JavaScript is disabled in your browser. Please enable JavaScript to view this website.
AB324732

Anti-SA2 (isoform-1) antibody [EPR30102-55]

  • RabMAb
  • Recombinant
  • 20ul selling size
  • KO Validated
  • Advanced Validation
  • What is this?

Be the first to review this product! Submit a review

|

(0 Publication)

Rabbit Recombinant Monoclonal SA2 antibody. Suitable for WB, ICC/IF, IP, ChIP-seq and reacts with Transfected cell lysate - Human, Mouse, Human samples.

View Alternative Names

SA2, STAG2, Cohesin subunit SA-2, SCC3 homolog 2, Stromal antigen 2

15 Images
Immunocytochemistry/ Immunofluorescence - Anti-SA2 (isoform-1) antibody [EPR30102-55] (AB324732)
  • ICC/IF

Supplier Data

Immunocytochemistry/ Immunofluorescence - Anti-SA2 (isoform-1) antibody [EPR30102-55] (AB324732)

Immunofluorescent analysis of 4% Paraformaldehyde-fixed, 0.1% TritonX-100 permeabilized 293T (human embryonic kidney epithelial cell) cells labelling SA2 (isoform-1) with ab324732 at 1/50 dilution, followed by ab150081 Goat Anti-Rabbit IgG H&L (Alexa Fluor® 488) preadsorbed antibody at 1/1000 dilution (Green).

Confocal image showing nuclear staining in 293T cell line (shown in green). The counterstain was observed in magenta. Nuclear DNA was labelled with DAPI (shown in blue). Image was taken with a confocal microscope (Leica-Microsystems, TCS SP8).

ab195889 Anti-alpha Tubulin mouse monoclonal antibody - Microtubule Marker (Alexa Fluor® 594) was used to counterstain tubulin at 1/200 dilution (Magenta). The Nuclear counterstain was DAPI (Blue).

Secondary antibody only control : Secondary antibody is ab150081 Goat Anti-Rabbit IgG H&L (Alexa Fluor® 488) preadsorbed at 1/1000 dilution.

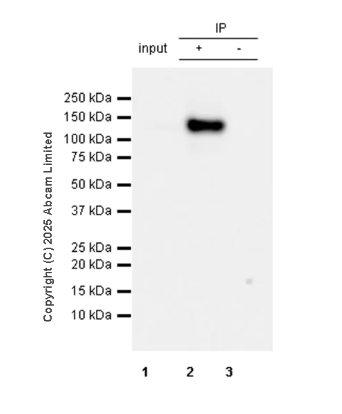
Immunoprecipitation - Anti-SA2 (isoform-1) antibody [EPR30102-55] (AB324732)
  • IP

Supplier Data

Immunoprecipitation - Anti-SA2 (isoform-1) antibody [EPR30102-55] (AB324732)

SA2 (isoform-1) was immunoprecipitated from 0.35 mg 293T (human embryonic kidney epithelial cell) whole cell lysate with ab324732 at 1/30 dilution (2 ug in 0.35mg lysates). Western blot was performed on the immunoprecipitate using ab324732 at 1/1000 dilution.

Blocking and dilution buffer and concentration : 5% NFDM/TBST

All lanes:

Immunoprecipitation - Anti-SA2 (isoform-1) antibody [EPR30102-55] (ab324732) at 1/1000 dilution

Lane 1:

293T (human embryonic kidney epithelial cell) whole cell lysate at 10 µg

Lane 2:

ab324732 at 1/30 IP in 293T (human embryonic kidney epithelial cell) whole cell lysate

Lane 3:

Rabbit monoclonal IgG (<a href='/en-us/products/primary-antibodies/rabbit-igg-monoclonal-epr25a-isotype-control-ab172730'>ab172730</a>) instead of ab324732 in 293T whole cell lysate

Secondary

All lanes:

Immunoprecipitation - VeriBlot for IP Detection Reagent (HRP) (<a href='/en-us/products/reagents/veriblot-for-ip-detection-reagent-hrp-ab131366'>ab131366</a>) at 1/5000 dilution

