JavaScript is disabled in your browser. Please enable JavaScript to view this website.
AB325099

Anti-SALL1 antibody [EPR28911-52] - BSA and Azide free

Be the first to review this product! Submit a review

|

(0 Publication)

Rabbit Recombinant Monoclonal SALL1 antibody. Carrier free. Suitable for ICC/IF, IHC-P, WB and reacts with Human, Mouse samples.

View Alternative Names

SAL1, ZNF794, SALL1, Sal-like protein 1, Spalt-like transcription factor 1, Zinc finger protein 794, Zinc finger protein SALL1, Zinc finger protein Spalt-1, HSal1, Sal-1

12 Images
Immunocytochemistry/ Immunofluorescence - Anti-SALL1 antibody [EPR28911-52] - BSA and Azide free (AB325099)
  • ICC/IF

Supplier Data

Immunocytochemistry/ Immunofluorescence - Anti-SALL1 antibody [EPR28911-52] - BSA and Azide free (AB325099)

This data was developed using ab325098, the same antibody clone in a different buffer formulation.

Immunofluorescent analysis of 4% Paraformaldehyde-fixed, 0.1% TritonX-100 permeabilized 293T (human embryonic kidney epithelial cell); MCF7 (human breast adenocarcinoma epithelial cell) cells labelling SALL1 with ab325098 at 1/50 (10.02 ug/ml) dilution, followed by ab150081 Goat Anti-Rabbit IgG H&L (Alexa Fluor® 488) preadsorbed antibody at 1/1000 dilution (Green).

Confocal image showing nuclear staining in 293T cell line (shown in green). The counterstain was observed in magenta. Nuclear DNA was labelled with DAPI (shown in blue). Image was taken with a confocal microscope (Leica-Microsystems, TCS SP8).
Low expression : MCF7

ab7291 Anti-alpha Tubulin mouse monoclonal antibody was used to counterstain tubulin at 1/1000 dilution (Magenta). The Nuclear counterstain was DAPI (Blue).

-ve control 1 : ab325098 at 1/50 dilution, followed by ab150120 Goat Anti-Mouse IgG H&L (Alexa Fluor® 594) at 1/1000 dilution.
-ve control 2 : ab7291 at 1/1000 dilution, followed by ab150081 Goat Anti-Rabbit IgG H&L (Alexa Fluor® 488) at 1/1000 dilution.

Immunohistochemistry (Formalin/PFA-fixed paraffin-embedded sections) - Anti-SALL1 antibody [EPR28911-52] - BSA and Azide free (AB325099)
  • IHC-P

Supplier Data

Immunohistochemistry (Formalin/PFA-fixed paraffin-embedded sections) - Anti-SALL1 antibody [EPR28911-52] - BSA and Azide free (AB325099)

This data was developed using ab325098, the same antibody clone in a different buffer formulation.

Immunohistochemical analysis of paraffin-embedded (A) 293T (human embryonic kidney epithelial cell) cell pellet. (B) MCF7 (human breast adenocarcinoma epithelial cell) cell pellet. tissue labeling SALL1 with ab325098 at 1/2000 (0.251 ug/ml) dilution, followed by a ready to use LeicaDS9800 (Bond™ Polymer Refine Detection) was used.

Positive staining on (A) 293T cell pellets, no staining on (B) MCF7 cell pellets.
The primary antibody was incubated for 30 mins at room temperature.
The immunostaining was performed on a Leica Biosystems BOND® RX instrument

Counterstained with Hematoxylin.

Secondary antibody only control : Secondary antibody is a ready to use LeicaDS9800 (Bond™ Polymer Refine Detection) was used.

Heat mediated antigen retrieval was performed with Tris-EDTA buffer (pH 9.0, Epitope Retrieval Solution2) for 20 mins

Immunohistochemistry (Formalin/PFA-fixed paraffin-embedded sections) - Anti-SALL1 antibody [EPR28911-52] - BSA and Azide free (AB325099)
  • IHC-P

Supplier Data

Immunohistochemistry (Formalin/PFA-fixed paraffin-embedded sections) - Anti-SALL1 antibody [EPR28911-52] - BSA and Azide free (AB325099)

This data was developed using ab325098, the same antibody clone in a different buffer formulation.

