JavaScript is disabled in your browser. Please enable JavaScript to view this website.
AB313877

Anti-SA2 (isoform-2) antibody [EPR26892-61]

  • BOND RX™ Validated
  • 20ul selling size
  • Recombinant
  • KO Validated
  • Advanced Validation
  • RabMAb
  • What is this?

5

(1 Review)

|

(0 Publication)

Rabbit Recombinant Monoclonal SA2 antibody. Suitable for ChIP-seq, Flow Cyt (Intra), IHC-P, WB, IP, ICC/IF and reacts with Human, Mouse, Rat, Transfected cell line - Human samples.

View Alternative Names

SA2, STAG2, Cohesin subunit SA-2, SCC3 homolog 2, Stromal antigen 2

15 Images
Immunocytochemistry/ Immunofluorescence - Anti-SA2 (isoform-2) antibody [EPR26892-61] (AB313877)
  • ICC/IF

Supplier Data

Immunocytochemistry/ Immunofluorescence - Anti-SA2 (isoform-2) antibody [EPR26892-61] (AB313877)

Immunofluorescent analysis of 4% Paraformaldehyde-fixed, 0.1% TritonX-100 permeabilized HeLa (human cervical adenocarcinoma epithelial cell) cells labelling SA2 (isoform-2) with ab313877 at 1/50 (10.96 µg/ml) dilution, followed by ab150081 Goat Anti-Rabbit IgG H&L (Alexa Fluor® 488) preadsorbed antibody at 1/1000 (2 µg/ml) dilution (Green). Confocal image showing nuclear staining in Hela cell line. Image was taken with a confocal microscope(Leica-Microsystems, TCS SP8) ab195889 Anti-alpha Tubulin mouse monoclonal antibody - Microtubule Marker (Alexa Fluor® 594) was used to counterstain tubulin at 1/200 (2.5 µg/ml) dilution (Red). The Nuclear counterstain was DAPI (Blue). Secondary antibody only control : Secondary antibody is ab150081 Goat Anti-Rabbit IgG H&L (Alexa Fluor® 488) preadsorbed at 1/1000 (2 µg/ml) dilution.

Flow Cytometry - Anti-SA2 (isoform-2) antibody [EPR26892-61] (AB313877)
  • Flow Cyt

Supplier Data

Flow Cytometry - Anti-SA2 (isoform-2) antibody [EPR26892-61] (AB313877)

Flow cytometric analysis of 4% paraformaldehyde fixed 90% methanol permeabilized HeLa (human cervical adenocarcinoma epithelial cell) cells labelling SA2 (isoform-2) with ab313877 at 1/50 dilution (1 ug)/(Red) compared with a Rabbit monoclonal IgG (ab172730) (Black) isotype control and an unlabelled control (cells without incubation with primary antibody and secondary antibody) (Blue). A Goat Anti-Rabbit IgG (Alexa Fluor® 488, ab150081) at 1/5000 dilution was used as the secondary antibody.

ChIP-sequencing - Anti-SA2 (isoform-2) antibody [EPR26892-61] (AB313877)
  • ChIP-seq

Supplier Data

ChIP-sequencing - Anti-SA2 (isoform-2) antibody [EPR26892-61] (AB313877)

ChIP-sequencing - Anti-SA2 (isoform-2) antibody [EPR26892-61] (ab313877) Chromatin was prepared from HeLa cells. Cells were fixed with 1% formaldehyde for 10 minutes. ChIP was performed with 10^7 cells and 8 µg of ab313877 [EPR26892-61]. ChIP DNA was sequenced on the Illumina NovaSeq 6000 to a depth of 30 million reads. The Input control is also shown.

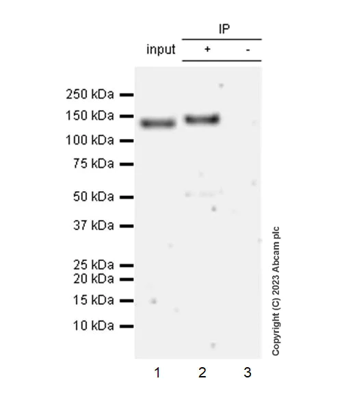
Immunoprecipitation - Anti-SA2 (isoform-2) antibody [EPR26892-61] (AB313877)
  • IP

