JavaScript is disabled in your browser. Please enable JavaScript to view this website.
AB180593

Anti-S100A11 antibody [EPR11172]

5

(2 Reviews)

|

(9 Publications)

Rabbit Recombinant Monoclonal S100A11 antibody. Suitable for IHC-P, ICC/IF, Flow Cyt (Intra) and reacts with Human, Rat samples. Cited in 9 publications.

View Alternative Names

MLN70, S100C, S100A11, Protein S100-A11, Calgizzarin, Metastatic lymph node gene 70 protein, Protein S100-C, S100 calcium-binding protein A11, MLN 70

6 Images
Flow Cytometry (Intracellular) - Anti-S100A11 antibody [EPR11172] (AB180593)
  • Flow Cyt (Intra)

Supplier Data

Flow Cytometry (Intracellular) - Anti-S100A11 antibody [EPR11172] (AB180593)

Intracellular Flow Cytometry analysis of PC-3 cells using ab180593 at a 1/150 dilution (red) or a Rabbit monoclonal IgG (negative) (green). Goat anti rabbit IgG (FITC) secondary used at a 1/150 dilution.

Immunohistochemistry (Formalin/PFA-fixed paraffin-embedded sections) - Anti-S100A11 antibody [EPR11172] (AB180593)
  • IHC-P

Lab

Immunohistochemistry (Formalin/PFA-fixed paraffin-embedded sections) - Anti-S100A11 antibody [EPR11172] (AB180593)

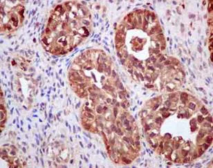
ab180593 staining S100A11 in human thyroid carcinoma tissue sections by Immunohistochemistry (IHC-P - paraformaldehyde-fixed, paraffin-embedded sections). Tissue was fixed with paraffin and antigen retrieval was by heat mediation in a EDTA buffer. Samples were incubated with primary antibody at a dilution of 1/3000. A goat anti-rabbit IgG H&L (HRP) ab97051 was used as the secondary antibody at a dilution of 1/500.

Negative control 1 : PBS in place of primary antibody.

Immunohistochemistry (Formalin/PFA-fixed paraffin-embedded sections) - Anti-S100A11 antibody [EPR11172] (AB180593)
  • IHC-P

Supplier Data

Immunohistochemistry (Formalin/PFA-fixed paraffin-embedded sections) - Anti-S100A11 antibody [EPR11172] (AB180593)

Immunohistochemical analysis of paraffin embedded Human ovarian carcinoma tissue labeling S100A11 with ab180593 at a 1/100 dilution. Prediluted ImmunoHistoprobe HRP Polymer for Rabbit IgG secondary used. Counterstained with Hematoxylin.

Perform heat mediated antigen retrieval before commencing with IHC staining protocol.

Immunocytochemistry/ Immunofluorescence - Anti-S100A11 antibody [EPR11172] (AB180593)
  • ICC/IF

Supplier Data

Immunocytochemistry/ Immunofluorescence - Anti-S100A11 antibody [EPR11172] (AB180593)

Immunofluorescence analysis of BxPC-3 cells (fixative 4% paraformaldehyde) labeling S100A11 with ab180593 at a 1/100 dilution (left image), and counterstained with Dapi (right image). Goat anti rabbit IgG (Dylight 555) secondary used at a 1/200 diution.

Immunocytochemistry/ Immunofluorescence - Anti-S100A11 antibody [EPR11172] (AB180593)
  • ICC/IF

Lab

Immunocytochemistry/ Immunofluorescence - Anti-S100A11 antibody [EPR11172] (AB180593)

ab180593 staining S100A11 in PC-3 (human prostate adenocarcinoma) cells by ICC/IF (Immunocytochemistry/immunofluorescence). Cells were fixed with 4% Paraformaldehyde and permeabilized with 0.1% Triton X-100. Samples were incubated with primary antibody at a dilution of 1/400. A goat anti rabbit IgG (Alexa Fluor® 488) (ab150077) was used as the secondary antibody at a dilution of 1/1000. ab7291 (1/1000) and ab150120 (1/1000) were used as counterstains for primary antibody ab180593 and secondary antibody ab150077 respectively and DAPI was used as a nuclear counterstain.

