JavaScript is disabled in your browser. Please enable JavaScript to view this website.
AB131436

Anti-S6K1 (phospho S424) antibody

Be the first to review this product! Submit a review

|

(20 Publications)

Rabbit Polyclonal KS6B1 phospho S424 antibody. Suitable for WB, IHC-P, ICC/IF and reacts with Human samples. Cited in 20 publications. Immunogen corresponding to Synthetic Peptide within Human RPS6KB1 phospho S424 conjugated to Keyhole Limpet Haemocyanin.

View Alternative Names

STK14A, RPS6KB1, Ribosomal protein S6 kinase beta-1, S6K-beta-1, S6K1, 70 kDa ribosomal protein S6 kinase 1, Ribosomal protein S6 kinase I, Serine/threonine-protein kinase 14A, p70 ribosomal S6 kinase alpha, P70S6K1, p70-S6K 1, p70 S6 kinase alpha, p70 S6K-alpha, p70 S6KA

3 Images
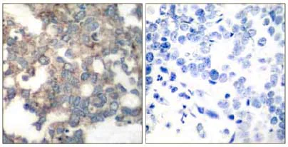
Immunohistochemistry (Formalin/PFA-fixed paraffin-embedded sections) - Anti-S6K1 (phospho S424) antibody (AB131436)
  • IHC-P

Unknown

Immunohistochemistry (Formalin/PFA-fixed paraffin-embedded sections) - Anti-S6K1 (phospho S424) antibody (AB131436)

Immunohistochemical analysis of paraffin-embedded Human breast carcinoma tissue labelling S6K (phospho S424) with ab131436 at 1/50 dilution. Right panel was preincubated with blocking peptide.

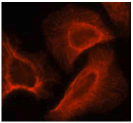
Immunocytochemistry/ Immunofluorescence - Anti-S6K1 (phospho S424) antibody (AB131436)
  • ICC/IF

Unknown

Immunocytochemistry/ Immunofluorescence - Anti-S6K1 (phospho S424) antibody (AB131436)

Immunofluorescent analysis of methanol-fixed HeLa cells labelling S6K (phospho S424) with ab131436 at 1/100 dilution.

Western blot - Anti-S6K1 (phospho S424) antibody (AB131436)
  • WB

Unknown

Western blot - Anti-S6K1 (phospho S424) antibody (AB131436)

All lanes:

Western blot - Anti-S6K1 (phospho S424) antibody (ab131436) at 1/500 dilution

Lane 1:

MCF7 cell extract untreated

Lane 2:

MCF7 cell extract treated with EGF

Predicted band size: 59 kDa

Observed band size: 70 kDa,85 kDa

false

Key facts

Host species

Rabbit

Clonality

Polyclonal

Isotype

IgG

Carrier free

No

Reacts with

Human

Applications

ICC/IF, WB, IHC-P

applications

Immunogen

Synthetic Peptide within Human RPS6KB1 phospho S424 conjugated to Keyhole Limpet Haemocyanin. The exact immunogen used to generate this antibody is proprietary information.

P23443

Specificity

ab131436 detects endogenous levels of S6K only when phosphorylated at serine 424.

Reactivity data

{ "title": "Reactivity Data", "filters": { "stats": ["", "Species", "Dilution Info", "Notes"], "tabs": { "all-applications": {"fullname" : "All Applications", "shortname": "All Applications"}, "WB" : {"fullname" : "Western blot", "shortname":"WB"}, "IHCP" : {"fullname" : "Immunohistochemistry (Formalin/PFA-fixed paraffin-embedded sections)", "shortname":"IHC-P"}, "ICCIF" : {"fullname" : "Immunocytochemistry/ Immunofluorescence", "shortname":"ICC/IF"} }, "product-promise": { "all": "all", "testedAndGuaranteed": "tested", "guaranteed": "expected", "predicted": "predicted", "notRecommended": "not-recommended" } }, "values": { "Human": { "WB-species-checked": "testedAndGuaranteed", "WB-species-dilution-info": "1/500 - 1/1000", "WB-species-notes": "<p></p>", "IHCP-species-checked": "testedAndGuaranteed", "IHCP-species-dilution-info": "1/50 - 1/100", "IHCP-species-notes": "<p></p>", "ICCIF-species-checked": "testedAndGuaranteed", "ICCIF-species-dilution-info": "1/100 - 1/200", "ICCIF-species-notes": "<p></p>" } } }

