JavaScript is disabled in your browser. Please enable JavaScript to view this website.
AB280893

Anti-SAA3 antibody [EPR23102-242] - BSA and Azide free

Be the first to review this product! Submit a review

|

(0 Publication)

Rabbit Recombinant Monoclonal SAA3 antibody. Carrier free. Suitable for ICC/IF, IP, WB, Flow Cyt (Intra) and reacts with Mouse, Rat, Recombinant fragment - Mouse samples.

View Alternative Names

Serum amyloid A-3 protein, Saa3

6 Images
Western blot - Anti-SAA3 antibody [EPR23102-242] - BSA and Azide free (AB280893)
  • WB

Lab

Western blot - Anti-SAA3 antibody [EPR23102-242] - BSA and Azide free (AB280893)

This data was developed using ab233547, the same antibody clone in a different buffer formulation.

Blocking and diluting buffer and concentration : 5% NFDM/TBST

Low expression : kidney and heart (PMID : 29056547)

Exposure time : 92 seconds

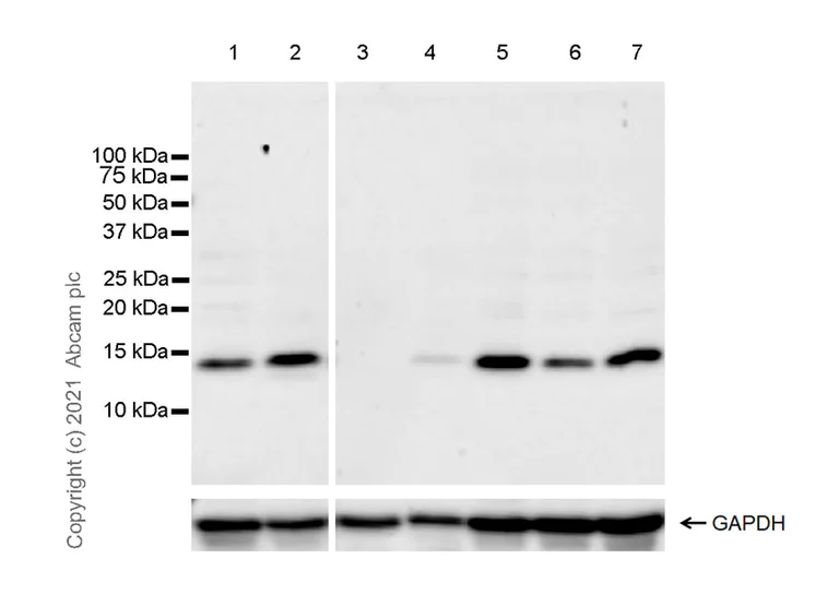
All lanes:

Western blot - Anti-SAA3 antibody [EPR23102-242] (<a href='/en-us/products/primary-antibodies/saa3-antibody-epr23102-242-ab233547'>ab233547</a>) at 1/1000 dilution

Lane 1:

Mouse colon tissue lysate at 20 µg

Lane 2:

Mouse liver tissue lysate at 20 µg

Lane 3:

Mouse kidney tissue lysate at 20 µg

Lane 4:

Mouse heart tissue lysate at 20 µg

Lane 5:

RAW 264.7 (mouse abelson murine leukemia virus-induced tumor macrophage) whole cell lysate at 20 µg

Lane 6:

J774A.1 (mouse reticulum cell sarcoma monocyte macrophage) whole cell lysate at 20 µg

Lane 7:

NR8383 (rat norvegicus lung macrophage (alveolar)) whole cell lysate at 20 µg

Secondary

All lanes:

Western blot - Goat Anti-Rabbit IgG H&L (HRP) (<a href='/en-us/products/secondary-antibodies/goat-rabbit-igg-h-l-hrp-ab97051'>ab97051</a>) at 1/100000 dilution

Observed band size: 14 kDa

false

Flow Cytometry (Intracellular) - Anti-SAA3 antibody [EPR23102-242] - BSA and Azide free (AB280893)
  • Flow Cyt (Intra)

Supplier Data

Flow Cytometry (Intracellular) - Anti-SAA3 antibody [EPR23102-242] - BSA and Azide free (AB280893)

This data was developed using ab233547, the same antibody clone in a different buffer formulation.

