JavaScript is disabled in your browser. Please enable JavaScript to view this website.
AB247581

Anti-SAA4 antibody [EPR2926] - BSA and Azide free

Be the first to review this product! Submit a review

|

(1 Publication)

Rabbit Recombinant Monoclonal SAA4 antibody. Carrier free. Suitable for WB, Flow Cyt (Intra), IHC-P and reacts with Human samples. Cited in 1 publication.

View Alternative Names

CSAA, SAA4, Serum amyloid A-4 protein, Constitutively expressed serum amyloid A protein, C-SAA

3 Images
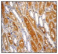
Immunohistochemistry (Formalin/PFA-fixed paraffin-embedded sections) - Anti-SAA4 antibody [EPR2926] - BSA and Azide free (AB247581)
  • IHC-P

Unknown

Immunohistochemistry (Formalin/PFA-fixed paraffin-embedded sections) - Anti-SAA4 antibody [EPR2926] - BSA and Azide free (AB247581)

This data was developed using ab92540, the same antibody clone in a different buffer formulation.

ab92540, at 1/50 dilution, staining SAA4 in formalin-fixed, paraffin-embedded Human normal kidney tissue by immunohistochemistry.

Perform heat mediated antigen retrieval via the microwave method before commencing with IHC staining protocol.

Flow Cytometry (Intracellular) - Anti-SAA4 antibody [EPR2926] - BSA and Azide free (AB247581)
  • Flow Cyt (Intra)

Unknown

Flow Cytometry (Intracellular) - Anti-SAA4 antibody [EPR2926] - BSA and Azide free (AB247581)

This data was developed using ab92540, the same antibody clone in a different buffer formulation.

Intracellular Flow Cytometry analysis of SAA4 expression in HepG2 cells using ab92540 (red) at 1/20 dilution and a control Rabbit IgG (green).

Western blot - Anti-SAA4 antibody [EPR2926] - BSA and Azide free (AB247581)
  • WB

Unknown

Western blot - Anti-SAA4 antibody [EPR2926] - BSA and Azide free (AB247581)

This data was developed using ab92540, the same antibody clone in a different buffer formulation.

All lanes:

Western blot - Anti-SAA4 antibody [EPR2926] (<a href='/en-us/products/primary-antibodies/saa4-antibody-epr2926-ab92540'>ab92540</a>) at 1/1000 dilution

All lanes:

Human plasma lysate at 10 µg

Secondary

All lanes:

HRP labelled Goat anti-Rabbit IgG at 1/2000 dilution

Predicted band size: 15 kDa

false

Key facts

Host species

Rabbit

Clonality

Monoclonal

Clone number

EPR2926

Isotype

IgG

Carrier free

Yes

Reacts with

Human

Applications

IHC-P, WB, Flow Cyt (Intra)

applications

Immunogen

The exact immunogen used to generate this antibody is proprietary information.

Reactivity data

{ "title": "Reactivity Data", "filters": { "stats": ["", "Species", "Dilution Info", "Notes"], "tabs": { "all-applications": {"fullname" : "All Applications", "shortname": "All Applications"}, "IP" : {"fullname" : "Immunoprecipitation", "shortname":"IP"}, "WB" : {"fullname" : "Western blot", "shortname":"WB"}, "FlowCytIntra" : {"fullname" : "Flow Cytometry (Intracellular)", "shortname":"Flow Cyt (Intra)"}, "IHCP" : {"fullname" : "Immunohistochemistry (Formalin/PFA-fixed paraffin-embedded sections)", "shortname":"IHC-P"} }, "product-promise": { "all": "all", "testedAndGuaranteed": "tested", "guaranteed": "expected", "predicted": "predicted", "notRecommended": "not-recommended" } }, "values": { "Human": { "IP-species-checked": "notRecommended", "IP-species-dilution-info": "", "IP-species-notes": "<p></p>", "WB-species-checked": "testedAndGuaranteed", "WB-species-dilution-info": "", "WB-species-notes": "<p></p>", "FlowCytIntra-species-checked": "testedAndGuaranteed", "FlowCytIntra-species-dilution-info": "", "FlowCytIntra-species-notes": "<p></p>", "IHCP-species-checked": "testedAndGuaranteed", "IHCP-species-dilution-info": "", "IHCP-species-notes": "<p></p>" } } }

Product details

ab247581 is the carrier-free version of ab92540.