Supplier Data

Immunoprecipitation - Anti-SA2 (isoform-2) antibody [EPR26892-61] (AB313877)

SA2 (isoform-2) was immunoprecipitated from 0.35 mg Hela (human cervical adenocarcinoma epithelial cell) whole cell lysate with ab313877 at 1/30 dilution (2µg in 0.35mg lysates). Western blot was performed on the immunoprecipitate using ab313877 at 1/1000 dilution. VeriBlot for IP secondary antibody(HRP)(ab131366) was used at 1/5000 dilution. Lane 1 : Hela (human cervical adenocarcinoma epithelial cell) whole cell lysate Lane 2 : ab313877 IP in Hela (human cervical adenocarcinoma epithelial cell) whole cell lysate Lane 3 : Rabbit monoclonal IgG (ab172730) instead of ab313877 in Hela whole cell lysate. Blocking and dilution buffer and concentration : 5% NFDM/TBST. Exposure time : 180 seconds

All lanes:

Immunoprecipitation - Anti-SA2 (isoform-2) antibody [EPR26892-61] (ab313877) at 1/30 dilution

All lanes:

Hela (human cervical adenocarcinoma epithelial cell) whole cell lysate

Secondary

All lanes:

Immunoprecipitation - VeriBlot for IP Detection Reagent (HRP) (<a href='/en-us/products/reagents/veriblot-for-ip-detection-reagent-hrp-ab131366'>ab131366</a>)

false

Exposure time: 180s

ChIP-sequencing - Anti-SA2 (isoform-2) antibody [EPR26892-61] (AB313877)
  • ChIP-seq

Supplier Data

ChIP-sequencing - Anti-SA2 (isoform-2) antibody [EPR26892-61] (AB313877)

ChIP-sequencing - Anti-SA2 (isoform-2) antibody [EPR26892-61] (ab313877) Chromatin was prepared from HeLa cells. Cells were fixed with 1% formaldehyde for 10 minutes. ChIP was performed with 10^7 cells and 8 µg of ab313877 [EPR26892-61]. ChIP DNA was sequenced on the Illumina NovaSeq 6000 to a depth of 30 million reads. The Input control is also shown.

ChIP-sequencing - Anti-SA2 (isoform-2) antibody [EPR26892-61] (AB313877)
  • ChIP-seq

Supplier Data

ChIP-sequencing - Anti-SA2 (isoform-2) antibody [EPR26892-61] (AB313877)

ChIP-sequencing - Anti-SA2 (isoform-2) antibody [EPR26892-61] (ab313877) Chromatin was prepared from HeLa cells. Cells were fixed with 1% formaldehyde for 10 minutes. ChIP was performed with 10^7 cells and 8 µg of ab313877 [EPR26892-61]. ChIP DNA was sequenced on the Illumina NovaSeq 6000 to a depth of 30 million reads. The Input control is also shown.

Flow Cytometry - Anti-SA2 (isoform-2) antibody [EPR26892-61] (AB313877)
  • Flow Cyt

Supplier Data

Flow Cytometry - Anti-SA2 (isoform-2) antibody [EPR26892-61] (AB313877)

Flow cytometric analysis of 4% paraformaldehyde fixed 90% methanol permeabilized NIH/3T3 (mouse embryonic fibroblast) cells labelling SA2 (isoform-2) with ab313877 at 1/50 dilution (1 ug)/(Red) compared with a Rabbit monoclonal IgG (ab172730) (Black) isotype control and an unlabelled control (cells without incubation with primary antibody and secondary antibody) (Blue). A Goat Anti-Rabbit IgG (Alexa Fluor® 488, ab150081) at 1/5000 dilution was used as the secondary antibody.

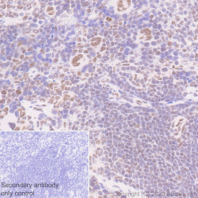
Immunohistochemistry (Formalin/PFA-fixed paraffin-embedded sections) - Anti-SA2 (isoform-2) antibody [EPR26892-61] (AB313877)
  • IHC-P

Supplier Data

Immunohistochemistry (Formalin/PFA-fixed paraffin-embedded sections) - Anti-SA2 (isoform-2) antibody [EPR26892-61] (AB313877)

