JavaScript is disabled in your browser. Please enable JavaScript to view this website.
AB92468

Anti-S100A9 antibody [EPR3556]

0

(1 Review)

|

(4 Publications)

Rabbit Recombinant Monoclonal S100A9 antibody. Suitable for IHC-P and reacts with Human samples. Cited in 4 publications.

View Alternative Names

CAGB, CFAG, MRP14, S100A9, Protein S100-A9, Calgranulin-B, Calprotectin L1H subunit, Leukocyte L1 complex heavy chain, Migration inhibitory factor-related protein 14, S100 calcium-binding protein A9, MRP-14, p14

1 Images
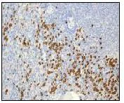
Immunohistochemistry (Formalin/PFA-fixed paraffin-embedded sections) - Anti-S100A9 antibody [EPR3556] (AB92468)
  • IHC-P

Unknown

Immunohistochemistry (Formalin/PFA-fixed paraffin-embedded sections) - Anti-S100A9 antibody [EPR3556] (AB92468)

ab92468, at a 1/100 dilution, staining S100A9 in paraffin embedded Human spleen tissue by Immunohistochemistry.

Heat mediated antigen retrieval was performed before commencing with IHC staining protocol.

  • Carrier free

    Anti-S100A9 antibody [EPR3556] - BSA and Azide free

Key facts

Host species

Rabbit

Clonality

Monoclonal

Clone number

EPR3556

Isotype

IgG

Carrier free

No

Reacts with

Human

Applications

IHC-P

applications

Immunogen

The exact immunogen used to generate this antibody is proprietary information.

Reactivity data

{ "title": "Reactivity Data", "filters": { "stats": ["", "Species", "Dilution Info", "Notes"], "tabs": { "all-applications": {"fullname" : "All Applications", "shortname": "All Applications"}, "IHCP" : {"fullname" : "Immunohistochemistry (Formalin/PFA-fixed paraffin-embedded sections)", "shortname":"IHC-P"}, "IP" : {"fullname" : "Immunoprecipitation", "shortname":"IP"}, "WB" : {"fullname" : "Western blot", "shortname":"WB"}, "ICCIF" : {"fullname" : "Immunocytochemistry/ Immunofluorescence", "shortname":"ICC/IF"} }, "product-promise": { "all": "all", "testedAndGuaranteed": "tested", "guaranteed": "expected", "predicted": "predicted", "notRecommended": "not-recommended" } }, "values": { "Human": { "IHCP-species-checked": "testedAndGuaranteed", "IHCP-species-dilution-info": "1/100 - 1/250", "IHCP-species-notes": "<p></p>", "IP-species-checked": "notRecommended", "IP-species-dilution-info": "", "IP-species-notes": "<p></p>", "WB-species-checked": "notRecommended", "WB-species-dilution-info": "1/1000 - 1/10000", "WB-species-notes": "<p></p>", "ICCIF-species-checked": "notRecommended", "ICCIF-species-dilution-info": "", "ICCIF-species-notes": "<p></p>" } } }

Product details

Species reactivity
Mouse, Rat: We have preliminary internal testing data to indicate this antibody may not react with these species.
Please contact us for more information.

Patented technology
Our RabMAb® technology is a patented hybridoma-based technology for making rabbit monoclonal antibodies. For details on our patents, please refer to RabMAb® patents.

What are the advantages of a recombinant monoclonal antibody?
This product is a recombinant monoclonal antibody, which offers several advantages including:

  • - High batch-to-batch consistency and reproducibility
  • - Improved sensitivity and specificity
  • - Long-term security of supply
  • - Animal-free batch production

For more information, read more on recombinant antibodies.

Properties and storage information

Form
Liquid
Purity
Tissue culture supernatant
Storage buffer
pH: 7.2 - 7.4 Preservative: 0.01% Sodium azide Constituents: PBS, 50% Tissue culture supernatant, 40% Glycerol (glycerin, glycerine), 0.05% BSA
Shipped at conditions
Blue Ice
Appropriate short-term storage conditions
+4°C
Appropriate long-term storage conditions
-20°C
Storage information
Stable for 12 months at -20°C

Supplementary information

This supplementary information is collated from multiple sources and compiled automatically.

S100A9 also known as calgranulin B or MRP-14 is a calcium-binding protein with a molecular weight of approximately 13 kDa. It belongs to the S100 family and forms part of a heterodimeric complex with S100A8. S100A9 is largely found in myeloid cells such as neutrophils and monocytes. It plays a significant role in the cytosol and can be secreted to the extracellular space under specific stress conditions.
Biological function summary

S100A9 impacts inflammatory responses and immune regulation. It partners with S100A8 to form the calprotectin complex which acts as a strong pro-inflammatory mediator. This complex binds to receptors like RAGE and TLR4 initiating signaling pathways that promote inflammation. S100A9 also participates in leukocyte recruitment and has antimicrobial properties blocking the growth of bacteria and fungi by chelating essential metal ions.

Pathways

Several are influenced by S100A9 including the NF-kB and MAPK signaling pathways. Through its interaction with RAGE and TLR4 receptors S100A9 influences the activation of these pathways which are important in the regulation of inflammatory and immune responses. Other proteins involved in these pathways include MyD88 for TLR4 signaling and various kinases for MAPK signaling positioning S100A9 as an important regulator within the inflammatory networks.

S100A9 links to various inflammatory and autoimmune conditions such as rheumatoid arthritis and inflammatory bowel disease. Increased levels of S100A9 have been observed in these conditions where it augments the inflammatory response. In rheumatoid arthritis for example S100A9 upregulation correlates with increased joint inflammation and damage. The protein’s interaction with S100A8 in these diseases highlights its contribution to the pathogenesis and progression of inflammation-related conditions.