Observed band size: 140 kDa

false

Exposure time: 3s

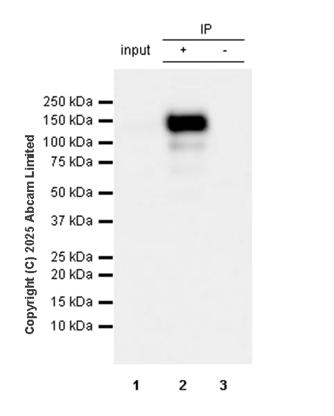
Immunoprecipitation - Anti-SA2 (isoform-1) antibody [EPR30102-55] (AB324732)
  • IP

Supplier Data

Immunoprecipitation - Anti-SA2 (isoform-1) antibody [EPR30102-55] (AB324732)

SA2 (isoform-1) was immunoprecipitated from 0.35 mg HeLa (human cervical adenocarcinoma epithelial cell) whole cell lysate with ab324732 at 1/30 dilution (2 ug in 0.35mg lysates). Western blot was performed on the immunoprecipitate using ab324732 at 1/1000 dilution.

Blocking and dilution buffer and concentration : 5% NFDM/TBST

All lanes:

Immunoprecipitation - Anti-SA2 (isoform-1) antibody [EPR30102-55] (ab324732) at 1/1000 dilution

Lane 1:

HeLa (human cervical adenocarcinoma epithelial cell) whole cell lysate at 10 µg

Lane 2:

ab324732 at 1/30 IP in HeLa (human cervical adenocarcinoma epithelial cell) whole cell lysate

Lane 3:

Rabbit monoclonal IgG (<a href='/en-us/products/primary-antibodies/rabbit-igg-monoclonal-epr25a-isotype-control-ab172730'>ab172730</a>) instead of ab324732 in HeLa whole cell lysate

Secondary

All lanes:

Immunoprecipitation - VeriBlot for IP Detection Reagent (HRP) (<a href='/en-us/products/reagents/veriblot-for-ip-detection-reagent-hrp-ab131366'>ab131366</a>) at 1/5000 dilution

Observed band size: 140 kDa

false

Exposure time: 3s

Immunocytochemistry/ Immunofluorescence - Anti-SA2 (isoform-1) antibody [EPR30102-55] (AB324732)
  • ICC/IF

Supplier Data

Immunocytochemistry/ Immunofluorescence - Anti-SA2 (isoform-1) antibody [EPR30102-55] (AB324732)

Immunofluorescent analysis of 4% Paraformaldehyde-fixed, 0.1% TritonX-100 permeabilized NIH/3T3 (mouse embryonic fibroblast) cells labelling SA2 (isoform-1) with ab324732 at 1/50 dilution, followed by ab150081 Goat Anti-Rabbit IgG H&L (Alexa Fluor® 488) preadsorbed antibody at 1/1000 dilution (Green).

Confocal image showing nuclear staining in NIH/3T3 cell line (shown in green). The counterstain was observed in magenta. Nuclear DNA was labelled with DAPI (shown in blue). Image was taken with a confocal microscope (Leica-Microsystems, TCS SP8).

ab195889 Anti-alpha Tubulin mouse monoclonal antibody - Microtubule Marker (Alexa Fluor® 594) was used to counterstain tubulin at 1/200 dilution (Magenta). The Nuclear counterstain was DAPI (Blue).

Secondary antibody only control : Secondary antibody is ab150081 Goat Anti-Rabbit IgG H&L (Alexa Fluor® 488) preadsorbed at 1/1000 dilution.

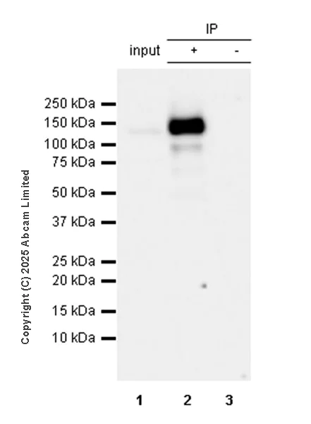
Immunoprecipitation - Anti-SA2 (isoform-1) antibody [EPR30102-55] (AB324732)
  • IP

Supplier Data

Immunoprecipitation - Anti-SA2 (isoform-1) antibody [EPR30102-55] (AB324732)

SA2 (isoform-1) was immunoprecipitated from 0.35 mg NIH/3T3 (mouse embryonic fibroblast) whole cell lysate with ab324732 at 1/30 dilution (2 ug in 0.35mg lysates). Western blot was performed on the immunoprecipitate using ab324732 at 1/1000 dilution.