Species reactivity
Mouse, Rat: We have preliminary internal testing data to indicate this antibody may not react with these species.
Please contact us for more information.

Patented technology
Our RabMAb® technology is a patented hybridoma-based technology for making rabbit monoclonal antibodies. For details on our patents, please refer to RabMAb® patents.

What are the advantages of a recombinant monoclonal antibody?
This product is a recombinant monoclonal antibody, which offers several advantages including:

  • - High batch-to-batch consistency and reproducibility
  • - Improved sensitivity and specificity
  • - Long-term security of supply
  • - Animal-free batch production

For more information, read more on recombinant antibodies.

Conjugation ready
Our carrier-free antibodies are typically supplied in a PBS-only formulation, purified and free of BSA, sodium azide and glycerol. This conjugation-ready format is designed for use with fluorochromes, metal isotopes, oligonucleotides, and enzymes, which makes them ideal for antibody labelling, functional and cell-based assays, flow-based assays (e.g. mass cytometry) and Multiplex Imaging applications.

Use our conjugation kits for antibody conjugates that are ready-to-use in as little as 20 minutes with 1 minute hands-on-time and 100% antibody recovery: available for fluorescent dyes, HRP, biotin and gold.

Compatibility
This product is compatible with the Maxpar® Antibody Labeling Kit from Fluidigm, without the need for antibody preparation. Maxpar® is a trademark of Fluidigm Canada Inc.

Properties and storage information

Form
Liquid
Purification technique
Affinity purification
Storage buffer
pH: 7.2 - 7.4 Constituents: PBS
Shipped at conditions
Blue Ice
Appropriate short-term storage conditions
+4°C
Appropriate long-term storage conditions
+4°C
Storage information
Do Not Freeze

Supplementary information

This supplementary information is collated from multiple sources and compiled automatically.

Serum Amyloid A4 (SAA4) also known as C-SAA is a minor apolipoprotein associated with high-density lipoprotein (HDL) in plasma. SAA4 is a protein of approximately 14 kDa in mass. It is mainly expressed in the liver and secreted into the bloodstream. The protein exists in a tetrameric form and is part of the SAA family which has four known human isoforms: SAA1 SAA2 SAA3 and SAA4.
Biological function summary

SAA4 plays a role in lipid metabolism and transport. Unlike SAA1 and SAA2 SAA4 is not significantly upregulated during acute-phase inflammatory responses. SAA4 works by stabilizing HDL particles and influencing cholesterol transport. It does not participate actively in the inflammatory response which distinguishes it from other SAA proteins. As part of the lipoprotein complex it contributes to maintaining lipid homeostasis.

Pathways

SAA4 participates in pathways associated with lipid transport and metabolism. It is involved in the reverse cholesterol transport pathway an essential system to transfer cholesterol from tissues back to the liver. SAA4 shares functional characteristics with apolipoprotein A1 (ApoA1) another key protein in HDL metabolism. Both proteins contribute to cholesterol efflux and transport although SAA4 has more structural than regulatory roles.

SAA4 has connections to cardiovascular disease and amyloidosis. Researchers have identified altered levels of SAA4 in patients with cardiovascular conditions suggesting a link to atherosclerosis. In amyloidosis although SAA4 is not a primary amyloid component its amyloidogenic potential raises interest in studying its involvement. A clear association exists between SAA4 and ApoA1 in these disorders given their shared role in HDL structure and metabolism.

Product protocols

For this product, it's our understanding that no specific protocols are required. You can visit:

Target data

Major acute phase reactant.
See full target information SAA4

Publications (1)

Recent publications for all applications. Explore the full list and refine your search

Obesity (Silver Spring, Md.) 30:666-679 PubMed35170865

2022

Exosomal miR-122 promotes adipogenesis and aggravates obesity through the VDR/SREBF1 axis.

Applications

Unspecified application

Species

Unspecified reactive species

Xiao-Yan Huang,Ji-Xiong Chen,Yi Ren,Li-Chun Fan,Wei Xiang,Xiao-Jie He
View all publications

Product promise

We are committed to supporting your work with high-quality reagents, and we're here for you every step of the way. In the unlikely event that one of our products does not perform as expected, you're protected by our Product Promise.
For full details, please see our Terms & Conditions

Please note: All products are 'FOR RESEARCH USE ONLY. NOT FOR USE IN DIAGNOSTIC OR THERAPEUTIC PROCEDURES'.

For licensing inquiries, please contact partnerships@abcam.com