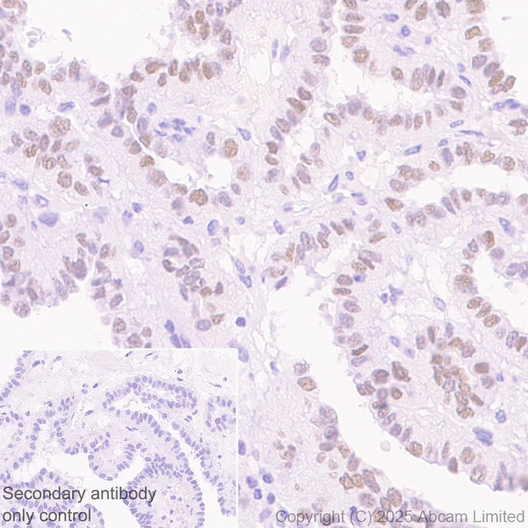
Immunohistochemical analysis of paraffin-embedded Human thyroid cancer tissue labeling SALL1 with ab325098 at 1/100 (5.01 ug/ml) dilution, followed by a ready to use LeicaDS9800 (Bond™ Polymer Refine Detection) was used.

Nuclear staining on human thyroid cancer.
The primary antibody was incubated for 30 mins at room temperature.
The immunostaining was performed on a Leica Biosystems BOND® RX instrument

Counterstained with Hematoxylin.

Secondary antibody only control : Secondary antibody is a ready to use LeicaDS9800 (Bond™ Polymer Refine Detection) was used.

Heat mediated antigen retrieval was performed with Tris-EDTA buffer (pH 9.0, Epitope Retrieval Solution2) for 20 mins

Immunohistochemistry (Formalin/PFA-fixed paraffin-embedded sections) - Anti-SALL1 antibody [EPR28911-52] - BSA and Azide free (AB325099)
  • IHC-P

Supplier Data

Immunohistochemistry (Formalin/PFA-fixed paraffin-embedded sections) - Anti-SALL1 antibody [EPR28911-52] - BSA and Azide free (AB325099)

This data was developed using ab325098, the same antibody clone in a different buffer formulation.

Immunohistochemical analysis of paraffin-embedded Mouse E14.5 kidney tissue labeling SALL1 with ab325098 at 1/2000 (0.251 ug/ml) dilution, followed by a ready to use LeicaDS9800 (Bond™ Polymer Refine Detection) was used.

Nuclear staining on fetal kidney of mouse E14.5.
The primary antibody was incubated for 30 mins at room temperature.
The immunostaining was performed on a Leica Biosystems BOND® RX instrument

Counterstained with Hematoxylin.

Secondary antibody only control : Secondary antibody is a ready to use LeicaDS9800 (Bond™ Polymer Refine Detection) was used.

Heat mediated antigen retrieval was performed with Tris-EDTA buffer (pH 9.0, Epitope Retrieval Solution2) for 20 mins

Immunocytochemistry/ Immunofluorescence - Anti-SALL1 antibody [EPR28911-52] - BSA and Azide free (AB325099)
  • ICC/IF

Supplier Data

Immunocytochemistry/ Immunofluorescence - Anti-SALL1 antibody [EPR28911-52] - BSA and Azide free (AB325099)

This data was developed using ab325098, the same antibody clone in a different buffer formulation.

Immunofluorescent analysis of 4% Paraformaldehyde-fixed, 0.1% TritonX-100 permeabilized F9 (mouse embryonal carcinoma epithelial cell);4T1(mouse mammary gland carcinoma epithelial cell) cells labelling SALL1 with ab325098 at 1/50 (10.02 ug/ml) dilution, followed by ab150081 Goat Anti-Rabbit IgG H&L (Alexa Fluor® 488) preadsorbed antibody at 1/1000 dilution (Green).

