JavaScript is disabled in your browser. Please enable JavaScript to view this website.
AB288578

Anti-S100A8 + S100A9 antibody [RM1038] - BSA and Azide free

Be the first to review this product! Submit a review

|

(0 Publication)

Rabbit Recombinant Multiclonal MRP8 antibody. Carrier free. Suitable for IP, Flow Cyt (Intra), WB, IHC-P, IHC-Fr, ICC/IF and reacts with Mouse, Human, Rat samples.

View Alternative Names

CAGA, CFAG, MRP8, S100A8, Protein S100-A8, Calgranulin-A, Calprotectin L1L subunit, Cystic fibrosis antigen, Leukocyte L1 complex light chain, Migration inhibitory factor-related protein 8, S100 calcium-binding protein A8, Urinary stone protein band A, MRP-8, p8

12 Images
Flow Cytometry (Intracellular) - Anti-S100A8 + S100A9 antibody [RM1038] - BSA and Azide free (AB288578)
  • Flow Cyt (Intra)

Lab

Flow Cytometry (Intracellular) - Anti-S100A8 + S100A9 antibody [RM1038] - BSA and Azide free (AB288578)

This data was developed using ab288715, the same antibody clone in a different buffer formulation.

Flow cytometric analysis of 4% paraformaldehyde fixed 0.1% Tween-20 permeabilized HL-60 (Human acute promyelocytic leukemia promyeloblast) cells labelling S100A8+S100A9 with ab288715 at 1/500 dilution (0.1ug)(Red) compared with a Rabbit monoclonal IgG (ab172730) (Black) isotype control and an unlabelled control (cells without incubation with primary antibody and secondary antibody) (Blue). A Goat Anti-Rabbit IgG (Alexa Fluor® 488, ab150081) at 1/5000 dilution was used as the secondary antibody.

Immunohistochemistry (Formalin/PFA-fixed paraffin-embedded sections) - Anti-S100A8 + S100A9 antibody [RM1038] - BSA and Azide free (AB288578)
  • IHC-P

Lab

Immunohistochemistry (Formalin/PFA-fixed paraffin-embedded sections) - Anti-S100A8 + S100A9 antibody [RM1038] - BSA and Azide free (AB288578)

This data was developed using ab288715, the same antibody clone in a different buffer formulation.

Immunohistochemical analysis of paraffin-embedded Human spleen tissue labeling S100A8+S100A9 with ab288715 at 1/5000 (0.096 ug/ml) followed by a ready to use LeicaDS9800 (Bond® Polymer Refine Detection). Positive staining on the human spleen. The section was incubated with ab288715 for 10 mins at room temperature. The immunostaining was performed on a Leica Biosystems BOND™ RX instrument Counterstained with Hematoxylin.

Secondary antibody only control : Secondary antibody is a ready to use LeicaDS9800 (Bond® Polymer Refine Detection).

Heat mediated antigen retrieval with Citrate buffer (pH 6.0, epitope retrieval solution 1) for 20 mins

Immunocytochemistry/ Immunofluorescence - Anti-S100A8 + S100A9 antibody [RM1038] - BSA and Azide free (AB288578)
  • ICC/IF

Lab

Immunocytochemistry/ Immunofluorescence - Anti-S100A8 + S100A9 antibody [RM1038] - BSA and Azide free (AB288578)

This data was developed using ab288715, the same antibody clone in a different buffer formulation.

Immunofluorescent analysis of 4% Paraformaldehyde-fixed, 0.1% TritonX-100 permeabilized HL-60 cells labelling S100A8+S100A9 with ab288715 at 1/500 (0.96 ug/ml) dilution, followed by ab150081 Goat Anti-Rabbit IgG H&L (Alexa Fluor® 488) preadsorbed antibody at 1/1000 (2 ug/ml) dilution (Green). Confocal image showing membranous staining in HL-60 cell line is observed. ab195889 Anti-alpha Tubulin mouse monoclonal antibody - Microtubule Marker (Alexa Fluor® 594) was used to counterstain tubulin at 1/200 (2.5ug/ml) dilution (Red). The Nuclear counterstain was DAPI (Blue).

