JavaScript is disabled in your browser. Please enable JavaScript to view this website.
AB29112

Anti-Sall4 antibody

4

(16 Reviews)

|

(93 Publications)

Anti-Sall4 antibody (ab29112) is a rabbit polyclonal antibody detecting Sall4 in Western Blot, IHC-P, ICC/IF. Suitable for Human, Mouse.

- Over 70 publications
- Trusted since 2006

View Alternative Names

ZNF797, SALL4, Sal-like protein 4, Zinc finger protein 797, Zinc finger protein SALL4

11 Images
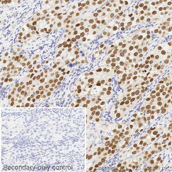
Immunohistochemistry (Formalin/PFA-fixed paraffin-embedded sections) - Anti-Sall4 antibody (AB29112)
  • IHC-P

Lab

Immunohistochemistry (Formalin/PFA-fixed paraffin-embedded sections) - Anti-Sall4 antibody (AB29112)

IHC image of Sall4 staining in a section of formalin-fixed paraffin-embedded human testis seminoma☆ performed on a Leica Biosystems BOND® RX instrument using the standard protocol. The section was pre-treated using heat mediated antigen retrieval with sodium citrate buffer (pH6, epitope retrieval solution 1) for 20mins. The section was then incubated with ab29112, 0.5ug/ml, for 15 mins at room temperature and detected using an HRP conjugated compact polymer system. DAB was used as the chromogen. The section was then counterstained with haematoxylin and mounted with DPX. The inset secondary-only control image is taken from an identical assay without primary antibody.

For other IHC staining systems (automated and non-automated) customers should optimize variable parameters such as antigen retrieval conditions, primary antibody concentration and antibody incubation times.

☆Tissue obtained from the Human Research Tissue Bank, supported by the NIHR Cambridge Biomedical Research Centre

Immunocytochemistry/ Immunofluorescence - Anti-Sall4 antibody (AB29112)
  • ICC/IF

AbReview31910****

Immunocytochemistry/ Immunofluorescence - Anti-Sall4 antibody (AB29112)

ICC/IF image of ab29112 stained human embryonic stem cells. The cells were fixed in Paraformaldehyde, permeabilized using 0.1% Triton X-100, blocked with 10% Goat serum, 0.1% BSA in PBS for 1 hour at RT, before incubation with ab29112 at a 1/100 dilution for 12 hours at 4°C. The secondary used was an Alexa Fluor® 488 conjugated goat anti-rabbit polyclonal, at 1/200 dilution.

This image is courtesy of an anonymous abreview.

Immunohistochemistry (Formalin/PFA-fixed paraffin-embedded sections) - Anti-Sall4 antibody (AB29112)
  • IHC-P

Lab

Immunohistochemistry (Formalin/PFA-fixed paraffin-embedded sections) - Anti-Sall4 antibody (AB29112)

IHC image of Sall4 staining in a section of formalin-fixed paraffin-embedded human normal testis☆ performed on a Leica Biosystems BOND® RX instrument using the standard protocol. The section was pre-treated using heat mediated antigen retrieval with sodium citrate buffer (pH6, epitope retrieval solution 1) for 20mins. The section was then incubated with ab29112, 0.5ug/ml, for 15 mins at room temperature and detected using an HRP conjugated compact polymer system. DAB was used as the chromogen. The section was then counterstained with haematoxylin and mounted with DPX. The inset secondary-only control image is taken from an identical assay without primary antibody.

For other IHC staining systems (automated and non-automated) customers should optimize variable parameters such as antigen retrieval conditions, primary antibody concentration and antibody incubation times.

☆Tissue obtained from the Human Research Tissue Bank, supported by the NIHR Cambridge Biomedical Research Centre

Immunohistochemistry (Formalin/PFA-fixed paraffin-embedded sections) - Anti-Sall4 antibody (AB29112)
  • IHC-P

Lab

Immunohistochemistry (Formalin/PFA-fixed paraffin-embedded sections) - Anti-Sall4 antibody (AB29112)

IHC image of Sall4 staining in a section of formalin-fixed paraffin-embedded mouse normal testis performed on a Leica Biosystems BOND® RX instrument using the standard protocol. The section was pre-treated using heat mediated antigen retrieval with sodium citrate buffer (pH6, epitope retrieval solution 1) for 20mins. The section was then incubated with ab29112, 0.5ug/ml, for 15 mins at room temperature and detected using an HRP conjugated compact polymer system. DAB was used as the chromogen. The section was then counterstained with haematoxylin and mounted with DPX. The inset secondary-only control image is taken from an identical assay without primary antibody.

