JavaScript is disabled in your browser. Please enable JavaScript to view this website.
AB239810

Anti-S6K1 antibody [E175] - BSA and Azide free

Be the first to review this product! Submit a review

|

(0 Publication)

Rabbit Recombinant Monoclonal KS6B1 antibody. Carrier free. Suitable for IHC-P, WB and reacts with Human, Mouse, Recombinant fragment - Human samples.

View Alternative Names

STK14A, Ribosomal protein S6 kinase beta-1, S6K-beta-1, S6K1, 70 kDa ribosomal protein S6 kinase 1, Ribosomal protein S6 kinase I, Serine/threonine-protein kinase 14A, p70 ribosomal S6 kinase alpha, P70S6K1, p70-S6K 1, p70 S6 kinase alpha, p70 S6K-alpha, p70 S6KA

5 Images
Western blot - Anti-S6K1 antibody [E175] - BSA and Azide free (AB239810)
  • WB

Unknown

Western blot - Anti-S6K1 antibody [E175] - BSA and Azide free (AB239810)

This data was developed using ab32359, the same antibody clone in a different buffer formulation.

All lanes:

Western blot - Anti-S6K1 antibody [E175] (<a href='/en-us/products/primary-antibodies/s6k1-antibody-e175-ab32359'>ab32359</a>)

All lanes:

HEK-293T (Human epithelial cell line from embryonic kidney transformed with large T antigen) whole cell lysate

Predicted band size: 59 kDa

false

Western blot - Anti-S6K1 antibody [E175] - BSA and Azide free (AB239810)
  • WB

Lab

Western blot - Anti-S6K1 antibody [E175] - BSA and Azide free (AB239810)

This data was developed using ab32359, the same antibody clone in a different buffer formulation. Western blot : Rabbit Monoclonal[E175] to S6K1 ab32359 staining at 1/5000 dilution, shown in green; Mouse anti GAPDH (ab8245) loading control staining at 1/20,000 dilution, shown in magenta. A band was observed at 60 kDa in Wild-type U-87 MG cell lysates with no signal observed at this size in RPS6KB1 knockout U-87 MG cell line. To generate this image, samples were run on an SDS-PAGE gel then transferred onto a nitrocellulose membrane. Membranes were blocked in 3pc Milk in TBS-0.1 % Tween® 20 (TBS-T) before incubation with primary antibodies overnight at 4°C. Blots were washed four times in TBS-T, incubated with secondary antibodies for 1 h at room temperature, washed again four times then imaged. Secondary antibodies used were Goat anti-Rabbit 800CW & Goat anti-Mouse 680RD at 1/20,000 dilution.

All lanes:

Western blot - Anti-S6K1 antibody [E175] (<a href='/en-us/products/primary-antibodies/s6k1-antibody-e175-ab32359'>ab32359</a>) at 1/5000 dilution

Lane 1:

Wild-type U-87 MG at 20 µg

Lane 2:

RPS6KB1 knockout U-87 MG at 20 µg

Secondary

All lanes:

Goat anti-Rabbit 800CW & Goat anti-Mouse 680RD at 1/20000 dilution

Predicted band size: 59 kDa

Observed band size: 60 kDa

false

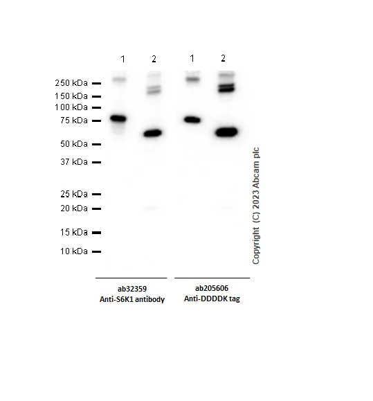
Western blot - Anti-S6K1 antibody [E175] - BSA and Azide free (AB239810)
  • WB

Lab

Western blot - Anti-S6K1 antibody [E175] - BSA and Azide free (AB239810)

This data was developed using ab32359, the same antibody clone in a different buffer formulation. Blocking and dilution buffer and concentration : 5% NFDM/TBST. ab205606 was also used at 1/1000 dilution to detect C-Myc/DDK tagged human S6K1 and S6K2 recombinant proteins shown on the right panel. ab32539 showed cross reactivity with S6K2 in recombinant protein testing. S6K1 and S6K2 have different observed band size in endogenous and recombinant protein tests.

