JavaScript is disabled in your browser. Please enable JavaScript to view this website.
AB201450

Anti-Salivary alpha amylase antibody [EPR19605]

Be the first to review this product! Submit a review

|

(3 Publications)

Rabbit Recombinant Monoclonal AMY1A antibody. Suitable for WB, IHC-P and reacts with Human samples. Cited in 3 publications.

View Alternative Names

AMY1, AMY1A, Alpha-amylase 1A, Salivary alpha-amylase

7 Images
Immunohistochemistry (Formalin/PFA-fixed paraffin-embedded sections) - Anti-Salivary alpha amylase antibody [EPR19605] (AB201450)
  • IHC-P

Supplier Data

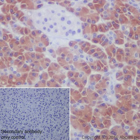
Immunohistochemistry (Formalin/PFA-fixed paraffin-embedded sections) - Anti-Salivary alpha amylase antibody [EPR19605] (AB201450)

Immunohistochemical analysis of paraffin-embedded human pancreas tissue labeling salivary alpha-amylase + pancreatic alpha-amylase + alpha-carcinoid alpha-amylase with ab201450 at 1/2000 dilution followed by Goat Anti-Rabbit IgG H&L (HRP) (ab97051) at 1/500 dilution. Cytoplasmic staining on human pancreas is observed. Counter stained with Hematoxylin.

Secondary antibody only control : Used PBS instead of primary antibody secondary antibody is Goat Anti-Rabbit IgG H&L (HRP) (ab97051) at 1/500 dilution.

Perform heat mediated antigen retrieval with Tris/EDTA buffer pH 9.0 before commencing with IHC staining protocol.

Immunohistochemistry (Formalin/PFA-fixed paraffin-embedded sections) - Anti-Salivary alpha amylase antibody [EPR19605] (AB201450)
  • IHC-P

Supplier Data

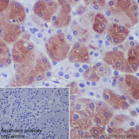
Immunohistochemistry (Formalin/PFA-fixed paraffin-embedded sections) - Anti-Salivary alpha amylase antibody [EPR19605] (AB201450)

Immunohistochemical analysis of paraffin-embedded human parotid gland tissue labeling salivary alpha-amylase + pancreatic alpha-amylase + alpha-carcinoid alpha-amylase with ab201450 at 1/2000 dilution followed by Goat Anti-Rabbit IgG H&L (HRP) (ab97051) at 1/500 dilution. Cytoplasmic staining on human parotid gland is observed. Counter stained with Hematoxylin.

Secondary antibody only control : Used PBS instead of primary antibody secondary antibody is Goat Anti-Rabbit IgG H&L (HRP) (ab97051) at 1/500 dilution.

Perform heat mediated antigen retrieval with Tris/EDTA buffer pH 9.0 before commencing with IHC staining protocol.

Immunohistochemistry (Formalin/PFA-fixed paraffin-embedded sections) - Anti-Salivary alpha amylase antibody [EPR19605] (AB201450)
  • IHC-P

Supplier Data

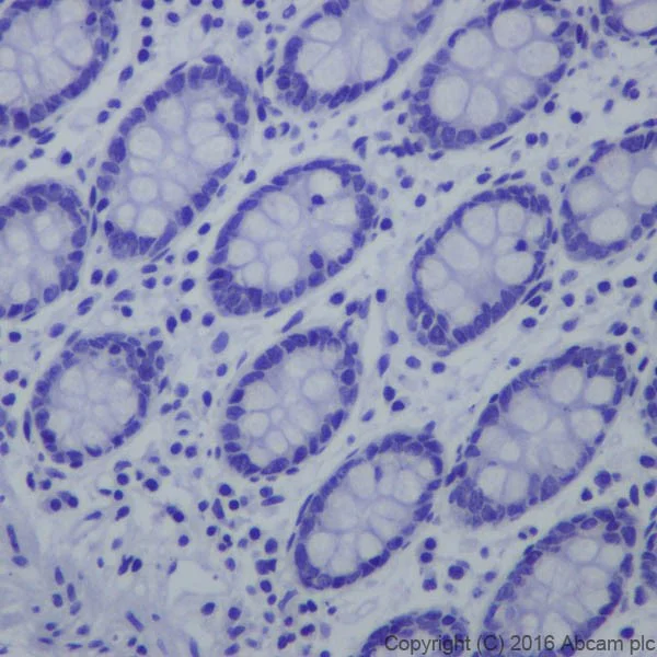
Immunohistochemistry (Formalin/PFA-fixed paraffin-embedded sections) - Anti-Salivary alpha amylase antibody [EPR19605] (AB201450)

Immunohistochemical analysis of paraffin-embedded human colon tissue with ab201450 at 1/2000 dilution followed by Goat Anti-Rabbit IgG H&L (HRP) (ab97051) at 1/500 dilution.

