JavaScript is disabled in your browser. Please enable JavaScript to view this website.
AB76472

Anti-S100A10 antibody [EPR3317]

5

(3 Reviews)

|

(16 Publications)

Rabbit Recombinant Monoclonal S100A10 antibody. Suitable for IHC-P, WB and reacts with Human, Mouse, Rat samples. Cited in 16 publications.

View Alternative Names

ANX2LG, CAL1L, CLP11, S100A10, Protein S100-A10, Calpactin I light chain, Calpactin-1 light chain, Cellular ligand of annexin II, S100 calcium-binding protein A10, p10 protein, p11

9 Images
Immunohistochemistry (Formalin/PFA-fixed paraffin-embedded sections) - Anti-S100A10 antibody [EPR3317] (AB76472)
  • IHC-P

Unknown

Immunohistochemistry (Formalin/PFA-fixed paraffin-embedded sections) - Anti-S100A10 antibody [EPR3317] (AB76472)

Unpurified ab76472 at 1/100 dilution staining S100A10 in human kidney tissue.

Perform heat mediated antigen retrieval before commencing with IHC staining protocol.

Immunohistochemistry (Formalin/PFA-fixed paraffin-embedded sections) - Anti-S100A10 antibody [EPR3317] (AB76472)
  • IHC-P

Unknown

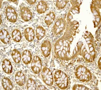
Immunohistochemistry (Formalin/PFA-fixed paraffin-embedded sections) - Anti-S100A10 antibody [EPR3317] (AB76472)

Unpurified ab76472 at 1/100 dilution staining S100A10 in human colon tissue.

Perform heat mediated antigen retrieval before commencing with IHC staining protocol.

Immunohistochemistry (Formalin/PFA-fixed paraffin-embedded sections) - Anti-S100A10 antibody [EPR3317] (AB76472)
  • IHC-P

Supplier Data

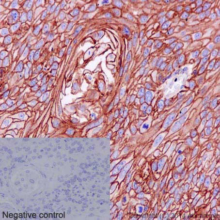
Immunohistochemistry (Formalin/PFA-fixed paraffin-embedded sections) - Anti-S100A10 antibody [EPR3317] (AB76472)

Immunohistochemical staining of paraffin embedded human squamous cell cervical carcinoma with purified ab76472 at a working dilution of 1 in 100. The secondary antibody used is a HRP polymer for rabbit IgG. The sample is counter-stained with hematoxylin. Antigen retrieval was perfomed using Tris-EDTA buffer, pH 9.0. PBS was used instead of the primary antibody as the negative control, and is shown in the inset.

Western blot - Anti-S100A10 antibody [EPR3317] (AB76472)
  • WB

Lab

Western blot - Anti-S100A10 antibody [EPR3317] (AB76472)

In Western blot, Anti-GAPDH antibody [EPR16891] - Loading Control (ab181602) staining at 1/1000000 dilution.

Negative control : Raji, SH-SY5Y, Neuro-2a.

We are unsure how to define the 50kDa band.

This antibody cannot detect BOI in tissue samples.

All lanes:

Western blot - Anti-S100A10 antibody [EPR3317] (ab76472) at 1/1000 dilution

Lane 1:

AsPC-1 (human Pancreas epithelial cell) whole cell lysate at 20 µg

Lane 2:

Raji (Human Burkitt's lymphoma B lymphocyte) whole cell lysate whole cell lysate at 20 µg

Lane 3:

HaCaT (Human skin keratinocyte) whole cell lysate at 20 µg

Lane 4:

SH-SY5Y (Human neuroblastoma epithelial cell) whole cell lysate at 20 µg

Lane 5:

CT26.WT (mouse colon fibroblast) whole cell lysate at 20 µg

Lane 6:

Neuro-2a (Mouse neuroblastoma neuroblast) whole cell lysate at 20 µg

Lane 7:

Mouse hippocampus tissue lysate at 20 µg

Lane 8:

Mouse cerebellum tissue lysate at 20 µg

Lane 9:

Mouse brain tissue lysate at 20 µg

Secondary

All lanes:

Western blot - Goat Anti-Rabbit IgG H&L (HRP) (<a href='/en-us/products/secondary-antibodies/goat-rabbit-igg-h-l-hrp-ab97051'>ab97051</a>) at 1/100000 dilution

Observed band size: 12 kDa

false

Exposure time: 20s

Western blot - Anti-S100A10 antibody [EPR3317] (AB76472)
  • WB

Lab

Western blot - Anti-S100A10 antibody [EPR3317] (AB76472)

