JavaScript is disabled in your browser. Please enable JavaScript to view this website.
AB22506

Anti-S100A9 + Calprotectin (S100A8/A9 complex) antibody [MAC387]

5

(22 Reviews)

|

(100 Publications)

Anti-S100A9 + Calprotectin (S100A8/A9 complex) antibody [MAC387] (ab22506) is a mouse monoclonal antibody detecting S100A9 + Calprotectin (S100A8/A9 complex) in IHC-P. Suitable for Human.

- Over 80 publications
- Trusted since 2005

View Alternative Names

CAGB, CFAG, MRP14, S100A9, Protein S100-A9, Calgranulin-B, Calprotectin L1H subunit, Leukocyte L1 complex heavy chain, Migration inhibitory factor-related protein 14, S100 calcium-binding protein A9, MRP-14, p14

2 Images
Immunohistochemistry (Formalin/PFA-fixed paraffin-embedded sections) - Anti-S100A9 + Calprotectin (S100A8/A9 complex) antibody [MAC387] (AB22506)
  • IHC-P

AbReview27334****

Immunohistochemistry (Formalin/PFA-fixed paraffin-embedded sections) - Anti-S100A9 + Calprotectin (S100A8/A9 complex) antibody [MAC387] (AB22506)

ab22506 staining Macrophages in human spleen tissue sections by Immunohistochemistry (IHC-P - paraformaldehyde-fixed, paraffin-embedded sections). Tissue was fixed with 10% NBF and blocked with 0.250% casein for 5 minutes at 25°C; antigen retrieval was by proteinase K. Samples were incubated with primary antibody (1/5000 in Tris-HCL) for 30 minutes at 25°C. A HRP-conjugated labeled polymer was used as the secondary antibody.

This image is courtesy of an Abreview submitted by Elizabeth Chlipala

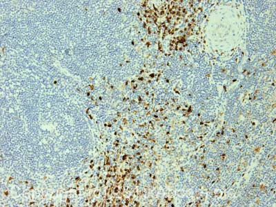
Immunohistochemistry (Formalin/PFA-fixed paraffin-embedded sections) - Anti-S100A9 + Calprotectin (S100A8/A9 complex) antibody [MAC387] (AB22506)
  • IHC-P

Unknown

Immunohistochemistry (Formalin/PFA-fixed paraffin-embedded sections) - Anti-S100A9 + Calprotectin (S100A8/A9 complex) antibody [MAC387] (AB22506)

IHC image of Macrophage staining in human Hodgkins lymphoma formalin fixed paraffin embedded tissue section, performed on a Leica BondTM system using the standard protocol F. The section was pre-treated using heat mediated antigen retrieval with sodium citrate buffer (pH6, epitope retrieval solution 1) for 20 mins. The section was then incubated with ab22506, 1µg/ml, for 15 mins at room temperature and detected using an HRP conjugated compact polymer system. DAB was used as the chromogen. The section was then counterstained with haematoxylin and mounted with DPX.

  • 519 FITC

    FITC Anti-S100A9 + Calprotectin (S100A8/A9 complex) antibody [MAC387]

Key facts

Host species

Mouse

Clonality

Monoclonal

Clone number

MAC387

Isotype

IgG1

Carrier free

No

Reacts with

Human

Applications

IHC-P

applications

Immunogen

The exact immunogen used to generate this antibody is proprietary information.

Reactivity data

{ "title": "Reactivity Data", "filters": { "stats": ["", "Species", "Dilution Info", "Notes"], "tabs": { "all-applications": {"fullname" : "All Applications", "shortname": "All Applications"}, "IHCP" : {"fullname" : "Immunohistochemistry (Formalin/PFA-fixed paraffin-embedded sections)", "shortname":"IHC-P"} }, "product-promise": { "all": "all", "testedAndGuaranteed": "tested", "guaranteed": "expected", "predicted": "predicted", "notRecommended": "not-recommended" } }, "values": { "Human": { "IHCP-species-checked": "testedAndGuaranteed", "IHCP-species-dilution-info": "1 µg/mL", "IHCP-species-notes": "<p></p>" }, "Rat": { "IHCP-species-checked": "notRecommended", "IHCP-species-dilution-info": "1 µg/mL", "IHCP-species-notes": "<p></p>" }, "Baboon": { "IHCP-species-checked": "notRecommended", "IHCP-species-dilution-info": "", "IHCP-species-notes": "" }, "Cat": { "IHCP-species-checked": "notRecommended", "IHCP-species-dilution-info": "", "IHCP-species-notes": "" }, "Cow": { "IHCP-species-checked": "notRecommended", "IHCP-species-dilution-info": "", "IHCP-species-notes": "" }, "Dog": { "IHCP-species-checked": "notRecommended", "IHCP-species-dilution-info": "", "IHCP-species-notes": "" }, "Guinea pig": { "IHCP-species-checked": "notRecommended", "IHCP-species-dilution-info": "", "IHCP-species-notes": "" }, "Horse": { "IHCP-species-checked": "notRecommended", "IHCP-species-dilution-info": "", "IHCP-species-notes": "" }, "Monkey": { "IHCP-species-checked": "notRecommended", "IHCP-species-dilution-info": "", "IHCP-species-notes": "" }, "Pig": { "IHCP-species-checked": "notRecommended", "IHCP-species-dilution-info": "", "IHCP-species-notes": "" }, "Rabbit": { "IHCP-species-checked": "notRecommended", "IHCP-species-dilution-info": "", "IHCP-species-notes": "" } } }

