JavaScript is disabled in your browser. Please enable JavaScript to view this website.
AB201451

Anti-SA2 antibody [EPR17865] - C-terminal

5

(2 Reviews)

|

(3 Publications)

Rabbit Recombinant Monoclonal SA2 antibody. C-terminal. Suitable for WB, ICC/IF, Flow Cyt (Intra), IHC-P and reacts with Mouse, Rat, Human samples. Cited in 3 publications.

View Alternative Names

SA2, STAG2, Cohesin subunit SA-2, SCC3 homolog 2, Stromal antigen 2

12 Images
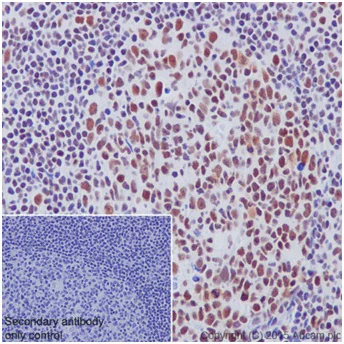
Immunohistochemistry (Formalin/PFA-fixed paraffin-embedded sections) - Anti-SA2 antibody [EPR17865] - C-terminal (AB201451)
  • IHC-P

Supplier Data

Immunohistochemistry (Formalin/PFA-fixed paraffin-embedded sections) - Anti-SA2 antibody [EPR17865] - C-terminal (AB201451)

Immunohistochemical analysis of paraffin-embedded Human breast carcinoma tissue labeling SA2 using ab201451 at 1/2000 dilution. A Goat Anti-Rabbit IgG H&L (HRP) (ab97051) was used as secondary at 1/500 dilution. Counterstain : Hematoxylin.
Inset image : negative control obtained using PBS instead of ab201451, and secondary antibody only.
Note : Nuclear staining on Human breast carcinoma tissue was observed.

Perform heat mediated antigen retrieval with Tris/EDTA buffer pH 9.0 before commencing with IHC staining protocol.

Immunocytochemistry/ Immunofluorescence - Anti-SA2 antibody [EPR17865] - C-terminal (AB201451)
  • ICC/IF

Supplier Data

Immunocytochemistry/ Immunofluorescence - Anti-SA2 antibody [EPR17865] - C-terminal (AB201451)

Immunofluorescent analysis of 4% paraformaldehyde-fixed, 0.1% Triton X-100 permeabilized MCF7 (Human breast adenocarcinoma cell line) cells labeling SA2 with ab201451 at 1/500 dilution, followed by Goat anti-rabbit IgG (Alexa Fluor® 488) (ab150077) secondary antibody at 1/500 dilution (green).

Confocal image showing nuclear staining on MCF7 cell line.

The nuclear counter stain is DAPI (blue). Tubulin is detected with ab7291 (anti-Tubulin mouse mAb) at 1/1000 dilution and ab150120 (AlexaFluor®594 Goat anti-Mouse secondary) at 1/500 dilution (red).
The negative controls are as follows :
1. ab201451 at 1/500 dilution followed by ab150120 (AlexaFluor®594 Goat anti-Mouse secondary) at 1/500 dilution.
2. ab7291 (anti-Tubulin mouse mAb) at 1/1000 dilution followed by ab150077 (Alexa Fluor®488 Goat Anti-Rabbit IgG H&L) at 1/500 dilution.

Immunocytochemistry/ Immunofluorescence - Anti-SA2 antibody [EPR17865] - C-terminal (AB201451)
  • ICC/IF

Supplier Data

Immunocytochemistry/ Immunofluorescence - Anti-SA2 antibody [EPR17865] - C-terminal (AB201451)

Immunofluorescent analysis of 4% paraformaldehyde-fixed, 0.1% Triton X-100 permeabilized K562 (Human chronic myelogenous leukemia cells from bone marrow) cells labeling SA2 with ab201451 at 1/500 dilution, followed by Goat anti-rabbit IgG (Alexa Fluor® 488) (ab150077) secondary antibody at 1/500 dilution (green).

