JavaScript is disabled in your browser. Please enable JavaScript to view this website.
AB288715

Anti-S100A8 + S100A9 antibody [RM1038]

  • BOND RX™ Validated
  • 20ul selling size
  • RabMAb
  • Recombinant
  • What is this?

Be the first to review this product! Submit a review

|

(20 Publications)

Anti-S100A8 + S100A9 antibody [RM1038] (ab288715) is a rabbit recombinant multiclonal antibody detecting S100A8 + S100A9 in Western Blot, Flow Cytometry (Intra), Flow Cytometry, IP, IHC-P, IHC-Fr, ICC/IF. Suitable for Human, Mouse, Rat.

- Biophysical QC for unrivalled batch-batch consistency

View Alternative Names

CAGB, CFAG, MRP14, S100A9, Protein S100-A9, Calgranulin-B, Calprotectin L1H subunit, Leukocyte L1 complex heavy chain, Migration inhibitory factor-related protein 14, S100 calcium-binding protein A9, MRP-14, p14

14 Images
Immunohistochemistry (Formalin/PFA-fixed paraffin-embedded sections) - Anti-S100A8 + S100A9 antibody [RM1038] (AB288715)
  • IHC-P

Lab

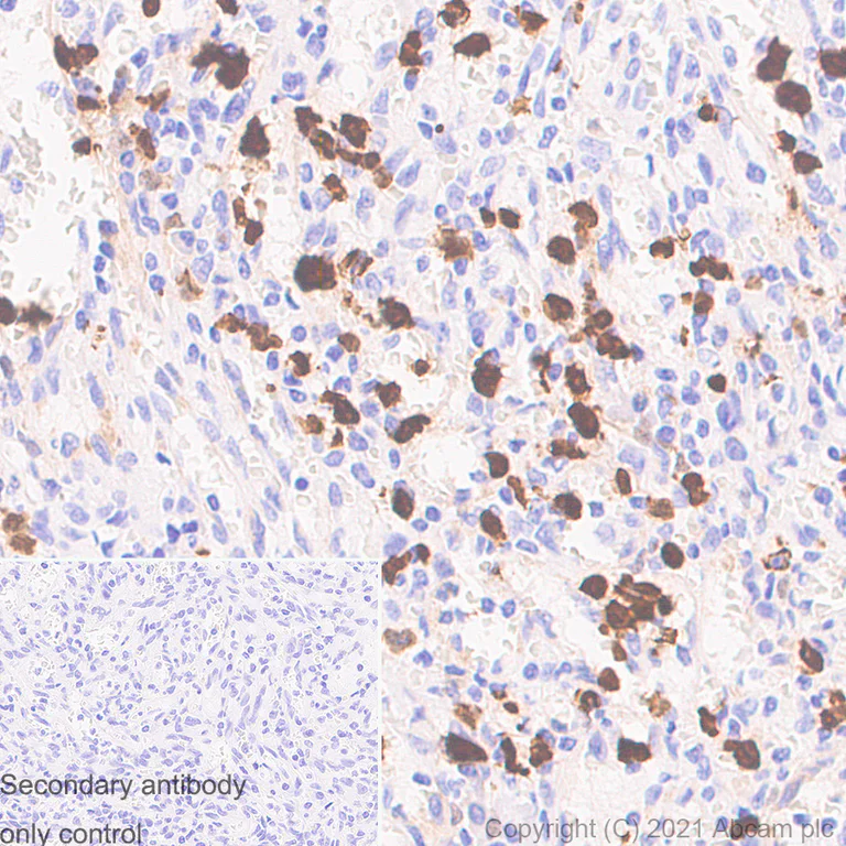
Immunohistochemistry (Formalin/PFA-fixed paraffin-embedded sections) - Anti-S100A8 + S100A9 antibody [RM1038] (AB288715)

Immunohistochemical analysis of paraffin-embedded Human spleen tissue labeling S100A8+S100A9 with ab288715 at 1/5000 (0.096 ug/ml) followed by a ready to use LeicaDS9800 (Bond® Polymer Refine Detection). Positive staining on the human spleen. The section was incubated with ab288715 for 10 mins at room temperature. The immunostaining was performed on a Leica Biosystems BOND™ RX instrument Counterstained with Hematoxylin.

Secondary antibody only control : Secondary antibody is a ready to use LeicaDS9800 (Bond® Polymer Refine Detection).