Immunohistochemical analysis of paraffin-embedded Rat spleen tissue labeling SA2 (isoform-2) with ab313877 at 1/500 (1.096 µg/ml) followed by a ready to use LeicaDS9800 (Bond™ Polymer Refine Detection) was used. Nuclear staining on rat spleen. The section was incubated with ab313877 for 30 mins at room temperature. The immunostaining was performed on a Leica Biosystems BOND® RX instrument Counterstained with Hematoxylin. Secondary antibody only control : Secondary antibody is a ready to use LeicaDS9800 (Bond™ Polymer Refine Detection) was used. Heat mediated antigen retrieval was performed with Tris-EDTA buffer (pH 9.0, Epitope Retrieval Solution2) for 20 mins

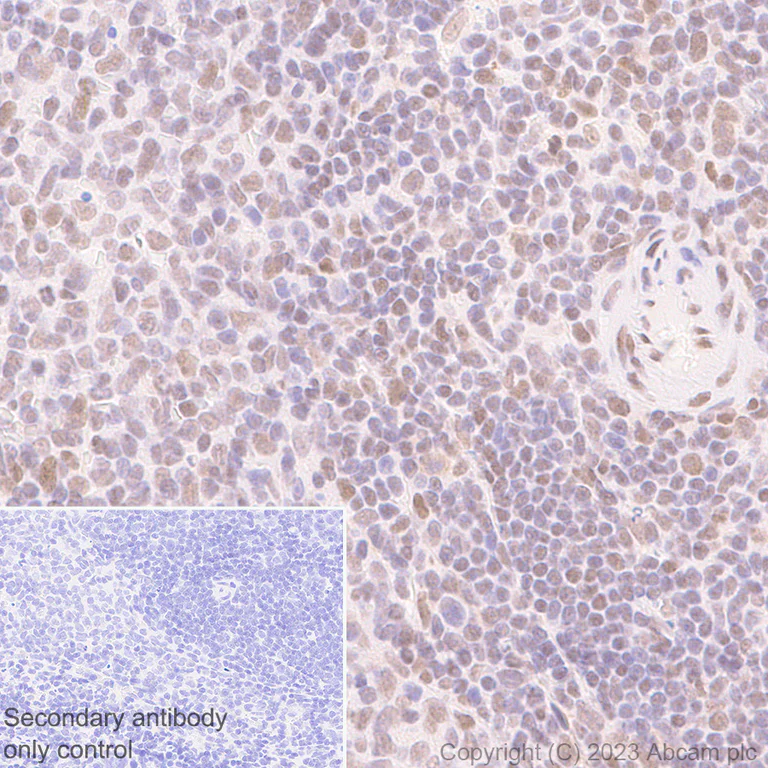
Immunohistochemistry (Formalin/PFA-fixed paraffin-embedded sections) - Anti-SA2 (isoform-2) antibody [EPR26892-61] (AB313877)
  • IHC-P

Supplier Data

Immunohistochemistry (Formalin/PFA-fixed paraffin-embedded sections) - Anti-SA2 (isoform-2) antibody [EPR26892-61] (AB313877)

Immunohistochemical analysis of paraffin-embedded Mouse spleen tissue labeling SA2 (isoform-2) with ab313877 at 1/500 (1.096 µg/ml) followed by a ready to use LeicaDS9800 (Bond™ Polymer Refine Detection) was used. Nuclear staining on mouse spleen. The section was incubated with ab313877 for 30 mins at room temperature. The immunostaining was performed on a Leica Biosystems BOND® RX instrument Counterstained with Hematoxylin. Secondary antibody only control : Secondary antibody is a ready to use LeicaDS9800 (Bond™ Polymer Refine Detection) was used. Heat mediated antigen retrieval was performed with Tris-EDTA buffer (pH 9.0, Epitope Retrieval Solution2) for 20 mins

Immunocytochemistry/ Immunofluorescence - Anti-SA2 (isoform-2) antibody [EPR26892-61] (AB313877)
  • ICC/IF

Supplier Data

Immunocytochemistry/ Immunofluorescence - Anti-SA2 (isoform-2) antibody [EPR26892-61] (AB313877)

