JavaScript is disabled in your browser. Please enable JavaScript to view this website.
AB232524

Anti-S100A10 antibody [EPR3317] - BSA and Azide free

Be the first to review this product! Submit a review

|

(4 Publications)

Rabbit Recombinant Monoclonal S100A10 antibody. Carrier free. Suitable for IHC-P, WB and reacts with Human, Mouse, Rat samples. Cited in 4 publications.

View Alternative Names

ANX2LG, CAL1L, CLP11, S100A10, Protein S100-A10, Calpactin I light chain, Calpactin-1 light chain, Cellular ligand of annexin II, S100 calcium-binding protein A10, p10 protein, p11

6 Images
Immunohistochemistry (Formalin/PFA-fixed paraffin-embedded sections) - Anti-S100A10 antibody [EPR3317] - BSA and Azide free (AB232524)
  • IHC-P

Unknown

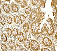
Immunohistochemistry (Formalin/PFA-fixed paraffin-embedded sections) - Anti-S100A10 antibody [EPR3317] - BSA and Azide free (AB232524)

This data was developed using ab76472, the same antibody clone in a different buffer formulation.

Unpurified ab76472 at 1/100 dilution staining S100A10 in human colon tissue.

Perform heat mediated antigen retrieval before commencing with IHC staining protocol.

Immunohistochemistry (Formalin/PFA-fixed paraffin-embedded sections) - Anti-S100A10 antibody [EPR3317] - BSA and Azide free (AB232524)
  • IHC-P

Supplier Data

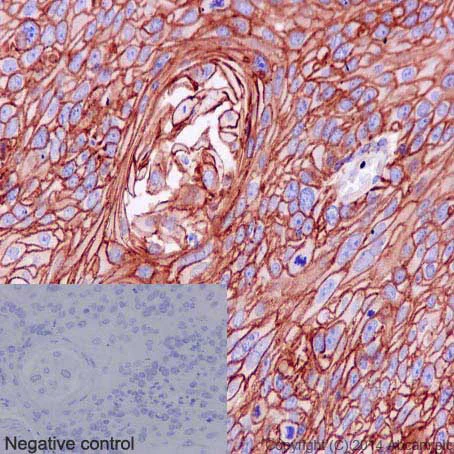
Immunohistochemistry (Formalin/PFA-fixed paraffin-embedded sections) - Anti-S100A10 antibody [EPR3317] - BSA and Azide free (AB232524)

This data was developed using ab76472, the same antibody clone in a different buffer formulation.

Immunohistochemical staining of paraffin embedded human squamous cell cervical carcinoma with purified ab76472 at a working dilution of 1 in 100. The secondary antibody used is a HRP polymer for rabbit IgG. The sample is counter-stained with hematoxylin. Antigen retrieval was perfomed using Tris-EDTA buffer, pH 9.0. PBS was used instead of the primary antibody as the negative control, and is shown in the inset.

Immunohistochemistry (Formalin/PFA-fixed paraffin-embedded sections) - Anti-S100A10 antibody [EPR3317] - BSA and Azide free (AB232524)
  • IHC-P

Unknown

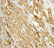
Immunohistochemistry (Formalin/PFA-fixed paraffin-embedded sections) - Anti-S100A10 antibody [EPR3317] - BSA and Azide free (AB232524)

This data was developed using ab76472, the same antibody clone in a different buffer formulation.

Unpurified ab76472 at 1/100 dilution staining S100A10 in human kidney tissue.

Perform heat mediated antigen retrieval before commencing with IHC staining protocol.

Western blot - Anti-S100A10 antibody [EPR3317] - BSA and Azide free (AB232524)
  • WB

Lab

Western blot - Anti-S100A10 antibody [EPR3317] - BSA and Azide free (AB232524)

Blocking buffer : 5% NFDM/TBST

This data was developed using ab76472, the same antibody clone in a different buffer formulation.

