JavaScript is disabled in your browser. Please enable JavaScript to view this website.
AB323272

Anti-S6K1 (phospho T389) antibody [EPR24766-9]

  • Recombinant
  • KO Validated
  • 20ul selling size
  • RabMAb
  • What is this?

Be the first to review this product! Submit a review

|

(0 Publication)

Rabbit Recombinant Monoclonal KS6B1 phospho T389 antibody. Suitable for Dot, WB and reacts with Synthetic peptide - Human, Human, Mouse samples.

View Alternative Names

STK14A, RPS6KB1, Ribosomal protein S6 kinase beta-1, S6K-beta-1, S6K1, 70 kDa ribosomal protein S6 kinase 1, Ribosomal protein S6 kinase I, Serine/threonine-protein kinase 14A, p70 ribosomal S6 kinase alpha, P70S6K1, p70-S6K 1, p70 S6 kinase alpha, p70 S6K-alpha, p70 S6KA

4 Images
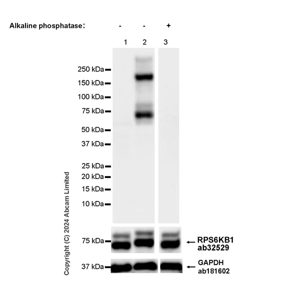
Western blot - Anti-S6K1 (phospho T389) antibody [EPR24766-9] (AB323272)
  • WB

Supplier Data

Western blot - Anti-S6K1 (phospho T389) antibody [EPR24766-9] (AB323272)

Blocking and diluting buffer and concentration : 5% NFDM/TBST.

The identity of the higher MW band at approximately 150 kDa (in lane 2) is unknown.

In Western blot, Anti-GAPDH antibody [EPR16891] - Loading Control (ab181602) staining at 1/200000 dilution.

In Western blot, Anti-RPS6KB1 antibody [E343] (ab32529) staining at 1/1000 dilution.

All lanes:

Western blot - Anti-S6K1 (phospho T389) antibody [EPR24766-9] (ab323272) at 1/1000 dilution

Lane 1:

Untreated HeLa (human cervical adenocarcinoma epithelial cell) whole cell lysate at 50 µg

Lane 2:

Hela treated with 100nM Calycin A for 30min whole cell lysate at 50 µg

Lane 3:

Hela treated with 100nM Calycin A for 30min whole cell lysate (alkaline phosphatase treated membrane) at 50 µg

Secondary

All lanes:

Western blot - Goat Anti-Rabbit IgG H&L (HRP) (<a href='/en-us/products/secondary-antibodies/goat-rabbit-igg-h-l-hrp-ab97051'>ab97051</a>) at 1/20000 dilution

Observed band size: 60-80 kDa,36 kDa

false

Exposure time: 37s

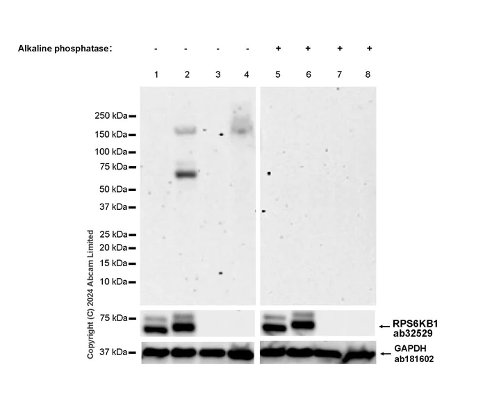
Western blot - Anti-S6K1 (phospho T389) antibody [EPR24766-9] (AB323272)
  • WB

Supplier Data

Western blot - Anti-S6K1 (phospho T389) antibody [EPR24766-9] (AB323272)

Blocking and diluting buffer and concentration : 5% NFDM/TBST.

Performed under reducing conditions.

In Western blot, ab323272 was shown to bind specifically to RPS6KB1. Target of interest was observed at 60–80kDa in wild-type HAP1 cell lysates (lane 2) with no signal observed at this size in RPS6KB1 knockout cell line (lane 4).

The identity of the higher MW band at approximately 150 kDa (in lanes 2/4) is unknown.

In Western blot, Anti-GAPDH antibody [EPR16891] - Loading Control (ab181602) staining at 1/200000 dilution.

In Western blot, Anti-RPS6KB1 antibody [E343] (ab32529) staining at 1/1000 dilution.