Secondary antibody only control : Secondary antibody is ab150081 Goat Anti-Rabbit IgG H&L (Alexa Fluor® 488) preadsorbed at 1/1000 (2 ug/ml) dilution.

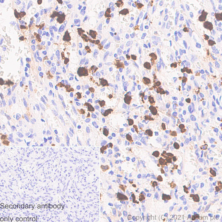
Immunohistochemistry (Formalin/PFA-fixed paraffin-embedded sections) - Anti-S100A8 + S100A9 antibody [RM1038] - BSA and Azide free (AB288578)
  • IHC-P

Lab

Immunohistochemistry (Formalin/PFA-fixed paraffin-embedded sections) - Anti-S100A8 + S100A9 antibody [RM1038] - BSA and Azide free (AB288578)

This data was developed using ab288715, the same antibody clone in a different buffer formulation.

Immunohistochemical analysis of paraffin-embedded Human stomach carcin tissue labeling S100A8+S100A9 with ab288715 at 1/5000 (0.096 ug/ml) followed by a ready to use LeicaDS9800 (Bond® Polymer Refine Detection). Positive staining on the stroma inflammatory cells in human stomach carcinoma. The section was incubated with ab288715 for 10 mins at room temperature. The immunostaining was performed on a Leica Biosystems BOND™ RX instrument Counterstained with Hematoxylin.

Secondary antibody only control : Secondary antibody is a ready to use LeicaDS9800 (Bond® Polymer Refine Detection).

Heat mediated antigen retrieval with Citrate buffer (pH 6.0, epitope retrieval solution 1) for 20 mins

Immunoprecipitation - Anti-S100A8 + S100A9 antibody [RM1038] - BSA and Azide free (AB288578)
  • IP

Lab

Immunoprecipitation - Anti-S100A8 + S100A9 antibody [RM1038] - BSA and Azide free (AB288578)

This data was developed using ab288715, the same antibody clone in a different buffer formulation.

S100A8+S100A9 was immunoprecipitated from 0.35 mg HL-60 (Human acute promyelocytic leukemia promyeloblast) whole cell lysate 10ug with ab288715 at 1/30 dilution (2ug in 0.35mg lysates). Western blot was performed on the immunoprecipitate using ab288715 at 1/1000 dilution. VeriBlot for IP secondary antibody(HRP)(ab131366) was used at 1/5000 dilution.

Lane 1 : HL-60 (Human acute promyelocytic leukemia promyeloblast) whole cell lysate 10ug

Lane 2 : ab288715 IP in HL-60 whole cell lysate

Lane 3 : Rabbit monoclonal IgG (ab172730) instead of ab288715 in HL-60 whole cell lysate

Blocking and dilution buffer and concentration : 5% NFDM/TBST.

Exposure time : 30 seconds

All lanes:

Immunoprecipitation - Anti-S100A8 + S100A9 antibody [RM1038] (<a href='/en-us/products/primary-antibodies/s100a8-s100a9-antibody-rm1038-ab288715'>ab288715</a>)

Predicted band size: 13 kDa

Observed band size: 11 kDa,14 kDa

false

Flow Cytometry (Intracellular) - Anti-S100A8 + S100A9 antibody [RM1038] - BSA and Azide free (AB288578)
  • Flow Cyt (Intra)

Lab

Flow Cytometry (Intracellular) - Anti-S100A8 + S100A9 antibody [RM1038] - BSA and Azide free (AB288578)

This data was developed using ab288715, the same antibody clone in a different buffer formulation.

