JavaScript is disabled in your browser. Please enable JavaScript to view this website.
AB207445

Anti-SAA1 + SAA2 antibody [EPR19550]

Be the first to review this product! Submit a review

|

(11 Publications)

Rabbit Recombinant Monoclonal Serum Amyloid A 1 antibody. Suitable for WB, IHC-P and reacts with Recombinant fragment - Human, Human, Recombinant fragment samples. Cited in 11 publications.

View Alternative Names

Serum amyloid A-1 protein, SAA, SAA1

5 Images
Immunohistochemistry (Formalin/PFA-fixed paraffin-embedded sections) - Anti-SAA1 + SAA2 antibody [EPR19550] (AB207445)
  • IHC-P

Supplier Data

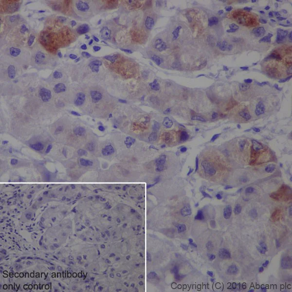
Immunohistochemistry (Formalin/PFA-fixed paraffin-embedded sections) - Anti-SAA1 + SAA2 antibody [EPR19550] (AB207445)

Immunohistochemical analysis of paraffin-embedded human liver cancer tissue labeling SAA1+SAA2 with ab207445 at 1/1000 dilution followed by Goat Anti-Rabbit IgG H&L (HRP) (ab97051) at 1/500 dilution.

Cytoplasmic staining on human liver cancer is observed.

Counter stained with Hematoxylin.

Secondary antibody only control : Used PBS instead of primary antibody secondary antibody is Goat Anti-Rabbit IgG H&L (HRP) (ab97051) at 1/500 dilution.

Perform heat mediated antigen retrieval with Tris/EDTA buffer pH 9.0 before commencing with IHC staining protocol.

Immunohistochemistry (Formalin/PFA-fixed paraffin-embedded sections) - Anti-SAA1 + SAA2 antibody [EPR19550] (AB207445)
  • IHC-P

Supplier Data

Immunohistochemistry (Formalin/PFA-fixed paraffin-embedded sections) - Anti-SAA1 + SAA2 antibody [EPR19550] (AB207445)

Immunohistochemical analysis of paraffin-embedded human liver tissue labeling SAA1+SAA2 with ab207445 at 1/1000 dilution followed by Goat Anti-Rabbit IgG H&L (HRP) (ab97051) at 1/500 dilution.

Cytoplasmic staining on human liver is observed.

Counter stained with Hematoxylin.

Secondary antibody only control : Used PBS instead of primary antibody secondary antibody is Goat Anti-Rabbit IgG H&L (HRP) (ab97051) at 1/500 dilution.

Perform heat mediated antigen retrieval with Tris/EDTA buffer pH 9.0 before commencing with IHC staining protocol.

Western blot - Anti-SAA1 + SAA2 antibody [EPR19550] (AB207445)
  • WB

Supplier Data

Western blot - Anti-SAA1 + SAA2 antibody [EPR19550] (AB207445)

Blocking/Dilution buffer : 5% NFDM/TBST.

Expressed by the liver; secreted in plasma and serum (PMID : 3183061; PMID : 16039662).

All lanes:

Western blot - Anti-SAA1 + SAA2 antibody [EPR19550] (ab207445) at 1/1000 dilution

All lanes:

Human liver lysate at 20 µg

Secondary

All lanes:

Goat Anti-Rabbit IgG Peroxidase Conjugate, specific to the non-reduced form of IgG at 1/10000 dilution

Predicted band size: 13 kDa

Observed band size: 13 kDa

false

Exposure time: 3min

Western blot - Anti-SAA1 + SAA2 antibody [EPR19550] (AB207445)
  • WB

Supplier Data

Western blot - Anti-SAA1 + SAA2 antibody [EPR19550] (AB207445)

Blocking/Dilution buffer : 5% NFDM/TBST.

Expressed by the liver; secreted in plasma and serum (PMID : 3183061; PMID : 16039662).

All lanes:

Western blot - Anti-SAA1 + SAA2 antibody [EPR19550] (ab207445) at 1/5000 dilution

All lanes:

Human serum at 20 µg

Secondary

All lanes:

Goat Anti-Rabbit IgG Peroxidase Conjugate, specific to the non-reduced form of IgG at 1/10000 dilution

Predicted band size: 13 kDa

Observed band size: 13 kDa

false

Exposure time: 3min

Western blot - Anti-SAA1 + SAA2 antibody [EPR19550] (AB207445)
  • WB

Supplier Data

Western blot - Anti-SAA1 + SAA2 antibody [EPR19550] (AB207445)

Blocking/Dilution buffer : 5% NFDM/TBST.