All lanes:

Western blot - Anti-S6K1 (phospho T389) antibody [EPR24766-9] (ab323272) at 1/1000 dilution

Lane 1:

HAP1(HOWT01) (human chronic myelogenous leukemia near-haploid cell) whole cell lysate at 50 µg

Lane 2:

Parental HAP1(HOWT01) treated with 100nM Calycin A for 30min whole cell lysate at 50 µg

Lane 3:

Untreated RPS6KB1 knockout HAP1 whole cell lysate at 50 µg

Lane 4:

RPS6KB1 knockout HAP1 treated with 100nM Calycin A whole cell lysate at 50 µg

Lane 5:

Untreated parental HAP1(HOWT01) (human chronic myelogenous leukemia near-haploid cell) whole cell lysate (alkaline phosphatase treated membrane) at 50 µg

Lane 6:

Parental HAP1(HOWT01) treated with 100nM Calyculin A for 30min whole cell lysate (alkaline phosphatase treated membrane) at 50 µg

Lane 7:

Untreated RPS6KB1 knockout HAP1 whole cell lysate (alkaline phosphatase treated membrane) at 50 µg

Lane 8:

RPS6KB1 knockout HAP1 treated with 100nM Calyculin A whole cell lysate (alkaline phosphatase treated membrane) at 50 µg

Secondary

All lanes:

Western blot - Goat Anti-Rabbit IgG H&L (HRP) (<a href='/en-us/products/secondary-antibodies/goat-rabbit-igg-h-l-hrp-ab97051'>ab97051</a>) at 1/100000 dilution

Observed band size: 60-80 kDa,36 kDa

false

Exposure time: 180s

Western blot - Anti-S6K1 (phospho T389) antibody [EPR24766-9] (AB323272)
  • WB

Lab

Western blot - Anti-S6K1 (phospho T389) antibody [EPR24766-9] (AB323272)

Blocking and diluting buffer and concentration : 5% NFDM/TBST.

In Western blot, Anti-GAPDH antibody [EPR16891] - Loading Control (ab181602) staining at 1/200000 dilution.

In Western blot, Anti-RPS6KB1 antibody [E343] - Total protein control (ab32529) staining at 1/1000 dilution.

The identity of the bands at approximately 150 kDa (in lane 2) and at approximately 30 kDa (in lanes 1-2) are unknown.

All lanes:

Western blot - Anti-S6K1 (phospho T389) antibody [EPR24766-9] (ab323272) at 1/1000 dilution

Lane 1:

Untreated NIH/3T3 (mouse embryonic fibroblast) starved overnight, whole cell lysate at 20 µg

Lane 2:

NIH/3T3 starved overnight, then treated with 100nM Calyculin A for 30min whole cell lysate at 20 µg

Secondary

All lanes:

Western blot - Goat Anti-Rabbit IgG H&L (HRP) (<a href='/en-us/products/secondary-antibodies/goat-rabbit-igg-h-l-hrp-ab97051'>ab97051</a>) at 1/200000 dilution

Observed band size: 60-80 kDa

false

Exposure time: 180s

Dot Blot - Anti-S6K1 (phospho T389) antibody [EPR24766-9] (AB323272)
  • Dot

Supplier Data

Dot Blot - Anti-S6K1 (phospho T389) antibody [EPR24766-9] (AB323272)

Dot blot analysis of S6K1 (phospho T389) using ab323272 at 1 : 1000 (0.48 ug/ml) followed by a VeriBlot for IP secondary antibody (HRP) (ab131366) at 1 : 5000 dilution.

Lane1 : Ribosomal protein S6 kinase beta-1/p70 S6K (phospho T389) peptide
Lane2 : Ribosomal protein S6 kinase beta-1/p70 S6K non-phospho peptide
Lane3 : Ribosomal protein S6 kinase beta-1/p70 S6K (phospho S393) peptide
Lane4 : Ribosomal protein S6 kinase beta-1/p70 S6K (phospho Y390) peptide

Exposure time : 180 seconds.

Blocking and diluting buffer and concentration : 5% NFDM/TBST.