For other IHC staining systems (automated and non-automated) customers should optimize variable parameters such as antigen retrieval conditions, primary antibody concentration and antibody incubation times.

Immunocytochemistry/ Immunofluorescence - Anti-Sall4 antibody (AB29112)
  • ICC/IF

Lab

Immunocytochemistry/ Immunofluorescence - Anti-Sall4 antibody (AB29112)

ab29112 staining SALL4 in mES cells. The cells were fixed with 100% methanol (5 min), permeabilized with 0.1% PBS-Tween for 5 minutes and then blocked with 1% BSA/10% normal goat serum/0.3M glycine in 0.1% PBS-Tween for 1h. The cells were then incubated overnight at 4°C with ab29112 at 1µg/ml and ab7291, Mouse monoclonal [DM1A] to alpha Tubulin - Loading Control. Cells were then incubated with ab150081, Goat polyclonal Secondary Antibody to Rabbit IgG - H&L (Alexa Fluor® 488), pre-adsorbed at 1/1000 dilution (shown in green) and ab150120, Goat polyclonal Secondary Antibody to Mouse IgG - H&L (Alexa Fluor® 594), pre-adsorbed at 1/1000 dilution (shown in pseudocolour red). Nuclear DNA was labelled with DAPI (shown in blue).

Also suitable in cells fixed with 4% paraformaldehyde (10 min).

Image was acquired with a confocal microscope (Leica-Microsystems TCS SP8) and a single confocal section is shown.

Immunohistochemistry (Formalin/PFA-fixed paraffin-embedded sections) - Anti-Sall4 antibody (AB29112)
  • IHC-P

Lab

Immunohistochemistry (Formalin/PFA-fixed paraffin-embedded sections) - Anti-Sall4 antibody (AB29112)

Negative control image : IHC image of Sall4 staining in a section of formalin-fixed paraffin-embedded mouse normal skeletal muscle performed on a Leica BOND™ system using the standard protocol. The section was pre-treated using heat mediated antigen retrieval with sodium citrate buffer (pH6, epitope retrieval solution 1) for 20mins. The section was then incubated with ab29112, 0.5ug/ml, for 15 mins at room temperature and detected using an HRP conjugated compact polymer system. DAB was used as the chromogen. The section was then counterstained with haematoxylin and mounted with DPX. The inset secondary-only control image is taken from an identical assay without primary antibody.

Western blot - Anti-Sall4 antibody (AB29112)
  • WB

Lab

Western blot - Anti-Sall4 antibody (AB29112)

Gel type : MOPS

Blocking buffer : 1% milk block

All lanes:

Western blot - Anti-Sall4 antibody (ab29112) at 1 µg/mL

Lane 1:

MEF1 whole cell lysate at 10 µg

Lane 2:

Mouse embryonic stem cell lysate at 10 µg

Lane 3:

HuES7 whole cell lysate at 10 µg

Secondary

All lanes:

Goat polyclonal to Rabbit IgG - H&L - Pre-Adsorbed (HRP) at 1/50000 dilution

Predicted band size: 112 kDa

Observed band size: 140 kDa

false

Exposure time: 12min

Western blot - Anti-Sall4 antibody (AB29112)
  • WB

Project1912****

Western blot - Anti-Sall4 antibody (AB29112)

This antibody detects two bands which we believe correspond to the two isoforms of Sall4 outlined in Ma et al, 2006 (PMID : 16763212). This paper describes human isoforms running at 165 kDa and 95 kDa. In mouse embryonic stem cells we see both isoforms running at slightly lower molecular weights. We believe that these bands represent Sall4a (Swissprot : Q8BX22) and Sall4b (Swissprot : Q6S7E9) which are predicted to be 113 kDa and 66 kDa respectively.

All lanes:

Western blot - Anti-Sall4 antibody (ab29112) at 1 µg

All lanes:

E14tG2a (Mouse embryonic stem cell line) Whole Cell Lysate at 20 µg

Secondary

All lanes:

IR Dye 680 Conjugated Goat Anti-Rabbit IgG (H+L) at 1/15000 dilution

Predicted band size: 112 kDa

Observed band size: 140 kDa,85 kDa

false

Western blot - Anti-Sall4 antibody (AB29112)
  • WB

Ap11662****

Western blot - Anti-Sall4 antibody (AB29112)

MEF1 whole cell lysate was included as a negative control.

