JavaScript is disabled in your browser. Please enable JavaScript to view this website.
AB271863

Anti-S100A8 antibody [EPR3554] - BSA and Azide free

Be the first to review this product! Submit a review

|

(0 Publication)

Rabbit Recombinant Monoclonal MRP8 antibody. Carrier free. Suitable for IP, WB, IHC-P and reacts with Human samples.

View Alternative Names

CAGA, CFAG, MRP8, S100A8, Protein S100-A8, Calgranulin-A, Calprotectin L1L subunit, Cystic fibrosis antigen, Leukocyte L1 complex light chain, Migration inhibitory factor-related protein 8, S100 calcium-binding protein A8, Urinary stone protein band A, MRP-8, p8

8 Images
Immunohistochemistry (Formalin/PFA-fixed paraffin-embedded sections) - Anti-S100A8 antibody [EPR3554] - BSA and Azide free (AB271863)
  • IHC-P

Lab

Immunohistochemistry (Formalin/PFA-fixed paraffin-embedded sections) - Anti-S100A8 antibody [EPR3554] - BSA and Azide free (AB271863)

This data was developed using ab92331, the same antibody clone in a different buffer formulation.

Immunohistochemical analysis of paraffin-embedded human spleen tissue labelling S100A8 with ab92331 at 1/5000 dilution, followed by Rabbit specific IHC polymer detection kit HRP/DAB (ab209101). Positive staining on human spleen is observed. Counter stained with Hematoxylin.

Secondary antibody only control : Used PBS instead of primary antibody, secondary antibody is Rabbit specific IHC polymer detection kit HRP/DAB ab209101.

Positive staining on human spleen.

The section was incubated with ab92331 for 30 mins at room temperature.

The immunostaining was performed on a Leica Biosystems BOND® RX instrument.

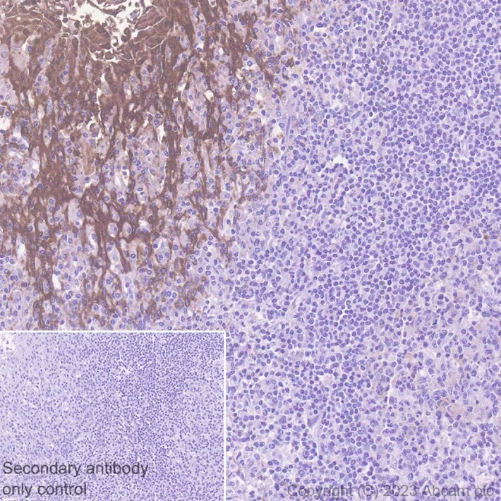
Immunohistochemistry - Anti-S100A8 antibody [EPR3554] - BSA and Azide free (AB271863)
  • IHC

Lab

Immunohistochemistry - Anti-S100A8 antibody [EPR3554] - BSA and Azide free (AB271863)

This data was developed using ab92331, the same antibody clone in a different buffer formulation.

Immunohistochemical analysis of paraffin-embedded human tonsil tissue labelling S100A8 with ab92331 at 1/5000 dilution, followed by Rabbit specific IHC polymer detection kit HRP/DAB (ab209101). Positive staining on human tonsil is observed. Counter stained with Hematoxylin.

Secondary antibody only control : Used PBS instead of primary antibody, secondary antibody is Rabbit specific IHC polymer detection kit HRP/DAB ab209101.

Positive staining on human tonsil.

The section was incubated with ab92331 for 30 mins at room temperature.

The immunostaining was performed on a Leica Biosystems BOND® RX instrument.

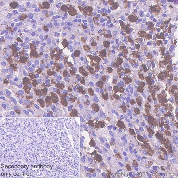
Immunohistochemistry (Formalin/PFA-fixed paraffin-embedded sections) - Anti-S100A8 antibody [EPR3554] - BSA and Azide free (AB271863)
  • IHC-P

Unknown

Immunohistochemistry (Formalin/PFA-fixed paraffin-embedded sections) - Anti-S100A8 antibody [EPR3554] - BSA and Azide free (AB271863)

Immunohistochemistry (Formalin/PFA-fixed paraffin-embedded sections) analysis of human cervix carcinoma tissue labeling S100A8 with purified ab92331 at 1/500.

