JavaScript is disabled in your browser. Please enable JavaScript to view this website.
AB133554

Anti-S100P antibody [EPR6143]

3

(1 Review)

|

(17 Publications)

Rabbit Recombinant Monoclonal S100P antibody. Suitable for IHC-P, IP, WB, ICC/IF, Flow Cyt (Intra) and reacts with Human samples. Cited in 17 publications.

View Alternative Names

S100E, S100P, Protein S100-P, Migration-inducing gene 9 protein, Protein S100-E, S100 calcium-binding protein P, MIG9

12 Images
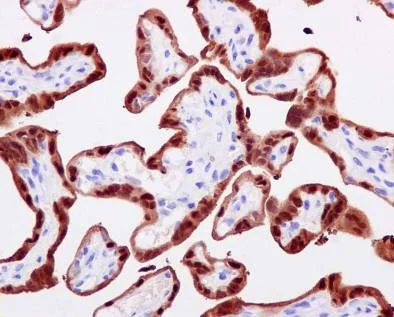
Immunohistochemistry (Formalin/PFA-fixed paraffin-embedded sections) - Anti-S100P antibody [EPR6143] (AB133554)
  • IHC-P

Lab

Immunohistochemistry (Formalin/PFA-fixed paraffin-embedded sections) - Anti-S100P antibody [EPR6143] (AB133554)

Immunohistochemistry (Formalin/PFA-fixed paraffin-embedded sections) analysis of human placenta tissue labelling S100P with purified ab133554 at 1/1500. Heat mediated antigen retrieval was performed using Tris/EDTA buffer pH 9. A prediluted HRP-polymer conjugated anti-rabbit IgG was used as the secondary antibody. Counterstained with hematoxylin.

Immunocytochemistry/ Immunofluorescence - Anti-S100P antibody [EPR6143] (AB133554)
  • ICC/IF

Lab

Immunocytochemistry/ Immunofluorescence - Anti-S100P antibody [EPR6143] (AB133554)

Immunocytochemistry/Immunofluorescence analysis of SW480 cells labelling S100P (green) with pruified ab133554 at 1/40. Cells were fixed with 4% paraformaldehyde. An Alexa Fluor® 488-conjugated goat anti-rabbit IgG (1/200) was used as the secondary antibody. DAPI (blue) was used as the nuclear counterstain.

Immunocytochemistry/ Immunofluorescence - Anti-S100P antibody [EPR6143] (AB133554)
  • ICC/IF

Lab

Immunocytochemistry/ Immunofluorescence - Anti-S100P antibody [EPR6143] (AB133554)

Immunocytochemistry/Immunofluorescence analysis of SW480 cells labelling S100P (green) with pruified ab133554 at 1/400. Cells were fixed with 4% paraformaldehyde. An Alexa Fluor® 488-conjugated goat anti-rabbit IgG (1/200) was used as the secondary antibody. DAPI (blue) was used as the nuclear counterstain.

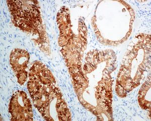
Immunohistochemistry (Formalin/PFA-fixed paraffin-embedded sections) - Anti-S100P antibody [EPR6143] (AB133554)
  • IHC-P

Unknown

Immunohistochemistry (Formalin/PFA-fixed paraffin-embedded sections) - Anti-S100P antibody [EPR6143] (AB133554)

Immunohistochemistry (Formalin/PFA-fixed paraffin-embedded sections) analysis of human pancreatic adenocarcinoma tissue labelling S100P with unpurified ab133554 at 1/250.

Perform heat mediated antigen retrieval with citrate buffer pH 6 before commencing with IHC staining protocol.

Immunohistochemistry (Formalin/PFA-fixed paraffin-embedded sections) - Anti-S100P antibody [EPR6143] (AB133554)
  • IHC-P

Lab

Immunohistochemistry (Formalin/PFA-fixed paraffin-embedded sections) - Anti-S100P antibody [EPR6143] (AB133554)

Immunohistochemistry (Formalin/PFA-fixed paraffin-embedded sections) analysis of human placenta tissue labelling S100P with unpurified ab133554 at 1/100. Heat mediated antigen retrieval was performed using Tris/EDTA buffer pH 9. A prediluted HRP-polymer conjugated anti-rabbit IgG was used as the secondary antibody. Counterstained with hematoxylin.