Flow cytometric analysis of 4% paraformaldehyde fixed 0.1% Tween-20 permeabilized Mouse blood cells cells labelling S100A8+S100A9 with ab288715 at 1/500 dilution (0.1 μg)/ Right compared with a Rabbit monoclonal IgG (ab172730) / Left isotype control. A Goat Anti-Rabbit IgG (Alexa Fluor® 488, ab150081) at 1/5000 dilution was used as the secondary antibody.

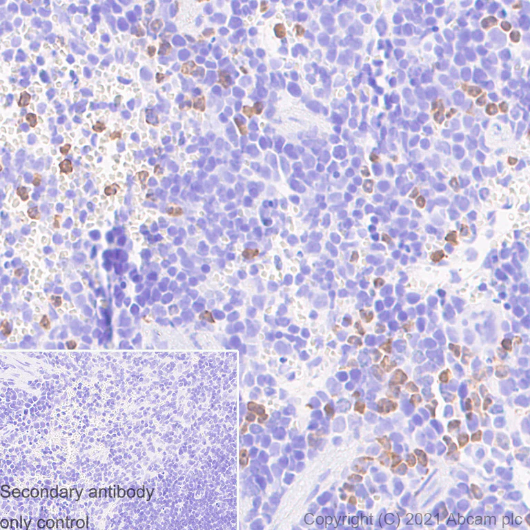
Immunohistochemistry (Formalin/PFA-fixed paraffin-embedded sections) - Anti-S100A8 + S100A9 antibody [RM1038] - BSA and Azide free (AB288578)
  • IHC-P

Lab

Immunohistochemistry (Formalin/PFA-fixed paraffin-embedded sections) - Anti-S100A8 + S100A9 antibody [RM1038] - BSA and Azide free (AB288578)

This data was developed using ab288715, the same antibody clone in a different buffer formulation.

Immunohistochemical analysis of paraffin-embedded Rat spleen tissue labeling S100A8+S100A9 with ab288715 at 1/5000 (0.096 ug/ml) followed by a ready to use LeicaDS9800 (Bond™ Polymer Refine Detection). Positive staining on the rat spleen. The section was incubated with ab288715 for 10 mins at room temperature. The immunostaining was performed on a Leica Biosystems BOND® RX instrument Counterstained with Hematoxylin.

Secondary antibody only control : Secondary antibody is a ready to use LeicaDS9800 (Bond™ Polymer Refine Detection).

Heat mediated antigen retrieval with Citrate buffer (pH 6.0, epitope retrieval solution 1) for 20 mins

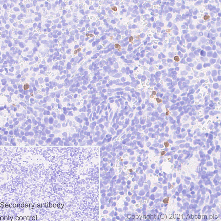
Immunohistochemistry (Formalin/PFA-fixed paraffin-embedded sections) - Anti-S100A8 + S100A9 antibody [RM1038] - BSA and Azide free (AB288578)
  • IHC-P

Lab

Immunohistochemistry (Formalin/PFA-fixed paraffin-embedded sections) - Anti-S100A8 + S100A9 antibody [RM1038] - BSA and Azide free (AB288578)

This data was developed using ab288715, the same antibody clone in a different buffer formulation.

Immunohistochemical analysis of paraffin-embedded Mouse spleen tissue labeling S100A8+S100A9 with ab288715 at 1/5000 (0.096 ug/ml) followed by a ready to use LeicaDS9800 (Bond™ Polymer Refine Detection). Positive staining on the mouse spleen. The section was incubated with ab288715 for 10 mins at room temperature. The immunostaining was performed on a Leica Biosystems BOND® RX instrument Counterstained with Hematoxylin.

Secondary antibody only control : Secondary antibody is a ready to use LeicaDS9800 (Bond™ Polymer Refine Detection).

Heat mediated antigen retrieval with Citrate buffer (pH 6.0, epitope retrieval solution 1) for 20 mins

Immunocytochemistry/ Immunofluorescence - Anti-S100A8 + S100A9 antibody [RM1038] - BSA and Azide free (AB288578)
  • ICC/IF

Lab

Immunocytochemistry/ Immunofluorescence - Anti-S100A8 + S100A9 antibody [RM1038] - BSA and Azide free (AB288578)

This data was developed using ab288715, the same antibody clone in a different buffer formulation.

