JavaScript is disabled in your browser. Please enable JavaScript to view this website.
AB250858

Anti-SAE2 / UBA2 antibody [EPR14880] - BSA and Azide free

Be the first to review this product! Submit a review

|

(1 Publication)

Rabbit Recombinant Monoclonal SAE2 / UBA2 antibody. Carrier free. Suitable for ICC/IF, IP, WB, IHC-P and reacts with Human, Mouse, Rat samples. Cited in 1 publication.

View Alternative Names

SAE2, UBLE1B, HRIHFB2115, UBA2, SUMO-activating enzyme subunit 2, Anthracycline-associated resistance ARX, Ubiquitin-like 1-activating enzyme E1B, Ubiquitin-like modifier-activating enzyme 2

6 Images
Immunohistochemistry (Formalin/PFA-fixed paraffin-embedded sections) - Anti-SAE2 / UBA2 antibody [EPR14880] - BSA and Azide free (AB250858)
  • IHC-P

Supplier Data

Immunohistochemistry (Formalin/PFA-fixed paraffin-embedded sections) - Anti-SAE2 / UBA2 antibody [EPR14880] - BSA and Azide free (AB250858)

This data was developed using ab185955, the same antibody clone in a different buffer formulation.

Immunohistochemical analysis of paraffin-embedded Human colon tissue labeling SAE2 / UBA2 with ab185955 at 1/50 dilution followed by prediluted HRP Polymer for Rabbit IgG. Counter stained with Hematoxylin.

Perform heat mediated antigen retrieval with EDTA buffer pH 9 before commencing with IHC staining protocol.

Immunocytochemistry/ Immunofluorescence - Anti-SAE2 / UBA2 antibody [EPR14880] - BSA and Azide free (AB250858)
  • ICC/IF

Supplier Data

Immunocytochemistry/ Immunofluorescence - Anti-SAE2 / UBA2 antibody [EPR14880] - BSA and Azide free (AB250858)

This data was developed using ab185955, the same antibody clone in a different buffer formulation.

Immunofluorescent analysis of acetone-fixed HeLa cells labeling SAE2 / UBA2 with ab185955 at 1/100 dilution followed by Goat anti rabbit IgG (Alexa Fluor®488) secondary antibody at 1/200 dilution.

Immunoprecipitation - Anti-SAE2 / UBA2 antibody [EPR14880] - BSA and Azide free (AB250858)
  • IP

Supplier Data

Immunoprecipitation - Anti-SAE2 / UBA2 antibody [EPR14880] - BSA and Azide free (AB250858)

This data was developed using ab185955, the same antibody clone in a different buffer formulation.

Western blot analysis of SAE2 / UBA2 in K562 cell lysate immunoprecipitated with ab185955 at 1/50 dilution.

Secondary antibody : Goat Anti-Rabbit IgG, (H+L), Peroxidase conjugate at 1/1000 dilution.

All lanes:

Immunoprecipitation - Anti-SAE2 / UBA2 antibody [EPR14880] (<a href='/en-us/products/primary-antibodies/sae2-uba2-antibody-epr14880-ab185955'>ab185955</a>)

Predicted band size: 71 kDa

false

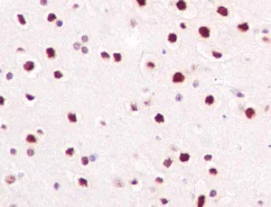
Immunohistochemistry (Formalin/PFA-fixed paraffin-embedded sections) - Anti-SAE2 / UBA2 antibody [EPR14880] - BSA and Azide free (AB250858)
  • IHC-P

Supplier Data

Immunohistochemistry (Formalin/PFA-fixed paraffin-embedded sections) - Anti-SAE2 / UBA2 antibody [EPR14880] - BSA and Azide free (AB250858)

This data was developed using ab185955, the same antibody clone in a different buffer formulation.

Immunohistochemical analysis of paraffin-embedded Mouse brain tissue labeling SAE2 / UBA2 with ab185955 at 1/50 dilution followed by prediluted HRP Polymer for Rabbit IgG. Counter stained with Hematoxylin.

Perform heat mediated antigen retrieval with EDTA buffer pH 9 before commencing with IHC staining protocol.

Western blot - Anti-SAE2 / UBA2 antibody [EPR14880] - BSA and Azide free (AB250858)
  • WB

Supplier Data

Western blot - Anti-SAE2 / UBA2 antibody [EPR14880] - BSA and Azide free (AB250858)

This data was developed using ab185955, the same antibody clone in a different buffer formulation.

