JavaScript is disabled in your browser. Please enable JavaScript to view this website.
AB57577

Anti-Sall4 antibody [6E3]

5

(4 Reviews)

|

(45 Publications)

Anti-Sall4 antibody [6E3] (ab57577) is a mouse monoclonal antibody detecting Sall4 in Western Blot, Flow Cytometry, IHC-P. Suitable for Human.

- Over 30 publications
- Trusted since 2007

View Alternative Names

ZNF797, SALL4, Sal-like protein 4, Zinc finger protein 797, Zinc finger protein SALL4

7 Images
Immunohistochemistry (Formalin/PFA-fixed paraffin-embedded sections) - Anti-Sall4 antibody [6E3] (AB57577)
  • IHC-P

AbReview34990****

Immunohistochemistry (Formalin/PFA-fixed paraffin-embedded sections) - Anti-Sall4 antibody [6E3] (AB57577)

IHC-P image of Sall4 staining with ab57577 on tissue sections from adult mouse testis. The sections were subjected to heat-mediated antigen retrieval using Dako antigen retrieval solution. The sections were then blocked with 5% milk for 30 minutes at 25°C, before incubation with ab57577 (1/100 dilution) for 18 hours at 4°C. The secondary was an Alexa-Fluor 488 conjugated goat anti-mouse polyclonal, used at a 1/500 dilution.

This image was generated using the ascites version of the product.

This image is courtesy of an Abreview from Zachary Yu-Ching Lin.

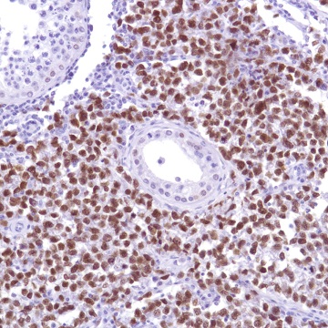
Immunohistochemistry (Formalin/PFA-fixed paraffin-embedded sections) - Anti-Sall4 antibody [6E3] (AB57577)
  • IHC-P

Unknown

Immunohistochemistry (Formalin/PFA-fixed paraffin-embedded sections) - Anti-Sall4 antibody [6E3] (AB57577)

Sall4 antibody (ab57577) used in immunohistochemistry at 5ug/ml on formalin fixed and paraffin embedded human testis.

This image was generated using the ascites version of the product.

Flow Cytometry - Anti-Sall4 antibody [6E3] (AB57577)
  • Flow Cyt

Unknown

Flow Cytometry - Anti-Sall4 antibody [6E3] (AB57577)

Overlay histogram showing HeLa cells stained with ab57577 (red line). The cells were fixed with 80% methanol (5 min) and then permeabilized with 0.1% PBS-Tween for 20 min. The cells were then incubated in 1x PBS / 10% normal goat serum / 0.3M glycine to block non-specific protein-protein interactions followed by the antibody (ab57577, 1μg/1x106 cells) for 30 min at 22°C. The secondary antibody used was DyLight® 488 goat anti-mouse IgG (H+L) (ab96879) at 1/500 dilution for 30 min at 22°C. Isotype control antibody (black line) was mouse IgG1 [ICIGG1] (ab91353, 2μg/1x106 cells) used under the same conditions. Acquisition of >5,000 events was performed. This antibody gave a positive signal in HeLa cells fixed with 4% paraformaldehyde/permeabilized in 0.1% PBS-Tween used under the same conditions.

This image was generated using the ascites version of the product.

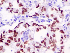
Immunohistochemistry (Formalin/PFA-fixed paraffin-embedded sections) - Anti-Sall4 antibody [6E3] (AB57577)
  • IHC-P

PubMed

Immunohistochemistry (Formalin/PFA-fixed paraffin-embedded sections) - Anti-Sall4 antibody [6E3] (AB57577)