Immunofluorescent analysis of 4% Paraformaldehyde-fixed, 0.1% TritonX-100 permeabilized Mouse PBMC cells labelling S100A8+S100A9 with ab288715 at 1/500 (0.96 ug/ml) dilution, followed by ab150081 Goat Anti-Rabbit IgG H&L (Alexa Fluor® 488) preadsorbed antibody at 1/1000 (2 ug/ml) dilution (Green). Confocal image showing membranous staining in subsets of mouse PBMCs is observed. ab195889 Anti-alpha Tubulin mouse monoclonal antibody - Microtubule Marker (Alexa Fluor® 594) was used to counterstain tubulin at 1/200 (2.5ug/ml) dilution (Red). The Nuclear counterstain was DAPI (Blue).

Secondary antibody only control : Secondary antibody is ab150081 Goat Anti-Rabbit IgG H&L (Alexa Fluor® 488) preadsorbed at 1/1000 (2 ug/ml) dilution.

Immunoprecipitation - Anti-S100A8 + S100A9 antibody [RM1038] - BSA and Azide free (AB288578)
  • IP

Lab

Immunoprecipitation - Anti-S100A8 + S100A9 antibody [RM1038] - BSA and Azide free (AB288578)

This data was developed using ab288715, the same antibody clone in a different buffer formulation.

S100A8+S100A9 was immunoprecipitated from 0.35 mg Mouse spleen lysate 10ug with ab288715 at 1/30 dilution (2ug in 0.35mg lysates). Western blot was performed on the immunoprecipitate using ab288715 at 1/1000 dilution. VeriBlot for IP secondary antibody (HRP) (ab131366) was used at 1/5000 dilution.

Lane 1 : Mouse spleen lysate 10ug

Lane 2 : ab288715 IP in Mouse spleen lysate

Lane 3 : Rabbit monoclonal IgG (ab172730) instead of ab288715 in Mouse spleen lysate

Blocking and dilution buffer and concentration : 5% NFDM/TBST.

Exposure time : 10 seconds

All lanes:

Immunoprecipitation - Anti-S100A8 + S100A9 antibody [RM1038] (<a href='/en-us/products/primary-antibodies/s100a8-s100a9-antibody-rm1038-ab288715'>ab288715</a>)

Predicted band size: 13 kDa

Observed band size: 11 kDa,14 kDa

false

Western blot - Anti-S100A8 + S100A9 antibody [RM1038] - BSA and Azide free (AB288578)
  • WB

Lab

Western blot - Anti-S100A8 + S100A9 antibody [RM1038] - BSA and Azide free (AB288578)

This data was developed using ab288715, the same antibody clone in a different buffer formulation.

Blocking and diluting buffer and concentration : 5% NFDM/TBST

Exposure time : 3 min

All lanes:

Western blot - Anti-S100A8 + S100A9 antibody [RM1038] (<a href='/en-us/products/primary-antibodies/s100a8-s100a9-antibody-rm1038-ab288715'>ab288715</a>) at 1/1000 dilution

Lane 1:

Mouse spleen lysate

Lane 2:

Rat spleen lysate

Lane 3:

SK-BR-3 (Human breast adenocarcinoma epithelial cell) whole cell lysate

Lane 4:

HL-60 (Human acute promyelocytic leukemia promyeloblast) whole cell lysate

Secondary

All lanes:

Goat Anti-Rabbit IgG, (H+L), Peroxidase conjugated (<a href='/en-us/products/secondary-antibodies/goat-rabbit-igg-h-l-hrp-ab97051'>ab97051</a>) at 1/100000 dilution

Predicted band size: 13 kDa

Observed band size: 11 kDa,14 kDa

false

Western blot - Anti-S100A8 + S100A9 antibody [RM1038] - BSA and Azide free (AB288578)
  • WB

Lab

Western blot - Anti-S100A8 + S100A9 antibody [RM1038] - BSA and Azide free (AB288578)

This data was developed using ab288715, the same antibody clone in a different buffer formulation.

