JavaScript is disabled in your browser. Please enable JavaScript to view this website.
AB97523

Anti-SAE1 antibody

Be the first to review this product! Submit a review

|

(4 Publications)

Rabbit Polyclonal SAE1 antibody. Suitable for IP, WB, IHC-P, ICC/IF and reacts with Human, Mouse samples. Cited in 4 publications. Immunogen corresponding to Recombinant Fragment Protein within Human SAE1 aa 1-250.

View Alternative Names

AOS1, SUA1, UBLE1A, SAE1, SUMO-activating enzyme subunit 1, Ubiquitin-like 1-activating enzyme E1A

5 Images
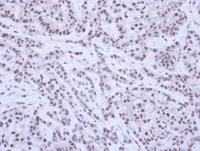
Immunohistochemistry (Formalin/PFA-fixed paraffin-embedded sections) - Anti-SAE1 antibody (AB97523)
  • IHC-P

Unknown

Immunohistochemistry (Formalin/PFA-fixed paraffin-embedded sections) - Anti-SAE1 antibody (AB97523)

Immunohistochemical analysis of paraffin-embedded A549 Xenograft, using ab97523 at 1/100 dilution.

Immunocytochemistry/ Immunofluorescence - Anti-SAE1 antibody (AB97523)
  • ICC/IF

Supplier Data

Immunocytochemistry/ Immunofluorescence - Anti-SAE1 antibody (AB97523)

Immunofluorescence analysis of HeLa cells fixed in 4% paraformaldehyde at RT for 15 min labelling SAE1 protein at nucleus using ab97523 at a 1/500 dilution (Green). phalloidin, a cytoskeleton marker, was stained at a 1/200 dilution (Red).
Scale bar= 10 µm.

Immunoprecipitation - Anti-SAE1 antibody (AB97523)
  • IP

Supplier Data

Immunoprecipitation - Anti-SAE1 antibody (AB97523)

Immunoprecipitation of SAE1 protein from HepG2 whole cell extracts using 5 µg of ab97523. Western blot analysis was performed using ab97523.

All lanes:

Immunoprecipitation - Anti-SAE1 antibody (ab97523) at 5 µg

Lane 1:

HepG2 whole cell lysates

Lane 2:

HepG2 whole cell lysates with control IgG

Lane 3:

HepG2 whole cell lysates (+)

Secondary

All lanes:

Anti-Rabbit IgG

Predicted band size: 38 kDa

false

Western blot - Anti-SAE1 antibody (AB97523)
  • WB

Unknown

Western blot - Anti-SAE1 antibody (AB97523)

10% SDS-PAGE.

All lanes:

Western blot - Anti-SAE1 antibody (ab97523) at 1/1000 dilution

Lane 1:

A431 whole cell lysate at 30 µg

Lane 2:

H1299 whole cell lysate at 30 µg

Predicted band size: 38 kDa

false

Western blot - Anti-SAE1 antibody (AB97523)
  • WB

Supplier Data

Western blot - Anti-SAE1 antibody (AB97523)

Samples were separated by 10% SDS-PAGE.

All lanes:

Western blot - Anti-SAE1 antibody (ab97523) at 1/1000 dilution

All lanes:

Mouse brain tissue lysate at 50 µg

Predicted band size: 38 kDa

false

Key facts

Host species

Rabbit

Clonality

Polyclonal

Isotype

IgG

Carrier free

No

Reacts with

Mouse, Human

Applications

WB, ICC/IF, IP, IHC-P

applications

Immunogen

Recombinant Fragment Protein within Human SAE1 aa 1-250. The exact immunogen used to generate this antibody is proprietary information.

