JavaScript is disabled in your browser. Please enable JavaScript to view this website.
AB233388

Anti-SAGE1 antibody [EPR21747]

  • BOND RX™ Validated
  • 20ul selling size
  • RabMAb
  • Advanced Validation
  • Recombinant
  • What is this?

Be the first to review this product! Submit a review

|

(1 Publication)

Rabbit Recombinant Monoclonal SAGE1 antibody. Suitable for IHC-P, mIHC and reacts with Human samples. Cited in 1 publication.

View Alternative Names

SAGE, SAGE1, Sarcoma antigen 1, Cancer/testis antigen 14, CT14

5 Images
Immunohistochemistry (Formalin/PFA-fixed paraffin-embedded sections) - Anti-SAGE1 antibody [EPR21747] (AB233388)
  • IHC-P

Supplier Data

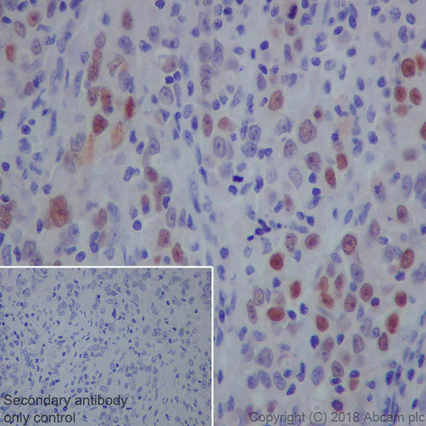
Immunohistochemistry (Formalin/PFA-fixed paraffin-embedded sections) - Anti-SAGE1 antibody [EPR21747] (AB233388)

Immunohistochemical analysis of paraffin-embedded human placenta tissue labeling SAGE1 with ab233388 at 1/250 dilution, followed by Goat Anti-Rabbit IgG H&L (HRP) Ready to use.

Negative control : No staining in human placenta (PMID : 26252478).

Counter stained with Hematoxylin.

Secondary antibody only control : Used PBS instead of primary antibody, secondary antibody is Goat Anti-Rabbit IgG H&L (HRP) Ready to use.

Heat mediated antigen retrieval was performed with Tris/EDTA buffer pH 9.0 before commencing with IHC staining protocol.

Immunohistochemistry (Formalin/PFA-fixed paraffin-embedded sections) - Anti-SAGE1 antibody [EPR21747] (AB233388)
  • IHC-P

Supplier Data

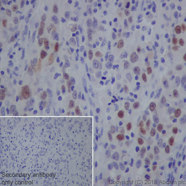
Immunohistochemistry (Formalin/PFA-fixed paraffin-embedded sections) - Anti-SAGE1 antibody [EPR21747] (AB233388)

Immunohistochemical analysis of paraffin-embedded human bladder cancer tissue labeling SAGE1 with ab233388 at 1/250 dilution, followed by Goat Anti-Rabbit IgG H&L (HRP) Ready to use. Nuclear staining in human bladder cancer (PMID : 10919659). Counter stained with Hematoxylin.

Secondary antibody only control : Used PBS instead of primary antibody, secondary antibody is Goat Anti-Rabbit IgG H&L (HRP) Ready to use.

Heat mediated antigen retrieval was performed with Tris/EDTA buffer pH 9.0 before commencing with IHC staining protocol.

Immunohistochemistry (Formalin/PFA-fixed paraffin-embedded sections) - Anti-SAGE1 antibody [EPR21747] (AB233388)
  • IHC-P

Supplier Data

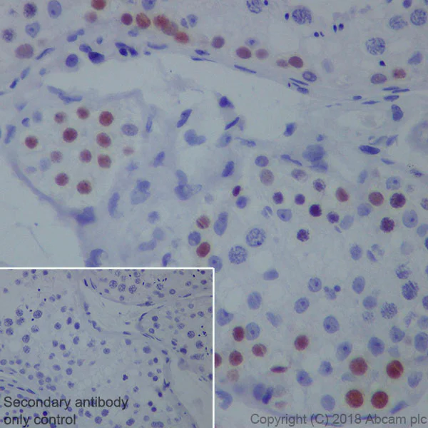
Immunohistochemistry (Formalin/PFA-fixed paraffin-embedded sections) - Anti-SAGE1 antibody [EPR21747] (AB233388)

Immunohistochemical analysis of paraffin-embedded human testis tissue labeling SAGE1 with ab233388 at 1/250 dilution, followed by Goat Anti-Rabbit IgG H&L (HRP) Ready to use. Nuclear staining in spermatogonia of human testis (PMID : 26252478). Counter stained with Hematoxylin.

