JavaScript is disabled in your browser. Please enable JavaScript to view this website.
AB302946

Anti-S100A9 antibody [2E9]

Be the first to review this product! Submit a review

|

(0 Publication)

Rabbit Recombinant Monoclonal S100A9 antibody. Suitable for IHC-P and reacts with Human samples.

View Alternative Names

CAGB, CFAG, MRP14, S100A9, Protein S100-A9, Calgranulin-B, Calprotectin L1H subunit, Leukocyte L1 complex heavy chain, Migration inhibitory factor-related protein 14, S100 calcium-binding protein A9, MRP-14, p14

1 Images
Immunohistochemistry (Formalin/PFA-fixed paraffin-embedded sections) - Anti-S100A9 antibody [2E9] (AB302946)
  • IHC-P

Supplier Data

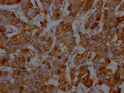
Immunohistochemistry (Formalin/PFA-fixed paraffin-embedded sections) - Anti-S100A9 antibody [2E9] (AB302946)

Immunohistochemical analysis of paraffin-embedded human breast cancer tissue labeling S100A9 with ab302946 at a 1/100 dilution performed on a Leica BondTM system. After dewaxing and hydration, antigen retrieval was mediated by high pressure in a citrate buffer (pH 6.0). Section was blocked with 10% normal goat serum 30 min at RT, then primary antibody (1% BSA) was incubated at 4℃ overnight. The primary antibody is detected by a Goat anti-rabbit IgG polymer labeled by HRP and visualized using 0.05% DAB.

Key facts

Host species

Rabbit

Clonality

Monoclonal

Clone number

2E9

Isotype

IgG

Carrier free

No

Reacts with

Human

Applications

IHC-P

applications

Immunogen

The exact immunogen used to generate this antibody is proprietary information.

Reactivity data

{ "title": "Reactivity Data", "filters": { "stats": ["", "Species", "Dilution Info", "Notes"], "tabs": { "all-applications": {"fullname" : "All Applications", "shortname": "All Applications"}, "IHCP" : {"fullname" : "Immunohistochemistry (Formalin/PFA-fixed paraffin-embedded sections)", "shortname":"IHC-P"} }, "product-promise": { "all": "all", "testedAndGuaranteed": "tested", "guaranteed": "expected", "predicted": "predicted", "notRecommended": "not-recommended" } }, "values": { "Human": { "IHCP-species-checked": "testedAndGuaranteed", "IHCP-species-dilution-info": "1/50 - 1/200", "IHCP-species-notes": "<p></p> Perform heat-mediated antigen retrieval with citrate buffer pH 6 before commencing with IHC staining protocol." } } }

Product details

What are the advantages of a recombinant monoclonal antibody?
This product is a recombinant monoclonal antibody, which offers several advantages including:

  • - High batch-to-batch consistency and reproducibility
  • - Improved sensitivity and specificity
  • - Long-term security of supply
  • - Animal-free batch production

For more information, read more on recombinant antibodies.

Properties and storage information

Form
Liquid
Purification technique
Affinity purification Protein A
Purification notes
Purified from TCS.
Storage buffer
pH: 7.4 Preservative: 0.02% Sodium azide Constituents: PBS, 50% Glycerol (glycerin, glycerine), 0.87% Sodium chloride
Shipped at conditions
Blue Ice
Appropriate short-term storage duration
1-2 weeks
Appropriate short-term storage conditions
+4°C
Appropriate long-term storage conditions
-20°C
Aliquoting information
Upon delivery aliquot
Storage information
Avoid freeze / thaw cycle

Supplementary information

This supplementary information is collated from multiple sources and compiled automatically.

S100A9 also known as calgranulin B or MRP-14 is a calcium-binding protein with a molecular weight of approximately 13 kDa. It belongs to the S100 family and forms part of a heterodimeric complex with S100A8. S100A9 is largely found in myeloid cells such as neutrophils and monocytes. It plays a significant role in the cytosol and can be secreted to the extracellular space under specific stress conditions.
Biological function summary

S100A9 impacts inflammatory responses and immune regulation. It partners with S100A8 to form the calprotectin complex which acts as a strong pro-inflammatory mediator. This complex binds to receptors like RAGE and TLR4 initiating signaling pathways that promote inflammation. S100A9 also participates in leukocyte recruitment and has antimicrobial properties blocking the growth of bacteria and fungi by chelating essential metal ions.

Pathways

Several are influenced by S100A9 including the NF-kB and MAPK signaling pathways. Through its interaction with RAGE and TLR4 receptors S100A9 influences the activation of these pathways which are important in the regulation of inflammatory and immune responses. Other proteins involved in these pathways include MyD88 for TLR4 signaling and various kinases for MAPK signaling positioning S100A9 as an important regulator within the inflammatory networks.