All lanes:

Western blot - Anti-S100A10 antibody [EPR3317] (<a href='/en-us/products/primary-antibodies/s100a10-antibody-epr3317-ab76472'>ab76472</a>) at 1/10000 dilution

Lane 1:

HaCaT (Human skin keratinocyte) whole cell lysate at 20 µg

Lane 2:

A431 (Human epidermoid carcinoma epithelial cell) whole cell lysate at 20 µg

Lane 3:

SW480 (Human colorectal adenocarcinoma epithelial cell) whole cell lysate at 20 µg

Lane 4:

HT-29 (Human colorectal adenocarcinoma epithelial cell) whole cell lysate at 20 µg

Secondary

All lanes:

Western blot - Goat Anti-Rabbit IgG H&L (HRP) (<a href='/en-us/products/secondary-antibodies/goat-rabbit-igg-h-l-hrp-ab97051'>ab97051</a>) at 1/20000 dilution

Predicted band size: 11 kDa

Observed band size: 13 kDa,40 kDa

false

Exposure time: 180s

Western blot - Anti-S100A10 antibody [EPR3317] - BSA and Azide free (AB232524)
  • WB

Lab

Western blot - Anti-S100A10 antibody [EPR3317] - BSA and Azide free (AB232524)

This data was developed using ab76472, the same antibody clone in a different buffer formulation.

Blocking and diluting buffer and concentration : 5% NFDM/TBST.

In Western blot, Anti-GAPDH antibody [EPR16891] - Loading Control (ab181602).

S100A10 shows lower enrichment in tissue samples than in cell lines. No signal was observed on brain samples. This product is not suitable for use on brain-related samples (such as astrocytes, hippocampus, and cerebellum) due to its low expression level in those tissues.

It is recommended to optimize experimental conditions by using 14% SDS-PAGE gel, increasing the sample loading amount, using a lower antibody dilution ratio, and employing femtogram-level sensitivity substrates.

All lanes:

Western blot - Anti-S100A10 antibody [EPR3317] (<a href='/en-us/products/primary-antibodies/s100a10-antibody-epr3317-ab76472'>ab76472</a>) at 1/1000 dilution

Lane 1:

HaCaT (Human skin keratinocyte) whole cell lysate at 20 µg

Lane 2:

Human brain tissue lysate at 20 µg

Lane 3:

Human lung tissue lysate at 20 µg

Lane 4:

Mouse brain tissue lysate at 20 µg

Lane 5:

Mouse hippocampus tissue at 20 µg

Lane 6:

Mouse lung tissue lysate at 20 µg

Lane 7:

Rat brain tissue lysate at 20 µg

Lane 8:

Rat hippocampus tissue lysate at 20 µg

Lane 9:

Rat lung tissue lysate at 20 µg

Secondary

All lanes:

Goat Anti-Rabbit IgG (HRP) with minimal cross-reactivity with human IgG at 1/2000 dilution

Observed band size: 11 kDa

false

Exposure time: 100s

Western blot - Anti-S100A10 antibody [EPR3317] - BSA and Azide free (AB232524)
  • WB

Lab

Western blot - Anti-S100A10 antibody [EPR3317] - BSA and Azide free (AB232524)

Blocking buffer : 5% NFDM/TBST

This data was developed using ab76472, the same antibody clone in a different buffer formulation.

Lane 1:

Western blot - Anti-S100A10 antibody [EPR3317] (<a href='/en-us/products/primary-antibodies/s100a10-antibody-epr3317-ab76472'>ab76472</a>) at 1/1000 dilution

Lane 2:

Western blot - Anti-S100A10 antibody [EPR3317] (<a href='/en-us/products/primary-antibodies/s100a10-antibody-epr3317-ab76472'>ab76472</a>) at 1/5000 dilution

All lanes:

Western blot - Recombinant Human S100A10 protein (His tag) (<a href='/en-us/products/proteins-peptides/recombinant-human-s100a10-protein-his-tag-ab221399'>ab221399</a>) at 0.01 µg

Secondary

All lanes:

Western blot - Goat Anti-Rabbit IgG H&L (HRP) (<a href='/en-us/products/secondary-antibodies/goat-rabbit-igg-h-l-hrp-ab97051'>ab97051</a>) at 1/20000 dilution

Predicted band size: 11 kDa

Observed band size: 13 kDa,25 kDa

false

Exposure time: 3s

Key facts

Host species

Rabbit

Clonality

Monoclonal

Clone number

EPR3317

Isotype

IgG

Carrier free

Yes

Reacts with

Mouse, Human, Rat

Applications

WB, IHC-P

applications

Immunogen

The exact immunogen used to generate this antibody is proprietary information.