Lanes 1 - 2:

Western blot - Anti-S6K1 antibody [E175] (<a href='/en-us/products/primary-antibodies/s6k1-antibody-e175-ab32359'>ab32359</a>) at 1/1000 dilution

Lanes 1 - 2:

Western blot - Anti-DDDDK tag (Binds to FLAG® tag sequence) antibody [EPR20018-251] (<a href='/en-us/products/primary-antibodies/ddddk-tag-binds-to-flag-tag-sequence-antibody-epr20018-251-ab205606'>ab205606</a>) at 1/1000 dilution

Lane 1:

C-Myc/DDK tagged human S6K1 recombinant protein at 10 ng

Lane 2:

C-Myc/DDK tagged human S6K2 recombinant protein at 10 ng

Secondary

All lanes:

Western blot - Goat Anti-Rabbit IgG H&L (HRP) (<a href='/en-us/products/secondary-antibodies/goat-rabbit-igg-h-l-hrp-ab97051'>ab97051</a>) at 1/20000 dilution

Predicted band size: 59 kDa

Observed band size: 75 kDa,60 kDa

false

Exposure time: 10s

Western blot - Anti-S6K1 antibody [E175] - BSA and Azide free (AB239810)
  • WB

Lab

Western blot - Anti-S6K1 antibody [E175] - BSA and Azide free (AB239810)

This data was developed using ab32359, the same antibody clone in a different buffer formulation.

Lane 1 : Wild-type HAP1 cell lysate (20 μg)
Lane 2 : S6K1 knockout HAP1 cell lysate (20 μg)
Lane 3 : MCF7 cell lysate (20 μg)
Lane 4 : HEK293 cell lysate (20 μg)
Lanes 1 - 4 : Merged signal (red and green). Green - ab32359 observed at 68 kDa. Red - loading control, ab8245, observed at 37 kDa.
ab32359 was shown to recognize S6K1 when S6K1 knockout samples were used, along with additional cross-reactive bands. Wild-type and S6K1 knockout samples were subjected to SDS-PAGE. ab32359 and ab8245 (loading control to GAPDH) were diluted 1/1000 and 1/10000 respectively and incubated overnight at 4°C. Blots were developed with goat anti-rabbit IgG (H + L) and goat anti-mouse IgG (H + L) secondary antibodies at 1/10000 dilution for 1 hour at room temperature before imaging.

false

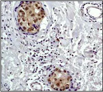
Immunohistochemistry (Formalin/PFA-fixed paraffin-embedded sections) - Anti-S6K1 antibody [E175] - BSA and Azide free (AB239810)
  • IHC-P

Unknown

Immunohistochemistry (Formalin/PFA-fixed paraffin-embedded sections) - Anti-S6K1 antibody [E175] - BSA and Azide free (AB239810)

Paraffin-embedded human breast carcinoma
ab32359 at 1/50 dilution

This data was developed using the same antibody clone in a different buffer formulation containing PBS, BSA, glycerol, and sodium azide (ab32359).

Perform heat mediated antigen retrieval with citrate buffer pH 6 before commencing with IHC staining protocol.

Key facts

Host species

Rabbit

Clonality

Monoclonal

Clone number

E175

Isotype

IgG

Carrier free

Yes

Reacts with

Mouse, Human

Applications

IHC-P, WB

applications

Immunogen

The exact immunogen used to generate this antibody is proprietary information.

Specificity

This antibody may detect both phosphorylated and non-phosphorylated forms of p70 S6 Kinase.