Secondary antibody - goat anti-rabbit HRP (ab97051)

All lanes:

Western blot - Anti-Sall4 antibody (ab29112) at 1 µg/mL

Lane 1:

MEF1 (Mouse embryonic fibroblast cell line) Whole Cell Lysate at 10 µg

Lane 2:

E14Tg2a (Mouse embryonic stem cell line) Whole Cell Lysate at 10 µg

Secondary

All lanes:

Western blot - Goat Anti-Rabbit IgG H&L (HRP) (<a href='/en-us/products/secondary-antibodies/goat-rabbit-igg-h-l-hrp-ab97051'>ab97051</a>) at 1/10000 dilution

Predicted band size: 112 kDa

Observed band size: 140 kDa,60 kDa,80 kDa

true

Exposure time: 8min

Immunohistochemistry (Formalin/PFA-fixed paraffin-embedded sections) - Anti-Sall4 antibody (AB29112)
  • IHC-P

AbReview30908****

Immunohistochemistry (Formalin/PFA-fixed paraffin-embedded sections) - Anti-Sall4 antibody (AB29112)

IHC-P image of Sall4 staining with ab29112 on tissue sections from a 3 year old adult marmoset testis. The sections were subjected to heat-mediated antigen retrieval using Dako antigen retrieval solution. The sections were then blocked with 5% milk for 30 minutes at 25°C, before incubation with ab29112 (1/100 dilution) for 20 hours at 4°C. The secondary was an Alexa Fluor® 555 conjugated goat anti-rabbit polyclonal, used at a 1/500 dilution.

This image is courtesy of an abreview by Zachary Yu-Ching Lin.

Western blot - Anti-Sall4 antibody (AB29112)
  • WB

Lab

Western blot - Anti-Sall4 antibody (AB29112)

Western blot : Anti-SALL4 antibody (ab29112) staining at 1 ug/ml, shown in green; Mouse anti-Alpha Tubulin [DM1A] (ab7291) loading control staining at 1/20000 dilution, shown in magenta. In Western blot, ab29112 was shown to bind specifically to SALL4. First, samples were run on an SDS-PAGE gel then transferred onto a nitrocellulose membrane. Membranes were blocked in 3 % milk in TBS-0.1 % Tween® 20 (TBS-T) before incubation with primary antibodies overnight at 4 °C. Blots were washed four times in TBS-T, incubated with secondary antibodies for 1 h at room temperature, washed again four times then imaged. Secondary antibodies used were Goat anti-Rabbit IgG H&L 800CW and Goat anti-Mouse IgG H&L 680RD at 1/20000 dilution.

All lanes:

Western blot - Anti-Sall4 antibody (ab29112) at 1 µg/mL

Lane 1:

MEF cell lysate at 20 µg

Lane 2:

mESC cell lysate at 20 µg

Lane 3:

HuES7 cell lysate at 20 µg

Lane 4:

Mouse Testis cell lysate at 20 µg

Lane 5:

Human testis cell lysate at 20 µg

Lane 6:

MCF7 cell lysate at 20 µg

Lane 7:

NCCIT cell lysate at 20 µg

Lane 8:

HeLa cell lysate at 20 µg

Lane 9:

Empty cell lysate

Lane 10:

Recombinant Human Sall4 protein (<a href='/en-us/products/proteins-peptides/recombinant-human-sall4-protein-ab153444'>ab153444</a>) cell lysate at 0.5 µg

Secondary

All lanes:

Goat anti-Rabbit IgG H&L 800CW and Goat anti-Mouse IgG H&L 680RD at 1/20000 dilution

Observed band size: 140 kDa

false

Key facts

Host species

Rabbit

Clonality

Polyclonal

Isotype

IgG

Carrier free

No

Reacts with

Mouse, Human

Applications

ICC/IF, WB, IHC-P

applications

Immunogen

The exact immunogen used to generate this antibody is proprietary information.

Specificity

Replenishment batches of our polyclonal antibody, ab29112 are tested in WB and ICC. Previous batches were additionally validated in IHC-P. This application is still expected to work and is covered by our Abpromise guarantee. You may also be interested in our alternative recombinant antibody, ab226756.

