JavaScript is disabled in your browser. Please enable JavaScript to view this website.
AB140952

Anti-S1P1/EDG1 antibody

4

(2 Reviews)

|

(1 Publication)

Rabbit Polyclonal S1P1/EDG1 antibody. Suitable for IHC-P and reacts with Human samples. Cited in 1 publication. Immunogen corresponding to Synthetic Peptide within Human S1PR1.

View Alternative Names

CD363, CHEDG1, EDG1, S1PR1, Sphingosine 1-phosphate receptor 1, S1P receptor 1, S1P1, Endothelial differentiation G-protein coupled receptor 1, Sphingosine 1-phosphate receptor Edg-1, S1P receptor Edg-1

1 Images
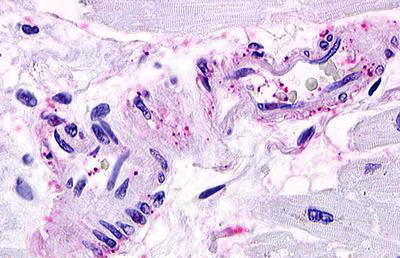
Immunohistochemistry (Formalin/PFA-fixed paraffin-embedded sections) - Anti-S1P1/EDG1 antibody (AB140952)
  • IHC-P

Unknown

Immunohistochemistry (Formalin/PFA-fixed paraffin-embedded sections) - Anti-S1P1/EDG1 antibody (AB140952)

Immunohistochemical analysis of formalin-fixed, paraffin-embedded Human heart (vessel) tissue labeling S1P1/EDG1 with ab140952 at 6 μg/ml.

Key facts

Host species

Rabbit

Clonality

Polyclonal

Isotype

IgG

Carrier free

No

Reacts with

Human

Applications

IHC-P

applications

Immunogen

Synthetic Peptide within Human S1PR1. The exact immunogen used to generate this antibody is proprietary information.

P21453

Reactivity data

{ "title": "Reactivity Data", "filters": { "stats": ["", "Species", "Dilution Info", "Notes"], "tabs": { "all-applications": {"fullname" : "All Applications", "shortname": "All Applications"}, "IHCP" : {"fullname" : "Immunohistochemistry (Formalin/PFA-fixed paraffin-embedded sections)", "shortname":"IHC-P"} }, "product-promise": { "all": "all", "testedAndGuaranteed": "tested", "guaranteed": "expected", "predicted": "predicted", "notRecommended": "not-recommended" } }, "values": { "Human": { "IHCP-species-checked": "testedAndGuaranteed", "IHCP-species-dilution-info": "3-6 µg/mL", "IHCP-species-notes": "<p></p> Perform heat-mediated antigen retrieval with citrate buffer pH 6 before commencing with IHC staining protocol." }, "Mouse": { "IHCP-species-checked": "predicted", "IHCP-species-dilution-info": "", "IHCP-species-notes": "" }, "Rat": { "IHCP-species-checked": "predicted", "IHCP-species-dilution-info": "", "IHCP-species-notes": "" }, "Cow": { "IHCP-species-checked": "predicted", "IHCP-species-dilution-info": "", "IHCP-species-notes": "" }, "Dog": { "IHCP-species-checked": "predicted", "IHCP-species-dilution-info": "", "IHCP-species-notes": "" }, "Hamster": { "IHCP-species-checked": "predicted", "IHCP-species-dilution-info": "", "IHCP-species-notes": "" }, "Horse": { "IHCP-species-checked": "predicted", "IHCP-species-dilution-info": "", "IHCP-species-notes": "" }, "Primates": { "IHCP-species-checked": "predicted", "IHCP-species-dilution-info": "", "IHCP-species-notes": "" }, "Turkey": { "IHCP-species-checked": "predicted", "IHCP-species-dilution-info": "", "IHCP-species-notes": "" }, "Xenopus laevis": { "IHCP-species-checked": "predicted", "IHCP-species-dilution-info": "", "IHCP-species-notes": "" }, "Xenopus tropicalis": { "IHCP-species-checked": "predicted", "IHCP-species-dilution-info": "", "IHCP-species-notes": "" } } }

Properties and storage information

Form
Liquid
Purification technique
Affinity purification Immunogen
Storage buffer
pH: 7.4 Preservative: 0.1% Sodium azide Constituents: PBS
Shipped at conditions
Blue Ice
Appropriate short-term storage conditions
+4°C
Appropriate long-term storage conditions
-20°C
Aliquoting information
Upon delivery aliquot

Supplementary information

This supplementary information is collated from multiple sources and compiled automatically.