Immunohistochemistry (Formalin/PFA-fixed paraffin-embedded sections) analysis of testes from juvenile (PND 7 and PND 14) mice labeling Sall4 with ab57577. Testes were dissected and fixed in 4% PFA overnight at 4°C. Fixed tissues were processed for paraffin embedding and 5 μm serial sections were collected. Sections were deparaffinized in xylene (2×15 min), rehydrated in a graded ethanol series (2×100% for 10 min, 1×95% for 5 min, 1×80% for 5 min, 1×70% for 5 min, 1×50% for 5 min, 1×25% for 5 min) and rinsed in 1× DPBS. Slides were then incubated in sodium citrate antigen retrieval buffer (10 mM Sodium Citrate, 0.05% Tween-20, pH 6) for 30 min at 97.5°C and allowed to cool to room temperature. After rinsing twice in 1× DPBS containing 0.1% Tween-20 (DBPS-T), unspecific binding sites in tissue sections were saturated by incubation with blocking buffer (1× DPBS containing 3% bovine serum albumin, 0.1% Triton X-100 and 5% normal serum from the host species of the secondary antibody) for 30 min at room temperature. Primary antibodies were diluted in blocking buffer and added to tissue sections for 90 min at room temperature.

This image was generated using the ascites version of the product.

Image from Gassei, Kathrin, et. al. PLoS ONE 8.1 (2013): e53976. doi: 10.1371/journal.pone.0053976. Fig 2A,D. Reproduced under the Creative Commons license http://creativecommons.org/licenses/by/4.0/

Immunohistochemistry (Formalin/PFA-fixed paraffin-embedded sections) - Anti-Sall4 antibody [6E3] (AB57577)
  • IHC-P

AbReview34820****

Immunohistochemistry (Formalin/PFA-fixed paraffin-embedded sections) - Anti-Sall4 antibody [6E3] (AB57577)

IHC-P image of Sall4 staining with ab57577 on tissue sections from adult marmoset testis. The sections were subjected to heat-mediated antigen retrieval using Dako antigen retrieval solution. The sections were then blocked with 5% milk for 30 minutes at 25°C, before incubation with ab57577 (1/100 dilution) for 18 hours at 4°C. The secondary was an Alexa-Fluor 488 conjugated goat anti-mouse polyclonal, used at a 1/500 dilution.

This image was generated using the ascites version of the product.

This image is courtesy of an Abreview from Zachary Yu-Ching Lin.

Western blot - Anti-Sall4 antibody [6E3] (AB57577)
  • WB

Unknown

Western blot - Anti-Sall4 antibody [6E3] (AB57577)

Sall4 antibody (ab57577) at 1ug/lane + HeLa cell lysate at 25ug/lane.

This image was generated using the ascites version of the product.

All lanes:

Western blot - Anti-Sall4 antibody [6E3] (ab57577)

Predicted band size: 112 kDa

false

Western blot - Anti-Sall4 antibody [6E3] (AB57577)
  • WB

Lab

Western blot - Anti-Sall4 antibody [6E3] (AB57577)

Western blot : Anti-SALL4 antibody [6E3] (ab57577) staining at 1/1000 dilution, shown in green; Rabbit anti-alpha Tubulin antibody [EP1332Y] (ab52866) loading control staining at 1/20000 dilution, shown in magenta. In Western blot, ab57577 was shown to bind specifically to SALL4. First, samples were run on an SDS-PAGE gel then transferred onto a nitrocellulose membrane. Membranes were blocked in 3 % milk in TBS-0.1 % Tween® 20 (TBS-T) before incubation with primary antibodies overnight at 4 °C. Blots were washed four times in TBS-T, incubated with secondary antibodies for 1 h at room temperature, washed again four times then imaged. Secondary antibodies used were Goat anti-Mouse IgG H&L 800CW and Goat anti-Rabbit IgG H&L 680RD at 1/20000 dilution.

All lanes:

Western blot - Anti-Sall4 antibody [6E3] (ab57577) at 1/1000 dilution

Lane 1:

MEF cell lysate at 20 µg

Lane 2:

mESC cell lysate at 20 µg

Lane 3:

HuES7 cell lysate at 20 µg

Lane 4:

Mouse Testis cell lysate at 20 µg

Lane 5:

Human testis cell lysate at 20 µg

Lane 6:

MCF7 cell lysate at 20 µg

Lane 7:

NCCIT cell lysate at 20 µg

Lane 8:

HeLa cell lysate at 20 µg

Lane 9:

Empty cell lysate

Lane 10:

Recombinant Human Sall4 protein (<a href='/en-us/products/proteins-peptides/recombinant-human-sall4-protein-ab153444'>ab153444</a>) cell lysate at 0.5 µg

Secondary

All lanes:

Goat anti-Mouse IgG H&L 800CW and Goat anti-Rabbit IgG H&L 680RD at 1/20000 dilution

Observed band size: 140 kDa

false

Key facts

Host species

Mouse

Clonality

Monoclonal

Clone number

6E3

Isotype

IgG1

Light chain type

kappa

Carrier free

No

Reacts with

Human

Applications

IHC-P, Flow Cyt, WB

applications

Immunogen

Recombinant Fragment Protein within Human SALL4 aa 950 to C-terminus. The exact immunogen used to generate this antibody is proprietary information.