Heat mediated antigen retrieval with Citrate buffer (pH 6.0, epitope retrieval solution 1) for 20 mins

Immunocytochemistry/ Immunofluorescence - Anti-S100A8 + S100A9 antibody [RM1038] (AB288715)
  • ICC/IF

Lab

Immunocytochemistry/ Immunofluorescence - Anti-S100A8 + S100A9 antibody [RM1038] (AB288715)

Immunofluorescent analysis of 4% Paraformaldehyde-fixed, 0.1% TritonX-100 permeabilized HL-60 cells labelling S100A8+S100A9 with ab288715 at 1/500 (0.96 ug/ml) dilution, followed by ab150081 Goat Anti-Rabbit IgG H&L (Alexa Fluor® 488) preadsorbed antibody at 1/1000 (2 ug/ml) dilution (Green). Confocal image showing membranous staining in HL-60 cell line is observed. ab195889 Anti-alpha Tubulin mouse monoclonal antibody - Microtubule Marker (Alexa Fluor® 594) was used to counterstain tubulin at 1/200 (2.5ug/ml) dilution (Red). The Nuclear counterstain was DAPI (Blue).

Secondary antibody only control : Secondary antibody is ab150081 Goat Anti-Rabbit IgG H&L (Alexa Fluor® 488) preadsorbed at 1/1000 (2 ug/ml) dilution.

Immunohistochemistry (Formalin/PFA-fixed paraffin-embedded sections) - Anti-S100A8 + S100A9 antibody [RM1038] (AB288715)
  • IHC-P

Lab

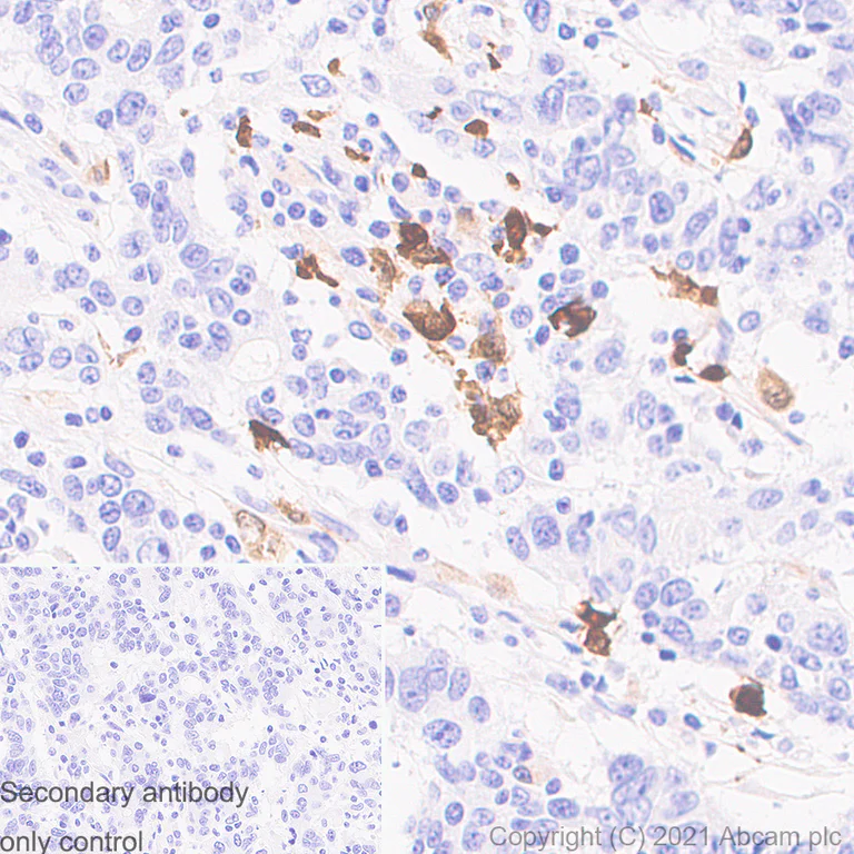
Immunohistochemistry (Formalin/PFA-fixed paraffin-embedded sections) - Anti-S100A8 + S100A9 antibody [RM1038] (AB288715)

Immunohistochemical analysis of paraffin-embedded Human stomach carcin tissue labeling S100A8+S100A9 with ab288715 at 1/5000 (0.096 ug/ml) followed by a ready to use LeicaDS9800 (Bond® Polymer Refine Detection). Positive staining on the stroma inflammatory cells in human stomach carcinoma. The section was incubated with ab288715 for 10 mins at room temperature. The immunostaining was performed on a Leica Biosystems BOND™ RX instrument Counterstained with Hematoxylin.

Secondary antibody only control : Secondary antibody is a ready to use LeicaDS9800 (Bond® Polymer Refine Detection).

