JavaScript is disabled in your browser. Please enable JavaScript to view this website.
AB86239

Anti-SAM68 antibody

3

(1 Review)

|

(3 Publications)

Rabbit Polyclonal SAM68 antibody. Suitable for IHC-P, IP, WB and reacts with Human samples. Cited in 3 publications. Immunogen corresponding to Synthetic Peptide within Human KHDRBS1 aa 1-50.

View Alternative Names

SAM68, KHDRBS1, GAP-associated tyrosine phosphoprotein p62, Src-associated in mitosis 68 kDa protein, p21 Ras GTPase-activating protein-associated p62, p68, Sam68

3 Images
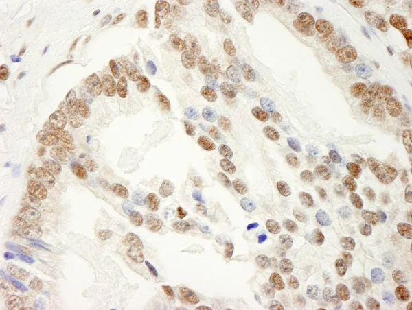
Immunohistochemistry (Formalin/PFA-fixed paraffin-embedded sections) - Anti-SAM68 antibody (AB86239)
  • IHC-P

Unknown

Immunohistochemistry (Formalin/PFA-fixed paraffin-embedded sections) - Anti-SAM68 antibody (AB86239)

Immunohistochemistry (Formalin/PFA-fixed paraffin-embedded sections) analysis of human prostate carcinoma tissue labelling SAM68 with ab86239 at 1/1000 (0.2µg/ml). Detection : DAB.

Immunoprecipitation - Anti-SAM68 antibody (AB86239)
  • IP

Unknown

Immunoprecipitation - Anti-SAM68 antibody (AB86239)

Detection of SAM68 in Immunoprecipitates of Whole cell lysate from HeLa cells (1 mg for IP, 20% of IP loaded) using ab86239 at 3 µg/mg lysate for IP (Lane 1) and at 1 µg/ml for subsequent Western blot detection. Lane 2 represents control IgG IP. Detection : Chemiluminescence with an exposure time of 1 second.

All lanes:

Immunoprecipitation - Anti-SAM68 antibody (ab86239)

Predicted band size: 48 kDa

false

Western blot - Anti-SAM68 antibody (AB86239)
  • WB

Unknown

Western blot - Anti-SAM68 antibody (AB86239)

All lanes:

Western blot - Anti-SAM68 antibody (ab86239) at 0.04 µg/mL

Lane 1:

Whole cell lysate from HeLa cells at 50 µg

Lane 2:

Whole cell lysate from HeLa cells at 15 µg

Lane 3:

Whole cell lysate from HeLa cells at 5 µg

Predicted band size: 48 kDa

Observed band size: 250 kDa,60 kDa

true

Exposure time: 3s

Key facts

Host species

Rabbit

Clonality

Polyclonal

Isotype

IgG

Carrier free

No

Reacts with

Human

Applications

WB, IP, IHC-P

applications

Immunogen

Synthetic Peptide within Human KHDRBS1 aa 1-50. The exact immunogen used to generate this antibody is proprietary information.