Confocal image showing nuclear staining in F9 cell line (shown in green). The counterstain was observed in magenta. Nuclear DNA was labelled with DAPI (shown in blue). Image was taken with a confocal microscope (Leica-Microsystems, TCS SP8).
Low expression : 4T1

ab7291 Anti-alpha Tubulin mouse monoclonal antibody was used to counterstain tubulin at 1/1000 dilution (Magenta). The Nuclear counterstain was DAPI (Blue).

-ve control 1 : ab325098 at 1/50 dilution, followed by ab150120 Goat Anti-Mouse IgG H&L (Alexa Fluor® 594) at 1/1000 dilution.
-ve control 2 : ab7291 at 1/1000 dilution, followed by ab150081 Goat Anti-Rabbit IgG H&L (Alexa Fluor® 488) at 1/1000 dilution.

Immunohistochemistry (Formalin/PFA-fixed paraffin-embedded sections) - Anti-SALL1 antibody [EPR28911-52] - BSA and Azide free (AB325099)
  • IHC-P

Supplier Data

Immunohistochemistry (Formalin/PFA-fixed paraffin-embedded sections) - Anti-SALL1 antibody [EPR28911-52] - BSA and Azide free (AB325099)

This data was developed using ab325098, the same antibody clone in a different buffer formulation.

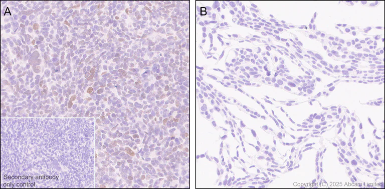
Immunohistochemical analysis of paraffin-embedded (A) F9 (mouse embryonal carcinoma epithelial cell) cell pellet. (B) ES-D3 (mouse blastocyst-derived embryonic stem cell) cell pellet. (C) 4T1 (mouse mammary gland carcinoma epithelial cell) cell pellet. tissue labeling SALL1 with ab325098 at 1/2000 (0.251 ug/ml) dilution, followed by a ready to use LeicaDS9800 (Bond™ Polymer Refine Detection) was used.

Positive staining on (A) F9 and (B) ES-D3 cell pellets, no staining on (B) 4T1 cell pellets.
The primary antibody was incubated for 30 mins at room temperature.
The immunostaining was performed on a Leica Biosystems BOND® RX instrument

Counterstained with Hematoxylin.

Secondary antibody only control : Secondary antibody is a ready to use LeicaDS9800 (Bond™ Polymer Refine Detection) was used.

Heat mediated antigen retrieval was performed with Tris-EDTA buffer (pH 9.0, Epitope Retrieval Solution2) for 20 mins

Immunohistochemistry (Formalin/PFA-fixed paraffin-embedded sections) - Anti-SALL1 antibody [EPR28911-52] - BSA and Azide free (AB325099)
  • IHC-P

Supplier Data

Immunohistochemistry (Formalin/PFA-fixed paraffin-embedded sections) - Anti-SALL1 antibody [EPR28911-52] - BSA and Azide free (AB325099)

This data was developed using ab325098, the same antibody clone in a different buffer formulation.

Immunohistochemical analysis of paraffin-embedded Mouse E14.5 brain tissue labeling SALL1 with ab325098 at 1/2000 (0.251 ug/ml) dilution, followed by a ready to use LeicaDS9800 (Bond™ Polymer Refine Detection) was used.

Nuclear staining on fetal brain of mouse E14.5.
The primary antibody was incubated for 30 mins at room temperature.
The immunostaining was performed on a Leica Biosystems BOND® RX instrument

Counterstained with Hematoxylin.

Secondary antibody only control : Secondary antibody is a ready to use LeicaDS9800 (Bond™ Polymer Refine Detection) was used.

Heat mediated antigen retrieval was performed with Tris-EDTA buffer (pH 9.0, Epitope Retrieval Solution2) for 20 mins

Western blot - Anti-SALL1 antibody [EPR28911-52] - BSA and Azide free (AB325099)
  • WB

Supplier Data

Western blot - Anti-SALL1 antibody [EPR28911-52] - BSA and Azide free (AB325099)

This data was developed using ab325098, the same antibody clone in a different buffer formulation.

