JavaScript is disabled in your browser. Please enable JavaScript to view this website.
AB233386

Anti-S1P1/EDG1 antibody [EPR21202]

Be the first to review this product! Submit a review

|

(6 Publications)

Rabbit Recombinant Monoclonal S1P1/EDG1 antibody. Suitable for WB, ICC/IF, IHC-P and reacts with Human, Mouse samples. Cited in 6 publications.

View Alternative Names

CD363, CHEDG1, EDG1, S1PR1, Sphingosine 1-phosphate receptor 1, S1P receptor 1, S1P1, Endothelial differentiation G-protein coupled receptor 1, Sphingosine 1-phosphate receptor Edg-1, S1P receptor Edg-1

5 Images
Immunocytochemistry/ Immunofluorescence - Anti-S1P1/EDG1 antibody [EPR21202] (AB233386)
  • ICC/IF

Lab

Immunocytochemistry/ Immunofluorescence - Anti-S1P1/EDG1 antibody [EPR21202] (AB233386)

ab233386 was shown to react with S1PR1 in wild-type SKHEP1 cells in immunocytochemistry with loss of signal observed in a S1PR1 knockout cell line. Wild-type and knockout cells were mixed and pelleted at a 1 : 1 ratio on coverslips. The cells were fixed with 4% paraformaldehyde (15 min) then permeabilized with 0.1% Triton X-100 (10min) and then blocked with 1x PBS, 0.01% Triton X-100, 5% BSA, 5% NGS. The cells were then incubated with ab233386 at 1/400dilution overnight at 4°C followed by a further incubation at room temperature for 1h with a goat anti-rabbit secondary antibody to (Alexa Fluor® 555) at 0.5 µg/ml. Acquisition of the green (wild-type), red (antibody staining) and far-red (knockout) channels was performed. Representative grayscale images of the red channel are shown. Wild-type and knockout cells are outlined with yellow and magenta dashed line, respectively. Schematic representation of the mosaic strategy used is shown on the bottom-right panel. Image was acquired with a Zeiss(LSM-880).

This data was provided by YCharOS Inc., an open science company with the mission of characterizing commercially available antibody reagents for all human proteins. Abcam and YCharOS are working together to help address the reproducibility crisis by enabling the life science community to better evaluate commercially available antibodies.

Immunohistochemistry (Formalin/PFA-fixed paraffin-embedded sections) - Anti-S1P1/EDG1 antibody [EPR21202] (AB233386)
  • IHC-P

Supplier Data

Immunohistochemistry (Formalin/PFA-fixed paraffin-embedded sections) - Anti-S1P1/EDG1 antibody [EPR21202] (AB233386)

Immunohistochemical analysis of paraffin-embedded human colon tissue labeling S1P1/EDG1 with ab233386 at 1/1000 dilution, followed by a ready to use Goat Anti-Rabbit IgG H&L (HRP). Membranous and cytoplasmic staining in endothelial cells of human colon (PMID : 25588843) is observed. Counterstained with hematoxylin.
Secondary antibody only control : Used PBS instead of primary antibody, secondary antibody is a ready to use Goat Anti-Rabbit IgG H&L (HRP).
Perform heat mediated antigen retrieval using ab93684 (Tris/EDTA buffer, pH 9.0).

Immunohistochemistry (Formalin/PFA-fixed paraffin-embedded sections) - Anti-S1P1/EDG1 antibody [EPR21202] (AB233386)
  • IHC-P

Supplier Data

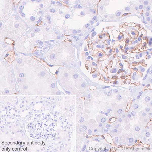
Immunohistochemistry (Formalin/PFA-fixed paraffin-embedded sections) - Anti-S1P1/EDG1 antibody [EPR21202] (AB233386)

Immunohistochemical analysis of paraffin-embedded human kidney tissue labeling S1P1/EDG1 with ab233386 at 1/1000 dilution, followed by a ready to use Goat Anti-Rabbit IgG H&L (HRP). Membranous and cytoplasmic staining in endothelial cells of human kidney (PMID : 25588843) is observed. Counterstained with hematoxylin.
Secondary antibody only control : Used PBS instead of primary antibody, secondary antibody is a ready to use Goat Anti-Rabbit IgG H&L (HRP).
Perform heat mediated antigen retrieval using ab93684 (Tris/EDTA buffer, pH 9.0).