Flow Cytometry (Intracellular) - Anti-S100P antibody [EPR6143] (AB133554)
  • Flow Cyt (Intra)

Lab

Flow Cytometry (Intracellular) - Anti-S100P antibody [EPR6143] (AB133554)

Intracellular Flow Cytometry analysis of BxPC-3 (human Pancreas adenocarcinoma) cells labeling S100P with purified ab133554 at 1/800 dilution (1ug/ml) (red). Cells were fixed with 4% paraformaldehyde and permeabilised with 90% methanol. A Goat anti rabbit IgG (Alexa Fluorr® 488) (1/2000 dilution) was used as the secondary antibody. Rabbit monoclonal IgG (Black) was used as the isotype control, cells without incubation with primary antibody and secondary antibody (Blue) were used as the unlabeled control.

Immunoprecipitation - Anti-S100P antibody [EPR6143] (AB133554)
  • IP

Lab

Immunoprecipitation - Anti-S100P antibody [EPR6143] (AB133554)

ab133554 (purified) at 1/80 immunoprecipitating S100P in SW480 cells. For western blotting, a peroxidase-conjugated goat anti-rabbit IgG (H+L) was used as the secondary antibody (1/1000).

Blocking buffer and concentration : 5% NFDM/TBST.

Diluting buffer and concentration : 5% NFDM /TBST.

All lanes:

Immunoprecipitation - Anti-S100P antibody [EPR6143] (ab133554)

Predicted band size: 10 kDa

Observed band size: 10 kDa

false

Immunoprecipitation - Anti-S100P antibody [EPR6143] (AB133554)
  • IP

Lab

Immunoprecipitation - Anti-S100P antibody [EPR6143] (AB133554)

ab133554 (unpurified) at 1/20 immunoprecipitating S100P in SW480 cells. For western blotting, a peroxidase-conjugated goat anti-rabbit IgG (H+L) was used as the secondary antibody (1/1000).

Blocking buffer and concentration : 5% NFDM/TBST.

Diluting buffer and concentration : 5% NFDM /TBST.

All lanes:

Immunoprecipitation - Anti-S100P antibody [EPR6143] (ab133554)

Predicted band size: 10 kDa

Observed band size: 10 kDa

false

Western blot - Anti-S100P antibody [EPR6143] (AB133554)
  • WB

Lab

Western blot - Anti-S100P antibody [EPR6143] (AB133554)

Blocking buffer and concentration : 5% NFDM/TBST.

Diluting buffer and concentration : 5% NFDM/TBST.

All lanes:

Western blot - Anti-S100P antibody [EPR6143] (ab133554) at 1/200 dilution

Lane 1:

SW480 cell lysate at 10 µg

Lane 2:

BxPC-3 cell lysate at 10 µg

Secondary

All lanes:

Peroxidase-conjugated goat anti-rabbit IgG (H+L) at 1/1000 dilution

Predicted band size: 10 kDa

Observed band size: 10 kDa

false

Western blot - Anti-S100P antibody [EPR6143] (AB133554)
  • WB

Lab

Western blot - Anti-S100P antibody [EPR6143] (AB133554)

Blocking buffer and concentration : 5% NFDM/TBST.

Diluting buffer and concentration : 5% NFDM/TBST.

All lanes:

Western blot - Anti-S100P antibody [EPR6143] (ab133554) at 1/1500 dilution

Lane 1:

SW480 cell lysate at 10 µg

Lane 2:

BxPC-3 cell lysate at 10 µg

Secondary

All lanes:

Peroxidase-conjugated goat anti-rabbit IgG (H+L) at 1/1000 dilution

Predicted band size: 10 kDa

Observed band size: 10 kDa

false

Western blot - Anti-S100P antibody [EPR6143] (AB133554)
  • WB

Unknown

Western blot - Anti-S100P antibody [EPR6143] (AB133554)

All lanes:

Western blot - Anti-S100P antibody [EPR6143] (ab133554) at 1/1000 dilution

Lane 1:

SW480 cell lysate at 10 µg

Lane 2:

Human placenta cell lysate at 10 µg

Lane 3:

BxPC-3 cell lysate at 10 µg

Secondary

All lanes:

HRP labelled goat anti-rabbit at 1/2000 dilution

Predicted band size: 10 kDa

Observed band size: 10 kDa

false

OI-RD Scanning - Anti-S100P antibody [EPR6143] (AB133554)
  • OI-RD Scanning

Unknown

OI-RD Scanning - Anti-S100P antibody [EPR6143] (AB133554)

We have systematically measured KD (the equilibrium dissociation constant between the antibody and its antigen), of more than 840 recombinant antibodies to assess not only their individual KD values but also to see the average affinity of antibody. Based on the comparison with published literature values for mouse monoclonal antibodies, Recombinant antibodies appear to be on average 1-2 order of magnitude higher affinity.

Key facts

Host species

Rabbit

Clonality

Monoclonal

Clone number

EPR6143

Isotype

IgG

Carrier free

No

Reacts with

Human

Applications

IP, ICC/IF, IHC-P, WB, Flow Cyt (Intra)

applications

Immunogen

The exact immunogen used to generate this antibody is proprietary information.

Reactivity data

{ "title": "Reactivity Data", "filters": { "stats": ["", "Species", "Dilution Info", "Notes"], "tabs": { "all-applications": {"fullname" : "All Applications", "shortname": "All Applications"}, "IHCP" : {"fullname" : "Immunohistochemistry (Formalin/PFA-fixed paraffin-embedded sections)", "shortname":"IHC-P"}, "IP" : {"fullname" : "Immunoprecipitation", "shortname":"IP"}, "WB" : {"fullname" : "Western blot", "shortname":"WB"}, "ICCIF" : {"fullname" : "Immunocytochemistry/ Immunofluorescence", "shortname":"ICC/IF"}, "FlowCytIntra" : {"fullname" : "Flow Cytometry (Intracellular)", "shortname":"Flow Cyt (Intra)"} }, "product-promise": { "all": "all", "testedAndGuaranteed": "tested", "guaranteed": "expected", "predicted": "predicted", "notRecommended": "not-recommended" } }, "values": { "Human": { "IHCP-species-checked": "testedAndGuaranteed", "IHCP-species-dilution-info": "1/1500", "IHCP-species-notes": "<p><strong>For unpurified use at 1/150 - 1/100.</strong></p>", "IP-species-checked": "testedAndGuaranteed", "IP-species-dilution-info": "1/20", "IP-species-notes": "<p><strong>For unpurified use at 1/80.</strong></p>", "WB-species-checked": "testedAndGuaranteed", "WB-species-dilution-info": "1/1000 - 1/10000", "WB-species-notes": "<p><strong>For unpurified use at 1/200.</strong></p>", "ICCIF-species-checked": "testedAndGuaranteed", "ICCIF-species-dilution-info": "1/400", "ICCIF-species-notes": "<p><strong>For unpurified use at 1/40.</strong></p>", "FlowCytIntra-species-checked": "testedAndGuaranteed", "FlowCytIntra-species-dilution-info": "", "FlowCytIntra-species-notes": "<p><a href='/en-us/products/primary-antibodies/rabbit-igg-monoclonal-epr25a-isotype-control-ab172730'>ab172730</a> - Rabbit monoclonal IgG, is suitable for use as an isotype control with this antibody.</p>" } } }

Product details

Species reactivity
Mouse, Rat: We have preliminary internal testing data to indicate this antibody may not react with these species.
Please contact us for more information.

Patented technology
Our RabMAb® technology is a patented hybridoma-based technology for making rabbit monoclonal antibodies. For details on our patents, please refer to RabMAb® patents.

What are the advantages of a recombinant monoclonal antibody?
This product is a recombinant monoclonal antibody, which offers several advantages including:

  • - High batch-to-batch consistency and reproducibility
  • - Improved sensitivity and specificity
  • - Long-term security of supply
  • - Animal-free batch production

For more information, read more on recombinant antibodies.

