JavaScript is disabled in your browser. Please enable JavaScript to view this website.
AB233189

Anti-S100A14 antibody

Be the first to review this product! Submit a review

|

(1 Publication)

Rabbit Polyclonal S100A14 antibody. Suitable for WB, IHC-P and reacts with Pig, Human samples. Cited in 1 publication. Immunogen corresponding to Recombinant Fragment Protein within Human S100A14 aa 1-100.

View Alternative Names

S100A15, S100A14, Protein S100-A14, S100 calcium-binding protein A14, S114

3 Images
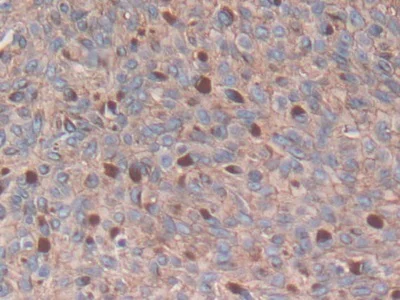
Immunohistochemistry (Formalin/PFA-fixed paraffin-embedded sections) - Anti-S100A14 antibody (AB233189)
  • IHC-P

Supplier Data

Immunohistochemistry (Formalin/PFA-fixed paraffin-embedded sections) - Anti-S100A14 antibody (AB233189)

Formalin-fixed, paraffin-embedded human skin cancer tissue stained for S100A14 using ab233189 at 20 μg/mL in immunohistochemical analysis. DAB staining.

Western blot - Anti-S100A14 antibody (AB233189)
  • WB

Supplier Data

Western blot - Anti-S100A14 antibody (AB233189)

All lanes:

Western blot - Anti-S100A14 antibody (ab233189) at 2 µg/mL

All lanes:

Recombinant human S100A14

Predicted band size: 11 kDa

false

Western blot - Anti-S100A14 antibody (AB233189)
  • WB

Supplier Data

Western blot - Anti-S100A14 antibody (AB233189)

All lanes:

Western blot - Anti-S100A14 antibody (ab233189) at 1 µg/mL

All lanes:

Pig stomach tissue lysate

Secondary

All lanes:

HRP-Linked Guinea pig Anti-Rabbit at 1/2000 dilution

Predicted band size: 11 kDa,38 kDa

false

Key facts

Host species

Rabbit

Clonality

Polyclonal

Isotype

IgG

Carrier free

No

Reacts with

Human, Pig

Applications

WB, IHC-P

applications

Immunogen

Recombinant Fragment Protein within Human S100A14 aa 1-100. The exact immunogen used to generate this antibody is proprietary information.

Q9HCY8

Reactivity data

{ "title": "Reactivity Data", "filters": { "stats": ["", "Species", "Dilution Info", "Notes"], "tabs": { "all-applications": {"fullname" : "All Applications", "shortname": "All Applications"}, "WB" : {"fullname" : "Western blot", "shortname":"WB"}, "IHCP" : {"fullname" : "Immunohistochemistry (Formalin/PFA-fixed paraffin-embedded sections)", "shortname":"IHC-P"} }, "product-promise": { "all": "all", "testedAndGuaranteed": "tested", "guaranteed": "expected", "predicted": "predicted", "notRecommended": "not-recommended" } }, "values": { "Human": { "WB-species-checked": "testedAndGuaranteed", "WB-species-dilution-info": "0.5-2 µg/mL", "WB-species-notes": "<p></p>", "IHCP-species-checked": "testedAndGuaranteed", "IHCP-species-dilution-info": "5-20 µg/mL", "IHCP-species-notes": "<p></p>" }, "Mouse": { "WB-species-checked": "predicted", "WB-species-dilution-info": "", "WB-species-notes": "", "IHCP-species-checked": "predicted", "IHCP-species-dilution-info": "", "IHCP-species-notes": "" }, "Cow": { "WB-species-checked": "predicted", "WB-species-dilution-info": "", "WB-species-notes": "", "IHCP-species-checked": "predicted", "IHCP-species-dilution-info": "", "IHCP-species-notes": "" }, "Pig": { "WB-species-checked": "testedAndGuaranteed", "WB-species-dilution-info": "0.5-2 µg/mL", "WB-species-notes": "<p></p>", "IHCP-species-checked": "guaranteed", "IHCP-species-dilution-info": "", "IHCP-species-notes": "" } } }