Confocal image showing nuclear staining on K562 cell line.

The nuclear counter stain is DAPI (blue). Tubulin is detected with ab7291 (anti-Tubulin mouse mAb) at 1/1000 dilution and ab150120 (AlexaFluor®594 Goat anti-Mouse secondary) at 1/500 dilution (red).
The negative controls are as follows :
1. ab201451 at 1/500 dilution followed by ab150120 (AlexaFluor®594 Goat anti-Mouse secondary) at 1/500 dilution.
2. ab7291 (anti-Tubulin mouse mAb) at 1/1000 dilution followed by ab150077 (Alexa Fluor®488 Goat Anti-Rabbit IgG H&L) at 1/500 dilution.

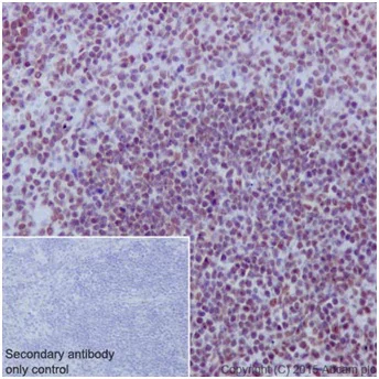
Immunohistochemistry (Formalin/PFA-fixed paraffin-embedded sections) - Anti-SA2 antibody [EPR17865] - C-terminal (AB201451)
  • IHC-P

Supplier Data

Immunohistochemistry (Formalin/PFA-fixed paraffin-embedded sections) - Anti-SA2 antibody [EPR17865] - C-terminal (AB201451)

Immunohistochemical analysis of paraffin-embedded Human tonsil tissue labeling SA2 using ab201451 at 1/2000 dilution. A Goat Anti-Rabbit IgG H&L (HRP) (ab97051) was used as secondary at 1/500 dilution. Counterstain : Hematoxylin.
Inset image : negative control obtained using PBS instead of ab201451, and secondary antibody.
Note : Nuclear staining on Human tonsil tissue was observed.

Perform heat mediated antigen retrieval with Tris/EDTA buffer pH 9.0 before commencing with IHC staining protocol.

Flow Cytometry (Intracellular) - Anti-SA2 antibody [EPR17865] - C-terminal (AB201451)
  • Flow Cyt (Intra)

Unknown

Flow Cytometry (Intracellular) - Anti-SA2 antibody [EPR17865] - C-terminal (AB201451)

Intracellular Flow Cytometry analysis of K562 (human chronic myelogenous leukemia) labelling SA2 with purified ab201451 at 1/25000 (red). Cells were fixed with 4% paraformaldehyde and permeabilised with 90% methanol. Alexa Fluor® 488 goat anti-rabbit IgG (1/2000) was used as the secondary antibody. Black - Isotype control, rabbit monoclonal IgG. Blue - Unlabelled control, cells without incubation with primary and secondary antibodies.

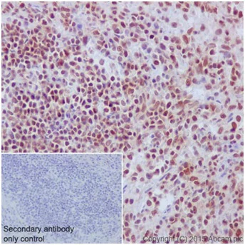
Immunohistochemistry (Formalin/PFA-fixed paraffin-embedded sections) - Anti-SA2 antibody [EPR17865] - C-terminal (AB201451)
  • IHC-P

Supplier Data

Immunohistochemistry (Formalin/PFA-fixed paraffin-embedded sections) - Anti-SA2 antibody [EPR17865] - C-terminal (AB201451)

Immunohistochemical analysis of paraffin-embedded mouse spleen tissue labeling SA2 using ab201451 at 1/2000 dilution. A Goat Anti-Rabbit IgG H&L (HRP) (ab97051) was used as secondary at 1/500 dilution. Counterstain : Hematoxylin.
Inset image : negative control obtained using PBS instead of ab201451, and secondary antibody.
Note : Nuclear staining on mouse spleen tissue was observed.