Heat mediated antigen retrieval with Citrate buffer (pH 6.0, epitope retrieval solution 1) for 20 mins

Flow Cytometry (Intracellular) - Anti-S100A8 + S100A9 antibody [RM1038] (AB288715)
  • Flow Cyt (Intra)

Lab

Flow Cytometry (Intracellular) - Anti-S100A8 + S100A9 antibody [RM1038] (AB288715)

Flow cytometric analysis of 4% paraformaldehyde fixed 0.1% Tween-20 permeabilized HL-60 (Human acute promyelocytic leukemia promyeloblast) cells labelling S100A8+S100A9 with ab288715 at 1/500 dilution (0.1ug)(Red) compared with a Rabbit monoclonal IgG (ab172730) (Black) isotype control and an unlabelled control (cells without incubation with primary antibody and secondary antibody) (Blue). A Goat Anti-Rabbit IgG (Alexa Fluor® 488, ab150081) at 1/5000 dilution was used as the secondary antibody.

Immunoprecipitation - Anti-S100A8 + S100A9 antibody [RM1038] (AB288715)
  • IP

Lab

Immunoprecipitation - Anti-S100A8 + S100A9 antibody [RM1038] (AB288715)

S100A8+S100A9 was immunoprecipitated from 0.35 mg HL-60 (Human acute promyelocytic leukemia promyeloblast) whole cell lysate 10ug with ab288715 at 1/30 dilution (2ug in 0.35mg lysates). Western blot was performed on the immunoprecipitate using ab288715 at 1/1000 dilution. VeriBlot for IP secondary antibody(HRP)(ab131366) was used at 1/5000 dilution.

Lane 1 : HL-60 (Human acute promyelocytic leukemia promyeloblast) whole cell lysate 10ug

Lane 2 : ab288715 IP in HL-60 whole cell lysate

Lane 3 : Rabbit monoclonal IgG (ab172730) instead of ab288715 in HL-60 whole cell lysate

Blocking and dilution buffer and concentration : 5% NFDM/TBST.

Exposure time : 30 seconds

All lanes:

Immunoprecipitation - Anti-S100A8 + S100A9 antibody [RM1038] (ab288715)

Predicted band size: 13 kDa

Observed band size: 11 kDa,14 kDa

false

Immunocytochemistry/ Immunofluorescence - Anti-S100A8 + S100A9 antibody [RM1038] (AB288715)
  • ICC/IF

Lab

Immunocytochemistry/ Immunofluorescence - Anti-S100A8 + S100A9 antibody [RM1038] (AB288715)

Immunofluorescent analysis of 4% Paraformaldehyde-fixed, 0.1% TritonX-100 permeabilized Mouse PBMC cells labelling S100A8+S100A9 with ab288715 at 1/500 (0.96 ug/ml) dilution, followed by ab150081 Goat Anti-Rabbit IgG H&L (Alexa Fluor® 488) preadsorbed antibody at 1/1000 (2 ug/ml) dilution (Green). Confocal image showing membranous staining in subsets of mouse PBMCs is observed. ab195889 Anti-alpha Tubulin mouse monoclonal antibody - Microtubule Marker (Alexa Fluor® 594) was used to counterstain tubulin at 1/200 (2.5ug/ml) dilution (Red). The Nuclear counterstain was DAPI (Blue).

Secondary antibody only control : Secondary antibody is ab150081 Goat Anti-Rabbit IgG H&L (Alexa Fluor® 488) preadsorbed at 1/1000 (2 ug/ml) dilution.

Flow Cytometry (Intracellular) - Anti-S100A8 + S100A9 antibody [RM1038] (AB288715)
  • Flow Cyt (Intra)

Lab

Flow Cytometry (Intracellular) - Anti-S100A8 + S100A9 antibody [RM1038] (AB288715)

Flow cytometric analysis of 4% paraformaldehyde fixed 0.1% Tween-20 permeabilized Mouse blood cells cells labelling S100A8+S100A9 with ab288715 at 1/500 dilution (0.1 μg)/ Right compared with a Rabbit monoclonal IgG (ab172730) / Left isotype control. A Goat Anti-Rabbit IgG (Alexa Fluor® 488, ab150081) at 1/5000 dilution was used as the secondary antibody.

Immunohistochemistry (Formalin/PFA-fixed paraffin-embedded sections) - Anti-S100A8 + S100A9 antibody [RM1038] (AB288715)
  • IHC-P

Lab

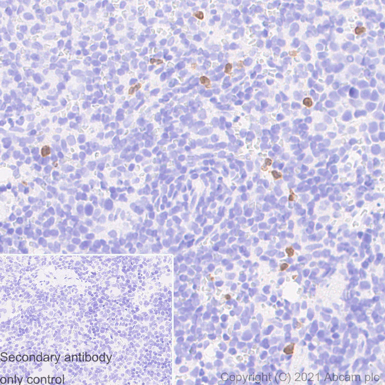
Immunohistochemistry (Formalin/PFA-fixed paraffin-embedded sections) - Anti-S100A8 + S100A9 antibody [RM1038] (AB288715)

Immunohistochemical analysis of paraffin-embedded Rat spleen tissue labeling S100A8+S100A9 with ab288715 at 1/5000 (0.096 ug/ml) followed by a ready to use LeicaDS9800 (Bond™ Polymer Refine Detection). Positive staining on the rat spleen. The section was incubated with ab288715 for 10 mins at room temperature. The immunostaining was performed on a Leica Biosystems BOND® RX instrument Counterstained with Hematoxylin.