Product details

What is this antibody validated in?
Anti-S100A9 + Calprotectin (S100A8/A9 complex) antibody [MAC387] (ab22506) is a mouse monoclonal antibody and is validated for use in Immunohistochemistry (IHC-P) in Human samples.

Trusted by the scientific community
Anti-S100A9 + Calprotectin (S100A8/A9 complex) [MAC387] (ab22506) was first used in a scientific publication in 2005 and has been cited over 80 times in peer-reviewed journals.

Reviewed by scientists
Anti-S100A9 + Calprotectin (S100A8/A9 complex) [MAC387] (ab22506) has over 20 independent reviews from customers.

Other related products
We have a range of other formats of antibody clone [MAC387] also available for your convenience: ab242945, Carrier free - ab243108, Alexa Fluor® 488 - ab307395, Alexa Fluor® 647 - ab312901, FITC - ab322297, FITC - ab7429

Want a custom formulation?
This antibody clone is manufactured by Abcam. If you require a custom buffer formulation or conjugation for your experiments, please contact orders@abcam.com

Properties and storage information

Form
Liquid
Purification technique
Affinity purification
Storage buffer
pH: 7.4 Preservative: 0.02% Sodium azide Constituents: PBS
Shipped at conditions
Blue Ice
Appropriate short-term storage duration
1-2 weeks
Appropriate short-term storage conditions
+4°C
Appropriate long-term storage conditions
-20°C
Aliquoting information
Upon delivery aliquot
Storage information
Avoid freeze / thaw cycle

Supplementary information

This supplementary information is collated from multiple sources and compiled automatically.

S100A9 also known as calprotectin when forming a complex with S100A8 is a calcium and zinc binding protein belonging to the S100 family. The S100A8/A9 complex sometimes referenced as low calprotectin has a molecular mass of approximately 24 kDa. These proteins express mainly in neutrophils and monocytes but also appear in epithelial cells under certain conditions. S100A9 plays a role in intracellular and extracellular regulations including protein phosphorylation and enzyme activity modulation.
Biological function summary

S100A9 participates in inflammation by modulating leukocyte recruitment and adhesion. As part of the calprotectin complex with S100A8 it contributes to immune response signaling and mediates migration of inflammatory cells to infection sites. The S100A8/A9 complex releases from neutrophils and acts as a damage-associated molecular pattern (DAMP) which interacts with pattern recognition receptors to amplify the inflammatory reaction.

Pathways

S100A9 and its complex with S100A8 integrate into the innate immune system's regulation. Notably these proteins engage in the NF-kB signaling pathway which plays a critical role in inflammation and cell survival. S100A9 interacts with Toll-like receptor 4 (TLR4) to activate downstream signaling cascades which link it to other inflammatory mediators like IL-1Β enhancing the pro-inflammatory response.

S100A9's regulation links to several inflammatory conditions such as rheumatoid arthritis and inflammatory bowel disease. In these diseases the S100A8/A9 complex levels often increase indicating a role in pathogenesis. S100A9's interaction with TLR4 also connects it to these disorders as TLR4 involvement often exacerbates inflammatory signaling pathways in these conditions.

Product protocols

For this product, it's our understanding that no specific protocols are required. You can visit:

Target data

S100A9 is a calcium- and zinc-binding protein which plays a prominent role in the regulation of inflammatory processes and immune response (PubMed : 12626582, PubMed : 15331440, PubMed : 16258195, PubMed : 19122197, PubMed : 20103766, PubMed : 21325622, PubMed : 8423249). It can induce neutrophil chemotaxis, adhesion, can increase the bactericidal activity of neutrophils by promoting phagocytosis via activation of SYK, PI3K/AKT, and ERK1/2 and can induce degranulation of neutrophils by a MAPK-dependent mechanism (PubMed : 12626582, PubMed : 15331440, PubMed : 20103766). Predominantly found as calprotectin (S100A8/A9) which has a wide plethora of intra- and extracellular functions (PubMed : 16258195, PubMed : 19122197, PubMed : 8423249). The intracellular functions include : facilitating leukocyte arachidonic acid trafficking and metabolism, modulation of the tubulin-dependent cytoskeleton during migration of phagocytes and activation of the neutrophilic NADPH-oxidase (PubMed : 15331440, PubMed : 21325622). Participates also in regulatory T-cell differentiation together with CD69 (PubMed : 26296369). Activates NADPH-oxidase by facilitating the enzyme complex assembly at the cell membrane, transferring arachidonic acid, an essential cofactor, to the enzyme complex and S100A8 contributes to the enzyme assembly by directly binding to NCF2/P67PHOX (PubMed : 15642721, PubMed : 22808130). The extracellular functions involve pro-inflammatory, antimicrobial, oxidant-scavenging and apoptosis-inducing activities (PubMed : 19534726, PubMed : 8423249). Its pro-inflammatory activity includes recruitment of leukocytes, promotion of cytokine and chemokine production, and regulation of leukocyte adhesion and migration (PubMed : 15598812, PubMed : 21487906). Acts as an alarmin or a danger associated molecular pattern (DAMP) molecule and stimulates innate immune cells via binding to pattern recognition receptors such as Toll-like receptor 4 (TLR4) and receptor for advanced glycation endproducts (AGER) (PubMed : 19402754). Binding to TLR4 and AGER activates the MAP-kinase and NF-kappa-B signaling pathways resulting in the amplification of the pro-inflammatory cascade (PubMed : 19402754, PubMed : 22804476). Has antimicrobial activity towards bacteria and fungi and exerts its antimicrobial activity probably via chelation of Zn(2+) which is essential for microbial growth (PubMed : 19087201). Can induce cell death via autophagy and apoptosis and this occurs through the cross-talk of mitochondria and lysosomes via reactive oxygen species (ROS) and the process involves BNIP3 (PubMed : 19935772). Can regulate neutrophil number and apoptosis by an anti-apoptotic effect; regulates cell survival via ITGAM/ITGB and TLR4 and a signaling mechanism involving MEK-ERK (PubMed : 22363402). Its role as an oxidant scavenger has a protective role in preventing exaggerated tissue damage by scavenging oxidants (PubMed : 21912088, PubMed : 22489132). Can act as a potent amplifier of inflammation in autoimmunity as well as in cancer development and tumor spread (PubMed : 16258195). Has transnitrosylase activity; in oxidatively-modified low-densitity lipoprotein (LDL(ox))-induced S-nitrosylation of GAPDH on 'Cys-247' proposed to transfer the NO moiety from NOS2/iNOS to GAPDH via its own S-nitrosylated Cys-3 (PubMed : 25417112). The iNOS-S100A8/A9 transnitrosylase complex is proposed to also direct selective inflammatory stimulus-dependent S-nitrosylation of multiple targets such as ANXA5, EZR, MSN and VIM by recognizing a [IL]-x-C-x-x-[DE] motif (PubMed : 25417112).
See full target information S100A9

Additional targets

S100A8

Publications (100)

Recent publications for all applications. Explore the full list and refine your search

Pediatric research 98:1386-1394 PubMed39881181

2025

Increased serum GM-CSF at diagnosis of biliary atresia is associated with improved biliary drainage.

Applications

Unspecified application

Species

Unspecified reactive species

Sarah A Taylor,Sanjiv Harpavat,Kyle D Gromer,Victor Andreev,Kathleen M Loomes,Jorge A Bezerra,Chaowapong Jarasvaraparn,Kasper Wang,Simon Horslen,Philip Rosenthal,Jeffrey Teckman,Pamela L Valentino,Vicky L Ng,Saul J Karpen,Ronald J Sokol,Estella M Alonso,Cara L Mack

Cells 13: PubMed38201247

2024

Understanding -Associated Infective Endocarditis: Examining Heart Valve and Vegetation Appearance and the Role of Neutrophilic Leukocytes.

Applications

Unspecified application

Species

Unspecified reactive species

Kristians Meidrops,Valerija Groma,Niks Ricards Goldins,Lauma Apine,Sandra Skuja,Simons Svirskis,Dita Gudra,Davids Fridmanis,Peteris Stradins

International wound journal 21:e14447 PubMed38149752

2023

Molecular characterization of chronic cutaneous wounds reveals subregion- and wound type-specific differential gene expression.