Heat mediated antigen retrieval was performed using Tris/EDTA buffer pH 9.0. ab97051, an HRP-conjugated goat anti-rabbit IgG (H+L) was used as the secondary antibody (1/500).

Negative control using PBS instead of primary antibody. Counterstained with hematoxylin.

This data was developed using the same antibody clone in a different buffer formulation containing PBS, BSA, glycerol, and sodium azide (ab92331).

Immunoprecipitation - Anti-S100A8 antibody [EPR3554] - BSA and Azide free (AB271863)
  • IP

Unknown

Immunoprecipitation - Anti-S100A8 antibody [EPR3554] - BSA and Azide free (AB271863)

ab92331 (purified) at 1/30 immunoprecipitating S100A8 in HL-60 (Human promyelocytic leukemia cell line) cell lysate (Lane 1).

Lane 2 - rabbit monoclonal IgG instead of ab92331 in HL-60 lysates. For western blotting, a peroxidase-conjugated goat anti-rabbit IgG (H+L) was used as the secondary antibody (1/1500).

Blocking/Dilution buffer : 5% NFDM/TBST.

This data was developed using the same antibody clone in a different buffer formulation containing PBS, BSA, glycerol, and sodium azide (ab92331).

All lanes:

Immunoprecipitation - Anti-S100A8 antibody [EPR3554] (<a href='/en-us/products/primary-antibodies/s100a8-antibody-epr3554-ab92331'>ab92331</a>)

Predicted band size: 10 kDa

Observed band size: 11 kDa

false

Western blot - Anti-S100A8 antibody [EPR3554] - BSA and Azide free (AB271863)
  • WB

Lab

Western blot - Anti-S100A8 antibody [EPR3554] - BSA and Azide free (AB271863)

This data was developed using ab92331, the same antibody clone in a different buffer formulation.

Blocking and diluting buffer and concentration : 5% NFDM/TBST.

All lanes:

Western blot - Anti-S100A8 antibody [EPR3554] (<a href='/en-us/products/primary-antibodies/s100a8-antibody-epr3554-ab92331'>ab92331</a>) at 1/1000 dilution

All lanes:

HL-60 (Human promyelocytic leukemia cell line) whole cell lysate at 20 µg

Secondary

All lanes:

Western blot - Goat Anti-Rabbit IgG H&L (HRP) (<a href='/en-us/products/secondary-antibodies/goat-rabbit-igg-h-l-hrp-ab97051'>ab97051</a>) at 1/20000 dilution

Observed band size: 11 kDa

false

Exposure time: 20s

Western blot - Anti-S100A8 antibody [EPR3554] - BSA and Azide free (AB271863)
  • WB

Lab

Western blot - Anti-S100A8 antibody [EPR3554] - BSA and Azide free (AB271863)

This data was developed using ab92331, the same antibody clone in a different buffer formulation.

Blocking and diluting buffer and concentration : 5% NFDM/TBST.

Expression of S100A8 is enhanced by stress response, can be simultaneously induced in monocytes, endothelial cells, keratinocytes or epithelial cells by several mediators. (PMID : 10779802, PMID 26661255).

All lanes:

Western blot - Anti-S100A8 antibody [EPR3554] (<a href='/en-us/products/primary-antibodies/s100a8-antibody-epr3554-ab92331'>ab92331</a>) at 1/1000 dilution

Lane 1:

Human spleen tissue lysate at 20 µg

Lanes 2, 4 and 6:

Untreated THP-1 (Human monocytic leukemia monocyte) whole cell lysate at 20 µg

Lane 3:

THP-1 treated with 25ng/ml TNF alpha for 24 hours at 20 µg

Lane 5:

THP-1 treated with 100U/mL IFN gamma and 25ng/ml TNF alpha for 24 hours at 20 µg

Lane 7:

THP-1 treated with 100ng/ml LPS and 20ng/ml IFN gamma for 24 hours at 20 µg

Secondary

All lanes:

Goat Anti-Rabbit IgG (HRP) with minimal cross-reactivity with human IgG at 1/2000 dilution

Observed band size: 11 kDa

false

Exposure time: 40s

Western blot - Anti-S100A8 antibody [EPR3554] - BSA and Azide free (AB271863)
  • WB

Lab

Western blot - Anti-S100A8 antibody [EPR3554] - BSA and Azide free (AB271863)

This data was developed using ab92331, the same antibody clone in a different buffer formulation.