All lanes:

Dot Blot - Anti-S6K1 (phospho T389) antibody [EPR24766-9] (ab323272) at 1/1000 dilution

Lane 1:

Ribosomal protein S6 kinase beta-1/p70 S6K (phospho T389) peptide

Lane 2:

Ribosomal protein S6 kinase beta-1/p70 S6K non-phospho peptide

Lane 3:

Ribosomal protein S6 kinase beta-1/p70 S6K (phospho S393) peptide

Lane 4:

Ribosomal protein S6 kinase beta-1/p70 S6K (phospho Y390) peptide

Secondary

All lanes:

Dot Blot - VeriBlot for IP Detection Reagent (HRP) (<a href='/en-us/products/reagents/veriblot-for-ip-detection-reagent-hrp-ab131366'>ab131366</a>) at 1/5000 dilution

false

Exposure time: 180s

Key facts

Host species

Rabbit

Clonality

Monoclonal

Clone number

EPR24766-9

Isotype

IgG

Carrier free

No

Reacts with

Human, Mouse

Applications

WB, Dot

applications

Immunogen

The exact immunogen used to generate this antibody is proprietary information.

Reactivity data

{ "title": "Reactivity Data", "filters": { "stats": ["", "Species", "Dilution Info", "Notes"], "tabs": { "all-applications": {"fullname" : "All Applications", "shortname": "All Applications"}, "Dot" : {"fullname" : "Dot Blot", "shortname":"Dot"}, "WB" : {"fullname" : "Western blot", "shortname":"WB"}, "ICCIF" : {"fullname" : "Immunocytochemistry/ Immunofluorescence", "shortname":"ICC/IF"}, "IHCP" : {"fullname" : "Immunohistochemistry (Formalin/PFA-fixed paraffin-embedded sections)", "shortname":"IHC-P"} }, "product-promise": { "all": "all", "testedAndGuaranteed": "tested", "guaranteed": "expected", "predicted": "predicted", "notRecommended": "not-recommended" } }, "values": { "Human": { "Dot-species-checked": "guaranteed", "Dot-species-dilution-info": "", "Dot-species-notes": "", "WB-species-checked": "testedAndGuaranteed", "WB-species-dilution-info": "1/1000", "WB-species-notes": "<p></p>", "ICCIF-species-checked": "notRecommended", "ICCIF-species-dilution-info": "", "ICCIF-species-notes": "<p></p>", "IHCP-species-checked": "notRecommended", "IHCP-species-dilution-info": "", "IHCP-species-notes": "<p></p>" }, "Mouse": { "Dot-species-checked": "guaranteed", "Dot-species-dilution-info": "", "Dot-species-notes": "", "WB-species-checked": "testedAndGuaranteed", "WB-species-dilution-info": "1/1000", "WB-species-notes": "<p></p>", "ICCIF-species-checked": "notRecommended", "ICCIF-species-dilution-info": "", "ICCIF-species-notes": "<p></p>", "IHCP-species-checked": "notRecommended", "IHCP-species-dilution-info": "", "IHCP-species-notes": "<p></p>" }, "Rat": { "Dot-species-checked": "notRecommended", "Dot-species-dilution-info": "", "Dot-species-notes": "", "WB-species-checked": "notRecommended", "WB-species-dilution-info": "", "WB-species-notes": "<p></p>", "ICCIF-species-checked": "notRecommended", "ICCIF-species-dilution-info": "", "ICCIF-species-notes": "<p></p>", "IHCP-species-checked": "notRecommended", "IHCP-species-dilution-info": "", "IHCP-species-notes": "<p></p>" }, "Synthetic peptide - Human": { "Dot-species-checked": "testedAndGuaranteed", "Dot-species-dilution-info": "1/1000", "Dot-species-notes": "<p></p>", "WB-species-checked": "notRecommended", "WB-species-dilution-info": "", "WB-species-notes": "", "ICCIF-species-checked": "notRecommended", "ICCIF-species-dilution-info": "", "ICCIF-species-notes": "", "IHCP-species-checked": "notRecommended", "IHCP-species-dilution-info": "", "IHCP-species-notes": "" } } }

Product details

Patented technology
Our RabMAb® technology is a patented hybridoma-based technology for making rabbit monoclonal antibodies. For details on our patents, please refer to RabMAb® patents.

What are the advantages of a recombinant monoclonal antibody?
This product is a recombinant monoclonal antibody, which offers several advantages including:

  • - High batch-to-batch consistency and reproducibility
  • - Improved sensitivity and specificity
  • - Long-term security of supply
  • - Animal-free batch production

For more information, read more on recombinant antibodies.