Secondary antibody only control : Secondary antibody is a ready to use LeicaDS9800 (Bond™ Polymer Refine Detection).

Heat mediated antigen retrieval with Citrate buffer (pH 6.0, epitope retrieval solution 1) for 20 mins

Immunohistochemistry (Formalin/PFA-fixed paraffin-embedded sections) - Anti-S100A8 + S100A9 antibody [RM1038] (AB288715)
  • IHC-P

Lab

Immunohistochemistry (Formalin/PFA-fixed paraffin-embedded sections) - Anti-S100A8 + S100A9 antibody [RM1038] (AB288715)

Immunohistochemical analysis of paraffin-embedded Mouse spleen tissue labeling S100A8+S100A9 with ab288715 at 1/5000 (0.096 ug/ml) followed by a ready to use LeicaDS9800 (Bond™ Polymer Refine Detection). Positive staining on the mouse spleen. The section was incubated with ab288715 for 10 mins at room temperature. The immunostaining was performed on a Leica Biosystems BOND® RX instrument Counterstained with Hematoxylin.

Secondary antibody only control : Secondary antibody is a ready to use LeicaDS9800 (Bond™ Polymer Refine Detection).

Heat mediated antigen retrieval with Citrate buffer (pH 6.0, epitope retrieval solution 1) for 20 mins

Immunohistochemistry (Frozen sections) - Anti-S100A8 + S100A9 antibody [RM1038] (AB288715)
  • IHC-Fr

Supplier Data

Immunohistochemistry (Frozen sections) - Anti-S100A8 + S100A9 antibody [RM1038] (AB288715)

Positive staining on the red pulp of mouse spleen.

Fresh mouse spleen was fixed with 4% PFA and parmeabilised with 0.2 % Triton X100. ab288715 was used as a primary antibody at 1/100 dilution. ab150081 Goat Anti-Rabbit IgG H&L (Alexa Fluor® 488) was preadsorbed and used as a sacondary antiobdy at 1/1000 dilution. DAPI was used as a nuclear counter stain.

Immunohistochemistry (Frozen sections) - Anti-S100A8 + S100A9 antibody [RM1038] (AB288715)
  • IHC-Fr

Supplier Data

Immunohistochemistry (Frozen sections) - Anti-S100A8 + S100A9 antibody [RM1038] (AB288715)

Positive staining on the red pulp of rat spleen.

Fresh rat spleen was fixed with 4% PFA and parmeabilised with 0.2 % Triton X100. ab288715 was used as a primary antibody at 1/100 dilution. ab150081 Goat Anti-Rabbit IgG H&L (Alexa Fluor® 488) was preadsorbed and used as a sacondary antiobdy at 1/1000 dilution. DAPI was used as a nuclear counter stain.

Immunoprecipitation - Anti-S100A8 + S100A9 antibody [RM1038] (AB288715)
  • IP

Lab

Immunoprecipitation - Anti-S100A8 + S100A9 antibody [RM1038] (AB288715)

S100A8+S100A9 was immunoprecipitated from 0.35 mg Mouse spleen lysate 10ug with ab288715 at 1/30 dilution (2ug in 0.35mg lysates). Western blot was performed on the immunoprecipitate using ab288715 at 1/1000 dilution. VeriBlot for IP secondary antibody (HRP) (ab131366) was used at 1/5000 dilution.

Lane 1 : Mouse spleen lysate 10ug

Lane 2 : ab288715 IP in Mouse spleen lysate

Lane 3 : Rabbit monoclonal IgG (ab172730) instead of ab288715 in Mouse spleen lysate

Blocking and dilution buffer and concentration : 5% NFDM/TBST.