Specificity

This product is not suitable for use on brain-related samples (such as astrocytes, hippocampus, and cerebellum) due to its low expression level in those tissues.

Reactivity data

{ "title": "Reactivity Data", "filters": { "stats": ["", "Species", "Dilution Info", "Notes"], "tabs": { "all-applications": {"fullname" : "All Applications", "shortname": "All Applications"}, "IHCP" : {"fullname" : "Immunohistochemistry (Formalin/PFA-fixed paraffin-embedded sections)", "shortname":"IHC-P"}, "ICCIF" : {"fullname" : "Immunocytochemistry/ Immunofluorescence", "shortname":"ICC/IF"}, "FlowCyt" : {"fullname" : "Flow Cytometry", "shortname":"Flow Cyt"}, "WB" : {"fullname" : "Western blot", "shortname":"WB"} }, "product-promise": { "all": "all", "testedAndGuaranteed": "tested", "guaranteed": "expected", "predicted": "predicted", "notRecommended": "not-recommended" } }, "values": { "Human": { "IHCP-species-checked": "testedAndGuaranteed", "IHCP-species-dilution-info": "", "IHCP-species-notes": "<p></p>", "ICCIF-species-checked": "notRecommended", "ICCIF-species-dilution-info": "", "ICCIF-species-notes": "<p></p>", "FlowCyt-species-checked": "notRecommended", "FlowCyt-species-dilution-info": "", "FlowCyt-species-notes": "<p></p>", "WB-species-checked": "testedAndGuaranteed", "WB-species-dilution-info": "", "WB-species-notes": "<p></p>" }, "Mouse": { "IHCP-species-checked": "notRecommended", "IHCP-species-dilution-info": "", "IHCP-species-notes": "<p></p>", "ICCIF-species-checked": "notRecommended", "ICCIF-species-dilution-info": "", "ICCIF-species-notes": "<p></p>", "FlowCyt-species-checked": "notRecommended", "FlowCyt-species-dilution-info": "", "FlowCyt-species-notes": "<p></p>", "WB-species-checked": "testedAndGuaranteed", "WB-species-dilution-info": "", "WB-species-notes": "<p></p>" }, "Rat": { "IHCP-species-checked": "notRecommended", "IHCP-species-dilution-info": "", "IHCP-species-notes": "<p></p>", "ICCIF-species-checked": "notRecommended", "ICCIF-species-dilution-info": "", "ICCIF-species-notes": "", "FlowCyt-species-checked": "notRecommended", "FlowCyt-species-dilution-info": "", "FlowCyt-species-notes": "", "WB-species-checked": "testedAndGuaranteed", "WB-species-dilution-info": "", "WB-species-notes": "<p></p>" } } }

Product details

ab232524 is the carrier-free version of ab76472.

Patented technology
Our RabMAb® technology is a patented hybridoma-based technology for making rabbit monoclonal antibodies. For details on our patents, please refer to RabMAb® patents.

What are the advantages of a recombinant monoclonal antibody?
This product is a recombinant monoclonal antibody, which offers several advantages including:

  • - High batch-to-batch consistency and reproducibility
  • - Improved sensitivity and specificity
  • - Long-term security of supply
  • - Animal-free batch production

For more information, read more on recombinant antibodies.

Conjugation ready
Our carrier-free antibodies are typically supplied in a PBS-only formulation, purified and free of BSA, sodium azide and glycerol. This conjugation-ready format is designed for use with fluorochromes, metal isotopes, oligonucleotides, and enzymes, which makes them ideal for antibody labelling, functional and cell-based assays, flow-based assays (e.g. mass cytometry) and Multiplex Imaging applications.

Use our conjugation kits for antibody conjugates that are ready-to-use in as little as 20 minutes with 1 minute hands-on-time and 100% antibody recovery: available for fluorescent dyes, HRP, biotin and gold.

Compatibility
This product is compatible with the Maxpar® Antibody Labeling Kit from Fluidigm, without the need for antibody preparation. Maxpar® is a trademark of Fluidigm Canada Inc.

