JavaScript is disabled in your browser. Please enable JavaScript to view this website.
AB252782

Anti-SA1 antibody [SUSI63B] - BSA and Azide free

Be the first to review this product! Submit a review

|

(0 Publication)

Rat Recombinant Monoclonal SA1 antibody. Carrier free. Suitable for WB, IHC-P and reacts with Rat, Human, Mouse samples.

View Alternative Names

SA1, SCC3, STAG1, Cohesin subunit SA-1, SCC3 homolog 1, Stromal antigen 1

5 Images
Immunohistochemistry (Formalin/PFA-fixed paraffin-embedded sections) - Anti-SA1 antibody [SUSI63B] - BSA and Azide free (AB252782)
  • IHC-P

Supplier Data

Immunohistochemistry (Formalin/PFA-fixed paraffin-embedded sections) - Anti-SA1 antibody [SUSI63B] - BSA and Azide free (AB252782)

Immunohistochemical analysis of paraffin-embedded human pancreas tissue labeling SA1 with ab241544 at 0.765 μg/ml, followed by ready to use Goat Anti-Rat IgG H&L (HRP polymer) (ab214882). Nuclear staining on human pancreas tissue is observed. Counterstained with hematoxylin.

Secondary antibody only control : Used PBS instead of primary antibody, followed by ready to use Goat Anti-Rat IgG H&L (HRP polymer) (ab214882). Heat mediated antigen retrieval using ab93684 (Tris/EDTA buffer, pH 9.0).

This data was developed using the same antibody clone in a different buffer formulation containing PBS, BSA, glycerol, and sodium azide (ab241544).

Immunohistochemistry (Formalin/PFA-fixed paraffin-embedded sections) - Anti-SA1 antibody [SUSI63B] - BSA and Azide free (AB252782)
  • IHC-P

Supplier Data

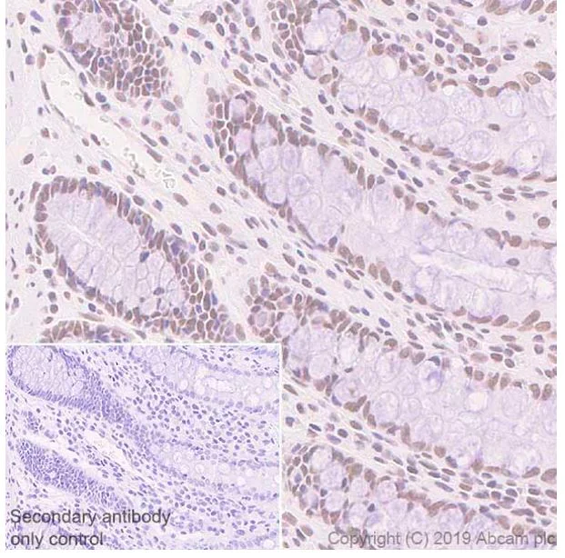
Immunohistochemistry (Formalin/PFA-fixed paraffin-embedded sections) - Anti-SA1 antibody [SUSI63B] - BSA and Azide free (AB252782)

Immunohistochemical analysis of paraffin-embedded human colon tissue labeling SA1 with ab241544 at 0.765 μg/ml , followed by ready to use Goat Anti-Rat IgG H&L (HRP polymer) (ab214882). Nuclear staining on human colon tissue is observed. Counterstained with hematoxylin.

Secondary antibody only control : Used PBS instead of primary antibody, followed by ready to use Goat Anti-Rat IgG H&L (HRP polymer) (ab214882). Heat mediated antigen retrieval using ab93684 (Tris/EDTA buffer, pH 9.0).

This data was developed using the same antibody clone in a different buffer formulation containing PBS, BSA, glycerol, and sodium azide (ab241544).

Immunohistochemistry (Formalin/PFA-fixed paraffin-embedded sections) - Anti-SA1 antibody [SUSI63B] - BSA and Azide free (AB252782)
  • IHC-P

Supplier Data

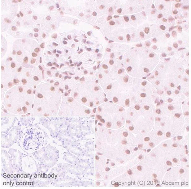
Immunohistochemistry (Formalin/PFA-fixed paraffin-embedded sections) - Anti-SA1 antibody [SUSI63B] - BSA and Azide free (AB252782)

Immunohistochemical analysis of paraffin-embedded mouse kidney tissue labeling SA1 with ab241544 at 0.765 μg/ml, followed by ready to use Goat Anti-Rat IgG H&L (HRP polymer) (ab214882). Nuclear staining on mouse kidney tissue is observed. Counterstained with hematoxylin.

Secondary antibody only control : Used PBS instead of primary antibody, followed by ready to use Goat Anti-Rat IgG H&L (HRP polymer) (ab214882). Heat mediated antigen retrieval using ab93684 (Tris/EDTA buffer, pH 9.0).