Properties and storage information

Form
Liquid
Purification technique
Affinity purification Immunogen
Purification notes
ab131436 was purified by affinity-chromatography using epitope-specific phosphopeptide. Non-phospho specific antibodies were removed by chromatography using non-phosphopeptide.
Storage buffer
pH: 7.4 Preservative: 0.02% Sodium azide Constituents: PBS, 50% Glycerol (glycerin, glycerine), 0.88% Sodium chloride
Shipped at conditions
Blue Ice
Appropriate short-term storage conditions
+4°C
Appropriate long-term storage conditions
-20°C
Storage information
Stable for 12 months at -20°C

Supplementary information

This supplementary information is collated from multiple sources and compiled automatically.

S6K1 also known as p70S6K is a serine/threonine kinase involved in protein synthesis. The protein has a molecular weight of approximately 70 kDa. Scientists often examine the presence of S6K1 in various tissues as it is expressed ubiquitously in eukaryotic cells. This kinase plays an instrumental role in the regulation of cell growth proliferation and survival by phosphorylating ribosomal protein S6 and other targets. Researchers explore various cellular contexts where S6K1 activity is implicated due to its widespread expression and function.
Biological function summary

S6K1 functions as a downstream effector of the mammalian target of rapamycin (mTOR) complex specifically mTORC1. S6K1 interacts with several protein complexes enhancing its regulatory capacity in cellular activities. It modulates protein synthesis by phosphorylating substrates involved in translation. By controlling these processes S6K1 aids in cell size regulation and energy metabolism which are critical for maintaining cellular homeostasis and adaptation to nutrient availability.

Pathways

S6K1 plays an essential role in the mTOR signaling pathway a central regulator of cell growth and metabolism. S6K1 functions in close connection with proteins such as mTOR and Raptor within this pathway. Additionally it is involved in the insulin signaling pathway where it works with proteins like insulin receptor substrate (IRS). Both pathways highlight S6K1's role in nutrient sensing and response emphasizing its significance in energy and protein homeostasis.

S6K1 is associated with conditions such as cancer and type 2 diabetes. Dysregulation of S6K1 activity can lead to abnormal cell proliferation contributing to oncogenesis in various cancer types. Specifically altered signaling through pathways involving mTOR and Akt proteins connects S6K1 to cancer progression. In type 2 diabetes S6K1 affects insulin sensitivity where overactive S6K1 signaling leads to insulin resistance. Here interactions with insulin receptor substrate proteins highlight its influence on metabolic disorders underlining its critical role in disease pathology.

Product protocols

For this product, it's our understanding that no specific protocols are required. You can visit:

Target data

Serine/threonine-protein kinase that acts downstream of mTOR signaling in response to growth factors and nutrients to promote cell proliferation, cell growth and cell cycle progression (PubMed : 11500364, PubMed : 12801526, PubMed : 14673156, PubMed : 15071500, PubMed : 15341740, PubMed : 16286006, PubMed : 17052453, PubMed : 17053147, PubMed : 17936702, PubMed : 18952604, PubMed : 19085255, PubMed : 19720745, PubMed : 19935711, PubMed : 19995915, PubMed : 22017876, PubMed : 23429703, PubMed : 28178239). Regulates protein synthesis through phosphorylation of EIF4B, RPS6 and EEF2K, and contributes to cell survival by repressing the pro-apoptotic function of BAD (PubMed : 11500364, PubMed : 12801526, PubMed : 14673156, PubMed : 15071500, PubMed : 15341740, PubMed : 16286006, PubMed : 17052453, PubMed : 17053147, PubMed : 17936702, PubMed : 18952604, PubMed : 19085255, PubMed : 19720745, PubMed : 19935711, PubMed : 19995915, PubMed : 22017876, PubMed : 23429703, PubMed : 28178239). Under conditions of nutrient depletion, the inactive form associates with the EIF3 translation initiation complex (PubMed : 16286006). Upon mitogenic stimulation, phosphorylation by the mechanistic target of rapamycin complex 1 (mTORC1) leads to dissociation from the EIF3 complex and activation (PubMed : 16286006). The active form then phosphorylates and activates several substrates in the pre-initiation complex, including the EIF2B complex and the cap-binding complex component EIF4B (PubMed : 16286006). Also controls translation initiation by phosphorylating a negative regulator of EIF4A, PDCD4, targeting it for ubiquitination and subsequent proteolysis (PubMed : 17053147). Promotes initiation of the pioneer round of protein synthesis by phosphorylating POLDIP3/SKAR (PubMed : 15341740). In response to IGF1, activates translation elongation by phosphorylating EEF2 kinase (EEF2K), which leads to its inhibition and thus activation of EEF2 (PubMed : 11500364). Also plays a role in feedback regulation of mTORC2 by mTORC1 by phosphorylating RICTOR, resulting in the inhibition of mTORC2 and AKT1 signaling (PubMed : 19720745, PubMed : 19935711, PubMed : 19995915). Also involved in feedback regulation of mTORC1 and mTORC2 by phosphorylating DEPTOR (PubMed : 22017876). Mediates cell survival by phosphorylating the pro-apoptotic protein BAD and suppressing its pro-apoptotic function (By similarity). Phosphorylates mitochondrial URI1 leading to dissociation of a URI1-PPP1CC complex (PubMed : 17936702). The free mitochondrial PPP1CC can then dephosphorylate RPS6KB1 at Thr-412, which is proposed to be a negative feedback mechanism for the RPS6KB1 anti-apoptotic function (PubMed : 17936702). Mediates TNF-alpha-induced insulin resistance by phosphorylating IRS1 at multiple serine residues, resulting in accelerated degradation of IRS1 (PubMed : 18952604). In cells lacking functional TSC1-2 complex, constitutively phosphorylates and inhibits GSK3B (PubMed : 17052453). May be involved in cytoskeletal rearrangement through binding to neurabin (By similarity). Phosphorylates and activates the pyrimidine biosynthesis enzyme CAD, downstream of MTOR (PubMed : 23429703). Following activation by mTORC1, phosphorylates EPRS and thereby plays a key role in fatty acid uptake by adipocytes and also most probably in interferon-gamma-induced translation inhibition (PubMed : 28178239).
See full target information RPS6KB1 phospho S424

Publications (20)

Recent publications for all applications. Explore the full list and refine your search

Journal of dairy science 107:3269-3279 PubMed37977448

2023

Evaluation of hepatic AMPK, mTORC1, and autophagy-lysosomal pathway in cows with mild or moderate fatty liver.

Applications

Unspecified application

Species

Unspecified reactive species

Xiliang Du,Meng Chen,Zhiyuan Fang,Qi Shao,Hao Yu,Xue Hao,Xinxing Gao,Lingxue Ju,Chenxu Li,Yuting Yang,Yuxiang Song,Lin Lei,Guowen Liu,Xinwei Li

Journal of cellular and molecular medicine 27:788-802 PubMed36811277

2023

DNA methylation and miR-92a-3p-mediated repression of HIP1R promotes pancreatic cancer progression by activating the PI3K/AKT pathway.

Applications

Unspecified application

Species

Unspecified reactive species

Sixian Zhu,Huiting Xu,Runzhi Chen,Qian Shen,Dongmei Yang,Hui Peng,Jin Tong,Qiang Fu

Cell death & disease 13:373 PubMed35440604

2022

xCT contributes to colorectal cancer tumorigenesis through upregulation of the MELK oncogene and activation of the AKT/mTOR cascade.