Intracellular flow cytometric analysis of 4% paraformaldehyde fixed 90% methanol permeabilized RAW 264.7 (Mouse Abelson murine leukemia virus-induced tumor macrophage) cells labelling SAA3 with ab233547 at 1/500 dilution (0.1ug) (Red) compared with a Rabbit monoclonal IgG (ab172730) (Black) isotype control and an unlabelled control (cells without incubation with primary antibody and secondary antibody) (Blue). A Goat anti rabbit IgG (Alexa Fluor® 488, ab150077) at 1/2000 dilution was used as the secondary antibody.

Immunocytochemistry/ Immunofluorescence - Anti-SAA3 antibody [EPR23102-242] - BSA and Azide free (AB280893)
  • ICC/IF

Supplier Data

Immunocytochemistry/ Immunofluorescence - Anti-SAA3 antibody [EPR23102-242] - BSA and Azide free (AB280893)

This data was developed using ab233547, the same antibody clone in a different buffer formulation.

Immunofluorescent analysis of 4% Paraformaldehyde-fixed, 0.1% TritonX-100 permeabilized RAW 264.7 (Mouse Abelson murine leukemia virus-induced tumor macrophage) cells labelling SAA3 with ab233547 at 1/50 dilution (9.18 ug/ml), followed by ab150077 Goat Anti-Rabbit IgG H&L (Alexa Fluor® 488) antibody at 1/1000 dilution (Green). Confocal image showing cytoplasmic staining in RAW 264.7 cells is observed. ab195889 Anti-alpha Tubulin mouse monoclonal antibody - Microtubule Marker (Alexa Fluor® 594) was used to counterstain tubulin at 1/200 dilution (Red). The Nuclear counterstain was DAPI (Blue).

Secondary antibody only control : Secondary antibody is ab150077 Goat Anti-Rabbit IgG H&L (Alexa Fluor® 488) at 1/1000 dilution.

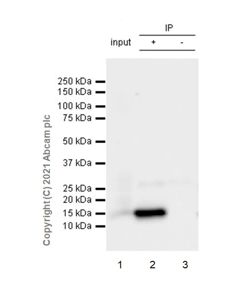
Immunoprecipitation - Anti-SAA3 antibody [EPR23102-242] - BSA and Azide free (AB280893)
  • IP

Supplier Data

Immunoprecipitation - Anti-SAA3 antibody [EPR23102-242] - BSA and Azide free (AB280893)

This data was developed using ab233547, the same antibody clone in a different buffer formulation.

SAA3 was immunoprecipitated from 0.35 mg of Mouse colon tissue lysate with ab233547 at 1/30 dilution (2ug in 0.35mg lysates). Western blot was performed on the immunoprecipitate using ab233547 at 1/1000 dilution. VeriBlot for IP Detection Reagent (HRP)(ab131366) was used at 1/5000 dilution.

Lane 1 : Mouse colon tissue lysate 10 ug

Lane 2 : ab233547 IP in Mouse colon tissue lysate

Lane 3 : Rabbit monoclonal IgG (ab172730) instead of ab233547 in Mouse colon tissue lysate

Blocking and dilution buffer and concentration : 5% NFDM/TBST.