Human SAA2 and SAA4 fragment recombinant protein contain aa19-122 and aa19-130 with His-Tag® and GST-tag.

All lanes:

Western blot - Anti-SAA1 + SAA2 antibody [EPR19550] (ab207445) at 1/1000 dilution

Lane 1:

Human SAA1 active recombinant protein at 0.01 µg

Lane 2:

Human SAA2 fragment recombinant protein at 0.01 µg

Lane 3:

Human SAA4 fragment recombinant protein at 0.01 µg

Secondary

All lanes:

Western blot - Goat Anti-Rabbit IgG H&L (HRP) (<a href='/en-us/products/secondary-antibodies/goat-rabbit-igg-h-l-hrp-ab97051'>ab97051</a>) at 1/100000 dilution

Predicted band size: 13 kDa

Observed band size: 13 kDa,35 kDa

false

Exposure time: 3min

  • Carrier free

    Anti-SAA1 + SAA2 antibody [EPR19550] - BSA and Azide free

Key facts

Host species

Rabbit

Clonality

Monoclonal

Clone number

EPR19550

Isotype

IgG

Carrier free

No

Reacts with

Human

Applications

WB, IHC-P

applications

Immunogen

The exact immunogen used to generate this antibody is proprietary information.

Reactivity data

{ "title": "Reactivity Data", "filters": { "stats": ["", "Species", "Dilution Info", "Notes"], "tabs": { "all-applications": {"fullname" : "All Applications", "shortname": "All Applications"}, "WB" : {"fullname" : "Western blot", "shortname":"WB"}, "IHCP" : {"fullname" : "Immunohistochemistry (Formalin/PFA-fixed paraffin-embedded sections)", "shortname":"IHC-P"} }, "product-promise": { "all": "all", "testedAndGuaranteed": "tested", "guaranteed": "expected", "predicted": "predicted", "notRecommended": "not-recommended" } }, "values": { "Human": { "WB-species-checked": "testedAndGuaranteed", "WB-species-dilution-info": "1/5000", "WB-species-notes": "<p></p>", "IHCP-species-checked": "testedAndGuaranteed", "IHCP-species-dilution-info": "1/1000", "IHCP-species-notes": "<p></p>" }, "Recombinant fragment": { "WB-species-checked": "notRecommended", "WB-species-dilution-info": "", "WB-species-notes": "", "IHCP-species-checked": "guaranteed", "IHCP-species-dilution-info": "1/1000", "IHCP-species-notes": "<p></p>" }, "Recombinant fragment - Human": { "WB-species-checked": "testedAndGuaranteed", "WB-species-dilution-info": "1/5000", "WB-species-notes": "<p></p>", "IHCP-species-checked": "notRecommended", "IHCP-species-dilution-info": "", "IHCP-species-notes": "" } } }

Product details

Patented technology
Our RabMAb® technology is a patented hybridoma-based technology for making rabbit monoclonal antibodies. For details on our patents, please refer to RabMAb® patents.

What are the advantages of a recombinant monoclonal antibody?
This product is a recombinant monoclonal antibody, which offers several advantages including:

  • - High batch-to-batch consistency and reproducibility
  • - Improved sensitivity and specificity
  • - Long-term security of supply
  • - Animal-free batch production

For more information, read more on recombinant antibodies.

Properties and storage information

Form
Liquid
Purification technique
Affinity purification Protein A
Storage buffer
pH: 7.2 - 7.4 Preservative: 0.01% Sodium azide Constituents: PBS, 40% Glycerol (glycerin, glycerine), 0.05% BSA
Shipped at conditions
Blue Ice
Appropriate short-term storage duration
1-2 weeks
Appropriate short-term storage conditions
+4°C
Appropriate long-term storage conditions
-20°C
Aliquoting information
Upon delivery aliquot
Storage information
Avoid freeze / thaw cycle

Supplementary information

This supplementary information is collated from multiple sources and compiled automatically.