Immunofluorescent analysis of 4% Paraformaldehyde-fixed, 0.1% TritonX-100 permeabilized NIH/3T3 (mouse embryonic fibroblast) cells labelling SA2 (isoform-2) with ab313877 at 1/50 (10.96 µg/ml) dilution, followed by ab150081 Goat Anti-Rabbit IgG H&L (Alexa Fluor® 488) preadsorbed antibody at 1/1000 (2 µg/ml) dilution (Green). Confocal image showing nuclear staining in NIH/3T3 cell line. Image was taken with a confocal microscope(Leica-Microsystems, TCS SP8) ab195889 Anti-alpha Tubulin mouse monoclonal antibody - Microtubule Marker (Alexa Fluor® 594) was used to counterstain tubulin at 1/200 (2.5 µg/ml) dilution (Red). The Nuclear counterstain was DAPI (Blue). Secondary antibody only control : Secondary antibody is ab150081 Goat Anti-Rabbit IgG H&L (Alexa Fluor® 488) preadsorbed at 1/1000 (2 µg/ml) dilution.

Immunoprecipitation - Anti-SA2 (isoform-2) antibody [EPR26892-61] (AB313877)
  • IP

Supplier Data

Immunoprecipitation - Anti-SA2 (isoform-2) antibody [EPR26892-61] (AB313877)

SA2 (isoform-2) was immunoprecipitated from 0.35 mg RAW 264.7 (mouse abelson murine leukemia virus-induced tumor macrophage) whole cell lysate with ab313877 at 1/30 dilution (2µg in 0.35mg lysates). Western blot was performed on the immunoprecipitate using ab313877 at 1/1000 dilution. VeriBlot for IP secondary antibody(HRP)(ab131366) was used at 1/5000 dilution. Lane 1 : RAW 264.7 (mouse abelson murine leukemia virus-induced tumor macrophage) whole cell lysate Lane 2 : ab313877 IP in RAW 264.7 (mouse abelson murine leukemia virus-induced tumor macrophage) whole cell lysate Lane 3 : Rabbit monoclonal IgG (ab172730) instead of ab313877 in RAW 264.7 whole cell lysate. Blocking and dilution buffer and concentration : 5% NFDM/TBST. Exposure time : 180 seconds

All lanes:

Immunoprecipitation - Anti-SA2 (isoform-2) antibody [EPR26892-61] (ab313877) at 1/30 dilution

All lanes:

RAW 264.7 (mouse abelson murine leukemia virus-induced tumor macrophage) whole cell lysate

Secondary

All lanes:

Immunoprecipitation - VeriBlot for IP Detection Reagent (HRP) (<a href='/en-us/products/reagents/veriblot-for-ip-detection-reagent-hrp-ab131366'>ab131366</a>)

false

Exposure time: 180s

Western blot - Anti-SA2 (isoform-2) antibody [EPR26892-61] (AB313877)
  • WB

Supplier Data

Western blot - Anti-SA2 (isoform-2) antibody [EPR26892-61] (AB313877)

Blocking and diluting buffer and concentration : 5% NFDM/TBST The Wild-type GM-12878 and STAG2 knock out GM-12878 lysates were kindly provided by an anonymous collaborator. In Western blot, Anti-GAPDH antibody [EPR16891] - Loading Control (ab181602) staining at 1/200000 dilution. Exposure time : 26 seconds

All lanes:

Western blot - Anti-SA2 (isoform-2) antibody [EPR26892-61] (ab313877) at 1/1000 dilution

Lane 1:

K-562 (human chronic myelogenous leukemia lymphoblast) whole cell lysate at 20 µg

Lane 2:

HeLa (human cervical adenocarcinoma epithelial cell) whole cell lysate at 20 µg

Lane 3:

293T (human embryonic kidney epithelial cell) whole cell lysate at 20 µg

Lane 4:

Wild-type GM-12878 whole cell lysate at 20 µg

Lane 5:

STAG2 knock out GM-12878 whole cell lysate at 20 µg

Lane 6:

C6 (rat glial tumor glial cell) whole cell lysate at 20 µg

Secondary

All lanes:

Western blot - Goat Anti-Rabbit IgG H&L (HRP) (<a href='/en-us/products/secondary-antibodies/goat-rabbit-igg-h-l-hrp-ab97051'>ab97051</a>) at 1/100000 dilution

Observed band size: 150 kDa

false

Exposure time: 26s

Western blot - Anti-SA2 (isoform-2) antibody [EPR26892-61] (AB313877)
  • WB

Supplier Data

Western blot - Anti-SA2 (isoform-2) antibody [EPR26892-61] (AB313877)