Exposure time : 15 seconds

All lanes:

Immunoprecipitation - Anti-SAA3 antibody [EPR23102-242] (<a href='/en-us/products/primary-antibodies/saa3-antibody-epr23102-242-ab233547'>ab233547</a>)

false

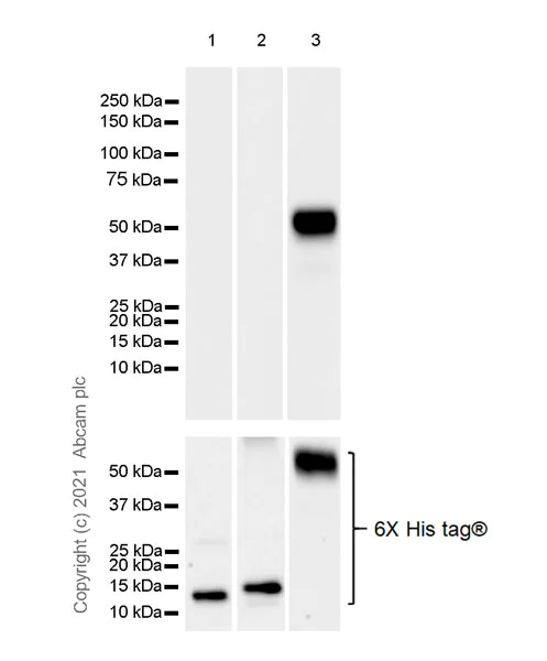
Western blot - Anti-SAA3 antibody [EPR23102-242] - BSA and Azide free (AB280893)
  • WB

Lab

Western blot - Anti-SAA3 antibody [EPR23102-242] - BSA and Azide free (AB280893)

This data was developed using ab233547, the same antibody clone in a different buffer formulation.

Blocking and diluting buffer and concentration : 5% NFDM/TBST

Exposure time : 26 seconds

All lanes:

Western blot - Anti-SAA3 antibody [EPR23102-242] (<a href='/en-us/products/primary-antibodies/saa3-antibody-epr23102-242-ab233547'>ab233547</a>) at 1/1000 dilution

Lane 1:

His-tagged mouse Saa1 recombinant protein (aa 20-122) at 0.02 µg

Lane 2:

E.coli extracts containing his-tagged mouse Saa2 recombinant protein (aa 20-122) at 20 µL

Lane 3:

His/lif-tagged mouse Saa3 recombinant protein (aa 19-122) at 0.01 µg

Secondary

All lanes:

Western blot - Goat Anti-Rabbit IgG H&L (HRP) (<a href='/en-us/products/secondary-antibodies/goat-rabbit-igg-h-l-hrp-ab97051'>ab97051</a>) at 1/100000 dilution

false

Western blot - Anti-SAA3 antibody [EPR23102-242] - BSA and Azide free (AB280893)
  • WB

Lab

Western blot - Anti-SAA3 antibody [EPR23102-242] - BSA and Azide free (AB280893)

This data was developed using ab233547, the same antibody clone in a different buffer formulation.

Blocking and diluting buffer and concentration : 5% NFDM/TBST

Low expression : kidney and heart (PMID : 29056547)

Exposure time : 92 seconds

All lanes:

Western blot - Anti-SAA3 antibody [EPR23102-242] (<a href='/en-us/products/primary-antibodies/saa3-antibody-epr23102-242-ab233547'>ab233547</a>) at 1/1000 dilution

Lane 1:

Rat colon tissue lysate at 20 µg

Lane 2:

Rat liver tissue lysate at 20 µg

Lane 3:

Rat spleen tissue lysate at 20 µg

Lane 4:

Rat kidney tissue lysate at 20 µg

Lane 5:

Rat heart tissue lysate at 20 µg

Secondary

All lanes:

Western blot - Goat Anti-Rabbit IgG H&L (HRP) (<a href='/en-us/products/secondary-antibodies/goat-rabbit-igg-h-l-hrp-ab97051'>ab97051</a>) at 1/100000 dilution

Observed band size: 14 kDa

false

  • Unconjugated

    Anti-SAA3 antibody [EPR23102-242]

  • 519 Alexa Fluor® 488

    Alexa Fluor® 488 Anti-SAA3 antibody [EPR23102-242]

  • 578 PE

    PE Anti-SAA3 antibody [EPR23102-242]

Key facts

Host species

Rabbit

Clonality

Monoclonal

Clone number

EPR23102-242

Isotype

IgG

Carrier free

Yes

Reacts with

Mouse, Rat

Applications

ICC/IF, Flow Cyt (Intra), IP, WB

applications

Immunogen

The exact immunogen used to generate this antibody is proprietary information.