SAA1 and SAA2 collectively known as serum amyloid A proteins belong to the acute-phase reactants family. They play an important role in the body's response to inflammation. Each of these proteins has a molecular mass of approximately 12-14 kDa. They express mainly in hepatic tissue but can also be found in other tissues such as adipose tissue. During an inflammatory response their expression increases significantly making them reliable markers for inflammation.
Biological function summary

These proteins mediate several processes involving immune modulation and cholesterol efflux. SAA1 and SAA2 both function as apolipoproteins primarily associated with high-density lipoprotein (HDL) in plasma. Researchers have identified them as part of a complex of circulating acute-phase proteins that interact with cell surface receptors on various immune cells influencing leukocyte recruitment and adhesion. This interaction facilitates an effective immune response to injury or infection.

Pathways

SAA1 and SAA2 participate significantly in the acute-phase response and cholesterol metabolism pathways. These proteins enhance the transport of cholesterol to the liver for secretion into the bile. Their interaction with proteins like apolipoprotein A-I highlights their role in lipid metabolism. The Toll-like receptor pathways which are vital for innate immunity also see modulation by SAA1 and SAA2 impacting the expression of cytokines involved in inflammatory signaling.

Elevated levels of SAA1 and SAA2 are often linked with chronic inflammatory diseases such as rheumatoid arthritis and cardiovascular diseases. They are involved in the pathogenesis of amyloidosis a condition characterized by the abnormal deposition of amyloid proteins in tissues. Investigations have shown their interaction with amyloid precursor proteins suggesting a pivotal role in the development of amyloid-related pathologies. These connections indicate that SAA1 and SAA2 not only mark disease presence but potentially contribute to its progression.

Product protocols

For this product, it's our understanding that no specific protocols are required. You can visit:

Target data

Major acute phase protein.
See full target information SAA1

Publications (11)

Recent publications for all applications. Explore the full list and refine your search

Nature communications 16:6770 PubMed40695827

2025

Metabolism archetype cancer cells induce protumor TREM2 macrophages via oxLDL-mediated metabolic interplay in hepatocellular carcinoma.

Applications

Unspecified application

Species

Unspecified reactive species

Tianhao Chu,Guiqi Zhu,Zheng Tang,Weifeng Qu,Rui Yang,Haiting Pan,Yi Wang,Ruilin Tian,Leilei Chen,Zhiqi Guan,Yichao Bu,Qianfu Zhao,Jiafeng Chen,Shengwei Mao,Yuan Fang,Jun Gao,Xiaoling Wu,Jian Zhou,Weiren Liu,Dan Ye,Jia Fan,Yinghong Shi

Scientific reports 14:31233 PubMed39732788

2024

Salivary extracellular vesicles isolation methods impact the robustness of downstream biomarkers detection.

Applications

Unspecified application

Species

Unspecified reactive species

Jérémy Boulestreau,Laurence Molina,Alimata Ouedraogo,Louën Laramy,Ines Grich,Thi Nhu Ngoc Van,Franck Molina,Malik Kahli

Cell discovery 10:115 PubMed39557828

2024

Sodium oligomannate disrupts the adherence of Rib bacteria to gut epithelia to block SAA-triggered Th1 inflammation in 5XFAD transgenic mice.

Applications

Unspecified application

Species

Unspecified reactive species

Xinyi Wang,Zuoquan Xie,Jie Yuan,Enjing Jin,Wen Lian,Shuaishuai Chang,Guangqiang Sun,Zhengnan Feng,Hui Xu,Chen Du,Xinying Yang,Aihua Xia,Ji Qiu,Qingli Zhang,Feifei Lin,Jia Liu,Liang Li,Xiaoguang Du,Zhongping Xiao,Zhou Yi,Zhiyu Luo,Changrong Ge,Rui Li,Mingyue Zheng,Yi Jiang,Tao Wang,Jing Zhang,Qihao Guo,Meiyu Geng

Nature communications 14:4960 PubMed37620307

2023

Citrullinated fibrinogen-SAAs complex causes vascular metastagenesis.

Applications

Unspecified application

Species

Unspecified reactive species

Yibing Han,Takeshi Tomita,Masayoshi Kato,Norihiro Ashihara,Yumiko Higuchi,Hisanori Matoba,Weiyi Wang,Hikaru Hayashi,Yuji Itoh,Satoshi Takahashi,Hiroshi Kurita,Jun Nakayama,Nobuo Okumura,Sachie Hiratsuka

Cell research 33:585-603 PubMed37337030

2023

An invasive zone in human liver cancer identified by Stereo-seq promotes hepatocyte-tumor cell crosstalk, local immunosuppression and tumor progression.

