JavaScript is disabled in your browser. Please enable JavaScript to view this website.
AB47379

Anti-S6K1 (phospho S424) antibody

Be the first to review this product! Submit a review

|

(2 Publications)

Rabbit Polyclonal KS6B1 phospho S424 antibody. Suitable for WB, IHC-P and reacts with Human samples. Cited in 2 publications. Immunogen corresponding to Synthetic Peptide within Human RPS6KB1 phospho S424 + T389 + T412 aa 400-500.

View Alternative Names

STK14A, RPS6KB1, Ribosomal protein S6 kinase beta-1, S6K-beta-1, S6K1, 70 kDa ribosomal protein S6 kinase 1, Ribosomal protein S6 kinase I, Serine/threonine-protein kinase 14A, p70 ribosomal S6 kinase alpha, P70S6K1, p70-S6K 1, p70 S6 kinase alpha, p70 S6K-alpha, p70 S6KA

2 Images
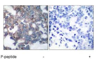
Immunohistochemistry (Formalin/PFA-fixed paraffin-embedded sections) - Anti-S6K1 (phospho S424) antibody (AB47379)
  • IHC-P

Unknown

Immunohistochemistry (Formalin/PFA-fixed paraffin-embedded sections) - Anti-S6K1 (phospho S424) antibody (AB47379)

ab47379 at 1/50 dilution staining paraffin-embedded human breast carcinoma tissue.

Western blot - Anti-S6K1 (phospho S424) antibody (AB47379)
  • WB

Unknown

Western blot - Anti-S6K1 (phospho S424) antibody (AB47379)

All lanes:

Western blot - Anti-S6K1 (phospho S424) antibody (ab47379) at 1 µg

Lane 1:

293 cell lysate

Lane 2:

293 cell lysate treated with serum (15%)

Predicted band size: 59 kDa

Observed band size: 59 kDa

false

Key facts

Host species

Rabbit

Clonality

Polyclonal

Isotype

IgG

Carrier free

No

Reacts with

Human

Applications

WB, IHC-P

applications

Immunogen

Synthetic Peptide within Human RPS6KB1 phospho S424 + T389 + T412 aa 400-500. The exact immunogen used to generate this antibody is proprietary information.

P23443

Specificity

Detects endogenous levels of p70 S6 Kinase only when phosphorylated at serine 424.

Reactivity data

{ "title": "Reactivity Data", "filters": { "stats": ["", "Species", "Dilution Info", "Notes"], "tabs": { "all-applications": {"fullname" : "All Applications", "shortname": "All Applications"}, "WB" : {"fullname" : "Western blot", "shortname":"WB"}, "IHCP" : {"fullname" : "Immunohistochemistry (Formalin/PFA-fixed paraffin-embedded sections)", "shortname":"IHC-P"} }, "product-promise": { "all": "all", "testedAndGuaranteed": "tested", "guaranteed": "expected", "predicted": "predicted", "notRecommended": "not-recommended" } }, "values": { "Human": { "WB-species-checked": "testedAndGuaranteed", "WB-species-dilution-info": "1/500 - 1/1000", "WB-species-notes": "<p></p>", "IHCP-species-checked": "testedAndGuaranteed", "IHCP-species-dilution-info": "", "IHCP-species-notes": "<p></p>" }, "Mouse": { "WB-species-checked": "predicted", "WB-species-dilution-info": "", "WB-species-notes": "", "IHCP-species-checked": "predicted", "IHCP-species-dilution-info": "", "IHCP-species-notes": "" }, "Rat": { "WB-species-checked": "predicted", "WB-species-dilution-info": "", "WB-species-notes": "", "IHCP-species-checked": "predicted", "IHCP-species-dilution-info": "", "IHCP-species-notes": "" } } }

Properties and storage information

Form
Liquid
Purification technique
Affinity purification Immunogen
Purification notes
The antibody was affinity-purified from rabbit antiserum by affinity-chromatography using epitope-specific phosphopeptide.
Storage buffer
pH: 7.4 Preservative: 0.02% Sodium azide Constituents: PBS, 50% Glycerol (glycerin, glycerine), 0.87% Sodium chloride
Shipped at conditions
Blue Ice
Appropriate short-term storage conditions
+4°C
Appropriate long-term storage conditions
-20°C
Aliquoting information
Upon delivery aliquot
Storage information
Avoid freeze / thaw cycle

Supplementary information

This supplementary information is collated from multiple sources and compiled automatically.