Reactivity data

{ "title": "Reactivity Data", "filters": { "stats": ["", "Species", "Dilution Info", "Notes"], "tabs": { "all-applications": {"fullname" : "All Applications", "shortname": "All Applications"}, "IHCP" : {"fullname" : "Immunohistochemistry (Formalin/PFA-fixed paraffin-embedded sections)", "shortname":"IHC-P"}, "ICCIF" : {"fullname" : "Immunocytochemistry/ Immunofluorescence", "shortname":"ICC/IF"}, "FlowCyt" : {"fullname" : "Flow Cytometry", "shortname":"Flow Cyt"}, "WB" : {"fullname" : "Western blot", "shortname":"WB"} }, "product-promise": { "all": "all", "testedAndGuaranteed": "tested", "guaranteed": "expected", "predicted": "predicted", "notRecommended": "not-recommended" } }, "values": { "Human": { "IHCP-species-checked": "testedAndGuaranteed", "IHCP-species-dilution-info": "", "IHCP-species-notes": "<p></p> Perform heat-mediated antigen retrieval with citrate buffer pH 6 before commencing with IHC staining protocol.", "ICCIF-species-checked": "notRecommended", "ICCIF-species-dilution-info": "", "ICCIF-species-notes": "<p></p>", "FlowCyt-species-checked": "notRecommended", "FlowCyt-species-dilution-info": "", "FlowCyt-species-notes": "<p></p>", "WB-species-checked": "testedAndGuaranteed", "WB-species-dilution-info": "", "WB-species-notes": "<p></p>" }, "Mouse": { "IHCP-species-checked": "guaranteed", "IHCP-species-dilution-info": "", "IHCP-species-notes": "<p></p> Perform heat-mediated antigen retrieval with citrate buffer pH 6 before commencing with IHC staining protocol.", "ICCIF-species-checked": "notRecommended", "ICCIF-species-dilution-info": "", "ICCIF-species-notes": "<p></p>", "FlowCyt-species-checked": "notRecommended", "FlowCyt-species-dilution-info": "", "FlowCyt-species-notes": "<p></p>", "WB-species-checked": "guaranteed", "WB-species-dilution-info": "", "WB-species-notes": "<p></p>" }, "Rat": { "IHCP-species-checked": "predicted", "IHCP-species-dilution-info": "", "IHCP-species-notes": "", "ICCIF-species-checked": "notRecommended", "ICCIF-species-dilution-info": "", "ICCIF-species-notes": "", "FlowCyt-species-checked": "notRecommended", "FlowCyt-species-dilution-info": "", "FlowCyt-species-notes": "", "WB-species-checked": "predicted", "WB-species-dilution-info": "", "WB-species-notes": "" }, "Cow": { "IHCP-species-checked": "predicted", "IHCP-species-dilution-info": "", "IHCP-species-notes": "", "ICCIF-species-checked": "notRecommended", "ICCIF-species-dilution-info": "", "ICCIF-species-notes": "", "FlowCyt-species-checked": "notRecommended", "FlowCyt-species-dilution-info": "", "FlowCyt-species-notes": "", "WB-species-checked": "predicted", "WB-species-dilution-info": "", "WB-species-notes": "" }, "Recombinant fragment - Human": { "IHCP-species-checked": "notRecommended", "IHCP-species-dilution-info": "", "IHCP-species-notes": "", "ICCIF-species-checked": "notRecommended", "ICCIF-species-dilution-info": "", "ICCIF-species-notes": "", "FlowCyt-species-checked": "notRecommended", "FlowCyt-species-dilution-info": "", "FlowCyt-species-notes": "", "WB-species-checked": "testedAndGuaranteed", "WB-species-dilution-info": "", "WB-species-notes": "<p></p>" } } }

Product details

ab239810 is the carrier-free version of ab32359.

Patented technology
Our RabMAb® technology is a patented hybridoma-based technology for making rabbit monoclonal antibodies. For details on our patents, please refer to RabMAb® patents.

What are the advantages of a recombinant monoclonal antibody?
This product is a recombinant monoclonal antibody, which offers several advantages including:

  • - High batch-to-batch consistency and reproducibility
  • - Improved sensitivity and specificity
  • - Long-term security of supply
  • - Animal-free batch production

For more information, read more on recombinant antibodies.

Conjugation ready
Our carrier-free antibodies are typically supplied in a PBS-only formulation, purified and free of BSA, sodium azide and glycerol. This conjugation-ready format is designed for use with fluorochromes, metal isotopes, oligonucleotides, and enzymes, which makes them ideal for antibody labelling, functional and cell-based assays, flow-based assays (e.g. mass cytometry) and Multiplex Imaging applications.

Use our conjugation kits for antibody conjugates that are ready-to-use in as little as 20 minutes with 1 minute hands-on-time and 100% antibody recovery: available for fluorescent dyes, HRP, biotin and gold.

Compatibility
This product is compatible with the Maxpar® Antibody Labeling Kit from Fluidigm, without the need for antibody preparation. Maxpar® is a trademark of Fluidigm Canada Inc.

Properties and storage information

Form
Liquid
Purification technique
Affinity purification Protein A
Storage buffer
pH: 7.2 - 7.4 Constituents: PBS
Shipped at conditions
Blue Ice
Appropriate short-term storage conditions
+4°C
Appropriate long-term storage conditions
+4°C
Storage information
Do Not Freeze

Supplementary information

This supplementary information is collated from multiple sources and compiled automatically.

