JavaScript is disabled in your browser. Please enable JavaScript to view this website.
AB216003

Anti-S100A4 antibody [EPR2761(2)] - BSA and Azide free

Be the first to review this product! Submit a review

|

(1 Publication)

Rabbit Recombinant Monoclonal S100A4 antibody. Carrier free. Suitable for IHC-P, IP, WB, ICC/IF, Flow Cyt (Intra) and reacts with Human samples. Cited in 1 publication.

View Alternative Names

CAPL, MTS1, S100A4, Protein S100-A4, Calvasculin, Metastasin, Placental calcium-binding protein, Protein Mts1, S100 calcium-binding protein A4

10 Images
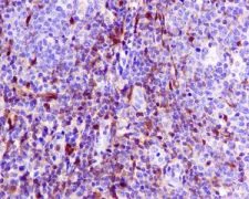
Immunohistochemistry (Formalin/PFA-fixed paraffin-embedded sections) - Anti-S100A4 antibody [EPR2761(2)] - BSA and Azide free (AB216003)
  • IHC-P

AbReview33988****

Immunohistochemistry (Formalin/PFA-fixed paraffin-embedded sections) - Anti-S100A4 antibody [EPR2761(2)] - BSA and Azide free (AB216003)

Immunohistochemical analysis of Human lung tissue, staining S100A4 with unpurified ab124805.

Tissue was fixed with HOPE and blocked with blocking solution for 5 minutes at 25°C. Samples were incubated with primary antibody (1/1000 in diluent) for 1 hour at 25°C. An undiluted HRP-conjugated goat anti-rabbit polyclonal IgG was used as the secondary antibody.

This data was developed using the same antibody clone in a different buffer formulation containing PBS, BSA, glycerol, and sodium azide (ab124805).

Perform heat mediated antigen retrieval before commencing with IHC staining protocol.

This image is courtesy of an anonymous Abreview

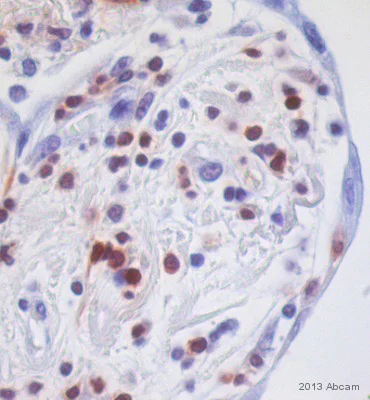
Immunohistochemistry (Formalin/PFA-fixed paraffin-embedded sections) - Anti-S100A4 antibody [EPR2761(2)] - BSA and Azide free (AB216003)
  • IHC-P

Lab

Immunohistochemistry (Formalin/PFA-fixed paraffin-embedded sections) - Anti-S100A4 antibody [EPR2761(2)] - BSA and Azide free (AB216003)

ab124805 staining S100A4 in human tonsil tissue sections by Immunohistochemistry (IHC-P - paraformaldehyde-fixed, paraffin-embedded sections). Tissue was fixed with paraformaldehyde and antigen retrieval was by heat mediation in a EDTA buffer. Samples were incubated with primary antibody at a dilution of 1/500. A goat anti-rabbit IgG H&L (HRP) ab97051 was used as the secondary antibody at a dilution of 1/500.

Negative control 1 : PBS in place of primary antibody.

This data was developed using the same antibody clone in a different buffer formulation containing PBS, BSA, glycerol, and sodium azide (ab124805).

Flow Cytometry (Intracellular) - Anti-S100A4 antibody [EPR2761(2)] - BSA and Azide free (AB216003)
  • Flow Cyt (Intra)

Unknown

Flow Cytometry (Intracellular) - Anti-S100A4 antibody [EPR2761(2)] - BSA and Azide free (AB216003)

ab124805 staining S100A4 in HeLa (human cervix adenocarcinoma) by intracellular flow cytometry. Cells were fixed with 80% methanol and permeabilised with 0.1% Triton X-100 (in PBS). The sample was incubated with the primary antibody at a dilution of 1/800. A goat anti rabbit IgG (Alexa Fluor® 488) at a dilution of 1/2000 was used as the secondary antibody.