Blocking and diluting buffer and concentration : 5% NFDM/TBST

Exposure time : 3 min

All lanes:

Western blot - Anti-S100A8 + S100A9 antibody [RM1038] (<a href='/en-us/products/primary-antibodies/s100a8-s100a9-antibody-rm1038-ab288715'>ab288715</a>) at 1/1000 dilution

Lane 1:

Mouse PBMC lysate

Lane 2:

Mouse spleen lysate

Secondary

All lanes:

Western blot - Goat Anti-Rabbit IgG H&L (HRP) (<a href='/en-us/products/secondary-antibodies/goat-rabbit-igg-h-l-hrp-ab97051'>ab97051</a>) at 1/100000 dilution

Predicted band size: 13 kDa

Observed band size: 11 kDa,14 kDa

false

Key facts

Host species

Rabbit

Clonality

Multiclonal

Clone number

RM1038

Isotype

IgG

Carrier free

Yes

Reacts with

Mouse, Human, Rat

Applications

IP, ICC/IF, IHC-P, WB, Flow Cyt (Intra), IHC-Fr

applications

Immunogen

This product was produced with the following immunogens:

The exact immunogen used to generate this antibody is proprietary information.

The exact immunogen used to generate this antibody is proprietary information.

Reactivity data

{ "title": "Reactivity Data", "filters": { "stats": ["", "Species", "Dilution Info", "Notes"], "tabs": { "all-applications": {"fullname" : "All Applications", "shortname": "All Applications"}, "IP" : {"fullname" : "Immunoprecipitation", "shortname":"IP"}, "FlowCytIntra" : {"fullname" : "Flow Cytometry (Intracellular)", "shortname":"Flow Cyt (Intra)"}, "WB" : {"fullname" : "Western blot", "shortname":"WB"}, "IHCP" : {"fullname" : "Immunohistochemistry (Formalin/PFA-fixed paraffin-embedded sections)", "shortname":"IHC-P"}, "IHCFr" : {"fullname" : "Immunohistochemistry (Frozen sections)", "shortname":"IHC-Fr"}, "ICCIF" : {"fullname" : "Immunocytochemistry/ Immunofluorescence", "shortname":"ICC/IF"} }, "product-promise": { "all": "all", "testedAndGuaranteed": "tested", "guaranteed": "expected", "predicted": "predicted", "notRecommended": "not-recommended" } }, "values": { "Human": { "IP-species-checked": "testedAndGuaranteed", "IP-species-dilution-info": "", "IP-species-notes": "<p></p>", "FlowCytIntra-species-checked": "testedAndGuaranteed", "FlowCytIntra-species-dilution-info": "", "FlowCytIntra-species-notes": "<p></p>", "WB-species-checked": "testedAndGuaranteed", "WB-species-dilution-info": "", "WB-species-notes": "<p></p>", "IHCP-species-checked": "testedAndGuaranteed", "IHCP-species-dilution-info": "", "IHCP-species-notes": "<p></p>", "IHCFr-species-checked": "guaranteed", "IHCFr-species-dilution-info": "", "IHCFr-species-notes": "", "ICCIF-species-checked": "testedAndGuaranteed", "ICCIF-species-dilution-info": "", "ICCIF-species-notes": "<p></p>" }, "Mouse": { "IP-species-checked": "testedAndGuaranteed", "IP-species-dilution-info": "", "IP-species-notes": "<p></p>", "FlowCytIntra-species-checked": "testedAndGuaranteed", "FlowCytIntra-species-dilution-info": "", "FlowCytIntra-species-notes": "<p></p>", "WB-species-checked": "testedAndGuaranteed", "WB-species-dilution-info": "", "WB-species-notes": "<p></p>", "IHCP-species-checked": "testedAndGuaranteed", "IHCP-species-dilution-info": "", "IHCP-species-notes": "<p></p>", "IHCFr-species-checked": "testedAndGuaranteed", "IHCFr-species-dilution-info": "", "IHCFr-species-notes": "<p></p>", "ICCIF-species-checked": "testedAndGuaranteed", "ICCIF-species-dilution-info": "", "ICCIF-species-notes": "<p></p>" }, "Rat": { "IP-species-checked": "guaranteed", "IP-species-dilution-info": "", "IP-species-notes": "", "FlowCytIntra-species-checked": "guaranteed", "FlowCytIntra-species-dilution-info": "", "FlowCytIntra-species-notes": "", "WB-species-checked": "testedAndGuaranteed", "WB-species-dilution-info": "", "WB-species-notes": "<p></p>", "IHCP-species-checked": "testedAndGuaranteed", "IHCP-species-dilution-info": "", "IHCP-species-notes": "<p></p>", "IHCFr-species-checked": "testedAndGuaranteed", "IHCFr-species-dilution-info": "", "IHCFr-species-notes": "<p></p>", "ICCIF-species-checked": "guaranteed", "ICCIF-species-dilution-info": "", "ICCIF-species-notes": "" } } }