Blocking and diluting buffer and concentration : 5% NFDM/TBST.

Low expression : MCF7.

To minimize protein degradation, cells/tissues were lysed immediately after harvest and then applied to a gel and transfer membrane for Western blotting as soon as possible.

In Western blot, Anti-GAPDH antibody [EPR16891] - Loading Control (ab181602) staining at 1/200000 dilution.

All lanes:

Western blot - Anti-SALL1 antibody [EPR28911-52] (<a href='/en-us/products/primary-antibodies/sall1-antibody-epr28911-52-ab325098'>ab325098</a>) at 1/1000 dilution

Lane 1:

293T (human embryonic kidney epithelial cell) whole cell lysate at 20 µg

Lane 2:

MCF7 (human breast adenocarcinoma epithelial cell) whole cell lysate at 20 µg

Secondary

All lanes:

Western blot at 1/20000 dilution

Observed band size: 200 kDa,36 kDa

false

Exposure time: 180s

Western blot - Anti-SALL1 antibody [EPR28911-52] - BSA and Azide free (AB325099)
  • WB

Supplier Data

Western blot - Anti-SALL1 antibody [EPR28911-52] - BSA and Azide free (AB325099)

This data was developed using ab325098, the same antibody clone in a different buffer formulation.

Blocking and diluting buffer and concentration : 5% NFDM/TBST.

Low expression : EL4.

To minimize protein degradation, cells/tissues were lysed immediately after harvest and then applied to a gel and transfer membrane for Western blotting as soon as possible.

In Western blot, Anti-GAPDH antibody [EPR16891] - Loading Control (ab181602) staining at 1/200000 dilution.

All lanes:

Western blot - Anti-SALL1 antibody [EPR28911-52] (<a href='/en-us/products/primary-antibodies/sall1-antibody-epr28911-52-ab325098'>ab325098</a>) at 1/1000 dilution

Lane 1:

ES-D3 [D3] (mouse blastocyst-derived embryonic stem cell) whole cell lysate at 20 µg

Lane 2:

4T1 (mouse mammary gland carcinoma epithelial cell) whole cell lysate at 20 µg

Secondary

All lanes:

Western blot at 1/20000 dilution

Observed band size: 200 kDa,36 kDa

false

Exposure time: 180s

Immunohistochemistry (Formalin/PFA-fixed paraffin-embedded sections) - Anti-SALL1 antibody [EPR28911-52] - BSA and Azide free (AB325099)
  • IHC-P

Supplier Data

Immunohistochemistry (Formalin/PFA-fixed paraffin-embedded sections) - Anti-SALL1 antibody [EPR28911-52] - BSA and Azide free (AB325099)

This data was developed using ab325098, the same antibody clone in a different buffer formulation.

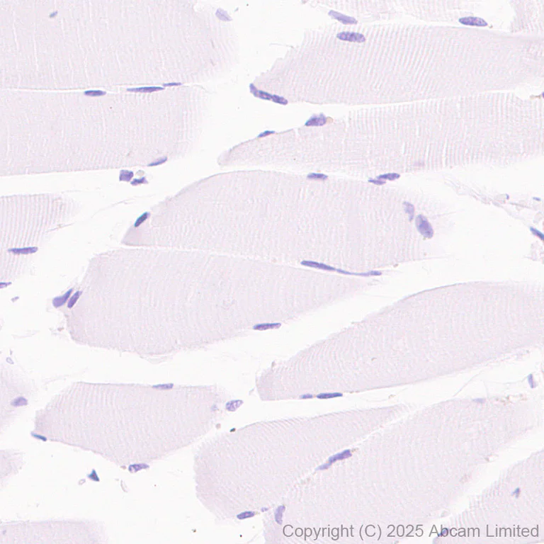
Immunohistochemical analysis of paraffin-embedded Human skeletal muscle tissue labeling SALL1 with ab325098 at 1/100 (5.01 ug/ml) dilution, followed by a ready to use LeicaDS9800 (Bond™ Polymer Refine Detection) was used.