Reactivity data

{ "title": "Reactivity Data", "filters": { "stats": ["", "Species", "Dilution Info", "Notes"], "tabs": { "all-applications": {"fullname" : "All Applications", "shortname": "All Applications"}, "ICCIF" : {"fullname" : "Immunocytochemistry/ Immunofluorescence", "shortname":"ICC/IF"}, "IP" : {"fullname" : "Immunoprecipitation", "shortname":"IP"}, "WB" : {"fullname" : "Western blot", "shortname":"WB"}, "IHCP" : {"fullname" : "Immunohistochemistry (Formalin/PFA-fixed paraffin-embedded sections)", "shortname":"IHC-P"}, "IHCFr" : {"fullname" : "Immunohistochemistry (Frozen sections)", "shortname":"IHC-Fr"}, "FlowCytIntra" : {"fullname" : "Flow Cytometry (Intracellular)", "shortname":"Flow Cyt (Intra)"} }, "product-promise": { "all": "all", "testedAndGuaranteed": "tested", "guaranteed": "expected", "predicted": "predicted", "notRecommended": "not-recommended" } }, "values": { "Human": { "ICCIF-species-checked": "notRecommended", "ICCIF-species-dilution-info": "", "ICCIF-species-notes": "", "IP-species-checked": "notRecommended", "IP-species-dilution-info": "", "IP-species-notes": "", "WB-species-checked": "notRecommended", "WB-species-dilution-info": "", "WB-species-notes": "", "IHCP-species-checked": "notRecommended", "IHCP-species-dilution-info": "", "IHCP-species-notes": "<p></p>", "IHCFr-species-checked": "notRecommended", "IHCFr-species-dilution-info": "", "IHCFr-species-notes": "", "FlowCytIntra-species-checked": "notRecommended", "FlowCytIntra-species-dilution-info": "", "FlowCytIntra-species-notes": "" }, "Mouse": { "ICCIF-species-checked": "testedAndGuaranteed", "ICCIF-species-dilution-info": "", "ICCIF-species-notes": "<p></p>", "IP-species-checked": "testedAndGuaranteed", "IP-species-dilution-info": "", "IP-species-notes": "<p></p>", "WB-species-checked": "testedAndGuaranteed", "WB-species-dilution-info": "", "WB-species-notes": "<p></p>", "IHCP-species-checked": "notRecommended", "IHCP-species-dilution-info": "", "IHCP-species-notes": "<p></p>", "IHCFr-species-checked": "notRecommended", "IHCFr-species-dilution-info": "", "IHCFr-species-notes": "<p></p>", "FlowCytIntra-species-checked": "testedAndGuaranteed", "FlowCytIntra-species-dilution-info": "", "FlowCytIntra-species-notes": "<p></p>" }, "Rat": { "ICCIF-species-checked": "guaranteed", "ICCIF-species-dilution-info": "", "ICCIF-species-notes": "", "IP-species-checked": "guaranteed", "IP-species-dilution-info": "", "IP-species-notes": "", "WB-species-checked": "testedAndGuaranteed", "WB-species-dilution-info": "", "WB-species-notes": "<p></p>", "IHCP-species-checked": "notRecommended", "IHCP-species-dilution-info": "", "IHCP-species-notes": "<p></p>", "IHCFr-species-checked": "notRecommended", "IHCFr-species-dilution-info": "", "IHCFr-species-notes": "<p></p>", "FlowCytIntra-species-checked": "guaranteed", "FlowCytIntra-species-dilution-info": "", "FlowCytIntra-species-notes": "" }, "Recombinant fragment - Mouse": { "ICCIF-species-checked": "notRecommended", "ICCIF-species-dilution-info": "", "ICCIF-species-notes": "", "IP-species-checked": "notRecommended", "IP-species-dilution-info": "", "IP-species-notes": "", "WB-species-checked": "testedAndGuaranteed", "WB-species-dilution-info": "", "WB-species-notes": "<p></p>", "IHCP-species-checked": "notRecommended", "IHCP-species-dilution-info": "", "IHCP-species-notes": "", "IHCFr-species-checked": "notRecommended", "IHCFr-species-dilution-info": "", "IHCFr-species-notes": "", "FlowCytIntra-species-checked": "notRecommended", "FlowCytIntra-species-dilution-info": "", "FlowCytIntra-species-notes": "" } } }