Negative control 1 : Rabbit primary antibody and anti-mouse secondary antibody (ab150120)
Negative control 2 : Mouse primary antibody (ab7291) and anti-rabbit secondary antibody (ab150077)

Flow Cytometry (Intracellular) - Anti-S100A11 antibody [EPR11172] (AB180593)
  • Flow Cyt (Intra)

Lab

Flow Cytometry (Intracellular) - Anti-S100A11 antibody [EPR11172] (AB180593)

ab180593 staining S100A11 in PC-12 (rat adrenal gland pheochromocytoma) cell line by intracellular flow cytometry. Cells were fixed with 4% paraformaldehyde and the sample was incubated with the primary antibody at a dilution of 1/180. A goat anti rabbit IgG (Alexa Fluor® 488) at a dilution of 1/2000 was used as the secondary antibody.

Isoytype control : Rabbit monoclonal IgG (Black)

Unlabelled control : Cell without incubation with primary antibody and secondary antibody (Blue)

  • Carrier free

    Anti-S100A11 antibody [EPR11172] - BSA and Azide free

  • 578 PE

    PE Anti-S100A11 antibody [EPR11172]

  • 665 Alexa Fluor® 647

    Alexa Fluor® 647 Anti-S100A11 antibody [EPR11172]

Key facts

Host species

Rabbit

Clonality

Monoclonal

Clone number

EPR11172

Isotype

IgG

Carrier free

No

Reacts with

Rat, Human

Applications

Flow Cyt (Intra), IHC-P, ICC/IF

applications

Immunogen

The exact immunogen used to generate this antibody is proprietary information.

Reactivity data

{ "title": "Reactivity Data", "filters": { "stats": ["", "Species", "Dilution Info", "Notes"], "tabs": { "all-applications": {"fullname" : "All Applications", "shortname": "All Applications"}, "IHCP" : {"fullname" : "Immunohistochemistry (Formalin/PFA-fixed paraffin-embedded sections)", "shortname":"IHC-P"}, "ICCIF" : {"fullname" : "Immunocytochemistry/ Immunofluorescence", "shortname":"ICC/IF"}, "FlowCytIntra" : {"fullname" : "Flow Cytometry (Intracellular)", "shortname":"Flow Cyt (Intra)"} }, "product-promise": { "all": "all", "testedAndGuaranteed": "tested", "guaranteed": "expected", "predicted": "predicted", "notRecommended": "not-recommended" } }, "values": { "Human": { "IHCP-species-checked": "testedAndGuaranteed", "IHCP-species-dilution-info": "1/3000", "IHCP-species-notes": "<p><strong>Unpurified format:</strong> 1/50 - 1/100.</p><p>For anitgen retireval heat up to 98°C, below boiling, and then let cool for 10-20 min.</p>", "ICCIF-species-checked": "testedAndGuaranteed", "ICCIF-species-dilution-info": "1/100 - 1/400", "ICCIF-species-notes": "<p></p>", "FlowCytIntra-species-checked": "testedAndGuaranteed", "FlowCytIntra-species-dilution-info": "1/80 - 1/150", "FlowCytIntra-species-notes": "<p><a href='/en-us/products/primary-antibodies/rabbit-igg-monoclonal-epr25a-isotype-control-ab172730'>ab172730</a> - Rabbit monoclonal IgG, is suitable for use as an isotype control with this antibody.</p>" }, "Rat": { "IHCP-species-checked": "guaranteed", "IHCP-species-dilution-info": "", "IHCP-species-notes": "", "ICCIF-species-checked": "guaranteed", "ICCIF-species-dilution-info": "", "ICCIF-species-notes": "", "FlowCytIntra-species-checked": "testedAndGuaranteed", "FlowCytIntra-species-dilution-info": "1/80 - 1/150", "FlowCytIntra-species-notes": "<p><a href='/en-us/products/primary-antibodies/rabbit-igg-monoclonal-epr25a-isotype-control-ab172730'>ab172730</a> - Rabbit monoclonal IgG, is suitable for use as an isotype control with this antibody.</p>" } } }

Product details

Patented technology
Our RabMAb® technology is a patented hybridoma-based technology for making rabbit monoclonal antibodies. For details on our patents, please refer to RabMAb® patents.

