/S100A13 antibody [EPR4510] - BSA and Azide free (AB239962)
  • WB

Lab

Western blot - Anti-S100 Calcium Binding Protein A13/S100A13 antibody [EPR4510] - BSA and Azide free (AB239962)

This data was developed using the same antibody clone in a different buffer formulation (ab109252).

Lanes 1 - 4 : Merged signal (red and green). Green - ab109252 observed at 13 kDa. Red - loading control ab8245 (Mouse anti-GAPDH antibody [6C5]) observed at 37 kDa.

ab109252 was shown to react with S100 Calcium Binding Protein A13/S100A13 in wild-type HEK-293T cells in Western blot with loss of signal observed in S100A13 knockout cell line ab266065 (S100A13 knockout cell lysate ab258183). Wild-type HEK-293T and S100A13 knockout cell lysates were subjected to SDS-PAGE. Membranes were blocked in 3 % milk in TBS-T (0.1 % Tween®) before incubation with ab109252 and ab8245 (Mouse anti-GAPDH antibody [6C5]) overnight at 4°C at a 1 in 1000 dilution and a 1 in 20000 dilution respectively. Blots were incubated with Goat anti-Rabbit IgG H&L (IRDye® 800CW) preabsorbed (ab216773) and Goat anti-Mouse IgG H&L (IRDye® 680RD) preabsorbed (ab216776) secondary antibodies at 1 in 20000 dilution for 1 h at room temperature before imaging.

All lanes:

Western blot - Anti-S100 Calcium Binding Protein A13/S100A13 antibody [EPR4510] (<a href='/en-us/products/primary-antibodies/s100-calcium-binding-protein-a13-s100a13-antibody-epr4510-ab109252'>ab109252</a>) at 1/1000 dilution

Lane 1:

Wild-type HEK-293T cell lysate at 20 µg

Lane 2:

S100A13 knockout HEK-293T cell lysate at 20 µg

Lane 2:

Western blot - Human S100A13 (S100 Calcium Binding Protein A13) knockout HEK-293T cell line (<a href='/en-us/products/cell-lines/human-s100a13-s100-calcium-binding-protein-a13-knockout-hek-293t-cell-line-ab266065'>ab266065</a>)

Lane 3:

HeLa cell lysate at 20 µg

Lane 4:

Daudi cell lysate at 20 µg

Predicted band size: 11 kDa

Observed band size: 13 kDa

false

  • Unconjugated

    Anti-S100 Calcium Binding Protein A13/S100A13 antibody [EPR4510]

Key facts

Host species

Rabbit

Clonality

Monoclonal

Clone number

EPR4510

Isotype

IgG

Carrier free

Yes

Reacts with

Human

Applications

IP, Flow Cyt (Intra), IHC-P, WB, ICC/IF

applications

Immunogen

The exact immunogen used to generate this antibody is proprietary information.

Reactivity data

{ "title": "Reactivity Data", "filters": { "stats": ["", "Species", "Dilution Info", "Notes"], "tabs": { "all-applications": {"fullname" : "All Applications", "shortname": "All Applications"}, "IHCP" : {"fullname" : "Immunohistochemistry (Formalin/PFA-fixed paraffin-embedded sections)", "shortname":"IHC-P"}, "IP" : {"fullname" : "Immunoprecipitation", "shortname":"IP"}, "WB" : {"fullname" : "Western blot", "shortname":"WB"}, "ICCIF" : {"fullname" : "Immunocytochemistry/ Immunofluorescence", "shortname":"ICC/IF"}, "FlowCytIntra" : {"fullname" : "Flow Cytometry (Intracellular)", "shortname":"Flow Cyt (Intra)"} }, "product-promise": { "all": "all", "testedAndGuaranteed": "tested", "guaranteed": "expected", "predicted": "predicted", "notRecommended": "not-recommended" } }, "values": { "Human": { "IHCP-species-checked": "testedAndGuaranteed", "IHCP-species-dilution-info": "", "IHCP-species-notes": "<p>Use of a HRP/AP polymerized antibody recommended.</p>", "IP-species-checked": "testedAndGuaranteed", "IP-species-dilution-info": "", "IP-species-notes": "<p></p>", "WB-species-checked": "testedAndGuaranteed", "WB-species-dilution-info": "", "WB-species-notes": "<p></p>", "ICCIF-species-checked": "testedAndGuaranteed", "ICCIF-species-dilution-info": "", "ICCIF-species-notes": "<p></p>", "FlowCytIntra-species-checked": "testedAndGuaranteed", "FlowCytIntra-species-dilution-info": "", "FlowCytIntra-species-notes": "<p><a href='/en-us/products/primary-antibodies/rabbit-igg-monoclonal-epr25a-isotype-control-low-endotoxin-azide-free-ab199376'>ab199376</a> - Rabbit monoclonal IgG, is suitable for use as an isotype control with this antibody.</p>" } } }

Product details

ab239962 is the carrier-free version of ab109252.