Exposure time : 10 seconds

All lanes:

Immunoprecipitation - Anti-S100A8 + S100A9 antibody [RM1038] (ab288715)

Predicted band size: 13 kDa

Observed band size: 11 kDa,14 kDa

false

Western blot - Anti-S100A8 + S100A9 antibody [RM1038] (AB288715)
  • WB

Lab

Western blot - Anti-S100A8 + S100A9 antibody [RM1038] (AB288715)

Blocking and diluting buffer and concentration : 5% NFDM/TBST

Exposure time : 3 min

All lanes:

Western blot - Anti-S100A8 + S100A9 antibody [RM1038] (ab288715) at 1/1000 dilution

Lane 1:

Mouse spleen lysate

Lane 2:

Rat spleen lysate

Lane 3:

SK-BR-3 (Human breast adenocarcinoma epithelial cell) whole cell lysate

Lane 4:

HL-60 (Human acute promyelocytic leukemia promyeloblast) whole cell lysate

Secondary

All lanes:

Goat Anti-Rabbit IgG, (H+L), Peroxidase conjugated (<a href='/en-us/products/secondary-antibodies/goat-rabbit-igg-h-l-hrp-ab97051'>ab97051</a>) at 1/100000 dilution

Predicted band size: 13 kDa

Observed band size: 11 kDa,14 kDa

false

Western blot - Anti-S100A8 + S100A9 antibody [RM1038] (AB288715)
  • WB

Lab

Western blot - Anti-S100A8 + S100A9 antibody [RM1038] (AB288715)

Blocking and diluting buffer and concentration : 5% NFDM/TBST

Exposure time : 3 min

All lanes:

Western blot - Anti-S100A8 + S100A9 antibody [RM1038] (ab288715) at 1/1000 dilution

Lane 1:

Mouse PBMC lysate

Lane 2:

Mouse spleen lysate

Secondary

All lanes:

Western blot - Goat Anti-Rabbit IgG H&L (HRP) (<a href='/en-us/products/secondary-antibodies/goat-rabbit-igg-h-l-hrp-ab97051'>ab97051</a>) at 1/100000 dilution

Predicted band size: 13 kDa

Observed band size: 11 kDa,14 kDa

false

  • Carrier free

    Anti-S100A8 + S100A9 antibody [RM1038] - BSA and Azide free

Key facts

Host species

Rabbit

Clonality

Multiclonal

Clone number

RM1038

Isotype

IgG

Carrier free

No

Reacts with

Rat, Human, Mouse

Applications

IP, ICC/IF, IHC-P, WB, Flow Cyt (Intra), IHC-Fr

applications

Immunogen

This product was produced with the following immunogens:

The exact immunogen used to generate this antibody is proprietary information.

The exact immunogen used to generate this antibody is proprietary information.

Reactivity data

{ "title": "Reactivity Data", "filters": { "stats": ["", "Species", "Dilution Info", "Notes"], "tabs": { "all-applications": {"fullname" : "All Applications", "shortname": "All Applications"}, "IHCFr" : {"fullname" : "Immunohistochemistry (Frozen sections)", "shortname":"IHC-Fr"}, "IHCP" : {"fullname" : "Immunohistochemistry (Formalin/PFA-fixed paraffin-embedded sections)", "shortname":"IHC-P"}, "IP" : {"fullname" : "Immunoprecipitation", "shortname":"IP"}, "WB" : {"fullname" : "Western blot", "shortname":"WB"}, "ICCIF" : {"fullname" : "Immunocytochemistry/ Immunofluorescence", "shortname":"ICC/IF"}, "FlowCytIntra" : {"fullname" : "Flow Cytometry (Intracellular)", "shortname":"Flow Cyt (Intra)"} }, "product-promise": { "all": "all", "testedAndGuaranteed": "tested", "guaranteed": "expected", "predicted": "predicted", "notRecommended": "not-recommended" } }, "values": { "Human": { "IHCFr-species-checked": "guaranteed", "IHCFr-species-dilution-info": "", "IHCFr-species-notes": "", "IHCP-species-checked": "testedAndGuaranteed", "IHCP-species-dilution-info": "1/5000", "IHCP-species-notes": "<p></p>", "IP-species-checked": "testedAndGuaranteed", "IP-species-dilution-info": "1/30", "IP-species-notes": "<p></p>", "WB-species-checked": "testedAndGuaranteed", "WB-species-dilution-info": "1/1000", "WB-species-notes": "<p></p>", "ICCIF-species-checked": "testedAndGuaranteed", "ICCIF-species-dilution-info": "", "ICCIF-species-notes": "<p></p>", "FlowCytIntra-species-checked": "testedAndGuaranteed", "FlowCytIntra-species-dilution-info": "", "FlowCytIntra-species-notes": "<p></p>" }, "Mouse": { "IHCFr-species-checked": "testedAndGuaranteed", "IHCFr-species-dilution-info": "1/100", "IHCFr-species-notes": "<p></p>", "IHCP-species-checked": "testedAndGuaranteed", "IHCP-species-dilution-info": "1/5000", "IHCP-species-notes": "<p></p>", "IP-species-checked": "testedAndGuaranteed", "IP-species-dilution-info": "", "IP-species-notes": "<p></p>", "WB-species-checked": "testedAndGuaranteed", "WB-species-dilution-info": "1/1000", "WB-species-notes": "<p></p>", "ICCIF-species-checked": "testedAndGuaranteed", "ICCIF-species-dilution-info": "1/500", "ICCIF-species-notes": "<p></p>", "FlowCytIntra-species-checked": "testedAndGuaranteed", "FlowCytIntra-species-dilution-info": "1/500", "FlowCytIntra-species-notes": "<p></p>" }, "Rat": { "IHCFr-species-checked": "guaranteed", "IHCFr-species-dilution-info": "", "IHCFr-species-notes": "", "IHCP-species-checked": "testedAndGuaranteed", "IHCP-species-dilution-info": "1/5000", "IHCP-species-notes": "<p></p>", "IP-species-checked": "guaranteed", "IP-species-dilution-info": "", "IP-species-notes": "", "WB-species-checked": "testedAndGuaranteed", "WB-species-dilution-info": "1/1000", "WB-species-notes": "<p></p>", "ICCIF-species-checked": "guaranteed", "ICCIF-species-dilution-info": "", "ICCIF-species-notes": "", "FlowCytIntra-species-checked": "guaranteed", "FlowCytIntra-species-dilution-info": "", "FlowCytIntra-species-notes": "" } } }