Negative control : No staining on human colon.

Counter stained with Hematoxylin.

Perform heat mediated antigen retrieval with Tris/EDTA buffer pH 9.0 before commencing with IHC staining protocol.

Western blot - Anti-Salivary alpha amylase antibody [EPR19605] (AB201450)
  • WB

Supplier Data

Western blot - Anti-Salivary alpha amylase antibody [EPR19605] (AB201450)

Blocking/Dilution buffer : 5% NFDM/TBST.

All lanes:

Western blot - Anti-Salivary alpha amylase antibody [EPR19605] (ab201450) at 1/5000 dilution

All lanes:

Human pancreas lysate at 10 µg

Secondary

All lanes:

Goat Anti-Rabbit IgG Peroxidase Conjugate, specific to the non-reduced form of IgG at 1/10000 dilution

Predicted band size: 58 kDa

Observed band size: 57 kDa

false

Exposure time: 10s

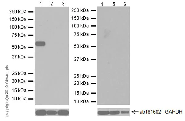
Western blot - Anti-Salivary alpha amylase antibody [EPR19605] (AB201450)
  • WB

Supplier Data

Western blot - Anti-Salivary alpha amylase antibody [EPR19605] (AB201450)

Blocking/Dilution buffer : 5% NFDM/TBST.

The expression profile observed is consistent with what has been described in the literature (PMID : 3261213).

Lanes 1 - 3:

Western blot - Anti-Salivary alpha amylase antibody [EPR19605] (ab201450) at 1/20000 dilution

Lanes 4 - 6:

Western blot - Anti-Salivary alpha amylase antibody [EPR19605] (ab201450) at 1/1000 dilution

Lane 1:

Human parotid gland lysate at 10 µg

Lane 2:

Human fetal brain lysate at 10 µg

Lane 3:

Human fetal liver lysate at 10 µg

Lane 4:

Human fetal heart lysate at 10 µg

Lane 5:

Human fetal kidney lysate at 10 µg

Lane 6:

Human fetal spleen lysate at 10 µg

Secondary

All lanes:

Goat Anti-Rabbit IgG Peroxidase Conjugate, specific to the non-reduced form of IgG at 1/10000 dilution

Predicted band size: 36 kDa,58 kDa

Observed band size: 57 kDa

false

Exposure time: 3min

Western blot - Anti-Salivary alpha amylase antibody [EPR19605] (AB201450)
  • WB

Supplier Data

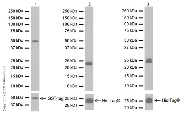
Western blot - Anti-Salivary alpha amylase antibody [EPR19605] (AB201450)

Blocking/Dilution buffer : 5% NFDM/TBST.

Human salivary alpha-amylase contains aa311-511 with a GST-tag. Human pancreatic alpha-amylase and alpha-carcinoid alpha-amylase fragment recombinant proteins contain aa311-511 with a His-Tag®. These three recombinant proteins were made in-house.

All lanes:

Western blot - Anti-Salivary alpha amylase antibody [EPR19605] (ab201450) at 1/10000 dilution

Lane 1:

Human salivary alpha-amylase fragment recombinant protein at 0.01 µg

Lane 2:

Human pancreatic alpha-amylase fragment recombinant protein at 0.01 µg

Lane 3:

Human alpha-carcinoid alpha-amylase fragment recombinant protein at 0.01 µg

Secondary

All lanes:

Western blot - Goat Anti-Rabbit IgG H&L (HRP) (<a href='/en-us/products/secondary-antibodies/goat-rabbit-igg-h-l-hrp-ab97051'>ab97051</a>) at 1/100000 dilution

Predicted band size: 58 kDa

Observed band size: 22 kDa,50 kDa

false

Exposure time: 15s

Western blot - Anti-Salivary alpha amylase antibody [EPR19605] (AB201450)
  • WB

CiteAb

Western blot - Anti-Salivary alpha amylase antibody [EPR19605] (AB201450)

Salivary alpha amylase western blot using anti-Salivary alpha amylase antibody [EPR19605] ab201450. Publication image and figure legend from Odanaka, H., Obama, T., et al., 2020, Biol Res, PubMed 31941552.

ab201450 was used in this publication in western blot. This may not be the same as the application(s) guaranteed by Abcam. For a full list of applications guaranteed by Abcam for ab201450 please see the product overview.