Perform heat mediated antigen retrieval with Tris/EDTA buffer pH 9.0 before commencing with IHC staining protocol.

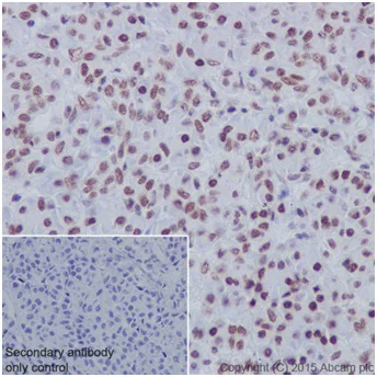
Immunohistochemistry (Formalin/PFA-fixed paraffin-embedded sections) - Anti-SA2 antibody [EPR17865] - C-terminal (AB201451)
  • IHC-P

Supplier Data

Immunohistochemistry (Formalin/PFA-fixed paraffin-embedded sections) - Anti-SA2 antibody [EPR17865] - C-terminal (AB201451)

Immunohistochemical analysis of paraffin-embedded rat spleen tissue labeling SA2 using ab201451 at 1/2000 dilution. A Goat Anti-Rabbit IgG H&L (HRP) (ab97051) was used as secondary at 1/500 dilution. Counterstain : Hematoxylin.
Inset image : negative control obtained using PBS instead of ab201451, and secondary antibody.
Note : Nuclear staining on rat spleen tissue was observed.

Perform heat mediated antigen retrieval with Tris/EDTA buffer pH 9.0 before commencing with IHC staining protocol.

Western blot - Anti-SA2 antibody [EPR17865] - C-terminal (AB201451)
  • WB

Supplier Data

Western blot - Anti-SA2 antibody [EPR17865] - C-terminal (AB201451)

5% NFDM/TBST : Blocking and diluting buffer.

All lanes:

Western blot - Anti-SA2 antibody [EPR17865] - C-terminal (ab201451) at 1/1000 dilution

All lanes:

Human fetal brain lysate at 10 µg

Secondary

All lanes:

Anti-Rabbit IgG (HRP), specific to the non-reduced form of IgG at 1/1000 dilution

Predicted band size: 141 kDa

Observed band size: 141 kDa

false

Exposure time: 1min

Western blot - Anti-SA2 antibody [EPR17865] - C-terminal (AB201451)
  • WB

Supplier Data

Western blot - Anti-SA2 antibody [EPR17865] - C-terminal (AB201451)

5% NFDM/TBST : Blocking and diluting buffer.

All lanes:

Western blot - Anti-SA2 antibody [EPR17865] - C-terminal (ab201451) at 1/10000 dilution

Lane 1:

MCF-7 (Human breast adenocarcinoma cell line) cell lysate at 10 µg

Lane 2:

K562 (Human chronic myelogenous leukemia cells from bone marrow) cell lysate at 10 µg

Secondary

All lanes:

Goat Anti-Rabbit IgG, (H+L), Peroxidase conjugated at 1/1000 dilution

Predicted band size: 141 kDa

Observed band size: 141 kDa

false

Exposure time: 3min

Western blot - Anti-SA2 antibody [EPR17865] - C-terminal (AB201451)
  • WB

Lab

Western blot - Anti-SA2 antibody [EPR17865] - C-terminal (AB201451)

Lanes 1-3 : Merged signal (red and green). Green - ab201451 observed at 141 kDa. Red - loading control ab8245 observed at 36 kDa.

ab201451 Anti-SA2 antibody [EPR17865] - C-terminal was shown to specifically react with SA2 in wild-type HeLa cells. Loss of signal was observed when knockout cell line ab265461 (knockout cell lysate ab257707) was used. Wild-type and SA2 knockout samples were subjected to SDS-PAGE. ab201451 and Anti-GAPDH antibody [6C5] - Loading Control (ab8245) were incubated overnight at 4°C at 1 in 1000 dilution and 1 in 20000 dilution respectively. Blots were developed with Goat anti-Rabbit IgG H&L (IRDye® 800CW) preadsorbed (ab216773) and Goat anti-Mouse IgG H&L (IRDye® 680RD) preadsorbed (ab216776) secondary antibodies at 1 in 20000 dilution for 1 hour at room temperature before imaging.