Species reactivity
Mouse, Rat: We have preliminary internal testing data to indicate this antibody may not react with these species.
Please contact us for more information.

Patented technology
Our RabMAb® technology is a patented hybridoma-based technology for making rabbit monoclonal antibodies. For details on our patents, please refer to RabMAb® patents.

What are the advantages of a recombinant monoclonal antibody?
This product is a recombinant monoclonal antibody, which offers several advantages including:

  • - High batch-to-batch consistency and reproducibility
  • - Improved sensitivity and specificity
  • - Long-term security of supply
  • - Animal-free batch production

For more information, read more on recombinant antibodies.

Conjugation ready
Our carrier-free antibodies are typically supplied in a PBS-only formulation, purified and free of BSA, sodium azide and glycerol. This conjugation-ready format is designed for use with fluorochromes, metal isotopes, oligonucleotides, and enzymes, which makes them ideal for antibody labelling, functional and cell-based assays, flow-based assays (e.g. mass cytometry) and Multiplex Imaging applications.

Use our conjugation kits for antibody conjugates that are ready-to-use in as little as 20 minutes with 1 minute hands-on-time and 100% antibody recovery: available for fluorescent dyes, HRP, biotin and gold.

Compatibility
This product is compatible with the Maxpar® Antibody Labeling Kit from Fluidigm, without the need for antibody preparation. Maxpar® is a trademark of Fluidigm Canada Inc.

Properties and storage information

Form
Liquid
Purification technique
Affinity purification Protein A
Storage buffer
pH: 7.2 - 7.4 Constituents: PBS
Shipped at conditions
Blue Ice
Appropriate short-term storage conditions
+4°C
Appropriate long-term storage conditions
+4°C
Storage information
Do Not Freeze

Supplementary information

This supplementary information is collated from multiple sources and compiled automatically.

S100 Calcium Binding Protein A13 also known as S100A13 is a member of the S100 protein family and displays calcium-binding abilities usually binding two calcium ions. This small protein has a molecular mass of approximately 11 kDa. S100A13 is expressed in a variety of tissues including the heart brain and skeletal muscle. Its expression can be altered in different cellular conditions suggesting an adaptive role in diverse physiological contexts.
Biological function summary

S100A13 influences several cellular processes related to growth and differentiation. This protein facilitates secretion of fibroblast growth factor 1 (FGF1) and interleukin-1 alpha (IL-1α) through a non-classical pathway. S100A13 does not function alone; it engages in complexes with other proteins to execute its roles. It often works together with S100A6 and calcyclin-binding protein in these secretory pathways.

Pathways

S100A13 participates in the regulation of angiogenesis and inflammation. It is involved in the FGF signal transduction pathway by affecting the externalization of FGF1 an important player in angiogenesis. Additionally S100A13 contributes to inflammation-related processes. Its activity is linked to proteins such as p53 and FGF1 integrating it into wider cellular systems.

S100A13 is implicated in cancer and chronic inflammatory conditions. Overexpression of S100A13 has links to tumor progression and aggressiveness suggesting a role in cancer. In chronic inflammation S100A13 associates with increased levels of inflammatory cytokines. It connects to proteins like FGF1 and IL-1α in these contexts linking it with pathophysiological mechanisms that underlie these conditions.

Product protocols

For this product, it's our understanding that no specific protocols are required. You can visit:

Target data

Plays a role in the export of proteins that lack a signal peptide and are secreted by an alternative pathway. Binds two calcium ions per subunit. Binds one copper ion. Binding of one copper ion does not interfere with calcium binding. Required for the copper-dependent stress-induced export of IL1A and FGF1. The calcium-free protein binds to lipid vesicles containing phosphatidylserine, but not to vesicles containing phosphatidylcholine (By similarity).
See full target information Protein S100-A13

Publications (1)

Recent publications for all applications. Explore the full list and refine your search

Obesity (Silver Spring, Md.) 30:666-679 PubMed35170865

2022

Exosomal miR-122 promotes adipogenesis and aggravates obesity through the VDR/SREBF1 axis.

Applications

Unspecified application

Species

Unspecified reactive species

Xiao-Yan Huang,Ji-Xiong Chen,Yi Ren,Li-Chun Fan,Wei Xiang,Xiao-Jie He
View all publications

Product promise

We are committed to supporting your work with high-quality reagents, and we're here for you every step of the way. In the unlikely event that one of our products does not perform as expected, you're protected by our Product Promise.
For full details, please see our Terms & Conditions

Please note: All products are 'FOR RESEARCH USE ONLY. NOT FOR USE IN DIAGNOSTIC OR THERAPEUTIC PROCEDURES'.

For licensing inquiries, please contact partnerships@abcam.com