Western blot - Anti-S1P1/EDG1 antibody [EPR21202] (AB233386)
  • WB

Lab

Western blot - Anti-S1P1/EDG1 antibody [EPR21202] (AB233386)

Blocking buffer : 5% NFDM/TBST.

All lanes:

Western blot - Anti-S1P1/EDG1 antibody [EPR21202] (ab233386) at 1/1000 dilution

Lanes 1 and 3:

Jurkat (human T cell leukemia cell line from peripheral blood) whole cell lysate at 20 µg

Lanes 2 and 4:

BxPC-3 (human pancreas adenocarcinoma cell line) whole cell lysate at 20 µg

Secondary

All lanes:

Western blot - Goat Anti-Rabbit IgG H&L (HRP) (<a href='/en-us/products/secondary-antibodies/goat-rabbit-igg-h-l-hrp-ab97051'>ab97051</a>) at 1/100000 dilution

Predicted band size: 43 kDa

false

Exposure time: 114s

Western blot - Anti-S1P1/EDG1 antibody [EPR21202] (AB233386)
  • WB

Lab

Western blot - Anti-S1P1/EDG1 antibody [EPR21202] (AB233386)

ab233386 was shown to react with S1PR1 in wild-type SKHEP1 cells in Western blot with loss of signal observed in a S1PR1 knockout cell line. Wild-type SKHEP1 and S1PR1 knockout cell lysates were subjected to SDS-PAGE. Membranes were blocked in 5% milk in TBST for 1 hr before incubation with ab233386 overnight at 4 °C at a 1/1000 dilution. Blots were incubated with secondary antibodies at 0.2ug/mL before imaging.

This data was provided by YCharOS Inc., an open science company with the mission of characterizing commercially available antibody reagents for all human proteins. Abcam and YCharOS are working together to help address the reproducibility crisis by enabling the life science community to better evaluate commercially available antibodies.

All lanes:

Western blot - Anti-S1P1/EDG1 antibody [EPR21202] (ab233386) at 1/1000 dilution

Lane 1:

Wild-type SKHEP1 lysate at 20 µg

Lane 2:

S1PR1 knock-out SKHEP1 lysate at 20 µg

Observed band size: 43 kDa

false

  • Carrier free

    Anti-S1P1/EDG1 antibody [EPR21202] - BSA and Azide free

Key facts

Host species

Rabbit

Clonality

Monoclonal

Clone number

EPR21202

Isotype

IgG

Carrier free

No

Reacts with

Mouse, Human

Applications

ICC/IF, IHC-P, WB

applications

Immunogen

The exact immunogen used to generate this antibody is proprietary information.

Specificity

WB is not recommended for mouse samples.

Reactivity data

{ "title": "Reactivity Data", "filters": { "stats": ["", "Species", "Dilution Info", "Notes"], "tabs": { "all-applications": {"fullname" : "All Applications", "shortname": "All Applications"}, "IP" : {"fullname" : "Immunoprecipitation", "shortname":"IP"}, "FlowCyt" : {"fullname" : "Flow Cytometry", "shortname":"Flow Cyt"}, "WB" : {"fullname" : "Western blot", "shortname":"WB"}, "ICCIF" : {"fullname" : "Immunocytochemistry/ Immunofluorescence", "shortname":"ICC/IF"}, "IHCP" : {"fullname" : "Immunohistochemistry (Formalin/PFA-fixed paraffin-embedded sections)", "shortname":"IHC-P"} }, "product-promise": { "all": "all", "testedAndGuaranteed": "tested", "guaranteed": "expected", "predicted": "predicted", "notRecommended": "not-recommended" } }, "values": { "Human": { "IP-species-checked": "notRecommended", "IP-species-dilution-info": "", "IP-species-notes": "<p></p>", "FlowCyt-species-checked": "notRecommended", "FlowCyt-species-dilution-info": "", "FlowCyt-species-notes": "<p></p>", "WB-species-checked": "testedAndGuaranteed", "WB-species-dilution-info": "1/1000", "WB-species-notes": "<p>Not recommended for mouse.</p><p>Please do not boil the sample before loading the gel.</p>", "ICCIF-species-checked": "testedAndGuaranteed", "ICCIF-species-dilution-info": "1/400", "ICCIF-species-notes": "<p></p>", "IHCP-species-checked": "testedAndGuaranteed", "IHCP-species-dilution-info": "1/1000", "IHCP-species-notes": "<p></p> Perform heat-mediated antigen retrieval with Tris/EDTA buffer pH 9.0 before commencing with IHC staining protocol." }, "Mouse": { "IP-species-checked": "notRecommended", "IP-species-dilution-info": "", "IP-species-notes": "<p></p>", "FlowCyt-species-checked": "notRecommended", "FlowCyt-species-dilution-info": "", "FlowCyt-species-notes": "<p></p>", "WB-species-checked": "guaranteed", "WB-species-dilution-info": "", "WB-species-notes": "", "ICCIF-species-checked": "notRecommended", "ICCIF-species-dilution-info": "", "ICCIF-species-notes": "<p></p>", "IHCP-species-checked": "testedAndGuaranteed", "IHCP-species-dilution-info": "1/1000", "IHCP-species-notes": "<p></p> Perform heat-mediated antigen retrieval with Tris/EDTA buffer pH 9.0 before commencing with IHC staining protocol." } } }