Blocking and diluting buffer and concentration : 5% NFDM/TBST The Wild-type Hela and STAG2 knock out Hela lysates were kindly provided by an anonymous collaborator. In Western blot, Anti-GAPDH antibody [EPR16891] - Loading Control (ab181602) staining at 1/200000 dilution. Exposure time : 10 seconds

All lanes:

Western blot - Anti-SA2 (isoform-2) antibody [EPR26892-61] (ab313877) at 1/1000 dilution

Lane 1:

Wild-type HeLa (human cervical adenocarcinoma epithelial cell) whole cell lysate at 20 µg

Lane 2:

STAG2 knock out Hela whole cell lysate at 20 µg

Secondary

All lanes:

Western blot - Goat Anti-Rabbit IgG H&L (HRP) (<a href='/en-us/products/secondary-antibodies/goat-rabbit-igg-h-l-hrp-ab97051'>ab97051</a>) at 1/20000 dilution

Observed band size: 150 kDa

false

Exposure time: 10s

Western blot - Anti-SA2 (isoform-2) antibody [EPR26892-61] (AB313877)
  • WB

Supplier Data

Western blot - Anti-SA2 (isoform-2) antibody [EPR26892-61] (AB313877)

Blocking and diluting buffer and concentration : 5% NFDM/TBST This antibody does not cross-react with human STAG2 (isoform-1) In Western blot, Anti-Vinculin antibody [EPR8185] (ab129002) staining at 1/10000 dilution. In Western blot, Anti-6X His tag® antibody [EPR20547] - ChIP Grade (ab213204) staining at 1/5000 dilution Exposure time : 180 seconds

All lanes:

Western blot - Anti-SA2 (isoform-2) antibody [EPR26892-61] (ab313877) at 1/1000 dilution

Lane 1:

293T cells transfected with an empty vector containing a His tag, whole cell lysate at 20 µg

Lane 2:

293T cells transfected with a human STAG2 (isoform-1) expression vector containing a His-tag, whole cell lysate at 20 µg

Lane 3:

293T cells transfected with a human STAG2 (isoform-2) expression vector containing a His-tag, whole cell lysate  at 20 µg

Secondary

All lanes:

Western blot - Goat Anti-Rabbit IgG H&L (HRP) (<a href='/en-us/products/secondary-antibodies/goat-rabbit-igg-h-l-hrp-ab97051'>ab97051</a>) at 1/100000 dilution

Observed band size: 25-30 kDa,150 kDa

false

Exposure time: 180s

Western blot - Anti-SA2 (isoform-2) antibody [EPR26892-61] (AB313877)
  • WB

Supplier Data

Western blot - Anti-SA2 (isoform-2) antibody [EPR26892-61] (AB313877)

Blocking and diluting buffer and concentration : 5% NFDM/TBST Exposure time : 180 seconds

All lanes:

Western blot - Anti-SA2 (isoform-2) antibody [EPR26892-61] (ab313877) at 1/1000 dilution

Lane 1:

RAW 264.7 (mouse Abelson murine leukemia virus-induced tumor macrophage) whole cell lysate at 20 µg

Lane 2:

NIH/3T3 (mouse embryonic fibroblast) whole cell lysate at 20 µg

Lane 3:

Mouse spleen tissue lysate at 20 µg

Secondary

All lanes:

Western blot - Goat Anti-Rabbit IgG H&L (HRP) (<a href='/en-us/products/secondary-antibodies/goat-rabbit-igg-h-l-hrp-ab97051'>ab97051</a>) at 1/100000 dilution

Observed band size: 150 kDa

false

Exposure time: 180s

Key facts

Host species

Rabbit

Clonality

Monoclonal

Clone number

EPR26892-61

Isotype

IgG

Carrier free

No

Reacts with

Human, Mouse, Rat

Applications

Flow Cyt (Intra), WB, IP, ICC/IF, ChIP-seq, IHC-P

applications

Immunogen

The exact immunogen used to generate this antibody is proprietary information.

Specificity

Unsuitable for human IHC-P.