Isoytype control : ab172730 rabbit monoclonal IgG (Black)

Unlabelled control : Cell without incubation with primary antibody and secondary antibody (Blue)

This data was developed using the same antibody clone in a different buffer formulation containing PBS, BSA, glycerol, and sodium azide (ab124805).

Immunocytochemistry/ Immunofluorescence - Anti-S100A4 antibody [EPR2761(2)] - BSA and Azide free (AB216003)
  • ICC/IF

AbReview35444****

Immunocytochemistry/ Immunofluorescence - Anti-S100A4 antibody [EPR2761(2)] - BSA and Azide free (AB216003)

Unpurified ab124805 staining S100A4 in the A549 cell line from Human lungs by ICC/IF (Immunocytochemistry/immunofluorescence). Cells were fixed with paraformaldehyde and permeabilized with Triton X-100 0.25% in PBS. Samples were incubated with primary antibody (1/100) for 45 minutes at 25°C. A TRITC-conjugated Goat anti-rabbit  polyclonal was used as the secondary antibody.

This data was developed using the same antibody clone in a different buffer formulation containing PBS, BSA, glycerol, and sodium azide (ab124805).

This image is courtesy of an anonymous Abreview

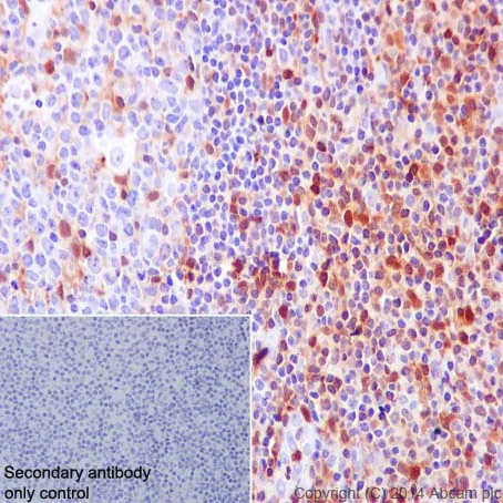
Immunohistochemistry (Formalin/PFA-fixed paraffin-embedded sections) - Anti-S100A4 antibody [EPR2761(2)] - BSA and Azide free (AB216003)
  • IHC-P

Unknown

Immunohistochemistry (Formalin/PFA-fixed paraffin-embedded sections) - Anti-S100A4 antibody [EPR2761(2)] - BSA and Azide free (AB216003)

Unpurified ab124805, at 1/250 dilution, staining S100A4 in paraffin-embedded Human tonsil tissue by Immunohistochemistry.

This data was developed using the same antibody clone in a different buffer formulation containing PBS, BSA, glycerol, and sodium azide (ab124805).

Perform heat mediated antigen retrieval before commencing with IHC staining protocol.

Immunocytochemistry/ Immunofluorescence - Anti-S100A4 antibody [EPR2761(2)] - BSA and Azide free (AB216003)
  • ICC/IF

Lab

Immunocytochemistry/ Immunofluorescence - Anti-S100A4 antibody [EPR2761(2)] - BSA and Azide free (AB216003)

ab124805 staining S100A4 in Jurkat (human acute T cell leukemia) cells by ICC/IF (Immunocytochemistry/immunofluorescence). Cells were fixed with 4% Paraformaldehyde and permeabilized with 0.1% Triton X-100. Samples were incubated with primary antibody at a dilution of 1/250. A goat anti rabbit IgG (Alexa Fluor® 488) (ab150077) was used as the secondary antibody at 1/500. ab7291 and ab150120 were used as counterstains for primary antibody ab124805 and secondary antibody ab150077 respectively and DAPI was used as a nuclear counterstain.

