JavaScript is disabled in your browser. Please enable JavaScript to view this website.
AB226756

Anti-Sall4 antibody [SP289]

Be the first to review this product! Submit a review

|

(2 Publications)

Rabbit Recombinant Monoclonal SALL4 antibody. Suitable for IHC-P, ICC/IF, Flow Cyt (Intra) and reacts with Human samples. Cited in 2 publications.

View Alternative Names

ZNF797, SALL4, Sal-like protein 4, Zinc finger protein 797, Zinc finger protein SALL4

9 Images
Immunohistochemistry (Formalin/PFA-fixed paraffin-embedded sections) - Anti-Sall4 antibody [SP289] (AB226756)
  • IHC-P

Supplier Data

Immunohistochemistry (Formalin/PFA-fixed paraffin-embedded sections) - Anti-Sall4 antibody [SP289] (AB226756)

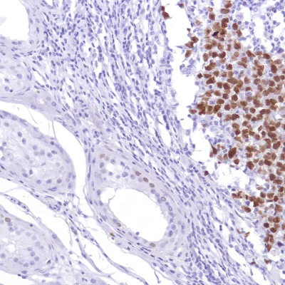
Formalin-fixed paraffin-embedded human seminoma tissue stained for Sall4 using ab226756 at 1/100 dilution in immunohistochemical analysis.

Flow Cytometry (Intracellular) - Anti-Sall4 antibody [SP289] (AB226756)
  • Flow Cyt (Intra)

Unknown

Flow Cytometry (Intracellular) - Anti-Sall4 antibody [SP289] (AB226756)

Intracellular Flow Cytometry analysis of NCCIT (Human pluripotent embryonic carcinoma epithelial cell) labeling Sall4 with purified ab226756 at 1/20 dilution (6.15μg/ml) (red). Cells were fixed with 4% paraformaldehyde and permeabilised with 90% methanol. Goat anti rabbit IgG (Alexa Fluor® 488, ab150077) at 1/2000 dilution was used as a secondary antibody. Isotype control -Rabbit monoclonal IgG (ab172730) / Black. Unlableled control -Unlabelled cells / blue.

Immunohistochemistry (Formalin/PFA-fixed paraffin-embedded sections) - Anti-Sall4 antibody [SP289] (AB226756)
  • IHC-P

Supplier Data

Immunohistochemistry (Formalin/PFA-fixed paraffin-embedded sections) - Anti-Sall4 antibody [SP289] (AB226756)

Formalin-fixed paraffin-embedded human seminoma tissue stained for Sall4 using ab226756 at 1/100 dilution in immunohistochemical analysis.

Immunohistochemistry (Formalin/PFA-fixed paraffin-embedded sections) - Anti-Sall4 antibody [SP289] (AB226756)
  • IHC-P

Supplier Data

Immunohistochemistry (Formalin/PFA-fixed paraffin-embedded sections) - Anti-Sall4 antibody [SP289] (AB226756)

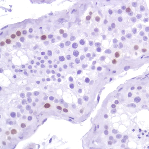
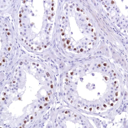
Formalin-fixed, paraffin-embedded human testis tissue stained for Sall4 using ab226756 at 1/100 dilution in immunohistochemical analysis.

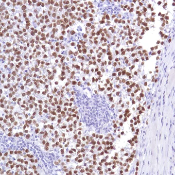
Immunohistochemistry (Formalin/PFA-fixed paraffin-embedded sections) - Anti-Sall4 antibody [SP289] (AB226756)
  • IHC-P

Unknown

Immunohistochemistry (Formalin/PFA-fixed paraffin-embedded sections) - Anti-Sall4 antibody [SP289] (AB226756)

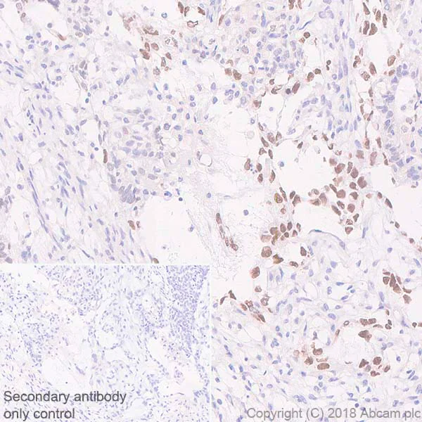
Immunohistochemistry (Formalin/PFA-fixed paraffin-embedded sections) analysis of Human ovarian carcinoma tissue sections labeling Sall4 with ab226756 at 1/100 dilution (1.23 µg/ml). Heat mediated antigen retrieval was performed Heat mediated antigen retrieval with Tris-EDTA buffer (pH 9.0, epitope retrieval solution 2) for 20 mins. Rabbit specific IHC polymer detection kit HRP/DAB (ab209101) was used as the secondary antibody. Negative control : PBS instead of the primary antibody. Hematoxylin was used as a counterstain.

