JavaScript is disabled in your browser. Please enable JavaScript to view this website.
AB236123

Anti-S100A11 antibody [EPR11172] - BSA and Azide free

Be the first to review this product! Submit a review

|

(1 Publication)

Rabbit Recombinant Monoclonal S100A11 antibody. Carrier free. Suitable for ICC/IF, Flow Cyt (Intra), IHC-P and reacts with Human, Rat samples. Cited in 1 publication.

View Alternative Names

MLN70, S100C, S100A11, Protein S100-A11, Calgizzarin, Metastatic lymph node gene 70 protein, Protein S100-C, S100 calcium-binding protein A11, MLN 70

6 Images
Flow Cytometry (Intracellular) - Anti-S100A11 antibody [EPR11172] - BSA and Azide free (AB236123)
  • Flow Cyt (Intra)

Supplier Data

Flow Cytometry (Intracellular) - Anti-S100A11 antibody [EPR11172] - BSA and Azide free (AB236123)

Intracellular Flow Cytometry analysis of PC-3 cells using ab180593 at a 1/150 dilution (red) or a Rabbit monoclonal IgG (negative) (green). Goat anti rabbit IgG (FITC) secondary used at a 1/150 dilution.

This data was developed using the same antibody clone in a different buffer formulation containing PBS, BSA, glycerol, and sodium azide (ab180593).

Immunohistochemistry (Formalin/PFA-fixed paraffin-embedded sections) - Anti-S100A11 antibody [EPR11172] - BSA and Azide free (AB236123)
  • IHC-P

Lab

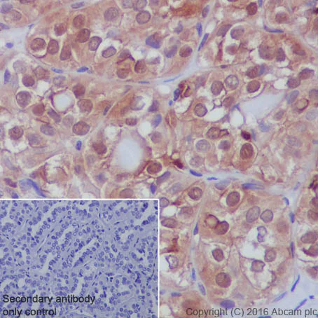
Immunohistochemistry (Formalin/PFA-fixed paraffin-embedded sections) - Anti-S100A11 antibody [EPR11172] - BSA and Azide free (AB236123)

ab180593 staining S100A11 in human thyroid carcinoma tissue sections by Immunohistochemistry (IHC-P - paraformaldehyde-fixed, paraffin-embedded sections). Tissue was fixed with paraffin and antigen retrieval was by heat mediation in a EDTA buffer. Samples were incubated with primary antibody at a dilution of 1/3000. A goat anti-rabbit IgG H&L (HRP) ab97051 was used as the secondary antibody at a dilution of 1/500.

Negative control 1 : PBS in place of primary antibody.

This data was developed using the same antibody clone in a different buffer formulation containing PBS, BSA, glycerol, and sodium azide (ab180593).

Immunohistochemistry (Formalin/PFA-fixed paraffin-embedded sections) - Anti-S100A11 antibody [EPR11172] - BSA and Azide free (AB236123)
  • IHC-P

Supplier Data

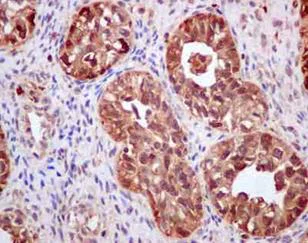
Immunohistochemistry (Formalin/PFA-fixed paraffin-embedded sections) - Anti-S100A11 antibody [EPR11172] - BSA and Azide free (AB236123)

Immunohistochemical analysis of paraffin embedded Human ovarian carcinoma tissue labeling S100A11 with ab180593 at a 1/100 dilution. Prediluted ImmunoHistoprobe HRP Polymer for Rabbit IgG secondary used. Counterstained with Hematoxylin.

This data was developed using the same antibody clone in a different buffer formulation containing PBS, BSA, glycerol, and sodium azide (ab180593).

Immunocytochemistry/ Immunofluorescence - Anti-S100A11 antibody [EPR11172] - BSA and Azide free (AB236123)
  • ICC/IF

Supplier Data

Immunocytochemistry/ Immunofluorescence - Anti-S100A11 antibody [EPR11172] - BSA and Azide free (AB236123)

Immunofluorescence analysis of BxPC-3 cells (fixative 4% paraformaldehyde) labeling S100A11 with ab180593 at a 1/100 dilution (left image), and counterstained with Dapi (right image). Goat anti rabbit IgG (Dylight 555) secondary used at a 1/200 diution.

This data was developed using the same antibody clone in a different buffer formulation containing PBS, BSA, glycerol, and sodium azide (ab180593).