Blocking buffer : 5% NFDM/TBST

Dilution buffer : 5% NFDM/TBST

All lanes:

Western blot - Anti-S100A10 antibody [EPR3317] (ab76472) at 1/50000 dilution

Lane 1:

HACAT cell lysate at 20 µg

Lane 2:

A431 cell lysate at 20 µg

Lane 3:

HT-29 cell lysate at 20 µg

Secondary

All lanes:

HRP goat anti-rabbit (H+L) at 1/1000 dilution

Predicted band size: 11 kDa

Observed band size: 12 kDa

false

Western blot - Anti-S100A10 antibody [EPR3317] (AB76472)
  • WB

Lab

Western blot - Anti-S100A10 antibody [EPR3317] (AB76472)

Blocking buffer : 5% NFDM/TBST

All lanes:

Western blot - Anti-S100A10 antibody [EPR3317] (ab76472) at 1/10000 dilution

Lane 1:

HaCaT (Human skin keratinocyte) whole cell lysate at 20 µg

Lane 2:

A431 (Human epidermoid carcinoma epithelial cell) whole cell lysate at 20 µg

Lane 3:

SW480 (Human colorectal adenocarcinoma epithelial cell) whole cell lysate at 20 µg

Lane 4:

HT-29 (Human colorectal adenocarcinoma epithelial cell) whole cell lysate at 20 µg

Secondary

All lanes:

Western blot - Goat Anti-Rabbit IgG H&L (HRP) (<a href='/en-us/products/secondary-antibodies/goat-rabbit-igg-h-l-hrp-ab97051'>ab97051</a>) at 1/20000 dilution

Predicted band size: 11 kDa

Observed band size: 13 kDa,40 kDa

false

Exposure time: 180s

Western blot - Anti-S100A10 antibody [EPR3317] (AB76472)
  • WB

Lab

Western blot - Anti-S100A10 antibody [EPR3317] (AB76472)

Blocking and diluting buffer and concentration : 5% NFDM/TBST.

In Western blot, Anti-GAPDH antibody [EPR16891] - Loading Control (ab181602).

S100A10 shows lower enrichment in tissue samples than in cell lines. No signal was observed on brain samples. This product is not suitable for use on brain-related samples (such as astrocytes, hippocampus, and cerebellum) due to its low expression level in those tissues.

It is recommended to optimize experimental conditions by using 14% SDS-PAGE gel, increasing the sample loading amount, using a lower antibody dilution ratio, and employing femtogram-level sensitivity substrates.

All lanes:

Western blot - Anti-S100A10 antibody [EPR3317] (ab76472) at 1/1000 dilution

Lane 1:

HaCaT (Human skin keratinocyte) whole cell lysate at 20 µg

Lane 2:

Human brain tissue lysate at 20 µg

Lane 3:

Human lung tissue lysate at 20 µg

Lane 4:

Mouse brain tissue lysate at 20 µg

Lane 5:

Mouse hippocampus tissue at 20 µg

Lane 6:

Mouse lung tissue lysate at 20 µg

Lane 7:

Rat brain tissue lysate at 20 µg

Lane 8:

Rat hippocampus tissue lysate at 20 µg

Lane 9:

Rat lung tissue lysate at 20 µg

Secondary

All lanes:

Goat Anti-Rabbit IgG (HRP) with minimal cross-reactivity with human IgG at 1/2000 dilution

Observed band size: 11 kDa

false

Exposure time: 100s

Western blot - Anti-S100A10 antibody [EPR3317] (AB76472)
  • WB

Lab

Western blot - Anti-S100A10 antibody [EPR3317] (AB76472)

Blocking buffer : 5% NFDM/TBST

Dilution buffer : 5% NFDM/TBST

All lanes:

Western blot - Anti-S100A10 antibody [EPR3317] (ab76472) at 1/5000 dilution

Lane 1:

RAW264.7 cell lysate at 20 µg

Lane 2:

NIH/3T3 cell lysate at 20 µg

Secondary

All lanes:

HRP goat anti-rabbit (H+L) at 1/1000 dilution

Predicted band size: 11 kDa

Observed band size: 12 kDa

false

Western blot - Anti-S100A10 antibody [EPR3317] (AB76472)
  • WB

Lab

Western blot - Anti-S100A10 antibody [EPR3317] (AB76472)

Blocking buffer : 5% NFDM/TBST

Lane 1:

Western blot - Anti-S100A10 antibody [EPR3317] (ab76472) at 1/1000 dilution

Lane 2:

Western blot - Anti-S100A10 antibody [EPR3317] (ab76472) at 1/5000 dilution

All lanes:

Western blot - Recombinant Human S100A10 protein (His tag) (<a href='/en-us/products/proteins-peptides/recombinant-human-s100a10-protein-his-tag-ab221399'>ab221399</a>) at 0.01 µg

Secondary

All lanes:

Western blot - Goat Anti-Rabbit IgG H&L (HRP) (<a href='/en-us/products/secondary-antibodies/goat-rabbit-igg-h-l-hrp-ab97051'>ab97051</a>) at 1/20000 dilution

Predicted band size: 11 kDa

Observed band size: 13 kDa,25 kDa

false

Exposure time: 3s

  • Carrier free

    Anti-S100A10 antibody [EPR3317] - BSA and Azide free

  • 660 APC

    APC Anti-S100A10 antibody [EPR3317]

  • 665 Alexa Fluor® 647

    Alexa Fluor® 647 Anti-S100A10 antibody [EPR3317]

  • 519 Alexa Fluor® 488

    Alexa Fluor® 488 Anti-S100A10 antibody [EPR3317]

  • 617 Alexa Fluor® 594

    Alexa Fluor® 594 Anti-S100A10 antibody [EPR3317]

  • 565 Alexa Fluor® 555

    Alexa Fluor® 555 Anti-S100A10 antibody [EPR3317]

  • 578 PE

    PE Anti-S100A10 antibody [EPR3317]

  • 775 Alexa Fluor® 750

    Alexa Fluor® 750 Anti-S100A10 antibody [EPR3317]

Key facts

Host species

Rabbit

Clonality

Monoclonal

Clone number

EPR3317

Isotype

IgG

Carrier free

No

Reacts with

Mouse, Rat, Human

Applications

IHC-P, WB

applications

Immunogen

The exact immunogen used to generate this antibody is proprietary information.

Specificity

The mouse recommendation is based on the WB results.
This product is not suitable for use on brain-related samples (such as astrocytes, hippocampus, and cerebellum) due to its low expression level in those tissues.
This antibody may not be suitable for IHC with mouse samples.

Reactivity data

{ "title": "Reactivity Data", "filters": { "stats": ["", "Species", "Dilution Info", "Notes"], "tabs": { "all-applications": {"fullname" : "All Applications", "shortname": "All Applications"}, "IHCP" : {"fullname" : "Immunohistochemistry (Formalin/PFA-fixed paraffin-embedded sections)", "shortname":"IHC-P"}, "FlowCyt" : {"fullname" : "Flow Cytometry", "shortname":"Flow Cyt"}, "WB" : {"fullname" : "Western blot", "shortname":"WB"}, "ICCIF" : {"fullname" : "Immunocytochemistry/ Immunofluorescence", "shortname":"ICC/IF"} }, "product-promise": { "all": "all", "testedAndGuaranteed": "tested", "guaranteed": "expected", "predicted": "predicted", "notRecommended": "not-recommended" } }, "values": { "Human": { "IHCP-species-checked": "testedAndGuaranteed", "IHCP-species-dilution-info": "1/50 - 1/100", "IHCP-species-notes": "<p></p> Perform heat-mediated antigen retrieval before commencing with IHC staining protocol.", "FlowCyt-species-checked": "notRecommended", "FlowCyt-species-dilution-info": "", "FlowCyt-species-notes": "<p><a href='/en-us/products/primary-antibodies/rabbit-igg-monoclonal-epr25a-isotype-control-ab172730'>ab172730</a> - Rabbit monoclonal IgG, is suitable for use as an isotype control with this antibody.</p>", "WB-species-checked": "testedAndGuaranteed", "WB-species-dilution-info": "1/1000 - 1/50000", "WB-species-notes": "<p></p>", "ICCIF-species-checked": "notRecommended", "ICCIF-species-dilution-info": "", "ICCIF-species-notes": "<p></p>" }, "Mouse": { "IHCP-species-checked": "guaranteed", "IHCP-species-dilution-info": "", "IHCP-species-notes": "", "FlowCyt-species-checked": "notRecommended", "FlowCyt-species-dilution-info": "", "FlowCyt-species-notes": "<p><a href='/en-us/products/primary-antibodies/rabbit-igg-monoclonal-epr25a-isotype-control-ab172730'>ab172730</a> - Rabbit monoclonal IgG, is suitable for use as an isotype control with this antibody.</p>", "WB-species-checked": "testedAndGuaranteed", "WB-species-dilution-info": "1/1000 - 1/50000", "WB-species-notes": "<p></p>", "ICCIF-species-checked": "notRecommended", "ICCIF-species-dilution-info": "", "ICCIF-species-notes": "<p></p>" }, "Rat": { "IHCP-species-checked": "guaranteed", "IHCP-species-dilution-info": "", "IHCP-species-notes": "", "FlowCyt-species-checked": "notRecommended", "FlowCyt-species-dilution-info": "", "FlowCyt-species-notes": "", "WB-species-checked": "testedAndGuaranteed", "WB-species-dilution-info": "1/1000", "WB-species-notes": "<p></p>", "ICCIF-species-checked": "notRecommended", "ICCIF-species-dilution-info": "", "ICCIF-species-notes": "" } } }