Negative control 1 : Rabbit primary antibody and anti-mouse secondary antibody (ab150120)
Negative control 2 : Mouse primary antibody (ab7291) and anti-rabbit secondary antibody (ab150077)

This data was developed using the same antibody clone in a different buffer formulation containing PBS, BSA, glycerol, and sodium azide (ab124805).

Flow Cytometry (Intracellular) - Anti-S100A4 antibody [EPR2761(2)] - BSA and Azide free (AB216003)
  • Flow Cyt (Intra)

Lab

Flow Cytometry (Intracellular) - Anti-S100A4 antibody [EPR2761(2)] - BSA and Azide free (AB216003)

ab124805 staining S100A4 in HeLa (human cervix adenocarcinoma) by intracellular flow cytometry. Cells were fixed with 80% methanol and permeabilised with 0.1% Triton X-100 (in PBS). The sample was incubated with the primary antibody at a dilution of 1/80. A goat anti rabbit IgG (Alexa Fluor® 488) at a dilution of 1/2000 was used as the secondary antibody.

Isoytype control : ab172730 rabbit monoclonal IgG (Black)

Unlabelled control : Cell without incubation with primary antibody and secondary antibody (Blue)

This data was developed using the same antibody clone in a different buffer formulation containing PBS, BSA, glycerol, and sodium azide (ab124805).

Immunoprecipitation - Anti-S100A4 antibody [EPR2761(2)] - BSA and Azide free (AB216003)
  • IP

Lab

Immunoprecipitation - Anti-S100A4 antibody [EPR2761(2)] - BSA and Azide free (AB216003)

ab124805 immunoprecipitating S100A4. 10µg of cell lysate was incubated with primary antibody at a dilution of 1/30 and Anti-Rabbit IgG (HRP), specific to the non-reduced form of IgG at a dilution of 1/1500.

Lane 1 : Human tonsil whole cell lysate (10ug)
Lane 2 : Human tonsil whole cell lysate
Lane 3 : Rabbit monoclonal IgG (ab172730) instead of ab124805 in human tonsil whole cell lysate

This data was developed using the same antibody clone in a different buffer formulation containing PBS, BSA, glycerol, and sodium azide (ab124805).

All lanes:

Immunoprecipitation - Anti-S100A4 antibody [EPR2761(2)] (<a href='/en-us/products/primary-antibodies/s100a4-antibody-epr27612-ab124805'>ab124805</a>)

Predicted band size: 12 kDa

Observed band size: 12 kDa

false

Western blot - Anti-S100A4 antibody [EPR2761(2)] - BSA and Azide free (AB216003)
  • WB

Lab

Western blot - Anti-S100A4 antibody [EPR2761(2)] - BSA and Azide free (AB216003)

This data was developed using the same antibody clone in a different buffer formulation (ab124805).

Lanes 1 - 2 : Merged signal (red and green). Green - ab124805 observed at 11 kDa. Red - loading control ab7291 (Mouse anti-Alpha Tubulin [DM1A]) observed at 55 kDa.

ab124805 was shown to react with S100A4 in wild-type HeLa cells in Western blot with loss of signal observed in S100A4 knockout cell line ab265709 (S100A4 knockout cell lysate ab257046). Wild-type HeLa and S100A4 knockout cell lysates were subjected to SDS-PAGE. Membranes were blocked in 3 % milk in TBS-T (0.1 % Tween®) before incubation with ab124805 and ab7291 (Mouse anti-Alpha Tubulin [DM1A]) overnight at 4 °C at a 1 in 1000 dilution and a 1 in 20000 dilution respectively. Blots were incubated with Goat anti-Rabbit IgG H&L (IRDye® 800CW) preabsorbed (ab216773) and Goat anti-Mouse IgG H&L (IRDye® 680RD) preabsorbed (ab216776) secondary antibodies at 1 in 20000 dilution for 1 h at room temperature before imaging.