Product details

What is this antibody validated in?
Anti-S100A8 + S100A9 antibody [RM1038] (ab288715) is a rabbit recombinant recombinant multiclonal antibody and is validated for use in Western Blot (WB), Flow Cytometry (Intra), Flow Cytometry (Flow Cyt), Immunoprecipitation (IP), Immunohistochemistry (IHC-P), Immunohistochemistry (IHC-Fr), Immunocytochemistry/immunofluorescence (ICC/IF) in Human, Mouse, Rat samples.

What is the molecular weight of S100A8 + S100A9?
Anti-S100A8 + S100A9 [RM1038] (ab288715) specifically detects a band for S100A8 + S100A9 (UniProt: P06702) at a molecular weight of 13kDa.

Trial sizes available!
Test your antibody or perform pre-screening before committing to a larger quantity. Sold in 10µl. Discover our selection of trial-size antibodies.

What are recombinant multiclonals?
Recombinant multiclonals are a mixture of recombinant antibodies co-expressed from a library of heavy and light chains. They offer several advantages including:

  • - The sensitivity of polyclonal antibodies by recognising multiple epitopes
  • - High batch-to-batch consistency and reproducibility
  • - Improved sensitivity and specificity
  • - Long-term security of supply
  • - Animal-free batch production

View our range of recombinant multiclonal antibodies.

Patented technology
Our RabMAb® technology is a patented hybridoma-based technology for making rabbit monoclonal antibodies. For details on our patents, please refer to RabMAb® patents.

Properties and storage information

Form
Liquid
Purification technique
Affinity purification Protein A
Storage buffer
pH: 7.2 - 7.4 Preservative: 0.01% Sodium azide Constituents: PBS, 40% Glycerol (glycerin, glycerine), 0.05% BSA
Shipped at conditions
Blue Ice
Appropriate short-term storage duration
1-2 weeks
Appropriate short-term storage conditions
+4°C
Appropriate long-term storage conditions
-20°C
Aliquoting information
Upon delivery aliquot
Storage information
Avoid freeze / thaw cycle

Supplementary information

This supplementary information is collated from multiple sources and compiled automatically.

S100A8 and S100A9 often known together as calprotectin are proteins that form a heterodimer and function as a complex. Each protein has a mass of approximately 10.8 kDa for S100A8 and 13.2 kDa for S100A9. These proteins express mainly in neutrophils and monocytes acting as calcium-binding proteins. Their expression can modulate various cellular functions like migration and inflammation responses.
Biological function summary

Calprotectin serves as an important player in the immune response. This complex possesses antimicrobial properties and contributes to the body's defense by modulating inflammation. It binds to zinc and manganese to deprive pathogens of essential nutrients an action called nutrient bioavailability restriction. In immune cells calprotectin's presence signals the activation and recruitment of further immune components.

Pathways

S100A8 and S100A9 influence the NF-kB signaling pathway which governs immune responses and inflammation. Their function affects other pathways such as MAPK by mediating pro-inflammatory cytokines' production and release. These proteins often engage with Toll-like receptors impacting the innate immune system and contributing to the body's defensive mechanisms against pathogens.

High levels of calprotectin are associated with inflammatory diseases like rheumatoid arthritis and inflammatory bowel disease. Its involvement in these conditions makes it a valuable biomarker. Calprotectin often interacts with other inflammatory molecules like TNF-alpha an important factor in propagating inflammation. The calprotectin ELISA test kit plasma calprotectin immunoassay and similar tools can aid in diagnosing and monitoring these conditions providing insight into disease progression and response to treatment.