Product details

Patented technology
Our RabMAb® technology is a patented hybridoma-based technology for making rabbit monoclonal antibodies. For details on our patents, please refer to RabMAb® patents.

What are the advantages of a recombinant monoclonal antibody?
This product is a recombinant monoclonal antibody, which offers several advantages including:

  • - High batch-to-batch consistency and reproducibility
  • - Improved sensitivity and specificity
  • - Long-term security of supply
  • - Animal-free batch production

For more information, read more on recombinant antibodies.

Species reactivity
Rat: We have preliminary internal testing data to indicate this antibody may not react with this species.
Please contact us for more information.

Properties and storage information

Form
Liquid
Purification technique
Affinity purification Protein A
Storage buffer
pH: 7.2 - 7.4 Preservative: 0.01% Sodium azide Constituents: PBS, 40% Glycerol (glycerin, glycerine), 0.05% BSA
Shipped at conditions
Blue Ice
Appropriate short-term storage duration
1-2 weeks
Appropriate short-term storage conditions
+4°C
Appropriate long-term storage conditions
-20°C
Aliquoting information
Upon delivery aliquot
Storage information
Avoid freeze / thaw cycle

Supplementary information

This supplementary information is collated from multiple sources and compiled automatically.

S100A10 also known as p11 is a member of the S100 protein family. It has a molecular weight of about 11 kDa. This protein usually exists in the cytoplasm and nucleus of many cell types including epithelial cells and immune cells. S100A10 shows high expression in tissues like lungs kidneys and the intestinal tract. This protein functions mechanically as a calcium-binding protein even though it actually does not bind calcium directly promoting its interaction with other proteins.
Biological function summary

S100A10 is involved in different cellular processes such as membrane trafficking and cellular signaling. It forms a complex with annexin A2 which is vital for the regulation of processes like endocytosis and exocytosis. This complex helps stabilize plasma membrane phospholipids promoting various transport and signaling mechanisms. S100A10 also plays a role in cellular adhesion and migration connecting with actin cytoskeleton.

Pathways

S100A10 takes part in pathways linked to cellular migration and angiogenesis. It connects with pathways modulating actin dynamics commonly interacting with other proteins like annexin A2 and ARF6. Additionally S100A10 is linked to the plasminogen activation pathway where it facilitates the conversion of plasminogen to plasmin impacting tissue remodeling processes and endothelial cell function.

S100A10 has been linked to conditions such as cancer and inflammatory diseases. It has an association with annexin A2 in many cancer types suggesting its role in promoting tumor growth and invasion. Additionally S100A10 appears to play a part in depression by influencing serotonin signaling. Changes in S100A10 levels can disrupt cellular environments suggesting its significant link to the pathophysiology of these disorders.

Product protocols

For this product, it's our understanding that no specific protocols are required. You can visit:

Target data

Because S100A10 induces the dimerization of ANXA2/p36, it may function as a regulator of protein phosphorylation in that the ANXA2 monomer is the preferred target (in vitro) of tyrosine-specific kinase.
See full target information S100A10

Publications (16)

Recent publications for all applications. Explore the full list and refine your search

Cell death & disease 16:633 PubMed40841353

2025

Comparative analysis of S100A10 and S100A11 in MASLD and hepatic cancer development revealed a tumor suppressive role for S100A10.

Applications

Unspecified application

Species

Unspecified reactive species

Etienne Delangre,Marta Correia de Sousa,Miranda Türkal,Monika Gjorgjieva,Suzanne Chartier,Grégoire Arnoux,Cyril Sobolewski,Margot Fournier,Christine Maeder,Laura Rubbia-Brandt,Pierre Maechler,Michelangelo Foti

Diagnostic pathology 20:15 PubMed39934880

2025

The impact of C216T and hot spot mutations of the TERT promoter on the clinicopathologic characteristics and S100A10 expression in papillary thyroid carcinoma: a comparative study.