All lanes:

Western blot - Anti-SA2 antibody [EPR17865] - C-terminal (ab201451) at 1/1000 dilution

Lane 1:

Wild-type HeLa cell lysate at 20 µg

Lane 2:

STAG2 knockout HeLa cell lysate at 20 µg

Lane 2:

Western blot - Human STAG2 (SA2) knockout HeLa cell line (<a href='/en-us/products/cell-lines/human-stag2-sa2-knockout-hela-cell-line-ab265461'>ab265461</a>)

Lane 3:

HCT116 cell lysate at 20 µg

Secondary

All lanes:

Western blot - Goat anti-Rabbit IgG H&L (IRDye® 800CW) preadsorbed (<a href='/en-us/products/secondary-antibodies/goat-rabbit-igg-h-l-irdye-800cw-preadsorbed-ab216773'>ab216773</a>) at 1/10000 dilution

Predicted band size: 141 kDa

Observed band size: 141 kDa

false

Western blot - Anti-SA2 antibody [EPR17865] - C-terminal (AB201451)
  • WB

Supplier Data

Western blot - Anti-SA2 antibody [EPR17865] - C-terminal (AB201451)

5% NFDM/TBST : Blocking and diluting buffer.

All lanes:

Western blot - Anti-SA2 antibody [EPR17865] - C-terminal (ab201451) at 1/10000 dilution

Lane 1:

C6 (Rat glial tumor cells) cell lysate at 10 µg

Lane 2:

Raw264.7 (Mouse macrophage cells transformed with Abelson murine leukemia virus) cell lysate at 10 µg

Lane 3:

NIH 3T3 (Mouse embyro fibroblast cells) cell lysate at 10 µg

Secondary

All lanes:

Goat Anti-Rabbit IgG, (H+L), Peroxidase conjugated at 1/1000 dilution

Predicted band size: 141 kDa

Observed band size: 141 kDa

false

Exposure time: 3min

Western blot - Anti-SA2 antibody [EPR17865] - C-terminal (AB201451)
  • WB

Supplier Data

Western blot - Anti-SA2 antibody [EPR17865] - C-terminal (AB201451)

5% NFDM/TBST : Blocking and diluting buffer.

All lanes:

Western blot - Anti-SA2 antibody [EPR17865] - C-terminal (ab201451) at 1/1000 dilution

All lanes:

mouse spleen lysate at 10 µg

Secondary

All lanes:

Goat Anti-Rabbit IgG, (H+L), Peroxidase conjugated at 1/1000 dilution

Predicted band size: 141 kDa

Observed band size: 141 kDa

false

Exposure time: 1min

  • Carrier free

    Anti-SA2 antibody [EPR17865] - BSA and Azide free

Key facts

Host species

Rabbit

Clonality

Monoclonal

Clone number

EPR17865

Isotype

IgG

Carrier free

No

Reacts with

Mouse, Rat, Human

Applications

Flow Cyt (Intra), WB, ICC/IF, IHC-P

applications

Immunogen

The exact immunogen used to generate this antibody is proprietary information.