Product details

Patented technology
Our RabMAb® technology is a patented hybridoma-based technology for making rabbit monoclonal antibodies. For details on our patents, please refer to RabMAb® patents.

What are the advantages of a recombinant monoclonal antibody?
This product is a recombinant monoclonal antibody, which offers several advantages including:

  • - High batch-to-batch consistency and reproducibility
  • - Improved sensitivity and specificity
  • - Long-term security of supply
  • - Animal-free batch production

For more information, read more on recombinant antibodies.

Properties and storage information

Form
Liquid
Purification technique
Affinity purification Protein A
Storage buffer
pH: 7.2 - 7.4 Preservative: 0.01% Sodium azide Constituents: PBS, 40% Glycerol (glycerin, glycerine), 0.05% BSA
Shipped at conditions
Blue Ice
Appropriate short-term storage duration
1-2 weeks
Appropriate short-term storage conditions
+4°C
Appropriate long-term storage conditions
-20°C
Aliquoting information
Upon delivery aliquot
Storage information
Avoid freeze / thaw cycle

Supplementary information

This supplementary information is collated from multiple sources and compiled automatically.

The S1P1 receptor also known as EDG1 is a G-protein-coupled receptor that plays a significant role in the sphingosine-1-phosphate (S1P) signaling pathway. With a molecular mass of approximately 43 kDa S1P1 is expressed in various tissues such as vascular endothelial cells immune cells and cardiac cells. The protein mediates the effects of sphingosine-1-phosphate a bioactive lipid that participates in various physiological processes.
Biological function summary

S1P1 is involved in the regulation of immune cell trafficking and vascular stability. As a part of a receptor complex it activates intracellular signaling cascades that influence cell migration and vascular maturation. By binding to S1P S1P1 controls the egress of lymphocytes from lymphoid tissues indicating its important role in immune surveillance and response.

Pathways

S1P1 serves as an important component in the S1P signaling pathway and the phosphoinositide 3-kinase (PI3K) pathway. In the S1P pathway it regulates endothelial cell barrier function and vascular maturation. In the PI3K pathway S1P1 influences cell survival and migration which relates it to protein kinases like Akt and other signaling molecules that further modify cellular responses.

S1P1 is implicated in multiple sclerosis (MS) and cancer progression. In MS S1P1 modulation affects lymphocyte trafficking which is the mechanism behind the action of fingolimod (FTY720) a therapeutic agent for the disease. S1P1 also connects to VEGF and other angiogenic factors in cancer where it influences tumor angiogenesis and metastasis. Understanding these connections highlights the potential for targeting S1P1 in therapeutic strategies for these conditions.

Product protocols

For this product, it's our understanding that no specific protocols are required. You can visit:

Target data

G-protein coupled receptor for the bioactive lysosphingolipid sphingosine 1-phosphate (S1P) that seems to be coupled to the G(i) subclass of heteromeric G proteins. Signaling leads to the activation of RAC1, SRC, PTK2/FAK1 and MAP kinases. Plays an important role in cell migration, probably via its role in the reorganization of the actin cytoskeleton and the formation of lamellipodia in response to stimuli that increase the activity of the sphingosine kinase SPHK1. Required for normal chemotaxis toward sphingosine 1-phosphate. Required for normal embryonic heart development and normal cardiac morphogenesis. Plays an important role in the regulation of sprouting angiogenesis and vascular maturation. Inhibits sprouting angiogenesis to prevent excessive sprouting during blood vessel development. Required for normal egress of mature T-cells from the thymus into the blood stream and into peripheral lymphoid organs. Plays a role in the migration of osteoclast precursor cells, the regulation of bone mineralization and bone homeostasis (By similarity). Plays a role in responses to oxidized 1-palmitoyl-2-arachidonoyl-sn-glycero-3-phosphocholine by pulmonary endothelial cells and in the protection against ventilator-induced lung injury.
See full target information S1PR1