Negative control : no staining on human skeletal muscle (PMID : 8975705).
The primary antibody was incubated for 30 mins at room temperature.
The immunostaining was performed on a Leica Biosystems BOND® RX instrument

Counterstained with Hematoxylin.

Secondary antibody only control : Secondary antibody is a ready to use LeicaDS9800 (Bond™ Polymer Refine Detection) was used.

Heat mediated antigen retrieval was performed with Tris-EDTA buffer (pH 9.0, Epitope Retrieval Solution2) for 20 mins

Immunohistochemistry (Formalin/PFA-fixed paraffin-embedded sections) - Anti-SALL1 antibody [EPR28911-52] - BSA and Azide free (AB325099)
  • IHC-P

Supplier Data

Immunohistochemistry (Formalin/PFA-fixed paraffin-embedded sections) - Anti-SALL1 antibody [EPR28911-52] - BSA and Azide free (AB325099)

This data was developed using ab325098, the same antibody clone in a different buffer formulation.

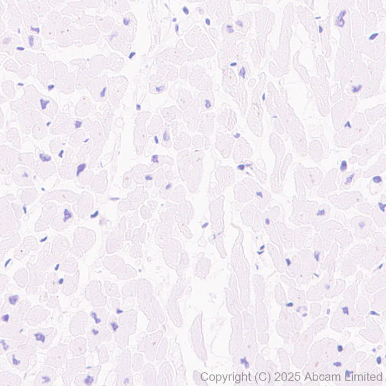
Immunohistochemical analysis of paraffin-embedded Human cardiac muscle tissue labeling SALL1 with ab325098 at 1/100 (5.01 ug/ml) dilution, followed by a ready to use LeicaDS9800 (Bond™ Polymer Refine Detection) was used.

Negative control : no staining on human cardiac muscle (PMID : 8975705).
The primary antibody was incubated for 30 mins at room temperature.
The immunostaining was performed on a Leica Biosystems BOND® RX instrument

Counterstained with Hematoxylin.

Secondary antibody only control : Secondary antibody is a ready to use LeicaDS9800 (Bond™ Polymer Refine Detection) was used.

Heat mediated antigen retrieval was performed with Tris-EDTA buffer (pH 9.0, Epitope Retrieval Solution2) for 20 mins

Immunohistochemistry (Formalin/PFA-fixed paraffin-embedded sections) - Anti-SALL1 antibody [EPR28911-52] - BSA and Azide free (AB325099)
  • IHC-P

Supplier Data

Immunohistochemistry (Formalin/PFA-fixed paraffin-embedded sections) - Anti-SALL1 antibody [EPR28911-52] - BSA and Azide free (AB325099)

This data was developed using ab325098, the same antibody clone in a different buffer formulation.

Immunohistochemical analysis of paraffin-embedded Mouse skeletal muscle tissue labeling SALL1 with ab325098 at 1/2000 (0.251 ug/ml) dilution, followed by a ready to use LeicaDS9800 (Bond™ Polymer Refine Detection) was used.

Negative control : no staining on mouse skeletal muscle.
The primary antibody was incubated for 30 mins at room temperature.
The immunostaining was performed on a Leica Biosystems BOND® RX instrument

Counterstained with Hematoxylin.

Secondary antibody only control : Secondary antibody is a ready to use LeicaDS9800 (Bond™ Polymer Refine Detection) was used.

Heat mediated antigen retrieval was performed with Tris-EDTA buffer (pH 9.0, Epitope Retrieval Solution2) for 20 mins

Key facts

Host species

Rabbit

Clonality

Monoclonal

Clone number

EPR28911-52

Isotype

IgG

Carrier free

Yes

Reacts with

Human, Mouse

Applications

ICC/IF, WB, IHC-P

applications

Immunogen

The exact immunogen used to generate this antibody is proprietary information.