Q07666

Reactivity data

{ "title": "Reactivity Data", "filters": { "stats": ["", "Species", "Dilution Info", "Notes"], "tabs": { "all-applications": {"fullname" : "All Applications", "shortname": "All Applications"}, "IHCP" : {"fullname" : "Immunohistochemistry (Formalin/PFA-fixed paraffin-embedded sections)", "shortname":"IHC-P"}, "IP" : {"fullname" : "Immunoprecipitation", "shortname":"IP"}, "WB" : {"fullname" : "Western blot", "shortname":"WB"} }, "product-promise": { "all": "all", "testedAndGuaranteed": "tested", "guaranteed": "expected", "predicted": "predicted", "notRecommended": "not-recommended" } }, "values": { "Human": { "IHCP-species-checked": "testedAndGuaranteed", "IHCP-species-dilution-info": "1/500 - 1/2000", "IHCP-species-notes": "<p></p> Perform heat-mediated antigen retrieval with citrate buffer pH 6 before commencing with IHC staining protocol.", "IP-species-checked": "testedAndGuaranteed", "IP-species-dilution-info": "2-5 µg/mg of lysate", "IP-species-notes": "<p></p>", "WB-species-checked": "testedAndGuaranteed", "WB-species-dilution-info": "1/2000 - 1/10000", "WB-species-notes": "<p></p>" }, "Chimpanzee": { "IHCP-species-checked": "predicted", "IHCP-species-dilution-info": "", "IHCP-species-notes": "", "IP-species-checked": "predicted", "IP-species-dilution-info": "", "IP-species-notes": "", "WB-species-checked": "predicted", "WB-species-dilution-info": "", "WB-species-notes": "" }, "Gorilla": { "IHCP-species-checked": "predicted", "IHCP-species-dilution-info": "", "IHCP-species-notes": "", "IP-species-checked": "predicted", "IP-species-dilution-info": "", "IP-species-notes": "", "WB-species-checked": "predicted", "WB-species-dilution-info": "", "WB-species-notes": "" }, "Guinea pig": { "IHCP-species-checked": "predicted", "IHCP-species-dilution-info": "", "IHCP-species-notes": "", "IP-species-checked": "predicted", "IP-species-dilution-info": "", "IP-species-notes": "", "WB-species-checked": "predicted", "WB-species-dilution-info": "", "WB-species-notes": "" }, "Orangutan": { "IHCP-species-checked": "predicted", "IHCP-species-dilution-info": "", "IHCP-species-notes": "", "IP-species-checked": "predicted", "IP-species-dilution-info": "", "IP-species-notes": "", "WB-species-checked": "predicted", "WB-species-dilution-info": "", "WB-species-notes": "" }, "Rabbit": { "IHCP-species-checked": "predicted", "IHCP-species-dilution-info": "", "IHCP-species-notes": "", "IP-species-checked": "predicted", "IP-species-dilution-info": "", "IP-species-notes": "", "WB-species-checked": "predicted", "WB-species-dilution-info": "", "WB-species-notes": "" }, "Rhesus monkey": { "IHCP-species-checked": "predicted", "IHCP-species-dilution-info": "", "IHCP-species-notes": "", "IP-species-checked": "predicted", "IP-species-dilution-info": "", "IP-species-notes": "", "WB-species-checked": "predicted", "WB-species-dilution-info": "", "WB-species-notes": "" } } }

Properties and storage information

Form
Liquid
Purification technique
Affinity purification Immunogen
Storage buffer
pH: 6.8 - 7.4 Preservative: 0.09% Sodium azide Constituents: Tris buffered saline, 0.1% BSA
Shipped at conditions
Blue Ice
Appropriate short-term storage conditions
+4°C
Appropriate long-term storage conditions
-20°C
Aliquoting information
Upon delivery aliquot
Storage information
Avoid freeze / thaw cycle

Supplementary information

This supplementary information is collated from multiple sources and compiled automatically.

The protein SAM68 also known as Src-associated in mitosis 68 kDa is a member of the STAR (Signal Transduction and Activation of RNA) family and has a mass of approximately 68 kilodaltons. SAM68 is expressed in a broad range of tissues but shows higher expression in the brain and testis. It functions mechanically as a nuclear RNA-binding protein involved in RNA metabolism alternative splicing and is linked to signal transduction pathways. The ability of SAM68 to bind RNA is important for its role in RNA processing.
Biological function summary

SAM68 impacts multiple cellular processes by regulating alternative splicing of pre-mRNA and is known to be part of a larger ribonucleoprotein complex. This functionality enables SAM68 to influence gene expression and impact cell proliferation and differentiation. By interacting with several signaling molecules it modulates processes that are vital for the proper functioning of various cell types including neurons and germ cells.

Pathways

SAM68 interacts with several signaling pathways notably the PI3K/AKT and MAPK/ERK pathways where it influences cellular survival and growth. Within these pathways SAM68 interacts with proteins such as the tyrosine kinase Src which facilitates signal transduction events leading to changes in cell behavior. The protein also associates with hnRNPA1 affecting mRNA processing and influencing downstream signaling cascades.