Applications

Unspecified application

Species

Unspecified reactive species

Ping Li,Chuqiang Huang,Xiaoling Liu,Huihui Gui,Jian Li

European journal of immunology 55:e202451298 PubMed39508544

2024

Neutrophil Extracellular Traps Participate in the Pathogenesis of Lupus Through S100A10-Mediated Regulatory T-Cell Differentiation and Functional Abnormalities.

Applications

Unspecified application

Species

Unspecified reactive species

Hua Guo,Qian Liang,Zhonghui Xue,Junling Yang,Pengyu Chen,Juan Ji,Jing Li,Genkai Guo,Haixia Cao,Xiaoqi Sha,Rui Zhao,Chen Dong,Zhifeng Gu

PLoS pathogens 20:e1011777 PubMed38913740

2024

Characterization of Unique Pathological Features of COVID-Associated Coagulopathy: Studies with AC70 hACE2 Transgenic Mice Highly Permissive to SARS-CoV-2 Infection.

Applications

Unspecified application

Species

Unspecified reactive species

Aleksandra K Drelich,Kempaiah Rayavara,Jason Hsu,Panatda Saenkham-Huntsinger,Barbara M Judy,Vivian Tat,Thomas G Ksiazek,Bi-Hung Peng,Chien-Te K Tseng

Neural regeneration research 20:491-502 PubMed38819062

2024

Overexpression of low-density lipoprotein receptor prevents neurotoxic polarization of astrocytes via inhibiting NLRP3 inflammasome activation in experimental ischemic stroke.

Applications

Unspecified application

Species

Unspecified reactive species

Shuai Feng,Juanji Li,Tingting Liu,Shiqi Huang,Xiangliang Chen,Shen Liu,Junshan Zhou,Hongdong Zhao,Ye Hong

Folia neuropathologica 61:273-290 PubMed37818688

2023

Astragaloside IV inhibits experimental autoimmune encephalomyelitis by modulating the polarization of both microglia/macrophages and astrocytes.

Applications

Unspecified application

Species

Unspecified reactive species

Jingwen Yu,Bingtao Mu,Minfang Guo,Chunyun Liu,Tao Meng,Yuqing Yan,Lijuan Song,Jiezhong Yu,Gajendra Kumar,Cungen Ma

iScience 26:107448 PubMed37720086

2023

Lethal adulthood myelin breakdown by oligodendrocyte-specific Ddx54 knockout.

Applications

Unspecified application

Species

Unspecified reactive species

Hiroaki Oizumi,Yuki Miyamoto,Chika Seiwa,Masahiro Yamamoto,Nozomu Yoshioka,Seiichi Iizuka,Tomohiro Torii,Katsuya Ohbuchi,Kazushige Mizoguchi,Junji Yamauchi,Hiroaki Asou

Frontiers in immunology 13:966881 PubMed36189321

2022

CSE/HS ameliorates colitis in mice protection of enteric glial cells and inhibition of the RhoA/ROCK pathway.

Applications

Unspecified application

Species

Unspecified reactive species

Song Wang,Yanyu Ding,Wenjun Jiang

Nature communications 13:1134 PubMed35241660

2022

Astrocytic phagocytosis contributes to demyelination after focal cortical ischemia in mice.

Applications

Unspecified application

Species

Unspecified reactive species

Ting Wan,Wusheng Zhu,Ying Zhao,Xiaohao Zhang,Ruidong Ye,Meng Zuo,Pengfei Xu,Zhenqian Huang,Chunni Zhang,Yi Xie,Xinfeng Liu

Brain pathology (Zurich, Switzerland) 32:e13047 PubMed35016256

2022

Proteomic analysis of human hippocampal subfields provides new insights into the pathogenesis of Alzheimer's disease and the role of glial cells.

Applications

Unspecified application

Species

Unspecified reactive species

Yanpan Gao,Jiaqi Liu,Jiayu Wang,Yifan Liu,Ling-Hui Zeng,Wei Ge,Chao Ma
View all publications

Product promise

We are committed to supporting your work with high-quality reagents, and we're here for you every step of the way. In the unlikely event that one of our products does not perform as expected, you're protected by our Product Promise.
For full details, please see our Terms & Conditions

Please note: All products are 'FOR RESEARCH USE ONLY. NOT FOR USE IN DIAGNOSTIC OR THERAPEUTIC PROCEDURES'.

For licensing inquiries, please contact partnerships@abcam.com