Immunocytochemistry/ Immunofluorescence - Anti-S100A11 antibody [EPR11172] - BSA and Azide free (AB236123)
  • ICC/IF

Lab

Immunocytochemistry/ Immunofluorescence - Anti-S100A11 antibody [EPR11172] - BSA and Azide free (AB236123)

ab180593 staining S100A11 in PC-3 (human prostate adenocarcinoma) cells by ICC/IF (Immunocytochemistry/immunofluorescence). Cells were fixed with 4% Paraformaldehyde and permeabilized with 0.1% Triton X-100. Samples were incubated with primary antibody at a dilution of 1/400. A goat anti rabbit IgG (Alexa Fluor® 488) (ab150077) was used as the secondary antibody at a dilution of 1/1000. ab7291 (1/1000) and ab150120 (1/1000) were used as counterstains for primary antibody ab180593 and secondary antibody ab150077 respectively and DAPI was used as a nuclear counterstain.

Negative control 1 : Rabbit primary antibody and anti-mouse secondary antibody (ab150120)
Negative control 2 : Mouse primary antibody (ab7291) and anti-rabbit secondary antibody (ab150077)

This data was developed using the same antibody clone in a different buffer formulation containing PBS, BSA, glycerol, and sodium azide (ab180593).

Flow Cytometry (Intracellular) - Anti-S100A11 antibody [EPR11172] - BSA and Azide free (AB236123)
  • Flow Cyt (Intra)

Lab

Flow Cytometry (Intracellular) - Anti-S100A11 antibody [EPR11172] - BSA and Azide free (AB236123)

ab180593 staining S100A11 in PC-12 (rat adrenal gland pheochromocytoma) cell line by intracellular flow cytometry. Cells were fixed with 4% paraformaldehyde and the sample was incubated with the primary antibody at a dilution of 1/180. A goat anti rabbit IgG (Alexa Fluor® 488) at a dilution of 1/2000 was used as the secondary antibody.

Isoytype control : Rabbit monoclonal IgG (Black)

Unlabelled control : Cell without incubation with primary antibody and secondary antibody (Blue)

This data was developed using the same antibody clone in a different buffer formulation containing PBS, BSA, glycerol, and sodium azide (ab180593).

  • Unconjugated

    Anti-S100A11 antibody [EPR11172]

  • 578 PE

    PE Anti-S100A11 antibody [EPR11172]

  • 665 Alexa Fluor® 647

    Alexa Fluor® 647 Anti-S100A11 antibody [EPR11172]

Key facts

Host species

Rabbit

Clonality

Monoclonal

Clone number

EPR11172

Isotype

IgG

Carrier free

Yes

Reacts with

Rat, Human

Applications

Flow Cyt (Intra), ICC/IF, IHC-P

applications

Immunogen

The exact immunogen used to generate this antibody is proprietary information.

Reactivity data

{ "title": "Reactivity Data", "filters": { "stats": ["", "Species", "Dilution Info", "Notes"], "tabs": { "all-applications": {"fullname" : "All Applications", "shortname": "All Applications"}, "ICCIF" : {"fullname" : "Immunocytochemistry/ Immunofluorescence", "shortname":"ICC/IF"}, "FlowCytIntra" : {"fullname" : "Flow Cytometry (Intracellular)", "shortname":"Flow Cyt (Intra)"}, "IHCP" : {"fullname" : "Immunohistochemistry (Formalin/PFA-fixed paraffin-embedded sections)", "shortname":"IHC-P"} }, "product-promise": { "all": "all", "testedAndGuaranteed": "tested", "guaranteed": "expected", "predicted": "predicted", "notRecommended": "not-recommended" } }, "values": { "Human": { "ICCIF-species-checked": "testedAndGuaranteed", "ICCIF-species-dilution-info": "", "ICCIF-species-notes": "<p></p>", "FlowCytIntra-species-checked": "testedAndGuaranteed", "FlowCytIntra-species-dilution-info": "", "FlowCytIntra-species-notes": "<p><a href='/en-us/products/primary-antibodies/rabbit-igg-monoclonal-epr25a-isotype-control-ab172730'>ab172730</a> - Rabbit monoclonal IgG, is suitable for use as an isotype control with this antibody.</p>", "IHCP-species-checked": "testedAndGuaranteed", "IHCP-species-dilution-info": "", "IHCP-species-notes": "<p>For anitgen retireval heat up to 98°C, below boiling, and then let cool for 10-20 min.</p>" }, "Rat": { "ICCIF-species-checked": "guaranteed", "ICCIF-species-dilution-info": "", "ICCIF-species-notes": "", "FlowCytIntra-species-checked": "testedAndGuaranteed", "FlowCytIntra-species-dilution-info": "", "FlowCytIntra-species-notes": "<p><a href='/en-us/products/primary-antibodies/rabbit-igg-monoclonal-epr25a-isotype-control-ab172730'>ab172730</a> - Rabbit monoclonal IgG, is suitable for use as an isotype control with this antibody.</p>", "IHCP-species-checked": "guaranteed", "IHCP-species-dilution-info": "", "IHCP-species-notes": "" } } }

Product details

ab236123 is the carrier-free version of ab180593.