Product protocols

For this product, it's our understanding that no specific protocols are required. You can visit:

Target data

S100A9 is a calcium- and zinc-binding protein which plays a prominent role in the regulation of inflammatory processes and immune response (PubMed : 12626582, PubMed : 15331440, PubMed : 16258195, PubMed : 19122197, PubMed : 20103766, PubMed : 21325622, PubMed : 8423249). It can induce neutrophil chemotaxis, adhesion, can increase the bactericidal activity of neutrophils by promoting phagocytosis via activation of SYK, PI3K/AKT, and ERK1/2 and can induce degranulation of neutrophils by a MAPK-dependent mechanism (PubMed : 12626582, PubMed : 15331440, PubMed : 20103766). Predominantly found as calprotectin (S100A8/A9) which has a wide plethora of intra- and extracellular functions (PubMed : 16258195, PubMed : 19122197, PubMed : 8423249). The intracellular functions include : facilitating leukocyte arachidonic acid trafficking and metabolism, modulation of the tubulin-dependent cytoskeleton during migration of phagocytes and activation of the neutrophilic NADPH-oxidase (PubMed : 15331440, PubMed : 21325622). Participates also in regulatory T-cell differentiation together with CD69 (PubMed : 26296369). Activates NADPH-oxidase by facilitating the enzyme complex assembly at the cell membrane, transferring arachidonic acid, an essential cofactor, to the enzyme complex and S100A8 contributes to the enzyme assembly by directly binding to NCF2/P67PHOX (PubMed : 15642721, PubMed : 22808130). The extracellular functions involve pro-inflammatory, antimicrobial, oxidant-scavenging and apoptosis-inducing activities (PubMed : 19534726, PubMed : 8423249). Its pro-inflammatory activity includes recruitment of leukocytes, promotion of cytokine and chemokine production, and regulation of leukocyte adhesion and migration (PubMed : 15598812, PubMed : 21487906). Acts as an alarmin or a danger associated molecular pattern (DAMP) molecule and stimulates innate immune cells via binding to pattern recognition receptors such as Toll-like receptor 4 (TLR4) and receptor for advanced glycation endproducts (AGER) (PubMed : 19402754). Binding to TLR4 and AGER activates the MAP-kinase and NF-kappa-B signaling pathways resulting in the amplification of the pro-inflammatory cascade (PubMed : 19402754, PubMed : 22804476). Has antimicrobial activity towards bacteria and fungi and exerts its antimicrobial activity probably via chelation of Zn(2+) which is essential for microbial growth (PubMed : 19087201). Can induce cell death via autophagy and apoptosis and this occurs through the cross-talk of mitochondria and lysosomes via reactive oxygen species (ROS) and the process involves BNIP3 (PubMed : 19935772). Can regulate neutrophil number and apoptosis by an anti-apoptotic effect; regulates cell survival via ITGAM/ITGB and TLR4 and a signaling mechanism involving MEK-ERK (PubMed : 22363402). Its role as an oxidant scavenger has a protective role in preventing exaggerated tissue damage by scavenging oxidants (PubMed : 21912088, PubMed : 22489132). Can act as a potent amplifier of inflammation in autoimmunity as well as in cancer development and tumor spread (PubMed : 16258195). Has transnitrosylase activity; in oxidatively-modified low-densitity lipoprotein (LDL(ox))-induced S-nitrosylation of GAPDH on 'Cys-247' proposed to transfer the NO moiety from NOS2/iNOS to GAPDH via its own S-nitrosylated Cys-3 (PubMed : 25417112). The iNOS-S100A8/A9 transnitrosylase complex is proposed to also direct selective inflammatory stimulus-dependent S-nitrosylation of multiple targets such as ANXA5, EZR, MSN and VIM by recognizing a [IL]-x-C-x-x-[DE] motif (PubMed : 25417112).
See full target information S100A9

Additional targets

S100A9

Publications (20)

Recent publications for all applications. Explore the full list and refine your search

Signal transduction and targeted therapy 10:223 PubMed40670349

2025

Comprehensive genomic and transcriptomic analyses reveal prognostic stratification for esophageal squamous cell carcinoma.

Applications

Unspecified application

Species

Unspecified reactive species

Jian Gao,Qiming Wang,Fangqiu Fu,Yue Zhao,Teng Yang,Xiangze Li,Yihua Sun,Hong Hu,Longfei Ma,Longsheng Miao,Xiaoyang Luo,Ting Ye,Yiliang Zhang,Yang Zhang,Ziling Huang,Hang Li,Longlong Shao,Midie Xu,Kuaile Zhao,Shiyue Zhang,Mou Zhang,Jun Wang,Chong Dai,Xiaoxiao Shang,Tingyi An,Yawei Zhang,Jiaqing Xiang,Zhiwei Cao,Bin Li,Haiquan Chen

Balkan medical journal 42:347-357 PubMed40619816

2025

Mechanism of Neutrophil p90RSK-Nrf2 Signaling Pathway in Atherosclerosis.