All lanes:

Western blot - Anti-S100A4 antibody [EPR2761(2)] (<a href='/en-us/products/primary-antibodies/s100a4-antibody-epr27612-ab124805'>ab124805</a>) at 1/1000 dilution

Lane 1:

Wild-type HeLa cell lysate at 20 µg

Lane 2:

S100A4 knockout HeLa cell lysate at 20 µg

Lane 2:

Western blot - Human S100A4 knockout HeLa cell line (<a href='/en-us/products/cell-lines/human-s100a4-knockout-hela-cell-line-ab265709'>ab265709</a>)

Predicted band size: 12 kDa

Observed band size: 11 kDa

false

Western blot - Anti-S100A4 antibody [EPR2761(2)] - BSA and Azide free (AB216003)
  • WB

Lab

Western blot - Anti-S100A4 antibody [EPR2761(2)] - BSA and Azide free (AB216003)

This data was developed using the same antibody clone in a different buffer formulation (ab124805).

Lanes 1 - 4 : Merged signal (red and green). Green - ab124805 observed at 12 kDa. Red - loading control ab8245 (Mouse anti-GAPDH antibody [6C5]) observed at 37 kDa.

ab124805 was shown to react with S100A4 in wild-type A549 cells in Western blot with loss of signal observed in S100A4 knockout sample. Wild-type A549 and S100A4 knockout cell lysates were subjected to SDS-PAGE. Membranes were blocked in 3 % milk in TBS-T (0.1 % Tween®) before incubation with ab124805 and ab8245 (Mouse anti-GAPDH antibody [6C5]) overnight at 4 °C at a 1 in 1000 dilution and a 1 in 20000 dilution respectively. Blots were incubated with Goat anti-Rabbit IgG H&L (IRDye® 800CW) preabsorbed (ab216773) and Goat anti-Mouse IgG H&L (IRDye® 680RD) preabsorbed (ab216776) secondary antibodies at 1 in 20000 dilution for 1 h at room temperature before imaging.

All lanes:

Western blot - Anti-S100A4 antibody [EPR2761(2)] (<a href='/en-us/products/primary-antibodies/s100a4-antibody-epr27612-ab124805'>ab124805</a>) at 1/1000 dilution

Lane 1:

Wild-type A549 (Human lung carcinoma cell line) whole cell lysate at 20 µg

Lane 2:

S100A4 knockout A549 (Human lung carcinoma cell line) whole cell lysate at 20 µg

Lane 2:

Western blot - Human S100A4 knockout A549 cell line (<a href='/en-us/products/cell-lines/human-s100a4-knockout-a549-cell-line-ab261865'>ab261865</a>)

Lane 3:

A-375 (Human malignant melanoma cell line) whole cell lysate at 20 µg

Lane 4:

HeLa (Human epithelial cell line from cervix adenocarcinoma) whole cell lysate at 20 µg

Predicted band size: 12 kDa

Observed band size: 12 kDa

false

  • Unconjugated

    Anti-S100A4 antibody [EPR2761(2)]

  • 775 Alexa Fluor® 750

    Alexa Fluor® 750 Anti-S100A4 antibody [EPR2761(2)]

  • 519 Alexa Fluor® 488

    Alexa Fluor® 488 Anti-S100A4 antibody [EPR2761(2)]

  • Carrier free

    Anti-S100A4 antibody [EPR2761(2)] - BSA and Azide free (Capture)

  • 665 Alexa Fluor® 647

    Alexa Fluor® 647 Anti-S100A4 antibody [EPR2761(2)]

  • 578 PE

    PE Anti-S100A4 antibody [EPR2761(2)]

  • 660 APC

    APC Anti-S100A4 antibody [EPR2761(2)]

  • HRP

    HRP Anti-S100A4 antibody [EPR2761(2)]

  • 617 Alexa Fluor® 594

    Alexa Fluor® 594 Anti-S100A4 antibody [EPR2761(2)]

  • 565 Alexa Fluor® 555

    Alexa Fluor® 555 Anti-S100A4 antibody [EPR2761(2)]

  • 603 Alexa Fluor® 568

    Alexa Fluor® 568 Anti-S100A4 antibody [EPR2761(2)]

Key facts

Host species

Rabbit

Clonality

Monoclonal

Clone number

EPR2761(2)

Isotype

IgG

Carrier free

Yes

Reacts with

Human

Applications

ICC/IF, Flow Cyt (Intra), WB, IHC-P, IP

applications

Immunogen

The exact immunogen used to generate this antibody is proprietary information.