SAM68 has connections to cancer and neurodegenerative diseases. Abnormal expression or mutations in SAM68 are linked to oncogenesis particularly in prostate and breast cancers where it interacts with signaling proteins like ERK. In neurodegenerative disorders SAM68 is implicated in altering neuronal RNA processing potentially contributing to diseases such as Alzheimer's with connections to proteins like tau. Understanding SAM68's role in these diseases highlights its potential as a therapeutic target.

Product protocols

For this product, it's our understanding that no specific protocols are required. You can visit:

Target data

Recruited and tyrosine phosphorylated by several receptor systems, for example the T-cell, leptin and insulin receptors. Once phosphorylated, functions as an adapter protein in signal transduction cascades by binding to SH2 and SH3 domain-containing proteins. Role in G2-M progression in the cell cycle. Represses CBP-dependent transcriptional activation apparently by competing with other nuclear factors for binding to CBP. Also acts as a putative regulator of mRNA stability and/or translation rates and mediates mRNA nuclear export. Positively regulates the association of constitutive transport element (CTE)-containing mRNA with large polyribosomes and translation initiation. According to some authors, is not involved in the nucleocytoplasmic export of unspliced (CTE)-containing RNA species according to (PubMed : 22253824). RNA-binding protein that plays a role in the regulation of alternative splicing and influences mRNA splice site selection and exon inclusion. Binds to RNA containing 5'-[AU]UAA-3' as a bipartite motif spaced by more than 15 nucleotides. Binds poly(A). Can regulate CD44 alternative splicing in a Ras pathway-dependent manner (By similarity). In cooperation with HNRNPA1 modulates alternative splicing of BCL2L1 by promoting splicing toward isoform Bcl-X(S), and of SMN1 (PubMed : 17371836, PubMed : 20186123). Can regulate alternative splicing of NRXN1 and NRXN3 in the laminin G-like domain 6 containing the evolutionary conserved neurexin alternative spliced segment 4 (AS4) involved in neurexin selective targeting to postsynaptic partners. In a neuronal activity-dependent manner cooperates synergistically with KHDRBS2/SLIM-1 in regulation of NRXN1 exon skipping at AS4. The cooperation with KHDRBS2/SLIM-1 is antagonistic for regulation of NXRN3 alternative splicing at AS4 (By similarity).. Isoform 3, which is expressed in growth-arrested cells only, inhibits S phase.
See full target information KHDRBS1

Publications (3)

Recent publications for all applications. Explore the full list and refine your search

Nature communications 14:2861 PubMed37208334

2023

ADAR1-mediated RNA editing of SCD1 drives drug resistance and self-renewal in gastric cancer.

Applications

Unspecified application

Species

Unspecified reactive species

Tin-Lok Wong,Jia-Jian Loh,Shixun Lu,Helen H N Yan,Hoi Cheong Siu,Ren Xi,Dessy Chan,Max J F Kam,Lei Zhou,Man Tong,John A Copland,Leilei Chen,Jing-Ping Yun,Suet Yi Leung,Stephanie Ma

Journal of virology 91: PubMed28878081

2017

Foot-and-Mouth Disease (FMD) Virus 3C Protease Mutant L127P: Implications for FMD Vaccine Development.

Applications

Unspecified application

Species

Unspecified reactive species

Michael Puckette,Benjamin A Clark,Justin D Smith,Traci Turecek,Erica Martel,Lindsay Gabbert,Melia Pisano,William Hurtle,Juan M Pacheco,José Barrera,John G Neilan,Max Rasmussen

Oncotarget 8:85909-85925 PubMed29156766

2017

Isobaric tags for relative and absolute quantification-based proteomic analysis of testis biopsies in rhesus monkeys treated with transient scrotal hyperthermia.

Applications

Unspecified application

Species

Unspecified reactive species

Meng Rao,Sha Ma,Shifu Hu,Hui Lei,Yanqing Wu,Yanfei Zhou,Wei Xia,Changhong Zhu
View all publications

Product promise

We are committed to supporting your work with high-quality reagents, and we're here for you every step of the way. In the unlikely event that one of our products does not perform as expected, you're protected by our Product Promise.
For full details, please see our Terms & Conditions

Please note: All products are 'FOR RESEARCH USE ONLY. NOT FOR USE IN DIAGNOSTIC OR THERAPEUTIC PROCEDURES'.

For licensing inquiries, please contact partnerships@abcam.com