JavaScript is disabled in your browser. Please enable JavaScript to view this website.
AB234678

Anti-S100G antibody

Be the first to review this product! Submit a review

|

(1 Publication)

Rabbit Polyclonal S100G antibody. Suitable for IHC-P, ICC/IF and reacts with Human samples. Cited in 1 publication. Immunogen corresponding to Recombinant Fragment Protein within Human S100G aa 1 to C-terminus.

View Alternative Names

CABP9K, CALB3, S100D, S100G, Protein S100-G, Calbindin-D9k, S100 calcium-binding protein G, CABP

3 Images
Immunocytochemistry/ Immunofluorescence - Anti-S100G antibody (AB234678)
  • ICC/IF

Supplier Data

Immunocytochemistry/ Immunofluorescence - Anti-S100G antibody (AB234678)

HepG2 (human liver hepatocellular carcinoma cell line) cells stained for S100G (green) using ab234678 at 1/100 dilution in ICC/IF, followed by Alexa Fluor 488® congugated Goat Anti-Rabbit IgG (H+L).

Immunohistochemistry (Formalin/PFA-fixed paraffin-embedded sections) - Anti-S100G antibody (AB234678)
  • IHC-P

Supplier Data

Immunohistochemistry (Formalin/PFA-fixed paraffin-embedded sections) - Anti-S100G antibody (AB234678)

Paraffin-embedded human gastric cancer tissue stained for S100G using ab234678 at 1/100 dilution in immunohistochemical analysis.

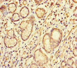
Immunohistochemistry (Formalin/PFA-fixed paraffin-embedded sections) - Anti-S100G antibody (AB234678)
  • IHC-P

Supplier Data

Immunohistochemistry (Formalin/PFA-fixed paraffin-embedded sections) - Anti-S100G antibody (AB234678)

Paraffin-embedded human small intestine tissue stained for S100G using ab234678 at 1/100 dilution in immunohistochemical analysis.

Key facts

Host species

Rabbit

Clonality

Polyclonal

Isotype

IgG

Carrier free

No

Reacts with

Human

Applications

IHC-P, ICC/IF

applications

Immunogen

Recombinant Fragment Protein within Human S100G aa 1 to C-terminus. The exact immunogen used to generate this antibody is proprietary information.

P29377

Reactivity data

{ "title": "Reactivity Data", "filters": { "stats": ["", "Species", "Dilution Info", "Notes"], "tabs": { "all-applications": {"fullname" : "All Applications", "shortname": "All Applications"}, "IHCP" : {"fullname" : "Immunohistochemistry (Formalin/PFA-fixed paraffin-embedded sections)", "shortname":"IHC-P"}, "ICCIF" : {"fullname" : "Immunocytochemistry/ Immunofluorescence", "shortname":"ICC/IF"} }, "product-promise": { "all": "all", "testedAndGuaranteed": "tested", "guaranteed": "expected", "predicted": "predicted", "notRecommended": "not-recommended" } }, "values": { "Human": { "IHCP-species-checked": "testedAndGuaranteed", "IHCP-species-dilution-info": "1/20 - 1/200", "IHCP-species-notes": "<p></p>", "ICCIF-species-checked": "testedAndGuaranteed", "ICCIF-species-dilution-info": "1/50 - 1/200", "ICCIF-species-notes": "<p></p>" } } }

Properties and storage information

Form
Liquid
Purification technique
Affinity purification Protein G
Purification notes
Purity >95%.
Storage buffer
pH: 7.4 Preservative: 0.03% Proclin 300 Constituents: PBS, 50% Glycerol (glycerin, glycerine)
Shipped at conditions
Blue Ice
Appropriate short-term storage duration
1-2 weeks
Appropriate short-term storage conditions
+4°C
Appropriate long-term storage conditions
-20°C
Aliquoting information
Upon delivery aliquot
Storage information
Avoid freeze / thaw cycle

Supplementary information

This supplementary information is collated from multiple sources and compiled automatically.

S100G also known as calbindin D9k is a small protein with a molecular mass of about 9 kDa. It belongs to the S100 family of calcium-binding proteins and is characterized by its single EF-hand motif. S100G is expressed mainly in the epithelial cells of the intestine and kidney. Its primary function involves binding calcium ions which plays a role in intracellular signaling pathways. The protein modulates calcium homeostasis by facilitating the transport of calcium across the cytoplasm.
Biological function summary

S100G plays a role in calcium absorption and transportation within cells. It is essential for maintaining calcium ion balance which is critical for various cellular functions. Although S100G does not form permanent complexes it interacts transiently with other proteins involved in calcium signaling. These interactions are necessary for its role in modulating cellular activities related to calcium transport and buffering.

Pathways

The cellular activity of S100G fits into the larger picture of calcium signaling pathways. It engages in processes that regulate ion transport and muscle contraction by interacting with signaling molecules like calmodulin. Another important pathway interconnected with S100G is vitamin D-mediated intestinal calcium absorption. This pathway involves related proteins like vitamin D receptors that enhance the expression of S100G improving the efficiency of calcium absorption from dietary sources.

Disruptions in S100G function or expression correlate with calcium metabolism-related conditions such as osteoporosis and certain kidney diseases. Abnormal expression levels of S100G can modify cellular calcium levels contributing to these disorders. The protein also connects to other proteins such as parathyroid hormone (PTH) receptors which regulate calcium homeostasis in the body. These interactions suggest that S100G could be a therapeutic target for managing disorders that result from impaired calcium signaling.

Product protocols

For this product, it's our understanding that no specific protocols are required. You can visit:

Publications (1)

Recent publications for all applications. Explore the full list and refine your search

Virus research 355:199570 PubMed40188851

2025

Common host factors for internal ribosomal entry site-mediated translation of viral genomic RNA: An investigation in foot-and-mouth disease and classical swine fever viruses.

Applications

Unspecified application

Species

Unspecified reactive species

Rupaly Akhter,Kazi Anowar Hossain,Bouchra Kitab,Yoshihiro Sakoda,Kyoko Tsukiyama-Kohara
View all publications

Product promise

We are committed to supporting your work with high-quality reagents, and we're here for you every step of the way. In the unlikely event that one of our products does not perform as expected, you're protected by our Product Promise.
For full details, please see our Terms & Conditions

Please note: All products are 'FOR RESEARCH USE ONLY. NOT FOR USE IN DIAGNOSTIC OR THERAPEUTIC PROCEDURES'.

For licensing inquiries, please contact partnerships@abcam.com