Reactivity data

{ "title": "Reactivity Data", "filters": { "stats": ["", "Species", "Dilution Info", "Notes"], "tabs": { "all-applications": {"fullname" : "All Applications", "shortname": "All Applications"}, "WB" : {"fullname" : "Western blot", "shortname":"WB"}, "ICCIF" : {"fullname" : "Immunocytochemistry/ Immunofluorescence", "shortname":"ICC/IF"}, "FlowCytIntra" : {"fullname" : "Flow Cytometry (Intracellular)", "shortname":"Flow Cyt (Intra)"}, "IHCP" : {"fullname" : "Immunohistochemistry (Formalin/PFA-fixed paraffin-embedded sections)", "shortname":"IHC-P"} }, "product-promise": { "all": "all", "testedAndGuaranteed": "tested", "guaranteed": "expected", "predicted": "predicted", "notRecommended": "not-recommended" } }, "values": { "Human": { "WB-species-checked": "testedAndGuaranteed", "WB-species-dilution-info": "1/1000", "WB-species-notes": "<p></p>", "ICCIF-species-checked": "testedAndGuaranteed", "ICCIF-species-dilution-info": "1/500", "ICCIF-species-notes": "<p></p>", "FlowCytIntra-species-checked": "testedAndGuaranteed", "FlowCytIntra-species-dilution-info": "1/25000", "FlowCytIntra-species-notes": "<p></p>", "IHCP-species-checked": "testedAndGuaranteed", "IHCP-species-dilution-info": "1/2000", "IHCP-species-notes": "<p></p> Perform heat-mediated antigen retrieval with Tris/EDTA buffer pH 9.0 before commencing with IHC staining protocol." }, "Mouse": { "WB-species-checked": "testedAndGuaranteed", "WB-species-dilution-info": "1/1000", "WB-species-notes": "<p></p>", "ICCIF-species-checked": "guaranteed", "ICCIF-species-dilution-info": "", "ICCIF-species-notes": "", "FlowCytIntra-species-checked": "guaranteed", "FlowCytIntra-species-dilution-info": "", "FlowCytIntra-species-notes": "", "IHCP-species-checked": "testedAndGuaranteed", "IHCP-species-dilution-info": "1/2000", "IHCP-species-notes": "<p></p> Perform heat-mediated antigen retrieval with Tris/EDTA buffer pH 9.0 before commencing with IHC staining protocol." }, "Rat": { "WB-species-checked": "testedAndGuaranteed", "WB-species-dilution-info": "1/1000", "WB-species-notes": "<p></p>", "ICCIF-species-checked": "guaranteed", "ICCIF-species-dilution-info": "", "ICCIF-species-notes": "", "FlowCytIntra-species-checked": "guaranteed", "FlowCytIntra-species-dilution-info": "", "FlowCytIntra-species-notes": "", "IHCP-species-checked": "testedAndGuaranteed", "IHCP-species-dilution-info": "1/2000", "IHCP-species-notes": "<p></p> Perform heat-mediated antigen retrieval with Tris/EDTA buffer pH 9.0 before commencing with IHC staining protocol." } } }

Product details

Patented technology
Our RabMAb® technology is a patented hybridoma-based technology for making rabbit monoclonal antibodies. For details on our patents, please refer to RabMAb® patents.

What are the advantages of a recombinant monoclonal antibody?
This product is a recombinant monoclonal antibody, which offers several advantages including:

  • - High batch-to-batch consistency and reproducibility
  • - Improved sensitivity and specificity
  • - Long-term security of supply
  • - Animal-free batch production

For more information, read more on recombinant antibodies.

Properties and storage information

Form
Liquid
Purification technique
Affinity purification Protein A
Storage buffer
pH: 7.2 - 7.4 Preservative: 0.01% Sodium azide Constituents: PBS, 40% Glycerol (glycerin, glycerine), 0.05% BSA
Shipped at conditions
Blue Ice
Appropriate short-term storage duration
1-2 weeks
Appropriate short-term storage conditions
+4°C
Appropriate long-term storage conditions
-20°C
Aliquoting information
Upon delivery aliquot
Storage information
Avoid freeze / thaw cycle

Supplementary information

This supplementary information is collated from multiple sources and compiled automatically.