Product protocols

For this product, it's our understanding that no specific protocols are required. You can visit:

Target data

S100A9 is a calcium- and zinc-binding protein which plays a prominent role in the regulation of inflammatory processes and immune response (PubMed : 12626582, PubMed : 15331440, PubMed : 16258195, PubMed : 19122197, PubMed : 20103766, PubMed : 21325622, PubMed : 8423249). It can induce neutrophil chemotaxis, adhesion, can increase the bactericidal activity of neutrophils by promoting phagocytosis via activation of SYK, PI3K/AKT, and ERK1/2 and can induce degranulation of neutrophils by a MAPK-dependent mechanism (PubMed : 12626582, PubMed : 15331440, PubMed : 20103766). Predominantly found as calprotectin (S100A8/A9) which has a wide plethora of intra- and extracellular functions (PubMed : 16258195, PubMed : 19122197, PubMed : 8423249). The intracellular functions include : facilitating leukocyte arachidonic acid trafficking and metabolism, modulation of the tubulin-dependent cytoskeleton during migration of phagocytes and activation of the neutrophilic NADPH-oxidase (PubMed : 15331440, PubMed : 21325622). Participates also in regulatory T-cell differentiation together with CD69 (PubMed : 26296369). Activates NADPH-oxidase by facilitating the enzyme complex assembly at the cell membrane, transferring arachidonic acid, an essential cofactor, to the enzyme complex and S100A8 contributes to the enzyme assembly by directly binding to NCF2/P67PHOX (PubMed : 15642721, PubMed : 22808130). The extracellular functions involve pro-inflammatory, antimicrobial, oxidant-scavenging and apoptosis-inducing activities (PubMed : 19534726, PubMed : 8423249). Its pro-inflammatory activity includes recruitment of leukocytes, promotion of cytokine and chemokine production, and regulation of leukocyte adhesion and migration (PubMed : 15598812, PubMed : 21487906). Acts as an alarmin or a danger associated molecular pattern (DAMP) molecule and stimulates innate immune cells via binding to pattern recognition receptors such as Toll-like receptor 4 (TLR4) and receptor for advanced glycation endproducts (AGER) (PubMed : 19402754). Binding to TLR4 and AGER activates the MAP-kinase and NF-kappa-B signaling pathways resulting in the amplification of the pro-inflammatory cascade (PubMed : 19402754, PubMed : 22804476). Has antimicrobial activity towards bacteria and fungi and exerts its antimicrobial activity probably via chelation of Zn(2+) which is essential for microbial growth (PubMed : 19087201). Can induce cell death via autophagy and apoptosis and this occurs through the cross-talk of mitochondria and lysosomes via reactive oxygen species (ROS) and the process involves BNIP3 (PubMed : 19935772). Can regulate neutrophil number and apoptosis by an anti-apoptotic effect; regulates cell survival via ITGAM/ITGB and TLR4 and a signaling mechanism involving MEK-ERK (PubMed : 22363402). Its role as an oxidant scavenger has a protective role in preventing exaggerated tissue damage by scavenging oxidants (PubMed : 21912088, PubMed : 22489132). Can act as a potent amplifier of inflammation in autoimmunity as well as in cancer development and tumor spread (PubMed : 16258195). Has transnitrosylase activity; in oxidatively-modified low-densitity lipoprotein (LDL(ox))-induced S-nitrosylation of GAPDH on 'Cys-247' proposed to transfer the NO moiety from NOS2/iNOS to GAPDH via its own S-nitrosylated Cys-3 (PubMed : 25417112). The iNOS-S100A8/A9 transnitrosylase complex is proposed to also direct selective inflammatory stimulus-dependent S-nitrosylation of multiple targets such as ANXA5, EZR, MSN and VIM by recognizing a [IL]-x-C-x-x-[DE] motif (PubMed : 25417112).
See full target information S100A9

Publications (4)

Recent publications for all applications. Explore the full list and refine your search

Frontiers in medicine 8:780834 PubMed35118089

2022

Kinin B1 Receptor Mediates Renal Injury and Remodeling in Hypertension.

Applications

Unspecified application

Species

Unspecified reactive species

Debargha Basuli,Rohan Umesh Parekh,Acacia White,Abdullah Thayyil,Srinivas Sriramula

International journal of molecular medicine 45:623-633 PubMed31894313

2020

Metformin alleviates endometrial hyperplasia through the UCA1/miR‑144/TGF‑β1/AKT signaling pathway.

Applications

Unspecified application

Species

Unspecified reactive species

Miao Guo,Jing-Jing Zhou,Wei Huang

Cell and tissue research 379:195-206 PubMed31428875

2019

Antler stem cells as a novel stem cell source for reducing liver fibrosis.

Applications

Unspecified application

Species

Unspecified reactive species

Xiaoli Rong,Yanyan Yang,Guokun Zhang,Haiying Zhang,Chunyi Li,Yimin Wang

PloS one 6:e21867 PubMed21760917

2011

Stage-related alterations in renal cell carcinoma--comprehensive quantitative analysis by 2D-DIGE and protein network analysis.

Applications

IHC-P, WB

Species

Human, Human

Heike Junker,Simone Venz,Uwe Zimmermann,Andrea Thiele,Christian Scharf,Reinhard Walther
View all publications

Product promise

We are committed to supporting your work with high-quality reagents, and we're here for you every step of the way. In the unlikely event that one of our products does not perform as expected, you're protected by our Product Promise.
For full details, please see our Terms & Conditions

Please note: All products are 'FOR RESEARCH USE ONLY. NOT FOR USE IN DIAGNOSTIC OR THERAPEUTIC PROCEDURES'.

For licensing inquiries, please contact partnerships@abcam.com