Immunohistochemistry (Formalin/PFA-fixed paraffin-embedded sections) - Anti-Sall4 antibody [SP289] (AB226756)
  • IHC-P

Supplier Data

Immunohistochemistry (Formalin/PFA-fixed paraffin-embedded sections) - Anti-Sall4 antibody [SP289] (AB226756)

Formalin-fixed paraffin-embedded human seminoma tissue stained for Sall4 using ab226756 at 1/100 dilution in immunohistochemical analysis.

Immunocytochemistry/ Immunofluorescence - Anti-Sall4 antibody [SP289] (AB226756)
  • ICC/IF

Unknown

Immunocytochemistry/ Immunofluorescence - Anti-Sall4 antibody [SP289] (AB226756)

Immunocytochemistry/ Immunofluorescence analysis of NCCIT (human pluripotent embryonic carcinoma epithelial cell) cells labeling Sall4 with purified ab226756 at 1/10 (12.3 μg/ml). Cells were fixed in 4% paraformaldehyde and permeabilized with 0.1% Triton X-100. Cells were counterstained with ab195889 Anti-alpha Tubulin antibody [DM1A] - Microtubule Marker (Alexa Fluor® 594) 1/200 (2.5 μg/ml). Goat anti rabbit IgG (Alexa Fluor® 488, ab150077) was used as the secondary antibody at 1/1000 (2 μg/ml) dilution. DAPI was used as nuclear counterstain. PBS instead of the primary antibody was used as the secondary antibody only control.

Immunohistochemistry (Formalin/PFA-fixed paraffin-embedded sections) - Anti-Sall4 antibody [SP289] (AB226756)
  • IHC-P

Supplier Data

Immunohistochemistry (Formalin/PFA-fixed paraffin-embedded sections) - Anti-Sall4 antibody [SP289] (AB226756)

Formalin-fixed paraffin-embedded human testis tissue stained for Sall4 using ab226756 at 1/100 dilution in immunohistochemical analysis.

Flow Cytometry (Intracellular) - Anti-Sall4 antibody [SP289] (AB226756)
  • Flow Cyt (Intra)

Lab

Flow Cytometry (Intracellular) - Anti-Sall4 antibody [SP289] (AB226756)

Flow cytometry overlay histogram showing left NCCIT positive cells and right negative Jurkat stained with ab226756 (red line). The cells were fixed with 80% methanol (5 min) and then permeabilised with 0.1% PBS-Triton X-100 for 15 min. The cells were then incubated in 1x PBS containing 10% normal goat serum to block non-specific protein-protein interaction followed by the antibody (ab226756) (1x 106 in 100μl at 0.04μg/ml (1/55250)) for 30min at 22°C.

The secondary antibody Goat Anti-Rabbit IgG H&L (Alexa Fluor® 488) preadsorbed was incubated at 1/4000 for 30min at 22°C

Isotype control antibody (black line) was Recombinant Rabbit IgG, monoclonal [EPR25A] - Isotype Control used at the same concentration and conditions as the primary antibody. Unlabelled sample (blue line) was also used as a control.

Acquisition of >5000 events were collected using a 50 mW Blue laser (488nm) and 525/40 bandpass filter.

This antibody gave a positive signal in NCCIT Fixed with 4% formaldehyde (10 min) / permeabilised with 0.1% PBS-Triton X-100 for 15 min under the same conditions.

Key facts

Host species

Rabbit

Clonality

Monoclonal

Clone number

SP289

Isotype

IgG

Carrier free

No

Reacts with

Human

Applications

ICC/IF, Flow Cyt (Intra), IHC-P

applications

Immunogen

The exact immunogen used to generate this antibody is proprietary information.