Product details

ab288578 is the carrier free version of ab288715.

What are recombinant multiclonals?
Recombinant multiclonals are a mixture of recombinant antibodies co-expressed from a library of heavy and light chains. They offer several advantages including:

  • - The sensitivity of polyclonal antibodies by recognising multiple epitopes
  • - High batch-to-batch consistency and reproducibility
  • - Improved sensitivity and specificity
  • - Long-term security of supply
  • - Animal-free batch production

View our range of recombinant multiclonal antibodies.

Patented technology
Our RabMAb® technology is a patented hybridoma-based technology for making rabbit monoclonal antibodies. For details on our patents, please refer to RabMAb® patents.

Conjugation ready
Our carrier-free antibodies are typically supplied in a PBS-only formulation, purified and free of BSA, sodium azide and glycerol. This conjugation-ready format is designed for use with fluorochromes, metal isotopes, oligonucleotides, and enzymes, which makes them ideal for antibody labelling, functional and cell-based assays, flow-based assays (e.g. mass cytometry) and Multiplex Imaging applications.

Use our conjugation kits for antibody conjugates that are ready-to-use in as little as 20 minutes with 1 minute hands-on-time and 100% antibody recovery: available for fluorescent dyes, HRP, biotin and gold.

Compatibility
This product is compatible with the Maxpar® Antibody Labeling Kit from Fluidigm, without the need for antibody preparation. Maxpar® is a trademark of Fluidigm Canada Inc.

Properties and storage information

Form
Liquid
Purification technique
Affinity purification Protein A
Storage buffer
pH: 7.2 - 7.4 Constituents: PBS
Shipped at conditions
Blue Ice
Appropriate short-term storage conditions
+4°C
Appropriate long-term storage conditions
+4°C

Supplementary information

This supplementary information is collated from multiple sources and compiled automatically.

S100A8 and S100A9 often known together as calprotectin are proteins that form a heterodimer and function as a complex. Each protein has a mass of approximately 10.8 kDa for S100A8 and 13.2 kDa for S100A9. These proteins express mainly in neutrophils and monocytes acting as calcium-binding proteins. Their expression can modulate various cellular functions like migration and inflammation responses.
Biological function summary

Calprotectin serves as an important player in the immune response. This complex possesses antimicrobial properties and contributes to the body's defense by modulating inflammation. It binds to zinc and manganese to deprive pathogens of essential nutrients an action called nutrient bioavailability restriction. In immune cells calprotectin's presence signals the activation and recruitment of further immune components.