Q9UJQ4

Reactivity data

{ "title": "Reactivity Data", "filters": { "stats": ["", "Species", "Dilution Info", "Notes"], "tabs": { "all-applications": {"fullname" : "All Applications", "shortname": "All Applications"}, "FlowCyt" : {"fullname" : "Flow Cytometry", "shortname":"Flow Cyt"}, "WB" : {"fullname" : "Western blot", "shortname":"WB"}, "IHCP" : {"fullname" : "Immunohistochemistry (Formalin/PFA-fixed paraffin-embedded sections)", "shortname":"IHC-P"} }, "product-promise": { "all": "all", "testedAndGuaranteed": "tested", "guaranteed": "expected", "predicted": "predicted", "notRecommended": "not-recommended" } }, "values": { "Human": { "FlowCyt-species-checked": "testedAndGuaranteed", "FlowCyt-species-dilution-info": "", "FlowCyt-species-notes": "<p><a href='/en-us/products/primary-antibodies/mouse-igg1-kappa-monoclonal-15-6e10a7-isotype-control-ab170190'>ab170190</a> - Mouse monoclonal IgG1, is suitable for use as an isotype control with this antibody.</p>", "WB-species-checked": "testedAndGuaranteed", "WB-species-dilution-info": "", "WB-species-notes": "<p></p>", "IHCP-species-checked": "testedAndGuaranteed", "IHCP-species-dilution-info": "", "IHCP-species-notes": "<p></p>" } } }

Product details

What is this antibody validated in?
Anti-Sall4 antibody [6E3] (ab57577) is a mouse monoclonal antibody and is validated for use in Western Blot (WB), Flow Cytometry (Flow Cyt), Immunohistochemistry (IHC-P) in Human samples.

What is the molecular weight of Sall4?
Anti-Sall4 [6E3] (ab57577) specifically detects a band for Sall4 (UniProt: Q9UJQ4) at a molecular weight of 112kDa.

Trusted by the scientific community
Anti-Sall4 [6E3] (ab57577) was first used in a scientific publication in 2007 and has been cited over 30 times in peer-reviewed journals.

Properties and storage information

Form
Liquid
Purification technique
Affinity purification Protein A
Storage buffer
pH: 7.4 Constituents: PBS
Shipped at conditions
Blue Ice
Appropriate short-term storage conditions
+4°C
Appropriate long-term storage conditions
-20°C
Aliquoting information
Upon delivery aliquot
Storage information
Avoid freeze / thaw cycle

Product protocols

For this product, it's our understanding that no specific protocols are required. You can visit:

Target data

Transcription factor with a key role in the maintenance and self-renewal of embryonic and hematopoietic stem cells.
See full target information SALL4

Publications (45)

Recent publications for all applications. Explore the full list and refine your search

Scientific reports 14:24029 PubMed39402149

2024

Neonatal exposure to high D-galactose affects germ cell development in neonatal testes organ culture.

Applications

Unspecified application

Species

Unspecified reactive species

Hyuk Song,Min-Gi Han,Ran Lee,Hyun-Jung Park

Scientific reports 14:21581 PubMed39285184

2024

Application of testicular organ culture system for the evaluation of spermatogenesis impairment.

Applications

Unspecified application

Species

Unspecified reactive species

Hideaki Nakagiri,Takehiko Ogawa,Naohiro Ikeda,Shimpei Terasaka,Yuko Nukada,Masaaki Miyazawa

Developmental cell 59:415-430.e8 PubMed38320485

2024

Direct reprogramming of non-limb fibroblasts to cells with properties of limb progenitors.

Applications

Unspecified application

Species

Unspecified reactive species

Yuji Atsuta,ChangHee Lee,Alan R Rodrigues,Charlotte Colle,Reiko R Tomizawa,Ernesto G Lujan,Patrick Tschopp,Laura Galan,Meng Zhu,Joshua M Gorham,Jean-Pierre Vannier,Christine E Seidman,Jonathan G Seidman,Marian A Ros,Olivier Pourquié,Clifford J Tabin

Neuro-oncology 26:935-949 PubMed38158710

2024

Integrated proteomics spotlight the proteasome as a therapeutic vulnerability in embryonal tumors with multilayered rosettes.