Reactivity data

{ "title": "Reactivity Data", "filters": { "stats": ["", "Species", "Dilution Info", "Notes"], "tabs": { "all-applications": {"fullname" : "All Applications", "shortname": "All Applications"}, "ChIPseq" : {"fullname" : "ChIP-sequencing", "shortname":"ChIP-seq"}, "FlowCytIntra" : {"fullname" : "Flow Cytometry (Intracellular)", "shortname":"Flow Cyt (Intra)"}, "IHCP" : {"fullname" : "Immunohistochemistry (Formalin/PFA-fixed paraffin-embedded sections)", "shortname":"IHC-P"}, "WB" : {"fullname" : "Western blot", "shortname":"WB"}, "IP" : {"fullname" : "Immunoprecipitation", "shortname":"IP"}, "ICCIF" : {"fullname" : "Immunocytochemistry/ Immunofluorescence", "shortname":"ICC/IF"} }, "product-promise": { "all": "all", "testedAndGuaranteed": "tested", "guaranteed": "expected", "predicted": "predicted", "notRecommended": "not-recommended" } }, "values": { "Human": { "ChIPseq-species-checked": "testedAndGuaranteed", "ChIPseq-species-dilution-info": "8 µg for 10^7 Cells", "ChIPseq-species-notes": "<p></p>", "FlowCytIntra-species-checked": "testedAndGuaranteed", "FlowCytIntra-species-dilution-info": "1/50", "FlowCytIntra-species-notes": "<p></p>", "IHCP-species-checked": "notRecommended", "IHCP-species-dilution-info": "", "IHCP-species-notes": "<p></p> Perform heat-mediated antigen retrieval with Tris/EDTA buffer pH 9.0 before commencing with IHC staining protocol.", "WB-species-checked": "testedAndGuaranteed", "WB-species-dilution-info": "1/1000", "WB-species-notes": "<p></p>", "IP-species-checked": "testedAndGuaranteed", "IP-species-dilution-info": "1/30", "IP-species-notes": "<p></p>", "ICCIF-species-checked": "testedAndGuaranteed", "ICCIF-species-dilution-info": "1/50", "ICCIF-species-notes": "<p></p>" }, "Mouse": { "ChIPseq-species-checked": "guaranteed", "ChIPseq-species-dilution-info": "", "ChIPseq-species-notes": "", "FlowCytIntra-species-checked": "testedAndGuaranteed", "FlowCytIntra-species-dilution-info": "1/50", "FlowCytIntra-species-notes": "<p></p>", "IHCP-species-checked": "testedAndGuaranteed", "IHCP-species-dilution-info": "1/500", "IHCP-species-notes": "<p></p> Perform heat-mediated antigen retrieval with Tris/EDTA buffer pH 9.0 before commencing with IHC staining protocol.", "WB-species-checked": "testedAndGuaranteed", "WB-species-dilution-info": "1/1000", "WB-species-notes": "<p></p>", "IP-species-checked": "testedAndGuaranteed", "IP-species-dilution-info": "1/30", "IP-species-notes": "<p></p>", "ICCIF-species-checked": "testedAndGuaranteed", "ICCIF-species-dilution-info": "1/50", "ICCIF-species-notes": "<p></p>" }, "Rat": { "ChIPseq-species-checked": "guaranteed", "ChIPseq-species-dilution-info": "", "ChIPseq-species-notes": "", "FlowCytIntra-species-checked": "guaranteed", "FlowCytIntra-species-dilution-info": "", "FlowCytIntra-species-notes": "", "IHCP-species-checked": "testedAndGuaranteed", "IHCP-species-dilution-info": "1/500", "IHCP-species-notes": "<p></p> Perform heat-mediated antigen retrieval with Tris/EDTA buffer pH 9.0 before commencing with IHC staining protocol.", "WB-species-checked": "testedAndGuaranteed", "WB-species-dilution-info": "1/1000", "WB-species-notes": "<p></p>", "IP-species-checked": "guaranteed", "IP-species-dilution-info": "", "IP-species-notes": "", "ICCIF-species-checked": "guaranteed", "ICCIF-species-dilution-info": "", "ICCIF-species-notes": "" }, "Transfected cell line - Human": { "ChIPseq-species-checked": "notRecommended", "ChIPseq-species-dilution-info": "", "ChIPseq-species-notes": "", "FlowCytIntra-species-checked": "notRecommended", "FlowCytIntra-species-dilution-info": "", "FlowCytIntra-species-notes": "", "IHCP-species-checked": "notRecommended", "IHCP-species-dilution-info": "", "IHCP-species-notes": "", "WB-species-checked": "testedAndGuaranteed", "WB-species-dilution-info": "1/1000", "WB-species-notes": "<p></p>", "IP-species-checked": "notRecommended", "IP-species-dilution-info": "", "IP-species-notes": "", "ICCIF-species-checked": "notRecommended", "ICCIF-species-dilution-info": "", "ICCIF-species-notes": "" } } }

Product details

Patented technology
Our RabMAb® technology is a patented hybridoma-based technology for making rabbit monoclonal antibodies. For details on our patents, please refer to RabMAb® patents.