Applications

Unspecified application

Species

Unspecified reactive species

Liang Wu,Jiayan Yan,Yinqi Bai,Feiyu Chen,Xuanxuan Zou,Jiangshan Xu,Ao Huang,Liangzhen Hou,Yu Zhong,Zehua Jing,Qichao Yu,Xiaorui Zhou,Zhifeng Jiang,Chunqing Wang,Mengnan Cheng,Yuan Ji,Yingyong Hou,Rongkui Luo,Qinqin Li,Liang Wu,Jianwen Cheng,Pengxiang Wang,Dezhen Guo,Waidong Huang,Junjie Lei,Shang Liu,Yizhen Yan,Yiling Chen,Sha Liao,Yuxiang Li,Haixiang Sun,Na Yao,Xiangyu Zhang,Shiyu Zhang,Xi Chen,Yang Yu,Yao Li,Fengming Liu,Zheng Wang,Shaolai Zhou,Huanming Yang,Shuang Yang,Xun Xu,Longqi Liu,Qiang Gao,Zhaoyou Tang,Xiangdong Wang,Jian Wang,Jia Fan,Shiping Liu,Xinrong Yang,Ao Chen,Jian Zhou

Stem cell research & therapy 13:187 PubMed35525990

2022

The role of serum amyloid A1 in the adipogenic differentiation of human adipose-derived stem cells basing on single-cell RNA sequencing analysis.

Applications

Unspecified application

Species

Unspecified reactive species

Rongmei Qu,Kai He,Yuchao Yang,Tingyu Fan,Bing Sun,Asmat Ullah Khan,Wenhua Huang,Jun Ouyang,Xinghua Pan,Jingxing Dai

Cancer science 112:2173-2184 PubMed33626219

2021

Arecoline induces epithelial-mesenchymal transformation and promotes metastasis of oral cancer by SAA1 expression.

Applications

Unspecified application

Species

Unspecified reactive species

Hui Ren,Guoqin He,Zhiyuan Lu,Qianting He,Shuai Li,Zhexun Huang,Zheng Chen,Congyuan Cao,Anxun Wang

iScience 24:102483 PubMed34113824

2021

SAA1/TLR2 axis directs chemotactic migration of hepatic stellate cells responding to injury.

Applications

Unspecified application

Species

Unspecified reactive species

Anteneh Getachew,Nasir Abbas,Kai You,Zhen Yang,Muzammal Hussain,Xinping Huang,Ziqi Cheng,Shenglin Tan,Jiawang Tao,Xiaorui Yu,Yan Chen,Fan Yang,Tingcai Pan,Yingying Xu,Guosheng Xu,Yuanqi Zhuang,FeiMa Wu,Yinxiong Li

Cell 180:79-91.e16 PubMed31866067

2019

Serum Amyloid A Proteins Induce Pathogenic Th17 Cells and Promote Inflammatory Disease.

Applications

Unspecified application

Species

Unspecified reactive species

June-Yong Lee,Jason A Hall,Lina Kroehling,Lin Wu,Tariq Najar,Henry H Nguyen,Woan-Yu Lin,Stephen T Yeung,Hernandez Moura Silva,Dayi Li,Ashley Hine,P'ng Loke,David Hudesman,Jerome C Martin,Ephraim Kenigsberg,Miriam Merad,Kamal M Khanna,Dan R Littman

EBioMedicine 41:185-199 PubMed30773478

2019

DNA damage repair alterations modulate M2 polarization of microglia to remodel the tumor microenvironment via the p53-mediated MDK expression in glioma.

Applications

Unspecified application

Species

Unspecified reactive species

Xiangqi Meng,Chunbin Duan,Hengyuan Pang,Qun Chen,Bo Han,Caijun Zha,Magafurov Dinislam,Pengfei Wu,Ziwei Li,Shihong Zhao,Ruijia Wang,Lin Lin,Chuanlu Jiang,Jinquan Cai
View all publications

Product promise

We are committed to supporting your work with high-quality reagents, and we're here for you every step of the way. In the unlikely event that one of our products does not perform as expected, you're protected by our Product Promise.
For full details, please see our Terms & Conditions

Please note: All products are 'FOR RESEARCH USE ONLY. NOT FOR USE IN DIAGNOSTIC OR THERAPEUTIC PROCEDURES'.

For licensing inquiries, please contact partnerships@abcam.com