Pathways

S100A8 and S100A9 influence the NF-kB signaling pathway which governs immune responses and inflammation. Their function affects other pathways such as MAPK by mediating pro-inflammatory cytokines' production and release. These proteins often engage with Toll-like receptors impacting the innate immune system and contributing to the body's defensive mechanisms against pathogens.

High levels of calprotectin are associated with inflammatory diseases like rheumatoid arthritis and inflammatory bowel disease. Its involvement in these conditions makes it a valuable biomarker. Calprotectin often interacts with other inflammatory molecules like TNF-alpha an important factor in propagating inflammation. The calprotectin ELISA test kit plasma calprotectin immunoassay and similar tools can aid in diagnosing and monitoring these conditions providing insight into disease progression and response to treatment.

Product protocols

For this product, it's our understanding that no specific protocols are required. You can visit:

Target data

S100A8 is a calcium- and zinc-binding protein which plays a prominent role in the regulation of inflammatory processes and immune response. It can induce neutrophil chemotaxis and adhesion. Predominantly found as calprotectin (S100A8/A9) which has a wide plethora of intra- and extracellular functions. The intracellular functions include : facilitating leukocyte arachidonic acid trafficking and metabolism, modulation of the tubulin-dependent cytoskeleton during migration of phagocytes and activation of the neutrophilic NADPH-oxidase. Participates also in regulatory T-cell differentiation together with CD69 (PubMed : 26296369). Activates NADPH-oxidase by facilitating the enzyme complex assembly at the cell membrane, transferring arachidonic acid, an essential cofactor, to the enzyme complex and S100A8 contributes to the enzyme assembly by directly binding to NCF2/P67PHOX. The extracellular functions involve pro-inflammatory, antimicrobial, oxidant-scavenging and apoptosis-inducing activities. Its pro-inflammatory activity includes recruitment of leukocytes, promotion of cytokine and chemokine production, and regulation of leukocyte adhesion and migration. Acts as an alarmin or a danger associated molecular pattern (DAMP) molecule and stimulates innate immune cells via binding to pattern recognition receptors such as Toll-like receptor 4 (TLR4) and receptor for advanced glycation endproducts (AGER). Binding to TLR4 and AGER activates the MAP-kinase and NF-kappa-B signaling pathways resulting in the amplification of the pro-inflammatory cascade. Has antimicrobial activity towards bacteria and fungi and exerts its antimicrobial activity probably via chelation of Zn(2+) which is essential for microbial growth. Can induce cell death via autophagy and apoptosis and this occurs through the cross-talk of mitochondria and lysosomes via reactive oxygen species (ROS) and the process involves BNIP3. Can regulate neutrophil number and apoptosis by an anti-apoptotic effect; regulates cell survival via ITGAM/ITGB and TLR4 and a signaling mechanism involving MEK-ERK. Its role as an oxidant scavenger has a protective role in preventing exaggerated tissue damage by scavenging oxidants. Can act as a potent amplifier of inflammation in autoimmunity as well as in cancer development and tumor spread. The iNOS-S100A8/A9 transnitrosylase complex directs selective inflammatory stimulus-dependent S-nitrosylation of GAPDH and probably multiple targets such as ANXA5, EZR, MSN and VIM by recognizing a [IL]-x-C-x-x-[DE] motif; S100A8 seems to contribute to S-nitrosylation site selectivity.. (Microbial infection) Upon infection by human coronavirus SARS-CoV-2, may induce expansion of aberrant immature neutrophils in a TLR4-dependent manner.
See full target information S100A8

Additional targets

S100A8

Product promise

We are committed to supporting your work with high-quality reagents, and we're here for you every step of the way. In the unlikely event that one of our products does not perform as expected, you're protected by our Product Promise.
For full details, please see our Terms & Conditions

Please note: All products are 'FOR RESEARCH USE ONLY. NOT FOR USE IN DIAGNOSTIC OR THERAPEUTIC PROCEDURES'.

For licensing inquiries, please contact partnerships@abcam.com