JavaScript is disabled in your browser. Please enable JavaScript to view this website.
AB105472

Anti-S100A9 antibody [2B10]

5

(1 Review)

|

(36 Publications)

Anti-S100A9 antibody [2B10] (ab105472) is a rat monoclonal antibody detecting S100A9 in IHC-P, ICC/IF. Suitable for Human, Mouse.

- Over 20 publications

View Alternative Names

CAGB, CFAG, MRP14, S100A9, Protein S100-A9, Calgranulin-B, Calprotectin L1H subunit, Leukocyte L1 complex heavy chain, Migration inhibitory factor-related protein 14, S100 calcium-binding protein A9, MRP-14, p14

2 Images
Immunocytochemistry/ Immunofluorescence - Anti-S100A9 antibody [2B10] (AB105472)
  • ICC/IF

Unknown

Immunocytochemistry/ Immunofluorescence - Anti-S100A9 antibody [2B10] (AB105472)

ICC/IF image of ab105472 stained RAW246.7 cells. The cells were 100% methanol fixed (5 min) and then incubated in 1%BSA / 10% normal goat serum / 0.3M glycine in 0.1% PBS-Tween for 1h to permeabilise the cells and block non-specific protein-protein interactions. The cells were then incubated with the antibody (ab105472, 10µg/ml) overnight at +4°C. The secondary antibody (green) was ab98386, DyLight® 488 goat anti-rat IgG (H+L) used at a 1/250 dilution for 1h. Alexa Fluor® 594 WGA was used to label plasma membranes (red) at a 1/200 dilution for 1h. DAPI was used to stain the cell nuclei (blue) at a concentration of 1.43µM.

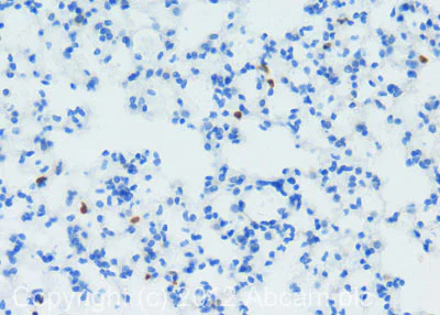
Immunohistochemistry (Formalin/PFA-fixed paraffin-embedded sections) - Anti-S100A9 antibody [2B10] (AB105472)
  • IHC-P

Unknown

Immunohistochemistry (Formalin/PFA-fixed paraffin-embedded sections) - Anti-S100A9 antibody [2B10] (AB105472)

IHC image of S100A9 staining in mouse lung formalin fixed paraffin embedded tissue section, performed on a Leica BondTM system using the standard protocol B. The section was pre-treated using heat mediated antigen retrieval with sodium citrate buffer (pH6, epitope retrieval solution 1) for 20 mins. The section was then incubated with ab105472, 10µg/ml, for 15 mins at room temperature. A goat anti-rat biotinylated secondary antibody was used to detect the primary, and visualized using an HRP conjugated ABC system. DAB was used as the chromogen. The section was then counterstained with haematoxylin and mounted with DPX.

For other IHC staining systems (automated and non-automated) customers should optimize variable parameters such as antigen retrieval conditions, primary antibody concentration and antibody incubation times.

Key facts

Host species

Rat

Clonality

Monoclonal

Clone number

2B10

Isotype

IgG2a

Carrier free

No

Reacts with

Mouse, Human

Applications

IHC-P, ICC/IF

applications

Immunogen

Recombinant Full Length Protein corresponding to Mouse S100a9.

P31725

Specificity

Specific for mouse S100-A9 protein that forms a heterodimer with S100-A8 and constitutes 45% of the neutrophil cytosolic protein. Stains neutrophils strongly and monocytes weakly.

