JavaScript is disabled in your browser. Please enable JavaScript to view this website.
AB246988

Anti-SA1 antibody

Be the first to review this product! Submit a review

|

(2 Publications)

Rabbit Polyclonal SA1 antibody. Suitable for IHC-P, ICC/IF, WB and reacts with Human, Mouse, Rat samples. Cited in 2 publications. Immunogen corresponding to Recombinant Fragment Protein within Human STAG1 aa 1-100.

View Alternative Names

SA1, SCC3, STAG1, Cohesin subunit SA-1, SCC3 homolog 1, Stromal antigen 1

7 Images
Immunocytochemistry/ Immunofluorescence - Anti-SA1 antibody (AB246988)
  • ICC/IF

Unknown

Immunocytochemistry/ Immunofluorescence - Anti-SA1 antibody (AB246988)

PFA-fixed, Triton X-100 permeabilized A431 (human epidermoid carcinoma cell line) cells stained for SA1 (green) using ab246988 at 4 μg/ml in ICC.

Immunohistochemistry (Formalin/PFA-fixed paraffin-embedded sections) - Anti-SA1 antibody (AB246988)
  • IHC-P

Supplier Data

Immunohistochemistry (Formalin/PFA-fixed paraffin-embedded sections) - Anti-SA1 antibody (AB246988)

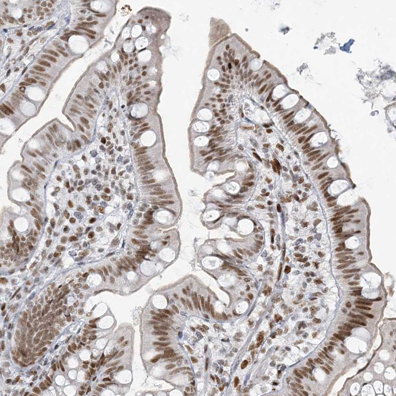
Immunohistochemistry (Formalin/PFA-fixed paraffin-embedded sections) analysis of human small intestine tissue labeling SA1 with ab246988 at 1/50 dilution. Heat mediated antigen retrieval performed with citrate buffer pH 6 before commencing with IHC staining protocol.

Immunohistochemistry (Formalin/PFA-fixed paraffin-embedded sections) - Anti-SA1 antibody (AB246988)
  • IHC-P

Supplier Data

Immunohistochemistry (Formalin/PFA-fixed paraffin-embedded sections) - Anti-SA1 antibody (AB246988)

Immunohistochemistry (Formalin/PFA-fixed paraffin-embedded sections) analysis of human endometrium tissue labeling SA1 with ab246988 at 1/50 dilution. Heat mediated antigen retrieval performed with citrate buffer pH 6 before commencing with IHC staining protocol.

Immunohistochemistry (Formalin/PFA-fixed paraffin-embedded sections) - Anti-SA1 antibody (AB246988)
  • IHC-P

Supplier Data

Immunohistochemistry (Formalin/PFA-fixed paraffin-embedded sections) - Anti-SA1 antibody (AB246988)

Immunohistochemistry (Formalin/PFA-fixed paraffin-embedded sections) analysis of human fallopian tube tissue labeling SA1 with ab246988 at 1/50 dilution. Heat mediated antigen retrieval performed with citrate buffer pH 6 before commencing with IHC staining protocol.

Immunohistochemistry (Formalin/PFA-fixed paraffin-embedded sections) - Anti-SA1 antibody (AB246988)
  • IHC-P

Supplier Data

Immunohistochemistry (Formalin/PFA-fixed paraffin-embedded sections) - Anti-SA1 antibody (AB246988)

Immunohistochemistry (Formalin/PFA-fixed paraffin-embedded sections) analysis of human prostate tissue labeling SA1 with ab246988 at 1/50 dilution. Heat mediated antigen retrieval performed with citrate buffer pH 6 before commencing with IHC staining protocol.

Western blot - Anti-SA1 antibody (AB246988)
  • WB

Unknown

Western blot - Anti-SA1 antibody (AB246988)

Remaining relatve intensity is shown. Loading control : GAPDH.

All lanes:

Western blot - Anti-SA1 antibody (ab246988) at 0.4 µg/mL

Lane 1:

U-138 MG (Human glioblastoma) transfected with control siRNA, whole cell lysate

Lane 2:

U-138 MG transfected with target-specific siRNA #1, whole cell lysate

Lane 3:

U-138 MG transfected with target-specific siRNA #2, whole cell lysate

Predicted band size: 144 kDa

false

Western blot - Anti-SA1 antibody (AB246988)
  • WB

Unknown

Western blot - Anti-SA1 antibody (AB246988)

All lanes:

Western blot - Anti-SA1 antibody (ab246988) at 0.4 µg/mL

Lane 1:

NIH/3T3 (mouse embryo fibroblast cell line) whole cell lysate

Lane 2:

NBT-II (rat Wistar bladder tumor cell line) whole cell lysate

Predicted band size: 144 kDa

false

Key facts

Host species

Rabbit

Clonality

Polyclonal

Isotype

IgG

Carrier free

No

Reacts with

Mouse, Rat, Human

Applications

IHC-P, ICC/IF, WB

applications

Immunogen

Recombinant Fragment Protein within Human STAG1 aa 1-100. The exact immunogen used to generate this antibody is proprietary information.