Blocking and diluting buffer and concentration : 5% NFDM/TBST.

The expression of S100A8 under physiologic conditions is restricted to cells of myeloid origin including circulating neutrophils, monocytes, and eosinophils (PMID : 23241281, PMID : 1373330).

All lanes:

Western blot - Anti-S100A8 antibody [EPR3554] (<a href='/en-us/products/primary-antibodies/s100a8-antibody-epr3554-ab92331'>ab92331</a>) at 1/1000 dilution

Lane 1:

Mouse bone marrow tissue lysate at 20 µg

Lane 2:

Mouse liver tissue lysate at 20 µg

Lane 3:

Mouse skin tissue lysate at 20 µg

Lane 4:

Mouse esophagus tissue lysate at 20 µg

Lane 5:

Mouse heart tissue lysate at 20 µg

Secondary

All lanes:

Goat Anti-Rabbit IgG (HRP) with minimal cross-reactivity with human IgG at 1/2000 dilution

Observed band size: 11 kDa

false

Exposure time: 180s

Western blot - Anti-S100A8 antibody [EPR3554] - BSA and Azide free (AB271863)
  • WB

Lab

Western blot - Anti-S100A8 antibody [EPR3554] - BSA and Azide free (AB271863)

This data was developed using ab92331, the same antibody clone in a different buffer formulation.

Blocking and diluting buffer and concentration : 5% NFDM/TBST.

Expression levels of the target protein may vary with different batches of mouse spleen lysate.

All lanes:

Western blot - Anti-S100A8 antibody [EPR3554] (<a href='/en-us/products/primary-antibodies/s100a8-antibody-epr3554-ab92331'>ab92331</a>) at 1/1000 dilution

All lanes:

Mouse spleen lysate of different tissue batches at 20 µg

Secondary

All lanes:

Western blot - Goat Anti-Rabbit IgG H&L (HRP) (<a href='/en-us/products/secondary-antibodies/goat-rabbit-igg-h-l-hrp-ab97051'>ab97051</a>) at 1/20000 dilution

Observed band size: 11 kDa

false

Exposure time: 180s

Key facts

Host species

Rabbit

Clonality

Monoclonal

Clone number

EPR3554

Isotype

IgG

Carrier free

Yes

Reacts with

Human

Applications

WB, IP, IHC-P

applications

Immunogen

The exact immunogen used to generate this antibody is proprietary information.