Reactivity data

{ "title": "Reactivity Data", "filters": { "stats": ["", "Species", "Dilution Info", "Notes"], "tabs": { "all-applications": {"fullname" : "All Applications", "shortname": "All Applications"}, "IHCP" : {"fullname" : "Immunohistochemistry (Formalin/PFA-fixed paraffin-embedded sections)", "shortname":"IHC-P"}, "ICCIF" : {"fullname" : "Immunocytochemistry/ Immunofluorescence", "shortname":"ICC/IF"} }, "product-promise": { "all": "all", "testedAndGuaranteed": "tested", "guaranteed": "expected", "predicted": "predicted", "notRecommended": "not-recommended" } }, "values": { "Human": { "IHCP-species-checked": "guaranteed", "IHCP-species-dilution-info": "", "IHCP-species-notes": "", "ICCIF-species-checked": "testedAndGuaranteed", "ICCIF-species-dilution-info": "10 µg/mL", "ICCIF-species-notes": "<p></p>" }, "Mouse": { "IHCP-species-checked": "testedAndGuaranteed", "IHCP-species-dilution-info": "10 µg/mL", "IHCP-species-notes": "<p></p>", "ICCIF-species-checked": "guaranteed", "ICCIF-species-dilution-info": "", "ICCIF-species-notes": "" } } }

Product details

What is this antibody validated in?
Anti-S100A9 antibody [2B10] (ab105472) is a rat monoclonal antibody and is validated for use in Immunohistochemistry (IHC-P), Immunocytochemistry/immunofluorescence (ICC/IF) in Human, Mouse samples.

Trusted by the scientific community
Anti-S100A9 [2B10] (ab105472) was first used in a scientific publication in 2011 and has been cited over 20 times in peer-reviewed journals.

Properties and storage information

Form
Liquid
Purification technique
Affinity purification Protein G
Storage buffer
Preservative: 0.02% Sodium azide Constituents: PBS
Shipped at conditions
Blue Ice
Appropriate short-term storage conditions
+4°C
Appropriate long-term storage conditions
-20°C
Aliquoting information
Upon delivery aliquot
Storage information
Avoid freeze / thaw cycle

Supplementary information

This supplementary information is collated from multiple sources and compiled automatically.

S100A9 also known as calgranulin B or MRP-14 is a calcium-binding protein with a molecular weight of approximately 13 kDa. It belongs to the S100 family and forms part of a heterodimeric complex with S100A8. S100A9 is largely found in myeloid cells such as neutrophils and monocytes. It plays a significant role in the cytosol and can be secreted to the extracellular space under specific stress conditions.
Biological function summary

S100A9 impacts inflammatory responses and immune regulation. It partners with S100A8 to form the calprotectin complex which acts as a strong pro-inflammatory mediator. This complex binds to receptors like RAGE and TLR4 initiating signaling pathways that promote inflammation. S100A9 also participates in leukocyte recruitment and has antimicrobial properties blocking the growth of bacteria and fungi by chelating essential metal ions.

Pathways

Several are influenced by S100A9 including the NF-kB and MAPK signaling pathways. Through its interaction with RAGE and TLR4 receptors S100A9 influences the activation of these pathways which are important in the regulation of inflammatory and immune responses. Other proteins involved in these pathways include MyD88 for TLR4 signaling and various kinases for MAPK signaling positioning S100A9 as an important regulator within the inflammatory networks.

S100A9 links to various inflammatory and autoimmune conditions such as rheumatoid arthritis and inflammatory bowel disease. Increased levels of S100A9 have been observed in these conditions where it augments the inflammatory response. In rheumatoid arthritis for example S100A9 upregulation correlates with increased joint inflammation and damage. The protein’s interaction with S100A8 in these diseases highlights its contribution to the pathogenesis and progression of inflammation-related conditions.

Product protocols

For this product, it's our understanding that no specific protocols are required. You can visit:

Target data

S100A9 is a calcium- and zinc-binding protein which plays a prominent role in the regulation of inflammatory processes and immune response (PubMed : 12626582, PubMed : 15331440, PubMed : 16258195, PubMed : 19122197, PubMed : 20103766, PubMed : 21325622, PubMed : 8423249). It can induce neutrophil chemotaxis, adhesion, can increase the bactericidal activity of neutrophils by promoting phagocytosis via activation of SYK, PI3K/AKT, and ERK1/2 and can induce degranulation of neutrophils by a MAPK-dependent mechanism (PubMed : 12626582, PubMed : 15331440, PubMed : 20103766). Predominantly found as calprotectin (S100A8/A9) which has a wide plethora of intra- and extracellular functions (PubMed : 16258195, PubMed : 19122197, PubMed : 8423249). The intracellular functions include : facilitating leukocyte arachidonic acid trafficking and metabolism, modulation of the tubulin-dependent cytoskeleton during migration of phagocytes and activation of the neutrophilic NADPH-oxidase (PubMed : 15331440, PubMed : 21325622). Participates also in regulatory T-cell differentiation together with CD69 (PubMed : 26296369). Activates NADPH-oxidase by facilitating the enzyme complex assembly at the cell membrane, transferring arachidonic acid, an essential cofactor, to the enzyme complex and S100A8 contributes to the enzyme assembly by directly binding to NCF2/P67PHOX (PubMed : 15642721, PubMed : 22808130). The extracellular functions involve pro-inflammatory, antimicrobial, oxidant-scavenging and apoptosis-inducing activities (PubMed : 19534726, PubMed : 8423249). Its pro-inflammatory activity includes recruitment of leukocytes, promotion of cytokine and chemokine production, and regulation of leukocyte adhesion and migration (PubMed : 15598812, PubMed : 21487906). Acts as an alarmin or a danger associated molecular pattern (DAMP) molecule and stimulates innate immune cells via binding to pattern recognition receptors such as Toll-like receptor 4 (TLR4) and receptor for advanced glycation endproducts (AGER) (PubMed : 19402754). Binding to TLR4 and AGER activates the MAP-kinase and NF-kappa-B signaling pathways resulting in the amplification of the pro-inflammatory cascade (PubMed : 19402754, PubMed : 22804476). Has antimicrobial activity towards bacteria and fungi and exerts its antimicrobial activity probably via chelation of Zn(2+) which is essential for microbial growth (PubMed : 19087201). Can induce cell death via autophagy and apoptosis and this occurs through the cross-talk of mitochondria and lysosomes via reactive oxygen species (ROS) and the process involves BNIP3 (PubMed : 19935772). Can regulate neutrophil number and apoptosis by an anti-apoptotic effect; regulates cell survival via ITGAM/ITGB and TLR4 and a signaling mechanism involving MEK-ERK (PubMed : 22363402). Its role as an oxidant scavenger has a protective role in preventing exaggerated tissue damage by scavenging oxidants (PubMed : 21912088, PubMed : 22489132). Can act as a potent amplifier of inflammation in autoimmunity as well as in cancer development and tumor spread (PubMed : 16258195). Has transnitrosylase activity; in oxidatively-modified low-densitity lipoprotein (LDL(ox))-induced S-nitrosylation of GAPDH on 'Cys-247' proposed to transfer the NO moiety from NOS2/iNOS to GAPDH via its own S-nitrosylated Cys-3 (PubMed : 25417112). The iNOS-S100A8/A9 transnitrosylase complex is proposed to also direct selective inflammatory stimulus-dependent S-nitrosylation of multiple targets such as ANXA5, EZR, MSN and VIM by recognizing a [IL]-x-C-x-x-[DE] motif (PubMed : 25417112).
See full target information S100A9

Publications (36)

Recent publications for all applications. Explore the full list and refine your search

Frontiers in molecular biosciences 12:1530741 PubMed40270593

2025

S100A8/A9 high-expression macrophages mediate renal tubular epithelial cell damage in acute kidney injury following acute type A aortic dissection surgery.

Applications

Unspecified application

Species

Unspecified reactive species

Xiujuan Cai,Xin Li,Jian Shi,Lu Tang,Jie Yang,Ronghuang Yu,Zhigang Wang,Dongjin Wang

Advanced science (Weinheim, Baden-Wurttemberg, Germany) 12:e2308965 PubMed39680476

2024

Schwann Cell-Specific Ablation of Beclin 1 Impairs Myelination and Leads to Motor and Sensory Neuropathy in Mice.

Applications

Unspecified application

Species

Unspecified reactive species

Lisa Gambarotto,Loris Russo,Silvia Bresolin,Luca Persano,Rachele D'Amore,Giulia Ronchi,Federica Zen,Luisa Muratori,Alice Cani,Samuele Negro,Aram Megighian,Sonia Calabrò,Paola Braghetta,Dario Bizzotto,Matilde Cescon

Aging cell 23:e14120 PubMed38403918

2024

S100A8-enriched microglia populate the brain of tau-seeded and accelerated aging mice.

Applications

Unspecified application

Species

Unspecified reactive species

Roxane Gruel,Baukje Bijnens,Johanna Van Den Daele,Sofie Thys,Roland Willems,Dirk Wuyts,Debby Van Dam,Peter Verstraelen,Rosanne Verboven,Jana Roels,Niels Vandamme,Renzo Mancuso,Juan Diego Pita-Almenar,Winnok H De Vos

Science advances 10:eadk6524 PubMed38241373

2024

MCJ: A mitochondrial target for cardiac intervention in pulmonary hypertension.