Reactivity data

{ "title": "Reactivity Data", "filters": { "stats": ["", "Species", "Dilution Info", "Notes"], "tabs": { "all-applications": {"fullname" : "All Applications", "shortname": "All Applications"}, "IHCP" : {"fullname" : "Immunohistochemistry (Formalin/PFA-fixed paraffin-embedded sections)", "shortname":"IHC-P"}, "WB" : {"fullname" : "Western blot", "shortname":"WB"}, "ICCIF" : {"fullname" : "Immunocytochemistry/ Immunofluorescence", "shortname":"ICC/IF"} }, "product-promise": { "all": "all", "testedAndGuaranteed": "tested", "guaranteed": "expected", "predicted": "predicted", "notRecommended": "not-recommended" } }, "values": { "Human": { "IHCP-species-checked": "testedAndGuaranteed", "IHCP-species-dilution-info": "0.5-5 µg/mL", "IHCP-species-notes": "<p></p>", "WB-species-checked": "guaranteed", "WB-species-dilution-info": "", "WB-species-notes": "", "ICCIF-species-checked": "guaranteed", "ICCIF-species-dilution-info": "", "ICCIF-species-notes": "" }, "Mouse": { "IHCP-species-checked": "testedAndGuaranteed", "IHCP-species-dilution-info": "", "IHCP-species-notes": "<p></p>", "WB-species-checked": "testedAndGuaranteed", "WB-species-dilution-info": "1 µg/mL", "WB-species-notes": "<p></p>", "ICCIF-species-checked": "testedAndGuaranteed", "ICCIF-species-dilution-info": "1 µg/mL", "ICCIF-species-notes": "<p></p>" }, "Common marmoset": { "IHCP-species-checked": "predicted", "IHCP-species-dilution-info": "", "IHCP-species-notes": "", "WB-species-checked": "predicted", "WB-species-dilution-info": "", "WB-species-notes": "", "ICCIF-species-checked": "predicted", "ICCIF-species-dilution-info": "", "ICCIF-species-notes": "" }, "Macaque monkey": { "IHCP-species-checked": "predicted", "IHCP-species-dilution-info": "", "IHCP-species-notes": "", "WB-species-checked": "predicted", "WB-species-dilution-info": "", "WB-species-notes": "", "ICCIF-species-checked": "predicted", "ICCIF-species-dilution-info": "", "ICCIF-species-notes": "" }, "Monkey": { "IHCP-species-checked": "predicted", "IHCP-species-dilution-info": "", "IHCP-species-notes": "", "WB-species-checked": "predicted", "WB-species-dilution-info": "", "WB-species-notes": "", "ICCIF-species-checked": "predicted", "ICCIF-species-dilution-info": "", "ICCIF-species-notes": "" } } }

Product details

What is this antibody validated in?
Anti-Sall4 antibody (ab29112) is a rabbit polyclonal antibody and is validated for use in Western Blot (WB), Immunohistochemistry (IHC-P), Immunocytochemistry/immunofluorescence (ICC/IF) in Human, Mouse samples.

What is the molecular weight of Sall4?
Anti-Sall4 (ab29112) specifically detects a band for Sall4 (UniProt: Q9UJQ4) at a molecular weight of 66, 113kDa.

Trusted by the scientific community
Anti-Sall4 (ab29112) was first used in a scientific publication in 2006 and has been cited over 70 times in peer-reviewed journals.

Reviewed by scientists
Anti-Sall4 (ab29112) has over 15 independent reviews from customers.

Properties and storage information

Form
Liquid
Purification technique
Affinity purification Immunogen
Storage buffer
pH: 7.4 Preservative: 0.02% Sodium azide Constituents: PBS, 1% BSA
Shipped at conditions
Blue Ice
Appropriate short-term storage duration
1-2 weeks
Appropriate short-term storage conditions
+4°C
Appropriate long-term storage conditions
-20°C
Aliquoting information
Upon delivery aliquot
Storage information
Avoid freeze / thaw cycle

Product protocols

For this product, it's our understanding that no specific protocols are required. You can visit:

Target data

Transcription factor with a key role in the maintenance and self-renewal of embryonic and hematopoietic stem cells.
See full target information SALL4

Publications (93)

Recent publications for all applications. Explore the full list and refine your search

Journal of biomedical science 32:57 PubMed40524167

2025

Targeting neuroinflammation: 3-monothiopomalidomide a new drug candidate to mitigate traumatic brain injury and neurodegeneration.

Applications

Unspecified application

Species

Unspecified reactive species

Shih Chang Hsueh,Pathik Parekh,Buyandelger Batsaikhan,Neil Vargesson,David Tweedie,Weiming Luo,Chirag N Patel,Dong Liu,Ross A McDevitt,Abdul Mannan Baig,Yu Kyung Kim,Sun Kim,Inho Hwang,Juwan Kim,Mee Youn Lee,Anna R Carta,Warren R Selman,Barry J Hoffer,Dong Seok Kim,Nigel H Greig

Scientific reports 15:7553 PubMed40038378

2025

USP37-stabilized SALL4 promotes the keloid formation by PI3K/AKT pathway.

Applications

Unspecified application

Species

Unspecified reactive species

Shuo Fang,Zishuo Wang,Jianguo Xu,Miao Xu,Jiesong Zhou,Yuntong Zhang,Chunyu Xue

Nature structural & molecular biology 32:1213-1226 PubMed40033150

2025

ZBTB16/PLZF regulates juvenile spermatogonial stem cell development through an extensive transcription factor poising network.