Applications

Unspecified application

Species

Unspecified reactive species

Bufu Tang,Jinyu Zhu,Fangming Liu,Jiayi Ding,Yajie Wang,Shiji Fang,Liyun Zheng,Rongfang Qiu,Minjiang Chen,Gaofeng Shu,Min Xu,Chenying Lu,Zhongwei Zhao,Yang Yang,Jiansong Ji

Journal of dairy science 105:4520-4533 PubMed35248377

2022

Overactivation of hepatic mechanistic target of rapamycin kinase complex 1 (mTORC1) is associated with low transcriptional activity of transcription factor EB and lysosomal dysfunction in dairy cows with clinical ketosis.

Applications

Unspecified application

Species

Unspecified reactive species

Zhiyuan Fang,Xinwei Li,Shu Wang,Qianming Jiang,Juan J Loor,Xiuhuan Jiang,Lingxue Ju,Hao Yu,Taiyu Shen,Men Chen,Yuxiang Song,Zhe Wang,Xiliang Du,Guowen Liu

Environmental toxicology 37:971-982 PubMed35187800

2022

Dysregulated pseudogene BNIP3P1 inhibited cell proliferation and promoted cell apoptosis in preeclampsia by acting as a competing endogenous RNA for BNIP3.

Applications

Unspecified application

Species

Unspecified reactive species

Haoyu Zheng,Mengna Shi,Zhenjing Chi,Haidong Wang,Hairong Wang,Dong Xu

Cell death & disease 13:146 PubMed35165269

2022

The synergistic antitumor effect of IL-6 neutralization with NVP-BEZ235 in hepatocellular carcinoma.

Applications

Unspecified application

Species

Unspecified reactive species

Yao Wang,Xiaolong Miao,Yuancong Jiang,Zelai Wu,Xuhang Zhu,Han Liu,Xiaoying Wu,Jinzhen Cai,Xianfeng Ding,Weihua Gong

Journal of translational medicine 20:47 PubMed35090513

2022

Downregulation of NEDD4L by EGFR signaling promotes the development of lung adenocarcinoma.

Applications

Unspecified application

Species

Unspecified reactive species

Guoyin Li,Zewen Song,Changjing Wu,XiaoYan Li,Liping Zhao,Binghua Tong,Zhenni Guo,Meiqing Sun,Jin Zhao,Huina Zhang,Lintao Jia,Shengqing Li,Lei Wang

Molecular therapy : the journal of the American Society of Gene Therapy 30:1054-1070 PubMed35038580

2022

Exosome-derived circTRPS1 promotes malignant phenotype and CD8+ T cell exhaustion in bladder cancer microenvironments.

Applications

Unspecified application

Species

Unspecified reactive species

Chen Yang,Siqi Wu,Zezhong Mou,Quan Zhou,Xiyu Dai,Yuxi Ou,Xinan Chen,Yiling Chen,Chenyang Xu,Yun Hu,Limin Zhang,Lujia Zou,Shengming Jin,Jimeng Hu,Shanhua Mao,Haowen Jiang

Journal of healthcare engineering 2022:2373580 PubMed35035814

2022

circRNA LDLRAD3 Enhances the Malignant Behaviors of NSCLC Cells via the miR-20a-5p-SLC7A5 Axis Activating the mTORC1 Signaling Pathway.

Applications

Unspecified application

Species

Unspecified reactive species

Yu Li,Guangle Qin,Jinyun Du,Peng Yue,Yanling Zhang,Na Hou

Animal cells and systems 25:283-295 PubMed34745435

2021

Se improves GPX4 expression and SOD activity to alleviate heat-stress-induced ferroptosis-like death in goat mammary epithelial cells.

Applications

Unspecified application

Species

Unspecified reactive species

Lu Liu,Manjiang Wang,Ning Gong,Peng Tian,Hongxia Deng
View all publications

Product promise

We are committed to supporting your work with high-quality reagents, and we're here for you every step of the way. In the unlikely event that one of our products does not perform as expected, you're protected by our Product Promise.
For full details, please see our Terms & Conditions

Please note: All products are 'FOR RESEARCH USE ONLY. NOT FOR USE IN DIAGNOSTIC OR THERAPEUTIC PROCEDURES'.

For licensing inquiries, please contact partnerships@abcam.com