What are the advantages of a recombinant monoclonal antibody?
This product is a recombinant monoclonal antibody, which offers several advantages including:

  • - High batch-to-batch consistency and reproducibility
  • - Improved sensitivity and specificity
  • - Long-term security of supply
  • - Animal-free batch production

For more information, read more on recombinant antibodies.

Properties and storage information

Form
Liquid
Purification technique
Affinity purification Protein A
Storage buffer
pH: 7.2 - 7.4 Preservative: 0.01% Sodium azide Constituents: PBS, 40% Glycerol (glycerin, glycerine), 0.21% BSA
Shipped at conditions
Blue Ice
Appropriate short-term storage duration
1-2 weeks
Appropriate short-term storage conditions
+4°C
Appropriate long-term storage conditions
-20°C
Aliquoting information
Upon delivery aliquot
Storage information
Avoid freeze / thaw cycle

Supplementary information

This supplementary information is collated from multiple sources and compiled automatically.

S100A11 also known as Calgizzarin or MLN 70 is a calcium-binding protein of the S100 family. It has a molecular mass of approximately 11 kDa. S100A11 can be found in a wide range of tissues including skin placenta and heart. It exhibits the ability to bind calcium ions through its EF-hand motifs which influences its activity and stability. These calcium-binding domains make S100A11 an important regulator of various intracellular processes by responding to changes in calcium ion concentrations.
Biological function summary

The functions of S100A11 include involvement in cell proliferation differentiation and migration. S100A11 often operates as part of a protein complex facilitating these cellular processes by interacting with other signaling molecules. It can shuttle between the cytoplasm and nucleus influencing gene expression and cellular dynamics. S100A11 has also shown involvement in smooth muscle contraction and skin barrier function regulation.

Pathways

The activity involving S100A11 spans multiple biological pathways including the calcium signaling pathway and the epithelial cell signaling pathway. Through these pathways S100A11 maintains critical cellular homeostasis and function. In the calcium signaling pathway it interacts with proteins like annexins and calcyclin to modulate cellular responses to calcium influx. In epithelial cell signaling it affects pathways related to cell adhesion and communication integrating signals that dictate cell behavior in response to external stimuli.

S100A11 is relevant to cancer progression and inflammatory skin disorders. Its overexpression in various cancers such as bladder and prostate cancer suggests a role in tumor growth and metastasis. During the cancerous process S100A11 interacts with the p53 protein which impacts cell cycle regulation and survival. Additionally in inflammatory skin conditions like psoriasis S100A11 influences keratinocyte activity contributing to abnormal skin scaling and inflammation through interactions with filaggrin and keratin proteins.

Product protocols

For this product, it's our understanding that no specific protocols are required. You can visit:

Target data

Facilitates the differentiation and the cornification of keratinocytes.
See full target information S100A11

Publications (9)

Recent publications for all applications. Explore the full list and refine your search

Theranostics 15:726-744 PubMed39744679

2025

S100A proteins show a spatial distribution of inflammation associated with the glioblastoma microenvironment architecture.

Applications

Unspecified application

Species

Unspecified reactive species

Blanca Cómitre-Mariano,Berta Segura-Collar,Gabriel Vellila-Alonso,Rubén Contreras,Aurelio Hernandez-Lain,Manuel Valiente,Juan M Sepulveda,Stephen Garrett Marcus,Guillermo García-Posadas,Luis Jiménez-Roldán,Ángel Perez-Nuñez,Ricardo Gargini

Bioengineered 12:8447-8456 PubMed34663163

2021

Tranilast inhibits angiotensin II-induced myocardial fibrosis through S100A11/ transforming growth factor-β (TGF-β1)/Smad axis.