All lanes:

Western blot - Anti-SAE2 / UBA2 antibody [EPR14880] (<a href='/en-us/products/primary-antibodies/sae2-uba2-antibody-epr14880-ab185955'>ab185955</a>) at 1/1000 dilution

Lane 1:

HeLa cell lysate at 20 µg

Lane 2:

A549 cell lysate at 20 µg

Lane 3:

K562 cell lysate at 20 µg

Secondary

All lanes:

Goat Anti-Rabbit IgG, (H+L), Peroxidase conjugate at 1/1000 dilution

Predicted band size: 71 kDa

Observed band size: 90 kDa

false

Western blot - Anti-SAE2 / UBA2 antibody [EPR14880] - BSA and Azide free (AB250858)
  • WB

Supplier Data

Western blot - Anti-SAE2 / UBA2 antibody [EPR14880] - BSA and Azide free (AB250858)

This data was developed using ab185955, the same antibody clone in a different buffer formulation.

All lanes:

Western blot - Anti-SAE2 / UBA2 antibody [EPR14880] (<a href='/en-us/products/primary-antibodies/sae2-uba2-antibody-epr14880-ab185955'>ab185955</a>) at 1/1000 dilution

Lane 1:

RAW 264.7 cell lysate at 10 µg

Lane 2:

PC-12 cell lysate at 10 µg

Secondary

All lanes:

Goat anti-rabbit IgG, (H+L), peroxidase conjugated at 1/1000 dilution

Predicted band size: 71 kDa

Observed band size: 90 kDa

false

Key facts

Host species

Rabbit

Clonality

Monoclonal

Clone number

EPR14880

Isotype

IgG

Carrier free

Yes

Reacts with

Mouse, Rat, Human

Applications

IP, ICC/IF, IHC-P, WB

applications

Immunogen

The exact immunogen used to generate this antibody is proprietary information.

Reactivity data

{ "title": "Reactivity Data", "filters": { "stats": ["", "Species", "Dilution Info", "Notes"], "tabs": { "all-applications": {"fullname" : "All Applications", "shortname": "All Applications"}, "ICCIF" : {"fullname" : "Immunocytochemistry/ Immunofluorescence", "shortname":"ICC/IF"}, "IP" : {"fullname" : "Immunoprecipitation", "shortname":"IP"}, "WB" : {"fullname" : "Western blot", "shortname":"WB"}, "IHCP" : {"fullname" : "Immunohistochemistry (Formalin/PFA-fixed paraffin-embedded sections)", "shortname":"IHC-P"} }, "product-promise": { "all": "all", "testedAndGuaranteed": "tested", "guaranteed": "expected", "predicted": "predicted", "notRecommended": "not-recommended" } }, "values": { "Human": { "ICCIF-species-checked": "testedAndGuaranteed", "ICCIF-species-dilution-info": "", "ICCIF-species-notes": "<p></p>", "IP-species-checked": "testedAndGuaranteed", "IP-species-dilution-info": "", "IP-species-notes": "<p></p>", "WB-species-checked": "testedAndGuaranteed", "WB-species-dilution-info": "", "WB-species-notes": "<p></p>", "IHCP-species-checked": "testedAndGuaranteed", "IHCP-species-dilution-info": "", "IHCP-species-notes": "<p></p>" }, "Mouse": { "ICCIF-species-checked": "guaranteed", "ICCIF-species-dilution-info": "", "ICCIF-species-notes": "", "IP-species-checked": "guaranteed", "IP-species-dilution-info": "", "IP-species-notes": "", "WB-species-checked": "testedAndGuaranteed", "WB-species-dilution-info": "", "WB-species-notes": "<p></p>", "IHCP-species-checked": "testedAndGuaranteed", "IHCP-species-dilution-info": "", "IHCP-species-notes": "<p></p>" }, "Rat": { "ICCIF-species-checked": "guaranteed", "ICCIF-species-dilution-info": "", "ICCIF-species-notes": "", "IP-species-checked": "guaranteed", "IP-species-dilution-info": "", "IP-species-notes": "", "WB-species-checked": "testedAndGuaranteed", "WB-species-dilution-info": "", "WB-species-notes": "<p></p>", "IHCP-species-checked": "guaranteed", "IHCP-species-dilution-info": "", "IHCP-species-notes": "" } } }

Product details

ab250858 is the carrier-free version of ab185955.

Patented technology
Our RabMAb® technology is a patented hybridoma-based technology for making rabbit monoclonal antibodies. For details on our patents, please refer to RabMAb® patents.