S100A9 links to various inflammatory and autoimmune conditions such as rheumatoid arthritis and inflammatory bowel disease. Increased levels of S100A9 have been observed in these conditions where it augments the inflammatory response. In rheumatoid arthritis for example S100A9 upregulation correlates with increased joint inflammation and damage. The protein’s interaction with S100A8 in these diseases highlights its contribution to the pathogenesis and progression of inflammation-related conditions.

Product protocols

For this product, it's our understanding that no specific protocols are required. You can visit:

Target data

S100A9 is a calcium- and zinc-binding protein which plays a prominent role in the regulation of inflammatory processes and immune response (PubMed : 12626582, PubMed : 15331440, PubMed : 16258195, PubMed : 19122197, PubMed : 20103766, PubMed : 21325622, PubMed : 8423249). It can induce neutrophil chemotaxis, adhesion, can increase the bactericidal activity of neutrophils by promoting phagocytosis via activation of SYK, PI3K/AKT, and ERK1/2 and can induce degranulation of neutrophils by a MAPK-dependent mechanism (PubMed : 12626582, PubMed : 15331440, PubMed : 20103766). Predominantly found as calprotectin (S100A8/A9) which has a wide plethora of intra- and extracellular functions (PubMed : 16258195, PubMed : 19122197, PubMed : 8423249). The intracellular functions include : facilitating leukocyte arachidonic acid trafficking and metabolism, modulation of the tubulin-dependent cytoskeleton during migration of phagocytes and activation of the neutrophilic NADPH-oxidase (PubMed : 15331440, PubMed : 21325622). Participates also in regulatory T-cell differentiation together with CD69 (PubMed : 26296369). Activates NADPH-oxidase by facilitating the enzyme complex assembly at the cell membrane, transferring arachidonic acid, an essential cofactor, to the enzyme complex and S100A8 contributes to the enzyme assembly by directly binding to NCF2/P67PHOX (PubMed : 15642721, PubMed : 22808130). The extracellular functions involve pro-inflammatory, antimicrobial, oxidant-scavenging and apoptosis-inducing activities (PubMed : 19534726, PubMed : 8423249). Its pro-inflammatory activity includes recruitment of leukocytes, promotion of cytokine and chemokine production, and regulation of leukocyte adhesion and migration (PubMed : 15598812, PubMed : 21487906). Acts as an alarmin or a danger associated molecular pattern (DAMP) molecule and stimulates innate immune cells via binding to pattern recognition receptors such as Toll-like receptor 4 (TLR4) and receptor for advanced glycation endproducts (AGER) (PubMed : 19402754). Binding to TLR4 and AGER activates the MAP-kinase and NF-kappa-B signaling pathways resulting in the amplification of the pro-inflammatory cascade (PubMed : 19402754, PubMed : 22804476). Has antimicrobial activity towards bacteria and fungi and exerts its antimicrobial activity probably via chelation of Zn(2+) which is essential for microbial growth (PubMed : 19087201). Can induce cell death via autophagy and apoptosis and this occurs through the cross-talk of mitochondria and lysosomes via reactive oxygen species (ROS) and the process involves BNIP3 (PubMed : 19935772). Can regulate neutrophil number and apoptosis by an anti-apoptotic effect; regulates cell survival via ITGAM/ITGB and TLR4 and a signaling mechanism involving MEK-ERK (PubMed : 22363402). Its role as an oxidant scavenger has a protective role in preventing exaggerated tissue damage by scavenging oxidants (PubMed : 21912088, PubMed : 22489132). Can act as a potent amplifier of inflammation in autoimmunity as well as in cancer development and tumor spread (PubMed : 16258195). Has transnitrosylase activity; in oxidatively-modified low-densitity lipoprotein (LDL(ox))-induced S-nitrosylation of GAPDH on 'Cys-247' proposed to transfer the NO moiety from NOS2/iNOS to GAPDH via its own S-nitrosylated Cys-3 (PubMed : 25417112). The iNOS-S100A8/A9 transnitrosylase complex is proposed to also direct selective inflammatory stimulus-dependent S-nitrosylation of multiple targets such as ANXA5, EZR, MSN and VIM by recognizing a [IL]-x-C-x-x-[DE] motif (PubMed : 25417112).
See full target information S100A9

Product promise

We are committed to supporting your work with high-quality reagents, and we're here for you every step of the way. In the unlikely event that one of our products does not perform as expected, you're protected by our Product Promise.
For full details, please see our Terms & Conditions

Please note: All products are 'FOR RESEARCH USE ONLY. NOT FOR USE IN DIAGNOSTIC OR THERAPEUTIC PROCEDURES'.

For licensing inquiries, please contact partnerships@abcam.com