Reactivity data

{ "title": "Reactivity Data", "filters": { "stats": ["", "Species", "Dilution Info", "Notes"], "tabs": { "all-applications": {"fullname" : "All Applications", "shortname": "All Applications"}, "ICCIF" : {"fullname" : "Immunocytochemistry/ Immunofluorescence", "shortname":"ICC/IF"}, "IHCP" : {"fullname" : "Immunohistochemistry (Formalin/PFA-fixed paraffin-embedded sections)", "shortname":"IHC-P"}, "WB" : {"fullname" : "Western blot", "shortname":"WB"} }, "product-promise": { "all": "all", "testedAndGuaranteed": "tested", "guaranteed": "expected", "predicted": "predicted", "notRecommended": "not-recommended" } }, "values": { "Human": { "ICCIF-species-checked": "testedAndGuaranteed", "ICCIF-species-dilution-info": "", "ICCIF-species-notes": "<p></p>", "IHCP-species-checked": "testedAndGuaranteed", "IHCP-species-dilution-info": "", "IHCP-species-notes": "<p></p> Perform heat-mediated antigen retrieval with Tris/EDTA buffer pH 9.0 before commencing with IHC staining protocol.", "WB-species-checked": "testedAndGuaranteed", "WB-species-dilution-info": "", "WB-species-notes": "<p></p>" }, "Mouse": { "ICCIF-species-checked": "testedAndGuaranteed", "ICCIF-species-dilution-info": "", "ICCIF-species-notes": "<p></p>", "IHCP-species-checked": "testedAndGuaranteed", "IHCP-species-dilution-info": "", "IHCP-species-notes": "<p></p> Perform heat-mediated antigen retrieval with Tris/EDTA buffer pH 9.0 before commencing with IHC staining protocol.", "WB-species-checked": "testedAndGuaranteed", "WB-species-dilution-info": "", "WB-species-notes": "<p></p>" } } }

Product details

ab325099 is the carrier-free version of ab325098

Patented technology
Our RabMAb® technology is a patented hybridoma-based technology for making rabbit monoclonal antibodies. For details on our patents, please refer to RabMAb® patents.

What are the advantages of a recombinant monoclonal antibody?
This product is a recombinant monoclonal antibody, which offers several advantages including:

  • - High batch-to-batch consistency and reproducibility
  • - Improved sensitivity and specificity
  • - Long-term security of supply
  • - Animal-free batch production

For more information, read more on recombinant antibodies.

Conjugation ready
Our carrier-free antibodies are typically supplied in a PBS-only formulation, purified and free of BSA, sodium azide and glycerol. This conjugation-ready format is designed for use with fluorochromes, metal isotopes, oligonucleotides, and enzymes, which makes them ideal for antibody labelling, functional and cell-based assays, flow-based assays (e.g. mass cytometry) and Multiplex Imaging applications.

Use our conjugation kits for antibody conjugates that are ready-to-use in as little as 20 minutes with 1 minute hands-on-time and 100% antibody recovery: available for fluorescent dyes, HRP, biotin and gold.

Compatibility
This product is compatible with the Maxpar® Antibody Labeling Kit from Fluidigm, without the need for antibody preparation. Maxpar® is a trademark of Fluidigm Canada Inc.

Properties and storage information

Form
Liquid
Purification technique
Affinity purification Protein A
Storage buffer
pH: 7.2 - 7.4 Constituents: PBS
Shipped at conditions
Blue Ice
Appropriate short-term storage conditions
+4°C
Appropriate long-term storage conditions
+4°C

Product protocols

For this product, it's our understanding that no specific protocols are required. You can visit:

Target data

Transcriptional repressor involved in organogenesis. Plays an essential role in ureteric bud invasion during kidney development.
See full target information SALL1

Product promise

We are committed to supporting your work with high-quality reagents, and we're here for you every step of the way. In the unlikely event that one of our products does not perform as expected, you're protected by our Product Promise.
For full details, please see our Terms & Conditions

Please note: All products are 'FOR RESEARCH USE ONLY. NOT FOR USE IN DIAGNOSTIC OR THERAPEUTIC PROCEDURES'.

For licensing inquiries, please contact partnerships@abcam.com