Detection of pellicle proteins by western blot. Samples (5 μg/lane) from pellicle, GCF, parotid gland, and mixed gland, were subjected to SDS-PAGE. Three pellicle proteins, cystatin S (a), α-amylase (b), and serotransferrin (c), were examined by western blot

false

  • Carrier free

    Anti-Salivary alpha amylase antibody [EPR19605] - BSA and Azide free

Key facts

Host species

Rabbit

Clonality

Monoclonal

Clone number

EPR19605

Isotype

IgG

Carrier free

No

Reacts with

Human

Applications

WB, IHC-P

applications

Immunogen

The exact immunogen used to generate this antibody is proprietary information.

Specificity

This product reacts with Salivary alpha amylase (P04745), Pancreatic alpha amylase (P04746) and Carcinoid alpha amylase (P19961) due to high sequence homology.

Reactivity data

{ "title": "Reactivity Data", "filters": { "stats": ["", "Species", "Dilution Info", "Notes"], "tabs": { "all-applications": {"fullname" : "All Applications", "shortname": "All Applications"}, "WB" : {"fullname" : "Western blot", "shortname":"WB"}, "IHCP" : {"fullname" : "Immunohistochemistry (Formalin/PFA-fixed paraffin-embedded sections)", "shortname":"IHC-P"} }, "product-promise": { "all": "all", "testedAndGuaranteed": "tested", "guaranteed": "expected", "predicted": "predicted", "notRecommended": "not-recommended" } }, "values": { "Human": { "WB-species-checked": "testedAndGuaranteed", "WB-species-dilution-info": "1/5000", "WB-species-notes": "<p></p>", "IHCP-species-checked": "testedAndGuaranteed", "IHCP-species-dilution-info": "1/2000", "IHCP-species-notes": "<p></p>" } } }

Product details

Patented technology
Our RabMAb® technology is a patented hybridoma-based technology for making rabbit monoclonal antibodies. For details on our patents, please refer to RabMAb® patents.

What are the advantages of a recombinant monoclonal antibody?
This product is a recombinant monoclonal antibody, which offers several advantages including:

  • - High batch-to-batch consistency and reproducibility
  • - Improved sensitivity and specificity
  • - Long-term security of supply
  • - Animal-free batch production

For more information, read more on recombinant antibodies.

Properties and storage information

Form
Liquid
Purification technique
Affinity purification Protein A
Storage buffer
pH: 7.2 - 7.4 Preservative: 0.01% Sodium azide Constituents: PBS, 40% Glycerol (glycerin, glycerine), 0.05% BSA
Shipped at conditions
Blue Ice
Appropriate short-term storage duration
1-2 weeks
Appropriate short-term storage conditions
+4°C
Appropriate long-term storage conditions
-20°C
Aliquoting information
Upon delivery aliquot
Storage information
Avoid freeze / thaw cycle

Product protocols

For this product, it's our understanding that no specific protocols are required. You can visit:

Target data

Calcium-binding enzyme that initiates starch digestion in the oral cavity (PubMed : 12527308). Catalyzes the hydrolysis of internal (1->4)-alpha-D-glucosidic bonds, yielding a mixture of maltose, isomaltose, small amounts of glucose as well as small linear and branched oligosaccharides called dextrins (PubMed : 12527308).
See full target information AMY1A

Additional targets

,

Publications (3)

Recent publications for all applications. Explore the full list and refine your search

Journal of cellular physiology 237:1780-1789 PubMed34806177

2021

Overexpression of N-acetylglucosaminyltransferase V promotes human parotid gland acinar cell immortalization via the epidermal receptor activation.

Applications

Unspecified application

Species

Unspecified reactive species

Ching-Chia Cheng,Chih-Feng Lin,Yong-Chong Lin,Tai-Horng Young,Pei-Jen Lou

FASEB journal : official publication of the Federation of American Societies for Experimental Biology 34:16516-16535 PubMed33124112

2020

DIAPH1 regulates ciliogenesis and trafficking in primary cilia.

Applications

Unspecified application

Species

Unspecified reactive species

Oliva Palander,William S Trimble

Biological research 53:3 PubMed31941552

2020

Comparison of protein profiles of the pellicle, gingival crevicular fluid, and saliva: possible origin of pellicle proteins.

Applications

Unspecified application

Species

Unspecified reactive species

Hibiki Odanaka,Takashi Obama,Naoko Sawada,Marika Sugano,Hiroyuki Itabe,Matsuo Yamamoto
View all publications

Product promise

We are committed to supporting your work with high-quality reagents, and we're here for you every step of the way. In the unlikely event that one of our products does not perform as expected, you're protected by our Product Promise.
For full details, please see our Terms & Conditions

Please note: All products are 'FOR RESEARCH USE ONLY. NOT FOR USE IN DIAGNOSTIC OR THERAPEUTIC PROCEDURES'.

For licensing inquiries, please contact partnerships@abcam.com