Applications

Unspecified application

Species

Unspecified reactive species

Shola Michelle Richards,Caroline Gubser Keller,Robert Kreutzer,Géraldine Greiner,Svenja Ley,Arno Doelemeyer,Valerie Dubost,Thierry Flandre,Susan Kirkland,Walter Carbone,Rishika Pandya,Judith Knehr,Guglielmo Roma,Sven Schuierer,Laure Bouchez,Klaus Seuwen,Alexandra Aebi,David Westhead,Gabriele Hintzen,Giorgia Jurisic,Imtiaz Hossain,Marilisa Neri,Nenad Manevski,Kamal Kumar Balavenkatraman,Pierre Moulin,Annette Begrich,Barbara Bertschi,Roland Huber,Tewis Bouwmeester,Vickie R Driver,Moritz von Schwabedissen,Dirk Schaefer,Barbara Wettstein,Reto Wettstein,Heinz Ruffner

Frontiers in immunology 14:1147695 PubMed37744359

2023

The Cxcr2 subset of the S100a8 gastric granylocytic myeloid-derived suppressor cell population (G-MDSC) regulates gastric pathology.

Applications

Unspecified application

Species

Unspecified reactive species

Krystal D Kao,Helmut Grasberger,Mohamad El-Zaatari

Pharmaceutics 15: PubMed37376106

2023

Phosphorylcholine and KR12-Containing Corneal Implants in HSV-1-Infected Rabbit Corneas.

Applications

Unspecified application

Species

Unspecified reactive species

Kamal Malhotra,Oleksiy Buznyk,Mohammad Mirazul Islam,Elle Edin,Sankar Basu,Marc Groleau,Delali Shana Dégué,Per Fagerholm,Adrien Fois,Sylvie Lesage,Jaganmohan R Jangamreddy,Egidijus Šimoliūnas,Aneta Liszka,Hirak K Patra,May Griffith

Inflammation research : official journal of the European Histamine Research Society ... [et al.] 72:1485-1500 PubMed37335321

2023

A positive feedback cycle between the alarmin S100A8/A9 and NLRP3 inflammasome-GSDMD signalling reinforces the innate immune response in Candida albicans keratitis.

Applications

Unspecified application

Species

Unspecified reactive species

Xiaolong Fang,Huifang Lian,Shuang Liu,Jingcun Dong,Xia Hua,Wenguang Li,Chunyang Liao,Xiaoyong Yuan

Clinical kidney journal 16:2405-2416 PubMed38046013

2023

Urinary single-cell sequence analysis of the urinary macrophage in different outcomes of membranous nephropathy.

Applications

Unspecified application

Species

Unspecified reactive species

Xi Liu,Yu Zhao,Yangyang Niu,Qionghong Xie,Hao Nie,Yun Jin,Yingying Zhang,Yuqiu Lu,Saiya Zhu,Wei Zuo,Chen Yu

Cellular and molecular gastroenterology and hepatology 16:17-37 PubMed37004869

2023

AXL Expression on Homeostatic Resident Liver Macrophages Is Reduced in Cirrhosis Following GAS6 Production by Hepatic Stellate Cells.

Applications

Unspecified application

Species

Unspecified reactive species

Oltin-Tiberiu Pop,Anne Geng,Emilio Flint,Arjuna Singanayagam,Caner Ercan,Lucia Possamai,Vishal C Patel,Patrizia Kuenzler,Marie-Anne Meier,Savas Soysal,Petr Hruz,Otto Kollmar,Kate C Tatham,Josie K Ward,Beat Müllhaupt,Achim Weber,Julia Wendon,Jan Hendrik Niess,Markus Heim,David Semela,Christopher Weston,Charalambos G Antoniades,Luigi Maria Terracciano,Evangelos Triantafyllou,Robert G Brenig,Christine Bernsmeier

Investigative radiology 58:656-662 PubMed36822678

2023

Molecular Magnetic Resonance Imaging of Aneurysmal Inflammation Using a Redox Active Iron Complex.

Applications

Unspecified application

Species

Unspecified reactive species

Robert M King,Matthew J Gounis,Eric J Schmidt,Anita Leporati,Eric M Gale,Alexei A Bogdanov

Nature metabolism 5:111-128 PubMed36658400

2023

Humoral regulation of iron metabolism by extracellular vesicles drives antibacterial response.

Applications

Unspecified application

Species

Unspecified reactive species

Huijuan Kuang,Geng Dou,Linfeng Cheng,Xiangdong Wang,Haokun Xu,Xuemei Liu,Feng Ding,Xiaoshan Yang,Siying Liu,Lili Bao,Huan Liu,Yao Liu,Bei Li,Yan Jin,Shiyu Liu
View all publications

Product promise

We are committed to supporting your work with high-quality reagents, and we're here for you every step of the way. In the unlikely event that one of our products does not perform as expected, you're protected by our Product Promise.
For full details, please see our Terms & Conditions

Please note: All products are 'FOR RESEARCH USE ONLY. NOT FOR USE IN DIAGNOSTIC OR THERAPEUTIC PROCEDURES'.

For licensing inquiries, please contact partnerships@abcam.com