Secondary antibody only control : Used PBS instead of primary antibody, secondary antibody is Goat Anti-Rabbit IgG H&L (HRP) Ready to use.

Heat mediated antigen retrieval was performed with Tris/EDTA buffer pH 9.0 before commencing with IHC staining protocol.

Multiplex immunohistochemistry - Anti-SAGE1 antibody [EPR21747] (AB233388)
  • mIHC

Lab

Multiplex immunohistochemistry - Anti-SAGE1 antibody [EPR21747] (AB233388)

Fluorescence multiplex immunohistochemical analysis of formalin/PFA-fixed paraffin-embedded Human testis tissue. Panel A : Merged staining of anti-IGF2BP1/IMP1 (green; Opal™690), anti-TPTE (gray; Opal™520) and anti-SAGE1 (red; Opal™570) on human testis. Panel B : Anti-IGF2BP1/IMP1 stained on cytoplasm of spermatogonia. Panel C : Anti-TPTE stained on spermatocytes. Panel D : Anti-SAGE1 stained on nucleus of spermatogonia. The section was incubated in three rounds of staining : in the order of ab290736, ab250148, and ab233388 for 30 mins at room temperature. Each round was followed by a separate fluorescent tyramide signal amplification system.The immunostaining was performed on a Leica Biosystems BOND® RX instrument with an Opal™ 4-color kit. Image acquisition was performed with Leica SP8 confocal microscope. Heat mediated antigen retrieval with Tris-EDTA buffer (pH 9.0, epitope retrieval solution 2) for 20 mins. Counterstained with DAPI.

Multiplex immunohistochemistry - Anti-SAGE1 antibody [EPR21747] (AB233388)
  • mIHC

Supplier Data

Multiplex immunohistochemistry - Anti-SAGE1 antibody [EPR21747] (AB233388)

Multiplex immunohistochemical analysis of formalin/PFA-fixed paraffin-embedded Human testis tissue sections labeling DKKL1 with ab316308 at a 1/2000 dilutions (B), Wilms Tumor Protein with ab275970 at a 1/1200 dilutions (C), and SAGE1 with ab233388 at a 1/250 dilutions (D). Opal Polymer HRP Ms + Rb was used as a secondary antibody.

Panel A : merged staining of anti-DKKL1 (red; Opal™ 570), anti-Wilms Tumor Protein (green; Opal™ 520) and anti-SAGE1 (gray; Opal™ 690) on human testis.
Panel B : anti-DKKL1 staining mature sperm cells in human testis.
Panel C : anti-Wilms Tumor Protein staining sertoli cells in human testis.
Panel D : anti-SAGE1 staining spermatogonia in human testis.

Heat mediated antigen retrieval with Tris-EDTA buffer (pH 9.0, epitope retrieval solution2) for 20 mins. The section was incubated in three rounds of staining : in the order of ab316308, ab275970, and ab233388 for 30 mins at room temperature. Each round was followed by a separate fluorescent tyramide signal amplification system.

DAPI was used as a nuclear counterstain.

The immunostaining was performed on a Leica Biosystems BOND® RX instrument with an Opal™ 4-color kit. Image acquisition was performed with Leica SP8 confocal microscope.

Key facts

Host species

Rabbit

Clonality

Monoclonal

Clone number

EPR21747

Isotype

IgG

Carrier free

No

Reacts with

Human

Applications

mIHC, IHC-P

applications

Immunogen

The exact immunogen used to generate this antibody is proprietary information.