Blocking and dilution buffer and concentration : 5% NFDM/TBST

All lanes:

Immunoprecipitation - Anti-SA2 (isoform-1) antibody [EPR30102-55] (ab324732) at 1/1000 dilution

Lane 1:

NIH/3T3 (mouse embryonic fibroblast) whole cell lysate at 10 µg

Lane 2:

ab324732 at 1/30 IP in NIH/3T3 (mouse embryonic fibroblast) whole cell lysate

Lane 3:

Rabbit monoclonal IgG (<a href='/en-us/products/primary-antibodies/rabbit-igg-monoclonal-epr25a-isotype-control-ab172730'>ab172730</a>) instead of ab324732 in NIH/3T3 whole cell lysate

Secondary

All lanes:

Immunoprecipitation - VeriBlot for IP Detection Reagent (HRP) (<a href='/en-us/products/reagents/veriblot-for-ip-detection-reagent-hrp-ab131366'>ab131366</a>) at 1/5000 dilution

Observed band size: 140 kDa

false

Exposure time: 6s

Western blot - Anti-SA2 (isoform-1) antibody [EPR30102-55] (AB324732)
  • WB

Supplier Data

Western blot - Anti-SA2 (isoform-1) antibody [EPR30102-55] (AB324732)

Blocking and diluting buffer and concentration : 5% NFDM/TBST.

Lane 1 of this blot was developed using a high-sensitivity ECL substrate, allowing for the detection of proteins in the mid-femtogram range.

The bands beneath the target band (140 kDa) are likely to be degraded target fragments.

Lanes 1 are incubated with Goat Anti-Rabbit IgG (HRP) with minimal cross-reactivity with human IgG at 1/2000 and lanes 2-4 are incubated with Goat Anti-Rabbit IgG, (H+L), Peroxidase conjugated (ab97051) at 1/20000.

In Western blot, Anti-GAPDH antibody [EPR16891] - Loading Control (ab181602) staining at 1/200000 dilution.

Exposure time : Lanes 1 : 136 seconds; Lanes 2-3 : 48 seconds; Lanes 4 : 180 seconds

All lanes:

Western blot - Anti-SA2 (isoform-1) antibody [EPR30102-55] (ab324732) at 1/1000 dilution

Lane 1:

Human tonsil tissues lysate at 20 µg

Lane 2:

Mouse spleen tissues lysate at 20 µg

Lane 3:

Mouse lymph node tissues lysate at 20 µg

Lane 4:

Mouse testis tissues lysate at 20 µg

Secondary

Lane 1:

Goat Anti-Rabbit IgG (HRP) with minimal cross-reactivity with human IgG at 1/20000 dilution

Lanes 2 - 4:

Western blot - Goat Anti-Rabbit IgG H&L (HRP) (<a href='/en-us/products/secondary-antibodies/goat-rabbit-igg-h-l-hrp-ab97051'>ab97051</a>) at 1/2000 dilution

Observed band size: 140 kDa,36 kDa

true

Western blot - Anti-SA2 (isoform-1) antibody [EPR30102-55] (AB324732)
  • WB

Supplier Data

Western blot - Anti-SA2 (isoform-1) antibody [EPR30102-55] (AB324732)

Blocking and diluting buffer and concentration : 5% NFDM/TBST.

Performed under reducing conditions.

In Western blot, ab324732 was shown to bind specifically to SA2. Target of interest was observed at 140 kDa in wild-type HeLa cell lysates (lane 1) with no signal observed at this size in SA2 knockout cell line (lane 2).

The Wild-type Hela and STAG2 knock out Hela lysates were kindly provided by an anonymous collaborator.

In Western blot, Anti-GAPDH antibody [EPR16891] - Loading Control (ab181602) staining at 1/200000 dilution.