Applications

Unspecified application

Species

Unspecified reactive species

Chongil Yi,Yuka Kitamura,So Maezawa,Satoshi H Namekawa,Bradley R Cairns

Advanced healthcare materials 14:e2402606 PubMed39955738

2025

3D Bioprinted Coaxial Testis Model Using Human Induced Pluripotent Stem Cells:A Step Toward Bicompartmental Cytoarchitecture and Functionalization.

Applications

Unspecified application

Species

Unspecified reactive species

Meghan A Robinson,Sonia Hy Kung,Khaled Ym Youssef,Kali M Scheck,Robert H Bell,Funda Sar,Anne M Haegert,M Mahdi Asmae,Changfeng Cheng,Salina V Yeack,Bhairvi T Mathur,Feng Jiang,Colin C Collins,Faraz Hach,Stephanie M Willerth,Ryan K Flannigan

iScience 28:111770 PubMed39906560

2025

Super-enhancers and efficacy of triptolide in small cell carcinoma of the ovary hypercalcemic type.

Applications

Unspecified application

Species

Unspecified reactive species

Jessica D Lang,William Selleck,Shawn Striker,Nicolle A Hipschman,Rochelle Kofman,Anthony N Karnezis,Felix K F Kommoss,Friedrich Kommoss,Jae Rim Wendt,Salvatore J Facista,William P D Hendricks,Krystal A Orlando,Patrick Pirrotte,Elizabeth A Raupach,Victoria L Zismann,Yemin Wang,David G Huntsman,Bernard E Weissman,Jeffrey M Trent

Biologics : targets & therapy 18:273-284 PubMed39359866

2024

Silencing AREG Enhances Sensitivity to Irradiation by Suppressing the PI3K/AKT Signaling Pathway in Colorectal Cancer Cells.

Applications

Unspecified application

Species

Unspecified reactive species

Wenbing Zhang,Wenjuan Zhang,Chenling Tang,Yan Hu,Ke Yi,Xiaohui Xu,Zhihua Chen

iScience 27:110702 PubMed39262797

2024

Control of epigenomic landscape and development of fetal male germ cells through L-serine metabolism.

Applications

Unspecified application

Species

Unspecified reactive species

Yohei Hayashi,Jintaro Kaneko,Yumi Ito-Matsuoka,Asuka Takehara,Mayuka Funakoshi,So Maezawa,Kenjiro Shirane,Shigeki Furuya,Yasuhisa Matsui

Nature communications 15:6365 PubMed39075094

2024

Cell fate decision by a morphogen-transcription factor-chromatin modifier axis.

Applications

Unspecified application

Species

Unspecified reactive species

Jin Ming,Lihui Lin,Jiajun Li,Linlin Wu,Shicai Fang,Tao Huang,Yu Fu,Dong Liu,Wenhui Zhang,Chen Li,Yongzheng Yang,Yi Huang,Yue Qin,Junqi Kuang,Xingnan Huang,Liman Guo,Xiaofei Zhang,Jing Liu,Jiekai Chen,Chengchen Zhao,Bo Wang,Duanqing Pei

Methods in molecular biology (Clifton, N.J.) 2849:239-251 PubMed37801256

2023

Flow Cytometric and Immunohistochemical Follow-Up of Spermatogonial Lineage Commitment.

Applications

Unspecified application

Species

Unspecified reactive species

Selin Önen,Merve Gizer,Petek Korkusuz

Cancer cell international 23:149 PubMed37525212

2023

SALL4 promotes angiogenesis in gastric cancer by regulating VEGF expression and targeting SALL4/VEGF pathway inhibits cancer progression.

Applications

Unspecified application

Species

Unspecified reactive species

Fatma A Abouelnazar,Xiaoxin Zhang,Jiahui Zhang,Maoye Wang,Dan Yu,Xueyan Zang,Jiayin Zhang,Yixin Li,Jing Xu,Qiurong Yang,Yue Zhou,Haozhou Tang,Yanzheng Wang,Jianmei Gu,Xu Zhang
View all publications

Product promise

We are committed to supporting your work with high-quality reagents, and we're here for you every step of the way. In the unlikely event that one of our products does not perform as expected, you're protected by our Product Promise.
For full details, please see our Terms & Conditions

Please note: All products are 'FOR RESEARCH USE ONLY. NOT FOR USE IN DIAGNOSTIC OR THERAPEUTIC PROCEDURES'.

For licensing inquiries, please contact partnerships@abcam.com