What are the advantages of a recombinant monoclonal antibody?
This product is a recombinant monoclonal antibody, which offers several advantages including:

  • - High batch-to-batch consistency and reproducibility
  • - Improved sensitivity and specificity
  • - Long-term security of supply
  • - Animal-free batch production

For more information, read more on recombinant antibodies.

Conjugation ready
Our carrier-free antibodies are typically supplied in a PBS-only formulation, purified and free of BSA, sodium azide and glycerol. This conjugation-ready format is designed for use with fluorochromes, metal isotopes, oligonucleotides, and enzymes, which makes them ideal for antibody labelling, functional and cell-based assays, flow-based assays (e.g. mass cytometry) and Multiplex Imaging applications.

Use our conjugation kits for antibody conjugates that are ready-to-use in as little as 20 minutes with 1 minute hands-on-time and 100% antibody recovery: available for fluorescent dyes, HRP, biotin and gold.

Compatibility
This product is compatible with the Maxpar® Antibody Labeling Kit from Fluidigm, without the need for antibody preparation. Maxpar® is a trademark of Fluidigm Canada Inc.

Properties and storage information

Form
Liquid
Purification technique
Affinity purification Protein A
Storage buffer
pH: 7.2 - 7.4 Constituents: PBS
Shipped at conditions
Blue Ice
Appropriate short-term storage conditions
+4°C
Appropriate long-term storage conditions
+4°C
Storage information
Do Not Freeze

Supplementary information

This supplementary information is collated from multiple sources and compiled automatically.

SAE2 also known as UBA2 is a protein involved mechanically in the SUMO (Small Ubiquitin-like Modifier) conjugation pathway. It functions as an E1 activating enzyme collaborating closely with its partner SAE1 in the initiation of SUMOylation. SAE2 has a known molecular mass of approximately 72 kDa. It is widely expressed in various tissues with high expressions noted in the nucleus. This expression pattern suggests it plays a role in maintaining cellular processes under a variety of conditions.
Biological function summary

This protein plays an important role in the post-translational modification process of SUMOylation which is critical for regulating protein function. SAE2 is part of the E1 activating enzyme complex working specifically with SAE1 to activate and transfer SUMO to target proteins. It contributes to cellular processes such as nuclear-cytosolic transport chromosome segregation and DNA repair. This indicates its functions are central to maintaining genomic stability and cellular homeostasis.

Pathways

SAE2 is integral in the SUMOylation pathway which interacts with critical cellular pathways like the DNA damage response and cell cycle regulation pathways. It has important interactions with proteins such as UBE2I (also known as Ubc9) the only E2 enzyme in the SUMOylation cascade and PIAS family proteins which function as E3 ligases. These connections allow SAE2 to influence various pathways essential for cell survival and proliferation.

SAE2 influences pathological conditions such as cancer and neurodegenerative diseases. Its role in SUMOylation connects it to the regulation of oncogenic pathways potentially linking it with proteins like p53 a well-known tumor suppressor. In neurodegenerative diseases alterations in SUMOylation pathways with SAE2 as a participant might affect proteins involved in neuron function and survival contributing to disease progression. Understanding SAE2's interactions in these diseases might provide insights into therapeutic strategies.

Product protocols

For this product, it's our understanding that no specific protocols are required. You can visit:

Target data

The heterodimer acts as an E1 ligase for SUMO1, SUMO2, SUMO3, and probably SUMO4. It mediates ATP-dependent activation of SUMO proteins followed by formation of a thioester bond between a SUMO protein and a conserved active site cysteine residue on UBA2/SAE2.
See full target information UBA2

Publications (1)

Recent publications for all applications. Explore the full list and refine your search

Journal of radiation research 64:833-841 PubMed37439405

2023

Expression of TMEM59L associated with radiosensitive in glioblastoma.

Applications

Unspecified application

Species

Unspecified reactive species

Dezhi Gao,Peng Wang,Lin Zhi,Shibin Sun,Xiaoguang Qiu,Yanwei Liu
View all publications

Product promise

We are committed to supporting your work with high-quality reagents, and we're here for you every step of the way. In the unlikely event that one of our products does not perform as expected, you're protected by our Product Promise.
For full details, please see our Terms & Conditions

Please note: All products are 'FOR RESEARCH USE ONLY. NOT FOR USE IN DIAGNOSTIC OR THERAPEUTIC PROCEDURES'.

For licensing inquiries, please contact partnerships@abcam.com