Q9UBE0

Reactivity data

{ "title": "Reactivity Data", "filters": { "stats": ["", "Species", "Dilution Info", "Notes"], "tabs": { "all-applications": {"fullname" : "All Applications", "shortname": "All Applications"}, "IP" : {"fullname" : "Immunoprecipitation", "shortname":"IP"}, "WB" : {"fullname" : "Western blot", "shortname":"WB"}, "IHCP" : {"fullname" : "Immunohistochemistry (Formalin/PFA-fixed paraffin-embedded sections)", "shortname":"IHC-P"}, "ICCIF" : {"fullname" : "Immunocytochemistry/ Immunofluorescence", "shortname":"ICC/IF"} }, "product-promise": { "all": "all", "testedAndGuaranteed": "tested", "guaranteed": "expected", "predicted": "predicted", "notRecommended": "not-recommended" } }, "values": { "Human": { "IP-species-checked": "testedAndGuaranteed", "IP-species-dilution-info": "1/100 - 1/500", "IP-species-notes": "<p></p>", "WB-species-checked": "testedAndGuaranteed", "WB-species-dilution-info": "1/500 - 1/3000", "WB-species-notes": "<p></p>", "IHCP-species-checked": "testedAndGuaranteed", "IHCP-species-dilution-info": "1/100 - 1/1000", "IHCP-species-notes": "<p></p>", "ICCIF-species-checked": "testedAndGuaranteed", "ICCIF-species-dilution-info": "1/100 - 1/1000", "ICCIF-species-notes": "<p></p>" }, "Mouse": { "IP-species-checked": "guaranteed", "IP-species-dilution-info": "", "IP-species-notes": "", "WB-species-checked": "testedAndGuaranteed", "WB-species-dilution-info": "1/500 - 1/3000", "WB-species-notes": "<p></p>", "IHCP-species-checked": "guaranteed", "IHCP-species-dilution-info": "", "IHCP-species-notes": "", "ICCIF-species-checked": "guaranteed", "ICCIF-species-dilution-info": "", "ICCIF-species-notes": "" }, "Rat": { "IP-species-checked": "predicted", "IP-species-dilution-info": "", "IP-species-notes": "", "WB-species-checked": "predicted", "WB-species-dilution-info": "", "WB-species-notes": "", "IHCP-species-checked": "predicted", "IHCP-species-dilution-info": "", "IHCP-species-notes": "", "ICCIF-species-checked": "predicted", "ICCIF-species-dilution-info": "", "ICCIF-species-notes": "" }, "Cow": { "IP-species-checked": "predicted", "IP-species-dilution-info": "", "IP-species-notes": "", "WB-species-checked": "predicted", "WB-species-dilution-info": "", "WB-species-notes": "", "IHCP-species-checked": "predicted", "IHCP-species-dilution-info": "", "IHCP-species-notes": "", "ICCIF-species-checked": "predicted", "ICCIF-species-dilution-info": "", "ICCIF-species-notes": "" } } }

Properties and storage information

Form
Liquid
Purification technique
Affinity purification Immunogen
Storage buffer
pH: 7 Preservative: 0.01% Thimerosal (merthiolate) Constituents: 20% Glycerol (glycerin, glycerine), 1.21% Tris, 0.75% Glycine
Shipped at conditions
Blue Ice
Appropriate short-term storage conditions
+4°C
Appropriate long-term storage conditions
-20°C
Aliquoting information
Upon delivery aliquot
Storage information
Avoid freeze / thaw cycle

Supplementary information

This supplementary information is collated from multiple sources and compiled automatically.

The protein SAE1 also known as SUMO-activating enzyme subunit 1 functions mechanically as a part of the SUMOylation process. It has a mass of approximately 39 kDa and is expressed in multiple cell types but is mainly found in the nucleus. SAE1 forms a heterodimeric structure with the protein SAE2 and together they are responsible for the initial step of SUMO activation which is important for SUMOylation a post-translational modification process.
Biological function summary

SAE1 is integral to numerous cellular processes that require precise regulation such as transcription DNA repair and signal transduction. It functions as part of the SUMO E1 enzyme complex which is essential for conjugating SUMO proteins to target substrates. This modification influences protein stability localization and interaction adding a layer of control in these cellular activities. The modulation of protein function by SAE1 impacts cell cycle control and stress responses indicating its breadth of influence across cellular mechanisms.