Reactivity data

{ "title": "Reactivity Data", "filters": { "stats": ["", "Species", "Dilution Info", "Notes"], "tabs": { "all-applications": {"fullname" : "All Applications", "shortname": "All Applications"}, "IHCP" : {"fullname" : "Immunohistochemistry (Formalin/PFA-fixed paraffin-embedded sections)", "shortname":"IHC-P"}, "mIHC" : {"fullname" : "Multiplex immunohistochemistry", "shortname":"mIHC"} }, "product-promise": { "all": "all", "testedAndGuaranteed": "tested", "guaranteed": "expected", "predicted": "predicted", "notRecommended": "not-recommended" } }, "values": { "Human": { "IHCP-species-checked": "testedAndGuaranteed", "IHCP-species-dilution-info": "1/250", "IHCP-species-notes": "<p></p>", "mIHC-species-checked": "testedAndGuaranteed", "mIHC-species-dilution-info": "1/1200", "mIHC-species-notes": "<p></p>" } } }

Product details

Patented technology
Our RabMAb® technology is a patented hybridoma-based technology for making rabbit monoclonal antibodies. For details on our patents, please refer to RabMAb® patents.

What are the advantages of a recombinant monoclonal antibody?
This product is a recombinant monoclonal antibody, which offers several advantages including:

  • - High batch-to-batch consistency and reproducibility
  • - Improved sensitivity and specificity
  • - Long-term security of supply
  • - Animal-free batch production

For more information, read more on recombinant antibodies.

Properties and storage information

Form
Liquid
Purification technique
Affinity purification Protein A
Storage buffer
pH: 7.2 - 7.4 Preservative: 0.01% Sodium azide Constituents: PBS, 40% Glycerol (glycerin, glycerine), 0.05% BSA
Shipped at conditions
Blue Ice
Appropriate short-term storage duration
1-2 weeks
Appropriate short-term storage conditions
+4°C
Appropriate long-term storage conditions
-20°C
Aliquoting information
Upon delivery aliquot
Storage information
Avoid freeze / thaw cycle

Supplementary information

This supplementary information is collated from multiple sources and compiled automatically.

The SAGE1 protein also known as Sarcoma Antigen Gene 1 has a molecular weight of approximately 29 kDa. It is primarily expressed in the testis with occasional expression in certain tumor types. SAGE1 belongs to the cancer/testis antigen family indicating its role in reproductive or tumor-specific functions. Researchers find it predominantly expressed in various types of sarcomas and some cancers drawing attention to its role in oncological studies.
Biological function summary

The SAGE1 protein shows expression linked to cellular processes specific to testis development and potentially in tumorigenesis. It might be part of a complex influencing cellular differentiation and proliferation. Studies indicate that SAGE1 has roles in cell signaling pathways that help modulate gene expression. Researchers continue to investigate its involvement in linking normal physiological functions within testis tissues to aberrations seen in cancerous transformations.

Pathways

Research focuses on the involvement of SAGE1 in signaling pathways like the MAPK pathway and possibly the PI3K/AKT pathway. These pathways are significant in cell division and survival providing possible mechanisms where SAGE1 affects cellular behavior. The MAPK pathway associates SAGE1 with proteins like RAF and MEK while in the PI3K/AKT pathway proteins like AKT1 might interact reflecting the influence of SAGE1 on cell growth and survival.

Researchers note significant correlations between SAGE1 expression and certain cancers particularly sarcomas and testicular cancer. The expression of SAGE1 in these conditions suggests it as a potential biomarker for diagnosis or treatment targets. In cancerous states the presence of SAGE1 connects with altered pathways involving proteins such as BCL2 which impacts cell apoptosis emphasizing its role in the pathology of these diseases.

Product protocols

For this product, it's our understanding that no specific protocols are required. You can visit:

Publications (1)

Recent publications for all applications. Explore the full list and refine your search

International journal of molecular sciences 26: PubMed40244230

2025

Aldosterone-Induced Transformation of Vascular Smooth Muscle Cells into Macrophage-like Cells Participates in Inflammatory Vascular Lesions.

Applications

Unspecified application

Species

Unspecified reactive species

Boya Zhang,Ziqian Liu,Yi Chang,Ruyan Lv,Haixia Guo,Panpan Qiang,Tatsuo Shimosawa,Qingyou Xu,Fan Yang
View all publications

Product promise

We are committed to supporting your work with high-quality reagents, and we're here for you every step of the way. In the unlikely event that one of our products does not perform as expected, you're protected by our Product Promise.
For full details, please see our Terms & Conditions

Please note: All products are 'FOR RESEARCH USE ONLY. NOT FOR USE IN DIAGNOSTIC OR THERAPEUTIC PROCEDURES'.

For licensing inquiries, please contact partnerships@abcam.com