Properties and storage information

Form
Liquid
Purification technique
Affinity purification Protein A
Storage buffer
pH: 7.2 - 7.4 Preservative: 0.01% Sodium azide Constituents: PBS, 40% Glycerol (glycerin, glycerine), 0.05% BSA
Shipped at conditions
Blue Ice
Appropriate short-term storage duration
1-2 weeks
Appropriate short-term storage conditions
+4°C
Appropriate long-term storage conditions
-20°C
Aliquoting information
Upon delivery aliquot
Storage information
Stable for 12 months at -20°C

Supplementary information

This supplementary information is collated from multiple sources and compiled automatically.

S100P also known as Protein S100-P is a member of the S100 family of proteins containing 94 amino acids with a mass of approximately 10 kDa. Its structure includes two EF-hand calcium-binding motifs which allow it to bind calcium ions effectively. You can find S100P in various tissues but it is highly expressed in the placenta prostate lungs and kidneys. These expression patterns suggest it has multiple roles in different cellular contexts.
Biological function summary

S100P plays a role in intracellular and extracellular calcium signaling. It influences cell survival proliferation and migration. It can function as a monomer but often interacts with other proteins forming complexes such as with RAGE (Receptor for Advanced Glycation End-products) which amplifies signaling cascades that control cellular responses. Its binding to calcium and interaction with RAGE modulate important cellular processes tied to cell cycle and cellular stress response.

Pathways

S100P is closely involved in the MAPK (Mitogen-Activated Protein Kinases) and RAGE signaling pathways. Its interaction with RAGE leads to activation of the MAPK pathway facilitating cellular responses such as growth and survival. S100P also coordinates with other S100 proteins such as S100A4 and S100A9 enhancing its involvement in regulating cellular functions through these pathways. These interactions highlight the importance of S100P in cellular communication and response mechanisms.

S100P is associated with various cancers like pancreatic and breast cancer. Its expression level often increases in malignancies where it promotes metastasis and poor prognosis. Through the RAGE pathway S100P influences tumor progression by altering cellular adhesion migration and immune response. In cancer biology it links with proteins such as E-cadherin and matrix metalloproteinases which further contribute to tumor invasiveness and metastasis making it a potential target for therapeutic intervention.

Product protocols

For this product, it's our understanding that no specific protocols are required. You can visit:

Target data

May function as calcium sensor and contribute to cellular calcium signaling. In a calcium-dependent manner, functions by interacting with other proteins, such as EZR and PPP5C, and indirectly plays a role in physiological processes like the formation of microvilli in epithelial cells. May stimulate cell proliferation in an autocrine manner via activation of the receptor for activated glycation end products (RAGE).
See full target information S100P

Publications (17)

Recent publications for all applications. Explore the full list and refine your search

Cancers 17: PubMed40647383

2025

Subclassification-Specific Tumor Immune Microenvironment in Intrahepatic Cholangiocarcinoma: Implications for Appropriate Pharmacotherapy.

Applications

Unspecified application

Species

Unspecified reactive species

Masahiko Kinoshita,Yasunori Sato,Shoji Kubo,Hiroji Shinkawa,Kenjiro Kimura,Kohei Nishio,Ryota Tanaka,Shigeaki Kurihara,Takeaki Ishizawa

Cell communication and signaling : CCS 23:244 PubMed40420099

2025

TRIM29 upregulation contributes to chemoresistance in triple negative breast cancer via modulating S100P-β-catenin axis.

Applications

Unspecified application

Species

Unspecified reactive species

Qitong Wu,Sumit Siddharth,Deepak Verma,Sheetal Parida,Dipali Sharma

Oncology letters 29:288 PubMed40264825

2025

Prognostic value of protein expression, tumor morphology and location within the pancreas in pancreatic ductal adenocarcinoma.

Applications

Unspecified application

Species

Unspecified reactive species

Haruto Nishida,Kengo Ando,Ryo Kaimori,Kazuhiro Kawamura,Tsutomu Daa

iScience 26:106559 PubMed37123228

2023

Multiomic landscape of immune pathogenesis in Kimura's disease.