Applications

Unspecified application

Species

Unspecified reactive species

Youquan Chen,Ming Huang,Yi Yan,Dequan He

International journal of molecular medicine 48: PubMed34080639

2021

ELK1‑mediated upregulation of lncRNA LBX2‑AS1 facilitates cell proliferation and invasion via regulating miR‑491‑5p/S100A11 axis in colorectal cancer.

Applications

Unspecified application

Species

Unspecified reactive species

Gang Ma,Weijie Dai,Juan Zhang,Qianjun Li,Biao Gu,Yaqi Song,Xiaozhong Yang

Journal of cellular and molecular medicine 23:6907-6918 PubMed31430050

2019

S100A11 functions as novel oncogene in glioblastoma via S100A11/ANXA2/NF-κB positive feedback loop.

Applications

Unspecified application

Species

Unspecified reactive species

Yiming Tu,Peng Xie,Xiaoliu Du,Liang Fan,Zhongyuan Bao,Guangchi Sun,Pengzhan Zhao,Honglu Chao,Chong Li,Ailiang Zeng,Minhong Pan,Jing Ji

Cell death & disease 9:657 PubMed29844306

2018

S100A11 protects against neuronal cell apoptosis induced by cerebral ischemia via inhibiting the nuclear translocation of annexin A1.

Applications

Unspecified application

Species

Unspecified reactive species

Qian Xia,Xing Li,Huijuan Zhou,Lu Zheng,Jing Shi

Scientific reports 7:17086 PubMed29213102

2017

E-cadherin dynamics is regulated by galectin-7 at epithelial cell surface.

Applications

Unspecified application

Species

Unspecified reactive species

Tamara Advedissian,Véronique Proux-Gillardeaux,Rachel Nkosi,Grégoire Peyret,Thao Nguyen,Françoise Poirier,Mireille Viguier,Frédérique Deshayes

Proceedings of the National Academy of Sciences of 114:E5625-E5634 PubMed28652369

2017

Quantitative proteomics identify Tenascin-C as a promoter of lung cancer progression and contributor to a signature prognostic of patient survival.

Applications

Unspecified application

Species

Unspecified reactive species

Vasilena Gocheva,Alexandra Naba,Arjun Bhutkar,Talia Guardia,Kathryn M Miller,Carman Man-Chung Li,Talya L Dayton,Francisco J Sanchez-Rivera,Caroline Kim-Kiselak,Noor Jailkhani,Monte M Winslow,Amanda Del Rosario,Richard O Hynes,Tyler Jacks

Arthritis research & therapy 19:79 PubMed28446208

2017

Calgizzarin (S100A11): a novel inflammatory mediator associated with disease activity of rheumatoid arthritis.

Applications

IHC-P, WB

Species

Human, Human

Lucie Andrés Cerezo,Barbora Šumová,Klára Prajzlerová,David Veigl,Dres Damgaard,Claus Henrik Nielsen,Karel Pavelka,Jiří Vencovský,Ladislav Šenolt

Biochimica et biophysica acta. Molecular basis of 1863:1568-1574 PubMed28254494

2017

Sodium restriction modulates innate immunity and prevents cardiac remodeling in a rat model of metabolic syndrome.

Applications

Unspecified application

Species

Unspecified reactive species

Bernard Jover,Christelle Reynes,Caroline Rugale,Cyril Reboul,Laura Jeanson,Michel Tournier,Anne Dominique Lajoix,Caroline Desmetz
View all publications

Product promise

We are committed to supporting your work with high-quality reagents, and we're here for you every step of the way. In the unlikely event that one of our products does not perform as expected, you're protected by our Product Promise.
For full details, please see our Terms & Conditions

Please note: All products are 'FOR RESEARCH USE ONLY. NOT FOR USE IN DIAGNOSTIC OR THERAPEUTIC PROCEDURES'.

For licensing inquiries, please contact partnerships@abcam.com