Applications

Unspecified application

Species

Unspecified reactive species

Ayelén M Santamans,Beatriz Cicuéndez,Alfonso Mora,María Villalba-Orero,Sanela Rajlic,María Crespo,Paula Vo,Madison Jerome,Álvaro Macías,Juan Antonio López,Magdalena Leiva,Susana F Rocha,Marta León,Elena Rodríguez,Luis Leiva,Aránzazu Pintor Chocano,Inés García Lunar,Ana García-Álvarez,Pablo Hernansanz-Agustín,Víctor I Peinado,Joan Albert Barberá,Borja Ibañez,Jesús Vázquez,Jessica B Spinelli,Andreas Daiber,Eduardo Oliver,Guadalupe Sabio

Neural regeneration research 19:1325-1335 PubMed37905882

2023

Mitochondrial transplantation confers protection against the effects of ischemic stroke by repressing microglial pyroptosis and promoting neurogenesis.

Applications

Unspecified application

Species

Unspecified reactive species

Li Sun,Zhaoyan Zhao,Jing Guo,Yuan Qin,Qian Yu,Xiaolong Shi,Fei Guo,Haiqin Zhang,Xude Sun,Changjun Gao,Qian Yang

Current protocols 3:e739 PubMed37078364

2023

Methods for Imaging Inflammation and Transendothelial Migration in Vivo and ex Vivo.

Applications

Unspecified application

Species

Unspecified reactive species

Vivienne Fang,Maureen E Haynes,Vanessa Hayashi,Erika Arias,Jeremy A Lavine,David P Sullivan,William A Muller

Proceedings of the National Academy of Sciences of the United States of America 120:e2211631120 PubMed37071676

2023

Neutrophils infiltrate sensory ganglia and mediate chronic widespread pain in fibromyalgia.

Applications

Unspecified application

Species

Unspecified reactive species

Sara Caxaria,Sabah Bharde,Alice M Fuller,Romy Evans,Bethan Thomas,Petek Celik,Francesco Dell'Accio,Simon Yona,Derek Gilroy,Mathieu-Benoit Voisin,John N Wood,Shafaq Sikandar

Frontiers in microbiology 14:1126896 PubMed37032878

2023

Immune profiling of experimental murine mastitis reveals conserved response to mammary pathogenic , , and .

Applications

Unspecified application

Species

Unspecified reactive species

Peleg Schneider,Hagit Salamon,Nathalie Weizmann,Einat Nissim-Eliraz,Inna Lysnyansky,Nahum Y Shpigel

Science immunology 8:eabp9940 PubMed36608150

2023

Epithelial-intrinsic defects in TGFβR signaling drive local allergic inflammation manifesting as eosinophilic esophagitis.

Applications

Unspecified application

Species

Unspecified reactive species

Karen Laky,Jessica L Kinard,Jenny Min Li,Ian N Moore,Justin Lack,Elizabeth R Fischer,Juraj Kabat,Rachel Latanich,Nicholas C Zachos,Ajinkya R Limkar,Katherine A Weissler,Robert W Thompson,Thomas A Wynn,Harry C Dietz,Anthony L Guerrerio,Pamela A Frischmeyer-Guerrerio

Genes to cells : devoted to molecular & cellular mechanisms 28:42-52 PubMed36453187

2022

Subacute exposure to bisphenol F diglycidyl-ether induces chronic dermatitis characterized by psoriasis-like skin inflammation in mice.

Applications

Unspecified application

Species

Unspecified reactive species

Kyoko Kitagawa,Eiji Shibata,Megumi Yamamoto,Hiroshi Harada,Kiyoshi Yoshino,Toshihide Iwashita,Masanobu Oshima,Mayumi Tsuji
View all publications

Product promise

We are committed to supporting your work with high-quality reagents, and we're here for you every step of the way. In the unlikely event that one of our products does not perform as expected, you're protected by our Product Promise.
For full details, please see our Terms & Conditions

Please note: All products are 'FOR RESEARCH USE ONLY. NOT FOR USE IN DIAGNOSTIC OR THERAPEUTIC PROCEDURES'.

For licensing inquiries, please contact partnerships@abcam.com