Properties and storage information

Form
Liquid
Purification technique
Affinity purification Protein A
Storage buffer
pH: 7.2 - 7.4 Constituents: PBS
Shipped at conditions
Blue Ice
Appropriate short-term storage conditions
+4°C
Appropriate long-term storage conditions
+4°C
Storage information
Do Not Freeze

Supplementary information

This supplementary information is collated from multiple sources and compiled automatically.

S100A10 also known as p11 is a member of the S100 protein family. It has a molecular weight of about 11 kDa. This protein usually exists in the cytoplasm and nucleus of many cell types including epithelial cells and immune cells. S100A10 shows high expression in tissues like lungs kidneys and the intestinal tract. This protein functions mechanically as a calcium-binding protein even though it actually does not bind calcium directly promoting its interaction with other proteins.
Biological function summary

S100A10 is involved in different cellular processes such as membrane trafficking and cellular signaling. It forms a complex with annexin A2 which is vital for the regulation of processes like endocytosis and exocytosis. This complex helps stabilize plasma membrane phospholipids promoting various transport and signaling mechanisms. S100A10 also plays a role in cellular adhesion and migration connecting with actin cytoskeleton.

Pathways

S100A10 takes part in pathways linked to cellular migration and angiogenesis. It connects with pathways modulating actin dynamics commonly interacting with other proteins like annexin A2 and ARF6. Additionally S100A10 is linked to the plasminogen activation pathway where it facilitates the conversion of plasminogen to plasmin impacting tissue remodeling processes and endothelial cell function.

S100A10 has been linked to conditions such as cancer and inflammatory diseases. It has an association with annexin A2 in many cancer types suggesting its role in promoting tumor growth and invasion. Additionally S100A10 appears to play a part in depression by influencing serotonin signaling. Changes in S100A10 levels can disrupt cellular environments suggesting its significant link to the pathophysiology of these disorders.

Product protocols

For this product, it's our understanding that no specific protocols are required. You can visit:

Target data

Because S100A10 induces the dimerization of ANXA2/p36, it may function as a regulator of protein phosphorylation in that the ANXA2 monomer is the preferred target (in vitro) of tyrosine-specific kinase.
See full target information S100A10

Publications (4)

Recent publications for all applications. Explore the full list and refine your search

Glia 72:2061-2078 PubMed39056459

2024

Astrocyte-TREM2 alleviates brain injury by regulating reactive astrocyte states following ischemic stroke.

Applications

Unspecified application

Species

Unspecified reactive species

Cong Wang,Jing Dong,Heng Huang,Kegui Zhou,Zhenguo Liu,Richard Milner,Longxuan Li

British journal of pharmacology 181:4028-4049 PubMed38936407

2024

Histone deacetylase inhibition mitigates cognitive deficits and astrocyte dysfunction induced by amyloid-β (Aβ) oligomers.

Applications

Unspecified application

Species

Unspecified reactive species

Luan Pereira Diniz,Juliana Morgado,Ana Paula Bergamo Araujo,Leticia Maria da Silva Antônio,Hannah Paola Mota-Araujo,Pedro de Sena Murteira Pinheiro,Fernanda Savacini Sagrillo,Gabriele Vargas Cesar,Sérgio T Ferreira,Cláudia Pinto Figueiredo,Carlos Alberto Manssour Fraga,Flávia Carvalho Alcantara Gomes

Journal of neuroinflammation 20:44 PubMed36823628

2023

The critical role of KLF4 in regulating the activation of A1/A2 reactive astrocytes following ischemic stroke.

Applications

Unspecified application

Species

Unspecified reactive species

Cong Wang,Longxuan Li

Bioscience reports 40: PubMed33015714

2020

Chlorogenic acid ameliorated allergic rhinitis-related symptoms in mice by regulating Th17 cells.

Applications

Unspecified application

Species

Unspecified reactive species

Zhaohui Shi,Weihong Jiang,Xiaodong Chen,Min Xu,Jian Wang,Yubin Lai,Dingjun Zha
View all publications

Product promise

We are committed to supporting your work with high-quality reagents, and we're here for you every step of the way. In the unlikely event that one of our products does not perform as expected, you're protected by our Product Promise.
For full details, please see our Terms & Conditions

Please note: All products are 'FOR RESEARCH USE ONLY. NOT FOR USE IN DIAGNOSTIC OR THERAPEUTIC PROCEDURES'.

For licensing inquiries, please contact partnerships@abcam.com