Properties and storage information

Form
Liquid
Purification technique
Affinity purification Immunogen
Purification notes
Antigen-specific affinity chromatography followed by Protein A affinity chromatography.
Storage buffer
pH: 7.4 Preservative: 0.02% Sodium azide Constituents: PBS, 55.77% Glycerol (glycerin, glycerine)
Shipped at conditions
Blue Ice
Appropriate short-term storage duration
1-2 weeks
Appropriate short-term storage conditions
+4°C
Appropriate long-term storage conditions
-20°C
Aliquoting information
Upon delivery aliquot
Storage information
Avoid freeze / thaw cycle

Supplementary information

This supplementary information is collated from multiple sources and compiled automatically.

S100A14 also known as BCMP84 is a calcium-binding protein belonging to the S100 family with a molecular mass of about 11 kDa. This protein is expressed mainly in epithelial tissues including lung kidney and colon. On the molecular level S100A14 interacts with cytoskeletal components and participates in the regulation of cell shape and motility. By binding to calcium ions it undergoes conformational changes that enable interaction with specific target proteins affecting various cellular processes.
Biological function summary

The function of S100A14 involves modulation of cellular proliferation and migration and it plays a role in tumorigenesis. It does not form part of a larger complex but it influences cell behavior through its interaction with receptor proteins on the cell surface and in the cytoplasm. Its actions at the cellular level can contribute to the transformation processes seen in cancer impacting aspects like cell adhesion and invasion.

Pathways

S100A14 has connections to the MAPK/ERK signaling pathway and the NF-kB signaling pathway. These pathways are central to the regulation of cell growth and apoptosis. Within these pathways S100A14 may interact with proteins like ERK1/2 and NF-kB affecting the downstream signals that control cell cycle and inflammatory responses. Its modulation of these pathways can influence responses to external stimuli and potentially contribute to aberrant cell behavior in cancer.

S100A14 has a notable relationship with cancer particularly in colorectal and breast cancers. Its overexpression correlates with tumor progression and metastasis in these cancers. Through its role in the MAPK/ERK pathway it relates to proteins such as KRAS and BRAF which are key modulators in oncogenic processes. Understanding the interaction of S100A14 in these pathways can aid in the development of therapeutic strategies targeting tumorigenesis.

Product protocols

For this product, it's our understanding that no specific protocols are required. You can visit:

Target data

Modulates P53/TP53 protein levels, and thereby plays a role in the regulation of cell survival and apoptosis. Depending on the context, it can promote cell proliferation or apoptosis. Plays a role in the regulation of cell migration by modulating the levels of MMP2, a matrix protease that is under transcriptional control of P53/TP53. Does not bind calcium.
See full target information S100A14

Publications (1)

Recent publications for all applications. Explore the full list and refine your search

Experimental and therapeutic medicine 22:875 PubMed34194553

2021

Curcumin inhibits the viability, migration and invasion of papillary thyroid cancer cells by regulating the miR-301a-3p/STAT3 axis.

Applications

Unspecified application

Species

Unspecified reactive species

Ying Liang,Deyu Kong,Yi Zhang,Siqi Li,Yan Li,Liying Dong,Ningxin Zhang,Junfeng Ma
View all publications

Product promise

We are committed to supporting your work with high-quality reagents, and we're here for you every step of the way. In the unlikely event that one of our products does not perform as expected, you're protected by our Product Promise.
For full details, please see our Terms & Conditions

Please note: All products are 'FOR RESEARCH USE ONLY. NOT FOR USE IN DIAGNOSTIC OR THERAPEUTIC PROCEDURES'.

For licensing inquiries, please contact partnerships@abcam.com