Properties and storage information

Form
Liquid
Purification technique
Affinity purification Protein A
Storage buffer
pH: 7.2 - 7.4 Preservative: 0.01% Sodium azide Constituents: PBS, 40% Glycerol (glycerin, glycerine), 0.05% BSA
Shipped at conditions
Blue Ice
Appropriate short-term storage duration
1-2 weeks
Appropriate short-term storage conditions
+4°C
Appropriate long-term storage conditions
-20°C
Aliquoting information
Upon delivery aliquot
Storage information
Avoid freeze / thaw cycle

Product protocols

For this product, it's our understanding that no specific protocols are required. You can visit:

Target data

Serine/threonine-protein kinase that acts downstream of mTOR signaling in response to growth factors and nutrients to promote cell proliferation, cell growth and cell cycle progression (PubMed : 11500364, PubMed : 12801526, PubMed : 14673156, PubMed : 15071500, PubMed : 15341740, PubMed : 16286006, PubMed : 17052453, PubMed : 17053147, PubMed : 17936702, PubMed : 18952604, PubMed : 19085255, PubMed : 19720745, PubMed : 19935711, PubMed : 19995915, PubMed : 22017876, PubMed : 23429703, PubMed : 28178239). Regulates protein synthesis through phosphorylation of EIF4B, RPS6 and EEF2K, and contributes to cell survival by repressing the pro-apoptotic function of BAD (PubMed : 11500364, PubMed : 12801526, PubMed : 14673156, PubMed : 15071500, PubMed : 15341740, PubMed : 16286006, PubMed : 17052453, PubMed : 17053147, PubMed : 17936702, PubMed : 18952604, PubMed : 19085255, PubMed : 19720745, PubMed : 19935711, PubMed : 19995915, PubMed : 22017876, PubMed : 23429703, PubMed : 28178239). Under conditions of nutrient depletion, the inactive form associates with the EIF3 translation initiation complex (PubMed : 16286006). Upon mitogenic stimulation, phosphorylation by the mechanistic target of rapamycin complex 1 (mTORC1) leads to dissociation from the EIF3 complex and activation (PubMed : 16286006). The active form then phosphorylates and activates several substrates in the pre-initiation complex, including the EIF2B complex and the cap-binding complex component EIF4B (PubMed : 16286006). Also controls translation initiation by phosphorylating a negative regulator of EIF4A, PDCD4, targeting it for ubiquitination and subsequent proteolysis (PubMed : 17053147). Promotes initiation of the pioneer round of protein synthesis by phosphorylating POLDIP3/SKAR (PubMed : 15341740). In response to IGF1, activates translation elongation by phosphorylating EEF2 kinase (EEF2K), which leads to its inhibition and thus activation of EEF2 (PubMed : 11500364). Also plays a role in feedback regulation of mTORC2 by mTORC1 by phosphorylating RICTOR, resulting in the inhibition of mTORC2 and AKT1 signaling (PubMed : 19720745, PubMed : 19935711, PubMed : 19995915). Also involved in feedback regulation of mTORC1 and mTORC2 by phosphorylating DEPTOR (PubMed : 22017876). Mediates cell survival by phosphorylating the pro-apoptotic protein BAD and suppressing its pro-apoptotic function (By similarity). Phosphorylates mitochondrial URI1 leading to dissociation of a URI1-PPP1CC complex (PubMed : 17936702). The free mitochondrial PPP1CC can then dephosphorylate RPS6KB1 at Thr-412, which is proposed to be a negative feedback mechanism for the RPS6KB1 anti-apoptotic function (PubMed : 17936702). Mediates TNF-alpha-induced insulin resistance by phosphorylating IRS1 at multiple serine residues, resulting in accelerated degradation of IRS1 (PubMed : 18952604). In cells lacking functional TSC1-2 complex, constitutively phosphorylates and inhibits GSK3B (PubMed : 17052453). May be involved in cytoskeletal rearrangement through binding to neurabin (By similarity). Phosphorylates and activates the pyrimidine biosynthesis enzyme CAD, downstream of MTOR (PubMed : 23429703). Following activation by mTORC1, phosphorylates EPRS and thereby plays a key role in fatty acid uptake by adipocytes and also most probably in interferon-gamma-induced translation inhibition (PubMed : 28178239).
See full target information RPS6KB1 phospho T389

Product promise

We are committed to supporting your work with high-quality reagents, and we're here for you every step of the way. In the unlikely event that one of our products does not perform as expected, you're protected by our Product Promise.
For full details, please see our Terms & Conditions

Please note: All products are 'FOR RESEARCH USE ONLY. NOT FOR USE IN DIAGNOSTIC OR THERAPEUTIC PROCEDURES'.

For licensing inquiries, please contact partnerships@abcam.com