This data was developed using the same antibody clone in a different buffer formulation containing PBS, BSA, glycerol, and sodium azide (ab241544).

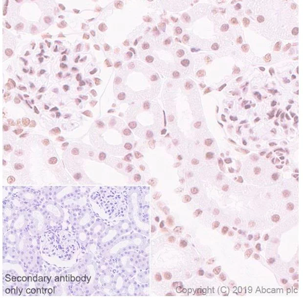
Immunohistochemistry (Formalin/PFA-fixed paraffin-embedded sections) - Anti-SA1 antibody [SUSI63B] - BSA and Azide free (AB252782)
  • IHC-P

Supplier Data

Immunohistochemistry (Formalin/PFA-fixed paraffin-embedded sections) - Anti-SA1 antibody [SUSI63B] - BSA and Azide free (AB252782)

Immunohistochemical analysis of paraffin-embedded rat kidney tissue labeling SA1 with ab241544 at 0.765 μg/ml, followed by ready to use Goat Anti-Rat IgG H&L (HRP polymer) (ab214882). Nuclear staining on rat kidney tissue is observed. Counterstained with hematoxylin.

Secondary antibody only control : Used PBS instead of primary antibody, followed by ready to use Goat Anti-Rat IgG H&L (HRP polymer) (ab214882). Heat mediated antigen retrieval using ab93684 (Tris/EDTA buffer, pH 9.0).

This data was developed using the same antibody clone in a different buffer formulation containing PBS, BSA, glycerol, and sodium azide (ab241544).

Western blot - Anti-SA1 antibody [SUSI63B] - BSA and Azide free (AB252782)
  • WB

Supplier Data

Western blot - Anti-SA1 antibody [SUSI63B] - BSA and Azide free (AB252782)

Blocking/Dilution buffer : 5% NFDM/TBST.

The expression profile/ molecular weight observed is consistent with what has been described in the literature (PMID : 22715410).

This data was developed using the same antibody clone in a different buffer formulation containing PBS, BSA, glycerol, and sodium azide (ab241544).

All lanes:

Western blot - Anti-SA1 antibody [SUSI63B] (<a href='/en-us/products/primary-antibodies/sa1-antibody-susi63b-ab241544'>ab241544</a>) at 1/1000 dilution

Lane 1:

Jurkat (human T cell leukemia T lymphocyte) whole cell lysate at 10 µg

Lane 2:

MOLT-4 (human lymphoblastic leukemia T lymphoblast), whole cell lysate at 10 µg

Lane 3:

MCF7 (human breast adenocarcinoma epithelial cell), whole cell lysate at 10 µg

Lane 4:

A431 (human epidermoid carcinoma epithelial cell), whole cell lysate at 10 µg

Lane 5:

TF-1 (human Erythroleukemia erythroblast), whole cell lysate at 10 µg

Lane 6:

RAW264.7 (mouse Abelson murine leukemia virus-induced tumor macrophage), whole cell lysate at 10 µg

Lane 7:

PC-12 (rat adrenal gland pheochromocytoma), whole cell lysate at 10 µg

Secondary

All lanes:

Western blot - Goat Anti-Rat IgG H&L (HRP) (<a href='/en-us/products/secondary-antibodies/goat-rat-igg-h-l-hrp-ab205720'>ab205720</a>) at 1/10000 dilution

Predicted band size: 144 kDa

false

Exposure time: 3s

Key facts

Host species

Rat

Clonality

Monoclonal

Clone number

SUSI63B

Isotype

IgG2a

Carrier free

Yes

Reacts with

Mouse, Rat, Human

Applications

IHC-P, WB

applications

Immunogen

The exact immunogen used to generate this antibody is proprietary information.

Reactivity data

{ "title": "Reactivity Data", "filters": { "stats": ["", "Species", "Dilution Info", "Notes"], "tabs": { "all-applications": {"fullname" : "All Applications", "shortname": "All Applications"}, "WB" : {"fullname" : "Western blot", "shortname":"WB"}, "IHCP" : {"fullname" : "Immunohistochemistry (Formalin/PFA-fixed paraffin-embedded sections)", "shortname":"IHC-P"} }, "product-promise": { "all": "all", "testedAndGuaranteed": "tested", "guaranteed": "expected", "predicted": "predicted", "notRecommended": "not-recommended" } }, "values": { "Human": { "WB-species-checked": "testedAndGuaranteed", "WB-species-dilution-info": "0.153 µg/mL", "WB-species-notes": "<p></p>", "IHCP-species-checked": "testedAndGuaranteed", "IHCP-species-dilution-info": "0.765 µg/mL", "IHCP-species-notes": "<p></p>" }, "Mouse": { "WB-species-checked": "guaranteed", "WB-species-dilution-info": "", "WB-species-notes": "", "IHCP-species-checked": "testedAndGuaranteed", "IHCP-species-dilution-info": "0.765 µg/mL", "IHCP-species-notes": "<p></p>" }, "Rat": { "WB-species-checked": "testedAndGuaranteed", "WB-species-dilution-info": "0.153 µg/mL", "WB-species-notes": "<p></p>", "IHCP-species-checked": "testedAndGuaranteed", "IHCP-species-dilution-info": "0.765 µg/mL", "IHCP-species-notes": "<p></p>" } } }

Product details

ab252782 is the carrier-free version of ab241544.