S6K1 also known as p70S6K is a serine/threonine kinase involved in protein synthesis. The protein has a molecular weight of approximately 70 kDa. Scientists often examine the presence of S6K1 in various tissues as it is expressed ubiquitously in eukaryotic cells. This kinase plays an instrumental role in the regulation of cell growth proliferation and survival by phosphorylating ribosomal protein S6 and other targets. Researchers explore various cellular contexts where S6K1 activity is implicated due to its widespread expression and function.
Biological function summary

S6K1 functions as a downstream effector of the mammalian target of rapamycin (mTOR) complex specifically mTORC1. S6K1 interacts with several protein complexes enhancing its regulatory capacity in cellular activities. It modulates protein synthesis by phosphorylating substrates involved in translation. By controlling these processes S6K1 aids in cell size regulation and energy metabolism which are critical for maintaining cellular homeostasis and adaptation to nutrient availability.

Pathways

S6K1 plays an essential role in the mTOR signaling pathway a central regulator of cell growth and metabolism. S6K1 functions in close connection with proteins such as mTOR and Raptor within this pathway. Additionally it is involved in the insulin signaling pathway where it works with proteins like insulin receptor substrate (IRS). Both pathways highlight S6K1's role in nutrient sensing and response emphasizing its significance in energy and protein homeostasis.

S6K1 is associated with conditions such as cancer and type 2 diabetes. Dysregulation of S6K1 activity can lead to abnormal cell proliferation contributing to oncogenesis in various cancer types. Specifically altered signaling through pathways involving mTOR and Akt proteins connects S6K1 to cancer progression. In type 2 diabetes S6K1 affects insulin sensitivity where overactive S6K1 signaling leads to insulin resistance. Here interactions with insulin receptor substrate proteins highlight its influence on metabolic disorders underlining its critical role in disease pathology.

Product protocols

For this product, it's our understanding that no specific protocols are required. You can visit:

Target data

Serine/threonine-protein kinase that acts downstream of mTOR signaling in response to growth factors and nutrients to promote cell proliferation, cell growth and cell cycle progression (PubMed : 11500364, PubMed : 12801526, PubMed : 14673156, PubMed : 15071500, PubMed : 15341740, PubMed : 16286006, PubMed : 17052453, PubMed : 17053147, PubMed : 17936702, PubMed : 18952604, PubMed : 19085255, PubMed : 19720745, PubMed : 19935711, PubMed : 19995915, PubMed : 22017876, PubMed : 23429703, PubMed : 28178239). Regulates protein synthesis through phosphorylation of EIF4B, RPS6 and EEF2K, and contributes to cell survival by repressing the pro-apoptotic function of BAD (PubMed : 11500364, PubMed : 12801526, PubMed : 14673156, PubMed : 15071500, PubMed : 15341740, PubMed : 16286006, PubMed : 17052453, PubMed : 17053147, PubMed : 17936702, PubMed : 18952604, PubMed : 19085255, PubMed : 19720745, PubMed : 19935711, PubMed : 19995915, PubMed : 22017876, PubMed : 23429703, PubMed : 28178239). Under conditions of nutrient depletion, the inactive form associates with the EIF3 translation initiation complex (PubMed : 16286006). Upon mitogenic stimulation, phosphorylation by the mechanistic target of rapamycin complex 1 (mTORC1) leads to dissociation from the EIF3 complex and activation (PubMed : 16286006). The active form then phosphorylates and activates several substrates in the pre-initiation complex, including the EIF2B complex and the cap-binding complex component EIF4B (PubMed : 16286006). Also controls translation initiation by phosphorylating a negative regulator of EIF4A, PDCD4, targeting it for ubiquitination and subsequent proteolysis (PubMed : 17053147). Promotes initiation of the pioneer round of protein synthesis by phosphorylating POLDIP3/SKAR (PubMed : 15341740). In response to IGF1, activates translation elongation by phosphorylating EEF2 kinase (EEF2K), which leads to its inhibition and thus activation of EEF2 (PubMed : 11500364). Also plays a role in feedback regulation of mTORC2 by mTORC1 by phosphorylating RICTOR, resulting in the inhibition of mTORC2 and AKT1 signaling (PubMed : 19720745, PubMed : 19935711, PubMed : 19995915). Also involved in feedback regulation of mTORC1 and mTORC2 by phosphorylating DEPTOR (PubMed : 22017876). Mediates cell survival by phosphorylating the pro-apoptotic protein BAD and suppressing its pro-apoptotic function (By similarity). Phosphorylates mitochondrial URI1 leading to dissociation of a URI1-PPP1CC complex (PubMed : 17936702). The free mitochondrial PPP1CC can then dephosphorylate RPS6KB1 at Thr-412, which is proposed to be a negative feedback mechanism for the RPS6KB1 anti-apoptotic function (PubMed : 17936702). Mediates TNF-alpha-induced insulin resistance by phosphorylating IRS1 at multiple serine residues, resulting in accelerated degradation of IRS1 (PubMed : 18952604). In cells lacking functional TSC1-2 complex, constitutively phosphorylates and inhibits GSK3B (PubMed : 17052453). May be involved in cytoskeletal rearrangement through binding to neurabin (By similarity). Phosphorylates and activates the pyrimidine biosynthesis enzyme CAD, downstream of MTOR (PubMed : 23429703). Following activation by mTORC1, phosphorylates EPRS and thereby plays a key role in fatty acid uptake by adipocytes and also most probably in interferon-gamma-induced translation inhibition (PubMed : 28178239).
See full target information S6K1