The SA2 protein also known as stromal antigen 2 is a component of the cohesin complex playing a significant role in chromosomal dynamics. With an approximate molecular weight of 152 kDa SA2 exhibits high expression in the nucleus of proliferating cells particularly during interphase. This cohesin component contributes critically to maintaining sister chromatid cohesion and ensuring proper segregation during cell division serving as a functional partner in the cohesin complex with other components like SMC1 SMC3 and RAD21.
Biological function summary

SA2 plays an important role in regulating gene expression by forming loops that connect different genomic regions. SA2 as a member of the cohesin complex also participates in DNA repair by facilitating accurate recombination enhancing genome stability. This involvement is essential for maintaining chromatin structure which influences diverse cellular processes. Its expression can be an important modulator in the dynamic environment of cellular proliferation and differentiation.

Pathways

SA2 functions integrally within the cohesin-mediated sister chromatid cohesion pathway and the DNA damage response pathway. In these pathways SA2 teams with proteins such as CTCF in insulator function regulation and BRCA1 in DNA repair mechanisms. The cohesin-SA2 interaction with these proteins ensures proper chromosomal architecture and integrity which are essential for the accurate transmission of genetic material across generations of cells.

SA2 mutations or dysregulations have been linked to Cornelia de Lange Syndrome (CdLS) and certain cancers. In CdLS SA2 mutations disrupt normal cohesin function affecting developmental processes. In cancer contexts abnormal SA2 function or expression can lead to improper DNA repair contributing to genomic instability and tumorigenesis. It is often studied in concert with other cohesin proteins and regulatory elements like NIPBL which provides insights into cohesin-related pathologies and potential therapeutic targets.

Product protocols

For this product, it's our understanding that no specific protocols are required. You can visit:

Target data

Component of cohesin complex, a complex required for the cohesion of sister chromatids after DNA replication. The cohesin complex apparently forms a large proteinaceous ring within which sister chromatids can be trapped. At anaphase, the complex is cleaved and dissociates from chromatin, allowing sister chromatids to segregate. The cohesin complex may also play a role in spindle pole assembly during mitosis.
See full target information STAG2

Publications (3)

Recent publications for all applications. Explore the full list and refine your search

The Journal of biological chemistry 300:107958 PubMed39510176

2024

STAG2 promotes naive-primed transition via activating Lin28a transcription in mouse embryonic stem cells.

Applications

Unspecified application

Species

Unspecified reactive species

Bo Chen,Mingkang Jia,Gan Zhao,Yumin Liu,Yihong Song,Mengjie Sun,Wangfei Chi,Xiangyang Wang,Qing Jiang,Guangwei Xin,Chuanmao Zhang

Journal of cellular physiology 237:1780-1789 PubMed34806177

2021

Overexpression of N-acetylglucosaminyltransferase V promotes human parotid gland acinar cell immortalization via the epidermal receptor activation.

Applications

Unspecified application

Species

Unspecified reactive species

Ching-Chia Cheng,Chih-Feng Lin,Yong-Chong Lin,Tai-Horng Young,Pei-Jen Lou

PLoS biology 18:e3000594 PubMed31895940

2020

ATRX affects the repair of telomeric DSBs by promoting cohesion and a DAXX-dependent activity.

Applications

Unspecified application

Species

Unspecified reactive species

Courtney A Lovejoy,Kaori Takai,Michael S Huh,David J Picketts,Titia de Lange
View all publications

Product promise

We are committed to supporting your work with high-quality reagents, and we're here for you every step of the way. In the unlikely event that one of our products does not perform as expected, you're protected by our Product Promise.
For full details, please see our Terms & Conditions

Please note: All products are 'FOR RESEARCH USE ONLY. NOT FOR USE IN DIAGNOSTIC OR THERAPEUTIC PROCEDURES'.

For licensing inquiries, please contact partnerships@abcam.com