Product details

Properties and storage information

Form
Liquid
Purification technique
Affinity purification Protein A
Storage buffer
Constituents: 100% PBS
Shipped at conditions
Blue Ice
Appropriate short-term storage conditions
+4°C
Appropriate long-term storage conditions
+4°C

Supplementary information

This supplementary information is collated from multiple sources and compiled automatically.

Serum Amyloid A3 (SAA3) is a member of the serum amyloid A family of proteins and is known for its acute-phase response activity. This protein has an approximate mass of 14 kDa. SAA3 expression is mainly found in extrahepatic tissues in response to pro-inflammatory stimuli. It increases quickly during inflammation and tissue injury serving as a sensitive marker for inflammatory diseases. SAA3's function in the immune response makes it an important protein for researchers studying inflammation and related conditions.
Biological function summary

SAA3 modulates inflammatory responses and may play a role in the pathogenesis of chronic inflammatory diseases. SAA3 proteins can associate with high-density lipoprotein (HDL) in the bloodstream. Such association changes the lipid metabolism and cholesterol transport affecting the body's inflammatory state. The protein also participates in attracting immune cells like leukocytes to the site of inflammation contributing to immune surveillance and tissue repair.

Pathways

Several studies show that SAA3 participates in the toll-like receptor (TLR) signaling and nuclear factor kappa-light-chain-enhancer of activated B cells (NF-kB) pathways. These pathways are key regulators of the immune response. SAA3 activation can lead to increased cytokine production such as interleukin-1 (IL-1) and tumor necrosis factor-alpha (TNF-alpha). Its interactions with other SAAs suggest an overlap in their immune-modulating roles making them important players in systemic inflammation.

SAA3 is linked to conditions like chronic inflammatory diseases and cancer. In rheumatoid arthritis for instance elevated levels of SAA3 correlate with disease severity implicating it as a potential biomarker. The protein is also associated with atherosclerosis where it may influence the development of arterial plaques. Its connection to SAA1 and SAA2 which are also related to inflammation and amyloid deposition highlights a broader role for SAAs in inflammatory and amyloid-related pathologies.

Product protocols

For this product, it's our understanding that no specific protocols are required. You can visit:

Target data

Major acute phase reactant. Apolipoprotein of the HDL complex. In vitro exhibits antimicrobial activity against Escherichia coli, Streptococcus uberis and Pseudomonas aeruginosa (By similarity).
See full target information Saa3

Product promise

We are committed to supporting your work with high-quality reagents, and we're here for you every step of the way. In the unlikely event that one of our products does not perform as expected, you're protected by our Product Promise.
For full details, please see our Terms & Conditions

Associated Products

Select an associated product type
Alternative Version
Primary Antibodies

AB282730

Alexa Fluor® 488 Anti-SAA3 antibody [EPR23102-242]

primary-antibodies

alexa-fluor-488-saa3-antibody-epr23102-242-ab282730

0

(0 reviews)

Alternative Version
Primary Antibodies

AB303600

PE Anti-SAA3 antibody [EPR23102-242]

primary-antibodies

pe-saa3-antibody-epr23102-242-ab303600

0

(0 reviews)

Please note: All products are 'FOR RESEARCH USE ONLY. NOT FOR USE IN DIAGNOSTIC OR THERAPEUTIC PROCEDURES'.

For licensing inquiries, please contact partnerships@abcam.com