S6K1 also known as p70S6K is a serine/threonine kinase involved in protein synthesis. The protein has a molecular weight of approximately 70 kDa. Scientists often examine the presence of S6K1 in various tissues as it is expressed ubiquitously in eukaryotic cells. This kinase plays an instrumental role in the regulation of cell growth proliferation and survival by phosphorylating ribosomal protein S6 and other targets. Researchers explore various cellular contexts where S6K1 activity is implicated due to its widespread expression and function.
Biological function summary

S6K1 functions as a downstream effector of the mammalian target of rapamycin (mTOR) complex specifically mTORC1. S6K1 interacts with several protein complexes enhancing its regulatory capacity in cellular activities. It modulates protein synthesis by phosphorylating substrates involved in translation. By controlling these processes S6K1 aids in cell size regulation and energy metabolism which are critical for maintaining cellular homeostasis and adaptation to nutrient availability.

Pathways

S6K1 plays an essential role in the mTOR signaling pathway a central regulator of cell growth and metabolism. S6K1 functions in close connection with proteins such as mTOR and Raptor within this pathway. Additionally it is involved in the insulin signaling pathway where it works with proteins like insulin receptor substrate (IRS). Both pathways highlight S6K1's role in nutrient sensing and response emphasizing its significance in energy and protein homeostasis.

S6K1 is associated with conditions such as cancer and type 2 diabetes. Dysregulation of S6K1 activity can lead to abnormal cell proliferation contributing to oncogenesis in various cancer types. Specifically altered signaling through pathways involving mTOR and Akt proteins connects S6K1 to cancer progression. In type 2 diabetes S6K1 affects insulin sensitivity where overactive S6K1 signaling leads to insulin resistance. Here interactions with insulin receptor substrate proteins highlight its influence on metabolic disorders underlining its critical role in disease pathology.

Product protocols

For this product, it's our understanding that no specific protocols are required. You can visit:

Target data

Serine/threonine-protein kinase that acts downstream of mTOR signaling in response to growth factors and nutrients to promote cell proliferation, cell growth and cell cycle progression (PubMed : 11500364, PubMed : 12801526, PubMed : 14673156, PubMed : 15071500, PubMed : 15341740, PubMed : 16286006, PubMed : 17052453, PubMed : 17053147, PubMed : 17936702, PubMed : 18952604, PubMed : 19085255, PubMed : 19720745, PubMed : 19935711, PubMed : 19995915, PubMed : 22017876, PubMed : 23429703, PubMed : 28178239). Regulates protein synthesis through phosphorylation of EIF4B, RPS6 and EEF2K, and contributes to cell survival by repressing the pro-apoptotic function of BAD (PubMed : 11500364, PubMed : 12801526, PubMed : 14673156, PubMed : 15071500, PubMed : 15341740, PubMed : 16286006, PubMed : 17052453, PubMed : 17053147, PubMed : 17936702, PubMed : 18952604, PubMed : 19085255, PubMed : 19720745, PubMed : 19935711, PubMed : 19995915, PubMed : 22017876, PubMed : 23429703, PubMed : 28178239). Under conditions of nutrient depletion, the inactive form associates with the EIF3 translation initiation complex (PubMed : 16286006). Upon mitogenic stimulation, phosphorylation by the mechanistic target of rapamycin complex 1 (mTORC1) leads to dissociation from the EIF3 complex and activation (PubMed : 16286006). The active form then phosphorylates and activates several substrates in the pre-initiation complex, including the EIF2B complex and the cap-binding complex component EIF4B (PubMed : 16286006). Also controls translation initiation by phosphorylating a negative regulator of EIF4A, PDCD4, targeting it for ubiquitination and subsequent proteolysis (PubMed : 17053147). Promotes initiation of the pioneer round of protein synthesis by phosphorylating POLDIP3/SKAR (PubMed : 15341740). In response to IGF1, activates translation elongation by phosphorylating EEF2 kinase (EEF2K), which leads to its inhibition and thus activation of EEF2 (PubMed : 11500364). Also plays a role in feedback regulation of mTORC2 by mTORC1 by phosphorylating RICTOR, resulting in the inhibition of mTORC2 and AKT1 signaling (PubMed : 19720745, PubMed : 19935711, PubMed : 19995915). Also involved in feedback regulation of mTORC1 and mTORC2 by phosphorylating DEPTOR (PubMed : 22017876). Mediates cell survival by phosphorylating the pro-apoptotic protein BAD and suppressing its pro-apoptotic function (By similarity). Phosphorylates mitochondrial URI1 leading to dissociation of a URI1-PPP1CC complex (PubMed : 17936702). The free mitochondrial PPP1CC can then dephosphorylate RPS6KB1 at Thr-412, which is proposed to be a negative feedback mechanism for the RPS6KB1 anti-apoptotic function (PubMed : 17936702). Mediates TNF-alpha-induced insulin resistance by phosphorylating IRS1 at multiple serine residues, resulting in accelerated degradation of IRS1 (PubMed : 18952604). In cells lacking functional TSC1-2 complex, constitutively phosphorylates and inhibits GSK3B (PubMed : 17052453). May be involved in cytoskeletal rearrangement through binding to neurabin (By similarity). Phosphorylates and activates the pyrimidine biosynthesis enzyme CAD, downstream of MTOR (PubMed : 23429703). Following activation by mTORC1, phosphorylates EPRS and thereby plays a key role in fatty acid uptake by adipocytes and also most probably in interferon-gamma-induced translation inhibition (PubMed : 28178239).
See full target information RPS6KB1 phospho S424

Publications (2)

Recent publications for all applications. Explore the full list and refine your search

Frontiers in pharmacology 11:687 PubMed32508639

2020

Sodium Tanshinone II Sulfonate A Ameliorates Hypoxia-Induced Pulmonary Hypertension.

Applications

Unspecified application

Species

Unspecified reactive species

Ya-Ru Bao,Jing-Wei Chen,Yan Jiang,Lin-Hui Wang,Rong Xue,Jin-Xian Qian,Guo-Xing Zhang

Science translational medicine 6:252ra122 PubMed25186177

2014

Prostate cancer cell-stromal cell crosstalk via FGFR1 mediates antitumor activity of dovitinib in bone metastases.

Applications

Unspecified application

Species

Unspecified reactive species

Xinhai Wan,Paul G Corn,Jun Yang,Nallasivam Palanisamy,Michael W Starbuck,Eleni Efstathiou,Elsa M Li Ning Tapia,Elsa M Li-Ning Tapia,Amado J Zurita,Ana Aparicio,Murali K Ravoori,Elba S Vazquez,Dan R Robinson,Yi-Mi Wu,Xuhong Cao,Matthew K Iyer,Wallace McKeehan,Vikas Kundra,Fen Wang,Patricia Troncoso,Arul M Chinnaiyan,Christopher J Logothetis,Nora M Navone
View all publications

Product promise

We are committed to supporting your work with high-quality reagents, and we're here for you every step of the way. In the unlikely event that one of our products does not perform as expected, you're protected by our Product Promise.
For full details, please see our Terms & Conditions

Please note: All products are 'FOR RESEARCH USE ONLY. NOT FOR USE IN DIAGNOSTIC OR THERAPEUTIC PROCEDURES'.

For licensing inquiries, please contact partnerships@abcam.com