What are the advantages of a recombinant monoclonal antibody?
This product is a recombinant monoclonal antibody, which offers several advantages including:

  • - High batch-to-batch consistency and reproducibility
  • - Improved sensitivity and specificity
  • - Long-term security of supply
  • - Animal-free batch production

For more information, read more on recombinant antibodies.

Properties and storage information

Form
Liquid
Purification technique
Affinity purification Protein A
Storage buffer
pH: 7.2 - 7.4 Preservative: 0.01% Sodium azide Constituents: PBS, 40% Glycerol (glycerin, glycerine), 0.05% BSA
Shipped at conditions
Blue Ice
Appropriate short-term storage duration
1-2 weeks
Appropriate short-term storage conditions
+4°C
Appropriate long-term storage conditions
-20°C
Aliquoting information
Upon delivery aliquot
Storage information
Avoid freeze / thaw cycle

Supplementary information

This supplementary information is collated from multiple sources and compiled automatically.

SA2 isoform-2 also known as Structural Maintenance of Chromosomes Protein 3 (SMC3) is a component of the cohesin complex which plays a critical role in the cohesion of sister chromatids. SA2 isoform-2 has a mass of approximately 150 kDa. It is expressed in a variety of tissues with significant expression in dividing cells where its function contributes to proper cell division and chromosome segregation. The capacity of SA2 isoform-2 to bind and stabilize cohesion complexes in the nucleus is fundamental for maintaining genomics stability during the cell cycle.
Biological function summary

SA2 isoform-2 supports the integrity of chromatid pairing. As part of the cohesin complex it interacts with other cohesin subunits such as SMC1 SMC3 and RAD21. This complex regulates chromosome architecture by facilitating loop formation and sister chromatid cohesion. These functionalities are essential during the cell cycle particularly in the S and G2 phases ensuring that chromatid pairs do not prematurely separate before mitosis.

Pathways

SA2 isoform-2 plays an important role in cell cycle regulation and DNA damage repair pathways. Within the cell cycle its function is connected to the loading and stabilization of cohesin complexes that enable proper chromosome alignment and segregation during mitosis. In DNA repair pathways it associates with proteins like PDS5 and WAPL which contribute to modulating cohesin dynamics and ensuring successful repair of DNA double-strand breaks. These activities are pivotal to preserving chromosomal stability.

Mutations or dysfunctions in SA2 isoform-2 are linked to cohesinopathies including Cornelia de Lange Syndrome and certain cancer types. In Cornelia de Lange Syndrome mutations affecting SA2 isoform-2 or its interacting partners such as NIPBL result in developmental abnormalities and intellectual disability. In cancer aberrant expression or malfunctions in components of the cohesin complex which includes SA2 isoform-2 can lead to genomic instability promoting tumorigenesis and driving cancer progression.

Product protocols

For this product, it's our understanding that no specific protocols are required. You can visit:

Target data

Component of cohesin complex, a complex required for the cohesion of sister chromatids after DNA replication. The cohesin complex apparently forms a large proteinaceous ring within which sister chromatids can be trapped. At anaphase, the complex is cleaved and dissociates from chromatin, allowing sister chromatids to segregate. The cohesin complex may also play a role in spindle pole assembly during mitosis.
See full target information STAG2

Product promise

We are committed to supporting your work with high-quality reagents, and we're here for you every step of the way. In the unlikely event that one of our products does not perform as expected, you're protected by our Product Promise.
For full details, please see our Terms & Conditions

Please note: All products are 'FOR RESEARCH USE ONLY. NOT FOR USE IN DIAGNOSTIC OR THERAPEUTIC PROCEDURES'.

For licensing inquiries, please contact partnerships@abcam.com