Reactivity data

{ "title": "Reactivity Data", "filters": { "stats": ["", "Species", "Dilution Info", "Notes"], "tabs": { "all-applications": {"fullname" : "All Applications", "shortname": "All Applications"}, "IP" : {"fullname" : "Immunoprecipitation", "shortname":"IP"}, "FlowCyt" : {"fullname" : "Flow Cytometry", "shortname":"Flow Cyt"}, "WB" : {"fullname" : "Western blot", "shortname":"WB"}, "IHCP" : {"fullname" : "Immunohistochemistry (Formalin/PFA-fixed paraffin-embedded sections)", "shortname":"IHC-P"}, "ICCIF" : {"fullname" : "Immunocytochemistry/ Immunofluorescence", "shortname":"ICC/IF"} }, "product-promise": { "all": "all", "testedAndGuaranteed": "tested", "guaranteed": "expected", "predicted": "predicted", "notRecommended": "not-recommended" } }, "values": { "Human": { "IP-species-checked": "testedAndGuaranteed", "IP-species-dilution-info": "", "IP-species-notes": "<p></p>", "FlowCyt-species-checked": "notRecommended", "FlowCyt-species-dilution-info": "", "FlowCyt-species-notes": "<p><a href='/en-us/products/primary-antibodies/rabbit-igg-monoclonal-epr25a-isotype-control-ab172730'>ab172730</a> - Rabbit monoclonal IgG, is suitable for use as an isotype control with this antibody.</p>", "WB-species-checked": "guaranteed", "WB-species-dilution-info": "", "WB-species-notes": "<p></p>", "IHCP-species-checked": "testedAndGuaranteed", "IHCP-species-dilution-info": "", "IHCP-species-notes": "<p></p>", "ICCIF-species-checked": "notRecommended", "ICCIF-species-dilution-info": "", "ICCIF-species-notes": "<p></p>" }, "Mouse": { "IP-species-checked": "predicted", "IP-species-dilution-info": "", "IP-species-notes": "", "FlowCyt-species-checked": "notRecommended", "FlowCyt-species-dilution-info": "", "FlowCyt-species-notes": "", "WB-species-checked": "predicted", "WB-species-dilution-info": "", "WB-species-notes": "", "IHCP-species-checked": "predicted", "IHCP-species-dilution-info": "", "IHCP-species-notes": "", "ICCIF-species-checked": "notRecommended", "ICCIF-species-dilution-info": "", "ICCIF-species-notes": "" } } }

Product details

ab271863 is the carrier-free version of ab92331.

Patented technology
Our RabMAb® technology is a patented hybridoma-based technology for making rabbit monoclonal antibodies. For details on our patents, please refer to RabMAb® patents.

What are the advantages of a recombinant monoclonal antibody?
This product is a recombinant monoclonal antibody, which offers several advantages including:

  • - High batch-to-batch consistency and reproducibility
  • - Improved sensitivity and specificity
  • - Long-term security of supply
  • - Animal-free batch production

For more information, read more on recombinant antibodies.

Conjugation ready
Our carrier-free antibodies are typically supplied in a PBS-only formulation, purified and free of BSA, sodium azide and glycerol. This conjugation-ready format is designed for use with fluorochromes, metal isotopes, oligonucleotides, and enzymes, which makes them ideal for antibody labelling, functional and cell-based assays, flow-based assays (e.g. mass cytometry) and Multiplex Imaging applications.

Use our conjugation kits for antibody conjugates that are ready-to-use in as little as 20 minutes with 1 minute hands-on-time and 100% antibody recovery: available for fluorescent dyes, HRP, biotin and gold.

Compatibility
This product is compatible with the Maxpar® Antibody Labeling Kit from Fluidigm, without the need for antibody preparation. Maxpar® is a trademark of Fluidigm Canada Inc.

Properties and storage information

Form
Liquid
Purification technique
Affinity purification Protein A
Storage buffer
pH: 7.2 - 7.4 Constituents: PBS
Shipped at conditions
Blue Ice
Appropriate short-term storage conditions
+4°C
Appropriate long-term storage conditions
+4°C
Storage information
Do Not Freeze

Supplementary information

This supplementary information is collated from multiple sources and compiled automatically.

S100A8 also known as calprotectin or MRP8 is a calcium-binding protein with a molecular weight of around 10.8 kDa. It is a member of the S100 protein family and is found expressed in myeloid cells such as neutrophils and monocytes. This protein often forms a heterodimer complex with S100A9 together referred to as calprotectin which plays a critical role in the immune response. Researchers frequently utilize calprotectin fecal ELISA MRP8 ELISA or calprotectin serum immunoassay to measure its levels in various biological samples.
Biological function summary

The S100A8/S100A9 complex modulates inflammatory processes and immune responses. It acts as a pro-inflammatory mediator and is associated with leukocyte recruitment to sites of inflammation. This complex plays an important role in protecting cells from infections by inhibiting bacterial growth through sequestration of nutrient metals showcasing antimicrobial properties. Calprotectin significantly impacts immune responses and has become an interesting target for calprotectin ELISA kits to quantify its presence in plasma and other bodily fluids indicating inflammation.