Applications

Unspecified application

Species

Unspecified reactive species

Xunyao Wu,Anqi Wang,Sumei Zhang,Xiaoxi Wang,Dan Guo,Weiguo Zhu,Yang Jiao,Jiaxin Zhou,Wen Zhang,Linyi Peng,Minghui Duan,Yunyun Fei

Frontiers in endocrinology 13:860261 PubMed36187124

2022

S100P promotes trophoblast syncytialization during early placenta development by regulating YAP1.

Applications

Unspecified application

Species

Unspecified reactive species

Hanjing Zhou,Yibin Pan,Weijie Yang,Chenqiong Zhao,Xiaohe Sun,Binbin Hong,Xiaoying Jin,Tai Zhang,Yinli Zhang,Na Liu,Songying Zhang,Haiyan Zhu

Nature communications 13:1642 PubMed35347134

2022

Single-cell transcriptomic analysis suggests two molecularly subtypes of intrahepatic cholangiocarcinoma.

Applications

Unspecified application

Species

Unspecified reactive species

Guohe Song,Yang Shi,Lu Meng,Jiaqiang Ma,Siyuan Huang,Juan Zhang,Yingcheng Wu,Jiaxin Li,Youpei Lin,Shuaixi Yang,Dongning Rao,Yifei Cheng,Jian Lin,Shuyi Ji,Yuming Liu,Shan Jiang,Xiaoliang Wang,Shu Zhang,Aiwu Ke,Xiaoying Wang,Ya Cao,Yuan Ji,Jian Zhou,Jia Fan,Xiaoming Zhang,Ruibin Xi,Qiang Gao

Reproductive biology and endocrinology : RB&E 19:99 PubMed34215278

2021

Down-regulation of S100P induces apoptosis in endometrial epithelial cell during GnRH antagonist protocol.

Applications

Unspecified application

Species

Unspecified reactive species

Dan Zhang,Mi Han,Mingjuan Zhou,Mengyu Liu,Yan Li,Bufang Xu,Aijun Zhang

British journal of cancer 125:734-747 PubMed34188196

2021

S100P contributes to promoter demethylation and transcriptional activation of SLC2A5 to promote metastasis in colorectal cancer.

Applications

Unspecified application

Species

Unspecified reactive species

Mingdao Lin,Yuan Fang,Zhenkang Li,Yongsheng Li,Xiaochuang Feng,Yizhi Zhan,Yuwen Xie,Yuechen Liu,Zehao Liu,Guoxin Li,Zhiyong Shen,Haijun Deng

Aging 12:25564-25580 PubMed33264103

2020

TRIM27 acts as an oncogene and regulates cell proliferation and metastasis in non-small cell lung cancer through SIX3-β-catenin signaling.

Applications

Unspecified application

Species

Unspecified reactive species

Shiyuan Liu,Ying Tian,Ying Zheng,Yao Cheng,Danjie Zhang,Jiantao Jiang,Shaomin Li

Asian Pacific journal of cancer prevention : APJCP 21:3647-3654 PubMed33369464

2020

Precancerous Lesions and Liver Atrophy as Risk Factors for Hepatolithiasis-Related Death after Liver Resection for Hepatolithiasis.

Applications

Unspecified application

Species

Unspecified reactive species

Toru Miyazaki,Hiroji Shinkawa,Shigekazu Takemura,Shogo Tanaka,Ryosuke Amano,Kenjiro Kimura,Go Ohira,Kohei Nishio,Masahiko Kinoshita,Jun Tsuchi,Atsushi Ishihara,Shimpei Eguchi,Daisuke Shirai,Takatsugu Yamamoto,Kenichi Wakasa,Norifumi Kawada,Shoji Kubo
View all publications

Product promise

We are committed to supporting your work with high-quality reagents, and we're here for you every step of the way. In the unlikely event that one of our products does not perform as expected, you're protected by our Product Promise.
For full details, please see our Terms & Conditions

Please note: All products are 'FOR RESEARCH USE ONLY. NOT FOR USE IN DIAGNOSTIC OR THERAPEUTIC PROCEDURES'.

For licensing inquiries, please contact partnerships@abcam.com