Specificity

Some optimisation may be required for detection of the target protein due to low levels of endogenous expression in some samples. Please see images below for suitable positive controls.

Reactivity data

{ "title": "Reactivity Data", "filters": { "stats": ["", "Species", "Dilution Info", "Notes"], "tabs": { "all-applications": {"fullname" : "All Applications", "shortname": "All Applications"}, "IHCP" : {"fullname" : "Immunohistochemistry (Formalin/PFA-fixed paraffin-embedded sections)", "shortname":"IHC-P"}, "IP" : {"fullname" : "Immunoprecipitation", "shortname":"IP"}, "WB" : {"fullname" : "Western blot", "shortname":"WB"}, "ICCIF" : {"fullname" : "Immunocytochemistry/ Immunofluorescence", "shortname":"ICC/IF"}, "FlowCytIntra" : {"fullname" : "Flow Cytometry (Intracellular)", "shortname":"Flow Cyt (Intra)"} }, "product-promise": { "all": "all", "testedAndGuaranteed": "tested", "guaranteed": "expected", "predicted": "predicted", "notRecommended": "not-recommended" } }, "values": { "Human": { "IHCP-species-checked": "testedAndGuaranteed", "IHCP-species-dilution-info": "", "IHCP-species-notes": "<p></p>", "IP-species-checked": "testedAndGuaranteed", "IP-species-dilution-info": "", "IP-species-notes": "<p></p>", "WB-species-checked": "testedAndGuaranteed", "WB-species-dilution-info": "", "WB-species-notes": "<p></p>", "ICCIF-species-checked": "testedAndGuaranteed", "ICCIF-species-dilution-info": "", "ICCIF-species-notes": "<p></p>", "FlowCytIntra-species-checked": "testedAndGuaranteed", "FlowCytIntra-species-dilution-info": "", "FlowCytIntra-species-notes": "<p><a href='/en-us/products/primary-antibodies/rabbit-igg-monoclonal-epr25a-isotype-control-low-endotoxin-azide-free-ab199376'>ab199376</a> - Rabbit monoclonal IgG, is suitable for use as an isotype control with this antibody.</p>" } } }

Product details

ab216003 is the carrier-free version of ab124805.

Species reactivity
Mouse, Rat: We have preliminary internal testing data to indicate this antibody may not react with these species.
Please contact us for more information.

Patented technology
Our RabMAb® technology is a patented hybridoma-based technology for making rabbit monoclonal antibodies. For details on our patents, please refer to RabMAb® patents.

What are the advantages of a recombinant monoclonal antibody?
This product is a recombinant monoclonal antibody, which offers several advantages including:

  • - High batch-to-batch consistency and reproducibility
  • - Improved sensitivity and specificity
  • - Long-term security of supply
  • - Animal-free batch production

For more information, read more on recombinant antibodies.

Conjugation ready
Our carrier-free antibodies are typically supplied in a PBS-only formulation, purified and free of BSA, sodium azide and glycerol. This conjugation-ready format is designed for use with fluorochromes, metal isotopes, oligonucleotides, and enzymes, which makes them ideal for antibody labelling, functional and cell-based assays, flow-based assays (e.g. mass cytometry) and Multiplex Imaging applications.

Use our conjugation kits for antibody conjugates that are ready-to-use in as little as 20 minutes with 1 minute hands-on-time and 100% antibody recovery: available for fluorescent dyes, HRP, biotin and gold.

Compatibility
This product is compatible with the Maxpar® Antibody Labeling Kit from Fluidigm, without the need for antibody preparation. Maxpar® is a trademark of Fluidigm Canada Inc.