Reactivity data

{ "title": "Reactivity Data", "filters": { "stats": ["", "Species", "Dilution Info", "Notes"], "tabs": { "all-applications": {"fullname" : "All Applications", "shortname": "All Applications"}, "IHCP" : {"fullname" : "Immunohistochemistry (Formalin/PFA-fixed paraffin-embedded sections)", "shortname":"IHC-P"}, "ICCIF" : {"fullname" : "Immunocytochemistry/ Immunofluorescence", "shortname":"ICC/IF"}, "FlowCytIntra" : {"fullname" : "Flow Cytometry (Intracellular)", "shortname":"Flow Cyt (Intra)"} }, "product-promise": { "all": "all", "testedAndGuaranteed": "tested", "guaranteed": "expected", "predicted": "predicted", "notRecommended": "not-recommended" } }, "values": { "Human": { "IHCP-species-checked": "testedAndGuaranteed", "IHCP-species-dilution-info": "1/100", "IHCP-species-notes": "<p>Perform heat mediated antigen retrieval with EDTA buffer pH 8.0 before commencing with IHC staining protocol.</p><p>Primary incubation for 10 minutes at room temperature.</p>", "ICCIF-species-checked": "testedAndGuaranteed", "ICCIF-species-dilution-info": "1/10", "ICCIF-species-notes": "<p></p>", "FlowCytIntra-species-checked": "testedAndGuaranteed", "FlowCytIntra-species-dilution-info": "1/20", "FlowCytIntra-species-notes": "<p></p>" } } }

Product details

Patented technology
Our RabMAb® technology is a patented hybridoma-based technology for making rabbit monoclonal antibodies. For details on our patents, please refer to RabMAb® patents.

What are the advantages of a recombinant monoclonal antibody?
This product is a recombinant monoclonal antibody, which offers several advantages including:

  • - High batch-to-batch consistency and reproducibility
  • - Improved sensitivity and specificity
  • - Long-term security of supply
  • - Animal-free batch production

For more information, read more on recombinant antibodies.

Properties and storage information

Form
Liquid
Purification technique
Affinity purification Protein A
Storage buffer
pH: 7.2 - 7.4 Preservative: 0.1% Sodium azide Constituents: PBS, 1% BSA
Shipped at conditions
Blue Ice
Appropriate short-term storage duration
1-2 weeks
Appropriate short-term storage conditions
+4°C
Appropriate long-term storage conditions
-20°C
Aliquoting information
Upon delivery aliquot
Storage information
Avoid freeze / thaw cycle

Product protocols

For this product, it's our understanding that no specific protocols are required. You can visit:

Target data

Transcription factor with a key role in the maintenance and self-renewal of embryonic and hematopoietic stem cells.
See full target information SALL4

Publications (2)

Recent publications for all applications. Explore the full list and refine your search

Cell reports 38:110395 PubMed35172133

2022

TP53 promotes lineage commitment of human embryonic stem cells through ciliogenesis and sonic hedgehog signaling.

Applications

Unspecified application

Species

Unspecified reactive species

Sushama Sivakumar,Shutao Qi,Ningyan Cheng,Adwait A Sathe,Mohammed Kanchwala,Ashwani Kumar,Bret M Evers,Chao Xing,Hongtao Yu

International journal of molecular sciences 22: PubMed34502044

2021

Prostaglandin E2 Receptor 4 (EP4) Affects Trophoblast Functions via Activating the cAMP-PKA-pCREB Signaling Pathway at the Maternal-Fetal Interface in Unexplained Recurrent Miscarriage.

Applications

Unspecified application

Species

Unspecified reactive species

Lin Peng,Anca Chelariu-Raicu,Yao Ye,Zhi Ma,Huixia Yang,Hellen Ishikawa-Ankerhold,Martina Rahmeh,Sven Mahner,Udo Jeschke,Viktoria von Schönfeldt
View all publications

Product promise

We are committed to supporting your work with high-quality reagents, and we're here for you every step of the way. In the unlikely event that one of our products does not perform as expected, you're protected by our Product Promise.
For full details, please see our Terms & Conditions

Please note: All products are 'FOR RESEARCH USE ONLY. NOT FOR USE IN DIAGNOSTIC OR THERAPEUTIC PROCEDURES'.

For licensing inquiries, please contact partnerships@abcam.com