Publications (6)

Recent publications for all applications. Explore the full list and refine your search

F1000Research 13:792 PubMed40291769

2025

A guide to selecting high-performing antibodies for S1PR1 (UniProt ID: P21453) for use in western blot, immunoprecipitation, and immunofluorescence.

Applications

Unspecified application

Species

Unspecified reactive species

Riham Ayoubi,Maryam Fotouhi,Charles Alende,Sara González Bolívar,Kathleen Southern,Carl Laflamme

Molecular and cellular biology 44:178-193 PubMed38767243

2024

TCF12 Transcriptionally Activates SPHK1 to Induce Osteosarcoma Angiogenesis by Promoting the S1P/S1PR4/STAT3 Axis.

Applications

Unspecified application

Species

Unspecified reactive species

Wo Li,Jitong Liu,Ting Cai,Xia Hu

Molecular neurodegeneration 19:1 PubMed38172904

2024

Proteo-genomics of soluble TREM2 in cerebrospinal fluid provides novel insights and identifies novel modulators for Alzheimer's disease.

Applications

Unspecified application

Species

Unspecified reactive species

Lihua Wang,Niko-Petteri Nykänen,Daniel Western,Priyanka Gorijala,Jigyasha Timsina,Fuhai Li,Zhaohua Wang,Muhammad Ali,Chengran Yang,Menghan Liu,William Brock,Marta Marquié,Mercè Boada,Ignacio Alvarez,Miquel Aguilar,Pau Pastor,Agustín Ruiz,Raquel Puerta,Adelina Orellana,Jarod Rutledge,Hamilton Oh,Michael D Greicius,Yann Le Guen,Richard J Perrin,Tony Wyss-Coray,Angela Jefferson,Timothy J Hohman,Neill Graff-Radford,Hiroshi Mori,Alison Goate,Johannes Levin,Yun Ju Sung,Carlos Cruchaga

Disease markers 2022:9119423 PubMed36438896

2022

Triptolide Inhibits the Biological Processes of HUVECs and HepG2 Cells via the Serine Palmitoyltransferase Long Chain Base Subunit 2/Sphingosine-1-Phosphate Signaling Pathway.

Applications

Unspecified application

Species

Unspecified reactive species

Lulu Jia,Shengnan Zhu,Mingfei Zhu,Lingyue Huang,Siyuan Xu,Yuqin Luo,Juan Xiao,Huazhen Su,Shaoyuan Huang,Qinyou Tan

Frontiers in cellular and infection microbiology 12:1011378 PubMed36339341

2022

infection induces hepatobiliary injury disturbing sphingolipid metabolism and activating sphingosine 1-phosphate receptor 2.

Applications

Unspecified application

Species

Unspecified reactive species

Ji-Xin Liu,Man Liu,Guo-Zhi Yu,Qian-Qian Zhao,Jian-Ling Wang,Yan-Hong Sun,Stephane Koda,Beibei Zhang,Qian Yu,Chao Yan,Ren-Xian Tang,Zhi-Hua Jiang,Kui-Yang Zheng

Frontiers in immunology 12:660842 PubMed34484174

2021

A Novel Radioimmune Tc-Labeled Tracer for Imaging Sphingosine 1-Phosphate Receptor 1 in Tumor Xenografts: An and Study.

Applications

Unspecified application

Species

Unspecified reactive species

Min Ye,Yongkang Gai,Hao Ji,Yaqun Jiang,Pengxin Qiao,Wenxia Wang,Yongxue Zhang,Xiaotian Xia,Xiaoli Lan
View all publications

Product promise

We are committed to supporting your work with high-quality reagents, and we're here for you every step of the way. In the unlikely event that one of our products does not perform as expected, you're protected by our Product Promise.
For full details, please see our Terms & Conditions

Please note: All products are 'FOR RESEARCH USE ONLY. NOT FOR USE IN DIAGNOSTIC OR THERAPEUTIC PROCEDURES'.

For licensing inquiries, please contact partnerships@abcam.com