Patented technology
Our RabMAb® technology is a patented hybridoma-based technology for making rabbit monoclonal antibodies. For details on our patents, please refer to RabMAb® patents.

What are the advantages of a recombinant monoclonal antibody?
This product is a recombinant monoclonal antibody, which offers several advantages including:

  • - High batch-to-batch consistency and reproducibility
  • - Improved sensitivity and specificity
  • - Long-term security of supply
  • - Animal-free batch production

For more information, read more on recombinant antibodies.

Conjugation ready
Our carrier-free antibodies are typically supplied in a PBS-only formulation, purified and free of BSA, sodium azide and glycerol. This conjugation-ready format is designed for use with fluorochromes, metal isotopes, oligonucleotides, and enzymes, which makes them ideal for antibody labelling, functional and cell-based assays, flow-based assays (e.g. mass cytometry) and Multiplex Imaging applications.

Use our conjugation kits for antibody conjugates that are ready-to-use in as little as 20 minutes with 1 minute hands-on-time and 100% antibody recovery: available for fluorescent dyes, HRP, biotin and gold.

Compatibility
This product is compatible with the Maxpar® Antibody Labeling Kit from Fluidigm, without the need for antibody preparation. Maxpar® is a trademark of Fluidigm Canada Inc.

Properties and storage information

Form
Liquid
Purification technique
Affinity purification Protein A
Storage buffer
pH: 7.2 - 7.4 Constituents: PBS
Shipped at conditions
Blue Ice
Appropriate short-term storage conditions
+4°C
Appropriate long-term storage conditions
+4°C
Storage information
Do Not Freeze

Supplementary information

This supplementary information is collated from multiple sources and compiled automatically.

S100A11 also known as Calgizzarin or MLN 70 is a calcium-binding protein of the S100 family. It has a molecular mass of approximately 11 kDa. S100A11 can be found in a wide range of tissues including skin placenta and heart. It exhibits the ability to bind calcium ions through its EF-hand motifs which influences its activity and stability. These calcium-binding domains make S100A11 an important regulator of various intracellular processes by responding to changes in calcium ion concentrations.
Biological function summary

The functions of S100A11 include involvement in cell proliferation differentiation and migration. S100A11 often operates as part of a protein complex facilitating these cellular processes by interacting with other signaling molecules. It can shuttle between the cytoplasm and nucleus influencing gene expression and cellular dynamics. S100A11 has also shown involvement in smooth muscle contraction and skin barrier function regulation.

Pathways

The activity involving S100A11 spans multiple biological pathways including the calcium signaling pathway and the epithelial cell signaling pathway. Through these pathways S100A11 maintains critical cellular homeostasis and function. In the calcium signaling pathway it interacts with proteins like annexins and calcyclin to modulate cellular responses to calcium influx. In epithelial cell signaling it affects pathways related to cell adhesion and communication integrating signals that dictate cell behavior in response to external stimuli.

S100A11 is relevant to cancer progression and inflammatory skin disorders. Its overexpression in various cancers such as bladder and prostate cancer suggests a role in tumor growth and metastasis. During the cancerous process S100A11 interacts with the p53 protein which impacts cell cycle regulation and survival. Additionally in inflammatory skin conditions like psoriasis S100A11 influences keratinocyte activity contributing to abnormal skin scaling and inflammation through interactions with filaggrin and keratin proteins.

Product protocols

For this product, it's our understanding that no specific protocols are required. You can visit:

Target data

Facilitates the differentiation and the cornification of keratinocytes.
See full target information S100A11

Publications (1)

Recent publications for all applications. Explore the full list and refine your search

Journal of neuroinflammation 17:252 PubMed32859212

2020

Transgenic inhibition of astroglial NF-κB restrains the neuroinflammatory and neurodegenerative outcomes of experimental mouse glaucoma.

Applications

Unspecified application

Species

Unspecified reactive species

Xiangjun Yang,Qun Zeng,Mine Barış,Gülgün Tezel
View all publications

Product promise

We are committed to supporting your work with high-quality reagents, and we're here for you every step of the way. In the unlikely event that one of our products does not perform as expected, you're protected by our Product Promise.
For full details, please see our Terms & Conditions

Please note: All products are 'FOR RESEARCH USE ONLY. NOT FOR USE IN DIAGNOSTIC OR THERAPEUTIC PROCEDURES'.

For licensing inquiries, please contact partnerships@abcam.com