Applications

Unspecified application

Species

Unspecified reactive species

Jiawen Li,Lei Wang,Xiao Liang,Xiaoxia Li

International journal of immunopathology and pharmacology 39:3946320251338661 PubMed40390290

2025

Synergistic inhibition of CitH3 and S100A8/A9: A novel therapeutic strategy for mitigating sepsis-induced inflammation and lung injury.

Applications

Unspecified application

Species

Unspecified reactive species

Tao Dong,Wenlu Ouyang,Xin Yu,Ting Zhao,Liujiazi Shao,Chao Quan,Suhe Wang,Jianjie Ma,Yongqing Li

Cancer immunology, immunotherapy : CII 74:162 PubMed40146286

2025

RNF2 induces myeloid-derived suppressor cells chemotaxis and promotes hepatocellular carcinoma progression through the TRAF2-NF-κB signaling axis.

Applications

Unspecified application

Species

Unspecified reactive species

Manman Liang,Jianghua Yang,Aiping Zhang,Na Zhong,Bin Quan,Zijian Wang,Wenying Zhao,Biao Geng,Yufeng Gao

Journal of nanobiotechnology 23:122 PubMed39972331

2025

Tungsten-based polyoxometalate nanoclusters as ferroptosis inhibitors modulating S100A8/A9-mediated iron metabolism pathway for managing intracerebral haemorrhage.

Applications

Unspecified application

Species

Unspecified reactive species

Yang Yang,Mingzhu Lv,Ruihong Liu,Peilu Yu,Ziyi Shen,Dazhang Bai,Peilin Zhao,Jin Yang,Xiaoping Tang,Hanfeng Yang,Yuan Yong,Guohui Jiang

Redox biology 81:103532 PubMed39929053

2025

Inhibition of S100A8/A9 ameliorates neuroinflammation by blocking NET formation following traumatic brain injury.

Applications

Unspecified application

Species

Unspecified reactive species

Guihong Shi,Yiyao Cao,Jianye Xu,Bo Chen,Xu Zhang,Yanlin Zhu,Liang Liu,Xilei Liu,Luyuan Zhang,Yuan Zhou,Shenghui Li,Guili Yang,Xiao Liu,Fanglian Chen,Xin Chen,Jianning Zhang,Shu Zhang

Journal of Cancer 16:1066-1077 PubMed39895787

2025

S100A8 promotes the proliferation, migration and invasion in bladder cancer cells.

Applications

Unspecified application

Species

Unspecified reactive species

Hao-Ran Xu,Zhen Pang,Qin-Zhang Wang,Song Ou-Yang

Nature communications 16:829 PubMed39827193

2025

Lymphatic platelet thrombosis limits bone repair by precluding lymphatic transporting DAMPs.

Applications

Unspecified application

Species

Unspecified reactive species

Yangkang Zheng,Lin Cong,Li Zhao,Pengyu Wang,Lianping Xing,Junling Liu,Hao Xu,Ning Li,Yongjian Zhao,Luying Yuan,Qi Shi,Xueqing Sun,Qianqian Liang,YongJun Wang

Journal of the National Cancer Center 4:369-381 PubMed39735438

2024

S100A8 promotes tumor progression by inducing phenotypic polarization of microglia through the TLR4/IL-10 signaling pathway in glioma.

Applications

Unspecified application

Species

Unspecified reactive species

Yuechao Yang,Huanhuan Cui,Deheng Li,Lei Chen,Yi Liu,Changshuai Zhou,Liangdong Li,Mingtao Feng,Xin Chen,Yiqun Cao,Yang Gao

Cell death & disease 15:462 PubMed38942784

2024

S100A8/A9 neutrophils induce mitochondrial dysfunction and PANoptosis in endothelial cells via mitochondrial complex I deficiency during sepsis.

Applications

Unspecified application

Species

Unspecified reactive species

Yanghanzhao Wang,Yuxin Shi,Yuwen Shao,Xihua Lu,Hao Zhang,Changhong Miao
View all publications

Product promise

We are committed to supporting your work with high-quality reagents, and we're here for you every step of the way. In the unlikely event that one of our products does not perform as expected, you're protected by our Product Promise.
For full details, please see our Terms & Conditions

Please note: All products are 'FOR RESEARCH USE ONLY. NOT FOR USE IN DIAGNOSTIC OR THERAPEUTIC PROCEDURES'.

For licensing inquiries, please contact partnerships@abcam.com