All lanes:

Western blot - Anti-SA2 (isoform-1) antibody [EPR30102-55] (ab324732) at 1/1000 dilution

Lane 1:

Wild type HeLa (human cervical adenocarcinoma epithelial cell) whole cell lysate at 20 µg

Lane 2:

SA2 knockout HeLa whole cell lysate at 20 µg

Secondary

All lanes:

Western blot - Goat Anti-Rabbit IgG H&L (HRP) (<a href='/en-us/products/secondary-antibodies/goat-rabbit-igg-h-l-hrp-ab97051'>ab97051</a>) at 1/20000 dilution

Observed band size: 140 kDa,36 kDa

false

Exposure time: 26s

Western blot - Anti-SA2 (isoform-1) antibody [EPR30102-55] (AB324732)
  • WB

Supplier Data

Western blot - Anti-SA2 (isoform-1) antibody [EPR30102-55] (AB324732)

Blocking and diluting buffer and concentration : 5% NFDM/TBST.

The 140 kDa band detected in the blot represents the endogenous form of SA2 (isoform-1).

This antibody does not cross-react with recombinant human SA2 (isoform-2) by western blot.

In Western blot, Anti-GAPDH antibody [EPR16891] - Loading Control (ab181602) staining at 1/200000 dilution.

In Western blot, Anti-6X His tag® antibody [EPR20547] - ChIP Grade (ab213204) staining at 1/5000 dilution.

All lanes:

Western blot - Anti-SA2 (isoform-1) antibody [EPR30102-55] (ab324732) at 1/1000 dilution

Lane 1:

293T cells transfected with an empty vector containing a myc-his-tag, whole cell lysate at 20 µg

Lane 2:

293T transfected with a human SA2 (isoform-1) expression vector containing a myc-His-tag, whole cell lysate at 20 µg

Lane 3:

293T transfected with a human SA2 (isoform-2) expression vector containing a myc-His-tag, whole cell lysate at 20 µg

Secondary

All lanes:

Western blot - Goat Anti-Rabbit IgG H&L (HRP) (<a href='/en-us/products/secondary-antibodies/goat-rabbit-igg-h-l-hrp-ab97051'>ab97051</a>) at 1/20000 dilution

Observed band size: 17-30 kDa,140 kDa,36 kDa,14-30 kDa

false

Exposure time: 3s

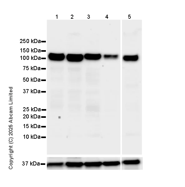
Western blot - Anti-SA2 (isoform-1) antibody [EPR30102-55] (AB324732)
  • WB

Supplier Data

Western blot - Anti-SA2 (isoform-1) antibody [EPR30102-55] (AB324732)

Blocking and diluting buffer and concentration : 5% NFDM/TBST.

In Western blot, Anti-GAPDH antibody [EPR16891] - Loading Control (ab181602) staining at 1/200000 dilution.

All lanes:

Western blot - Anti-SA2 (isoform-1) antibody [EPR30102-55] (ab324732) at 1/1000 dilution

Lane 1:

293T (human embryonic kidney epithelial cell) whole cell lysate at 20 µg

Lane 2:

HeLa (human cervical adenocarcinoma epithelial cell) whole cell lysate at 20 µg

Lane 3:

K-562 (human chronic myelogenous leukemia lymphoblast) whole cell lysate at 20 µg

Lane 4:

MCF7 (human breast adenocarcinoma epithelial cell) whole cell lysate at 20 µg

Lane 5:

NIH/3T3 (mouse embryonic fibroblast) whole cell lysate at 20 µg

Secondary

All lanes:

Western blot - Goat Anti-Rabbit IgG H&L (HRP) (<a href='/en-us/products/secondary-antibodies/goat-rabbit-igg-h-l-hrp-ab97051'>ab97051</a>) at 1/20000 dilution

Observed band size: 140 kDa,36 kDa

false

Exposure time: 26s

ChIP-sequencing - Anti-SA2 (isoform-1) antibody [EPR30102-55] (AB324732)
  • ChIP-seq

Supplier Data

ChIP-sequencing - Anti-SA2 (isoform-1) antibody [EPR30102-55] (AB324732)

Chromatin was prepared from NIH/3T3 cells. Cells were fixed with 1% formaldehyde for 10 minutes. ChIP was performed with 107 cells and 8 µg of ab324732 [EPR30102-55]. ChIP DNA was sequenced on the Illumina NovaSeq 6000 to a depth of 30 million reads. The Input control is also shown.