Applications

Unspecified application

Species

Unspecified reactive species

Matthias Dottermusch,Ali Biabani,Tasja Lempertz,Yannis Schumann,Jelena Navolic,Shweta Godbole,Denise Obrecht,Stephan Frank,Mario M Dorostkar,Hannah Voß,Hartmut Schlüter,Stefan Rutkowski,Ulrich Schüller,Julia E Neumann

iScience 26:108424 PubMed38077147

2023

The hypoxia-inducible factor EPAS1 is required for spermatogonial stem cell function in regenerative conditions.

Applications

Unspecified application

Species

Unspecified reactive species

Ilana R Bernstein,Brett Nixon,Jess M Lyons,Katerina B Damyanova,Camila S De Oliveira,Nishani S Mabotuwana,Simone J Stanger,Gerard E Kaiko,Tan Hui Ying,Jon M Oatley,Nicole M Skillen,Alyssa J Lochrin,Jera L Peters,Tessa Lord

Journal of medicinal chemistry 66:14513-14543 PubMed37902300

2023

Leveraging Ligand Affinity and Properties: Discovery of Novel Benzamide-Type Cereblon Binders for the Design of PROTACs.

Applications

Unspecified application

Species

Unspecified reactive species

Christian Steinebach,Aleša Bricelj,Arunima Murgai,Izidor Sosič,Luca Bischof,Yuen Lam Dora Ng,Christopher Heim,Samuel Maiwald,Matic Proj,Rabea Voget,Felix Feller,Janez Košmrlj,Valeriia Sapozhnikova,Annika Schmidt,Maximilian Rudolf Zuleeg,Patricia Lemnitzer,Philipp Mertins,Finn K Hansen,Michael Gütschow,Jan Krönke,Marcus D Hartmann

The Journal of pathology 261:5-10 PubMed37352131

2023

Defining the first bona fide cell model for SMARCA4-deficient, undifferentiated tumor.

Applications

Unspecified application

Species

Unspecified reactive species

Alberto M Arenas,José Manuel Ruiz-Jiménez,Javier L López-Hidalgo,Juan Sanjuán-Hidalgo,Pedro P Medina

Journal of clinical pathology 77:669-675 PubMed37253536

2023

Tumour stemness and poor clinical outcomes in haemochromatosis patients with hepatocellular carcinoma.

Applications

Unspecified application

Species

Unspecified reactive species

Daniel M Di Capua,William Shanahan,Michele Bourke,Navneet Ramlaul,Josh Appel,Aoife Canney,Neil G Docherty,Erinn McGrath,Eabha Ring,Fiona Jones,Marie Boyle,Janet McCormack,Tom Gallagher,Emir Hoti,Niamh Nolan,John D Ryan,Diarmaid D Houlihan,Aurelie Fabre

International journal of molecular sciences 23: PubMed36362147

2022

Cisplatin Induces Apoptosis in Mouse Neonatal Testes Organ Culture.

Applications

Unspecified application

Species

Unspecified reactive species

Hyun-Jung Park,Ji-Soo Kim,Ran Lee,Hyuk Song

Cancer medicine 11:1441-1453 PubMed35132816

2022

IL-34 in hepatoblastoma cells potentially promote tumor progression via autocrine and paracrine mechanisms.

Applications

Unspecified application

Species

Unspecified reactive species

Tomoaki Irie,Daiki Yoshii,Yoshihiro Komohara,Yukio Fujiwara,Masashi Kadohisa,Masaki Honda,Shinya Suzu,Toshiharu Matsuura,Kenichi Kohashi,Yoshinao Oda,Taizo Hibi
View all publications

Product promise

We are committed to supporting your work with high-quality reagents, and we're here for you every step of the way. In the unlikely event that one of our products does not perform as expected, you're protected by our Product Promise.
For full details, please see our Terms & Conditions

Please note: All products are 'FOR RESEARCH USE ONLY. NOT FOR USE IN DIAGNOSTIC OR THERAPEUTIC PROCEDURES'.

For licensing inquiries, please contact partnerships@abcam.com