What are the advantages of a recombinant monoclonal antibody?
This product is a recombinant monoclonal antibody, which offers several advantages including:

  • - High batch-to-batch consistency and reproducibility
  • - Improved sensitivity and specificity
  • - Long-term security of supply
  • - Animal-free batch production

For more information, read more on recombinant antibodies.

Want a custom formulation?
This antibody clone is manufactured by Abcam. If you require a custom buffer formulation or conjugation for your experiments, please contact orders@abcam.com

Conjugation ready
Our carrier-free antibodies are typically supplied in a PBS-only formulation, purified and free of BSA, sodium azide and glycerol. This conjugation-ready format is designed for use with fluorochromes, metal isotopes, oligonucleotides, and enzymes, which makes them ideal for antibody labelling, functional and cell-based assays, flow-based assays (e.g. mass cytometry) and Multiplex Imaging applications.

Use our conjugation kits for antibody conjugates that are ready-to-use in as little as 20 minutes with 1 minute hands-on-time and 100% antibody recovery: available for fluorescent dyes, HRP, biotin and gold.

Compatibility
This product is compatible with the Maxpar® Antibody Labeling Kit from Fluidigm, without the need for antibody preparation. Maxpar® is a trademark of Fluidigm Canada Inc.

Properties and storage information

Form
Liquid
Purification technique
Ion exchange chromatography
Storage buffer
pH: 7.2 - 7.4 Constituents: PBS
Shipped at conditions
Blue Ice
Appropriate short-term storage conditions
+4°C
Appropriate long-term storage conditions
+4°C
Storage information
Do Not Freeze

Supplementary information

This supplementary information is collated from multiple sources and compiled automatically.

SA1 also known as Stromal Antigen 1 or cohesin subunit SA-1 plays a role in chromosome segregation and sister chromatid cohesion. It has a molecular weight of approximately 130 kDa. SA1 shows expression in various tissues with notable levels in the nucleus of dividing cells. The protein functions as a part of the cohesin complex contributing to its role in regulating the structure and function of chromosomes.
Biological function summary

SA1 works within the cohesin complex alongside other subunits such as SMC1 SMC3 and Rad21. This complex maintains sister chromatid cohesion ensuring proper chromosome alignment and separation during mitosis and meiosis. SA1's interaction within the cohesin complex helps modulate its ability to regulate transcription DNA repair and chromosome organization.

Pathways

SA1 participates in the cohesin pathway which is essential for cell cycle regulation and genomic stability. SA1 interacts with other proteins such as CTCF to facilitate chromosomal loop formation influencing gene expression. Additionally it operates within the DNA damage response pathway aiding in the repair processes by coordinating cohesin-dependent repair mechanisms and maintaining genomic stability.

SA1 has implications in Cornelia de Lange Syndrome (CdLS) and certain cancers. Mutations or dysregulation of SA1 can lead to CdLS a developmental disorder characterized by growth abnormalities and cognitive challenges where Rad21 also plays a role. Moreover altered SA1 expression or function associates with tumorigenesis as its role in chromosome segregation and stability is critical in avoiding aneuploidy and chromosomal instability typical in cancer progression.

Product protocols

For this product, it's our understanding that no specific protocols are required. You can visit:

Target data

Component of cohesin complex, a complex required for the cohesion of sister chromatids after DNA replication. The cohesin complex apparently forms a large proteinaceous ring within which sister chromatids can be trapped. At anaphase, the complex is cleaved and dissociates from chromatin, allowing sister chromatids to segregate. The cohesin complex may also play a role in spindle pole assembly during mitosis.
See full target information STAG1

Product promise

We are committed to supporting your work with high-quality reagents, and we're here for you every step of the way. In the unlikely event that one of our products does not perform as expected, you're protected by our Product Promise.
For full details, please see our Terms & Conditions

Please note: All products are 'FOR RESEARCH USE ONLY. NOT FOR USE IN DIAGNOSTIC OR THERAPEUTIC PROCEDURES'.

For licensing inquiries, please contact partnerships@abcam.com