The S1P1 receptor also known as EDG1 is a G-protein-coupled receptor that plays a significant role in the sphingosine-1-phosphate (S1P) signaling pathway. With a molecular mass of approximately 43 kDa S1P1 is expressed in various tissues such as vascular endothelial cells immune cells and cardiac cells. The protein mediates the effects of sphingosine-1-phosphate a bioactive lipid that participates in various physiological processes.
Biological function summary

S1P1 is involved in the regulation of immune cell trafficking and vascular stability. As a part of a receptor complex it activates intracellular signaling cascades that influence cell migration and vascular maturation. By binding to S1P S1P1 controls the egress of lymphocytes from lymphoid tissues indicating its important role in immune surveillance and response.

Pathways

S1P1 serves as an important component in the S1P signaling pathway and the phosphoinositide 3-kinase (PI3K) pathway. In the S1P pathway it regulates endothelial cell barrier function and vascular maturation. In the PI3K pathway S1P1 influences cell survival and migration which relates it to protein kinases like Akt and other signaling molecules that further modify cellular responses.

S1P1 is implicated in multiple sclerosis (MS) and cancer progression. In MS S1P1 modulation affects lymphocyte trafficking which is the mechanism behind the action of fingolimod (FTY720) a therapeutic agent for the disease. S1P1 also connects to VEGF and other angiogenic factors in cancer where it influences tumor angiogenesis and metastasis. Understanding these connections highlights the potential for targeting S1P1 in therapeutic strategies for these conditions.

Product protocols

For this product, it's our understanding that no specific protocols are required. You can visit:

Target data

G-protein coupled receptor for the bioactive lysosphingolipid sphingosine 1-phosphate (S1P) that seems to be coupled to the G(i) subclass of heteromeric G proteins. Signaling leads to the activation of RAC1, SRC, PTK2/FAK1 and MAP kinases. Plays an important role in cell migration, probably via its role in the reorganization of the actin cytoskeleton and the formation of lamellipodia in response to stimuli that increase the activity of the sphingosine kinase SPHK1. Required for normal chemotaxis toward sphingosine 1-phosphate. Required for normal embryonic heart development and normal cardiac morphogenesis. Plays an important role in the regulation of sprouting angiogenesis and vascular maturation. Inhibits sprouting angiogenesis to prevent excessive sprouting during blood vessel development. Required for normal egress of mature T-cells from the thymus into the blood stream and into peripheral lymphoid organs. Plays a role in the migration of osteoclast precursor cells, the regulation of bone mineralization and bone homeostasis (By similarity). Plays a role in responses to oxidized 1-palmitoyl-2-arachidonoyl-sn-glycero-3-phosphocholine by pulmonary endothelial cells and in the protection against ventilator-induced lung injury.
See full target information S1PR1

Publications (1)

Recent publications for all applications. Explore the full list and refine your search

Journal of Cancer 11:4250-4260 PubMed32368308

2020

IL-2 enhanced MHC class I expression in papillary thyroid cancer with Hashimoto's thyroiditis overcomes immune escape .

Applications

Unspecified application

Species

Unspecified reactive species

Jia-Qian Hu,Bo-Wen Lei,Duo Wen,Ben Ma,Ting-Ting Zhang,Zhong-Wu Lu,Wen-Jun Wei,Yu-Long Wang,Yu Wang,Duan-Shu Li,Qing-Hai Ji,Tian Liao
View all publications

Product promise

We are committed to supporting your work with high-quality reagents, and we're here for you every step of the way. In the unlikely event that one of our products does not perform as expected, you're protected by our Product Promise.
For full details, please see our Terms & Conditions

Please note: All products are 'FOR RESEARCH USE ONLY. NOT FOR USE IN DIAGNOSTIC OR THERAPEUTIC PROCEDURES'.

For licensing inquiries, please contact partnerships@abcam.com