ChIP-sequencing - Anti-SA2 (isoform-1) antibody [EPR30102-55] (AB324732)
  • ChIP-seq

Supplier Data

ChIP-sequencing - Anti-SA2 (isoform-1) antibody [EPR30102-55] (AB324732)

Chromatin was prepared from NIH/3T3 cells. Cells were fixed with 1% formaldehyde for 10 minutes. ChIP was performed with 107 cells and 8 µg of ab324732 [EPR30102-55]. ChIP DNA was sequenced on the Illumina NovaSeq 6000 to a depth of 30 million reads. The Input control is also shown.

ChIP-sequencing - Anti-SA2 (isoform-1) antibody [EPR30102-55] (AB324732)
  • ChIP-seq

Supplier Data

ChIP-sequencing - Anti-SA2 (isoform-1) antibody [EPR30102-55] (AB324732)

Chromatin was prepared from HeLa cells. Cells were fixed with 1% formaldehyde for 10 minutes. ChIP was performed with 107 cells and 8 µg of ab324732 [EPR30102-55]. ChIP DNA was sequenced on the Illumina NovaSeq 6000 to a depth of 30 million reads. The Input control is also shown.

ChIP-sequencing - Anti-SA2 (isoform-1) antibody [EPR30102-55] (AB324732)
  • ChIP-seq

Supplier Data

ChIP-sequencing - Anti-SA2 (isoform-1) antibody [EPR30102-55] (AB324732)

Chromatin was prepared from HeLa cells. Cells were fixed with 1% formaldehyde for 10 minutes. ChIP was performed with 107 cells and 8 µg of ab324732 [EPR30102-55]. ChIP DNA was sequenced on the Illumina NovaSeq 6000 to a depth of 30 million reads. The Input control is also shown.

ChIP-sequencing - Anti-SA2 (isoform-1) antibody [EPR30102-55] (AB324732)
  • ChIP-seq

Supplier Data

ChIP-sequencing - Anti-SA2 (isoform-1) antibody [EPR30102-55] (AB324732)

Chromatin was prepared from HeLa cells. Cells were fixed with 1% formaldehyde for 10 minutes. ChIP was performed with 107 cells and 8 µg of ab324732 [EPR30102-55]. ChIP DNA was sequenced on the Illumina NovaSeq 6000 to a depth of 30 million reads. The Input control is also shown.

ChIP-sequencing - Anti-SA2 (isoform-1) antibody [EPR30102-55] (AB324732)
  • ChIP-seq

Supplier Data

ChIP-sequencing - Anti-SA2 (isoform-1) antibody [EPR30102-55] (AB324732)

Chromatin was prepared from NIH/3T3 cells. Cells were fixed with 1% formaldehyde for 10 minutes. ChIP was performed with 107 cells and 8 µg of ab324732 [EPR30102-55]. ChIP DNA was sequenced on the Illumina NovaSeq 6000 to a depth of 30 million reads. The Input control is also shown.

Key facts

Host species

Rabbit

Clonality

Monoclonal

Clone number

EPR30102-55

Isotype

IgG

Carrier free

No

Reacts with

Human, Mouse

Applications

IP, ChIP-seq, WB, ICC/IF

applications

Immunogen

The exact immunogen used to generate this antibody is proprietary information.