Q8WVM7

Reactivity data

{ "title": "Reactivity Data", "filters": { "stats": ["", "Species", "Dilution Info", "Notes"], "tabs": { "all-applications": {"fullname" : "All Applications", "shortname": "All Applications"}, "IHCP" : {"fullname" : "Immunohistochemistry (Formalin/PFA-fixed paraffin-embedded sections)", "shortname":"IHC-P"}, "ICCIF" : {"fullname" : "Immunocytochemistry/ Immunofluorescence", "shortname":"ICC/IF"}, "WB" : {"fullname" : "Western blot", "shortname":"WB"} }, "product-promise": { "all": "all", "testedAndGuaranteed": "tested", "guaranteed": "expected", "predicted": "predicted", "notRecommended": "not-recommended" } }, "values": { "Human": { "IHCP-species-checked": "testedAndGuaranteed", "IHCP-species-dilution-info": "1/50 - 1/200", "IHCP-species-notes": "<p></p> Perform heat-mediated antigen retrieval with citrate buffer pH 6 before commencing with IHC staining protocol.", "ICCIF-species-checked": "testedAndGuaranteed", "ICCIF-species-dilution-info": "", "ICCIF-species-notes": "<p>Fixation/Permeabilization: PFA/Triton X-100.</p>", "WB-species-checked": "testedAndGuaranteed", "WB-species-dilution-info": "0.04-0.4 µg/mL", "WB-species-notes": "<p></p>" }, "Mouse": { "IHCP-species-checked": "guaranteed", "IHCP-species-dilution-info": "", "IHCP-species-notes": "", "ICCIF-species-checked": "guaranteed", "ICCIF-species-dilution-info": "", "ICCIF-species-notes": "", "WB-species-checked": "testedAndGuaranteed", "WB-species-dilution-info": "0.04-0.4 µg/mL", "WB-species-notes": "<p></p>" }, "Rat": { "IHCP-species-checked": "guaranteed", "IHCP-species-dilution-info": "", "IHCP-species-notes": "", "ICCIF-species-checked": "guaranteed", "ICCIF-species-dilution-info": "", "ICCIF-species-notes": "", "WB-species-checked": "testedAndGuaranteed", "WB-species-dilution-info": "0.25-2 µg/mL", "WB-species-notes": "<p></p>" } } }

Properties and storage information

Form
Liquid
Purification technique
Affinity purification Immunogen
Storage buffer
pH: 7.2 Preservative: 0.02% Sodium azide Constituents: PBS, 40% Glycerol (glycerin, glycerine)
Shipped at conditions
Blue Ice
Appropriate short-term storage duration
1-2 weeks
Appropriate short-term storage conditions
+4°C
Appropriate long-term storage conditions
-20°C
Aliquoting information
Upon delivery aliquot
Storage information
Avoid freeze / thaw cycle

Supplementary information

This supplementary information is collated from multiple sources and compiled automatically.

SA1 also known as Stromal Antigen 1 or cohesin subunit SA-1 plays a role in chromosome segregation and sister chromatid cohesion. It has a molecular weight of approximately 130 kDa. SA1 shows expression in various tissues with notable levels in the nucleus of dividing cells. The protein functions as a part of the cohesin complex contributing to its role in regulating the structure and function of chromosomes.
Biological function summary

SA1 works within the cohesin complex alongside other subunits such as SMC1 SMC3 and Rad21. This complex maintains sister chromatid cohesion ensuring proper chromosome alignment and separation during mitosis and meiosis. SA1's interaction within the cohesin complex helps modulate its ability to regulate transcription DNA repair and chromosome organization.

Pathways

SA1 participates in the cohesin pathway which is essential for cell cycle regulation and genomic stability. SA1 interacts with other proteins such as CTCF to facilitate chromosomal loop formation influencing gene expression. Additionally it operates within the DNA damage response pathway aiding in the repair processes by coordinating cohesin-dependent repair mechanisms and maintaining genomic stability.

SA1 has implications in Cornelia de Lange Syndrome (CdLS) and certain cancers. Mutations or dysregulation of SA1 can lead to CdLS a developmental disorder characterized by growth abnormalities and cognitive challenges where Rad21 also plays a role. Moreover altered SA1 expression or function associates with tumorigenesis as its role in chromosome segregation and stability is critical in avoiding aneuploidy and chromosomal instability typical in cancer progression.

Product protocols

For this product, it's our understanding that no specific protocols are required. You can visit:

Target data

Component of cohesin complex, a complex required for the cohesion of sister chromatids after DNA replication. The cohesin complex apparently forms a large proteinaceous ring within which sister chromatids can be trapped. At anaphase, the complex is cleaved and dissociates from chromatin, allowing sister chromatids to segregate. The cohesin complex may also play a role in spindle pole assembly during mitosis.
See full target information STAG1

Publications (2)

Recent publications for all applications. Explore the full list and refine your search

Journal of translational medicine 21:464 PubMed37438854

2023

Elevated CHCHD4 orchestrates mitochondrial oxidative phosphorylation to disturb hypoxic pulmonary hypertension.

Applications

Unspecified application

Species

Unspecified reactive species

Yu Wang,Zhenyu Zeng,Zhaoxiang Zeng,Guojun Chu,Xinghua Shan

FEBS open bio 12:1857-1874 PubMed36052535

2022

A cohesin-associated gene score may predict immune checkpoint blockade in hepatocellular carcinoma.

Applications

Unspecified application

Species

Unspecified reactive species

Cui-Zhen Liu,Jian-Di Li,Gang Chen,Rong-Quan He,Rui Lin,Zhi-Guang Huang,Jian-Jun Li,Xiu-Fang Du,Xiao-Ping Lv
View all publications

Product promise

We are committed to supporting your work with high-quality reagents, and we're here for you every step of the way. In the unlikely event that one of our products does not perform as expected, you're protected by our Product Promise.
For full details, please see our Terms & Conditions

Please note: All products are 'FOR RESEARCH USE ONLY. NOT FOR USE IN DIAGNOSTIC OR THERAPEUTIC PROCEDURES'.

For licensing inquiries, please contact partnerships@abcam.com