Properties and storage information

Form
Liquid
Purification technique
Affinity purification Protein A
Storage buffer
pH: 7.2 - 7.4 Constituents: PBS
Shipped at conditions
Blue Ice
Appropriate short-term storage conditions
+4°C
Appropriate long-term storage conditions
+4°C
Storage information
Do Not Freeze

Supplementary information

This supplementary information is collated from multiple sources and compiled automatically.

S100A4 also known as metastasin or MTS1 is a protein with a molecular weight of approximately 12 kDa. It functions by binding calcium which induces conformational changes aiding in its interaction with target proteins. S100A4 is part of the S100 family of proteins characterized by two EF-hand calcium-binding motifs. Expression of S100A4 is observed in various cell types including fibroblasts endothelial cells and several tumor cells where it contributes to processes like cell motility invasion and angiogenesis.
Biological function summary

The role of S100A4 extends beyond mere calcium binding; it associates with the cytoskeleton promoting cell structures related to movement and metastasis. It does not act alone but often partners with proteins like myosin IIA to regulate cytoskeletal dynamics. Additionally S100A4 modulates extracellular matrix components and interacts with signaling pathways that control cancer progression making it significant in both normal physiological contexts and pathological states.

Pathways

Functional activities of S100A4 integrate into important pathways involved in cellular movement and metastasis. S100A4 plays roles in the regulation of the Wnt/β-catenin pathway which is pivotal for cell-cell interaction and fate determination. It also interacts with matrix metalloproteinases like MMPs thereby managing processes of tissue invasion and remodeling essential in cancer metastasis. Other pathways influencing cell adhesion and signal transduction may indirectly involve S100A4 through related proteins.

Elevated S100A4 levels have implications in cancer particularly in enhancing metastasis in breast and colorectal cancers. The protein promotes tumor developments by inducing changes in the tumor microenvironment making it a target of interest in oncology. S100A4 also interacts with proteins like p53 and β-catenin which are critical in the pathology of tumors. Moreover S100A4 contributes to fibrotic diseases accentuating tissue remodeling activities by modulating fibroblast behavior and extracellular matrix deposition.

Product protocols

For this product, it's our understanding that no specific protocols are required. You can visit:

Target data

Calcium-binding protein that plays a role in various cellular processes including motility, angiogenesis, cell differentiation, apoptosis, and autophagy (PubMed : 16707441, PubMed : 23752197, PubMed : 30713770). Increases cell motility and invasiveness by interacting with non-muscle myosin heavy chain (NMMHC) IIA/MYH9 (PubMed : 16707441). Mechanistically, promotes filament depolymerization and increases the amount of soluble myosin-IIA, resulting in the formation of stable protrusions facilitating chemotaxis (By similarity). Also modulates the pro-apoptotic function of TP53 by binding to its C-terminal transactivation domain within the nucleus and reducing its protein levels (PubMed : 23752197). Within the extracellular space, stimulates cytokine production including granulocyte colony-stimulating factor and CCL24 from T-lymphocytes (By similarity). In addition, stimulates T-lymphocyte chemotaxis by acting as a chemoattractant complex with PGLYRP1 that promotes lymphocyte migration via CCR5 and CXCR3 receptors (PubMed : 26654597, PubMed : 30713770).
See full target information S100A4

Publications (1)

Recent publications for all applications. Explore the full list and refine your search

Oncology letters 17:3657-3664 PubMed30881490

2019

The oncogenic role of Wnt10a in colorectal cancer through activation of canonical Wnt/β-catenin signaling.

Applications

Unspecified application

Species

Unspecified reactive species

Jinlong Li,Zhaoli Zhang,Lixue Wang,Yongchen Zhang
View all publications

Product promise

We are committed to supporting your work with high-quality reagents, and we're here for you every step of the way. In the unlikely event that one of our products does not perform as expected, you're protected by our Product Promise.
For full details, please see our Terms & Conditions

Please note: All products are 'FOR RESEARCH USE ONLY. NOT FOR USE IN DIAGNOSTIC OR THERAPEUTIC PROCEDURES'.

For licensing inquiries, please contact partnerships@abcam.com