Pathways

The actions of SAE1 significantly impact the PI3K-Akt and DNA damage repair pathways. Its involvement in these pathways highlights its role in regulating cell survival and maintaining genomic integrity. SAE1's interaction within the SUMOylation machinery connects it to other proteins such as Ubc9 the E2 conjugating enzyme which highlights its importance in facilitating modifications necessary for a wide array of cellular functions and signaling cascades.

Defects or dysregulation of SAE1 have been linked to cancer and neurodegenerative conditions. Altered SUMOylation levels controlled by SAE1 can influence tumorigenesis through abnormal cell proliferation or impaired DNA damage responses connecting it with proteins like p53 and PARP1 which are critical in those pathways. Additionally SAE1's involvement in neurological disorders is associated with disrupted protein homeostasis linking it to pathologies where proper cellular regulatory mechanisms are compromised.

Product protocols

For this product, it's our understanding that no specific protocols are required. You can visit:

Target data

The heterodimer acts as an E1 ligase for SUMO1, SUMO2, SUMO3, and probably SUMO4. It mediates ATP-dependent activation of SUMO proteins followed by formation of a thioester bond between a SUMO protein and a conserved active site cysteine residue on UBA2/SAE2.
See full target information SAE1

Publications (4)

Recent publications for all applications. Explore the full list and refine your search

IET systems biology 19:e70017 PubMed40302186

2025

SAE1 May Play a Pro-Carcinogenic Role in Pancreatic Adenocarcinoma: A Comprehensive Study Integrating Multiple Pieces of Evidence.

Applications

Unspecified application

Species

Unspecified reactive species

Yi Chen,Tong Wu,Qi Li,Ming-Jie Li,Na Yu,Li-Jueyi Meng,Xian-Jin Chen,Bang-Teng Chi,Shi-De Li,Su-Ning Huang,Gang Chen,Yu-Ping Ye,Dan-Ming Wei

NPJ precision oncology 8:258 PubMed39521913

2024

RNF4 mediated degradation of PDHA1 promotes colorectal cancer metabolism and metastasis.

Applications

Unspecified application

Species

Unspecified reactive species

Jierong Chen,Zi-Yue Li,Guansheng Zheng,Lixue Cao,Yun-Miao Guo,Qizhou Lian,Bing Gu,Cai-Feng Yue

Frontiers in cell and developmental biology 9:729211 PubMed34621746

2021

The Expression and Prognostic Value of SUMO1-Activating Enzyme Subunit 1 and Its Potential Mechanism in Triple-Negative Breast Cancer.

Applications

Unspecified application

Species

Unspecified reactive species

Qingshui Wang,Wenting Zhong,Lin Deng,Qili Lin,Youyu Lin,Hongxia Liu,Luyun Xu,Lingfang Lu,Yajuan Chen,Jianping Huang,Meichen Jiang,Han Xiao,Jie Zhang,He Li,Yuxiang Lin,Chuangui Song,Yao Lin

eLife 6: PubMed29231810

2017

entry unveils a calcium/calpain-dependent mechanism for inhibiting sumoylation.

Applications

Unspecified application

Species

Unspecified reactive species

Pierre Lapaquette,Sabrina Fritah,Nouara Lhocine,Alexandra Andrieux,Giulia Nigro,Joëlle Mounier,Philippe Sansonetti,Anne Dejean
View all publications

Product promise

We are committed to supporting your work with high-quality reagents, and we're here for you every step of the way. In the unlikely event that one of our products does not perform as expected, you're protected by our Product Promise.
For full details, please see our Terms & Conditions

Please note: All products are 'FOR RESEARCH USE ONLY. NOT FOR USE IN DIAGNOSTIC OR THERAPEUTIC PROCEDURES'.

For licensing inquiries, please contact partnerships@abcam.com