Reactivity data

{ "title": "Reactivity Data", "filters": { "stats": ["", "Species", "Dilution Info", "Notes"], "tabs": { "all-applications": {"fullname" : "All Applications", "shortname": "All Applications"}, "WB" : {"fullname" : "Western blot", "shortname":"WB"}, "ICCIF" : {"fullname" : "Immunocytochemistry/ Immunofluorescence", "shortname":"ICC/IF"}, "IP" : {"fullname" : "Immunoprecipitation", "shortname":"IP"}, "ChIPseq" : {"fullname" : "ChIP-sequencing", "shortname":"ChIP-seq"} }, "product-promise": { "all": "all", "testedAndGuaranteed": "tested", "guaranteed": "expected", "predicted": "predicted", "notRecommended": "not-recommended" } }, "values": { "Human": { "WB-species-checked": "guaranteed", "WB-species-dilution-info": "", "WB-species-notes": "", "ICCIF-species-checked": "testedAndGuaranteed", "ICCIF-species-dilution-info": "1/50", "ICCIF-species-notes": "<p></p>", "IP-species-checked": "testedAndGuaranteed", "IP-species-dilution-info": "1/30", "IP-species-notes": "<p></p>", "ChIPseq-species-checked": "testedAndGuaranteed", "ChIPseq-species-dilution-info": "8 µg for 10^6 Cells", "ChIPseq-species-notes": "<p></p>" }, "Mouse": { "WB-species-checked": "testedAndGuaranteed", "WB-species-dilution-info": "1/1000", "WB-species-notes": "<p></p>", "ICCIF-species-checked": "testedAndGuaranteed", "ICCIF-species-dilution-info": "1/50", "ICCIF-species-notes": "<p></p>", "IP-species-checked": "testedAndGuaranteed", "IP-species-dilution-info": "1/30", "IP-species-notes": "<p></p>", "ChIPseq-species-checked": "testedAndGuaranteed", "ChIPseq-species-dilution-info": "8 µg for 10^6 Cells", "ChIPseq-species-notes": "<p></p>" }, "Transfected cell lysate - Human": { "WB-species-checked": "testedAndGuaranteed", "WB-species-dilution-info": "1/1000", "WB-species-notes": "<p></p>", "ICCIF-species-checked": "notRecommended", "ICCIF-species-dilution-info": "", "ICCIF-species-notes": "", "IP-species-checked": "notRecommended", "IP-species-dilution-info": "", "IP-species-notes": "", "ChIPseq-species-checked": "notRecommended", "ChIPseq-species-dilution-info": "", "ChIPseq-species-notes": "" } } }

Product details

Patented technology
Our RabMAb® technology is a patented hybridoma-based technology for making rabbit monoclonal antibodies. For details on our patents, please refer to RabMAb® patents.

What are the advantages of a recombinant monoclonal antibody?
This product is a recombinant monoclonal antibody, which offers several advantages including:

  • - High batch-to-batch consistency and reproducibility
  • - Improved sensitivity and specificity
  • - Long-term security of supply
  • - Animal-free batch production

For more information, read more on recombinant antibodies.

Properties and storage information

Form
Liquid
Purification technique
Affinity purification Protein A
Storage buffer
pH: 7.2 - 7.4 Preservative: 0.01% Sodium azide Constituents: PBS, 40% Glycerol (glycerin, glycerine), 0.05% BSA
Shipped at conditions
Blue Ice
Appropriate short-term storage duration
1-2 weeks
Appropriate short-term storage conditions
+4°C
Appropriate long-term storage conditions
-20°C
Aliquoting information
Upon delivery aliquot
Storage information
Avoid freeze / thaw cycle

Product protocols

For this product, it's our understanding that no specific protocols are required. You can visit:

Target data

Component of cohesin complex, a complex required for the cohesion of sister chromatids after DNA replication. The cohesin complex apparently forms a large proteinaceous ring within which sister chromatids can be trapped. At anaphase, the complex is cleaved and dissociates from chromatin, allowing sister chromatids to segregate. The cohesin complex may also play a role in spindle pole assembly during mitosis.
See full target information STAG2

Product promise

We are committed to supporting your work with high-quality reagents, and we're here for you every step of the way. In the unlikely event that one of our products does not perform as expected, you're protected by our Product Promise.
For full details, please see our Terms & Conditions

Please note: All products are 'FOR RESEARCH USE ONLY. NOT FOR USE IN DIAGNOSTIC OR THERAPEUTIC PROCEDURES'.

For licensing inquiries, please contact partnerships@abcam.com