Pathways

S100A8 and its partner S100A9 are involved in toll-like receptor and receptor for advanced glycation end-products (RAGE) signaling pathways. These pathways are key in mediating inflammatory responses and linking to innate immunity. The calgranulin A ELISA is often used to evaluate their involvement in these pathways helping to elucidate interactions with other proteins like calmodulin that play a role in cellular regulation processes.

S100A8 is strongly associated with inflammatory conditions such as rheumatoid arthritis and inflammatory bowel disease. Its elevated expression levels serve as a biomarker for these conditions highlighting its potential for diagnostic use via calprotectin ELISA kits. S100A8's relationship with S100A9 supports its connection to these diseases reflecting the complex's significant presence and functional role in chronic inflammation and immune dysregulation.

Product protocols

For this product, it's our understanding that no specific protocols are required. You can visit:

Target data

S100A8 is a calcium- and zinc-binding protein which plays a prominent role in the regulation of inflammatory processes and immune response. It can induce neutrophil chemotaxis and adhesion. Predominantly found as calprotectin (S100A8/A9) which has a wide plethora of intra- and extracellular functions. The intracellular functions include : facilitating leukocyte arachidonic acid trafficking and metabolism, modulation of the tubulin-dependent cytoskeleton during migration of phagocytes and activation of the neutrophilic NADPH-oxidase. Participates also in regulatory T-cell differentiation together with CD69 (PubMed : 26296369). Activates NADPH-oxidase by facilitating the enzyme complex assembly at the cell membrane, transferring arachidonic acid, an essential cofactor, to the enzyme complex and S100A8 contributes to the enzyme assembly by directly binding to NCF2/P67PHOX. The extracellular functions involve pro-inflammatory, antimicrobial, oxidant-scavenging and apoptosis-inducing activities. Its pro-inflammatory activity includes recruitment of leukocytes, promotion of cytokine and chemokine production, and regulation of leukocyte adhesion and migration. Acts as an alarmin or a danger associated molecular pattern (DAMP) molecule and stimulates innate immune cells via binding to pattern recognition receptors such as Toll-like receptor 4 (TLR4) and receptor for advanced glycation endproducts (AGER). Binding to TLR4 and AGER activates the MAP-kinase and NF-kappa-B signaling pathways resulting in the amplification of the pro-inflammatory cascade. Has antimicrobial activity towards bacteria and fungi and exerts its antimicrobial activity probably via chelation of Zn(2+) which is essential for microbial growth. Can induce cell death via autophagy and apoptosis and this occurs through the cross-talk of mitochondria and lysosomes via reactive oxygen species (ROS) and the process involves BNIP3. Can regulate neutrophil number and apoptosis by an anti-apoptotic effect; regulates cell survival via ITGAM/ITGB and TLR4 and a signaling mechanism involving MEK-ERK. Its role as an oxidant scavenger has a protective role in preventing exaggerated tissue damage by scavenging oxidants. Can act as a potent amplifier of inflammation in autoimmunity as well as in cancer development and tumor spread. The iNOS-S100A8/A9 transnitrosylase complex directs selective inflammatory stimulus-dependent S-nitrosylation of GAPDH and probably multiple targets such as ANXA5, EZR, MSN and VIM by recognizing a [IL]-x-C-x-x-[DE] motif; S100A8 seems to contribute to S-nitrosylation site selectivity.. (Microbial infection) Upon infection by human coronavirus SARS-CoV-2, may induce expansion of aberrant immature neutrophils in a TLR4-dependent manner.
See full target information S100A8

Product promise

We are committed to supporting your work with high-quality reagents, and we're here for you every step of the way. In the unlikely event that one of our products does not perform as expected, you're protected by our Product Promise.
For full details, please see our Terms & Conditions

Please note: All products are 'FOR RESEARCH USE ONLY. NOT FOR USE IN DIAGNOSTIC OR THERAPEUTIC PROCEDURES'.

For licensing inquiries, please contact partnerships@abcam.com