Product promise

We are committed to supporting your work with high-quality reagents, and we're here for you every step of the way. In the unlikely event that one of our products does not perform as expected, you're protected by our Product Promise.
For full details, please see our Terms & Conditions

Associated Products

Select an associated product type
Alternative Product
Primary Antibodies

AB207399

Anti-S6K1 (phospho T449) antibody

primary-antibodies

s6k1-phospho-t449-antibody-ab207399

4

(1 reviews)

Alternative Product
Primary Antibodies

AB228513

Anti-S6K1 (phospho T398) antibody

primary-antibodies

s6k1-phospho-t398-antibody-ab228513

0

(0 reviews)

Alternative Product
Primary Antibodies

AB47379

Anti-S6K1 (phospho S424) antibody

primary-antibodies

s6k1-phospho-s424-antibody-ab47379

0

(0 reviews)

Alternative Product
Primary Antibodies

AB59208

Anti-S6K1 (phospho T229) antibody

primary-antibodies

s6k1-phospho-t229-antibody-ab59208

5

(2 reviews)

Alternative Product
Primary Antibodies

AB14708

Anti-S6K1 antibody

primary-antibodies

s6k1-antibody-ab14708

0

(0 reviews)

Alternative Product
Primary Antibodies

AB9366

Anti-S6K1 antibody

primary-antibodies

s6k1-antibody-ab9366

5

(8 reviews)

Alternative Product
Primary Antibodies

AB194521

Anti-S6K1 (phospho T389 + T412) antibody

primary-antibodies

s6k1-phospho-t389-t412-antibody-ab194521

0

(0 reviews)

Alternative Product
Primary Antibodies

AB131436

Anti-S6K1 (phospho S424) antibody

primary-antibodies

s6k1-phospho-s424-antibody-ab131436

0

(0 reviews)

Alternative Product
Primary Antibodies

AB131440

Anti-S6K1 antibody

primary-antibodies

s6k1-antibody-ab131440

0

(0 reviews)

Alternative Product
Primary Antibodies

AB131459

Anti-S6K1 (phospho S411) antibody

primary-antibodies

s6k1-phospho-s411-antibody-ab131459

0

(0 reviews)

Alternative Product
Primary Antibodies

AB5231

Anti-S6K1 (phospho T229) antibody

primary-antibodies

s6k1-phospho-t229-antibody-ab5231

0

(0 reviews)

Alternative Product
Primary Antibodies

AB264128

Anti-S6K1 antibody

primary-antibodies

s6k1-antibody-ab264128

0

(0 reviews)

Alternative Product
Primary Antibodies

AB227772

Anti-S6K1 antibody

primary-antibodies

s6k1-antibody-ab227772

0

(0 reviews)

Alternative Product
Primary Antibodies

AB32529

Anti-S6K1 antibody [E343]

primary-antibodies

s6k1-antibody-e343-ab32529

1

(1 reviews)

Alternative Product
Primary Antibodies

AB203558

Anti-S6K1 antibody [E343] - BSA and Azide free

primary-antibodies

s6k1-antibody-e343-bsa-and-azide-free-ab203558

0

(0 reviews)

Please note: All products are 'FOR RESEARCH USE ONLY. NOT FOR USE IN DIAGNOSTIC OR THERAPEUTIC PROCEDURES'.

For licensing inquiries, please contact partnerships@abcam.com